Non-Syndromic Familial Mesiodens: Presentation of Three Cases
Abstract
1. Introduction
2. Cases Presentations
2.1. Case Report 1
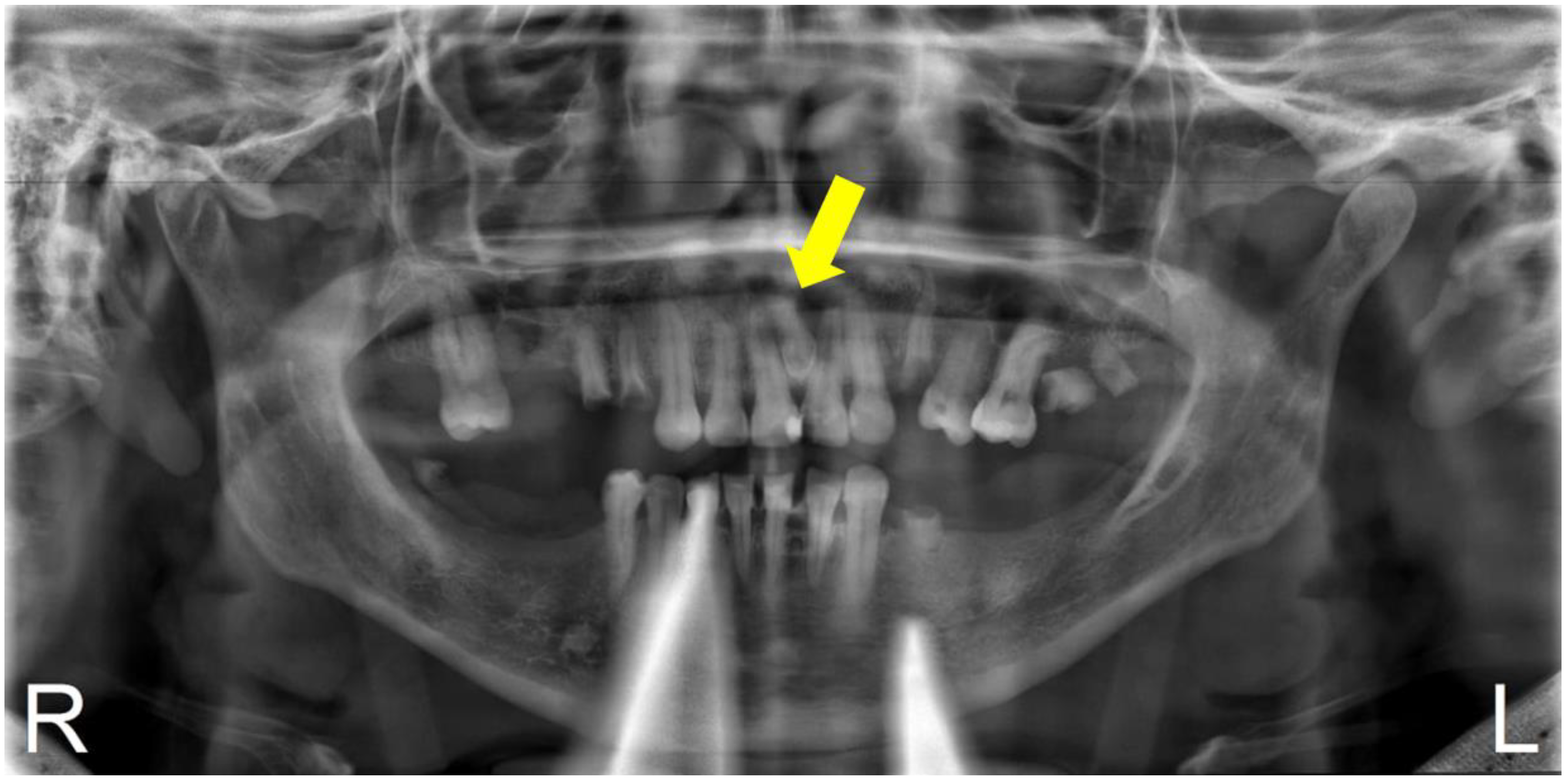
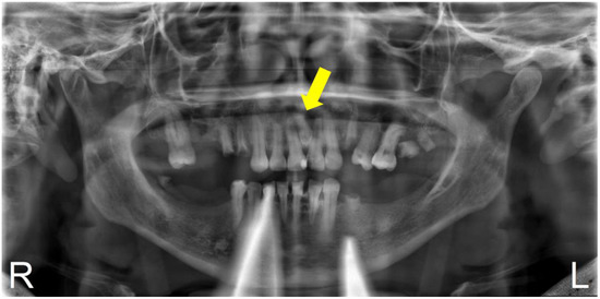
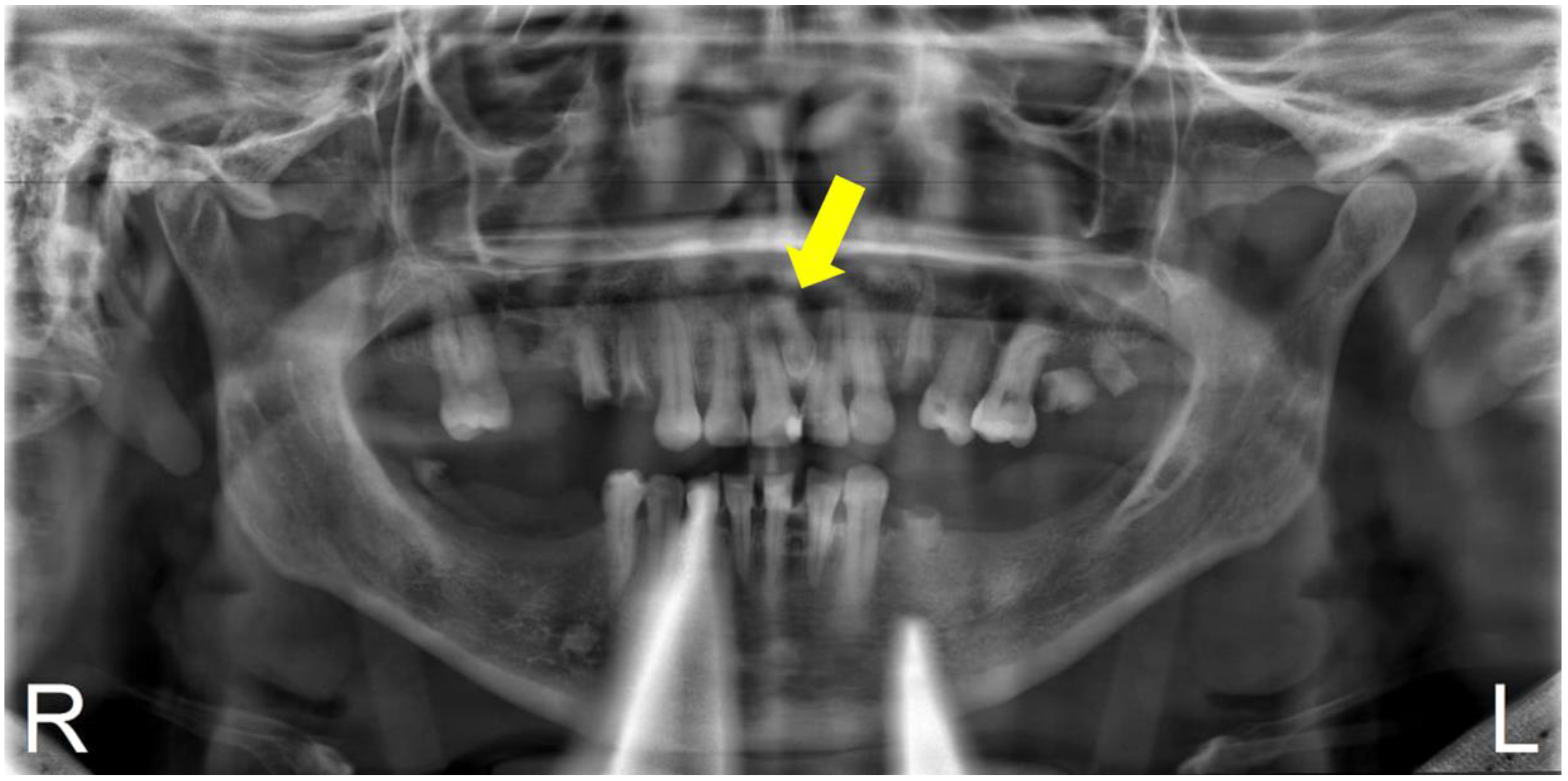
2.2. Case Report 2
2.3. Case Report 3
3. Discussion
4. Conclusions
Author Contributions
Funding
Institutional Review Board Statement
Informed Consent Statement
Data Availability Statement
Conflicts of Interest
References
- Villavicencio, J.; Hernández, J.; Medina, S. Clinical variations of double mesiodens: A review and case report. Rev. Fac. Odontol. Univ. Antioq. 2015, 27, 216–227. [Google Scholar] [CrossRef]
- Mallineni, S.K. Supernumerary Teeth: Review of the Literature with Recent Updates. Conf. Pap. Sci. 2014, 2014, 764050. [Google Scholar] [CrossRef]
- Ata-Ali, F.; Ata-Ali, J.; Peñarrocha-Oltra, D.; Peñarrocha-Diago, M. Prevalence, etiology, diagnosis, treatment and complications of supernumerary teeth. J. Clin. Exp. Dent. 2014, 6, e414–e418. [Google Scholar] [CrossRef] [PubMed]
- Wang, X.X.; Zhang, J.; Wei, F.C. Autosomal dominant inherence of multiple supernumerary teeth. Int. J. Oral. Maxillofac. Surg. 2007, 36, 756–758. [Google Scholar] [CrossRef] [PubMed]
- Rajab, L.D.; Hamdan, M.A.M. Supernumerary teeth: Review of the literature and a survey of 152 cases. Int. J. Paediatr. Dent. 2002, 12, 244–254. [Google Scholar] [CrossRef] [PubMed]
- Garvey, M.T.; Barry, H.J.; Blake, M. Supernumerary teeth—An overview of classification, diagnosis and management. J. Can. Dent. Assoc. 1999, 65, 612–616. [Google Scholar] [PubMed]
- Khambete, N.; Kumar, R. Genetics and presence of non-syndromic supernumerary teeth: A mystery case report and review of literature. Contemp. Clin. Dent. 2012, 3, 499–502. [Google Scholar] [CrossRef] [PubMed]
- Russell, K.A.; Folwarczna, M.A. Mesiodens—Diagnosis and management of a common supernumerary tooth. J. Can. Dent. Assoc. 2003, 69, 362–366. [Google Scholar]
- Brook, A.H. A unifying aetiological explanation for anomalies of human tooth number and size. Arch. Oral. Biol. 1984, 29, 373–378. [Google Scholar] [CrossRef]
- Akay, G.; Özdede, M.; Güngör, K. An evaluation of mesiodentes: A retrospective study with cone-beam computed tomography. Selcuk. Dent. J. 2018, 5, 203–211. [Google Scholar]
- Kawashima, A.; Nomura, Y.; Aoyagi, Y.; Asada, Y. Heredity may be one of the etiologies of supernumerary teeth. Pediatr. Dent. J. 2006, 16, 115–117. [Google Scholar] [CrossRef]
- Anthonappa, R.P.; King, N.M.; Rabie, A.B. Aetiology of supernumerary teeth: A literature review. Eur. Arch. Paediatr. Dent. 2013, 14, 279–288. [Google Scholar] [CrossRef] [PubMed]
- Sedano, H.O.; Gorlin, R.J. Familial occurrence of mesiodens. Oral. Surg. Oral. Med. Oral. Pathol. 1969, 27, 360–361. [Google Scholar] [CrossRef]
- Beere, D.; Hargreaves, J.A.; Sperber, G.H.; Cleaton-Jones, P. Mirror image supplemental primary incisor teeth in twins: Case report and review. Pediatr. Dent. 1990, 12, 390–392. [Google Scholar] [PubMed]
- Choi, W.K.; Chang, R.C.; Chuang, S.T. Bilateral mesiodentes of identical twins—A case report. Zhonghua Ya Yi Xue Hui Za Zhi. 1990, 9, 116–121. [Google Scholar] [PubMed]
- Almeida, J.D.; Guimarães-Cabral, L.A.; Martins-Gomes, A.P.; Moraes, E. Supernumerary mesiodentes with familial character: A clinical report. Quintessence. Int. 1995, 26, 343–345. [Google Scholar] [PubMed]
- Seddon, R.P.; Johnstone, S.C.; Smith, P.B. Mesiodentes in twins: A case report and a review of the literature. Int. J. Paediatr. Dent. 1997, 7, 177–184. [Google Scholar] [CrossRef] [PubMed]
- Marya, C.M.; Kumar, B.R. Familial occurrence of mesiodentes with unusual findings: Case reports. Quintessence Int. 1998, 29, 49–51. [Google Scholar] [PubMed]
- Gallas, M.M.; García, A. Retention of permanent incisors by mesiodens: A family affair. Br. Dent. J. 2000, 188, 63–64. [Google Scholar] [CrossRef] [PubMed]
- Sharma, A. A rare case of concomitant hypo-hyperdontia in identical twins. J. Indian. Soc. Pedod. Prev. Dent. 2008, 26, s79–s81. [Google Scholar] [PubMed]
- Verma, P.; Sachdeo, J.; Verna, K. Nonsyndromic Familial Hyperdontia: Two Case Reports and Review of Literature. J. Indian. Acad. Oral. Med. Radiol. 2010, 22, 105–108. [Google Scholar] [CrossRef]
- Babacan, H.; Öztürk, F.; Polat, H.B. Identical unerupted maxillary incisors in monozygotic twins. Am. J. Orthod. Dentofac. Orthop. 2010, 138, 498–509. [Google Scholar] [CrossRef] [PubMed]
- Sadeghzadeh-Araghi, A.; Vassiliou, L. The Familial Rhino Tooth: Two Mesiodentes. J. Craniofac. Surg. 2019, 30, 1576–1578. [Google Scholar] [CrossRef] [PubMed]
- Witanowska, J. Mesiodens and Impacted Incisor in Each of Monozygotic Twin Sisters: A Report of Two Fully Concordant Cases. WebmedCentral DENTISTRY 2011, 2, WMC001995. [Google Scholar] [CrossRef]
- Oropeza, M.P. Dientes supernumerarios. Reporte de un caso clínico. Rev. Odontológica Mexicana 2013, 17, 91–96. [Google Scholar] [CrossRef][Green Version]
- Townsend, G.C.; Richards, L.; Hughes, T.; Pinkerton, S.; Schwerdt, W. Epigenetic influences may explain dental differences in monozygotic twin pairs. Aust. Dent. J. 2005, 50, 95–100. [Google Scholar] [CrossRef] [PubMed]
- Rodrigues, M.T.; Cardoso, C.L.; Munhoz, E.A.; Yaedu, R.Y.; Sant´Ana, E.; Júnior, O.F. Different Impacted Teeth in Monozygotic Twins: Discussion of an unusual case. Arch. Oral Res. 2008, 4, 95–100. [Google Scholar] [CrossRef]
- Munns, D. Unerupted incisors. Br. J. Orthod. 1981, 8, 39–42. [Google Scholar] [CrossRef] [PubMed]
- Meighani, G.; Pakdaman, A. Diagnosis and management of supernumerary (mesiodens): A review of the literature. J. Dent. 2010, 7, 41–49. [Google Scholar]
- Alaçam, A.; Bani, M. Mesiodens as a risk factor in treatment of trauma cases. Dent Traumatol. 2009, 25, e25–e31. [Google Scholar] [CrossRef]





| Case Report | Gender | N° of Supernumeraries | Age at Diagnosis | Diagnostic Form | Complications |
|---|---|---|---|---|---|
| Case Report 1 | Male | Conoid mesiodens with dilaceration in close contact to tooth 2.1, horizontal position | 9 years old | Clinically, due to increased palatal volume | Tooth vestibuloversion 2.1 Palatal volume increase |
| Case Report 2 | Female | Conoid mesiodens, included, vertical position, located between teeth 1.1 and 2.1 | 49 years old | Radiographic finding | Asymptomatic |
| Case Report 3 | Female | Not reported | 12 years old | Radiographic finding | Not reported |
| Study | Family Bond with Supernumerary Teeth | Mesiodens | Age at Diagnosis | Complications |
|---|---|---|---|---|
| Sedano et al., 1969 [13] | Sister Brother | Sister: Mesiodens inverted Brother: Mesiodens without inversion | Not reported | Sister: The root development was not fully completed Brother: There were no alterations |
| Beere et al., 1990 [14] | Monozygotic, male | Twin 1: Supplementary primary maxillary lateral incisor on the right side Twin 2: Supplementary primary maxillary incisor on the left side | 4 years old | Erupted mesiodens |
| Choi et al., 1990 [15] | Monozygotic, male | Bilateral mesiodens of opposite orientation Mesiodent roots were fully formed | 10 years old | Three conical and impacted mesiodens, one in incisiform eruption |
| Almeida et al., 1995 [16] | Three siblings | Sibling 1: Presence of an erupted mesiodens Sibling 2: Radiographically, intraosseous mesiodens between the upper incisors were observed Sibling 3: Radiographically revealed an intraosseous development mesiodens | Sibling 1: 11 years old Sibling 2: 9 years old Sibling 3: 21 years old | Sibling 1: Teeth 11 and 21 were poorly positioned Sibling 2: Radiographically detected without complication Sibling 3: Radiographically detected without complication |
| Seddon et al., 1997 [17] | Monozygotic, male Grandmother | Both twins with bilateral mesiodens Twin 1: The right mesiodens was large with a barrel-shaped crown. The left mesiodens was more incisiform Twin 2: The right mesiodens was conical in form. The left mesiodens was more incisiform Grandmother: Presence of mesiodens | Twins: 7 years old Grandmother: Not reported | Twins: Retained primary central incisors Grandmother: Not reported |
| Marya et al., 1998 [18] | Two siblings | Sibling 1: Presence of two conical mesiodens eruptions The right mesiodens had a small notehlike projection Sibling 2: Molariform mesiodens eruptions, with five cusps. An intraoral oclusal radiograph revealed the presence of a second, unerupted supernumerary mesiodens | Sibling 1: 12 years old Sibling 2: 8 years old | Sibling 1: Revealed that the maxillary central incisors were positioned far apart because of the presence of two conical mesiodens eruptions. Both permanent maxillary canines were clinically absent Sibling 2: The maxillary left central incisor was malpositioned, the mesiodens was occluding with the mandibular left central incisor and caused a maxillary midline diastema of 4 mm |
| Gallas et al., 2000 [19] | Two sisters | Both sisters with 2 supernumerary teeth in the position of the central incisors | Sister 1: 13 years old Sister 2: 8 years old | Sister 1: Retention of permanent incisors Sister 2: The permanent central incisors had erupted without the deciduous central incisors having exfoliated |
| Sharma et al., 2008 [20] | Monozygotic, male | Twin 1: Intraoral examination palatally erupting tuberculate mesiodens in relation to 61. Radiographic examination revealed bilateral presence of two tuberculate mesiodens, one erupted and causing rotation of 21, while the other was seen impacted in relation to 51 Twin 2: Clinical and radiographic examination showed a tuberculate mesiodens between the primary central incisors | 7 years old | Twin 1: Complaint of a tooth seen to be erupting for the last 3 months behind the upper front teeth and causing difficulty while speaking Twin 2: Maxillary midline supernumerary tooth which was erupting for the last 2 months |
| Verma et al., 2010 [21] | Case report 1: sister and brother Case report 2: father and son | Case 1: Intraoral examination revealed two palatally erupting diverging tuberculate mesiodens behind 11 and 21. Intraoral periapical radiograph of 11 and 21 region showed well-defined tuberculate mesiodens with fully formed roots Case 2: Son: A palatally erupted tuberculate mesiodens Father: Fused mesiodens | Case 1 Brother 1: 14 years Brother 2: 11 years Case 2: Son: 11 years old Father: Not reported | Case 1: Mesiodens erupting behind the upper front teeth, revealed recurrent injury to the tongue while making tongue movements. Additionally, there is lodgment of food between upper front teeth and erupting extra teeth leading to difficulty in chewing food Case 2: Son: Tooth erupting behind upper front teeth leading to malalignment of teeth in the upper front teeth region. Displacement of 2.1 Father: Affectation of 1.1 |
| Babacan et al., 2010 [22] | Monozygotic, male | Mesiodens were palatal to the impacted central incisors | 10.5 years old | Mesiodens was preventing eruption of the maxillary left central incisor in both twins. Space loss and midline shift of the right central incisor had occurred, and the left lateral incisors had drifted mesially in both children |
| Sadeghzadeh-Araghi et al., 2019 [23] | Father Son | Father: Mesiodens between roots of central incisors with an unintentional coronectomy, the crown of the tooth had been removed as it was mistaken for a bony growth/extension of the anterior nasal spine Son: Mesiodens was lying behind the anterior nasal spine, buccally positioned and in close proximity to both the floor of the left nasal aperture and maxillary incisor apices | Father: 65 years old Son: 17 years old | Father: Dull ache around the anterior maxilla Son: Radiographic finding, asymptomatic |
| Witanowska et al., 2011 [24] | Monozygotic twin sisters | Incisiform mesiodens with its root developed; root tip in maxillary midline, mesiodens left tilted, its crown within eruption pathway | 8 years 5 months |
|
Publisher’s Note: MDPI stays neutral with regard to jurisdictional claims in published maps and institutional affiliations. |
© 2022 by the authors. Licensee MDPI, Basel, Switzerland. This article is an open access article distributed under the terms and conditions of the Creative Commons Attribution (CC BY) license (https://creativecommons.org/licenses/by/4.0/).
Share and Cite
Alarcón, J.; Guzmán, J.; Masuko, T.S.; Cáceres, P.N.; Fuentes, R. Non-Syndromic Familial Mesiodens: Presentation of Three Cases. Diagnostics 2022, 12, 1869. https://doi.org/10.3390/diagnostics12081869
Alarcón J, Guzmán J, Masuko TS, Cáceres PN, Fuentes R. Non-Syndromic Familial Mesiodens: Presentation of Three Cases. Diagnostics. 2022; 12(8):1869. https://doi.org/10.3390/diagnostics12081869
Chicago/Turabian StyleAlarcón, Josefa, Jacob Guzmán, Telma S. Masuko, Pablo Navarro Cáceres, and Ramón Fuentes. 2022. "Non-Syndromic Familial Mesiodens: Presentation of Three Cases" Diagnostics 12, no. 8: 1869. https://doi.org/10.3390/diagnostics12081869
APA StyleAlarcón, J., Guzmán, J., Masuko, T. S., Cáceres, P. N., & Fuentes, R. (2022). Non-Syndromic Familial Mesiodens: Presentation of Three Cases. Diagnostics, 12(8), 1869. https://doi.org/10.3390/diagnostics12081869
