Detection and Classification of Histopathological Breast Images Using a Fusion of CNN Frameworks
Abstract
1. Introduction
- A fusion-based CNN model is presented here for the purpose of classifying the histology of breast cancer.
- The presented models are applied in clinical and biomedical research with the goal of developing a successful identification method for breast cancer in breast tissue.
- The models that have been built are predicated respectively on the convolutional neural network (CNN) model, the fusion of two CNNs (often referred to as 2-CNN), and three CNNs (3-CNN).
Related Work
2. Material and Methods
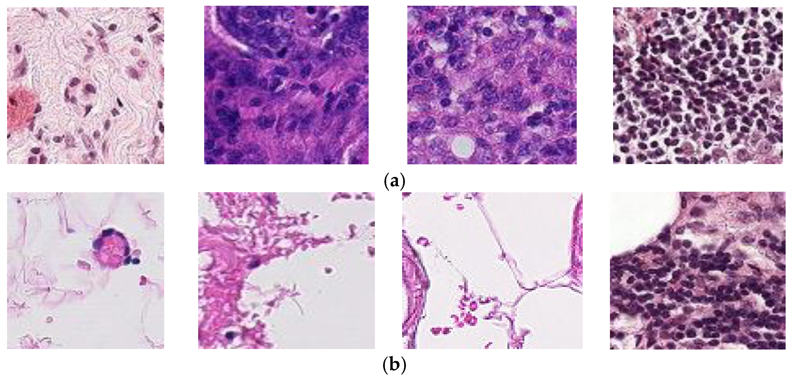
2.1. Dataset and Image Augmentation Methods
2.2. Proposed Model
- A.
- The 1-CNN model
- Two convolutional layers, each having 32 filters and a kernel size of (3, 3), with the ReLU serving as the activation function. One of the convolutional layers has 32 filters with a kernel size of (3, 3).
- A maximum pooling layer with the pool size set equal to (2, 2)
- A layer with dropouts refers to the process of ignoring neurons during the training step of a randomly selected neurons set; the rate that we use is 0.25.
- A flattened layer.
- A dense layer where all one-layer inputs are connected to each succeeding layer’s activation functions. The dense layer has 64 levels with the ReLU serving as an activation function.
- Another dropout layer having a rate of 0.5.
- A dropout layer that has an activation function that is sigmoid.
- The number of epochs is a hyperparameter that controls how many times the training process will iterate. When we talk about an epoch, we imply that every single training dataset has been given the chance to bring the parameters of the internal model up to date. In the course of our research, we utilized a total of thirty epochs.
- B.
- The 2-CNN model
- C.
- The 3-CNN model
- D.
- Optimizer
2.3. Experimental Setup
3. Results
3.1. Performance Metrics
- TP: These are the positive values that have been accurately predicted, which indicates that the value of the real class is yes and that the value of the predicted class is also yes.
- TN: These are the negative values that have been successfully predicted, which indicates that the value of the real class is “no,” and that the value of the predicted class is also “no.”
- Both false positives and false negatives can arise in situations where the actual class does not match the class that was expected.
- FP: This situation occurs when the actual class is not yes but yes for the predicted class.
- FN: This situation occurs when the actual class is yes but the projected class is no.
- With the help of this matrix, it is easier to understand why the categorization model generates inaccurate predictions. This gives you an idea of the mistakes that are being made, as well as the categories of errors.
3.2. Confusion Matrix
3.3. ROC
3.4. Accuracy, Recall, Precision, and F1-Score
3.5. MCC Analysis
3.6. Time Complexity
4. Discussion
5. Conclusions
Author Contributions
Funding
Institutional Review Board Statement
Informed Consent Statement
Data Availability Statement
Acknowledgments
Conflicts of Interest
Abbreviations
| DL | Deep learning |
| AI | Artificial intelligence |
| ML | Machine learning |
| GPU | Graphics processing unit |
| RNN | Recurrent neural networks |
| LSTM | Long short-term memory |
| CNN | Convolutional neural network |
References
- Ou, F.S.; Michiels, S.; Shyr, Y.; Adjei, A.A.; Oberg, A.L. Biomarker Discovery and Validation: Statistical Considerations. J. Thorac. Oncol. 2021, 16, 537–545. [Google Scholar] [CrossRef]
- Amethiya, Y.; Pipariya, P.; Patel, S.; Shah, M. Comparative Analysis of Breast Cancer Detection Using Machine Learning and Biosensors. Intell. Med. 2022, 2, 69–81. [Google Scholar] [CrossRef]
- Solanki, Y.S.; Chakrabarti, P.; Jasinski, M.; Leonowicz, Z.; Bolshev, V.; Vinogradov, A.; Jasinska, E.; Gono, R.; Nami, M. A Hybrid Supervised Machine Learning Classifier System for Breast Cancer Prognosis Using Feature Selection and Data Imbalance Handling Approaches. Electronics 2021, 10, 699. [Google Scholar] [CrossRef]
- Chaurasia, V.; Pal, S.; Tiwari, B.B. Prediction of Benign and Malignant Breast Cancer Using Data Mining Techniques. J. Algorithm Comput. Technol. 2018, 12, 119–126. [Google Scholar] [CrossRef]
- Roslidar, R.; Rahman, A.; Muharar, R.; Syahputra, M.R.; Arnia, F.; Syukri, M.; Pradhan, B.; Munadi, K. A Review on Recent Progress in Thermal Imaging and Deep Learning Approaches for Breast Cancer Detection. IEEE Access. 2020, 8, 116176–116194. [Google Scholar] [CrossRef]
- Guo, R.; Lu, G.; Qin, B.; Fei, B. Ultrasound Imaging Technologies for Breast Cancer Detection and Management: A Review. Ultrasound Med. Biol. 2018, 44, 37–70. [Google Scholar] [CrossRef] [PubMed]
- Singh, S.P.; Urooj, S.; Lay-Ekuakille, A. Breast Cancer Detection Using PCPCET and ADEWNN: A Geometric Invariant Approach to Medical X-Ray Image Sensors. IEEE Sens. J. 2016, 16, 4847–4855. [Google Scholar] [CrossRef]
- Mohamed, W.A.; Kadah, Y.M. Computer Aided Diagnosis of Digital Mammograms. In Proceedings of the ICCES’07—2007 International Conference on Computer Engineering and Systems, Cairo, Egypt, 27–29 November 2007; pp. 299–303. [Google Scholar]
- Abduh, Z.; Wahed, M.A.; Kadah, Y.M. Robust Computer-Aided Detection of Pulmonary Nodules from Chest Computed Tomography. J. Med. Imaging Health Inf. 2016, 6, 693–699. [Google Scholar] [CrossRef]
- Alhussan, A.; Abdel Samee, N.; Ghoneim, V.; Kadah, Y. Evaluating Deep and Statistical Machine Learning Models in the Classification of Breast Cancer from Digital Mammograms. (IJACSA) Int. J. Adv. Comput. Sci. Appl. 2021, 12, 304–313. [Google Scholar] [CrossRef]
- Mohamed, W.A.; Alolfe, M.A.; Kadah, Y.M. Microcalcifications Enhancement in Digital Mammograms Using Fractal Modeling. In Proceedings of the 2008 Cairo International Biomedical Engineering Conference, CIBEC 2008, Cairo, Egypt, 18–20 December 2008. [Google Scholar]
- Alolfe, M.A.; Youssef, A.B.M.; Kadah, Y.M.; Mohamed, A.S. Development of a Computer-Aided Classification System for Cancer Detection from Digital Mammograms. In Proceedings of the National Radio Science Conference, NRSC, Tanta, Egypt, 18–20 March 2008. [Google Scholar]
- Alolfe, M.A.; Mohamed, W.A.; Youssef, A.B.M.; Mohamed, A.S.; Kadah, Y.M. Computer Aided Diagnosis in Digital Mammography Using Combined Support Vector Machine and Linear Discriminant Analyasis Classification. In Proceedings of the Proceedings—International Conference on Image Processing, Cairo, Egypt, 7–10 November 2009; IEEE Computer Society: Washington, DC, USA, 2009; pp. 2609–2612. [Google Scholar]
- Al-antari, M.A.; Al-masni, M.A.; Park, S.U.; Park, J.H.; Metwally, M.K.; Kadah, Y.M.; Han, S.M.; Kim, T.S. An Automatic Computer-Aided Diagnosis System for Breast Cancer in Digital Mammograms via Deep Belief Network. J. Med. Biol. Eng. 2018, 38, 443–456. [Google Scholar] [CrossRef]
- Basurto-Hurtado, J.A.; Cruz-Albarran, I.A.; Toledano-Ayala, M.; Ibarra-Manzano, M.A.; Morales-Hernandez, L.A.; Perez-Ramirez, C.A. Diagnostic Strategies for Breast Cancer Detection: From Image Generation to Classification Strategies Using Artificial Intelligence Algorithms. Cancers 2022, 14, 3442. [Google Scholar] [CrossRef] [PubMed]
- Brooks, A.D.; Nover, A.B.; Jagtap, S.; Anjum, W.; Yegingil, H.; Shih, W.Y.; Shih, W.H. Modern Breast Cancer Detection: A Technological Review. Int. J. Biomed. Imaging 2009, 2009, 1–14. [Google Scholar] [CrossRef]
- Abdel Samee, N.M. Classical and Deep Learning Paradigms for Detection and Validation of Key Genes of Risky Outcomes of HCV. Algorithms 2020, 13, 73. [Google Scholar] [CrossRef]
- Samee, N.A.; Atteia, G.; Alkanhel, R.; Alhussan, A.A.; AlEisa, H.N. Hybrid Feature Reduction Using PCC-Stacked Autoencoders for Gold/Oil Prices Forecasting under COVID-19 Pandemic. Electronics 2022, 11, 991. [Google Scholar] [CrossRef]
- Abdel Samee, N.M.; Solouma, N.H.; Kadah, Y.M. Detection of Biomarkers for Hepatocellular Carcinoma Using a Hybrid Univariate Gene Selection Methods. Theor. Biol. Med. Model. 2012, 9, 34. [Google Scholar] [CrossRef]
- Nawaz, A.; Abbas, Y.; Ahmad, T.; Mahmoud, N.F.; Rizwan, A.; Samee, N.A. A Healthcare Paradigm for Deriving Knowledge Using Online Consumers’ Feedback. Healthcare 2022, 10, 1592. [Google Scholar] [CrossRef]
- Xu, J.; Li, C.; Zhou, Y.; Mou, L.; Zheng, H.; Wang, S. Classifying Mammographic Breast Density by Residual Learning. arXiv 2018, arXiv:1809.10241. [Google Scholar]
- Ismail, N.; Sovuthy, C. Breast Cancer Detection Based on Deep. Learning Technique. In Proceedings of the 2019 International UNIMAS STEM 12th Engineering Conference (EnCon), Kuching, Malaysia, 28–29 August 2019; pp. 89–92. [Google Scholar]
- Kourou, K.; Exarchos, T.P.; Exarchos, K.P.; Karamouzis, M.V.; Fotiadis, D.I. Machine Learning Applications in Cancer Prognosis and Prediction. Comput. Struct. Biotechnol. J. 2015, 13, 8–17. [Google Scholar] [CrossRef] [PubMed]
- Kadah, Y.M.; Farag, A.A.; Zurada, J.M.; Badawi, A.M.; Youssef, A.B.M. Classification Algorithms for Quantitative Tissue Characterization of Diffuse Liver Disease from Ultrasound Images. IEEE Trans. Med. Imaging 1996, 15, 466–478. [Google Scholar] [CrossRef]
- Zhang, H.; Han, L.; Chen, K.; Peng, Y.; Lin, J. Diagnostic Efficiency of the Breast Ultrasound Computer-Aided Prediction Model Based on Convolutional Neural Network in Breast Cancer. J. Digit. Imaging 2020, 33, 1218–1223. [Google Scholar] [CrossRef]
- Fathy, W.E.; Ghoneim, A.S. A Deep Learning Approach for Breast Cancer Mass Detection. Int. J. Adv. Comput. Sci. Appl. 2019, 10, 175–182. [Google Scholar] [CrossRef]
- Lévy, D.; Jain, A. Breast Mass Classification from Mammograms Using Deep Convolutional Neural Networks. arXiv 2016, arXiv:1612.00542. [Google Scholar]
- Tan, Y.J.; Sim, K.S.; Ting, F.F. Breast Cancer Detection Using Convolutional Neural Networks for Mammogram Imaging System. In Proceedings of the 2017 International Conference on Robotics, Automation and Sciences, ICORAS 2017, Virtual, 20–22 November 2020; Institute of Electrical and Electronics Engineers Inc.: New York, NY, USA, 2018; pp. 1–5. [Google Scholar]
- Samee, N.A.; Atteia, G.; Meshoul, S.; Al-Antari, M.A.; Kadah, Y.M. Deep Learning Cascaded Feature Selection Framework for Breast Cancer Classification: Hybrid CNN with Univariate-Based Approach. Mathematics 2022, 10, 3631. [Google Scholar] [CrossRef]
- Samee, N.A.; Alhussan, A.A.; Ghoneim, V.F.; Atteia, G.; Alkanhel, R.; Al-antari, M.A.; Kadah, Y.M. A Hybrid Deep Transfer Learning of CNN-Based LR-PCA for Breast Lesion Diagnosis via Medical Breast Mammograms. Sensors 2022, 22, 4938. [Google Scholar] [CrossRef]
- Falconi, L.G.; Perez, M.; Aguilar, W.G. Transfer Learning in Breast Mammogram Abnormalities Classification with Mobilenet and Nasnet. In Proceedings of the International Conference on Systems, Signals, and Image Processing, Osijek, Croatia, 5–7 June 2019; IEEE Computer Society: Washington, DC, USA, 2019; pp. 109–114. [Google Scholar]
- Khamparia, A.; Bharati, S.; Podder, P.; Gupta, D.; Khanna, A.; Phung, T.K.; Thanh, D.N.H. Diagnosis of Breast Cancer Based on Modern Mammography Using Hybrid Transfer Learning. Multidimens. Syst. Signal. Process. 2021, 32, 747–765. [Google Scholar] [CrossRef] [PubMed]
- Hassan, S.A.; Sayed, M.S.; Abdalla, M.I.; Rashwan, M.A. Breast Cancer Masses Classification Using Deep Convolutional Neural Networks and Transfer Learning. Multimed. Tools Appl. 2020, 79, 30735–30768. [Google Scholar] [CrossRef]
- Wang, Z.; Li, M.; Wang, H.; Jiang, H.; Yao, Y.; Zhang, H.; Xin, J. Breast Cancer Detection Using Extreme Learning Machine Based on Feature Fusion with CNN Deep Features. IEEE Access. 2019, 7, 105146–105158. [Google Scholar] [CrossRef]
- Patil, R.S.; Biradar, N. Automated Mammogram Breast Cancer Detection Using the Optimized Combination of Convolutional and Recurrent Neural Network. Evol. Intell. 2020, 2020, 1459–1474. [Google Scholar] [CrossRef]
- Hasan, M.K.; Aleef, T.A.; Roy, S. Automatic Mass Classification in Breast Using Transfer Learning of Deep Convolutional Neural Network and Support Vector Machine. In Proceedings of the 2020 IEEE Region 10 Symposium, TENSYMP 2020, Dhaka, Bangladesh, 5–7 June 2020; Institute of Electrical and Electronics Engineers Inc.: Interlaken, Switzerland, 2020; pp. 110–113. [Google Scholar]
- Al-masni, M.A.; Al-antari, M.A.; Park, J.M.; Gi, G.; Kim, T.Y.; Rivera, P.; Valarezo, E.; Choi, M.T.; Han, S.M.; Kim, T.S. Simultaneous Detection and Classification of Breast Masses in Digital Mammograms via a Deep Learning YOLO-Based CAD System. Comput. Methods Programs Biomed. 2018, 157, 85–94. [Google Scholar] [CrossRef]
- Alzubaidi, L.; Al-Shamma, O.; Fadhel, M.A.; Farhan, L.; Zhang, J.; Duan, Y. Optimizing the Performance of Breast Cancer Classification by Employing the Same Domain Transfer Learning from Hybrid Deep Convolutional Neural Network Model. Electronics 2020, 9, 445. [Google Scholar] [CrossRef]
- Wu, J.; Hicks, C. Breast Cancer Type Classification Using Machine Learning. J. Pers. Med. 2021, 11, 61. [Google Scholar] [CrossRef]
- Tang, J.; Rangayyan, R.M.; Xu, J.; El Naqa, I.; Yang, Y. Computer-Aided Detection and Diagnosis of Breast Cancer with Mammography: Recent Advances. IEEE Trans. Inf. Technol. Biomed. 2009, 13, 236–251. [Google Scholar] [CrossRef] [PubMed]
- Belsare, A.D.; Mushrif, M.M.; Pangarkar, M.A.; Meshram, N. Classification of Breast Cancer Histopathology Images Using Texture Feature Analysis. In Proceedings of the TENCON 2015–2015 IEEE Region 10 Conference 2015, Macao, 1–4 November 2015; pp. 1–5. [Google Scholar] [CrossRef]
- Zhang, Y.; Zhang, B.; Coenen, F.; Lu, W. Breast Cancer Diagnosis from Biopsy Images with Highly Reliable Random Subspace Classifier Ensembles. Mach. Vision. Appl. 2012, 24, 1405–1420. [Google Scholar] [CrossRef]
- Kowal, M.; Filipczuk, P.; Obuchowicz, A.; Korbicz, J.; Monczak, R. Computer-Aided Diagnosis of Breast Cancer Based on Fine Needle Biopsy Microscopic Images. Comput. Biol. Med. 2013, 43, 1563–1572. [Google Scholar] [CrossRef] [PubMed]
- Doyle, S.; Agner, S.; Madabhushi, A.; Feldman, M.; Tomaszewski, J. Automated Grading of Breast Cancer Histopathology Using. Spectral Clustering with Textural and Architectural Image Features. In Proceedings of the 2008 5th IEEE International Symposium on Biomedical Imaging: From Nano to Macro, Paris, France, 14–17 May 2008; pp. 496–499. [Google Scholar] [CrossRef]
- Bilgin, C.; Demir, C.; Nagi, C.; Yener, B. Cell-Graph Mining for Breast Tissue Modeling and Classification. Annu. Int. Conf. IEEE Eng. Med. Biol. Soc. 2007, 2007, 5311–5314. [Google Scholar] [CrossRef] [PubMed]
- Cruz-Roa, A.; Basavanhally, A.; González, F.; Gilmore, H.; Feldman, M.; Ganesan, S.; Shih, N.; Tomaszewski, J.; Madabhushi, A. Automatic Detection of Invasive Ductal Carcinoma in Whole Slide Images with Convolutional Neural Networks. SPIE 2014, 9041, 904103. [Google Scholar] [CrossRef]
- Zhang, B. Breast Cancer Diagnosis from Biopsy Images by Serial Fusion of Random Subspace Ensembles. In Proceedings of the 2011 4th International Conference on Biomedical Engineering and Informatics, BMEI 2011, Shanghai, China, 15–17 October 2011; Volume 1, pp. 180–186. [Google Scholar] [CrossRef]
- Bayramoglu, N.; Kannala, J.; Heikkila, J. Deep Learning for Magnification Independent Breast Cancer Histopathology Image Classification. Proc. Int. Conf. Pattern Recognit. 2016, 2440–2445. [Google Scholar] [CrossRef]
- Araujo, T.; Aresta, G.; Castro, E.; Rouco, J.; Aguiar, P.; Eloy, C.; Polonia, A.; Campilho, A. Classification of Breast Cancer Histology Images Using Convolutional Neural Networks. PLoS ONE 2017, 12, e0177544. [Google Scholar] [CrossRef]
- Aresta, G.; Araújo, T.; Kwok, S.; Chennamsetty, S.S.; Safwan, M.; Alex, V.; Marami, B.; Prastawa, M.; Chan, M.; Donovan, M.; et al. BACH: Grand Challenge on Breast Cancer Histology Images. Med. Image Anal. 2019, 56, 122–139. [Google Scholar] [CrossRef]
- Ahmad, H.M.; Ghuffar, S.; Khurshid, K. Classification of Breast Cancer Histology Images Using Transfer Learning. In Proceedings of the 2019 16th International Bhurban Conference on Applied Sciences and Technology, IBCAST 2019, Islamabad, Pakistan, 8–12 January 2019; pp. 328–332. [Google Scholar] [CrossRef]
- Vang, Y.S.; Chen, Z.; Xie, X. Deep Learning Framework for Multi-Class Breast Cancer Histology Image Classification. In Image Analysis and Recognition: 15th International Conference, ICIAR 2018, Póvoa de Varzim, Portugal, 27–29 June 2018; Springer International Publishing: Zurich, Switwerland, 2018; pp. 914–922. [Google Scholar] [CrossRef]
- Rakhlin, A.; Shvets, A.; Iglovikov, V.; Kalinin, A.A. Deep Convolutional Neural Networks for Breast Cancer Histology Image Analysis. In Image Analysis and Recognition: 15th International Conference, ICIAR 2018, Póvoa de Varzim, Portugal, 27–29 June 2018; Springer International Publishing: Zurich, Switwerland, 2018; pp. 737–744. [Google Scholar] [CrossRef]
- Awan, R.; Koohbanani, N.A.; Shaban, M.; Lisowska, A.; Rajpoot, N. Context-Aware Learning Using Transferable Features for Classification of Breast Cancer Histology Images. In Image Analysis and Recognition: 15th International Conference, ICIAR 2018, Póvoa de Varzim, Portugal, 27–29 June 2018; Springer International Publishing: Zurich, Switwerland, 2018; pp. 788–795. [Google Scholar] [CrossRef]
- Histopathologic Cancer Detection|Kaggle. Available online: https://www.kaggle.com/c/histopathologic-cancer-detection (accessed on 17 October 2022).
- Kandel, I.; Castelli, M. How Deeply to Fine-Tune a Convolutional Neural Network: A Case Study Using a Histopathology Dataset. Appl. Sci. 2020, 10, 3359. [Google Scholar] [CrossRef]
- Kassani, S.H.; Kassani, P.H.; Wesolowski, M.J.; Schneider, K.A.; Deters, R. Classification of Histopathological Biopsy Images Using Ensemble of Deep Learning Networks. In Proceedings of the Conference of the Centre for Advanced Studies on Collaborative Research—Proceedings of the 29th Annual International Conference on Computer Science and Software Engineering 2019, Markham, ON, Canada, 4–6 November 2019; pp. 92–99. [Google Scholar]
- Liu, M.; Yu, Y.; Liao, Q.; Zhang, J. Histopathologic Cancer Detection by Dense-Attention Network with Incorporation of Prior Knowledge. In Proceedings of the International Symposium on Biomedical Imaging 2020, Iowa City, IA, USA, 3–7 April 2020; pp. 466–470. [Google Scholar] [CrossRef]
- Rane, C.; Mehrotra, R.; Bhattacharyya, S.; Sharma, M.; Bhattacharya, M. A Novel Attention Fusion Network-Based Framework to Ensemble the Predictions of CNNs for Lymph Node Metastasis Detection. J. Supercomput. 2021, 77, 4201–4220. [Google Scholar] [CrossRef]
- Bonnet, E. Using Convolutional Neural Networks for the Classification of Breast Cancer Images. arXiv 2021, arXiv:2108.13661. [Google Scholar]
- Lafarge, M.W.; Bekkers, E.J.; Pluim, J.P.W.; Duits, R.; Veta, M. Roto-Translation Equivariant Convolutional Networks: Application to Histopathology Image Analysis. Med. Image Anal. 2021, 68, 101849. [Google Scholar] [CrossRef]
- Kakogeorgiou, I.; Karantzalos, K. Evaluating Explainable Artificial Intelligence Methods for Multi-Label Deep Learning Classification Tasks in Remote Sensing. Int. J. Appl. Earth Obs. Geoinf. 2021, 103, 102520. [Google Scholar] [CrossRef]
- Van Der Velden, B.H.M.; Kuijf, H.J.; Gilhuijs, K.G.A.; Viergever, M.A.; Van Der Velden, B. Explainable Artificial Intelligence (XAI) in Deep Learning-Based Medical Image Analysis. Med. Image Anal. 2022, 4, 102470. [Google Scholar] [CrossRef]
- Selvaraju, R.R.; Cogswell, M.; Das, A.; Vedantam, R.; Parikh, D.; Batra, D. Grad-CAM: Visual Explanations from Deep Networks via Gradient-Based Localization. In Proceedings of the IEEE International Conference on Computer Vision, Venice, Italy, 22–29 October 2017; pp. 618–626. [Google Scholar] [CrossRef]
- Ji, J. Gradient-Based Interpretation on Convolutional Neural Network for Classification of Pathological Images. In Proceedings of the 2019 International Conference on Information Technology and Computer Application, ITCA 2019, Guangzhou, China, 20–22 December 2019; pp. 83–86. [Google Scholar] [CrossRef]
- Kowsari, K.; Sali, R.; Ehsan, L.; Adorno, W.; Ali, A.; Moore, S.; Amadi, B.; Kelly, P.; Syed, S.; Brown, D. HMIC: Hierarchical Medical Image Classification, A Deep Learning Approach. Information 2020, 11, 318. [Google Scholar] [CrossRef]
- Chang, X.; Ren, P.; Xu, P.; Li, Z.; Chen, X.; Hauptmann, A. A Comprehensive Survey of Scene Graphs: Generation and Application. IEEE Trans. Pattern Anal. Mach. Intell. 2023, 45, 1–26. [Google Scholar] [CrossRef]
- Li, M.; Huang, P.Y.; Chang, X.; Hu, J.; Yang, Y.; Hauptmann, A. Video Pivoting Unsupervised Multi-Modal Machine Translation. IEEE Trans. Pattern Anal. Mach. Intell. 2023, 45, 3918–3932. [Google Scholar] [CrossRef]
- Zhang, L.; Chang, X.; Liu, J.; Luo, M.; Li, Z.; Yao, L.; Hauptmann, A. TN-ZSTAD: Transferable Network for Zero-Shot Temporal Activity Detection. IEEE Trans. Pattern Anal. Mach. Intell. 2023, 45, 3848–3861. [Google Scholar] [CrossRef]
- Rezaei, M.; Shahidi, M. Zero-Shot Learning and Its Applications from Autonomous Vehicles to COVID-19 Diagnosis: A Review. Intell. Based Med. 2020, 3–4, 100005. [Google Scholar] [CrossRef]
- Yan, C.; Chang, X.; Li, Z.; Guan, W.; Ge, Z.; Zhu, L.; Zheng, Q. ZeroNAS: Differentiable Generative Adversarial Networks Search for Zero-Shot Learning. IEEE Trans. Pattern Anal. Mach. Intell. 2022, 44, 9733–9740. [Google Scholar] [CrossRef] [PubMed]










| Author | Approaches | Dataset | Strong Points | Weak Points |
|---|---|---|---|---|
| Bayramoglu et al. [48] | CNNs | BreaKHis dataset | Malignancy prediction using a single-task CNN and simultaneous prediction of malignancy and image magnification level using a multi-task CNN are the two architectures proposed. | They were unable to achieve better performance than the state-of-the-art results. |
| Arajo et al. [49] |
| Breast histology classification challenge H&E stain samples from Bioimaging 2015. | They have completed image-wise classification into four medically relevant classifications, as opposed to the two classes used via earlier methods: (i) normal tissue, (ii) benign lesion, (iii) in situ carcinoma, and (iv) invasive carcinoma. | Patch classification performance may be decreased if some training/testing patches lack significant information. |
| Aresta et al. [50] | CNN-based algorithms | BACH dataset from the ICIAR2018 competition | Effective methods for the Automatic classification systems using hematoxylin–eosin-stained histopathology images | The study findings are not yet satisfactory for clinical evaluation. |
| Ahmed et al. [51] | Transfer learning (AlexNet/ResNet/GoogLeNet) | Breast Histology dataset | The implemented strategy has brought about an accuracy rate of 85% in the instance of ResNet, which is the highest among others. | The design that was presented can be improved to allow better diagnosing accuracy. |
| Vang et al. [52] | Google Inception V3 Network | BACH dataset from the ICIAR2018 competition | The introduced framework has resulted in a 12.5% enhancement over the SOTA models | The findings of the study do not yet meet the criteria necessary for clinical assessment. |
| Rakhlin et al. [53]. | VGG-16+ Gradient boosted trees classifier | BACH dataset from the ICIAR2018 competition | They reported an accuracy rate of 87.2% when doing the 4-class categorization challenge. They reported an accuracy of 93.8% when asked to do a 2-class classification test to identify carcinomas. | Lack of comparison with other pretrained CNNs |
| Awan et al. [54] | ResNet | BACH dataset from the ICIAR2018 competition | A novel framework has been presented. ResNet is introduced for feature extraction, PCA for feature reduction, SVM for patch classification, and a majority voting classifier for overall input image classification. | When compared to the accuracy retrieved using SOTA models, the achieved accuracy of 90% is lower. |
| Proposed method | Fusion of CNNs (1-CNN, 2-CNN, 3-CNN) | PCam dataset | The performance of the suggested model, which utilizes hybrid CNNs, is shown to be significantly enhanced when it comes to correctly and precisely identifying abnormalities in breast histology, which suggests that its application in this field should be expanded. |
| GPU | 1060 6 GB, Nvidia GeForce |
| RAM | 16 GB |
| Languages | Python 3.7 |
| CPU | Core-i6, 6th Generation, and 2.80 GHz processor |
| Operating system | Windows 64 bit |
| Author | Approach | AUC | Accuracy |
|---|---|---|---|
| Kandel and Castelli [56] | Transfer learning | 0.94 (VGG16) 0.93 (VGG19) 0.92 (InceptionV3) | - |
| Kassani et al. [57] | Ensemble model (Pre-trained CNNs + Multi-layer perceptron classifier) | - | 94.64% |
| Liu et al. [58] | Dense-Attention Network | 0.976 | - |
| Bonnet [60] | CNN, InceptionV3 | 0.95 | - |
| Rane et al. [59] | Ensemble framework (DenseNet201, InceptionV3 and ResNeXt-50) | 0.9816 | - |
| Lafarge [61] | P4M-DenseNet | 96.3 | 89.8 |
| Proposed model | 1-CNN, 2-CNN, and 3-CNN based fusion model | 0.89, 0.94, and 0.97 | 90%, 94%, and 98% |
Disclaimer/Publisher’s Note: The statements, opinions and data contained in all publications are solely those of the individual author(s) and contributor(s) and not of MDPI and/or the editor(s). MDPI and/or the editor(s) disclaim responsibility for any injury to people or property resulting from any ideas, methods, instructions or products referred to in the content. |
© 2023 by the authors. Licensee MDPI, Basel, Switzerland. This article is an open access article distributed under the terms and conditions of the Creative Commons Attribution (CC BY) license (https://creativecommons.org/licenses/by/4.0/).
Share and Cite
Rafiq, A.; Chursin, A.; Awad Alrefaei, W.; Rashed Alsenani, T.; Aldehim, G.; Abdel Samee, N.; Menzli, L.J. Detection and Classification of Histopathological Breast Images Using a Fusion of CNN Frameworks. Diagnostics 2023, 13, 1700. https://doi.org/10.3390/diagnostics13101700
Rafiq A, Chursin A, Awad Alrefaei W, Rashed Alsenani T, Aldehim G, Abdel Samee N, Menzli LJ. Detection and Classification of Histopathological Breast Images Using a Fusion of CNN Frameworks. Diagnostics. 2023; 13(10):1700. https://doi.org/10.3390/diagnostics13101700
Chicago/Turabian StyleRafiq, Ahsan, Alexander Chursin, Wejdan Awad Alrefaei, Tahani Rashed Alsenani, Ghadah Aldehim, Nagwan Abdel Samee, and Leila Jamel Menzli. 2023. "Detection and Classification of Histopathological Breast Images Using a Fusion of CNN Frameworks" Diagnostics 13, no. 10: 1700. https://doi.org/10.3390/diagnostics13101700
APA StyleRafiq, A., Chursin, A., Awad Alrefaei, W., Rashed Alsenani, T., Aldehim, G., Abdel Samee, N., & Menzli, L. J. (2023). Detection and Classification of Histopathological Breast Images Using a Fusion of CNN Frameworks. Diagnostics, 13(10), 1700. https://doi.org/10.3390/diagnostics13101700

