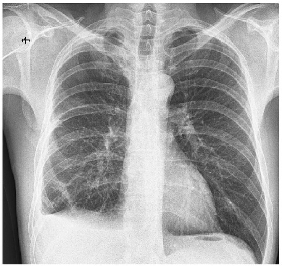
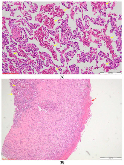
Sequence of Rare Diagnoses in a Young Patient: Altitude Barotrauma Hemopneumothorax and Desquamative Interstitial Pneumonia
Abstract




Author Contributions
Funding
Institutional Review Board Statement
Informed Consent Statement
Data Availability Statement
Conflicts of Interest
References
- Ioannidis, G.; Lazaridis, G.; Baka, S.; Mpoukovinas, I.; Karavasilis, V.; Lampaki, S.; Kioumis, I.; Pitsiou, G.; Papaiwannou, A.; Karavergou, A.; et al. Barotrauma and pneumothorax. J. Thorac. Dis. 2015, 7, S38–S43. [Google Scholar] [PubMed]
- Lyra, R.D.M. Etiology of primary spontaneous pneumothorax. J. Bras. Pneumol. 2016, 42, 222–226. [Google Scholar] [CrossRef] [PubMed]
- Travis, W.D.; Costabel, U.; Hansell, D.M.; King, T.E., Jr.; Lynch, D.A.; Nicholson, A.G.; Ryerson, C.J.; Ryu, J.H.; Selman, M.; Wells, A.U.; et al. An official American Thoracic Society/European Respiratory Society statement: Update of the international multidisciplinary classification of the idiopathic interstitial pneumonias. Am. J. Respir. Crit. Care Med. 2013, 188, 733–748. [Google Scholar] [CrossRef] [PubMed]
- Palmucci, S.; Roccasalva, F.; Puglisi, S.; Torrisi, S.E.; Vindigni, V.; Mauro, L.A.; Ettorre, G.C.; Piccoli, M.; Vancheri, C. Clinical and radiological features of idiopathic interstitial pneumonias (IIPs): A pictorial review. Insights Imaging 2014, 5, 347–364. [Google Scholar] [CrossRef] [PubMed]
- Radiopaedia—Desquamative Interstitial Pneumonia. Available online: https://radiopaedia.org/articles/desquamative-interstitial-pneumonia (accessed on 20 April 2023).
- Tazelaar, H.D.; Wright, J.L.; Churg, A. Desquamative interstitial pneumonia. Histopathology 2011, 58, 509–516. [Google Scholar] [CrossRef] [PubMed]
- Hellemons, M.E.; Moor, C.C.; von der Thüsen, J.; Rossius, M.; Odink, A.; Thorgersen, L.H.; Verschakelen, J.; Wuyts, W.; Wijsenbeek, M.S.; Bendstrup, E. Desquamative interstitial pneumonia: A systematic review of its features and outcomes. Eur. Respir. Rev. 2020, 29, 190181, Erratum in Eur. Respir. Rev. 2020, 29, 190181. [Google Scholar] [CrossRef] [PubMed]
- Cheng, Y.-L.; Huang, T.-W.; Lin, C.-K.; Lee, S.-C.; Tzao, C.; Chen, J.-C.; Chang, H. The impact of smoking in primary spontaneous pneumothorax. J. Thorac. Cardiovasc. Surg. 2009, 138, 192–195. [Google Scholar] [CrossRef] [PubMed]
- Walker, S.P.; Bibby, A.C.; Halford, P.; Stadon, L.; White, P.; Maskell, N.A. Recurrence rates in primary spontaneous pneumothorax: A systematic review and meta-analysis. Eur. Respir. J. 2018, 52, 1800864. [Google Scholar] [CrossRef] [PubMed]
- Casali, C.; Stefani, A.; Ligabue, G.; Natali, P.; Aramini, B.; Torricelli, P.; Morandi, U. Role of blebs and bullae detected by high-resolution computed tomography and recurrent spontaneous pneumothorax. Ann. Thorac. Surg. 2013, 95, 249–255. [Google Scholar] [CrossRef] [PubMed]
- Medenica, M.; Medenica, M. Desquamative interstitial pneumonia with clinical, radiological and histological correlation. Radiol. Case Rep. 2019, 14, 505–509. [Google Scholar] [CrossRef] [PubMed]
- Park, D.W.; Kim, T.H.; Shon, J.W.; Yoon, H.J.; Park, S.S.; Jeon, S.C.; Choi, Y.W.; Paik, S.S.; Kim, H. Near fatal desquamative interstitial pneumonia with bilateral recurrent tension pneumothorax. Sarcoidosis Vasc. Diffus. Lung Dis. 2015, 32, 167–171. [Google Scholar]
Disclaimer/Publisher’s Note: The statements, opinions and data contained in all publications are solely those of the individual author(s) and contributor(s) and not of MDPI and/or the editor(s). MDPI and/or the editor(s) disclaim responsibility for any injury to people or property resulting from any ideas, methods, instructions or products referred to in the content. |
© 2023 by the authors. Licensee MDPI, Basel, Switzerland. This article is an open access article distributed under the terms and conditions of the Creative Commons Attribution (CC BY) license (https://creativecommons.org/licenses/by/4.0/).
Share and Cite
Leonte, I.; Ivanov, K.; Marghescu, A.Ș.; Matache, Ș.R.; Negru, F.V.; Iorga, A.L.; Dumitru, S.M.; Mahler, B. Sequence of Rare Diagnoses in a Young Patient: Altitude Barotrauma Hemopneumothorax and Desquamative Interstitial Pneumonia. Diagnostics 2023, 13, 2367. https://doi.org/10.3390/diagnostics13142367
Leonte I, Ivanov K, Marghescu AȘ, Matache ȘR, Negru FV, Iorga AL, Dumitru SM, Mahler B. Sequence of Rare Diagnoses in a Young Patient: Altitude Barotrauma Hemopneumothorax and Desquamative Interstitial Pneumonia. Diagnostics. 2023; 13(14):2367. https://doi.org/10.3390/diagnostics13142367
Chicago/Turabian StyleLeonte, Iustina, Karina Ivanov, Angela Ștefania Marghescu, Șerban Radu Matache, Florica Valeria Negru, Ana Luiza Iorga, Silviu Mihail Dumitru, and Beatrice Mahler. 2023. "Sequence of Rare Diagnoses in a Young Patient: Altitude Barotrauma Hemopneumothorax and Desquamative Interstitial Pneumonia" Diagnostics 13, no. 14: 2367. https://doi.org/10.3390/diagnostics13142367
APA StyleLeonte, I., Ivanov, K., Marghescu, A. Ș., Matache, Ș. R., Negru, F. V., Iorga, A. L., Dumitru, S. M., & Mahler, B. (2023). Sequence of Rare Diagnoses in a Young Patient: Altitude Barotrauma Hemopneumothorax and Desquamative Interstitial Pneumonia. Diagnostics, 13(14), 2367. https://doi.org/10.3390/diagnostics13142367

