Loss of CXC-Chemokine Receptor 1 Expression in Chorioamnionitis Is Associated with Adverse Perinatal Outcomes
Abstract
:1. Introduction
2. Materials and Methods
2.1. Study Design
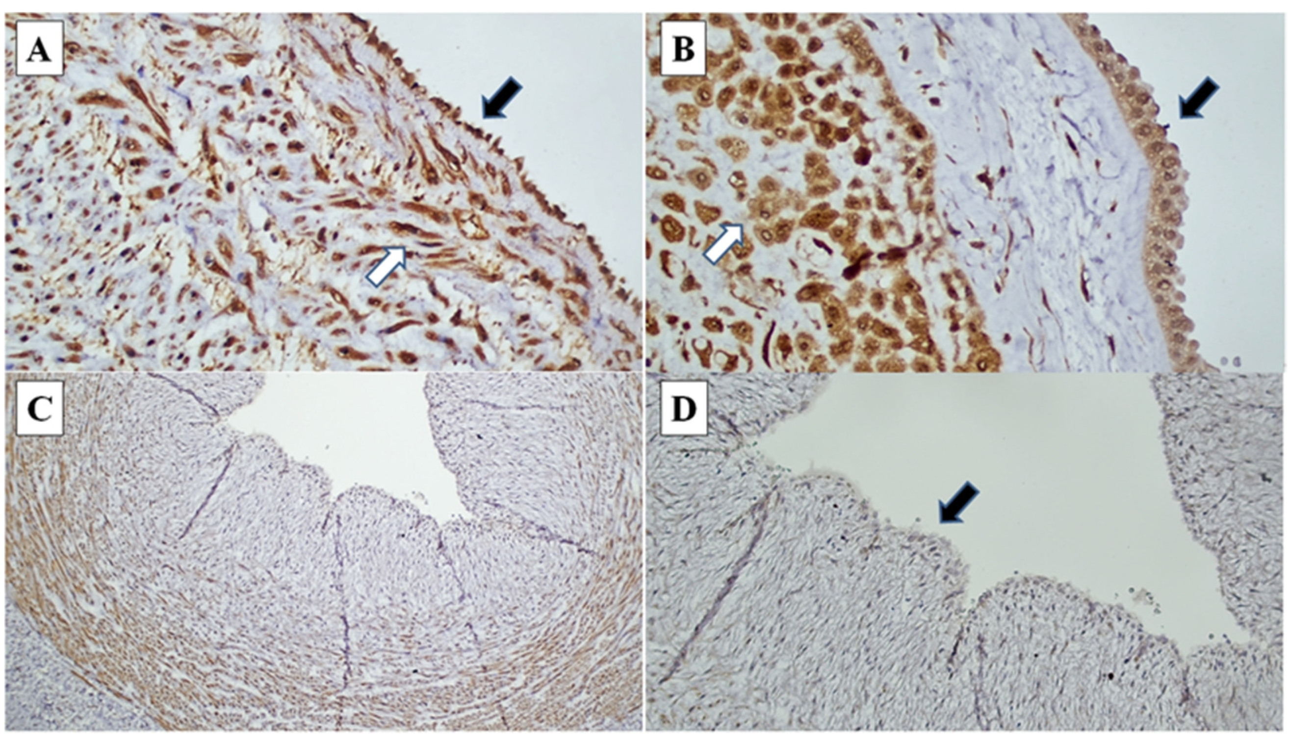
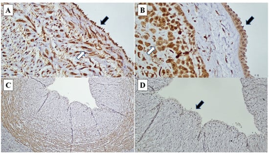
2.2. Histological Examination and CXCR1 Immunohistochemistry
2.3. Evaluation of CXCR1 Antibody Staining
2.4. Statistical Analysis
3. Results
3.1. Demographic Data
3.2. Chorioamnionitis with Maternal and Foetal Inflammatory Responses
3.3. CXCR1 Expression in Placentas at Different Stages of Maternal Inflammatory Response in Chorioamnionitis and Non-Chorioamnionitis
3.4. Logistic Regression Analysis of Foetal Death and Lung Complications as Dependent Variables against Various Independent Variables
4. Discussion
5. Conclusions
Supplementary Materials
Author Contributions
Funding
Institutional Review Board Statement
Informed Consent Statement
Data Availability Statement
Acknowledgments
Conflicts of Interest
References
- Nasef, N.; Shabaan, A.E.; Schurr, P.; Iaboni, D.; Choudhury, J.; Church, P.; Dunn, M.S. Effect of clinical and histological chorioamnionitis on the outcome of preterm infants. Am. J. Perinatol. 2013, 30, 59–68. [Google Scholar] [CrossRef] [PubMed] [Green Version]
- Kachikis, A.; Eckert, L.O.; Walker, C.; Bardají, A.; Varricchio, F.; Lipkind, H.S.; Diouf, K.; Huang, W.T.; Mataya, R.; Bittaye, M.; et al. Chorioamnionitis: Case definition & guidelines for data collection, analysis, and presentation of immunization safety data. Vaccine 2019, 37, 7610–7622. [Google Scholar] [PubMed]
- Lahra, M.M.; Gordon, A.; Jeffery, H.E. Chorioamnionitis and fetal response in stillbirth. Am. J. Obstet. Gynecol. 2007, 196, e1–e4. [Google Scholar] [CrossRef] [PubMed]
- Martinelli, P.; Sarno, L.; Maruotti, G.M.; Paludetto, R. Chorioamnionitis and prematurity: A critical review. J. Matern. Fetal Neonatal. Med. 2012, 25, 29–31. [Google Scholar] [CrossRef] [PubMed] [Green Version]
- Peng, C.C.; Chang, J.H.; Lin, H.Y.; Cheng, P.J.; Su, B.H. Intrauterine inflammation, infection, or both (Triple I): A new concept for chorioamnionitis. Pediatr. Neonatol. 2018, 59, 231–237. [Google Scholar] [CrossRef] [Green Version]
- Gibbs, R.S.; Blanco, J.D.; Clair, P.J.S.; Castaneda, Y.S. Quantitative bacteriology of amniotic fluid from women with clinical intraamniotic infection at term. Infect. Dis. 1982, 145, 1–8. [Google Scholar] [CrossRef]
- Higgins, R.D.; Saade, G.; Polin, R.A.; Grobman, W.A.; Buhimschi, I.A.; Watterberg, K.; Silver, R.M.; Raju, T.N.K. Evaluation and management of women and newborns with a maternal diagnosis of chorioamnionitis: Summary of a workshop. Obstet. Gynecol. 2016, 127, 426–436. [Google Scholar] [CrossRef] [Green Version]
- Redline, R.W. Inflammatory responses in the placenta and umbilical cord. Semin. Fetal Neonatal. Med. 2006, 11, 296–301. [Google Scholar] [CrossRef]
- Redline, R.W. Inflammatory response in acute chorioamnionitis. Semin. Fetal Neonatal. Med. 2012, 17, 20–25. [Google Scholar] [CrossRef]
- Liu, Z.; Tang, Z.; Li, J.; Yang, Y. Effects of placental inflammation on neonatal outcome in preterm infants. Pediatr. Neonatol. 2014, 55, 35–40. [Google Scholar] [CrossRef] [Green Version]
- Gordon, A.; Lahra, M.; Raynes-Greenow, C.; Jeffery, H. Histological chorioamnionitis is increased at extremes of gestation in stillbirth: A population-based study. Infect. Dis. Obstet. Gynecol. 2011, 2011, 456728. [Google Scholar] [CrossRef] [PubMed] [Green Version]
- Kim, C.J.; Romero, R.; Chaemsaithong, P.; Chaiyasit, N.; Yoon, B.H.; Kim, Y.M. Acute chorioamnionitis and funisitis: Definition, pathologic features, and clinical significance. Am. J. Obstet. Gynecol. 2015, 213, S29–S52. [Google Scholar] [CrossRef] [PubMed] [Green Version]
- Wong, Y.P.; Tan, G.C.; Wong, K.K.; Anushia, S.; Cheah, F.C. Gardnerella vaginalis in perinatology: An overview of the clinicopathological correlation. Malays. J. Pathol. 2018, 40, 267–286. [Google Scholar] [PubMed]
- Wong, Y.P.; Cheah, F.C.; Wong, K.K.; Shah, S.A.; Phon, S.E.; Ng, B.K.; Lim, P.S.; Khong, T.Y.; Tan, G.C. Gardnerella vaginalis infection in pregnancy: Effects on placental development and neonatal outcomes. Placenta 2022, 120, 79–87. [Google Scholar] [CrossRef]
- Wong, Y.P.; Khong, T.Y.; Tan, G.C. The effects of COVID-19 on placenta and pregnancy: What do we know so far? Diagnostics 2021, 11, 94. [Google Scholar] [CrossRef]
- Shaaya, E.S.; Halim, S.A.A.; Leong, K.W.; Ku, K.B.P.; Lim, P.S.; Tan, G.C.; Wong, Y.P. Candida Chorioamnionitis in Mothers with Gestational Diabetes Mellitus: A Report of Two Cases. Int. J. Environ. Res. Public Health 2021, 18, 7450. [Google Scholar] [CrossRef]
- Kamity, R.; Patel, H.; Younis, S.; Nasim, M.; Miller, E.; Ahmed, M. Inhibition of CXCR 1 and 2 delays preterm delivery and reduces neonatal mortality in a mouse model of chorioamnionitis. Eur. J. Inflamm. 2014, 12, 447–457. [Google Scholar] [CrossRef] [Green Version]
- Erdemir, G.; Kultursay, N.; Calkavur, S.; Zekioğlu, O.; Koroglu, O.A.; Cakmak, B.; Yalaz, M.; Akisu, M.; Sagol, S. Histological chorioamnionitis: Effects on premature delivery and neonatal prognosis. Pediatr. Neonatol. 2013, 54, 267–274. [Google Scholar] [CrossRef] [Green Version]
- Thomas, W.; Speer, C.P. Chorioamnionitis: Important risk factor or innocent bystander for neonatal outcome? Neonatology 2011, 99, 177–187. [Google Scholar] [CrossRef]
- Lau, J.; Magee, F.; Qiu, Z.; Houbé, J.; Dadelszen, P.V.; Lee, S.K. Chorioamnionitis with a fetal inflammatory response is associated with higher neonatal mortality, morbidity, and resource use than chorioamnionitis displaying a maternal inflammatory response only. Am. J. Obstet. Gynecol. 2005, 193, 708–713. [Google Scholar] [CrossRef]
- Kim, C.J.; Yoon, B.H.; Kim, M.; Park, J.O.; Cho, S.Y.; Chi, J.G. Histo-topographic distribution of acute inflammation of the human umbilical cord. Pathol. Int. 2001, 51, 861–865. [Google Scholar] [CrossRef] [PubMed]
- Salas, A.A.; Faye-Petersen, O.M.; Sims, B.; Peralta-Carcelen, M.; Reilly, S.D.; McGwin, G., Jr.; Carlo, W.A.; Ambalavanan, N. Histological characteristics of the fetal inflammatory response associated with neurodevelopmental impairment and death in extremely preterm infants. J. Pediatr. 2013, 163, 652–657. [Google Scholar] [CrossRef] [PubMed] [Green Version]
- Tang, C.; Yang, L.; Wang, N.; Li, L.; Xu, M.; Chen, G.G.; Liu, Z.M. High expression of GPER1, EGFR and CXCR1 is associated with lymph node metastasis in papillary thyroid carcinoma. Int. J. Clin. Exp. Pathol. 2014, 7, 3213–3223. [Google Scholar] [PubMed]
- Jovanović, M.; Stefanoska, I.; Radojcić, L.; Vićovac, L. Interleukin-8 (CXCL8) stimulates trophoblast cell migration and invasion by increasing levels of matrix metalloproteinase (MMP)2 and MMP9 and integrins alpha5 and beta1. Reproduction 2010, 139, 789–798. [Google Scholar] [CrossRef] [PubMed] [Green Version]
- Du, M.R.; Wang, S.C.; Li, D.J. The integrative roles of chemokines at the maternal-fetal interface in early pregnancy. Cell. Mol. Immunol. 2014, 11, 438–448. [Google Scholar] [CrossRef]
- Ozaltin, F.; Besbas, N.; Iskit, A.B.; Cil, O.; Akcoren, Z.; Kale, G.; Bakkaloglu, A. Role of CXCR1 (CKR-1) in inflammation of experimental mesangioproliferative glomerulonephritis. Ren. Fail. 2013, 35, 380–385. [Google Scholar] [CrossRef]
- Shimoya, K.; Matsuzaki, N.; Taniguchi, T.; Kameda, T.; Koyama, M.; Neki, R.; Saji, F.; Tanizawa, O. Human placenta constitutively produces interleukin-8 during pregnancy and enhances its production in intrauterine infection. Biol. Reprod. 1992, 47, 220–226. [Google Scholar] [CrossRef] [Green Version]
- Lockwood, C.J.; Arcuri, F.; Toti, P.; Felice, C.D.; Krikun, G.; Guller, S.; Buchwalder, L.F.; Schatz, F. Tumor necrosis factor-alpha and interleukin-1beta regulate interleukin-8 expression in third trimester decidual cells: Implications for the genesis of chorioamnionitis. Am. J. Pathol. 2006, 169, 1294–1302. [Google Scholar] [CrossRef] [Green Version]
- Haddad, R.; Tromp, G.; Kuivaniemi, H.; Chaiworapongsa, T.; Kim, Y.M.; Mazor, M.; Romero, R. Human spontaneous labor without histologic chorioamnionitis is characterized by an acute inflammation gene expression signature. Am. J. Obstet. Gynecol. 2006, 195, e1–e24. [Google Scholar] [CrossRef] [Green Version]
- Casilli, F.; Bianchini, A.; Gloaguen, I.; Biordi, L.; Alesse, E.; Festuccia, C.; Cavalieri, B.; Strippoli, R.; Cervellera, M.N.; Bitondo, R.D.; et al. Inhibition of interleukin-8 (CXCL8/IL-8) responses by repertaxin, a new inhibitor of the chemokine receptors CXCR1 and CXCR2. Biochem. Pharmacol. 2005, 69, 385–394. [Google Scholar] [CrossRef]
- Sharma, B.; Singh, S.; Varney, M.L.; Singh, R.K. Targeting CXCR1/CXCR2 receptor antagonism in malignant melanoma. Expert Opin. Ther. Targets 2010, 14, 435–442. [Google Scholar] [CrossRef] [PubMed] [Green Version]
- Mattos, M.S.; Ferrero, M.R.; Kraemer, L.; Lopes, G.A.O.; Reis, D.C.; Cassali, G.D.; Oliveira, F.M.S.; Brandolini, L.; Allegretti, M.; Garcia, C.C.; et al. CXCR1 and CXCR2 inhibition by Ladarixin improves neutrophil-dependent airway inflammation in mice. Front. Immunol. 2020, 11, 566953. [Google Scholar] [CrossRef]
- Smith, D.K.; Hasanali, S.L.; Wang, J.; Kallifatidis, G.; Morera, D.S.; Jordan, A.R.; Terris, M.K.; Klaassen, Z.; Bollag, R.; Lokeshwar, V.B.; et al. Promotion of epithelial hyperplasia by interleukin-8-CXCR axis in human prostate. Prostate 2020, 80, 938–949. [Google Scholar] [CrossRef]
- Ha, H.; Debnath, B.; Neamati, N. Role of the CXCL8-CXCR1/2 axis in cancer and inflammatory diseases. Theranostics 2017, 7, 1543–1588. [Google Scholar] [CrossRef]
- Kallapur, S.G.; Moss, T.J.; Auten, R.L., Jr.; Nitsos, I.; Pillow, J.J.; Kramer, B.W.; Maeda, D.Y.; Newnham, J.P.; Ikegami, M.; Jobe, A.H. IL-8 signaling does not mediate intra-amniotic LPS-induced inflammation and maturation in preterm fetal lamb lung. Am. J. Physiol. Lung Cell. Mol. Physiol. 2009, 297, L512–L519. [Google Scholar] [CrossRef] [Green Version]
- Costa, D.; Castelo, R. Umbilical cord gene expression reveals the molecular architecture of the fetal inflammatory response in extremely preterm newborns. Pediatr. Res. 2016, 79, 473–481. [Google Scholar] [CrossRef] [PubMed] [Green Version]
- Wu, H.C.; Shen, C.M.; Wu, Y.Y.; Yuh, Y.S.; Kua, K.E. Subclinical histologic chorioamnionitis and related clinical and laboratory parameters in preterm deliveries. Pediatr. Neonatol. 2009, 50, 217–221. [Google Scholar] [CrossRef] [Green Version]
- Chan, G.J.; Silverman, M.; Zaman, M.; Murillo-Chaves, A.; Mahmud, A.; Baqui, A.H.; Boyd, T.K. Prevalence and risk factors of chorioamnionitis in Dhaka, Bangladesh. J. Perinatol. 2016, 36, 1039–1044. [Google Scholar] [CrossRef]
- Woodd, S.L.; Montoya, A.; Barreix, M.; Pi, L.; Calvert, C.; Rehman, A.M.; Chou, D.; Campbell, O.M.R. Incidence of maternal peripartum infection: A systematic review and meta-analysis. PLoS Med. 2019, 16, e1002984. [Google Scholar] [CrossRef]
- Zhang, Q.; Lu, H.Y.; Wang, J.X.; Mao, X.Q.; Ma, J.L.; Lu, J.Y.; Wang, Q.X. Relationship between placental inflammation and fetal inflammatory response syndrome and brain injury in preterm infants. Chin. J. Contemp. Pediatr. 2015, 17, 217–221. [Google Scholar]


| Chorioamnionitis | Non-Chorioamnionitis | p Value | |||
|---|---|---|---|---|---|
| Demographic Details | Number of Cases (n = 101) | Number of Cases (n = 32) | |||
| No. | % | No | % | ||
| Maternal age (years) | 0.057 | ||||
| 20–29 | 46 | 45.5 | 8 | 25.0 | |
| 30–39 | 53 | 52.5 | 22 | 68.8 | |
| 40–49 | 2 | 2.0 | 2 | 6.2 | |
| Ethnicity | 0.466 | ||||
| Malay | 76 | 75.2 | 27 | 84.4 | |
| Chinese | 20 | 19.8 | 3 | 9.4 | |
| Indian | 2 | 2.0 | 1 | 3.1 | |
| Others | 3 | 3.0 | 1 | 3.1 | |
| Parity | 0.004 * | ||||
| Para 1 | 59 | 58.4 | 8 | 25.0 | |
| Para 2 | 23 | 22.8 | 10 | 31.3 | |
| Para 3 | 14 | 13.8 | 9 | 28.1 | |
| ≥Para 4 | 5 | 5.0 | 5 | 15.6 | |
| Gestational diabetes mellitus | 0.342 | ||||
| Yes | 17 | 16.8 | 7 | 21.9 | |
| No | 84 | 83.2 | 25 | 78.1 | |
| Gestational hypertension | 0.425 | ||||
| Yes | 1 | 1.0 | 1 | 3.1 | |
| No | 100 | 99.0 | 31 | 96.9 | |
| Gestational age | 0.31 | ||||
| ≤28 weeks | 5 | 4.9 | 1 | 3.1 | |
| 29–32 weeks | 3 | 3 | 1 | 3.1 | |
| 33–36 weeks | 9 | 8.9 | 6 | 18.8 | |
| ≥37 weeks | 84 | 83.2 | 24 | 75.0 | |
| Clinical suspected chorioamnionitis | |||||
| Yes | 77 | 76.2 | NA | NA | |
| No | 24 | 23.8 | NA | NA | |
| APGAR Score | IUD/ND | Lung Complications | |||||||
|---|---|---|---|---|---|---|---|---|---|
| <3 | ≥3 | p Value | Yes | No | p Value | Yes | No | p Value | |
| Maternal age (years) | 0.35 | 0.59 | 0.003 * | ||||||
| <35 | 7 | 75 | 6 | 76 | 1 | 81 | |||
| 35 or more | 0 | 18 | 0 | 18 | 4 | 14 | |||
| Parity | 1 | 0.69 | 1 | ||||||
| 1 | 4 | 55 | 3 | 56 | 3 | 56 | |||
| 2 or more | 3 | 39 | 3 | 39 | 2 | 40 | |||
| Gestational diabetes mellitus | 1 | 0.59 | 0.19 | ||||||
| Yes | 1 | 16 | 0 | 17 | 2 | 15 | |||
| No | 6 | 78 | 6 | 78 | 3 | 81 | |||
| Severity of MIR | 0.1 | 0.18 | 1 | ||||||
| Stage 0/1 | 0 | 34 | 0 | 34 | 1 | 33 | |||
| Stage 2/3 | 7 | 72 | 6 | 73 | 4 | 75 | |||
| Severity of FIR | 1.0 | 1.0 | 0.03 * | ||||||
| Stage 0/1 | 5 | 63 | 4 | 64 | 1 | 67 | |||
| Stage 2/3 | 2 | 31 | 2 | 31 | 4 | 29 | |||
| CXCR1 | |||
|---|---|---|---|
| Maternal Inflammatory Response | Negative (0) | Positive (1 to 3+) | p Value |
| AEC | |||
| Stage 0/1 | 7 | 42 | 0.62 |
| Stage 2/3 | 12 | 54 | |
| DC | |||
| Stage 0/1 | 2 | 37 | 0.63 |
| Stage 2/3 | 2 | 64 | |
| UCEC | |||
| Stage 0/1 | 10 | 36 | 0.48 |
| Stage 2/3 | 13 | 66 | |
| UCSMW | |||
| Stage 0/1 | 3 | 42 | 0.14 |
| Stage 2/3 | 1 | 78 | |
| Dependent Variable Outcome: Foetal Death | 95% C.I. for EXP(B) | ||||
|---|---|---|---|---|---|
| Independent Variables | Regression Coefficient | p Value | Odd Ratio | Lower | Upper |
| Mother′s age | −0.239 | 0.082 | 0.787 | 0.601 | 1.031 |
| Gestational age | −0.535 | 0.010 * | 0.585 | 0.390 | 0.878 |
| MIR Stage 1 | - | 0.332 | - | - | - |
| MIR Stage 2 | −19.817 | 0.998 | - | - | - |
| MIR Stage 3 | −1.402 | 0.137 | 0.246 | 0.039 | 1.565 |
| FIR Stage 1 | −0.329 | 0.791 | 0.720 | 0.063 | 8.197 |
| FIR Stage 2 | −1.872 | 0.206 | 0.154 | 0.008 | 2.802 |
| FIR Stage 3 | −1.427 | 0.337 | 0.240 | 0.013 | 4.412 |
| CXCR1 in AEC | 0.916 | 0.318 | 2.5 | 0.414 | 15.106 |
| CXCR1 in DC | 2.944 | 0.050 | 19.0 | 0.996 | 362.480 |
| CXCR1 in UCEC | −2.367 | 0.009 * | 0.094 | 1.790 | 63.551 |
| CXCR1 in UCSMW | −18.462 | 0.999 | - | - | - |
| Dependent Variable Outcome: Lung Complications | 95% C.I. for EXP(B) | ||||
|---|---|---|---|---|---|
| Independent Variables | Regression Coefficient | p Value | Odd Ratio | Lower | Upper |
| Mother′s age | 0.132 | 0.188 | 1.141 | 0.937 | 1.389 |
| Gestational age | −0.028 | 0.737 | 0.972 | 0.824 | 1.146 |
| MIR Stage 1 | - | - | - | - | - |
| MIR Stage 2 | −0.105 | 0.935 | 0.900 | 0.072 | 11.254 |
| MIR Stage 3 | −0.591 | 0.615 | 0.554 | 0.056 | 5.521 |
| FIR Stage 1 | 18.638 | 0.999 | - | - | - |
| FIR Stage 2 | - | 1.000 | - | - | - |
| FIR Stage 3 | 19.768 | 0.999 | - | - | - |
| CXCR1 in AEC | −0.090 | 0.937 | 0.914 | 0.099 | 8.448 |
| CXCR1 in DC | −18.858 | 0.999 | - | - | - |
| CXCR1 in UCEC | 18.831 | 0.998 | - | - | - |
| CXCR1 in UCSMW | −18.627 | 0.999 | - | - | - |
Publisher’s Note: MDPI stays neutral with regard to jurisdictional claims in published maps and institutional affiliations. |
© 2022 by the authors. Licensee MDPI, Basel, Switzerland. This article is an open access article distributed under the terms and conditions of the Creative Commons Attribution (CC BY) license (https://creativecommons.org/licenses/by/4.0/).
Share and Cite
Wong, Y.P.; Wagiman, N.; Tan, J.W.D.; Hanim, B.S.; Rashidan, M.S.H.; Fong, K.M.; Norhazli, N.N.; Qrisha, Y.; Shah, R.N.R.A.; Mustangin, M.; et al. Loss of CXC-Chemokine Receptor 1 Expression in Chorioamnionitis Is Associated with Adverse Perinatal Outcomes. Diagnostics 2022, 12, 882. https://doi.org/10.3390/diagnostics12040882
Wong YP, Wagiman N, Tan JWD, Hanim BS, Rashidan MSH, Fong KM, Norhazli NN, Qrisha Y, Shah RNRA, Mustangin M, et al. Loss of CXC-Chemokine Receptor 1 Expression in Chorioamnionitis Is Associated with Adverse Perinatal Outcomes. Diagnostics. 2022; 12(4):882. https://doi.org/10.3390/diagnostics12040882
Chicago/Turabian StyleWong, Yin Ping, Noorhafizah Wagiman, Jonathan Wei De Tan, Barizah Syahirah Hanim, Muhammad Syamil Hilman Rashidan, Kai Mun Fong, Naufal Naqib Norhazli, Yashini Qrisha, Raja Norazah Raja Alam Shah, Muaatamarulain Mustangin, and et al. 2022. "Loss of CXC-Chemokine Receptor 1 Expression in Chorioamnionitis Is Associated with Adverse Perinatal Outcomes" Diagnostics 12, no. 4: 882. https://doi.org/10.3390/diagnostics12040882
APA StyleWong, Y. P., Wagiman, N., Tan, J. W. D., Hanim, B. S., Rashidan, M. S. H., Fong, K. M., Norhazli, N. N., Qrisha, Y., Shah, R. N. R. A., Mustangin, M., Zakaria, H., Chin, S. X., & Tan, G. C. (2022). Loss of CXC-Chemokine Receptor 1 Expression in Chorioamnionitis Is Associated with Adverse Perinatal Outcomes. Diagnostics, 12(4), 882. https://doi.org/10.3390/diagnostics12040882

