Lung Ultrasonography Is an Acceptable Imaging Modality to Diagnose COVID-19 and Effectively Correlates with HRCT Chest—A Prospective Study
Abstract
1. Introduction
2. Materials and Methods
2.1. Initial Patient Assessment
2.2. Ultrasound Data Collection
2.3. Outcome Measures and Definitions
2.4. Statistical Analysis
2.5. Aim
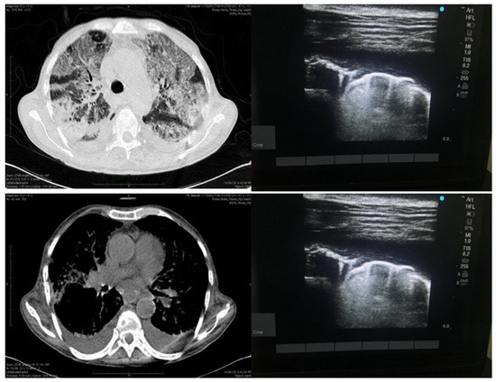
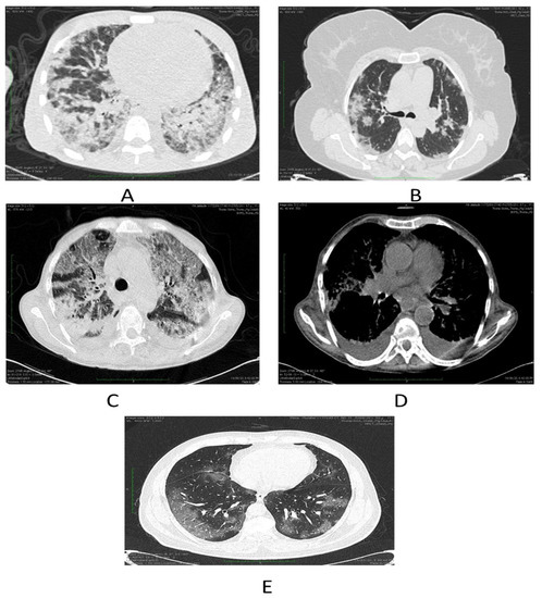
3. Results
4. Discussion
Limitations
5. Conclusions
Author Contributions
Funding
Institutional Review Board Statement
Informed Consent Statement
Data Availability Statement
Acknowledgments
Conflicts of Interest
References
- Lai, C.C.; Shih, T.P.; Ko, W.C.; Tang, H.J.; Hsueh, P.R. Severe acute respiratory syndrome coronavirus 2 (SARS-CoV-2) and coronavirus disease-2019 (COVID-19): The epidemic and the challenges. Int. J. Antimicrob. Agents 2020, 55, 105924. [Google Scholar] [CrossRef] [PubMed]
- Odiwuor, N.; Xiong, J.; Ogolla, F.; Hong, W.; Li, X.; Khan, F.M.; Wang, N.; Yu, J.; Wei, H. A point-of-care SARS-CoV-2 test based on reverse transcription loop-mediated isothermal amplification without RNA extraction with diagnostic performance same as RT-PCR. Anal. Chim. Acta 2022, 1200, 339590. [Google Scholar] [CrossRef] [PubMed]
- Rousan, L.A.; Elobeid, E.; Karrar, M.; Khader, Y. Chest X-ray findings and temporal lung changes in patients with COVID-19 pneumonia. BMC Pulm. Med. 2020, 20, 245. [Google Scholar] [CrossRef] [PubMed]
- Smallwood, N.; Harrex, W.; Rees, M.; Willis, K.; Bennett, C.M. COVID-19 infection and the broader impacts of the pandemic on healthcare workers. Respirology 2022, 27, 411–426. [Google Scholar] [CrossRef] [PubMed]
- Pontone, G.; Scafuri, S.; Mancini, M.E.; Agalbato, C.; Guglielmo, M.; Baggiano, A.; Muscogiuri, G.; Fusini, L.; Andreini, D.; Mushtaq, S.; et al. Role of computed tomography in COVID-19. J. Cardiovasc. Comput. Tomogr. 2021, 15, 27–36. [Google Scholar] [CrossRef] [PubMed]
- Power, S.P.; Moloney, F.; Twomey, M.; James, K.; O’Connor, O.J.; Maher, M.M. Computed tomography and patient risk: Facts, perceptions and uncertainties. World J. Radiol. 2016, 8, 902. [Google Scholar] [CrossRef] [PubMed]
- Frane, N.; Bitterman, A. Radiation safety and protection. In StatPearls [Internet]; StatPearls Publishing: Treasure Island, FL, USA, 2022. [Google Scholar]
- Huygh, J.; Peeters, Y.; Bernards, J.; Malbrain, M.L. Hemodynamic monitoring in the critically ill: An overview of current cardiac output monitoring methods. F1000Research 2016, 5, 2855. [Google Scholar] [CrossRef] [PubMed]
- Demi, L.; Wolfram, F.; Klersy, C.; De Silvestri, A.; Ferretti, V.V.; Muller, M.; Miller, D.; Feletti, F.; Wełnicki, M.; Buda, N.; et al. New international guidelines and consensus on the use of lung ultrasound. J. Ultrasound Med. 2023, 42, 309–344. [Google Scholar] [CrossRef] [PubMed]
- Kanne, J.P.; Bai, H.; Bernheim, A.; Chung, M.; Haramati, L.B.; Kallmes, D.F.; Little, B.P.; Rubin, G.; Sverzellati, N. COVID-19 imaging: What we know now and what remains unknown. Radiology 2021, 299, E262–E279. [Google Scholar] [CrossRef] [PubMed]
- Zander, D.; Hüske, S.; Hoffmann, B.; Cui, X.W.; Dong, Y.; Lim, A.; Jenssen, C.; Löwe, A.; Koch, J.B.; Dietrich, C.F. Ultrasound image optimization (“knobology”): B-mode. Ultrasound Int. Open 2020, 6, E14–E24. [Google Scholar] [CrossRef] [PubMed]
- Roberts, M.; Driggs, D.; Thorpe, M.; Gilbey, J.; Yeung, M.; Ursprung, S.; Aviles-Rivero, A.I.; Etmann, C.; McCague, C.; Beer, L.; et al. Common pitfalls and recommendations for using machine learning to detect and prognosticate for COVID-19 using chest radiographs and CT scans. Nat. Mach. Intell. 2021, 3, 199–217. [Google Scholar] [CrossRef]
- Tung-Chen, Y.; de Gracia, M.M.; Díez-Tascón, A.; Alonso-González, R.; Agudo-Fernández, S.; Parra-Gordo, M.L.; Ossaba-Velez, S.; Rodríguez-Fuertes, P.; Llamas-Fuentes, R. Correlation between chest computed tomography and lung ultrasonography in patients with coronavirus disease 2019 (COVID-19). Ultrasound Med. Biol. 2020, 46, 2918–2926. [Google Scholar] [CrossRef] [PubMed]
- Abbasi-Oshaghi, E.; Mirzaei, F.; Farahani, F.; Khodadadi, I.; Tayebinia, H. Diagnosis and treatment of coronavirus disease 2019 (COVID-19): Laboratory, PCR, and chest CT imaging findings. Int. J. Surg. 2020, 79, 143–153. [Google Scholar] [CrossRef] [PubMed]
- Ai, T.; Yang, Z.; Hou, H.; Zhan, C.; Chen, C.; Lv, W.; Tao, Q.; Sun, Z.; Xia, L. Correlation of chest CT and RT-PCR testing for coronavirus disease 2019 (COVID-19) in China: A report of 1014 cases. Radiology 2020, 296, E32–E40. [Google Scholar] [CrossRef] [PubMed]
- Ohana, O.; Soffer, S.; Zimlichman, E.; Klang, E. Overuse of CT and MRI in paediatric emergency departments. Br. J. Radiol. 2018, 91, 20170434. [Google Scholar] [CrossRef] [PubMed]
- Li, K.; Fang, Y.; Li, W.; Pan, C.; Qin, P.; Zhong, Y.; Liu, X.; Huang, M.; Liao, Y.; Li, S. CT image visual quantitative evaluation and clinical classification of coronavirus disease (COVID-19). Eur. Radiol. 2020, 30, 4407–4416. [Google Scholar] [CrossRef] [PubMed]
- Lieveld, A.W.; Kok, B.; Schuit, F.H.; Azijli, K.; Heijmans, J.; van Laarhoven, A.; Assman, N.L.; Kootte, R.S.; Olgers, T.J.; Nanayakkara, P.W.; et al. Diagnosing COVID-19 pneumonia in a pandemic setting: Lung Ultrasound versus CT (LUVCT)—A multicentre, prospective, observational study. ERJ Open Res. 2020, 6, 539–2020. [Google Scholar] [CrossRef] [PubMed]
- Fiorito, I.; Gori, G.; Perrone, T.; Mascolo, A.; Caimmi, S.; Palumbo, I.; De Silvestri, A.; Delliponti, M.; Di Sabatino, A.; Marseglia, G.L. ECHOPAEDIA: Echography in Paediatric Patients in the Age of Coronavirus Disease 2019: Utility of Lung Ultrasound and Chest X-ray in Diagnosis of Community-Acquired Pneumonia and Severe Acute Respiratory Syndrome Coronavirus 2 Pneumonia. Front. Pediatr. 2022, 10, 46. [Google Scholar] [CrossRef] [PubMed]
- Cantinotti, M.; Giordano, R.; Scalese, M.; Marchese, P.; Franchi, E.; Viacava, C.; Molinaro, S.; Assanta, N.; Koestenberger, M.; Kutty, S.; et al. Prognostic value of a new lung ultrasound score to predict intensive care unit stay in pediatric cardiac surgery. Ann. Thorac. Surg. 2020, 109, 178–184. [Google Scholar] [CrossRef] [PubMed]
- Shi, S.; Qin, M.; Shen, B.; Cai, Y.; Liu, T.; Yang, F.; Gong, W.; Liu, X.; Liang, J.; Zhao, Q.; et al. Association of cardiac injury with mortality in hospitalized patients with COVID-19 in Wuhan, China. JAMA Cardiol. 2020, 5, 802–810. [Google Scholar] [CrossRef] [PubMed]



![]() | ||
|---|---|---|
| Demographic and Baseline Characteristics | ||
| Age (years) | Frequency | Percentage |
| <=20 years | 01 | 0.66% |
| 21–40 years | 26 | 17.11% |
| 41–60 years | 86 | 56.58% |
| 61–80 years | 37 | 24.34% |
| >80 years | 02 | 01.32% |
| Mean ± SD | 52.9 ± 13.7 | |
| Median (25th–75th percentile) | 50 (45–61.25) | |
| Range | 18–88 | |
| Gender | ||
| Female | 54 | 35.53% |
| Male | 98 | 64.47% |
| Diabetics | 37 | 24.34% |
| Imaging Modality | n (%) | ||
|---|---|---|---|
| Chest Computed Tomography (n = 152) | |||
| COVID-19 suggestive | 110 (72.37) | ||
| Pleural thickening | 3 (1.97) | ||
| Ground-glass opacity | 110 (72.37) | ||
| Septal thickening | 53 (34.87) | ||
| Crazy paving | 30 (19.74) | ||
| Subpleural consolidation | 30 (19.74) | ||
| Pleural effusion | 36 (23.68) | ||
| COVID-19 phenotypes (n = 110) | |||
| Phenotype 1 | 52 (47.27) | ||
| Phenotype 2 | 25 (22.73) | ||
| Phenotype 3 | 2 (1.82) | ||
| Distribution (n = 152) | |||
| Peripheral | 69 (45.39) | ||
| Diffuse | 21 (13.82) | ||
| Central and peripheral | 21 (13.82) | ||
| Central | 6 (3.95) | ||
| Normal | 36 (23.68) | ||
| CT total severity score (Mean ± SD) | 11.63 ± 4.06 | ||
| Mild | 77 (50.66) | ||
| Moderate | 68 (44.74) | ||
| Severe | 7 (4.61) | ||
| CT pulmonary angiogram (n = 152) | 63 (41.45) | ||
| Pulmonary embolism | 21 (13.82) | ||
| Lung ultrasonography (n = 152) | |||
| COVID-19 suggestive | 120 (78.95) | ||
| Right pleural effusion | 24 (15.79) | ||
| Left pleural effusion | 21 (13.82) | ||
| Pericardial effusion | 39 (25.66) | ||
| Lung score, (Mean ± SD) | 11.6 ± 4.3 | ||
| Chest X-ray results, n = 84 | |||
| COVID-19 suggestive | 48 (57.14) | ||
| Ground-glass opacity | 36 (42.86) | ||
| Interstitial pattern | 39 (46.43) | ||
| Affected Zone | IP/IBL | CBL | C |
| 1 (right upper anterior) | 27 | 12 | 24 |
| 2 (right lower anterior) | 36 | 27 | 9 |
| 3 (right upper lateral) | 30 | 30 | 12 |
| 4 (right lower lateral) | 42 | 30 | 9 |
| 5 (left upper anterior) | 33 | 12 | 18 |
| 6 (left lower anterior) | 27 | 12 | 15 |
| 7 (left upper lateral) | 24 | 24 | 18 |
| 8 (left lower lateral) | 39 | 27 | 6 |
| 9 (right upper posterior) | 24 | 18 | 27 |
| 10 (right lower posterior) | 39 | 15 | 57 |
| 11 (left upper posterior) | 21 | 15 | 18 |
| 12 (left lower posterior) | 39 | 15 | 54 |
| LUS | CTSS | Total | Kappa | p-Value | ||
|---|---|---|---|---|---|---|
| Mild 0–11 | Moderate 12–18 | Severe >18 | ||||
| Mild | 59 | 07 | 02 | 68 | ||
| Moderate | 12 | 37 | 02 | 51 | 0.431 | <0.0001 |
| Severe | 06 | 24 | 03 | 33 | ||
| Total | 77 | 68 | 07 | 152 | ||
| Computed Tomography | Lung Ultrasonography |
|---|---|
| Sensitivity (95% CI) | 88% (78.44% to 94.36%) |
| Specificity (95% CI) | 76.62% (65.59% to 85.52%) |
| AUC (95% CI) | 0.82 (0.75 to 0.88) |
| Positive Predictive Value (95% CI) | 78.57% (68.26% to 86.78%) |
| Negative Predictive Value (95% CI) | 86.76% (76.36% to 93.77%) |
| Diagnostic accuracy | 82.24% |
Disclaimer/Publisher’s Note: The statements, opinions and data contained in all publications are solely those of the individual author(s) and contributor(s) and not of MDPI and/or the editor(s). MDPI and/or the editor(s) disclaim responsibility for any injury to people or property resulting from any ideas, methods, instructions or products referred to in the content. |
© 2023 by the authors. Licensee MDPI, Basel, Switzerland. This article is an open access article distributed under the terms and conditions of the Creative Commons Attribution (CC BY) license (https://creativecommons.org/licenses/by/4.0/).
Share and Cite
Bashir, M.; Inzamam, W.; Banday, M.K.; Rasool, S.R.; Bhat, M.H.; Vladulescu, C.; Al-Misned, F.A.; El-Serehy, H.A. Lung Ultrasonography Is an Acceptable Imaging Modality to Diagnose COVID-19 and Effectively Correlates with HRCT Chest—A Prospective Study. Diagnostics 2023, 13, 2091. https://doi.org/10.3390/diagnostics13122091
Bashir M, Inzamam W, Banday MK, Rasool SR, Bhat MH, Vladulescu C, Al-Misned FA, El-Serehy HA. Lung Ultrasonography Is an Acceptable Imaging Modality to Diagnose COVID-19 and Effectively Correlates with HRCT Chest—A Prospective Study. Diagnostics. 2023; 13(12):2091. https://doi.org/10.3390/diagnostics13122091
Chicago/Turabian StyleBashir, Muiez, Wani Inzamam, Mohd Kamran Banday, Sheikh Riaz Rasool, Mudasir Hamid Bhat, Carmen Vladulescu, Fahad A. Al-Misned, and Hamed A. El-Serehy. 2023. "Lung Ultrasonography Is an Acceptable Imaging Modality to Diagnose COVID-19 and Effectively Correlates with HRCT Chest—A Prospective Study" Diagnostics 13, no. 12: 2091. https://doi.org/10.3390/diagnostics13122091
APA StyleBashir, M., Inzamam, W., Banday, M. K., Rasool, S. R., Bhat, M. H., Vladulescu, C., Al-Misned, F. A., & El-Serehy, H. A. (2023). Lung Ultrasonography Is an Acceptable Imaging Modality to Diagnose COVID-19 and Effectively Correlates with HRCT Chest—A Prospective Study. Diagnostics, 13(12), 2091. https://doi.org/10.3390/diagnostics13122091


