Differential Expression of microRNAs in Hypertrophied Myocardium and Their Relationship to Late Gadolinium Enhancement, Left Ventricular Hypertrophy and Remodeling in Hypertrophic Cardiomyopathy
Abstract
:1. Introduction
2. Materials and Methods
2.1. Study Population
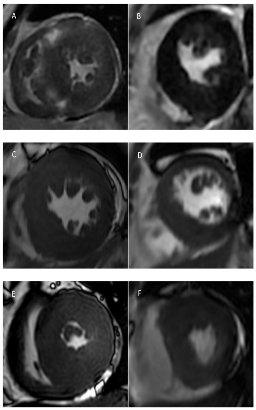
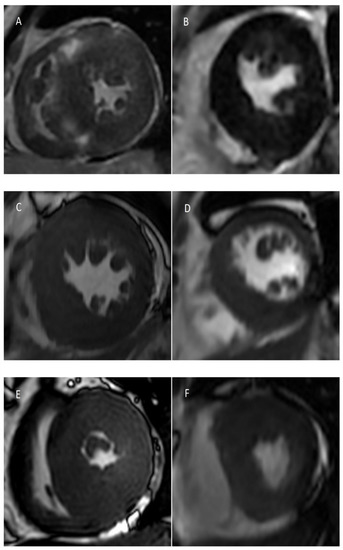
2.2. CMR Image Acquisition
2.3. CMR Image Analysis
2.4. Microarray Infomation
2.5. Experiment
2.6. Experimental Data Analysis
2.7. Statistical Analysis
3. Results
3.1. Patients’ CMR and Echocardiography Findings
3.2. Up-Regulated and Down-Regulated miRNAs in HCM Patients
3.3. Correlation between miRNA Levels and CMR Variables
4. Discussion
5. Conclusions
Author Contributions
Funding
Institutional Review Board Statement
Informed Consent Statement
Data Availability Statement
Conflicts of Interest
References
- Maron, B.J. Clinical Course and Management of Hypertrophic Cardiomyopathy. N. Engl. J. Med. 2018, 379, 655–668. [Google Scholar] [CrossRef] [PubMed]
- Lu, T.X.; Rothenberg, M.E. MicroRNA. J. Allergy Clin. Immunol. 2018, 141, 1202–1207. [Google Scholar] [CrossRef] [PubMed]
- Zhao, Y.; Ransom, J.F.; Li, A.; Vedantham, V.; von Drehle, M.; Muth, A.N.; Tsuchihashi, T.; McManus, M.T.; Schwartz, R.J.; Srivastava, D. Dysregulation of cardiogenesis, cardiac conduction, and cell cycle in mice lacking miRNA-1-2. Cell 2007, 129, 303–317. [Google Scholar] [CrossRef] [PubMed]
- Da Costa Martins, P.A.; Bourajjaj, M.; Gladka, M.; Kortland, M.; van Oort, R.J.; Pinto, Y.M.; Molkentin, J.D.; De Windt, L.J. Conditional dicer gene deletion in the postnatal myocardium provokes spontaneous cardiac remodeling. Circulation 2008, 118, 1567–1576. [Google Scholar] [CrossRef]
- Chen, J.; Huang, Z.-P.; Seok, H.Y.; Ding, J.; Kataoka, M.; Zhang, Z.; Hu, X.; Wang, G.; Lin, Z.; Wang, S.; et al. mir-17-92 cluster is required for and sufficient to induce cardiomyocyte proliferation in postnatal and adult hearts. Circ. Res. 2013, 112, 1557–1566. [Google Scholar] [CrossRef]
- Melman, Y.F.; Shah, R.; Das, S. MicroRNAs in heart failure: Is the picture becoming less miRky? Circ. Heart Fail. 2014, 7, 203–214. [Google Scholar] [CrossRef]
- Tijsen, A.J.; Pinto, Y.M.; Creemers, E.E. Non-cardiomyocyte microRNAs in heart failure. Cardiovasc. Res. 2012, 93, 573–582. [Google Scholar] [CrossRef]
- Roncarati, R.; Anselmi, C.V.; Losi, M.A.; Papa, L.; Cavarretta, E.; Da Costa Martins, P.; Contaldi, C.; Jotti, G.S.; Franzone, A.; Galastri, L.; et al. Circulating miR-29a, among other up-regulated microRNAs, is the only biomarker for both hypertrophy and fibrosis in patients with hypertrophic cardiomyopathy. J. Am. Coll. Cardiol. 2014, 63, 920–927. [Google Scholar] [CrossRef]
- Derda, A.A.; Thum, S.; Lorenzen, J.M.; Bavendiek, U.; Heineke, J.; Keyser, B.; Stuhrmann, M.; Givens, R.C.; Kennel, P.J.; Schulze, P.C.; et al. Blood-based microRNA signatures differentiate various forms of cardiac hypertrophy. Int. J. Cardiol. 2015, 196, 115–122. [Google Scholar] [CrossRef]
- Hundley, W.G.; Bluemke, D.A.; Finn, J.P.; Flamm, S.D.; Fogel, M.A.; Friedrich, M.G.; Ho, V.B.; Jerosch-Herold, M.; Kramer, C.M.; Manning, W.J.; et al. ACCF/ACR/AHA/NASCI/SCMR 2010 expert consensus document on cardiovascular magnetic resonance: A report of the American College of Cardiology Foundation Task Force on Expert Consensus Documents. J. Am. Coll. Cardiol. 2010, 55, 2614–2662. [Google Scholar] [CrossRef]
- Wolk, M.J.; Bailey, S.R.; Doherty, J.U.; Douglas, P.S.; Hendel, R.C.; Kramer, C.M.; Min, J.K.; Patel, M.R.; Rosenbaum, L.; Shaw, L.J.; et al. ACCF/AHA/ASE/ASNC/HFSA/HRS/SCAI/SCCT/SCMR/STS 2013 multimodality appropriate use criteria for the detection and risk assessment of stable ischemic heart disease: A report of the American College of Cardiology Foundation Appropriate Use Criteria Task Force, American Heart Association, American Society of Echocardiography, American Society of Nuclear Cardiology, Heart Failure Society of America, Heart Rhythm Society, Society for Cardiovascular Angiography and Interventions, Society of Cardiovascular Computed Tomography, Society for Cardiovascular Magnetic Resonance, and Society of Thoracic Surgeons. J. Am. Coll. Cardiol. 2014, 63, 380–406. [Google Scholar]
- Patel, M.R.; White, R.D.; Abbara, S.; Bluemke, D.A.; Herfkens, R.J.; Picard, M.; Shaw, L.J.; Silver, M.; Stillman, A.E.; Udelson, J.; et al. 2013 ACCF/ACR/ASE/ASNC/SCCT/SCMR appropriate utilization of cardiovascular imaging in heart failure: A joint report of the American College of Radiology Appropriateness Criteria Committee and the American College of Cardiology Foundation Appropriate Use Criteria Task Force. J. Am. Coll. Cardiol. 2013, 61, 2207–2231. [Google Scholar]
- Petersen, S.E.; Khanji, M.Y.; Plein, S.; Lancellotti, P.; Bucciarelli-Ducci, C. European Association of Cardiovascular Imaging expert consensus paper: A comprehensive review of cardiovascular magnetic resonance normal values of cardiac chamber size and aortic root in adults and recommendations for grading severity. Eur. Heart J.-Cardiovasc. Imaging 2019, 20, 1321–1331. [Google Scholar] [CrossRef]
- Gandy, S.J.; Waugh, S.A.; Nicholas, R.S.; Simpson, H.J.; Milne, W.; Houston, J.G. Comparison of the reproducibility of quantitative cardiac left ventricular assessments in healthy volunteers using different MRI scanners: A multicenter simulation. J. Magn. Reson. Imaging 2008, 28, 359–365. [Google Scholar] [CrossRef]
- Kim, R.J.; Lima, J.A.C.; Chen, E.-L.; Reeder, S.B.; Klocke, F.J.; Zerhouni, E.A.; Judd, R.M. Fast 23Na magnetic resonance imaging of acute reperfused myocardial infarction. Potential to assess myocardial viability. Circulation 1997, 95, 1877–1885. [Google Scholar] [CrossRef]
- Kwong, R.Y.; Chan, A.K.; Brown, K.A.; Chan, C.W.; Reynolds, H.G.; Tsang, S.; Davis, R.B. Impact of unrecognized myocardial scar detected by cardiac magnetic resonance imaging on event-free survival in patients presenting with signs or symptoms of coronary artery disease. Circulation 2006, 113, 2733–2743. [Google Scholar] [CrossRef]
- Ommen, S.R.; Mital, S.; Burke, M.A.; Day, S.M.; Deswal, A.; Elliott, P.; Evanovich, L.L.; Hung, J.; Joglar, J.A.; Kantor, P.; et al. 2020 AHA/ACC Guideline for the Diagnosis and Treatment of Patients With Hypertrophic Cardiomyopathy: A Report of the American College of Cardiology/American Heart Association Joint Committee on Clinical Practice Guidelines. J. Am. Coll. Cardiol. 2020, 142, e558–e631. [Google Scholar]
- Kuster, D.W.; Mulders, J.; Cate, F.J.T.; Michels, M.; dos Remedios, C.G.; da Costa Martins, P.A.; van der Velden, J.; Oudejans, C.B. MicroRNA transcriptome profiling in cardiac tissue of hypertrophic cardiomyopathy patients with MYBPC3 mutations. J. Mol. Cell. Cardiol. 2013, 65, 59–66. [Google Scholar] [CrossRef]
- Song, L.; Su, M.; Wang, S.; Zou, Y.; Wang, X.; Wang, Y.; Cui, H.; Zhao, P.; Hui, R.; Wang, J. MiR-451 is decreased in hypertrophic cardiomyopathy and regulates autophagy by targeting TSC1. J. Cell. Mol. Med. 2014, 18, 2266–2274. [Google Scholar] [CrossRef]
- Huang, D.; Chen, Z.; Wang, J.; Chen, Y.; Liu, D.; Lin, K. MicroRNA-221 is a potential biomarker of myocardial hypertrophy and fibrosis in hypertrophic obstructive cardiomyopathy. Biosci. Rep. 2020, 40, BSR20191234. [Google Scholar] [CrossRef]
- Zhou, J.; Zhou, Y.; Wang, C.X. LncRNA-MIAT regulates fibrosis in hypertrophic cardiomyopathy (HCM) by mediating the expression of miR-29a-3p. J. Cell. Biochem. 2019, 120, 7265–7275. [Google Scholar] [CrossRef] [PubMed]
- Fang, L.; Ellims, A.H.; Moore, X.-L.; White, D.A.; Taylor, A.J.; Chin-Dusting, J.; Dart, A.M. Circulating microRNAs as biomarkers for diffuse myocardial fibrosis in patients with hypertrophic cardiomyopathy. J. Transl. Med. 2015, 13, 314. [Google Scholar] [CrossRef] [PubMed]
- Broadwell, L.J.; Smallegan, M.J.; Rigby, K.M.; Navarro-Arriola, J.S.; Montgomery, R.L.; Rinn, J.L.; Leinwand, L.A. Myosin 7b is a regulatory long noncoding RNA (lncMYH7b) in the human heart. J. Biol. Chem. 2021, 296, 100694. [Google Scholar] [CrossRef] [PubMed]
- Nakao, K.; Minobe, W.; Roden, R.; Bristow, M.R.; Leinwand, L.A. Myosin heavy chain gene expression in human heart failure. J. Clin. Investig. 1997, 100, 2362–2370. [Google Scholar] [CrossRef] [PubMed]
- Miyata, S.; Minobe, W.; Bristow, M.R.; Leinwand, L.A. Myosin heavy chain isoform expression in the failing and nonfailing human heart. Circ. Res. 2000, 86, 386–390. [Google Scholar] [CrossRef] [PubMed]
- Lowes, B.D.; Gilbert, E.M.; Abraham, W.T.; Minobe, W.A.; Larrabee, P.; Ferguson, D.; Wolfel, E.E.; Lindenfeld, J.; Tsvetkova, T.; Robertson, A.D.; et al. Myocardial gene expression in dilated cardiomyopathy treated with beta-blocking agents. N. Engl. J. Med. 2002, 346, 1357–1365. [Google Scholar] [CrossRef]
- Baulina, N.; Pisklova, M.; Kiselev, I.; Chumakova, O.; Zateyshchikov, D.; Favorova, O. Circulating miR-499a-5p Is a Potential Biomarker of MYH7-Associated Hypertrophic Cardiomyopathy. Int. J. Mol. Sci. 2022, 23, 3791. [Google Scholar] [CrossRef]
- Thottakara, T.; Lund, N.; Krämer, E.; Kirchhof, P.; Carrier, L.; Patten, M. A Novel miRNA Screen Identifies miRNA-4454 as a Candidate Biomarker for Ventricular Fibrosis in Patients with Hypertrophic Cardiomyopathy. Biomolecules 2021, 11, 1718. [Google Scholar] [CrossRef]
- Zaragosi, L.-E.; Wdziekonski, B.; Le Brigand, K.; Villageois, P.; Mari, B.; Waldmann, R.; Dani, C.; Barbry, P. Small RNA sequencing reveals miR-642a-3p as a novel adipocyte-specific microRNA and miR-30 as a key regulator of human adipogenesis. Genome Biol. 2011, 12, R64. [Google Scholar] [CrossRef]
- Eyyupkoca, F.; Ercan, K.; Kiziltunc, E.; Ugurlu, I.B.; Kocak, A.; Eyerci, N. Determination of microRNAs associated with adverse left ventricular remodeling after myocardial infarction. Mol. Cell. Biochem. 2022, 477, 781–791. [Google Scholar] [CrossRef]
- Marzetti, E.; Calvani, R.; DuPree, J.; Lees, H.A.; Giovannini, S.; Seo, D.-O.; Buford, T.W.; Sweet, K.; Morgan, D.; Strehler, K.Y.E.; et al. Late-life enalapril administration induces nitric oxide-dependent and independent metabolic adaptations in the rat skeletal muscle. AGE 2013, 35, 1061–1075. [Google Scholar] [CrossRef]
- Giovannini, S.; Onder, G.; Leeuwenburgh, C.; Carter, C.; Marzetti, E.; Russo, A.; Capoluongo, E.; Pahor, M.; Bernabei, R.; Landi, F. Myeloperoxidase levels and mortality in frail community-living elderly individuals. J. Gerontol. Ser. A 2010, 65, 369–376. [Google Scholar] [CrossRef]



| HCM Patients | Controls | p Value | |||
|---|---|---|---|---|---|
| n | Value | n | Value | ||
| Age (years) | 21 | 55 (41,60) | 4 | 51 (32,59) | 0.738 |
| Male | 8 | 38% | 2 | 50% | 1.000 |
| Significant LVOT gradient (>30 mm Hg) | 19 | 90% | 0 | 0% | - |
| Family history of HCM | 4 | 19% | 0 | 0% | - |
| History of syncope | 5 | 24% | 0 | 0% | - |
| Nonsustained tachycardia | 1 | 5% | 0 | 0% | - |
| Maximal EDWT > 30 mm | 2 | 10% | 0 | 0% | - |
| Mitral regurgitation | 0 | 0% | - | ||
| Mild | 2 | 10% | 0 | 0% | - |
| Moderate | 7 | 33% | 0 | 0% | - |
| Severe | 12 | 57% | 0 | 0% | - |
| CMR Parameters | HCM Patients |
|---|---|
| Left atrial volume index (mL/m2) | 53 (44,68) |
| Left ventricular ejection fraction (%) | 66 (59,73) |
| Left ventricular end diastolic volume index (mm/m2) | 75 (57,88) |
| Left ventricular end systolic volume index (mm/m2) | 24 (19,35) |
| Left ventricular outflow tract gradient (mm Hg) | 78 (54,101) |
| Maximal wall thickness (mm) | 22 (18,28) |
| Left ventricular mass index (mm/m2) | 95 (79,126) |
| Quantification of late gadolinium enhancement (%) | 6 (2,20) |
| miRNAs | p-Value | FoldChange | log2FoldChange | Regulation |
|---|---|---|---|---|
| hsa-miR-15a-5p | 1.67 × 10−8 | 2.190249138 | 1.131094984 | Up |
| hsa-miR-24-1-5p | 6.63 × 10−7 | 2.185726725 | 1.128113036 | Up |
| hsa-miR-95-3p | 0.00107674 | 8.082612468 | 3.014821677 | Up |
| hsa-miR-208a-3p | 1.37 × 10−6 | −28.85041914 | −4.850520374 | Down |
| hsa-miR-148a-3p | 0.007665064 | −7.04991722 | −2.817606318 | Down |
| hsa-miR-10a-5p | 0.023519485 | −5.823609987 | −2.54191374 | Down |
| hsa-miR-181a-5p | 2.42 × 10−9 | 2.046487301 | 1.033149714 | Up |
| hsa-miR-181b-5p | 1.61 × 10−8 | 4.767522463 | 2.253239736 | Up |
| hsa-miR-204-5p | 0.000980838 | −11.19625089 | −3.484943816 | Down |
| hsa-miR-218-5p | 8.97 × 10−17 | −54.93956941 | −5.779773698 | Down |
| hsa-miR-221-3p | 8.08 × 10−18 | 77.96215989 | 6.284702155 | Up |
| hsa-miR-142-3p | 0.00037835 | −4.857959151 | −2.280350359 | Down |
| hsa-miR-149-5p | 2.81 × 10−6 | 3.888492702 | 1.959211031 | Up |
| hsa-miR-188-5p | 0.001074418 | −4.594043979 | −2.199764668 | Down |
| hsa-miR-378a-5p | 2.43 × 10−13 | 9.967233981 | 3.317193196 | Up |
| hsa-miR-378a-3p | 1.45 × 10−9 | 2.409517431 | 1.268744238 | Up |
| hsa-miR-424-5p | 0.015718634 | 5.24821437 | 2.39182665 | Up |
| hsa-miR-451a | 0.048520532 | −2.158469131 | −1.110008461 | Down |
| hsa-miR-486-5p | 3.01 × 10−8 | 2.491376359 | 1.316942978 | Up |
| hsa-miR-499a-5p | 8.04 × 10−10 | 3.125868037 | 1.644256874 | Up |
| hsa-miR-551b-3p | 7.91 × 10−11 | −23.50718535 | −4.555029902 | Down |
| hsa-miR-575 | 1.02 × 10−11 | −18.94850888 | −4.244012418 | Down |
| hsa-miR-652-3p | 0.003807107 | 4.396032747 | 2.136202133 | Up |
| hsa-miR-23b-5p | 0.006018149 | 3.310903689 | 1.727225045 | Up |
| hsa-miR-125a-3p | 0.003260678 | −3.153527041 | −1.656966304 | Down |
| hsa-miR-486-3p | 0.000950208 | 6.877931643 | 2.781974778 | Up |
| hsa-miR-490-5p | 0.005608572 | −2.417505315 | −1.273519062 | Down |
| hsa-miR-455-3p | 6.87 × 10−8 | 4.151633047 | 2.053678933 | Up |
| hsa-miR-208b-3p | 8.33 × 10−13 | 159.1822033 | 7.31453524 | Up |
| hsa-miR-1225-5p | 1.02 × 10−6 | −2.301696596 | −1.202697674 | Down |
| hsa-miR-1246 | 1.03 × 10−11 | −14.79899608 | −3.887427406 | Down |
| hsa-miR-1915-3p | 0.012200862 | −8.341626335 | −3.060328688 | Down |
| hsa-miR-224-3p | 1.04 × 10−9 | 14.97603971 | 3.904584261 | Up |
| hsa-miR-3141 | 0.015232493 | −4.006507145 | −2.00234505 | Down |
| hsa-miR-4298 | 0.042552949 | −4.810758055 | −2.266264244 | Down |
| hsa-miR-4270 | 0.012522098 | −9.686961125 | −3.276044152 | Down |
| hsa-miR-4291 | 0.029289007 | 2.996508744 | 1.583282584 | Up |
| hsa-miR-3679-5p | 0.014999028 | −3.151810102 | −1.656180614 | Down |
| hsa-miR-378d | 2.36 × 10−11 | 5.814021124 | 2.539536313 | Up |
| hsa-miR-4442 | 0.014525527 | −7.714730539 | −2.947615767 | Down |
| hsa-miR-4466 | 0.000397024 | −17.79445123 | −4.153355537 | Down |
| hsa-miR-4530 | 3.77 × 10−7 | −2.141285992 | −1.098477496 | Down |
| hsa-miR-378i | 3.05 × 10−11 | 2.634035175 | 1.397274612 | Up |
| hsa-miR-3960 | 0.000482361 | −2.028841036 | −1.020655831 | Down |
| hsa-miR-4634 | 1.85 × 10−5 | −7.491169168 | −2.905190902 | Down |
| hsa-miR-4669 | 0.032262486 | −7.26027626 | −2.860024445 | Down |
| hsa-miR-4687-3p | 2.06 × 10−7 | −3.042668733 | −1.605337271 | Down |
| hsa-miR-4741 | 1.67 × 10−9 | −38.44059936 | −5.264558926 | Down |
| hsa-miR-4787-5p | 0.000435723 | −4.295676251 | −2.102885267 | Down |
| hsa-miR-4788 | 2.32 × 10−7 | −19.06965697 | −4.253206987 | Down |
| hsa-miR-642a-3p | 0.049097861 | −5.377734753 | −2.426998599 | Down |
| hsa-miR-5001-5p | 8.45 × 10−5 | −3.991371678 | −1.996884629 | Down |
| hsa-miR-1229-5p | 0.005670955 | −9.395082827 | −3.231905881 | Down |
| hsa-miR-5787 | 4.37 × 10−11 | −29.79856364 | −4.897170886 | Down |
| hsa-miR-6088 | 0.00125777 | −2.075538432 | −1.053485646 | Down |
| hsa-miR-6090 | 0.000126781 | −2.72669402 | −1.447152815 | Down |
| hsa-miR-6510-5p | 0.020496139 | −2.921621676 | −1.546769374 | Down |
| hsa-miR-208a-5p | 8.26 × 10−6 | −11.036198 | −3.464171341 | Down |
| hsa-miR-6727-5p | 0.000316337 | −5.062208252 | −2.339766859 | Down |
| hsa-miR-6739-5p | 0.044423071 | 2.783974922 | 1.477146215 | Up |
| hsa-miR-6800-5p | 0.017351182 | −8.6565924 | −3.113799231 | Down |
| hsa-miR-6850-5p | 0.000487495 | −10.15242969 | −3.343753131 | Down |
| hsa-miR-6891-5p | 0.021973529 | −7.101027763 | −2.828027847 | Down |
| hsa-miR-7107-5p | 0.017734323 | −2.296376215 | −1.199359018 | Down |
| hsa-miR-7110-5p | 0.037958046 | −6.662449596 | −2.736052713 | Down |
| hsa-miR-7150 | 3.40 × 10−6 | −13.56395008 | −3.761705475 | Down |
| hsa-miR-7847-3p | 6.05 × 10−6 | −10.01635556 | −3.324285775 | Down |
| hsa-miR-8069 | 4.29 × 10−8 | −2.194231964 | −1.133716049 | Down |
Publisher’s Note: MDPI stays neutral with regard to jurisdictional claims in published maps and institutional affiliations. |
© 2022 by the authors. Licensee MDPI, Basel, Switzerland. This article is an open access article distributed under the terms and conditions of the Creative Commons Attribution (CC BY) license (https://creativecommons.org/licenses/by/4.0/).
Share and Cite
Zhang, C.; Zhang, H.; Zhao, L.; Wei, Z.; Lai, Y.; Ma, X. Differential Expression of microRNAs in Hypertrophied Myocardium and Their Relationship to Late Gadolinium Enhancement, Left Ventricular Hypertrophy and Remodeling in Hypertrophic Cardiomyopathy. Diagnostics 2022, 12, 1978. https://doi.org/10.3390/diagnostics12081978
Zhang C, Zhang H, Zhao L, Wei Z, Lai Y, Ma X. Differential Expression of microRNAs in Hypertrophied Myocardium and Their Relationship to Late Gadolinium Enhancement, Left Ventricular Hypertrophy and Remodeling in Hypertrophic Cardiomyopathy. Diagnostics. 2022; 12(8):1978. https://doi.org/10.3390/diagnostics12081978
Chicago/Turabian StyleZhang, Chen, Hongbo Zhang, Lei Zhao, Zhipeng Wei, Yongqiang Lai, and Xiaohai Ma. 2022. "Differential Expression of microRNAs in Hypertrophied Myocardium and Their Relationship to Late Gadolinium Enhancement, Left Ventricular Hypertrophy and Remodeling in Hypertrophic Cardiomyopathy" Diagnostics 12, no. 8: 1978. https://doi.org/10.3390/diagnostics12081978
APA StyleZhang, C., Zhang, H., Zhao, L., Wei, Z., Lai, Y., & Ma, X. (2022). Differential Expression of microRNAs in Hypertrophied Myocardium and Their Relationship to Late Gadolinium Enhancement, Left Ventricular Hypertrophy and Remodeling in Hypertrophic Cardiomyopathy. Diagnostics, 12(8), 1978. https://doi.org/10.3390/diagnostics12081978
