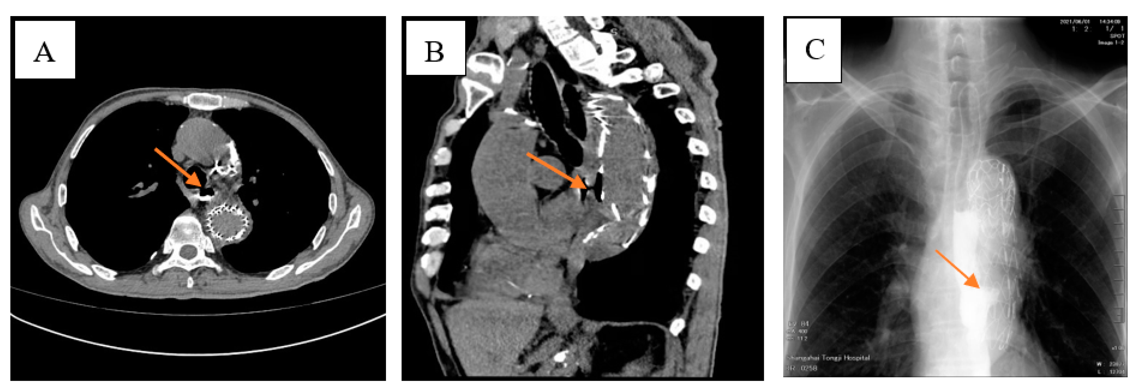
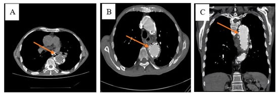
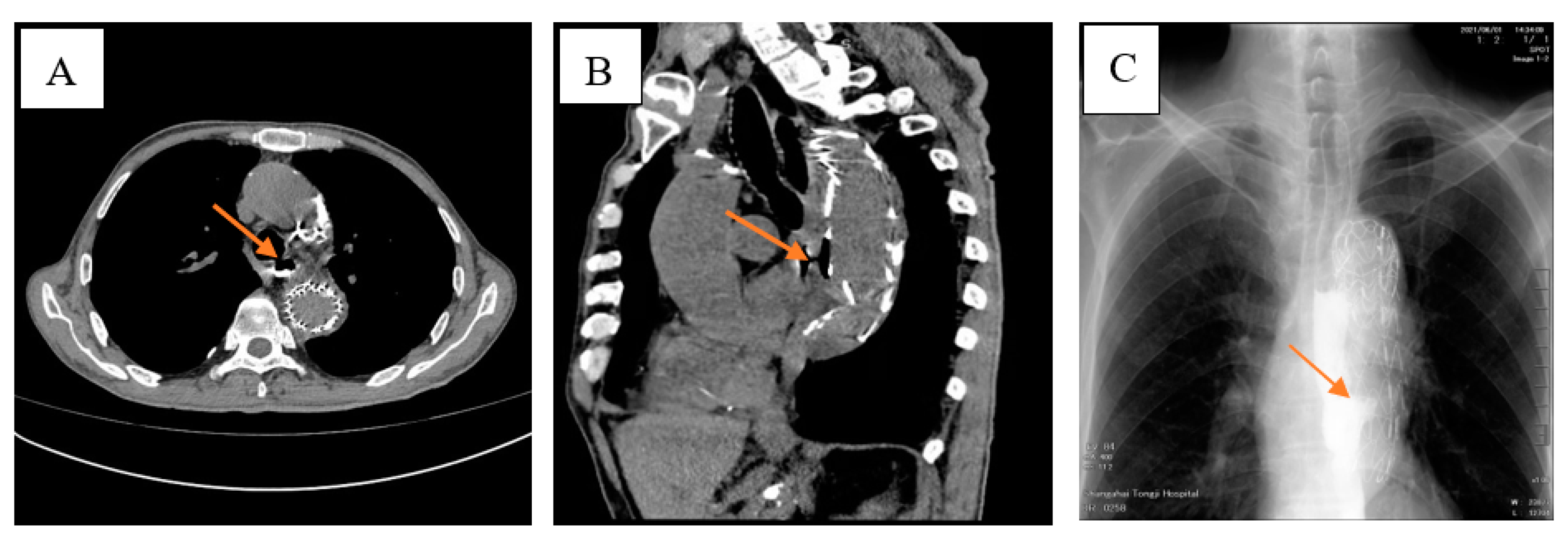
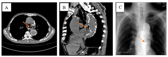
Aorticoesophagal Fistula Combined with Upper Gastrointestinal Bleeding after Endovascular Dissection of Thoracic Aortic Aneurysm
Abstract
Author Contributions
Funding
Institutional Review Board Statement
Informed Consent Statement
Acknowledgments
Conflicts of Interest
References
- Zhan, Y.; Xu, Z. Massive hemorrhage from an aortoesophageal fistula caused by esophageal stent implantation: A case report and literature review. Medicine 2019, 98, e18303. [Google Scholar] [CrossRef]
- Eggebrecht, H.; Mehta, R.H.; Dechene, A.; Tsagakis, K.; Kühl, H.; Huptas, S.; Gerken, G.; Jakob, H.G.; Erbel, R. Aortoesophageal fistula after thoracic aortic stent-graft placement: A rare but. catastrophic complication of a novel emerging technique. JACC Cardiovasc. Interv. 2009, 2, 570–576. [Google Scholar] [CrossRef] [PubMed]
- Sladojevic, M.; Bjelovic, M.; Ilic, N.; Mutavdzic, P.; Koncar, I.; Dragas, M.; Markovic, M.; Davidovic, L. Open Surgical Treatment of Secondary Aortoesophageal and Aortobronchial Fistula after Thoracic Endovascular Aortic Repair and Esophagocoloplasty in a Second Procedure. Ann. Vasc. Surg. 2017, 44, 411–417. [Google Scholar] [CrossRef] [PubMed]
- Furui, M.; Hirata, H.; Kakii, B.; Yoshida, T. Secondary Aortoesophageal Fistula Treated by Covered Esophageal Stent and Muscle Wrapping. Ann. Thorac. Surg. 2021, 4, e241–e243. [Google Scholar] [CrossRef] [PubMed]
- Lee, S.H.; Song, P.S.; Kim, W.S.; Park, K.B.; Choi, S.H. A case of stent graft infection coupled with aorto-esophageal fistula following thoracic endovascular aortic repair in a complex patient. Korean Circ. J. 2012, 42, 366–368. [Google Scholar] [CrossRef] [PubMed]
- Tao, M.; Shlomovitz, E.; Darling, G.; Roche-Nagle, G. Secondary aorto-esophageal fistula after thoracic aortic aneurysm endovascular repair treated by covered esophageal stenting. World J. Clin. Cases 2016, 8, 233–237. [Google Scholar] [CrossRef] [PubMed]
- Maria, T.; Maria, A.; Dimitrios, V.; Nikolaos, G.; Stavroula, P. A rare case of sudden death due to aortogastric fistula after endovascular aortic repair of the descending aorta. Forensic. Sci. Med. Pathol. 2021, 3, 461–464. [Google Scholar] [CrossRef] [PubMed]
- McCarthy, A.; Gray, J.; Sastry, P.; Sharples, L.; Vale, L.; Cook, A.; Mcmeekin, P.; Freeman, C.; Catarino, P.; Large, S. Systematic review of endovascular stent grafting versus open surgical repair for the elective treatment of arch/descending thoracic aortic aneurysms. BMJ Open 2021, 3, e043323. [Google Scholar] [CrossRef] [PubMed]
- Grabenwöger, M.; Alfonso, F.; Bachet, J.; Bonser, R.; Czerny, M.; Eggebrecht, H.; Evangelista, A.; Fattori, R.; Jakob, H.; Lönn, L.; et al. Thoracic Endovascular Aortic Repair (TEV AR) for the treatment of aortic diseases: A position statement from the European Association for Cardio-Thoracic Surgery (EACTS) and the European Society of Cardiology (ESC), in collaboration with the European Association of Percutaneous Cardiovascular Interventions (EAPCI). Eur. Heart J. 2012, 33, 1558–1563. [Google Scholar] [PubMed]
- Chiari, H. Uber Pemdkorperverletzung des Oesophagus mit Aorten perforation. Berl. Klin. Wochenschr. 1914, 51, 7. [Google Scholar]
- Chiesa, R.; Melissano, G.; Marone, E.M.; Marrocco-Trischitta, M.M.; Kahlberg, A. Aorto-oesophageal and aortobronchial fistulae following thoracic endovascular aortic repair: A national survey. Eur. J. Vasc. Endovasc. Surg. 2010, 39, 273–279. [Google Scholar] [CrossRef] [PubMed]
- Chen, C.; Kim, J.W.; Shin, J.H.; Kwon, Y.; Kim, J.; Lee, I.J. Management of life-threatening aortoesophageal fistula: Experiences learned from eight patients. Acta Radiol. 2021, 4, 447–452. [Google Scholar] [CrossRef] [PubMed]
- Akashi, H.; Kawamoto, S.; Saiki, Y.; Sakamoto, T.; Sawa, Y.; Tsukube, T.; Kubota, S.; Matsui, Y.; Karube, N.; Imoto, K.; et al. Therapeutic strategy for treating aortoesophageal fistulas. Gen Thorac. Cardiovasc. Surg. 2014, 10, 573–580. [Google Scholar] [CrossRef] [PubMed]
- Uno, K.; Koike, T.; Takahashi, S.; Komazawa, D.; Shimosegawa, T. Management of aortoesophageal fistula secondary after thoracic endovascular aortic repair: A review of literature. Clin. J. Gastroenterol. 2017, 10, 393–402. [Google Scholar] [CrossRef]
- Watanabe, M.; Sato, M.; Fukuchi, M.; Kato, H.; Matsubara, H. Treatment of aortoesophageal fistula developed after thoracic endovascular aortic repair: A questionnaire survey study. Esophagus 2020, 17, 81–86. [Google Scholar] [CrossRef] [PubMed]
- Al Rstum, Z.; Tanaka, A.; Safi, H.J.; Estrera, A.L. Extra-anatomical ascending-thoraco-abdominal bypass for aortic fistula after thoracic endovascular aortic repair. Eur. J. Cardiothorac. Surg. 2019, 6, 1199–1201. [Google Scholar] [CrossRef] [PubMed]
- Sachsamanis, G.; Pfister, K.; Kasprzak, P.M.; Schierling, W.; Denzinger, S.; Oikonomou, K. Midterm Results after Open Surgical and Endovascular Management of Arterioureteral Fistula. Ann. Vasc. Surg. 2021, 5, 280–289. [Google Scholar] [CrossRef] [PubMed]
- Oikonomou, K.; Pfister, K.; Kasprzak, P.M.; Schierling, W.; Betz, T.; Sachsamanis, G. Treatment of Secondary Aortoenteric Fistulas Following AORTIC Aneurysm Repair in a Tertiary Reference Center. J. Clin. Med. 2022, 15, 4427. [Google Scholar] [CrossRef] [PubMed]






Disclaimer/Publisher’s Note: The statements, opinions and data contained in all publications are solely those of the individual author(s) and contributor(s) and not of MDPI and/or the editor(s). MDPI and/or the editor(s) disclaim responsibility for any injury to people or property resulting from any ideas, methods, instructions or products referred to in the content. |
© 2022 by the authors. Licensee MDPI, Basel, Switzerland. This article is an open access article distributed under the terms and conditions of the Creative Commons Attribution (CC BY) license (https://creativecommons.org/licenses/by/4.0/).
Share and Cite
Xu, Y.; Li, R.; Zhang, K.; Xu, S. Aorticoesophagal Fistula Combined with Upper Gastrointestinal Bleeding after Endovascular Dissection of Thoracic Aortic Aneurysm. Diagnostics 2023, 13, 40. https://doi.org/10.3390/diagnostics13010040
Xu Y, Li R, Zhang K, Xu S. Aorticoesophagal Fistula Combined with Upper Gastrointestinal Bleeding after Endovascular Dissection of Thoracic Aortic Aneurysm. Diagnostics. 2023; 13(1):40. https://doi.org/10.3390/diagnostics13010040
Chicago/Turabian StyleXu, Yongwei, Ran Li, Kangwei Zhang, and Shuchang Xu. 2023. "Aorticoesophagal Fistula Combined with Upper Gastrointestinal Bleeding after Endovascular Dissection of Thoracic Aortic Aneurysm" Diagnostics 13, no. 1: 40. https://doi.org/10.3390/diagnostics13010040
APA StyleXu, Y., Li, R., Zhang, K., & Xu, S. (2023). Aorticoesophagal Fistula Combined with Upper Gastrointestinal Bleeding after Endovascular Dissection of Thoracic Aortic Aneurysm. Diagnostics, 13(1), 40. https://doi.org/10.3390/diagnostics13010040

