A Cross-Sectional Study of the Dermatological Manifestations of Patients with Fabry Disease and the Assessment of Angiokeratomas with Multimodal Imaging
Abstract
1. Introduction
2. Materials and Methods
2.1. Patients
2.2. Dermoscopy
2.3. Multispectral Imaging
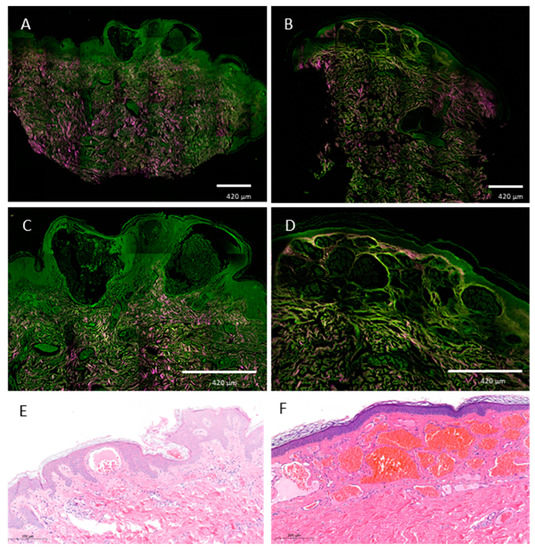
2.4. Non-Linear Optical Microscopy
3. Results
3.1. Diagnosis and Treatment
3.2. Extracutaneous Manifestations
3.3. Cutaneous Findings
3.4. Dermoscopic Features
3.5. Non-Linear Microscopic Imaging
3.6. Multispectral LED Imaging
4. Discussion
Author Contributions
Funding
Institutional Review Board Statement
Informed Consent Statement
Data Availability Statement
Acknowledgments
Conflicts of Interest
References
- Spada, M.; Pagliardini, S.; Yasuda, M.; Tukel, T.; Thiagarajan, G.; Sakuraba, H.; Ponzone, A.; Desnick, R.J. High incidence of later-onset fabry disease revealed by newborn screening. Am. J. Hum. Genet. 2006, 79, 31–40. [Google Scholar] [CrossRef]
- Miller, J.J.; Kanack, A.J.; Dahms, N.M. Progress in the understanding and treatment of Fabry disease. Biochim. Biophys. Acta Gen. Subj. 2020, 1864, 129437. [Google Scholar] [CrossRef] [PubMed]
- Errichetti, E.; Zalaudek, I.; Kittler, H.; Apalla, Z.; Argenziano, G.; Bakos, R.; Blum, A.; Braun, R.P.; Ioannides, D.; Lacarrubba, F.; et al. Standardization of dermoscopic terminology and basic dermoscopic parameters to evaluate in general dermatology (non-neoplastic dermatoses): An expert consensus on behalf of the International Dermoscopy Society. Br. J. Dermatol. 2020, 182, 454–467. [Google Scholar] [CrossRef] [PubMed]
- Wittmann, J.; Karg, E.; Turi, S.; Legnini, E.; Wittmann, G.; Giese, A.K.; Lukas, J.; Gölnitz, U.; Klingenhäger, M.; Bodamer, O.; et al. Newborn screening for lysosomal storage disorders in hungary. JIMD Rep. 2012, 6, 117–125. [Google Scholar]
- Chan, B.; Adam, D.N. A Review of Fabry Disease. Ski. Ther. Lett. 2018, 23, 4–6. [Google Scholar]
- Arends, M.; Hollak, C.E.M.; Biegstraaten, M. Quality of life in patients with Fabry disease: A systematic review of the literature. Orphanet J. Rare Dis. 2015, 10, 77. [Google Scholar] [CrossRef]
- van der Veen, S.J.; Hollak, C.E.M.; van Kuilenburg, A.B.P.; Langeveld, M. Developments in the treatment of Fabry disease. J. Inherit. Metab. Dis. 2020, 43, 908–921. [Google Scholar] [CrossRef]
- Dutra-Clarke, M.; Tapia, D.; Curtin, E.; Rünger, D.; Lee, G.K.; Lakatos, A.; Alandy-Dy, Z.; Freedkin, L.; Hall, K.; Ercelen, N.; et al. Variable clinical features of patients with Fabry disease and outcome of enzyme replacement therapy. Mol. Genet. Metab. Rep. 2020, 26, 100700. [Google Scholar] [CrossRef]
- Lenders, M.; Brand, E. Fabry Disease: The Current Treatment Landscape. Drugs 2021, 81, 635–645. [Google Scholar] [CrossRef]
- Germain, D.P. Fabry disease. Orphanet J. Rare Dis. 2010, 5, 30. [Google Scholar] [CrossRef]
- Orteu, C.H.; Jansen, T.; Lidove, O.; Jaussaud, R.; Hughes, D.A.; Pintos-Morell, G.; Ramaswami, U.; Parini, R.; Sunder-Plassman, G.; Beck, M.; et al. Fabry disease and the skin: Data from FOS, the Fabry outcome survey. Br. J. Dermatol. 2007, 157, 331–337. [Google Scholar] [CrossRef]
- Happle, R. Capillary malformations: A classification using specific names for specific skin disorders. J. Eur. Acad. Dermatol. Venereol. 2015, 29, 2295–2305. [Google Scholar] [CrossRef] [PubMed]
- Merzel Šabović, E.K.; Žerjav Tanšek, M.; Grošelj, U.; Dragoš, V. Angiokeratomas and treatment with enzyme replacement therapy in a patient with Fabry disease. Acta Dermatovenerol. Alp. Pannonica Adriat. 2020, 29, 89–91. [Google Scholar] [CrossRef] [PubMed]
- Cuestas, D.; Perafan, A.; Forero, Y.; Bonilla, J.; Velandia, A.; Gutierrez, A.; Motta, A.; Herrera, H.; Rolon, M. Angiokeratomas, not everything is Fabry disease. Int. J. Dermatol. 2019, 58, 713–721. [Google Scholar] [CrossRef]
- Zaballos, P.; Daufi, C.; Puig, S.; Argenziano, G.; Moreno-Ramirez, D.; Cabo, H.; Marghoob, A.A.; Llambrich, A.; Zalaudek, I.; Malvehy, J. Dermoscopy of solitary angiokeratomas: A morphological study. Arch. Dermatol. 2007, 143, 318–325. [Google Scholar] [CrossRef] [PubMed]
- Piccolo, V.; Russo, T.; Moscarella, E.; Brancaccio, G.; Alfano, R.; Argenziano, G. Dermatoscopy of Vascular Lesions. Dermatol. Clin. 2018, 36, 389–395. [Google Scholar] [CrossRef]
- Luna, P.C.; Boggio, P.; Larralde, M. Dermatologic Aspects of Fabry Disease. J. Inborn Errors Metab. Screen. 2016, 4, 1–7. [Google Scholar] [CrossRef]
- Eng, C.M.; Banikazemi, M.; Gordon, R.E.; Goldman, M.; Phelps, R.; Kim, L.; Gass, A.; Winston, J.; Dikman, S.; Fallon, J.T.; et al. A phase 1/2 clinical trial of enzyme replacement in fabry disease: Pharmacokinetic, substrate clearance, and safety studies. Am. J. Hum. Genet. 2001, 68, 711–722. [Google Scholar] [CrossRef]
- Reisin, R.; Perrin, A.; García-Pavía, P. Time delays in the diagnosis and treatment of Fabry disease. Int. J. Clin. Pract. 2017, 71, e12914. [Google Scholar] [CrossRef]
- Bozsányi, S.; Varga, N.N.; Farkas, K.; Bánvölgyi, A.; Lőrincz, K.; Lihacova, I.; Lihachev, A.; Plorina, E.V.; Bartha, Á.; Jobbágy, A.; et al. Multispectral Imaging Algorithm Predicts Breslow Thickness of Melanoma. J. Clin. Med. 2021, 11, 189. [Google Scholar] [CrossRef]
- Bozsányi, S.; Farkas, K.; Bánvölgyi, A.; Lőrincz, K.; Fésűs, L.; Anker, P.; Zakariás, S.; Jobbágy, A.; Lihacova, I.; Lihachev, A.; et al. Quantitative Multispectral Imaging Differentiates Melanoma from Seborrheic Keratosis. Diagnostics 2021, 11, 1315. [Google Scholar] [CrossRef]
- Krolopp, Á.; Fésűs, L.; Szipőcs, G.; Wikonkál, N.; Szipőcs, R. Fiber coupled, 20 MHz Repetition Rate, sub ps Ti:sapphire Laser for in vivo Nonlinear Microscopy of the Skin. In Proceedings of the Biophotonics Congress 2021, Washington, DC, USA, 12 April 2021; p. DF2A.5. [Google Scholar]
- Anker, P.; Fésűs, L.; Kiss, N.; Noll, J.; Becker, K.; Kuroli, E.; Mayer, B.; Bozsányi, S.; Lőrincz, K.; Lihacova, I.; et al. Visualization of Keratin with Diffuse Reflectance and Autofluorescence Imaging and Nonlinear Optical Microscopy in a Rare Keratinopathic Ichthyosis. Sensors 2021, 21, 1105. [Google Scholar] [CrossRef] [PubMed]
- Lihachev, A.; Derjabo, A.; Ferulova, I.; Lange, M.; Lihacova, I.; Spigulis, J. Autofluorescence imaging of basal cell carcinoma by smartphone RGB camera. J. Biomed. Opt. 2015, 20, 120502. [Google Scholar] [CrossRef]
- Lihachev, A.; Lihacova, I.; Plorina, E.V.; Lange, M.; Derjabo, A.; Spigulis, J. Differentiation of seborrheic keratosis from basal cell carcinoma, nevi and melanoma by RGB autofluorescence imaging. Biomed. Opt. Express 2018, 9, 1852–1858. [Google Scholar] [CrossRef]
- Kumar, P. Synophrys: Epidemiological Study. Int. J. Trichology 2017, 9, 105–107. [Google Scholar] [CrossRef]
- Galimberti, C.; Madeo, A.; Di Rocco, M.; Fiumara, A. Mucopolysaccharidoses: Early diagnostic signs in infants and children. Ital. J. Pediatr. 2018, 44, 133. [Google Scholar] [CrossRef]
- Okada, J.; Hossain, M.A.; Wu, C.; Miyajima, T.; Yanagisawa, H.; Akiyama, K.; Eto, Y. Ten-year-long enzyme replacement therapy shows a poor effect in alleviating giant leg ulcers in a male with Fabry disease. Mol. Genet. Metab. Rep. 2018, 14, 68–72. [Google Scholar] [CrossRef]
- Śnit, M.; Przyłudzka, M.; Grzeszczak, W. Fabry disease—A genetically conditioned extremely rare disease with a very unusual course. Intractable Rare Dis. Res. 2022, 11, 34–36. [Google Scholar] [CrossRef] [PubMed]
- Effraimidis, G.; Rasmussen, Å.K.; Bundgaard, H.; Sørensen, S.S.; Feldt-Rasmussen, U. Is the alpha-galactosidase A variant p.Asp313Tyr (p.D313Y) pathogenic for Fabry disease? A systematic review. J. Inherit. Metab. Dis. 2020, 43, 922–933. [Google Scholar] [CrossRef]
- Germain, D.P.; Oliveira, J.P.; Bichet, D.G.; Yoo, H.W.; Hopkin, R.J.; Lemay, R.; Politei, J.; Wanner, C.; Wilcox, W.R.; Warnock, D.G. Use of a rare disease registry for establishing phenotypic classification of previously unassigned GLA variants: A consensus classification system by a multispecialty Fabry disease genotype-phenotype workgroup. J. Med. Genet. 2020, 57, 542–551. [Google Scholar] [CrossRef]
- Thurberg, B.L.; Randolph Byers, H.; Granter, S.R.; Phelps, R.G.; Gordon, R.E.; O’Callaghan, M. Monitoring the 3-Year Efficacy of Enzyme Replacement Therapy in Fabry Disease by Repeated Skin Biopsies. J. Investig. Dermatol. 2004, 122, 900–908. [Google Scholar] [CrossRef]
- Furujo, M.; Kubo, T.; Kobayashi, M.; Ohashi, T. Enzyme replacement therapy in two Japanese siblings with Fabry disease, and its effectiveness on angiokeratoma and neuropathic pain. Mol. Genet. Metab. 2013, 110, 405–410. [Google Scholar] [CrossRef] [PubMed]
- Gao, J.; Fei, W.; Shen, C.; Shen, X.; Sun, M.; Xu, N.; Li, Q.; Huang, C.; Zhang, T.; Ko, R.; et al. Dermoscopic Features Summarization and Comparison of Four Types of Cutaneous Vascular Anomalies. Front. Med. 2021, 8, 692060. [Google Scholar] [CrossRef]
- Farkas, K.; Bozsányi, S.; Plázár, D.; Bánvölgyi, A.; Fésűs, L.; Anker, P.; Zakariás, S.; Lihacova, I.; Lihachev, A.; Lange, M.; et al. Autofluorescence Imaging of the Skin Is an Objective Non-Invasive Technique for Diagnosing Pseudoxanthoma Elasticum. Diagnostics 2021, 11, 260. [Google Scholar] [CrossRef] [PubMed]
- Kiss, N.; Krolopp, Á.; Lőrincz, K.; Bánvölgyi, A.; Szipőcs, R.; Wikonkál, N. Stain-free Histopathology of Basal Cell Carcinoma by Dual Vibration Resonance Frequency CARS Microscopy. Pathol. Oncol. Res. 2018, 24, 927–930. [Google Scholar] [CrossRef] [PubMed]
- Kiss, N.; Fésűs, L.; Bozsányi, S.; Szeri, F.; Van Gils, M.; Szabó, V.; Nagy, A.I.; Hidvégi, B.; Szipőcs, R.; Martin, L.; et al. Nonlinear optical microscopy is a novel tool for the analysis of cutaneous alterations in pseudoxanthoma elasticum. Lasers Med. Sci. 2020, 35, 1821–1830. [Google Scholar] [CrossRef]
- Kiss, N.; Haluszka, D.; Lőrincz, K.; Kuroli, E.; Hársing, J.; Mayer, B.; Kárpáti, S.; Fekete, G.; Szipőcs, R.; Wikonkál, N.; et al. Ex vivo nonlinear microscopy imaging of Ehlers-Danlos syndrome-affected skin. Arch. Dermatol. Res. 2018, 310, 463–473. [Google Scholar] [CrossRef]







| Total (n = 26) | Females (n = 14) | Males (n = 12) | |
|---|---|---|---|
| Mean age (years) | 37.0 ± 20.9 | 42.1 ± 19.9 | 31.1 ± 21.7 |
| Mean age at diagnosis (years) | 32.77 ± 19.4 | 37.07 ± 17.4 | 27.75 ± 21.1 |
| Mean age at the initiation of therapy (years) | 36.1 ± 18.3 | 43 ± 15.1 | 29.70 ± 19.4 |
| Therapy | |||
| Agalsidase-α | 10 (38%) | 5 (19%) | 5 (19%) |
| Agalsidase-β | 8 (31%) | 4 (15.5%) | 4 (15.5%) |
| Migalastat | 1 (4%) | 0 (0%) | 1 (4%) |
| None | 7 (27%) | 5 (19%) | 2 (8%) |
| Total (n = 26) | Females (n = 14) | Males (n = 12) | |
|---|---|---|---|
| Cardiovascular involvement | |||
| Cardiac involvement | 17 | 9 | 8 |
| Hypertension | 10 | 6 | 4 |
| Cerebrovascular involvement | |||
| Headaches | 4 | 1 | 3 |
| Tinnitus | 1 | 0 | 1 |
| Vertigo | 1 | 1 | 0 |
| Stroke | 4 | 3 | 1 |
| Hearing impariment | 5 | 2 | 3 |
| Renal involvement | 11 | 6 | 5 |
| Acroparesthaesia | 16 | 6 | 10 |
| Opthalmologic signs | |||
| Cornea verticillata | 18 | 9 | 9 |
| Other nonspecific signs | 14 | 8 | 6 |
| Gastrointestinal involvement | 11 | 4 | 7 |
| Pulmonary involvement | 4 | 3 | 1 |
| Fatigue | 13 | 7 | 6 |
Disclaimer/Publisher’s Note: The statements, opinions and data contained in all publications are solely those of the individual author(s) and contributor(s) and not of MDPI and/or the editor(s). MDPI and/or the editor(s) disclaim responsibility for any injury to people or property resulting from any ideas, methods, instructions or products referred to in the content. |
© 2023 by the authors. Licensee MDPI, Basel, Switzerland. This article is an open access article distributed under the terms and conditions of the Creative Commons Attribution (CC BY) license (https://creativecommons.org/licenses/by/4.0/).
Share and Cite
Anker, P.; Fésűs, L.; Kiss, N.; Lengyel, A.; Pinti, É.; Lihacova, I.; Lihachev, A.; Plorina, E.V.; Fekete, G.; Medvecz, M. A Cross-Sectional Study of the Dermatological Manifestations of Patients with Fabry Disease and the Assessment of Angiokeratomas with Multimodal Imaging. Diagnostics 2023, 13, 2368. https://doi.org/10.3390/diagnostics13142368
Anker P, Fésűs L, Kiss N, Lengyel A, Pinti É, Lihacova I, Lihachev A, Plorina EV, Fekete G, Medvecz M. A Cross-Sectional Study of the Dermatological Manifestations of Patients with Fabry Disease and the Assessment of Angiokeratomas with Multimodal Imaging. Diagnostics. 2023; 13(14):2368. https://doi.org/10.3390/diagnostics13142368
Chicago/Turabian StyleAnker, Pálma, Luca Fésűs, Norbert Kiss, Anna Lengyel, Éva Pinti, Ilze Lihacova, Alexey Lihachev, Emilija Vija Plorina, György Fekete, and Márta Medvecz. 2023. "A Cross-Sectional Study of the Dermatological Manifestations of Patients with Fabry Disease and the Assessment of Angiokeratomas with Multimodal Imaging" Diagnostics 13, no. 14: 2368. https://doi.org/10.3390/diagnostics13142368
APA StyleAnker, P., Fésűs, L., Kiss, N., Lengyel, A., Pinti, É., Lihacova, I., Lihachev, A., Plorina, E. V., Fekete, G., & Medvecz, M. (2023). A Cross-Sectional Study of the Dermatological Manifestations of Patients with Fabry Disease and the Assessment of Angiokeratomas with Multimodal Imaging. Diagnostics, 13(14), 2368. https://doi.org/10.3390/diagnostics13142368

