Diagnosis of Chest Pneumonia with X-ray Images Based on Graph Reasoning
Abstract
1. Introduction
2. Related Work
3. Method
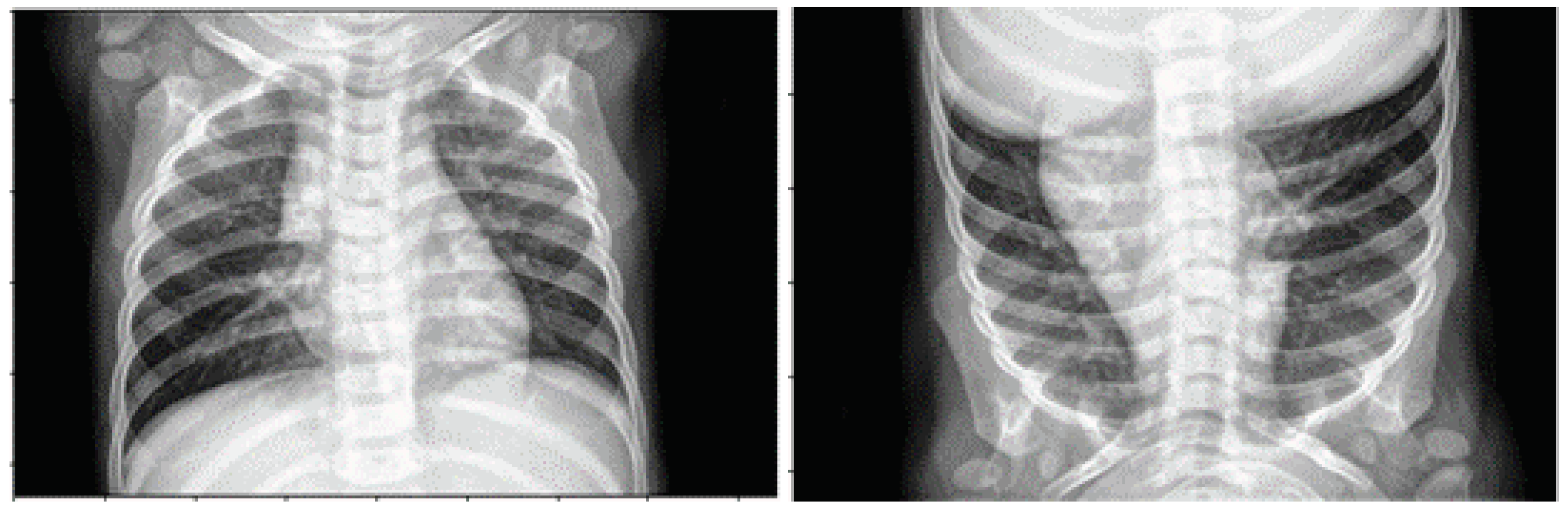
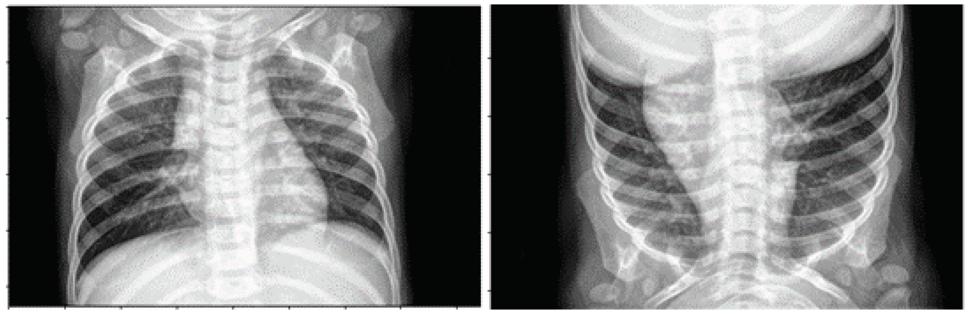
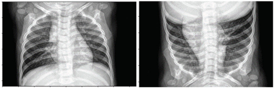
3.1. Motivation
3.2. Overview
3.3. The Generation of Adjacency Matrix
3.4. Graph Reasoning
3.5. Supervision Strategy
4. Experiment and Results
4.1. Data
4.2. Experimental Setup
4.3. Results
5. Discussion
5.1. Comparison with Related Algorithms
- Vgg [23]: The advantage of vgg is its simple structure and easy implementation of algorithms that use multiple repeated convolutional and pooling layers to build deep networks. However, it is relatively computationally intensive, takes a long time to train, and its fully connected layers account for a large proportion of the parameters relative to the overall model.
- ResNet [24]: ResNet uses the idea of residuals to solve the problem of difficult training of deep networks with strong generalization ability, but its network structure is more complex and requires more computational resources.
- DenseNet [25]: This is an algorithm that uses dense connectivity to enhance feature propagation and feature diversity. Its advantage is that it can effectively utilize low-level features, reduce gradient disappearance and overfitting problems, and improve classification performance; its disadvantage is that it requires more memory space and computational resources.
- Inception [26]: This is an algorithm that uses multi-scale and multi-branch convolutional structures to extract features at different levels and degrees of abstraction. Its advantage is that it can adapt to images of different sizes and shapes to improve classification accuracy and efficiency; the disadvantage is that the network structure is more complex and requires more parameter tuning.
5.2. Disadvantage
6. Conclusions
Author Contributions
Funding
Institutional Review Board Statement
Informed Consent Statement
Data Availability Statement
Conflicts of Interest
References
- Goodman, D.; Crocker, M.E.; Pervaiz, F.; McCollum, E.D.; Steenland, K.; Simkovich, S.M.; Miele, C.H.; Hammitt, L.L.; Herrera, P.; Zar, H.J.; et al. Challenges in the diagnosis of paediatric pneumonia in intervention field trials: Recommendations from a pneumonia field trial working group. Lancet Respir. Med. 2019, 7, 1068–1083. [Google Scholar] [CrossRef] [PubMed]
- Prendki, V.; Scheffler, M.; Huttner, B.; Garin, N.; Herrmann, F.; Janssens, J.P.; Marti, C.; Carballo, S.; Roux, X.; Serratrice, C.; et al. Low-dose computed tomography for the diagnosis of pneumonia in elderly patients: A prospective, interventional cohort study. Eur. Respir. J. 2018, 51, 1702375. [Google Scholar] [CrossRef] [PubMed]
- Syrjala, H.; Broas, M.; Ohtonen, P.; Jartti, A.; Paakko, E. Chest magnetic resonance imaging for pneumonia diagnosis in outpatients with lower respiratory tract infection. Eur. Respir. J. 2017, 49, 1601303. [Google Scholar] [CrossRef] [PubMed]
- Depeursinge, A.; Chin, A.S.; Leung, A.N.; Terrone, D.; Bristow, M.; Rosen, G.; Rubin, D.L. Automated Classification of Usual Interstitial Pneumonia Using Regional Volumetric Texture Analysis in High-Resolution Computed Tomography. Investig. Radiol. 2015, 50, 261–267. [Google Scholar] [CrossRef]
- Sepas-Moghaddam, A.; Pereira, F.M.; Correia, P.L. Face recognition: A novel multi-level taxonomy based survey. IET Biom. 2020, 9, 58–67. [Google Scholar] [CrossRef]
- Wang, K.; Kumar, A. Periocular-Assisted Multi-Feature Collaboration for Dynamic Iris Recognition. IEEE Trans. Inf. Forensics Secur. 2021, 16, 866–879. [Google Scholar] [CrossRef]
- Gruden, J.F.; Naidich, D.P.; Machnicki, S.C.; Cohen, S.L.; Girvin, F.; Raoof, S. An Algorithmic Approach to the Interpretation of Diffuse Lung Disease on Chest CT Imaging A Theory of Almost Everything. Chest J. Circ. Respir. Relat. Syst. 2020, 157, 612–635. [Google Scholar]
- Iqbal, K.; Odetayo, M.; James, A.; Iqbal, R.; Kumar, N.; Barma, S. An efficient image retrieval scheme for colour enhancement of embedded and distributed surveillance images. Neurocomputing 2016, 174, 413–430. [Google Scholar] [CrossRef]
- Deng, Y.; Zhang, T.; Lou, G.; Zheng, X.; Jin, J.; Han, Q.L. Deep Learning-Based Autonomous Driving Systems: A Survey of Attacks and Defenses. IEEE Trans. Ind. Inform. 2021, 17, 7897–7912. [Google Scholar] [CrossRef]
- Huang, W.; Zhang, S.; Zhang, P.; Zha, Y.; Fang, Y.; Zhang, Y. Identity-aware facial expression recognition via deep metric learning based on synthesized images. IEEE Trans. Multimed. 2021, 24, 3327–3339. [Google Scholar] [CrossRef]
- Currie, G.; Hawk, K.E.; Rohren, E.M. Ethical principles for the application of artificial intelligence (AI) in nuclear medicine. Eur. J. Nucl. Med. Mol. Imaging 2020, 47, 748–752. [Google Scholar] [CrossRef] [PubMed]
- Bhattacharjee, S.; Park, H.G.; Kim, C.H.; Prakash, D.; Madusanka, N.; So, J.H.; Cho, N.H.; Choi, H.K. Quantitative analysis of benign and malignant tumors in histopathology: Predicting prostate cancer grading using SVM. Appl. Sci. 2019, 9, 2969. [Google Scholar] [CrossRef]
- Berezo, M.; Budman, J.; Deutscher, D.; Hess, C.T.; Smith, K.; Hayes, D. Predicting Chronic Wound Healing Time Using Machine Learning. Adv. Wound Care 2022, 11, 281–296. [Google Scholar] [CrossRef]
- Kim, S.; Kosorok, M.; Arbeeva, L.; Schwartz, T.; Golightly, Y.; Nelson, A.; Callahan, L.; Allen, K. Precision medicine-based machine learning analyses to explore optimal exercise therapies for individuals with knee osteoarthritis. Osteoarthr. Cartil. 2021, 29, S397–S398. [Google Scholar] [CrossRef]
- Liang, G.; Zheng, L. A transfer learning method with deep residual network for pediatric pneumonia diagnosis. Comput. Methods Programs Biomed. 2020, 187, 104964. [Google Scholar] [CrossRef] [PubMed]
- Wang, L.; Lin, Z.Q.; Wong, A. COVID-net: A tailored deep convolutional neural network design for detection of COVID-19 cases from chest X-ray images. Sci. Rep. 2020, 10, 19549. [Google Scholar] [CrossRef] [PubMed]
- Shaban, W.M.; Rabie, A.H.; Saleh, A.I.; Abo-Elsoud, M. Detecting COVID-19 patients based on fuzzy inference engine and Deep Neural Network. Appl. Soft Comput. 2021, 99, 106906. [Google Scholar] [CrossRef]
- Ozturk, T.; Talo, M.; Yildirim, E.A.; Baloglu, U.B.; Yildirim, O.; Acharya, U.R. Automated detection of COVID-19 cases using deep neural networks with X-ray images. Comput. Biol. Med. 2020, 121, 103792. [Google Scholar] [CrossRef]
- Li, D.; Li, S. An artificial intelligence deep learning platform achieves high diagnostic accuracy for COVID-19 pneumonia by reading chest X-ray images. Iscience 2022, 25, 104031. [Google Scholar] [CrossRef]
- Bhandari, M.; Shahi, T.B.; Siku, B.; Neupane, A. Explanatory classification of CXR images into COVID-19, Pneumonia and Tuberculosis using deep learning and XAI. Comput. Biol. Med. 2022, 150, 106156. [Google Scholar] [CrossRef]
- Howard, A.; Sandler, M.; Chu, G.; Chen, L.C.; Chen, B.; Tan, M.; Wang, W.; Zhu, Y.; Pang, R.; Vasudevan, V.; et al. Searching for mobilenetv3. In Proceedings of the IEEE/CVF International Conference on Computer Vision, Seoul, Republic of Korea, 27 October–2 November 2019; Zaimis, E., Ed.; IEEE: Piscataway, NJ, USA, 2019; pp. 1314–1324. [Google Scholar]
- Selvaraju, R.R.; Cogswell, M.; Das, A.; Vedantam, R.; Parikh, D.; Batra, D. Grad-cam: Visual explanations from deep networks via gradient-based localization. In Proceedings of the IEEE International Conference on Computer Vision, Venice, Italy, 22–29 October 2017; Zaimis, E., Ed.; IEEE: Piscataway, NJ, USA, 2017; pp. 618–626. [Google Scholar]
- Simonyan, K.; Zisserman, A. Very deep convolutional networks for large-scale image recognition. arXiv 2014, arXiv:1409.1556. [Google Scholar]
- He, K.; Zhang, X.; Ren, S.; Sun, J. Deep residual learning for image recognition. In Proceedings of the IEEE Conference on Computer Vision and Pattern Recognition, Las Vegas, NV, USA, 27–30 June 2016; Zaimis, E., Ed.; IEEE: Piscataway, NJ, USA, 2016; pp. 770–778. [Google Scholar]
- Huang, G.; Liu, Z.; Van Der Maaten, L.; Weinberger, K.Q. Densely connected convolutional networks. In Proceedings of the IEEE Conference on Computer Vision and Pattern Recognition, Honolulu, HI, USA, 21–26 July 2017; Zaimis, E., Ed.; IEEE: Piscataway, NJ, USA, 2017; pp. 4700–4708. [Google Scholar]
- Szegedy, C.; Vanhoucke, V.; Ioffe, S.; Shlens, J.; Wojna, Z. Rethinking the inception architecture for computer vision. In Proceedings of the IEEE Conference on Computer Vision and Pattern Recognition, Las Vegas, NV, USA, 27–30 June 2016; Zaimis, E., Ed.; IEEE: Piscataway, NJ, USA, 2016; pp. 2818–2826. [Google Scholar]
- Kipf, T.N.; Welling, M. Semi-Supervised Classification with Graph Convolutional Networks. arXiv 2016, arXiv:1609.02907. [Google Scholar]







| Images | Stage1 | Stage2 |
|---|---|---|
| Normal | 3319 | 5974 |
| pneumonia | 2870 | 5166 |
| Total | 6189 | 11,140 |
Disclaimer/Publisher’s Note: The statements, opinions and data contained in all publications are solely those of the individual author(s) and contributor(s) and not of MDPI and/or the editor(s). MDPI and/or the editor(s) disclaim responsibility for any injury to people or property resulting from any ideas, methods, instructions or products referred to in the content. |
© 2023 by the authors. Licensee MDPI, Basel, Switzerland. This article is an open access article distributed under the terms and conditions of the Creative Commons Attribution (CC BY) license (https://creativecommons.org/licenses/by/4.0/).
Share and Cite
Wang, C.; Xu, C.; Zhang, Y.; Lu, P. Diagnosis of Chest Pneumonia with X-ray Images Based on Graph Reasoning. Diagnostics 2023, 13, 2125. https://doi.org/10.3390/diagnostics13122125
Wang C, Xu C, Zhang Y, Lu P. Diagnosis of Chest Pneumonia with X-ray Images Based on Graph Reasoning. Diagnostics. 2023; 13(12):2125. https://doi.org/10.3390/diagnostics13122125
Chicago/Turabian StyleWang, Cheng, Chang Xu, Yulai Zhang, and Peng Lu. 2023. "Diagnosis of Chest Pneumonia with X-ray Images Based on Graph Reasoning" Diagnostics 13, no. 12: 2125. https://doi.org/10.3390/diagnostics13122125
APA StyleWang, C., Xu, C., Zhang, Y., & Lu, P. (2023). Diagnosis of Chest Pneumonia with X-ray Images Based on Graph Reasoning. Diagnostics, 13(12), 2125. https://doi.org/10.3390/diagnostics13122125

