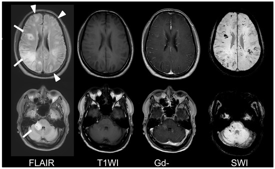
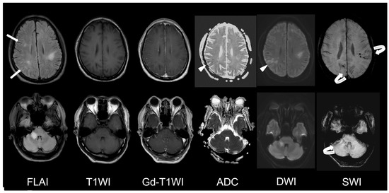
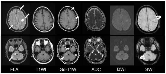
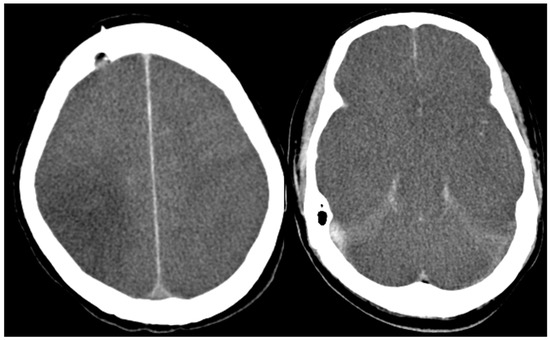
Rapid Progressive Fatal Acute Hemorrhagic Encephalomyelitis
Abstract
Author Contributions
Funding
Informed Consent Statement
Data Availability Statement
Conflicts of Interest
References
- Pujari, S.S.; Kulkarni, R.V.; Ojha, P.; Gursahani, R.; Nadgir, D.; Patil, S.; Soni, G.; Bangar, S.; Harshe, A.; Mandolkar, M.; et al. Acute haemorrhagic leukoencephalitis (AHLE)—Our experience and a short review. J. Neuroimmunol. 2021, 361, 577751. [Google Scholar] [CrossRef] [PubMed]
- Koelman, D.L.; Chahin, S.; Mar, S.S.; Venkatesan, A.; Hoganson, G.M.; Yeshokumar, A.K.; Barreras, P.; Majmudar, B.; Klein, J.P.; Chitnis, T.; et al. Acute disseminated encephalomyelitis in 228 patients: A retrospective, multicenter US study. Neurology 2016, 86, 2085–2093. [Google Scholar] [CrossRef] [PubMed]
- Garg, R.K. Acute disseminated encephalomyelitis. Postgrad Med. J. 2003, 79, 11–17. [Google Scholar] [CrossRef] [PubMed]
- Robinson, C.A.; Adiele, R.C.; Tham, M.; Lucchinetti, C.F.; Popescu, B.F. Early and widespread injury of astrocytes in the absence of demyelination in acute haemorrhagic leukoencephalitis. Acta Neuropathol. Commun. 2014, 2, 52. [Google Scholar] [CrossRef] [PubMed]
- Dixon, L.; Varley, J.; Gontsarova, A.; Mallon, D.; Tona, F.; Muir, D.; Luqmani, A.; Jenkins, I.H.; Nicholas, R.; Jones, B.; et al. COVID-19-related acute necrotizing encephalopathy with brain stem involvement in a patient with aplastic anemia. Neurol. Neuroimmunol. Neuroinflamm. 2020, 7, e789. [Google Scholar] [CrossRef] [PubMed]
- Grzonka, P.; Scholz, M.C.; De Marchis, G.M.; Tisljar, K.; Rüegg, S.; Marsch, S.; Fladt, J.; Sutter, R. Acute Hemorrhagic Leukoencephalitis: A Case and Systematic Review of the Literature. Front. Neurol. 2020, 11, 899. [Google Scholar] [CrossRef] [PubMed]
- Tateishi, U.; Terae, S.; Ogata, A.; Sawamura, Y.; Suzuki, Y.; Abe, S.; Miyasaka, K. MR imaging of the brain in lymphomatoid granulomatosis. AJNR Am. J. Neuroradiol. 2001, 22, 1283–1290. [Google Scholar]
- Lin, C.H.; Jeng, J.S.; Hsieh, S.T.; Yip, P.K.; Wu, R.M. Acute disseminated encephalomyelitis: A follow-up study in Taiwan. J. Neurol. Neurosurg. Psychiatry 2007, 78, 162–167. [Google Scholar] [CrossRef]
- Ketelslegers, I.A.; Visser, I.E.; Neuteboom, R.F.; Boon, M.; Catsman-Berrevoets, C.E.; Hintzen, R.Q. Disease course and outcome of acute disseminated encephalomyelitis is more severe in adults than in children. Mult. Scler. 2011, 17, 441–448. [Google Scholar] [CrossRef] [PubMed]




Disclaimer/Publisher’s Note: The statements, opinions and data contained in all publications are solely those of the individual author(s) and contributor(s) and not of MDPI and/or the editor(s). MDPI and/or the editor(s) disclaim responsibility for any injury to people or property resulting from any ideas, methods, instructions or products referred to in the content. |
© 2023 by the authors. Licensee MDPI, Basel, Switzerland. This article is an open access article distributed under the terms and conditions of the Creative Commons Attribution (CC BY) license (https://creativecommons.org/licenses/by/4.0/).
Share and Cite
Chen, S.-Y.; Chen, H.-C.; Chen, T.-B. Rapid Progressive Fatal Acute Hemorrhagic Encephalomyelitis. Diagnostics 2023, 13, 2481. https://doi.org/10.3390/diagnostics13152481
Chen S-Y, Chen H-C, Chen T-B. Rapid Progressive Fatal Acute Hemorrhagic Encephalomyelitis. Diagnostics. 2023; 13(15):2481. https://doi.org/10.3390/diagnostics13152481
Chicago/Turabian StyleChen, Ssu-Yu, Hung-Chieh Chen, and Ting-Bin Chen. 2023. "Rapid Progressive Fatal Acute Hemorrhagic Encephalomyelitis" Diagnostics 13, no. 15: 2481. https://doi.org/10.3390/diagnostics13152481
APA StyleChen, S.-Y., Chen, H.-C., & Chen, T.-B. (2023). Rapid Progressive Fatal Acute Hemorrhagic Encephalomyelitis. Diagnostics, 13(15), 2481. https://doi.org/10.3390/diagnostics13152481

