Update on the Diagnosis of Behçet’s Disease
Abstract
1. Introduction
2. Clinical Manifestations of Behçet’s Disease
2.1. Mucocutaneous Manifestations
2.2. Musculoskeletal Involvement
2.3. Major Organ Involvement
2.4. Other Clinical Findings
3. Laboratory
4. Diagnostic and Classification Criteria Sets for Behçet’s Disease
5. Pathergy Test
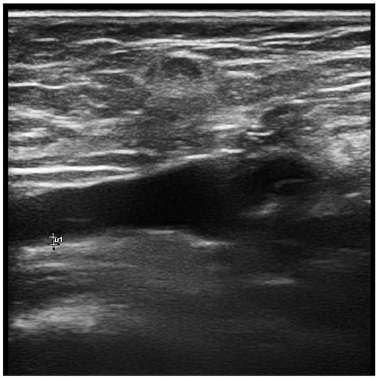
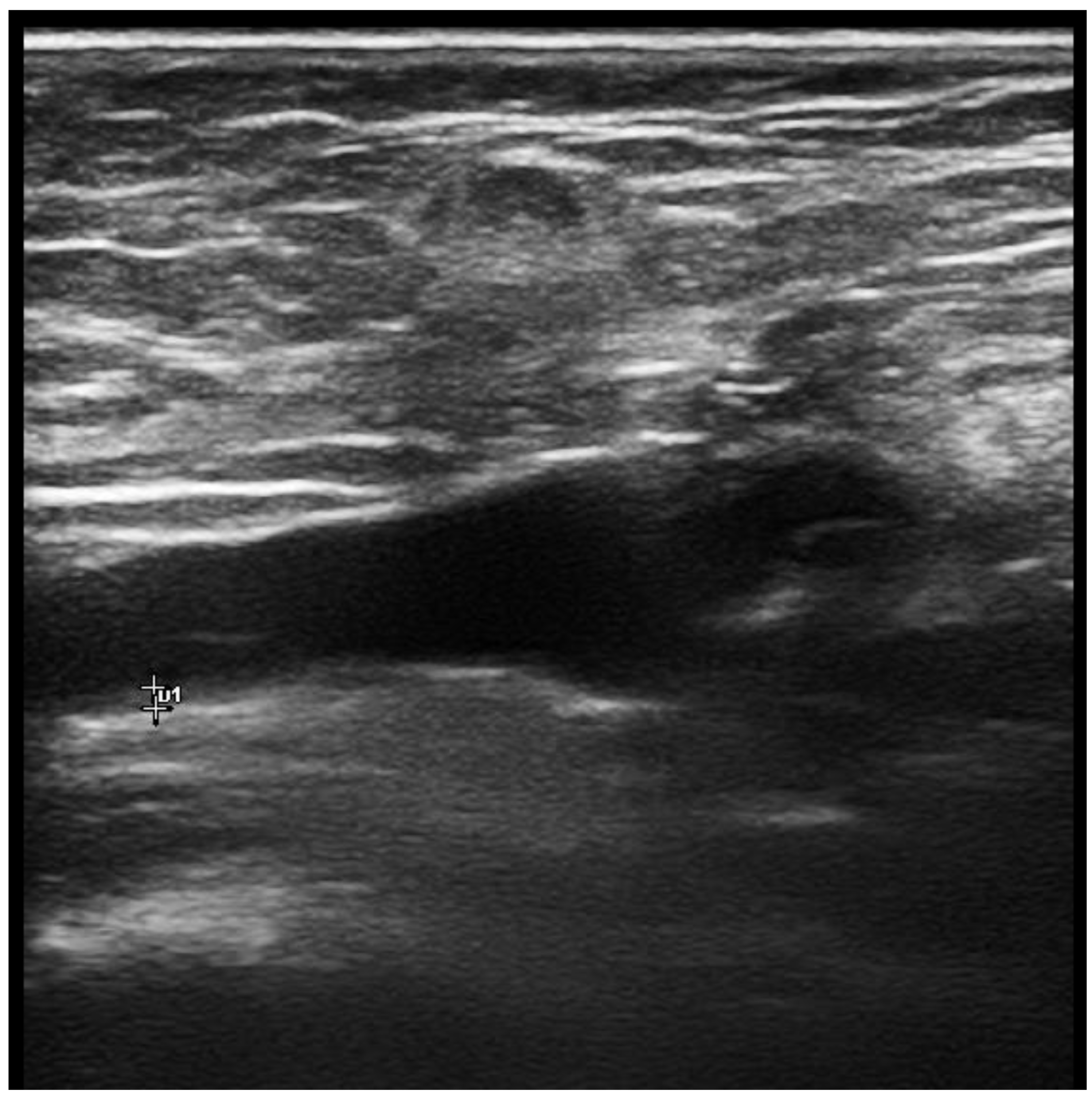
6. Femoral Vein Wall Thickness Measurement as a Diagnostic Tool for Behcet’s Disease
7. Conclusions
Author Contributions
Funding
Institutional Review Board Statement
Informed Consent Statement
Data Availability Statement
Conflicts of Interest
References
- Jennette, J.C.; Falk, R.J.; Bacon, P.A.; Basu, N.; Cid, M.C.; Ferrario, F.; Flores-Suarez, L.F.; Gross, W.L.; Guillevin, L.; Hagen, E.C.; et al. 2012 revised International Chapel Hill Consensus Conference Nomenclature of Vasculitides. Arthritis Rheum. 2013, 65, 1–11. [Google Scholar] [CrossRef] [PubMed]
- Behcet, H. Uber rezidiverende, aphthose, durch ein virus verursachte gescgwure am mund, am auge und an den genitalen. Dermatol. Wochenschr. 1937, 105, 1152–1157. [Google Scholar]
- Yazici, H.; Seyahi, E.; Hatemi, G.; Yazici, Y. Behçet syndrome: A contemporary view. Nat. Rev. Rheumatol. 2018, 14, 107–119. [Google Scholar] [CrossRef] [PubMed]
- Kural-Seyahi, E.; Fresko, I.; Seyahi, N.; Ozyazgan, Y.; Mat, C.; Hamuryudan, V.; Yurdakul, S.; Yazici, H. The long-term mortality and morbidity of Behçet syndrome: A 2-decade outcome survey of 387 patients followed at a dedicated center. Medicine 2003, 82, 60–76. [Google Scholar] [CrossRef] [PubMed]
- Kerstens, F.G.; Turkstra, F.; Swearingen, C.J.; Yazici, Y. Initial visit symptoms in probable Behçet’s syndrome is predictive of ISG criteria fulfillment in Behçet’s syndrome: Data from New York and Amsterdam cohorts. Clin. Exp. Rheumatol. 2021, 39 (Suppl. S132), 43–46. [Google Scholar] [CrossRef]
- Kirino, Y.; Ideguchi, H.; Takeno, M.; Suda, A.; Higashitani, K.; Kunishita, Y.; Takase-Minegishi, K.; Tamura, M.; Watanabe, T.; Asami, Y.; et al. Continuous evolution of clinical phenotype in 578 Japanese patients with Behçet’s disease: A retrospective observational study. Arthritis Res. Ther. 2016, 18, 217. [Google Scholar] [CrossRef]
- Alpsoy, E.; Donmez, L.; Onder, M.; Gunasti, S.; Usta, A.; Karincaoglu, Y.; Kandi, B.; Buyukkara, S.; Keseroglu, O.; Uzun, S.; et al. Clinical features and natural course of Behçet’s disease in 661 cases: A multicentre study. Br. J. Dermatol. 2007, 157, 901–906. [Google Scholar] [CrossRef]
- Alibaz-Oner, F.; Mumcu, G.; Kubilay, Z.; Ozen, G.; Celik, G.; Karadeniz, A.; Can, M.; Oner, S.Y.; Inanc, N.; Atagunduz, P.; et al. Unmet need in Behcet’s disease: Most patients in routine follow-up continue to have oral ulcers. Clin. Rheumatol. 2014, 33, 1773–1776. [Google Scholar] [CrossRef]
- Mat, M.C.; Goksugur, N.; Engin, B.; Yurdakul, S.; Yazici, H. The frequency of scarring after genital ulcers in Behçet’s syndrome: A prospective study. Int. J. Dermatol. 2006, 45, 554–556. [Google Scholar] [CrossRef]
- Jorizzo, J.L.; Abernethy, J.L.; White, W.L.; Mangelsdorf, H.C.; Zouboulis, C.C.; Sarica, R.; Gaffney, K.; Mat, C.; Yazici, H.; al Ialaan, A.; et al. Mucocutaneous criteria for the diagnosis of Behçet’s disease: An analysis of clinicopathologic data from multiple international centers. J. Am. Acad. Dermatol. 1995, 32, 968–976. [Google Scholar] [CrossRef]
- Alpsoy, E.; Zouboulis, C.C.; Ehrlich, G.E. Mucocutaneous lesions of Behcet’s disease. Yonsei Med. J. 2007, 48, 573–585. [Google Scholar] [CrossRef]
- Yurdakul, S.; Yazici, H.; Tüzün, Y.; Pazarli, H.; Yalçin, B.; Altaç, M.; Ozyazgan, Y.; Tüzüner, N.; Müftüoğlu, A. The arthritis of Behçet’s disease: A prospective study. Ann. Rheum. Dis. 1983, 42, 505–515. [Google Scholar] [CrossRef]
- Seyahi, E.; Caglar, E.; Ugurlu, S.; Kantarci, F.; Hamuryudan, V.; Sonsuz, A.; Melikoglu, M.; Yurdakul, S.; Yazici, H. An outcome survey of 43 patients with Budd-Chiari syndrome due to Behçet’s syndrome followed up at a single, dedicated center. Semin Arthritis. Rheum. 2015, 44, 602–609. [Google Scholar] [CrossRef]
- Alibaz-Oner, F.; Direskeneli, H. Management of vascular Behcet’s disease. Int. J. Rheum. Dis. 2019, 22 (Suppl. S1), 105–108. [Google Scholar] [CrossRef]
- Alibaz-Oner, F.; Karadeniz, A.; Ylmaz, S.; Balkarl, A.; Kimyon, G.; Yazc, A.; Çnar, M.; Ylmaz, S.; Yldz, F.; Bilge, Ş.Y.; et al. Behçet disease with vascular involvement: Effects of different therapeutic regimens on the incidence of new relapses. Medicine 2015, 94, e494. [Google Scholar] [CrossRef]
- Saadoun, D.; Wechsler, B.; Desseaux, K.; Le Thi Huong, D.; Amoura, Z.; Resche-Rigon, M.; Cacoub, P. Mortality in Behçet’s disease. Arthritis. Rheum. 2010, 62, 2806–2812. [Google Scholar] [CrossRef]
- Siva, A.; Kantarci, O.H.; Saip, S.; Altintas, A.; Hamuryudan, V.; Islak, C.; Koçer, N.; Yazici, H. Behçet’s disease: Diagnostic and prognostic aspects of neurological involvement. J. Neurol. 2001, 248, 95–103. [Google Scholar] [CrossRef]
- Akman-Demir, G.; Serdaroglu, P.; Tasçi, B. Clinical patterns of neurological involvement in Behçet’s disease: Evaluation of 200 patients. The Neuro-Behçet Study Group. Brain 1999, 122, 2171–2182. [Google Scholar] [CrossRef]
- Hatemi, I.; Esatoglu, S.N.; Hatemi, G.; Erzin, Y.; Yazici, H.; Celik, A.F. Characteristics, Treatment, and Long-Term Outcome of Gastrointestinal Involvement in Behcet’s Syndrome: A Strobe-Compliant Observational Study From a Dedicated Multidisciplinary Center. Medicine 2016, 95, e3348. [Google Scholar] [CrossRef]
- Seyahi, E.; Karaaslan, H.; Ugurlu, S.; Yazici, H. Fever in Behçet’s syndrome. Clin. Exp. Rheumatol. 2013, 31, 64–67. [Google Scholar]
- Kirkali, Z.; Yigitbasi, O.; Sasmaz, R. Urological aspects of Behçet’s disease. Br. J. Urol. 1991, 67, 638–639. [Google Scholar] [CrossRef] [PubMed]
- Yilmaz, O.; Yilmaz, S.; Kisacik, B.; Aydogdu, M.; Bozkurt, Y.; Erdem, H.; Pay, S.; Saglam, M.; Dinc, A. Varicocele and epididymitis in Behcet disease. J. Ultrasound. Med. 2011, 30, 909–913. [Google Scholar] [CrossRef] [PubMed]
- Melikoğlu, M.; Altiparmak, M.R.; Fresko, I.; Tunç, R.; Yurdakul, S.; Hamuryudan, V.; Yazici, H. A reappraisal of amyloidosis in Behçet’s syndrome. Rheumatology 2001, 40, 212–215. [Google Scholar] [CrossRef] [PubMed][Green Version]
- Fresko, I.; Ugurlu, S.; Ozbakir, F.; Celik, A.; Yurdakul, S.; Hamuryudan, V.; Yazici, H. Anti-Saccharomyces cerevisiae antibodies (ASCA) in Behçet’s syndrome. Clin. Exp. Rheumatol. 2005, 23, S67–S70. [Google Scholar] [PubMed]
- Ohno, S.; Aoki, K.; Sugiura, S.; Nakayama, E.; Itakura, K.; Aizawa, M. Letter: HL-A5 and Behçet’s disease. Lancet 1973, 2, 1383–1384. [Google Scholar] [CrossRef]
- Gul, A.; Ohno, S. HLA-B*51 and Behçet Disease. Ocul. Immunol. Inflamm. 2012, 20, 37–43. [Google Scholar] [CrossRef]
- Mizuki, N.; Meguro, A.; Ota, M.; Ohno, S.; Shiota, T.; Kawagoe, T.; Ito, N.; Kera, J.; Okada, E.; Yatsu, K.; et al. Genome-wide association studies identify IL23R-IL12RB2 and IL10 as Behçet’s disease susceptibility loci. Nat. Genet. 2010, 42, 703–706. [Google Scholar] [CrossRef]
- Kirino, Y.; Bertsias, G.; Ishigatsubo, Y.; Mizuki, N.; Tugal-Tutkun, I.; Seyahi, E.; Ozyazgan, Y.; Sacli, F.S.; Erer, B.; Inoko, H.; et al. Genome-wide association analysis identifies new susceptibility loci for Behçet’s disease and epistasis between HLA-B*51 and ERAP. Nat. Genet. 2013, 45, 202–207. [Google Scholar] [CrossRef]
- Criteria for Diagnosis of Behçet’s Disease. International Study Group for Behçet’s Disease. Lancet 1990, 335, 1078–1080. [Google Scholar]
- Alibaz-Oner, F.; Direskeneli, H. Assessment of venous wall thickness with Doppler ultrasonography may be a diagnostic tool for Behçet’s disease. Int. J. Rheum. Dis. 2019, 22, 767–768. [Google Scholar] [CrossRef]
- Suzuki Kurokawa, M.; Suzuki, N. Behcet’s disease. Clin. Exp. Med. 2004, 4, 10–20. [Google Scholar] [CrossRef]
- International Team for the Revision of the International Criteria for Behçet’s Disease (ITR-ICBD). The International Criteria for Behçet’s Disease (ICBD): A collaborative study of 27 countries on the sensitivity and specificity of the new criteria. J. Eur. Acad. Dermatol. Venereol. 2014, 28, 338–347. [Google Scholar] [CrossRef]
- Kalra, S.; Silman, A.; Akman-Demir, G.; Bohlega, S.; Borhani-Haghighi, A.; Constantinescu, C.S.; Houman, H.; Mahr, A.; Salvarani, C.; Sfikakis, P.P.; et al. Diagnosis and management of Neuro-Behçet’s disease: International consensus recommendations. J. Neurol. 2014, 261, 1662–1676. [Google Scholar] [CrossRef]
- Tugal-Tutkun, I.; Onal, S.; Stanford, M.; Akman, M.; Twisk, J.W.R.; Boers, M.; Oray, M.; Özdal, P.; Kadayifcilar, S.; Amer, R.; et al. An Algorithm for the Diagnosis of Behçet Disease Uveitis in Adults. Ocul. Immunol. Inflamm. 2021, 29, 1154–1163. [Google Scholar] [CrossRef]
- Koné-Paut, I.; Shahram, F.; Darce-Bello, M.; Cantarini, L.; Cimaz, R.; Gattorno, M.; Anton, J.; Hofer, M.; Chkirate, B.; Bouayed, K.; et al. Consensus classification criteria for paediatric Behçet’s disease from a prospective observational cohort: PEDBD. Ann. Rheum. Dis. 2016, 75, 958–964. [Google Scholar] [CrossRef]
- Batu, E.D.; Sönmez, H.E.; Sözeri, B.; Butbul Aviel, Y.; Bilginer, Y.; Özen, S. The performance of different classification criteria in paediatric Behçet’s disease. Clin. Exp. Rheumatol. 2017, 35 (Suppl. S108), 119–123. [Google Scholar]
- Blobner, F. Zur rezidivierenden hypopyon-iritis. Z. Augenheik. 1937, 91, 129–139. [Google Scholar]
- Jensen, T. Sur les ulcerations aphtheuses de la muqueues de la boucle ET de la peau genitale combines avec les symptoms oculaires (Syndrome de Behçet). Acta Dermatol. Venereol. 1941, 22, 64–79. [Google Scholar]
- Fresko, I.; Yazici, H.; Bayramiçli, M.; Yurdakul, S.; Mat, C. Effect of surgical cleaning of the skin on the pathergy phenomenon in Behçet’s syndrome. Ann. Rheum. Dis. 1993, 52, 619–620. [Google Scholar] [CrossRef]
- Dilşen, N.; Koniçe, M.; Aral, O.; Ocal, L.; Inanç, M.; Gül, A. Comparative study of the skin pathergy test with blunt and sharp needles in Behçet’s disease: Confirmed specificity but decreased sensitivity with sharp needles. Ann. Rheum. Dis. 1993, 52, 823–825. [Google Scholar] [CrossRef]
- Ergun, T. Pathergy Phenomenon. Front. Med. 2021, 8, 639404. [Google Scholar] [CrossRef] [PubMed]
- Davatchi, F.; Sadeghi Abdollahi, B.; Chams-Davatchi, C.; Shahram, F.; Ghodsi, Z.; Nadji, A.; Akhlaghi, M.; Faezi, T.; Shams, H.; Larimi, R.; et al. Impact of the positive pathergy test on the performance of classification/diagnosis criteria for Behcet’s disease. Mod. Rheumatol. 2013, 23, 125–132. [Google Scholar] [CrossRef] [PubMed]
- Deniz, R.; Emrence, Z.; Yalçınkaya, Y.; Esen, B.A.; İnanç, M.; Öcal, M.L.; Gül, A. Improved Sensitivity of Skin Pathergy Test with Polysaccharide Pneumococcal Vaccine Antigens in the Diagnosis of Behçet Disease. Rheumatology 2022, keac543. [Google Scholar] [CrossRef] [PubMed]
- Tascilar, K.; Melikoglu, M.; Ugurlu, S.; Sut, N.; Caglar, E.; Yazici, H. Vascular involvement in Behçet’s syndrome: A retrospective analysis of associations and the time course. Rheumatology 2014, 53, 2018–2022. [Google Scholar] [CrossRef] [PubMed]
- Seyahi, E. Behçet’s disease: How to diagnose and treat vascular involvement. Best Pract. Res. Clin. Rheumatol. 2016, 30, 279–295. [Google Scholar] [CrossRef]
- Chen, K.R.; Kawahara, Y.; Miyakawa, S.; Nishikawa, T. Cutaneous vasculitis in Behçet’s disease: A clinical and histopathologic study of 20 patients. J. Am. Acad. Dermatol. 1997, 36, 689–696. [Google Scholar] [CrossRef]
- Kawakita, H.; Nishimura, M.; Satoh, Y.; Shibata, N. Neurological aspects of Behçet’s disease. A case report and clinico-pathological review of the literature in Japan. J. Neurol. Sci. 1967, 5, 417–439. [Google Scholar] [CrossRef]
- Koçer, N.; Islak, C.; Siva, A.; Saip, S.; Akman, C.; Kantarci, O.; Hamuryudan, V. CNS involvement in neuro-Behçet syndrome: An MR study. AJNR Am. J. Neuroradiol. 1999, 20, 1015–1024. [Google Scholar]
- Tugal-Tutkun, I.; Gupta, V.; Cunningham, E.T. Differential diagnosis of behçet uveitis. Ocul. Immunol. Inflamm. 2013, 21, 337–350. [Google Scholar] [CrossRef]
- Ambrose, N.; Pierce, I.T.; Gatehouse, P.D.; Haskard, D.O.; Firmin, D.N. Magnetic resonance imaging of vein wall thickness in patients with Behçet’s syndrome. Clin. Exp. Rheumatol. 2014, 32, S99–S102. [Google Scholar]
- Boulon, C.; Skopinski, S.; Constans, J. Vein inflammation and ultrasound in Behçet’s syndrome. Rheumatology 2016, 55, 1750. [Google Scholar] [CrossRef]
- Alibaz-Oner, F.M.A.; Ergelen, R.; Erturk, Z.; Ergun, E.; Direskeneli, D. Venous vessel wall thickness in lower extremity is increased in male behcet’s disease patients without vascular involvement. Rheumatology 2017, 56, 56. [Google Scholar]
- Alibaz-Oner, F.; Ergelen, R.; Mutis, A.; Erturk, Z.; Asadov, R.; Mumcu, G.; Ergun, T.; Direskeneli, H. Venous vessel wall thickness in lower extremity is increased in male patients with Behcet’s disease. Clin. Rheumatol. 2019, 38, 1447–1451. [Google Scholar] [CrossRef]
- Seyahi, E.; Gjoni, M.; Durmaz, E.; Akbaş, S.; Sut, N.; Dikici, A.S.; Mihmanli, I.; Yazici, H. Increased vein wall thickness in Behçet disease. J. Vasc. Surg. Venous. Lymphat. Disord. 2019, 7, 677–684.e672. [Google Scholar] [CrossRef]
- Tezcan, D.; Özer, H.; Gülcemal, S.; Hakbilen, S.; Durmaz, M.S.; Batur, A.; Yilmaz, S. Diagnostic Performance of Lower Extremity Venous Wall Thickness and Laboratory Findings in the Diagnosis of the Behçet Disease. J. Clin. Rheumatol. 2022, 28, e521–e527. [Google Scholar] [CrossRef]
- Kaymaz, S.; Yilmaz, H.; Ufuk, F.; Ütebey, A.R.; Çobankara, V.; Karasu, U.; Albayrak Yaşar, C.; Ulutaş, F. Ultrasonographic measurement of the vascular wall thickness and intima-media thickness in patients with Behçet’s disease with symptoms or signs of vascular involvement: A cross-sectional study. Arch. Rheumatol. 2021, 36, 258–266. [Google Scholar] [CrossRef]
- Ağaçkıran, S.K.; Sünbül, M.; Doğan, Z.; Kocakaya, D.; Kayacı, S.; Direskeneli, H.; Alibaz-Oner, F. Pulmonary arterial wall thickness is increased in Behçet’s disease patients with major organ ınvolvement: Is it a sign of severity? Rheumatology 2022, keac452. [Google Scholar] [CrossRef]
- Alibaz-Oner, F.; Ergelen, R.; Yıldız, Y.; Aldag, M.; Yazici, A.; Cefle, A.; Koç, E.; Artım Esen, B.; Mumcu, G.; Ergun, T.; et al. Femoral vein wall thickness measurement: A new diagnostic tool for Behçet’s disease. Rheumatology 2021, 60, 288–296. [Google Scholar] [CrossRef]
- Alibaz-Oner, F.; Ergelen, R.; Ergenc, I.; Seven, G.; Yazıcı, A.; Cefle, A.; Bes, C.; Atug, O.; Direskeneli, H. Femoral Vein Wall Thickness Measurement May Be a Distinctive Diagnostic Tool to Differentiate Behçet’s Disease with Intestinal Involvement and Crohn’s Disease. Dig. Dis. Sci. 2021, 66, 2750–2755. [Google Scholar] [CrossRef]
- Atalay, E.; Oguz, B.; Sener, S.; Nursun Ozcan, H.; Sag, E.; Kaya Akca, U.; Kasap Cuceoglu, M.; Balik, Z.; Karakaya, J.; Karadag, O.; et al. A new tool supporting the diagnosis of childhood-onset Behçet’s disease: Venous wall thickness. Rheumatology 2022, keac314. [Google Scholar] [CrossRef]

| Manifestation | Frequency (%) |
|---|---|
| Oral ulcers | 97–99 |
| Genital ulcers | 85 |
| Genital scar | 50 |
| Papulopustular lesions | 85 |
| Erythema nodosum | 50 |
| Pathergy reaction | 40–60 |
| Uveitis | 50 |
| Arthritis | 30–50 |
| Subcutaneous thrombophlebitis | 25 |
| Deep vein thrombosis | 15 |
| Arterial occlusion/aneurysm | 5–10 |
| Central nervous system involvement | 20 |
| Epididymitis | 5 |
| Gastrointestinal lesions | 1–58 |
| Manifestation | Definition |
|---|---|
| Recurrent oral ulceration | Observed by a physician or reported reliably by patient, recurring at least three times in one 12-month period |
| Plus any two of the following findings: | |
| Recurrent genital ulceration | Recurrent genital aphthous ulceration or scarring, observed by a physician or reported reliably by patient |
| Eye lesions | Anterior uveitis, posterior uveitis, or cells in vitreous on slit lamp examination; or retinal vasculitis observed by qualified physician (ophthalmologist) |
| Skin lesions |
|
| Positive pathergy test | Test interpreted as positive by a physician at 24–48 h, performed with oblique insertion of a 20-gauge needle or smaller under sterile conditions |
| Main Symptoms |
| Recurrent aphthous ulcers on oral mucosa Skin lesions a. Skin lesion with erythema nodosum b. Subcutaneous thrombophlebitis c. Follicular papules, acneiform papules c. cf.) Skin hypersensitivity Ocular lesions a. Iridocyclitis b. Posterior uveitis (retinochoroiditis) c. If the patients have the following eye symptoms after (a) and (b), diagnose as BD lesions in accordance with (a) and (b) c.
|
| Additional symptoms |
| Arthritis without deformity or sclerosis Epididymitis Gastrointestinal lesion represented by ileocecal ulceration Vascular lesions Central nervous system lesions, moderate or severe |
| Criteria for diagnosis of disease types |
| Complete type: The four main symptoms appeared during the clinical course Incomplete types: Three of the main four symptoms, or two main symptoms and two additional symptoms, appeared during the clinical course Typical ocular lesion and another main symptom, or two additional symptoms appeared during the clinical course BD suspected: Although some main symptoms appear, the case does not meet the criteria for the incomplete type Typical additional symptom is recurrent or becomes more severe Special lesions: Gastrointestinal lesions—presence of abdominal pain and occult blood should be confirmed Vascular lesions—vasculitis of aorta, artery, large veins, or small veins should be differentially diagnosed Neuronal lesions—presence of headache, paresis, lesions of brain and spinal cord, mental symptoms, and other symptoms should be confirmed |
| BD Manifestations | Score Assigned |
|---|---|
| Ocular lesions | 2 |
| Oral aphthosis | 2 |
| Genital aphthosis | 2 |
| Skin lesions | 1 |
| Neurological manifestations | 1 |
| Vascular manifestations | 1 |
| Positive pathergy test * | 1 |
Disclaimer/Publisher’s Note: The statements, opinions and data contained in all publications are solely those of the individual author(s) and contributor(s) and not of MDPI and/or the editor(s). MDPI and/or the editor(s) disclaim responsibility for any injury to people or property resulting from any ideas, methods, instructions or products referred to in the content. |
© 2022 by the authors. Licensee MDPI, Basel, Switzerland. This article is an open access article distributed under the terms and conditions of the Creative Commons Attribution (CC BY) license (https://creativecommons.org/licenses/by/4.0/).
Share and Cite
Alibaz-Oner, F.; Direskeneli, H. Update on the Diagnosis of Behçet’s Disease. Diagnostics 2023, 13, 41. https://doi.org/10.3390/diagnostics13010041
Alibaz-Oner F, Direskeneli H. Update on the Diagnosis of Behçet’s Disease. Diagnostics. 2023; 13(1):41. https://doi.org/10.3390/diagnostics13010041
Chicago/Turabian StyleAlibaz-Oner, Fatma, and Haner Direskeneli. 2023. "Update on the Diagnosis of Behçet’s Disease" Diagnostics 13, no. 1: 41. https://doi.org/10.3390/diagnostics13010041
APA StyleAlibaz-Oner, F., & Direskeneli, H. (2023). Update on the Diagnosis of Behçet’s Disease. Diagnostics, 13(1), 41. https://doi.org/10.3390/diagnostics13010041

