Clinical Implication and Prognostic Value of Artificial-Intelligence-Based Results of Chest Radiographs for Assessing Clinical Outcomes of COVID-19 Patients
Abstract
1. Introduction
2. Materials and Methods
2.1. Subjects and Clinical Features
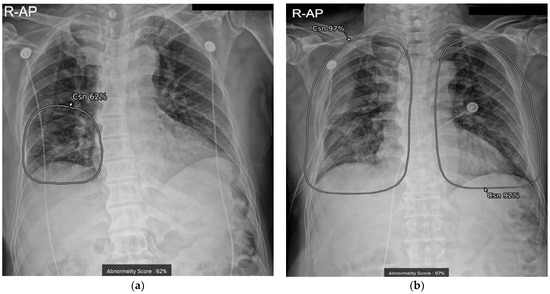
2.2. AI-Based CXR Results
2.3. Statistical Analysis
3. Results
3.1. Patients and Clinical Results
3.2. Association between Pattern of Change in Clinical and CXR Results for COVID-19 Patients
3.3. Prognostic Value of CXR and Laboratory Results for the Prediction of Outcome
4. Discussion
5. Conclusions
Author Contributions
Funding
Institutional Review Board Statement
Informed Consent Statement
Data Availability Statement
Acknowledgments
Conflicts of Interest
References
- Wiersinga, W.J.; Rhodes, A.; Cheng, A.C.; Peacock, S.J.; Prescott, H.C. Pathophysiology, transmission, diagnosis, and treatment of coronavirus disease 2019 (COVID-19): A review. Jama 2020, 324, 782–793. [Google Scholar] [CrossRef] [PubMed]
- Sharma, A.; Ahmad Farouk, I.; Lal, S.K. COVID-19: A review on the novel coronavirus disease evolution, transmission, detection, control and prevention. Viruses 2021, 13, 202. [Google Scholar] [CrossRef]
- Mushtaq, J.; Pennella, R.; Lavalle, S.; Colarieti, A.; Steidler, S.; Martinenghi, C.M.A.; Palumbo, D.; Esposito, A.; Rovere-Querini, P.; Tresoldi, M.; et al. Initial chest radiographs and artificial intelligence (ai) predict clinical outcomes in COVID-19 patients: Analysis of 697 Italian patients. Eur. Radiol. 2021, 31, 1770–1779. [Google Scholar] [CrossRef] [PubMed]
- Zhu, J.S.; Ge, P.; Jiang, C.; Zhang, Y.; Li, X.; Zhao, Z.; Zhang, L.; Duong, T.Q. Deep-learning artificial intelligence analysis of clinical variables predicts mortality in COVID-19 patients. J. Am. Coll. Emerg. Phys. Open 2020, 1, 1364–1373. [Google Scholar] [CrossRef]
- Kim, H.J.; Heo, J.; Han, D.; Oh, H.S. Validation of machine learning models to predict adverse outcomes in patients with COVID-19: A prospective pilot study. Yonsei Med. J. 2022, 63, 422–429. [Google Scholar] [CrossRef]
- Kanne, J.P.; Bai, H.; Bernheim, A.; Chung, M.; Haramati, L.B.; Kallmes, D.F.; Little, B.P.; Rubin, G.D.; Sverzellati, N. COVID-19 imaging: What we know now and what remains unknown. Radiology 2021, 299, E262–E279. [Google Scholar] [CrossRef]
- AlNuaimi, D.; AlKetbi, R. The role of artificial intelligence in plain chest radiographs interpretation during the COVID-19 pandemic. BJR Open 2022, 4, 20210075. [Google Scholar] [CrossRef]
- Jiao, Z.; Choi, J.W.; Halsey, K.; Tran, T.M.L.; Hsieh, B.; Wang, D.; Eweje, F.; Wang, R.; Chang, K.; Wu, J.; et al. Prognostication of patients with COVID-19 using artificial intelligence based on chest x-rays and clinical data: A retrospective study. Lancet Digit. Health 2021, 3, e286–e294. [Google Scholar] [CrossRef]
- Chung, J.; Kim, D.; Choi, J.; Yune, S.; Song, K.; Kim, S.; Chua, M.; Succi, M.D.; Conklin, J.; Longo, M.G.F.; et al. Prediction of oxygen requirement in patients with COVID-19 using a pre-trained chest radiograph xai model: Efficient development of auditable risk prediction models via a fine-tuning approach. Sci. Rep. 2022, 12, 21164. [Google Scholar] [CrossRef]
- Cheng, J.; Sollee, J.; Hsieh, C.; Yue, H.; Vandal, N.; Shanahan, J.; Choi, J.W.; Tran, T.M.L.; Halsey, K.; Iheanacho, F.; et al. COVID-19 mortality prediction in the intensive care unit with deep learning based on longitudinal chest X-rays and clinical data. Eur. Radiol. 2022, 32, 4446–4456. [Google Scholar] [CrossRef]
- Matsumoto, T.; Walston, S.L.; Walston, M.; Kabata, D.; Miki, Y.; Shiba, M.; Ueda, D. Deep learning-based time-to-death prediction model for COVID-19 patients using clinical data and chest radiographs. J. Digit. Imaging 2022, 36, 178–188. [Google Scholar] [CrossRef] [PubMed]
- Coronavirus Disease 2019 (COVID-19) Treatment Guidelines; National Institutes of Health (US): Bethesda, MD, USA, 2021.
- Hwang, E.J.; Goo, J.M.; Yoon, S.H.; Beck, K.S.; Seo, J.B.; Choi, B.W.; Chung, M.J.; Park, C.M.; Jin, K.N.; Lee, S.M. Use of artificial intelligence-based software as medical devices for chest radiography: A position paper from the korean society of thoracic radiology. Korean J. Radiol. 2021, 22, 1743–1748. [Google Scholar] [CrossRef] [PubMed]
- Lee, S.; Shin, H.J.; Kim, S.; Kim, E.K. Successful implementation of an artificial intelligence-based computer-aided detection system for chest radiography in daily clinical practice. Korean J. Radiol. 2022, 23, 847–852. [Google Scholar] [CrossRef] [PubMed]
- Shin, H.J.; Son, N.H.; Kim, M.J.; Kim, E.K. Diagnostic performance of artificial intelligence approved for adults for the interpretation of pediatric chest radiographs. Sci. Rep. 2022, 12, 10215. [Google Scholar] [CrossRef]
- Jin, K.N.; Kim, E.Y.; Kim, Y.J.; Lee, G.P.; Kim, H.; Oh, S.; Kim, Y.S.; Han, J.H.; Cho, Y.J. Diagnostic effect of artificial intelligence solution for referable thoracic abnormalities on chest radiography: A multicenter respiratory outpatient diagnostic cohort study. Eur. Radiol. 2022, 32, 3469–3479. [Google Scholar] [CrossRef]
- Kim, E.Y.; Kim, Y.J.; Choi, W.J.; Jeon, J.S.; Kim, M.Y.; Oh, D.H.; Jin, K.N.; Cho, Y.J. Concordance rate of radiologists and a commercialized deep-learning solution for chest x-ray: Real-world experience with a multicenter health screening cohort. PLoS ONE 2022, 17, e0264383. [Google Scholar] [CrossRef]
- Quah, J.; Liew, C.J.Y.; Zou, L.; Koh, X.H.; Alsuwaigh, R.; Narayan, V.; Lu, T.Y.; Ngoh, C.; Wang, Z.; Koh, J.Z.; et al. Chest radiograph-based artificial intelligence predictive model for mortality in community-acquired pneumonia. BMJ Open Respir. Res. 2021, 8, e001045. [Google Scholar] [CrossRef]
- Ebrahimian, S.; Homayounieh, F.; Rockenbach, M.; Putha, P.; Raj, T.; Dayan, I.; Bizzo, B.C.; Buch, V.; Wu, D.; Kim, K.; et al. Artificial intelligence matches subjective severity assessment of pneumonia for prediction of patient outcome and need for mechanical ventilation: A cohort study. Sci. Rep. 2021, 11, 858. [Google Scholar] [CrossRef]
- Becker, J.; Decker, J.A.; Römmele, C.; Kahn, M.; Messmann, H.; Wehler, M.; Schwarz, F.; Kroencke, T.; Scheurig-Muenkler, C. Artificial intelligence-based detection of pneumonia in chest radiographs. Diagnostics 2022, 12, 1465. [Google Scholar] [CrossRef]
- Kuo, M.D.; Chiu, K.W.H.; Wang, D.S.; Larici, A.R.; Poplavskiy, D.; Valentini, A.; Napoli, A.; Borghesi, A.; Ligabue, G.; Fang, X.H.B.; et al. Multi-center validation of an artificial intelligence system for detection of COVID-19 on chest radiographs in symptomatic patients. Eur. Radiol. 2023, 33, 23–33. [Google Scholar] [CrossRef]
- Wang, G.; Liu, X.; Shen, J.; Wang, C.; Li, Z.; Ye, L.; Wu, X.; Chen, T.; Wang, K.; Zhang, X.; et al. A deep-learning pipeline for the diagnosis and discrimination of viral, non-viral and COVID-19 pneumonia from chest X-ray images. Nat. Biomed. Eng. 2021, 5, 509–521. [Google Scholar] [CrossRef]
- Rahman, S.; Sarker, S.; Miraj, M.A.A.; Nihal, R.A.; Nadimul Haque, A.K.M.; Noman, A.A. Deep learning-driven automated detection of COVID-19 from radiography images: A comparative analysis. Cogn. Comput. 2021, 1–30. [Google Scholar] [CrossRef] [PubMed]
- Khan, S.H.; Sohail, A.; Khan, A.; Lee, Y.S. COVID-19 detection in chest X-ray images using a new channel boosted CNN. Diagnostics 2022, 12, 267. [Google Scholar] [CrossRef] [PubMed]
- Guo, X.; Lei, Y.; He, P.; Zeng, W.; Yang, R.; Ma, Y.; Feng, P.; Lyu, Q.; Wang, G.; Shan, H. An ensemble learning method based on ordinal regression for COVID-19 diagnosis from chest ct. Phys. Med. Biol. 2021, 66, 244001. [Google Scholar] [CrossRef] [PubMed]
- Nakashima, M.; Uchiyama, Y.; Minami, H.; Kasai, S. Prediction of COVID-19 patients in danger of death using radiomic features of portable chest radiographs. J. Med. Radiat. Sci. 2023, 70, 13–20. [Google Scholar] [CrossRef]
- Munera, N.; Garcia-Gallo, E.; Gonzalez, Á.; Zea, J.; Fuentes, Y.V.; Serrano, C.; Ruiz-Cuartas, A.; Rodriguez, A.; Reyes, L.F. A novel model to predict severe COVID-19 and mortality using an artificial intelligence algorithm to interpret chest radiographs and clinical variables. ERJ Open Res. 2022, 8, 10. [Google Scholar] [CrossRef]
- Tricarico, D.; Calandri, M.; Barba, M.; Piatti, C.; Geninatti, C.; Basile, D.; Gatti, M.; Melis, M.; Veltri, A. Convolutional neural network-based automatic analysis of chest radiographs for the detection of COVID-19 pneumonia: A prioritizing tool in the emergency department, phase i study and preliminary “real life” results. Diagnostics 2022, 12, 570. [Google Scholar] [CrossRef]
- Kim, S.J.; Roh, J.W.; Kim, S.; Park, J.Y.; Choi, D. Current state and strategy for establishing a digitally innovative hospital: Memorial review article for opening of yongin severance hospital. Yonsei Med. J. 2020, 61, 647–651. [Google Scholar] [CrossRef]
- Kwak, S.H.; Kim, E.K.; Kim, M.H.; Lee, E.H.; Shin, H.J. Incidentally found resectable lung cancer with the usage of artificial intelligence on chest radiographs. PLoS ONE 2023, 18, e0281690. [Google Scholar] [CrossRef] [PubMed]
- Shin, H.J.; Lee, S.; Kim, S.; Son, N.H.; Kim, E.K. Hospital-wide survey of clinical experience with artificial intelligence applied to daily chest radiographs. PLoS ONE 2023, 18, e0282123. [Google Scholar] [CrossRef]
- Pennisi, M.; Kavasidis, I.; Spampinato, C.; Schinina, V.; Palazzo, S.; Salanitri, F.P.; Bellitto, G.; Rundo, F.; Aldinucci, M.; Cristofaro, M.; et al. An explainable ai system for automated COVID-19 assessment and lesion categorization from CT-scans. Artif. Intell. Med. 2021, 118, 102114. [Google Scholar] [CrossRef] [PubMed]
- Nam, J.G.; Park, S.; Hwang, E.J.; Lee, J.H.; Jin, K.N.; Lim, K.Y.; Vu, T.H.; Sohn, J.H.; Hwang, S.; Goo, J.M.; et al. Development and validation of deep learning-based automatic detection algorithm for malignant pulmonary nodules on chest radiographs. Radiology 2019, 290, 218–228. [Google Scholar] [CrossRef] [PubMed]
- Shin, H.J.; Han, K.; Ryu, L.; Kim, E.K. The impact of artificial intelligence on the reading times of radiologists for chest radiographs. NPJ Digit. Med. 2023, 6, 82. [Google Scholar] [CrossRef] [PubMed]
- Park, S.H.; Han, K. Methodologic guide for evaluating clinical performance and effect of artificial intelligence technology for medical diagnosis and prediction. Radiology 2018, 286, 800–809. [Google Scholar] [CrossRef] [PubMed]
- Park, S.H.; Han, K.; Jang, H.Y.; Park, J.E.; Lee, J.G.; Kim, D.W.; Choi, J. Methods for clinical evaluation of artificial intelligence algorithms for medical diagnosis. Radiology 2023, 306, 20–31. [Google Scholar] [CrossRef]

| Number of Patients with Initial Exam/with Repeated Exams | Mean ± SD of Patients or Initial Exams | Total Number of Exams Performed during Admission (Min-Max Number of Repeated Exams in a Patient) | Mean ± SD of Total Exams | |
|---|---|---|---|---|
| AI-based abnormality scores on CXR | ||||
| Consolidation (%) | 228/136 | 36.6 ± 33.4 | 463 (1–8) | 49.7 ± 34.8 |
| Pleural effusion (%) | 228/136 | 3.2 ± 10.0 | 463 (1–8) | 3.4 ± 8.8 |
| Laboratory results | ||||
| WBC | 228/136 | 78.6 ± 570.5 | 463 (1–8) | 42 ± 402 |
| Neutrophil | 227/136 | 63.1 ± 12.6 | 462 (1–8) | 64.3 ± 13.9 |
| lymphocyte | 227/136 | 25.7 ± 10.6 | 462 (1–8) | 25.3 ± 11.6 |
| ESR | 204/41 | 42.3 ± 26.3 | 276 (1–8) | 41.7 ± 26 |
| CRP | 220/133 | 28.4 ± 37.5 | 453 (1–8) | 31.4 ± 44.3 |
| PT (s) | 141/14 | 8.7 ± 1.4 | 163 (1–5) | 8.8 ± 1.8 |
| PT (%) | 141/14 | 121.7 ± 22.4 | 163 (1–5) | 122 ± 23.2 |
| AST | 225/116 | 34.6 ± 25.1 | 431 (1–8) | 35.4 ± 27.1 |
| ALT | 223/116 | 28.8 ± 24.5 | 431 (1–8) | 33.3 ± 29 |
| Prognostic outcomes | ||||
| O2 supply period (days) | 228 | 2.6 ± 18.8 | ||
| Last SpO2 (%) | 228 | 94.7 ± 2.6 | ||
| Deterioration | 27/228 (11.8%) | |||
| AI-Based Abnormality Score on CXR (%) | Consolidation | Pleural Effusion | ||||||
|---|---|---|---|---|---|---|---|---|
| Univariate | Multivariate | Univariate | Multivariate | |||||
| Beta | p-Value | Beta | p-Value | Beta | p-Value | Beta | p-Value | |
| WBC | 0.003 | 0.393 | 0.000 | 0.962 | ||||
| Neutrophil | 0.768 | <0.001 | 0.551 | 0.241 | 0.080 | 0.040 | 0.011 | 0.926 |
| lymphocyte | −0.778 | <0.001 | 0.125 | 0.816 | −0.100 | 0.032 | −0.088 | 0.537 |
| ESR | 0.584 | <0.001 | 0.417 | <0.001 | 0.015 | 0.456 | ||
| CRP | 0.239 | <0.001 | 0.231 | 0.001 | 0.013 | 0.257 | ||
| PT (s) | −0.816 | 0.697 | −0.071 | 0.866 | ||||
| PT (%) | 0.016 | 0.922 | −0.009 | 0.749 | ||||
| AST | 0.201 | <0.001 | 0.036 | 0.648 | 0.001 | 0.972 | ||
| ALT | 0.069 | 0.367 | −0.013 | 0.506 | ||||
| Outcomes (n = 228) | Total O2 Supply Period (Days) | Last SpO2 (%) | Deterioration | |||||||||||
|---|---|---|---|---|---|---|---|---|---|---|---|---|---|---|
| Univariate | Multivariate | Univariate | Multivariate | Univariate | Multivariate | |||||||||
| Beta | p-Value | Beta | p-Value | Beta | p-Value | Beta | p-Value | OR | 95% CI | p-Value | OR | 95% CI | p-Value | |
| AI-based abnormality scores on CXR (%) | ||||||||||||||
| Consolidation | 0.129 | <0.001 | 0.053 | 0.295 | −0.035 | <0.001 | −0.018 | 0.024 | 1.031 | 1.018–1.045 | <0.001 | 1.015 | 0.998–1.033 | 0.087 |
| Pleural effusion | 0.189 | 0.129 | −0.053 | 0.019 | −0.019 | 0.342 | 1.016 | 0.987–1.045 | 0.297 | |||||
| Laboratory results | ||||||||||||||
| WBC | 0.007 | 0.001 | 0.005 | 0.022 | −0.001 | 0.014 | 0.000 | 0.254 | 1.000 | 1.000–1.001 | 0.058 | |||
| Neutrophil | 0.329 | 0.001 | 0.168 | 0.605 | −0.074 | <0.001 | 0.056 | 0.266 | 0.162 | 1.074–1.182 | <0.001 | 1.076 | 0.926–1.251 | 0.339 |
| Lymphocyte | −0.352 | 0.003 | 0.023 | 0.95 | 0.092 | <0.001 | 0.098 | 0.095 | 0.06 | 0.833–0.934 | <0.001 | 1.006 | 0.841–1.203 | 0.946 |
| ESR | 0.112 | 0.031 | 0.034 | 0.565 | −0.019 | 0.032 | 0.006 | 0.529 | 0.593 | 1.008–1.040 | 0.003 | 1.003 | 0.982–1.025 | 0.778 |
| CRP | 0.128 | <0.001 | 0.042 | 0.369 | −0.034 | <0.001 | −0.02 | 0.007 | 1.021 | 1.012–1.030 | <0.001 | 1.015 | 0.998–1.033 | 0.087 |
| PT (s) | 0.437 | 0.76 | 0.024 | 0.914 | 0.927 | 0.593–1.450 | 0.74 | |||||||
| PT (%) | −0.076 | 0.388 | 0.015 | 0.261 | 0.995 | 0.976–1.014 | 0.598 | |||||||
| AST | −0.037 | <0.001 | 0.007 | 0.669 | 1.01 | 0.998–1.022 | 0.101 | |||||||
| ALT | −0.033 | <0.001 | −0.37 | 0.023 | 1.005 | 0.992–1.019 | 0.444 | |||||||
| Outcomes (n = 136) | Total O2 Supply Period (Days) | Last SpO2 (%) | Deterioration | |||||||||
|---|---|---|---|---|---|---|---|---|---|---|---|---|
| Univariate | Multivariate | Univariate | Multivariate | Univariate | Multivariate | |||||||
| Beta | p-Value | Beta | p-Value | Beta | p-Value | Beta | p-Value | Beta | p-Value | Beta | p-Value | |
| Consolidation | 0.007 | <0.001 | 0.005 | 0.013 | −0.027 | <0.001 | −0.018 | 0.037 | 0.017 | 0.01 | 0.009 | 0.215 |
| Pleural effusion | 0.015 | 0.147 | −0.046 | 0.101 | 0 | 0.986 | ||||||
| WBC | 0 | 0.964 | −0.001 | 0.137 | 0.001 | 0.215 | ||||||
| Neutrophil | 0.012 | 0.035 | 0.005 | 0.294 | −0.052 | 0.004 | 0.005 | 0.933 | 0.05 | 0.002 | 0.058 | 0.312 |
| Lymphocyte | −0.013 | 0.054 | 0.058 | 0.006 | 0.03 | 0.675 | −0.053 | 0.009 | 0.045 | 0.504 | ||
| CRP | 0.005 | 0.002 | 0.003 | 0.009 | −0.02 | <0.001 | −0.012 | 0.047 | 0.013 | <0.001 | 0.009 | 0.018 |
| Outcomes (n = 136) | Total O2 Supply Period (Days) | Last SpO2 (%) | Deterioration | |||
|---|---|---|---|---|---|---|
| Univariate | Univariate | Univariate | ||||
| Beta | p-Value | Beta | p-Value | OR | 95% CI | |
| Consolidation | 0.001 | 0.729 | −0.001 | 0.815 | 1.017 a | 1.005–1.03 |
| Pleural effusion | 0.012 | 0.443 | 0.011 | 0.839 | 1.12 | 0.985–1.274 |
| WBC | 0 | 0.717 | 0 | 0.312 | 1 | 0.999–1.000 |
| Neutrophil | 0.004 | 0.273 | 0.001 | 0.952 | 0.993 | 0.966–1.019 |
| Lymphocyte | −0.001 | 0.851 | −0.008 | 0.578 | 1.012 | 0.983–1.042 |
| CRP | 0 | 0.742 | −0.002 | 0.597 | 1.008 | 0.998–1.019 |
Disclaimer/Publisher’s Note: The statements, opinions and data contained in all publications are solely those of the individual author(s) and contributor(s) and not of MDPI and/or the editor(s). MDPI and/or the editor(s) disclaim responsibility for any injury to people or property resulting from any ideas, methods, instructions or products referred to in the content. |
© 2023 by the authors. Licensee MDPI, Basel, Switzerland. This article is an open access article distributed under the terms and conditions of the Creative Commons Attribution (CC BY) license (https://creativecommons.org/licenses/by/4.0/).
Share and Cite
Shin, H.J.; Kim, M.H.; Son, N.-H.; Han, K.; Kim, E.-K.; Kim, Y.C.; Park, Y.S.; Lee, E.H.; Kyong, T. Clinical Implication and Prognostic Value of Artificial-Intelligence-Based Results of Chest Radiographs for Assessing Clinical Outcomes of COVID-19 Patients. Diagnostics 2023, 13, 2090. https://doi.org/10.3390/diagnostics13122090
Shin HJ, Kim MH, Son N-H, Han K, Kim E-K, Kim YC, Park YS, Lee EH, Kyong T. Clinical Implication and Prognostic Value of Artificial-Intelligence-Based Results of Chest Radiographs for Assessing Clinical Outcomes of COVID-19 Patients. Diagnostics. 2023; 13(12):2090. https://doi.org/10.3390/diagnostics13122090
Chicago/Turabian StyleShin, Hyun Joo, Min Hyung Kim, Nak-Hoon Son, Kyunghwa Han, Eun-Kyung Kim, Yong Chan Kim, Yoon Soo Park, Eun Hye Lee, and Taeyoung Kyong. 2023. "Clinical Implication and Prognostic Value of Artificial-Intelligence-Based Results of Chest Radiographs for Assessing Clinical Outcomes of COVID-19 Patients" Diagnostics 13, no. 12: 2090. https://doi.org/10.3390/diagnostics13122090
APA StyleShin, H. J., Kim, M. H., Son, N.-H., Han, K., Kim, E.-K., Kim, Y. C., Park, Y. S., Lee, E. H., & Kyong, T. (2023). Clinical Implication and Prognostic Value of Artificial-Intelligence-Based Results of Chest Radiographs for Assessing Clinical Outcomes of COVID-19 Patients. Diagnostics, 13(12), 2090. https://doi.org/10.3390/diagnostics13122090

