Nontuberculous Mycobacterial Lung Disease in the Patients with Cystic Fibrosis—A Challenging Diagnostic Problem
Abstract
1. Introduction
2. Aim
3. Material and Methods
4. Results
4.1. Clinical Data
4.2. Microbiological Analysis
4.2.1. NTM
4.2.2. Other Pathogens
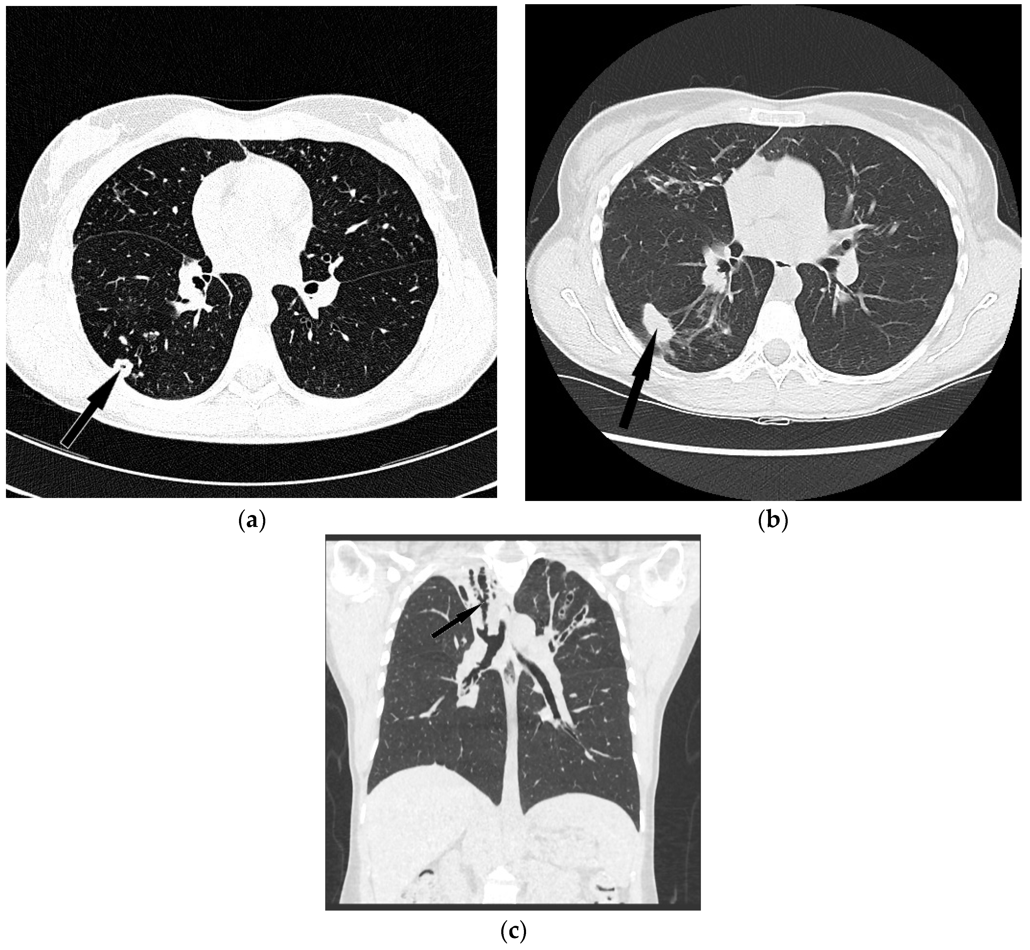
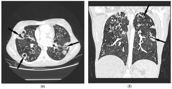
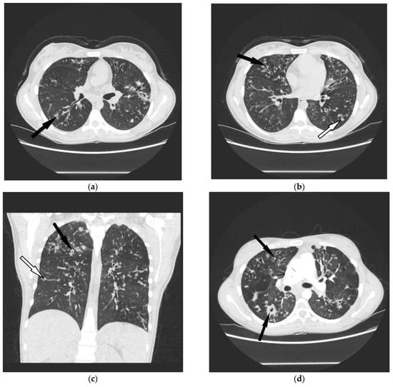
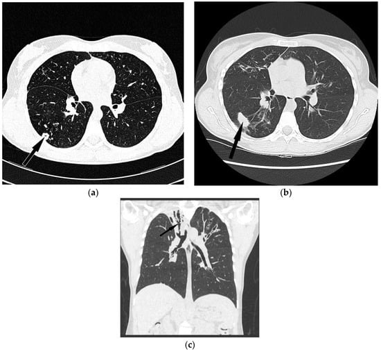
4.3. Radiological Data
5. Discussion
Author Contributions
Funding
Institutional Review Board Statement
Informed Consent Statement
Data Availability Statement
Conflicts of Interest
References
- Ferrell, K.C.; Johansen, M.D.; Triccas, J.A.; Counoupas, C. Virulence mechanisms of Mycobacterium abscessus: Current knowledge and implications for vaccine design. Front. Microbiol. 2022, 13, 842017. [Google Scholar] [CrossRef] [PubMed]
- Jarych, D.; Augustynowicz–Kopeć, E.; Iwańska, A.; Parniewski, P.; Majchrzak, M. Molecular analysis of Pseudomonas aeruginosa isolated from cystic fibrosis patients. Sci. Rep. 2021, 11, 15460. [Google Scholar] [CrossRef] [PubMed]
- Papon, N.; Borman, A.M.; Meyer, W.; Bouchara, J.-P. Editorial: Fungal respiratory infections in cystic fibrosis. Front. Cell Infect. Microbiol. 2021, 11, 800847. [Google Scholar] [CrossRef]
- Foote, S.L.; Lipner, E.M.; Prevots, D.R.; Ricotta, E.E. Environmental predictors of pulmonary nontuberculous mycobacteria (NTM) sputum positivity among persons with cystic fibrosis in state of Florida. PLoS ONE 2021, 16, e0259964. [Google Scholar] [CrossRef]
- Oliver, K.N.; Prevots, D.R. HALT-ing nontuberculous mycobacteria in CF Centers. Is there something in the water? Am. J. Respir. Crit. Care Med. 2022, 205, 982–983. [Google Scholar] [CrossRef]
- Nick, J.A.; Daley, C.L.; Lenhart-Pendergrass, P.; Davidson, R. Nontuberculous mycobacteria in cystic fibrosis. Curr. Opin. Pulm. Med. 2021, 27, 586–592. [Google Scholar] [CrossRef]
- Zabost, A.; Szturmowicz, M.; Brzezińska, S.; Klatt, M.; Augustynowicz-Kopeć, E. Mycobacterium chimaera as an underestimated cause of NTM lung diseases in patients hospitalized in pulmonary wards. Pol. J. Microbiol. 2021, 70, 315–320. [Google Scholar] [CrossRef]
- Abate, G.; Stapleton, J.T.; Rouphael, N.; Creech, B.; E Stout, J.; El Sahly, H.M.; Jackson, L.; Leyva, F.J.; Tomashek, K.M.; Tibbals, M.; et al. Variability in the management of adults with pulmonary nontuberculous mycobacterial disease. Clin. Infect. Dis. 2021, 72, 1127–1137. [Google Scholar] [CrossRef]
- Szturmowicz, M.; Siemion-Szcześniak, I.; Wyrostkiewicz, D.; Klatt, M.; Brzezińska, S.; Zabost, A.; Lewandowska, A.; Filipczak, D.; Oniszh, K.; Skoczylas, A.; et al. Factors predisposing to non-tuberculous mycobacteria lung disease in the patients with respiratory isolates of non-tuberculous mycobacteria. Adv. Respir Med. 2018, 86, 261–267. [Google Scholar] [CrossRef]
- Abidin, N.Z.; Gardner, A.I.; Robinson, H.-L.; Haq, I.J.; Thomas, M.F.; Brodlie, M. Trends in nontuberculous mycobacteria infection in children and young people with cystic fibrosis. J. Cyst. Fibr. 2021, 20, 737–741. [Google Scholar] [CrossRef]
- Lucca, F.; Cucchetto, G.; Volpi, S.; Cipolli, M. Nontuberculous mycobacteria (NTM) in cystic fibrosis (CF) patients over the last decade: Real-life data from Verona CF center. Eur. Respir. J. 2021, 58, PA2197. [Google Scholar]
- Larcher, R.; Lounnas, M.; Dumont, Y.; Michon, A.L.; Bonzon, L.; Chiron, R.; Carriere, C.; Klouche, K.; Godreuil, S. Mycobacterium chimaera pulmonary disease in cystic fibrosis patients, France, 2010–2017. Emerg. Infect. Dis. 2019, 25, 611–612. [Google Scholar] [CrossRef]
- Gardner, A.; McClenaghan, E.; Saint, G.; McNamara, P.S.; Brodlie, M.; Thomas, M.F. Epidemiology of non-tuberculous mycobacteria infection in children and young people with cystic fibrosis: Analysis of UK Cystic Fibrosis Registry. Clin. Infect. Dis. 2019, 68, 731–737. [Google Scholar] [CrossRef] [PubMed]
- Adjemian, J.; Olivier, K.N.; Prevots, D.R. Epidemiology of pulmonary nontuberculous sputum positivity in patients with cystic fibrosis in the United States, 2010-2014. Ann. Am. Thorac. Soc. 2018, 15, 817–826. [Google Scholar] [CrossRef] [PubMed]
- Daley, C.L.; Iaccarino, J.M.; Lange, C.; Cambau, E.; Wallace, R.J., Jr.; Andrejak, C.; Böttger, E.C.; Brozek, J.; Griffith, D.E.; Guglielmetti, L.; et al. Treatment of non-tuberculous mycobacterial pulmonary disease: An Official ATS/ERS/ESCMID/IDSA clinical practice guideline. Clin. Infect. Dis. 2020, 71, e1–e36. [Google Scholar] [CrossRef]
- Rybacka, A.; Karmelita-Katulska, K. The Role of Computed Tomography in Monitoring Patients with Cystic Fibrosis. Pol. J. Radiol. 2016, 81, 141–145. [Google Scholar] [CrossRef][Green Version]
- Ciet, P.; Bertolo, S.; Ros, M.; Casciaro, R.; Cipolli, M.; Colagrande, S.; Costa, S.; Galici, V.; Gramegna, A.; Lanza, C.; et al. State-of-the art review of lung imaging in cystic fibrosis with recommendations for pulmonologists and radiologists from the “iMAging management of cystic fibrosis (MAESTRO). Eur. Respir. Rev. 2022, 31, 210173. [Google Scholar] [CrossRef]
- Crowley, C.; O’Connor, O.J.; Ciet, P.; Tiddens, H.A.W.M.; Maher, M.M. The evolving role of radiological imaging in cystic fibrosis. Curr. Opin. Pulm. Med. 2021, 27, 575–585. [Google Scholar] [CrossRef]
- Garcia, B.; Wilmskoetter, J.; Grady, A.; Mingora, C.; Dorman, S.; Flume, P. Chest computed tomography features of nontuberculous mycobacterial pulmonary disease versus asymptomatic colonization. A cross-sectional study. J. Thorac. Imag. 2022, 37, 140–145. [Google Scholar] [CrossRef]
- Varley, C.D.; Winthrop, K.L. Nontuberculous mycobacteria: Diagnosis and therapy. Clin. Chest Med. 2022, 43, 89–99. [Google Scholar] [CrossRef]
- Szturmowicz, M.; Oniszh, K.; Wyrostkiewicz, D.; Radwan-Rohrenschef, P.; Filipczak, D.; Zabost, A. Non-tuberculous mycobacteria in respiratory specimens of patients with obstructive lung diseases–colonization or disease? Antibiotics 2020, 9, 424. [Google Scholar] [CrossRef] [PubMed]
- Lipworth, S.; Hough, N.; Weston, N.; Muller-Pebody, B.; Phin, N.; Myers, R.; Chapman, S.; Flight, W.; Alexander, E.; Smith, E.G.; et al. Epidemiology of Mycobacterium abscessus in England: An observational study. Lancet Microbe 2021, 2, e498–e507. [Google Scholar] [CrossRef]
- Gross, J.E.; Caceres, S.; Poch, K.; Hasan, N.A.; Jia, F.; Epperson, L.E.; Lipner, E.; Vang, C.; Honda, J.R.; Strand, M.; et al. Investigating mycobacteria transmission at the Colorado Adult Cystic Fibrosis Program. Am. J. Respir. Crit. Care Med. 2022, 205, 1064–1074. [Google Scholar] [CrossRef] [PubMed]
- Hassan, N.A.; Davidson, R.M.; Epperson, L.E.; Kammlade, S.M.; Beagle, S.; Levin, A.R.; de Moura, V.C.; Hunkins, J.J.; Weakly, N.; Sagel, S.D.; et al. Population genomics and interference of Mycobacterium avium complex clusters in Cystic Fibrosis Care Centers, United States. Emerg. Infect. Dis. 2021, 27, 2836–2846. [Google Scholar] [CrossRef] [PubMed]
- Cohen-Bacrie, S.; David, M.; Stremler, N.; Dubus, J.-C.; Rolain, J.-M.; Drancourt, M. Mycobacterium chimaera pulmonary infection complicating cystic fibrosis: A case report. J. Med. Case Rep. 2011, 5, 473. [Google Scholar] [CrossRef]
- Iwańska, A.; Nowak, J.; Skorupa, W.; Augustynowicz-Kopeć, E. Analysis of the frequency of isolation and drug resistance of microorganisms isolated from the airways of adult CF patients treated in the Institute of Tuberculosis and Lung Disease during 2008–2011. Pneumonol. Alergol. Pol. 2013, 81, 105–113. [Google Scholar]
- Chotirmall, S.H.; McElvaney, N.G. Fungi in cystic fibrosis lungs: Bystanders or pathogens? Int. J. Biochem. Cell Biol. 2014, 52, 161–173. [Google Scholar] [CrossRef]
- Garczewska, B.; Jarzynka, S.; Kuś, J.; Skorupa, W.; Augustynowicz-Kopeć, E. Fungal infection of cystic fibrosis patients–single center experience. Pneumonol. Alergol. Pol. 2016, 84, 151–159. [Google Scholar] [CrossRef]
- Reynaud, Q.; Bricca, R.; Cavalli, Z.; Nove-Josserand, R.; Durupt, S.; Reix, P.; Burgel, P.R.; Durieu, I. Risk factors for nontuberculous mycobacterial isolation in patients with cystic fibrosis: A meta-analysis. Pediatr. Pulm. 2020, 55, 2653–2661. [Google Scholar] [CrossRef]
- Gannon, A.D.; Darch, S.E. Same game, different players: Emerging pathogens of the CF lung. mBio 2021, 12, e01217–e01220. [Google Scholar] [CrossRef]
- Cuthbertson, L.; Felton, I.; James, P.; Cox, M.J.; Bilton, D.; Schelenz, S.; Loebinger, M.R.; Cookson, W.O.; Simmonds, N.J.; Moffatt, M.F. The fungal airway microbiome in cystic fibrosis and non-cystic fibrosis bronchiectasis. J. Cyst. Fibr. 2021, 20, 295–302. [Google Scholar] [CrossRef] [PubMed]
- Frost, F.J.; Nazareth, D.S.; Charman, S.C.; Winstanley, C.; Walshaw, M.J. Ivacaftor is associated with reduced lung infection by key cystic fibrosis pathogens. A cohort study using national registry data. Ann. Am. Thorac. Soc. 2019, 16, 1375–1382. [Google Scholar] [CrossRef] [PubMed]
- Ricotta, E.E.; Prevots, D.R.; Olivier, K.N. CFTR modulator use and risk of nontuberculous mycobacteria positivity in cystic fibrosis, 2011–2018. ERJ Open Res. 2022, 8, 00724–2021. [Google Scholar] [CrossRef] [PubMed]



| Case N° | NTM Sputum N° pos. | NTM b.wash. N° pos. | Type NTM Isolate | Pseud. Aerug. | Staph. Aureus | Other Bacteria | Asp. Fumig. | Cand. Albic. | Other Fungi |
|---|---|---|---|---|---|---|---|---|---|
| 1 | 3 | 0 | M. kansasii | yes | yes | no | no | yes | no |
| 2 | 2 | 1 | M. avium | no | yes | S. maltoph. | yes | yes | no |
| 3 | 0 | 1 | M. avium | no | no | P. fluoresc. | no | no | no |
| 4 | 6 | 1 | M. avium | no | no | E. coli, Kl. pneum. E. cloacae | yes | yes | Penicil. spp. |
| 5 | 2 | 1 | M. avium | yes | no | no | no | yes | C. glabr. |
| 6 | 4 | 0 | M. avium | yes | no | Achr. xylosox | yes | yes | C. glabr. |
| 7 | 4 | 1 | M. abscessus | yes | yes | no | no | yes | Penicil. spp. |
| 8 | 3 | 0 | M. lentiflav. | yes | yes | no | no | yes | no |
| 9 | 2 | 1 | M. avium | no | yes | S. maltoph. | yes | yes | A. flavus, Penicil. spp. |
| 10 | 2 | 1 | M. chimaera | yes | no | no | yes | yes | no |
| 11 | 3 | 0 | M. chimaera | yes | yes | no | no | no | no |
| Clinical |
|
| Microbiologic |
|
Publisher’s Note: MDPI stays neutral with regard to jurisdictional claims in published maps and institutional affiliations. |
© 2022 by the authors. Licensee MDPI, Basel, Switzerland. This article is an open access article distributed under the terms and conditions of the Creative Commons Attribution (CC BY) license (https://creativecommons.org/licenses/by/4.0/).
Share and Cite
Wyrostkiewicz, D.; Opoka, L.; Filipczak, D.; Jankowska, E.; Skorupa, W.; Augustynowicz-Kopeć, E.; Szturmowicz, M. Nontuberculous Mycobacterial Lung Disease in the Patients with Cystic Fibrosis—A Challenging Diagnostic Problem. Diagnostics 2022, 12, 1514. https://doi.org/10.3390/diagnostics12071514
Wyrostkiewicz D, Opoka L, Filipczak D, Jankowska E, Skorupa W, Augustynowicz-Kopeć E, Szturmowicz M. Nontuberculous Mycobacterial Lung Disease in the Patients with Cystic Fibrosis—A Challenging Diagnostic Problem. Diagnostics. 2022; 12(7):1514. https://doi.org/10.3390/diagnostics12071514
Chicago/Turabian StyleWyrostkiewicz, Dorota, Lucyna Opoka, Dorota Filipczak, Ewa Jankowska, Wojciech Skorupa, Ewa Augustynowicz-Kopeć, and Monika Szturmowicz. 2022. "Nontuberculous Mycobacterial Lung Disease in the Patients with Cystic Fibrosis—A Challenging Diagnostic Problem" Diagnostics 12, no. 7: 1514. https://doi.org/10.3390/diagnostics12071514
APA StyleWyrostkiewicz, D., Opoka, L., Filipczak, D., Jankowska, E., Skorupa, W., Augustynowicz-Kopeć, E., & Szturmowicz, M. (2022). Nontuberculous Mycobacterial Lung Disease in the Patients with Cystic Fibrosis—A Challenging Diagnostic Problem. Diagnostics, 12(7), 1514. https://doi.org/10.3390/diagnostics12071514

