Placental Ultrasonographical Findings during SARS-CoV-2 Infection
Abstract
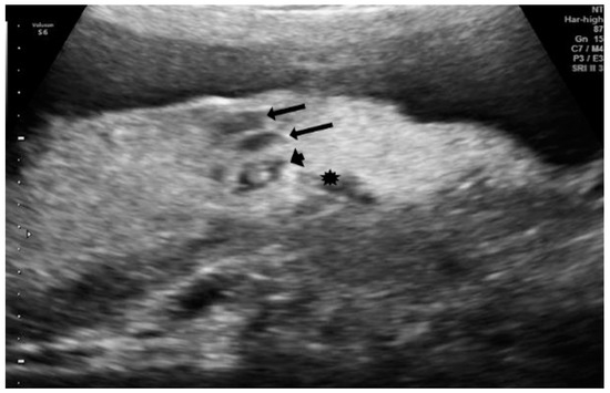
:1. Introduction
2. Methods
3. Results
4. Discussion
Author Contributions
Funding
Institutional Review Board Statement
Informed Consent Statement
Data Availability Statement
Conflicts of Interest
References
- Wong, Y.P.; Khong, T.Y.; Tan, G.C. The Effects of COVID-19 on Placenta and Pregnancy: What Do We Know So Far? Diagnostics 2021, 11, 94. [Google Scholar] [CrossRef] [PubMed]
- Schwartz, D.A. An Analysis of 38 Pregnant Women with COVID-19, Their Newborn Infants, and Maternal-Fetal Transmission of SARS-CoV-2: Maternal Coronavirus Infections and Pregnancy Outcomes. Arch. Pathol. Lab. Med. 2020, 144, 799–805. [Google Scholar] [CrossRef] [PubMed] [Green Version]
- Jering, K.S.; Claggett, B.L.; Cunningham, J.W.; Rosenthal, N.; Vardeny, O.; Greene, M.F.; Solomon, S.D. Clinical Characteristics and Outcomes of Hospitalized Women Giving Birth with and Without COVID-19. JAMA Intern. Med. 2021, 181, 714–717. [Google Scholar] [CrossRef]
- Bouachba, A.; Allias, F.; Nadaud, B.; Massardier, J.; Mekki, Y.; Bouscambert Duchamp, M.; Fourniere, B.; Huissoud, C.; Trecourt, A.; Collardeau-Frachon, S. Placental lesions and SARS-CoV-2 infection: Diffuse placenta damage associated to poor fetal outcome. Placenta 2021, 112, 97–104. [Google Scholar] [CrossRef] [PubMed]
- Resta, L.; Vimercati, A.; Cazzato, G.; Mazzia, G.; Cicinelli, E.; Colagrande, A.; Fanelli, M.; Scarcella, S.V.; Ceci, O.; Rossi, R. SARS-CoV-2 and placenta: New insights and perspectives. Viruses 2021, 13, 723. [Google Scholar] [CrossRef]
- Zhou, F.; Yu, T.; Du, R.; Fan, G.; Liu, Y.; Liu, Z.; Xiang, J.; Wang, Y.; Song, B.; Gu, X.; et al. Clinical course and risk factors for mortality of adult inpatients with COVID-19 in Wuhan, China: A retrospective cohort study. Lancet 2020, 395, 1054–1062. [Google Scholar] [CrossRef]
- Syeda, S.; Baptiste, C.; Breslin, N.; Gyamfi-Bannerman, C.; Miller, R. The clinical course of COVID in pregnancy. Semin. Perinatol. 2020, 44, 151284. [Google Scholar] [CrossRef]
- Ferrugini, C.L.P.; Boldrini, N.A.T.; Costa, F.L.S.; Salgueiro, M.A.O.B.; Coelho, P.D.P.; Miranda, A.E. SARS-CoV-2 infection in pregnant women assisted in a high-risk maternity hospital in Brazil: Clinical aspects and obstetric outcomes. PLoS ONE 2022, 17, e0264901. [Google Scholar] [CrossRef]
- Birol Ilter, P.; Prasad, S.; Berkkan, M.; Mutlu, M.A.; Tekin, A.B.; Celik, E.; Ata, B.; Turgal, M.; Yildiz, S.; Turkgeldi, E.; et al. Clinical severity of SARS-CoV-2 infection among vaccinated and unvaccinated pregnancies during the Omicron wave. Ultrasound Obstet. Gynecol. 2022, 59, 3. [Google Scholar] [CrossRef]
- Abramowicz, J.S.; Sheiner, E. Ultrasound of the placenta: A systematic approach. Part I Imaging Placenta 2008, 29, 225–240. [Google Scholar] [CrossRef]
- Hata, T.; Tanaka, H.; Noguchi, J.; Hata, K. Three-dimensional ultrasound evaluation of the placenta. Placenta 2011, 32, 105–115. [Google Scholar] [CrossRef] [PubMed]
- Allotey, J.; Stallings, E.; Bonet, M.; Yap, M.; Chatterjee, S.; Kew, T.; Debenham, L.; Llavall, A.C.; Dixit, A.; Zhou, D.; et al. For PregCOV-19 Living Systematic Review Consortium. Clinical manifestations, risk factors, and maternal and perinatal outcomes of coronavirus disease 2019 in pregnancy: Living systematic review and meta-analysis. BMJ 2020, 370, m3320. [Google Scholar] [CrossRef] [PubMed]
- Abou Ghayda, R.; Li, H.; Lee, K.H.; Lee, H.W.; Hong, S.H.; Kwak, M.; Lee, M.; Kwon, M.; Koyanagi, A.; Kronbichler, A.; et al. COVID-19 and Adverse Pregnancy Outcome: A Systematic Review of 104 Cases. J. Clin. Med. 2020, 9, 3441. [Google Scholar] [CrossRef] [PubMed]
- Ribeiro, C.F.; Lopes, V.G.S.; Brasil, P.; Pires, A.R.C.; Rohloff, R.; Nogueira, R.M.R. Dengue infection in pregnancy and its impact on the placenta. Int. J. Infect. Dis. 2017, 55, 109–112. [Google Scholar] [CrossRef] [PubMed] [Green Version]
- Flores-Pliego, A.; Miranda, J.; Vega-Torreblanca, S.; Valdespino-Vázquez, Y.; Helguera-Repetto, C.; Espejel-Nuñez, A.; Borboa-Olivares, H.; Espino YSosa, S.; Mateu-Rogell, P.; León-Juárez, M.; et al. Molecular Insights into the Thrombotic and Microvascular Injury in Placental Endothelium of Women with Mild or Severe COVID-19. Cells 2021, 10, 364. [Google Scholar] [CrossRef] [PubMed]
- Hoffmann, M.; Kleine-Weber, H.; Schroeder, S.; Krüger, N.; Herrler, T.; Erichsen, S.; Schiergens, T.S.; Herrler, G.; Wu, N.H.; Nitsche, A.; et al. SARS-CoV-2 Cell Entry Depends on ACE2 and TMPRSS2 and Is Blocked by a Clinically Proven Protease Inhibitor. Cell 2020, 181, 271–280. [Google Scholar] [CrossRef]
- Hamming, I.; Timens, W.; Bulthuis, M.L.; Lely, A.T.; Navis, G.; van Goor, H. Tissue distribution of ACE2 protein, the functional receptor for SARS coronavirus. A first step in understanding SARS pathogenesis. J. Pathol. 2004, 203, 631–637. [Google Scholar] [CrossRef] [PubMed]
- Mulvey, J.J.; Magro, C.M.; Ma, L.X.; Nuovo, G.J.; Baergen, R.N. Analysis of complement deposition and viral RNA in placentas of COVID-19 patients. Ann. Diagn. Pathol. 2020, 46, 151530. [Google Scholar] [CrossRef]
- Jaiswal, N.; Puri, M.; Agarwal, K.; Singh, S.; Yadav, R.; Tiwary, N.; Tayal, P.; Vats, B. COVID-19 as an independent risk factor for subclinical placental dysfunction. Eur. J. Obstet. Gynecol. Reprod. Biol. 2021, 259, 7–11. [Google Scholar] [CrossRef] [PubMed]
- Redline, R.W.; Ravishankar, S. Fetal vascular malperfusion, an update. APMIS 2018, 126, 561–569. [Google Scholar] [CrossRef]
- Facchetti, F.; Bugatti, M.; Drera, E.; Tripodo, C.; Sartori, E.; Cancila, V.; Papaccio, M.; Castellani, R.; Casola, S.; Boniotti, M.B.; et al. SARS-CoV2 vertical transmission with adverse effects on the newborn revealed through integrated immunohistochemical, electron microscopy and molecular analyses of Placenta. eBioMedicine 2020, 59, 102951. [Google Scholar] [CrossRef] [PubMed]
- Brien, M.E.; Bouron-Dal Soglio, D.; Dal Soglio, S.; Couture, C.; Boucoiran, I.; Nasr, Y.; Widdows, K.; Sharps, M.C.; El Demellawy, D.; Ep Heazell, A.; et al. Pandemic stress and SARS-CoV-2 infection are associated with pathological changes at the maternal-fetal interface. Placenta 2021, 115, 37–44. [Google Scholar] [CrossRef] [PubMed]
- Gilbert, J.S.; Ryan, M.J.; LaMarca, B.B.; Sedeek, M.; Murphy, S.R.; Granger, J.P. Pathophysiology of hypertension during preeclampsia: Linking placental ischemia with endothelial dysfunction. Am. J. Physiol. Heart Circ. Physiol. 2008, 294, H541–H550. [Google Scholar] [CrossRef] [PubMed]
- Koga, K.; Cardenas, I.; Aldo, P.; Abrahams, V.M.; Peng, B.; Fill, S.; Romero, R.; Mor, G. Activation of TLR3 in the trophoblast is associated with preterm delivery. Am. J. Reprod. Immunol. 2009, 61, 196–212. [Google Scholar] [CrossRef] [Green Version]
- Gulersen, M.; Prasannan, L.; Tam Tam, H.; Metz, C.N.; Rochelson, B.; Meirowitz, N.; Shan, W.; Edelman, M.; Millington, K.A. Histopathologic evaluation of placentas after diagnosis of maternal severe acute respiratory syndrome coronavirus 2 infection. Am. J. Obstet. Gynecol. MFM 2020, 2, 100211. [Google Scholar] [CrossRef]
- Menter, T.; Mertz, K.D.; Jiang, S.; Chen, H.; Monod, C.; Tzankov, A.; Waldvogel, S.; Schulzke, S.M.; Hösli, I.; Bruder, E. Placental pathology findings during and after SARS-CoV-2 infection: Features of villitis and malperfusion. Pathobiology 2020, 88, 1–9. [Google Scholar] [CrossRef]
- Heider, A. Fetal vascular malperfusion. Arch. Pathol. Lab. Med. 2017, 141, 1484–1489. [Google Scholar] [CrossRef] [Green Version]
- Connors, J.M.; Levy, J.H. COVID-19 and its implications for thrombosis and anticoagulation. Blood 2020, 135, 2033–2040. [Google Scholar] [CrossRef]


| Scoring System for Placental Ultrasonographic Findings | |
|---|---|
| 0 | Normal findings |
| 1 | Lakes > 30% |
| 1 | Subchorionic edema |
| 1 | Fibrin deposits (thrombosis, calcifications) |
| U/S Findings/Group | Hospital Admission N (%) | Remaining at Home N (%) |
|---|---|---|
| Normal findings | 0 (0%) | 18 (60%) |
| Lakes > 30% | 7 (70%) | 6 (20%) |
| Subchorionic edema | 6 (60%) | 2 (7%) |
| Fibrin deposits (thrombosis, calcifications) | 6 (60%) | 4 (13%) |
Publisher’s Note: MDPI stays neutral with regard to jurisdictional claims in published maps and institutional affiliations. |
© 2022 by the authors. Licensee MDPI, Basel, Switzerland. This article is an open access article distributed under the terms and conditions of the Creative Commons Attribution (CC BY) license (https://creativecommons.org/licenses/by/4.0/).
Share and Cite
Sotiriou, S.; Samara, A.A.; Tsiamalou, I.-A.; Donoudis, C.; Seviloglou, E.; Skentou, C.; Garas, A.; Daponte, A. Placental Ultrasonographical Findings during SARS-CoV-2 Infection. Diagnostics 2022, 12, 974. https://doi.org/10.3390/diagnostics12040974
Sotiriou S, Samara AA, Tsiamalou I-A, Donoudis C, Seviloglou E, Skentou C, Garas A, Daponte A. Placental Ultrasonographical Findings during SARS-CoV-2 Infection. Diagnostics. 2022; 12(4):974. https://doi.org/10.3390/diagnostics12040974
Chicago/Turabian StyleSotiriou, Sotirios, Athina A. Samara, Iokasti-Apostolia Tsiamalou, Christos Donoudis, Eleni Seviloglou, Chara Skentou, Antonios Garas, and Alexandros Daponte. 2022. "Placental Ultrasonographical Findings during SARS-CoV-2 Infection" Diagnostics 12, no. 4: 974. https://doi.org/10.3390/diagnostics12040974
APA StyleSotiriou, S., Samara, A. A., Tsiamalou, I.-A., Donoudis, C., Seviloglou, E., Skentou, C., Garas, A., & Daponte, A. (2022). Placental Ultrasonographical Findings during SARS-CoV-2 Infection. Diagnostics, 12(4), 974. https://doi.org/10.3390/diagnostics12040974

