Direct Endoscopic Necrosectomy of a Recurrent Walled-Off Pancreatic Necrosis at High Risk for Severe Bleeding: A Hybrid Technique Using a Dedicated Device
Abstract
1. Introduction
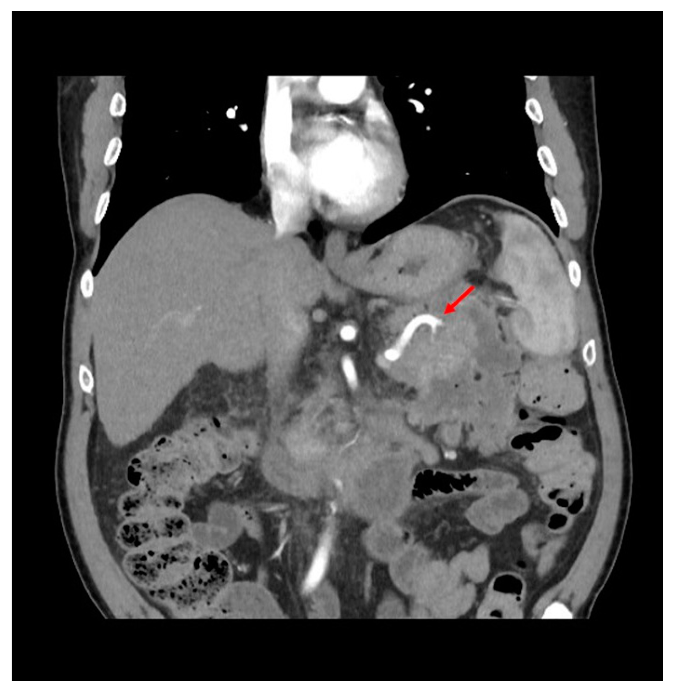
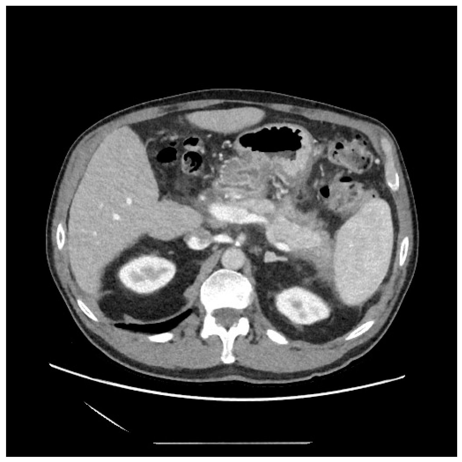
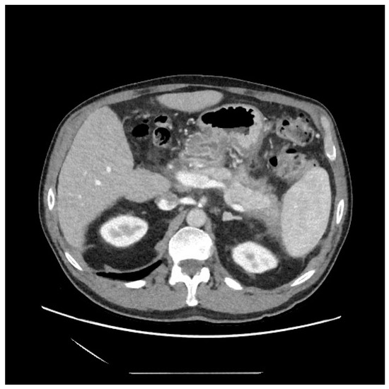
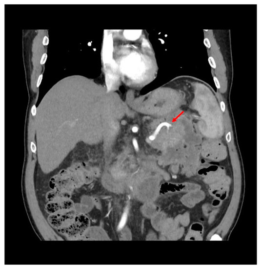
2. Case Presentation
3. Discussion
4. Conclusions
Author Contributions
Funding
Institutional Review Board Statement
Informed Consent Statement
Data Availability Statement
Conflicts of Interest
References
- Banks, P.A.; Bollen, T.L.; Dervenis, C.; Gooszen, H.G.; Johnson, C.D.; Sarr, M.G.; Tsiotos, G.G.; Vege, S.S. Classification of acute pancreatitis–2012: Revision of the Atlanta classification and definitions by international consensus. Gut 2013, 62, 102–111. [Google Scholar] [CrossRef] [PubMed]
- Baron, T.H.; DiMaio, C.J.; Wang, A.Y.; Morgan, K.A. American Gastroenterological Association Clinical Practice Update: Management of Pancreatic Necrosis. Gastroenterology 2020, 158, 67–75.e1. [Google Scholar] [CrossRef] [PubMed]
- Arvanitakis, M.; Dumonceau, J.M.; Albert, J.; Badaoui, A.; Bali, M.A.; Barthet, M.; Besselink, M.; Deviere, J.; Ferreira, A.O.; Gyökeres, T.; et al. Endoscopic management of acute necrotizing pancreatitis: European Society of Gastrointestinal Endoscopy (ESGE) evidence-based multidisciplinary guidelines. Endoscopy 2018, 50, 524–546. [Google Scholar] [CrossRef]
- Trikudanathan, G.; Wolbrink, D.R.J.; van Santvoort, H.C.; Mallery, S.; Freeman, M.; Besselink, M.G. Current Concepts in Severe Acute and Necrotizing Pancreatitis: An Evidence-Based Approach. Gastroenterology 2019, 156, 1994–2007.e3. [Google Scholar] [CrossRef] [PubMed]
- Carter, C.R.; McKay, C.J.; Imrie, C.W. Percutaneous necrosectomy and sinus tract endoscopy in the management of infected pancreatic necrosis: An initial experience. Ann. Surg. 2000, 232, 175–180. [Google Scholar] [CrossRef]
- Siddiqui, A.A.; Kowalski, T.E.; Loren, D.E.; Khalid, A.; Soomro, A.; Mazhar, S.M.; Isby, L.; Kahaleh, M.; Karia, K.; Yoo, J.; et al. Fully covered self-expanding metal stents versus lumen-apposing fully covered self-expanding metal stent versus plastic stents for endoscopic drainage of pancreatic walled-off necrosis: Clinical outcomes and success. Gastrointest. Endosc. 2017, 85, 758–765. [Google Scholar] [CrossRef]
- Pinto, S.; Bellizzi, S.; Badas, R.; Canfora, M.L.; Loddo, E.; Spada, S.; Khalaf, K.; Fugazza, A.; Bergamini, S. Direct Endoscopic Necrosectomy: Timing and Technique. Medicina 2021, 57, 1305. [Google Scholar] [CrossRef]
- Fugazza, A.; Sethi, A.; Trindade, A.J.; Troncone, E.; Devlin, J.; Khashab, M.A.; Vleggaar, F.P.; Bogte, A.; Tarantino, I.; Deprez, P.H.; et al. International multicenter comprehensive analysis of adverse events associated with lumen-apposing metal stent placement for pancreatic fluid collection drainage. Gastrointest. Endosc. 2020, 91, 574–583. [Google Scholar] [CrossRef]
- Luckhurst, C.M.; El Hechi, M.; Maurer, L.R.; Yamada, K.; Krishnan, K.; Castillo, C.F.; Lillemoe, K.D.; Fagenholz, P.J. Treatment and Prevention of Intraabdominal Bleeding in Necrotizing Pancreatitis Patients Treated With a Step-Up Approach. Pancreas 2022, 51, 516–522. [Google Scholar] [CrossRef]
- van der Wiel, S.E.; Poley, J.W.; Grubben, M.; Bruno, M.J.; Koch, A.D. The EndoRotor, a novel tool for the endoscopic management of pancreatic necrosis. Endoscopy 2018, 50, E240–E241. [Google Scholar] [CrossRef]
- Binda, C.; Coluccio, C.; Marocchi, G.; Sbrancia, M.; Fabbri, C. The Role of Contrast-Enhanced Harmonic Endoscopic Ultrasound in Interventional Endoscopic Ultrasound. Medicina 2021, 57, 1085. [Google Scholar] [CrossRef] [PubMed]
- Rizzatti, G.; Rimbaș, M.; De Riso, M.; Impagnatiello, M.; Costamagna, G.; Larghi, A. Endorotor-based endoscopic necrosectomy avoiding the superior mesenteric artery. Endoscopy 2020, 52, E420–E421. [Google Scholar] [CrossRef]
- Hollerbach, S.; Wellmann, A.; Meier, P.; Ryan, J.; Franco, R.; Koehler, P. The EndoRotor(®): Endoscopic mucosal resection system for non-thermal and rapid removal of esophageal, gastric, and colonic lesions: Initial experience in live animals. Endosc. Int. Open 2016, 4, E475–E479. [Google Scholar] [CrossRef] [PubMed]
- Knabe, M.; Blößer, S.; Wetzka, J.; Ell, C.; May, A. Non-thermal ablation of non-neoplastic Barrett’s esophagus with the novel EndoRotor® resection device. United Eur. Gastroenterol. J. 2018, 6, 678–683. [Google Scholar] [CrossRef] [PubMed]
- Kaul, V.; Diehl, D.; Enslin, S.; Infantolino, A.; Tofani, C.; Bittner, K.; Tariq, R.; Aslam, R.; Ayub, K. Safety and efficacy of a novel powered endoscopic debridement tissue resection device for management of difficult colon and foregut lesions: First multicenter U.S. experience. Gastrointest. Endosc. 2021, 93, 640–646. [Google Scholar] [CrossRef] [PubMed]
- Available online: https://www.fda.gov/news-events/press-announcements/fda-authorizes-marketing-new-device-designed-remove-dead-pancreatic-tissue (accessed on 1 June 2023).
- Zeuner, S.; Finkelmeier, F.; Waidmann, O.; Bojunga, J.; Zeuzem, S.; Friedrich-Rust, M.; Knabe, M. Percutaneous endoscopic necrosectomy using an automated rotor resection device in severe necrotizing pancreatitis. Endoscopy 2022, 54, E362–E363. [Google Scholar] [CrossRef] [PubMed]
- Bazarbashi, A.N.; Ge, P.S.; de Moura, D.T.H.; Thompson, C.C. A novel endoscopic morcellator device to facilitate direct necrosectomy of solid walled-off necrosis. Endoscopy 2019, 51, E396–E397. [Google Scholar] [CrossRef]
- van der Wiel, S.E.; May, A.; Poley, J.W.; Grubben, M.; Wetzka, J.; Bruno, M.J.; Koch, A.D. Preliminary report on the safety and utility of a novel automated mechanical endoscopic tissue resection tool for endoscopic necrosectomy: A case series. Endosc. Int. Open 2020, 8, E274–E280. [Google Scholar] [CrossRef]
- Rizzatti, G.; Rimbas, M.; Impagnatiello, M.; Gasbarrini, A.; Costamagna, G.; Larghi, A. Endorotor-Based Endoscopic Necrosectomy as a Rescue or Primary Treatment of Complicated Walled-off Pancreatic Necrosis. A Case Series. J. Gastrointest. Liver Dis. 2020, 29, 681–684. [Google Scholar] [CrossRef]
- Rizzatti, G.; Gagliardi, M.; Tripodi, G.; Impagnatiello, M.; Gasbarrini, A.; Costamagna, G.; Larghi, A. Direct endoscopic necrosectomy with the newly developed 6-mm powered rotating resection catheter: When size matters. Endoscopy 2023, 55, E246–E247. [Google Scholar] [CrossRef]
- Stassen, P.M.C.; de Jonge, P.J.F.; Bruno, M.J.; Koch, A.D.; Trindade, A.J.; Benias, P.C.; Sejpal, D.V.; Siddiqui, U.D.; Chapman, C.G.; Villa, E.; et al. Safety and efficacy of a novel resection system for direct endoscopic necrosectomy of walled-off pancreas necrosis: A prospective, international, multicenter trial. Gastrointest. Endosc. 2022, 95, 471–479. [Google Scholar] [CrossRef] [PubMed]
- Neermark, S.; Rasmussen, D.; Rysgaard, S.; Gluud, L.L.; Novovic, S.; Schmidt, P.N. The cost of endoscopic treatment for walled-off pancreatic necrosis. Pancreatology 2019, 19, 828–833. [Google Scholar] [CrossRef]
- van Brunschot, S.; van Grinsven, J.; van Santvoort, H.C.; Bakker, O.J.; Besselink, M.G.; Boermeester, M.A.; Bollen, T.L.; Bosscha, K.; Bouwense, S.A.; Bruno, M.J.; et al. Endoscopic or surgical step-up approach for infected necrotising pancreatitis: A multicentre randomised trial. Lancet 2018, 391, 51–58. [Google Scholar] [CrossRef] [PubMed]
- Puli, S.R.; Graumlich, J.F.; Pamulaparthy, S.R.; Kalva, N. Endoscopic transmural necrosectomy for walled-off pancreatic necrosis: A systematic review and meta-analysis. Can. J. Gastroenterol. Hepatol. 2014, 28, 50–53. [Google Scholar] [CrossRef]
- Bang, J.Y.; Arnoletti, J.P.; Holt, B.A.; Sutton, B.; Hasan, M.K.; Navaneethan, U.; Feranec, N.; Wilcox, C.M.; Tharian, B.; Hawes, R.H.; et al. An Endoscopic Transluminal Approach, Compared With Minimally Invasive Surgery, Reduces Complications and Costs for Patients With Necrotizing Pancreatitis. Gastroenterology 2019, 156, 1027–1040.e3. [Google Scholar] [CrossRef] [PubMed]
- Zhai, Y.Q.; Ryou, M.; Thompson, C.C. Predicting success of direct endoscopic necrosectomy with lumen-apposing metal stents for pancreatic walled-off necrosis. Gastrointest. Endosc. 2022, 96, 522–529.e1. [Google Scholar] [CrossRef] [PubMed]




| Articles, Year of Publication | Patients (n) | Intra- Procedural AEs | Late AEs (>24 h) | Clearance of >80% Necrosis | Failure of DEN Using EndoRotor | LAMS | Plastic Stents | SEMS | Previous Unsuccessful DEN (n) |
|---|---|---|---|---|---|---|---|---|---|
| Van der Wiel et al., 2018 [10] | 2 | 0/2 (0%) | 0/2 (0%) | 2/2 (100%) | 0/2 (0%) | 2 | 0 | 0 | 2 |
| Bazarbashi et al., 2019 [18] | 1 | 0/1 (0%) | 0/1 (0%) | 1/1 (100%) | 0/1 (0%) | 1 | 0 | 0 | 0 |
| Rizzatti et al., 2020 [12] | 1 | 0/1 (0%) | 0/1 (0%) | 1/1 (100%) | 0/1 (0%) | 1 | 0 | 0 | 0 |
| Van der Wiel et al., 2020 [19] | 12 | 0/12 (0%) | 0/12 (0%) | 11/12 (92%) | 1/12 (8%) | 4 | 8 | 0 | 3 |
| Rizzatti et al., 2020 [20] | 4 | 0/4 (0%) | 0/4 (0%) | 4/4 (100%) | 0/4 (0%) | 4 | 0 | 0 | 1 |
| Stassen et al., 2021 [22] | 30 | 0/30 (0%) | 3 (10%) | 29/30 (97%) | 1/30 (3%) | 23 | 2 | 5 | Not specified |
| Zeuner et al., 2022 [17] | 1 | 0/1 (0%) | 0/1 (0%) | 1/1 (100%) | 0/1 (0%) | 0 | 1 | 0 | 0 |
| Rizzatti et al., 2023 [21] | 2 | 0/2 (0%) | 0/2 (0%) | 2/2 (100%) | 0/2 (0%) | 2 | 0 | 0 | 0 |
Disclaimer/Publisher’s Note: The statements, opinions and data contained in all publications are solely those of the individual author(s) and contributor(s) and not of MDPI and/or the editor(s). MDPI and/or the editor(s) disclaim responsibility for any injury to people or property resulting from any ideas, methods, instructions or products referred to in the content. |
© 2023 by the authors. Licensee MDPI, Basel, Switzerland. This article is an open access article distributed under the terms and conditions of the Creative Commons Attribution (CC BY) license (https://creativecommons.org/licenses/by/4.0/).
Share and Cite
Binda, C.; Coluccio, C.; Vizzuso, A.; Sartini, A.; Sbrancia, M.; Cucchetti, A.; Giampalma, E.; Fabbri, S.; Ercolani, G.; Fabbri, C. Direct Endoscopic Necrosectomy of a Recurrent Walled-Off Pancreatic Necrosis at High Risk for Severe Bleeding: A Hybrid Technique Using a Dedicated Device. Diagnostics 2023, 13, 2321. https://doi.org/10.3390/diagnostics13142321
Binda C, Coluccio C, Vizzuso A, Sartini A, Sbrancia M, Cucchetti A, Giampalma E, Fabbri S, Ercolani G, Fabbri C. Direct Endoscopic Necrosectomy of a Recurrent Walled-Off Pancreatic Necrosis at High Risk for Severe Bleeding: A Hybrid Technique Using a Dedicated Device. Diagnostics. 2023; 13(14):2321. https://doi.org/10.3390/diagnostics13142321
Chicago/Turabian StyleBinda, Cecilia, Chiara Coluccio, Antonio Vizzuso, Alessandro Sartini, Monica Sbrancia, Alessandro Cucchetti, Emanuela Giampalma, Stefano Fabbri, Giorgio Ercolani, and Carlo Fabbri. 2023. "Direct Endoscopic Necrosectomy of a Recurrent Walled-Off Pancreatic Necrosis at High Risk for Severe Bleeding: A Hybrid Technique Using a Dedicated Device" Diagnostics 13, no. 14: 2321. https://doi.org/10.3390/diagnostics13142321
APA StyleBinda, C., Coluccio, C., Vizzuso, A., Sartini, A., Sbrancia, M., Cucchetti, A., Giampalma, E., Fabbri, S., Ercolani, G., & Fabbri, C. (2023). Direct Endoscopic Necrosectomy of a Recurrent Walled-Off Pancreatic Necrosis at High Risk for Severe Bleeding: A Hybrid Technique Using a Dedicated Device. Diagnostics, 13(14), 2321. https://doi.org/10.3390/diagnostics13142321

