Relationship between Biodistribution and Tracer Kinetics of 11C-Erlotinib, 18F-Afatinib and 11C-Osimertinib and Image Quality Evaluation Using Pharmacokinetic/Pharmacodynamic Analysis in Advanced Stage Non-Small Cell Lung Cancer Patients
Abstract
1. Introduction
2. Methods
2.1. Patient Inclusion
2.2. Review Medical Ethics Committee
2.3. Tracer Synthesis
2.4. PET/CT Scanning
2.4.1. Dynamic Scanning
2.4.2. Static Scanning
2.5. Blood Sampling & Metabolite Analysis
2.6. VOI Definition
2.7. Dynamic Scan SUV and TBR Analysis
2.8. Static Scan SUV and TBR Analysis
2.9. Pharmacokinetic and Pharmacodynamic Interpretation
2.10. Statistical Analysis
3. Results
3.1. Baseline Characteristics
3.2. Blood Activity Data
3.3. Dynamic SUV and TBR Analysis
3.4. Static SUV and TBR Analysis
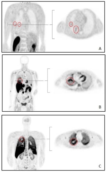
3.5. Tumor-to-Lung Contrast and Noise
3.6. Exploration of Tissue Distribution Based on Clinical PKPD Characteristics
4. Discussion
5. Conclusions
6. Limitations
7. Future Consideration
Supplementary Materials
Author Contributions
Funding
Institutional Review Board Statement
Informed Consent Statement
Data Availability Statement
Acknowledgments
Conflicts of Interest
References
- Siegel, R.L.; Miller, K.D.; Fuchs, H.E.; Jemal, A. Cancer Statistics, 2021. CA Cancer J. Clin. 2021, 71, 7–33. [Google Scholar] [CrossRef]
- Siegel, R.L.; Miller, K.D.; Jemal, A. Cancer statistics, 2020. CA Cancer J. Clin. 2020, 70, 7–30. [Google Scholar] [CrossRef]
- Sung, H.; Ferlay, J.; Siegel, R.L.; Laversanne, M.; Soerjomataram, I.; Jemal, A.; Bray, F. Global Cancer Statistics 2020: GLOBOCAN Estimates of Incidence and Mortality Worldwide for 36 Cancers in 185 Countries. CA Cancer J. Clin. 2021, 71, 209–249. [Google Scholar] [CrossRef]
- Planchard, D.; Popat, S.; Kerr, K.; Novello, S.; Smit, E.F.; Faivre-Finn, C.; Mok, T.S.; Reck, M.; Van Schil, P.E.; Hellmann, M.D.; et al. Metastatic non-small cell lung cancer: ESMO Clinical Practice Guidelines for diagnosis, treatment and follow-up. Ann. Oncol. 2018, 29 (Suppl. 4), iv192–iv237. [Google Scholar] [CrossRef]
- Red Brewer, M.; Yun, C.H.; Lai, D.; Lemmon, M.A.; Eck, M.J.; Pao, W. Mechanism for activation of mutated epidermal growth factor receptors in lung cancer. Proc. Natl. Acad. Sci. USA 2013, 110, E3595–E3604. [Google Scholar] [CrossRef]
- Eck, M.J.; Yun, C.H. Structural and mechanistic underpinnings of the differential drug sensitivity of EGFR mutations in non-small cell lung cancer. Biochim. Biophys. Acta 2010, 1804, 559–566. [Google Scholar] [CrossRef]
- Yun, C.H.; Boggon, T.J.; Li, Y.; Woo, M.S.; Greulich, H.; Meyerson, M.; Eck, M.J. Structures of lung cancer-derived EGFR mutants and inhibitor complexes: Mechanism of activation and insights into differential inhibitor sensitivity. Cancer Cell 2007, 11, 217–227. [Google Scholar] [CrossRef]
- Faehling, M.; Schwenk, B.; Kramberg, S.; Eckert, R.; Volckmar, A.L.; Stenzinger, A.; Sträter, J. Oncogenic driver mutations, treatment, and EGFR-TKI resistance in a Caucasian population with non-small cell lung cancer: Survival in clinical practice. Oncotarget 2017, 8, 77897–77914. [Google Scholar] [CrossRef]
- Huang, C.H.; Ju, J.S.; Chiu, T.H.; Huang, A.C.; Tung, P.H.; Wang, C.C.; Liu, C.-Y.; Chung, F.-T.; Fang, Y.-F.; Guo, Y.-K.; et al. Afatinib treatment in a large real-world cohort of non-small cell lung cancer patients with common and uncommon epidermal growth factor receptor mutation. Int. J. Cancer 2022, 150, 626–635. [Google Scholar] [CrossRef]
- Park, K.; Wan-Teck Lim, D.; Okamoto, I.; Yang, J.C. First-line afatinib for the treatment of EGFR mutation-positive non-small-cell lung cancer in the ‘real-world’ clinical setting. Ther. Adv. Med. Oncol. 2019, 11, 1758835919836374. [Google Scholar] [CrossRef]
- Rosell, R.; Carcereny, E.; Gervais, R.; Vergnenegre, A.; Massuti, B.; Felip, E.; Palmero, R.; Garcia-Gomez, R.; Pallares, C.; Sanchez, J.M.; et al. Erlotinib versus standard chemotherapy as first-line treatment for European patients with advanced EGFR mutation-positive non-small-cell lung cancer (EURTAC): A multicentre, open-label, randomised phase 3 trial. Lancet Oncol. 2012, 13, 239–246. [Google Scholar] [CrossRef]
- Yang, J.C.; Shih, J.Y.; Su, W.C.; Hsia, T.C.; Tsai, C.M.; Ou, S.H.; Yu, C.-J.; Chang, G.-C.; Ho, C.-L.; Sequist, L.V.; et al. Afatinib for patients with lung adenocarcinoma and epidermal growth factor receptor mutations (LUX-Lung 2): A phase 2 trial. Lancet Oncol. 2012, 13, 539–548. [Google Scholar] [CrossRef]
- Nelson, V.; Ziehr, J.; Agulnik, M.; Johnson, M. Afatinib: Emerging next-generation tyrosine kinase inhibitor for NSCLC. Onco Targets Ther. 2013, 6, 135–143. [Google Scholar]
- Kris, M.G.; Natale, R.B.; Herbst, R.S.; Lynch, T.J., Jr.; Prager, D.; Belani, C.P.; Schiller, J.H.; Kelly, K.; Spiridonidis, H.; Sandler, A.; et al. Efficacy of gefitinib, an inhibitor of the epidermal growth factor receptor tyrosine kinase, in symptomatic patients with non-small cell lung cancer: A randomized trial. JAMA 2003, 290, 2149–2158. [Google Scholar] [CrossRef]
- Yi, L.; Fan, J.; Qian, R.; Luo, P.; Zhang, J. Efficacy and safety of osimertinib in treating EGFR-mutated advanced NSCLC: A meta-analysis. Int. J. Cancer 2019, 145, 284–294. [Google Scholar] [CrossRef]
- Bahce, I.; Yaqub, M.; Smit, E.F.; Lammertsma, A.A.; van Dongen, G.A.; Hendrikse, N.H. Personalizing NSCLC therapy by characterizing tumors using TKI-PET and immuno-PET. Lung Cancer 2017, 107, 1–13. [Google Scholar] [CrossRef]
- Bahce, I.; Smit, E.F.; Lubberink, M.; van der Veldt, A.A.; Yaqub, M.; Windhorst, A.D.; Schuit, R.C.; Thunnissen, E.; Heideman, D.A.M.; Postmus, P.E.; et al. Development of [(11)C]erlotinib positron emission tomography for in vivo evaluation of EGF receptor mutational status. Clin. Cancer Res. 2013, 19, 183–193. [Google Scholar] [CrossRef]
- van de Stadt, E.A.; Yaqub, M.; Lammertsma, A.A.; Poot, A.J.; Schober, P.R.; Schuit, R.C.; Smit, E.F.; Bahce, I.; Hendrikse, N.H. Quantification of [(18)F]afatinib using PET/CT in NSCLC patients: A feasibility study. EJNMMI Res. 2020, 10, 97. [Google Scholar] [CrossRef]
- Yaqub, M.; Bahce, I.; Voorhoeve, C.; Schuit, R.C.; Windhorst, A.D.; Hoekstra, O.S.; Boellaard, R.; Hendrikse, N.H.; Smit, E.F.; Lammertsma, A.A. Quantitative and Simplified Analysis of 11C-Erlotinib Studies. J. Nucl. Med. 2016, 57, 861–866. [Google Scholar] [CrossRef][Green Version]
- Bahce, I.; Yaqub, M.; Errami, H.; Schuit, R.C.; Schober, P.; Thunnissen, E.; Windhorst, A.D.; Lammertsma, A.A.; Smit, E.F.; Hendrikse, N.H. Effects of erlotinib therapy on [(11)C]erlotinib uptake in EGFR mutated, advanced NSCLC. EJNMMI Res. 2016, 6, 10. [Google Scholar] [CrossRef]
- Van de Stadt, E.A.; Yaqub, M.; Lammertsma, A.A.; Poot, A.J.; Schuit, R.C.; Remmelzwaal, S.; Schwarte, L.A.; Smit, E.F.; Hendrikse, H.; Bahce, I. Identifying advanced stage NSCLC patients who benefit from afatinib therapy using (18)F-afatinib PET/CT imaging. Lung Cancer 2021, 155, 156–162. [Google Scholar] [CrossRef]
- Varrone, A.; Varnas, K.; Jucaite, A.; Cselenyi, Z.; Johnstrom, P.; Schou, M.; Vazquez-Romero, A.; Moein, M.M.; Halldin, C.; Brown, A.P.; et al. A PET study in healthy subjects of brain exposure of (11)C-labelled osimertinib—A drug intended for treatment of brain metastases in non-small cell lung cancer. J. Cereb. Blood Flow Metab. 2020, 40, 799–807. [Google Scholar] [CrossRef]
- Bartelink, I.H.; Jones, E.F.; Shahidi-Latham, S.K.; Lee, P.R.E.; Zheng, Y.; Vicini, P.; van’t Veer, L.; Wolf, D.; Iagaru, A.; Kroetz, D.L.; et al. Tumor Drug Penetration Measurements Could Be the Neglected Piece of the Personalized Cancer Treatment Puzzle. Clin. Pharmacol. Ther. 2019, 106, 148–163. [Google Scholar] [CrossRef]
- Hallifax, D.; Houston, J.B. Saturable uptake of lipophilic amine drugs into isolated hepatocytes: Mechanisms and consequences for quantitative clearance prediction. Drug Metab. Dispos. 2007, 35, 1325–1332. [Google Scholar] [CrossRef]
- Schmitt, M.V.; Lienau, P.; Fricker, G.; Reichel, A. Quantitation of Lysosomal Trapping of Basic Lipophilic Compounds Using In Vitro Assays and In Silico Predictions Based on the Determination of the Full pH Profile of the Endo-/Lysosomal System in Rat Hepatocytes. Drug Metab. Dispos. 2019, 47, 49–57. [Google Scholar] [CrossRef]
- de Araujo, M.E.G.; Liebscher, G.; Hess, M.W.; Huber, L.A. Lysosomal size matters. Traffic 2020, 21, 60–75. [Google Scholar] [CrossRef]
- Lin, A.; Wei, T.; Meng, H.; Luo, P.; Zhang, J. Role of the dynamic tumor microenvironment in controversies regarding immune checkpoint inhibitors for the treatment of non-small cell lung cancer (NSCLC) with EGFR mutations. Mol. Cancer 2019, 18, 139. [Google Scholar] [CrossRef]
- Colclough, N.; Chen, K.; Johnstrom, P.; Strittmatter, N.; Yan, Y.; Wrigley, G.L.; Schou, M.; Goodwin, R.J.; Varnäs, K.; Adua, S.J.; et al. Preclinical Comparison of the Blood-brain barrier Permeability of Osimertinib with Other EGFR TKIs. Clin. Cancer Res. 2021, 27, 189–201. [Google Scholar] [CrossRef]
- Brown, K.; Comisar, C.; Witjes, H.; Maringwa, J.; de Greef, R.; Vishwanathan, K.; Cantarini, M.; Cox, E. Population pharmacokinetics and exposure-response of osimertinib in patients with non-small cell lung cancer. Br. J. Clin. Pharmacol. 2017, 83, 1216–1226. [Google Scholar] [CrossRef]
- Wind, S.; Schnell, D.; Ebner, T.; Freiwald, M.; Stopfer, P. Clinical Pharmacokinetics and Pharmacodynamics of Afatinib. Clin. Pharmacokinet. 2017, 56, 235–250. [Google Scholar] [CrossRef]
- (EMA) EMA. Tarceva (INN-erlotinib) Summary of Product Characteristics 2005. Available online: https://www.ema.europa.eu/en/documents/product-information/tarceva-epar-product-information_en.pdf (accessed on 10 January 2022).
- Joly-Tonetti, N.; Ondet, T.; Monshouwer, M.; Stamatas, G.N. EGFR inhibitors switch keratinocytes from a proliferative to a differentiative phenotype affecting epidermal development and barrier function. BMC Cancer 2021, 21, 5. [Google Scholar] [CrossRef]
- Hirano, T.; Yasuda, H.; Tani, T.; Hamamoto, J.; Oashi, A.; Ishioka, K.; Arai, D.; Nukaga, S.; Miyawaki, M.; Kawada, I.; et al. In vitro modeling to determine mutation specificity of EGFR tyrosine kinase inhibitors against clinically relevant EGFR mutants in non-small-cell lung cancer. Oncotarget 2015, 6, 38789–38803. [Google Scholar] [CrossRef]
- de Klerk, D.J.; Honeywell, R.J.; Jansen, G.; Peters, G.J. Transporter and Lysosomal Mediated (Multi)drug Resistance to Tyrosine Kinase Inhibitors and Potential Strategies to Overcome Resistance. Cancers 2018, 10, 503. [Google Scholar] [CrossRef]
- Krchniakova, M.; Skoda, J.; Neradil, J.; Chlapek, P.; Veselska, R. Repurposing Tyrosine Kinase Inhibitors to Overcome Multidrug Resistance in Cancer: A Focus on Transporters and Lysosomal Sequestration. Int. J. Mol. Sci. 2020, 21, 3157. [Google Scholar] [CrossRef]
- Aarons, L. Physiologically based pharmacokinetic modelling: A sound mechanistic basis is needed. Br. J. Clin. Pharmacol. 2005, 60, 581–583. [Google Scholar] [CrossRef]
- Burt, T.; Yoshida, K.; Lappin, G.; Vuong, L.; John, C.; de Wildt, S.N.; Sugiyama, Y.; Rowland, M. Microdosing and Other Phase 0 Clinical Trials: Facilitating Translation in Drug Development. Clin. Transl. Sci. 2016, 9, 74–88. [Google Scholar] [CrossRef]
- Veerman, G.D.M.; Lam, M.H.; Mathijssen, R.H.J.; Koolen, S.L.W.; de Bruijn, P. Quantification of afatinib, alectinib, crizotinib and osimertinib in human plasma by liquid chromatography/triple-quadrupole mass spectrometry; focusing on the stability of osimertinib. J. Chromatogr. B Analyt. Technol. Biomed. Life Sci. 2019, 1113, 37–44. [Google Scholar] [CrossRef]
- Gunn, R.N.; Gunn, S.R.; Cunningham, V.J. Positron emission tomography compartmental models. J. Cereb. Blood Flow Metab. 2001, 21, 635–652. [Google Scholar] [CrossRef]
- Lu, J.F.; Eppler, S.M.; Wolf, J.; Hamilton, M.; Rakhit, A.; Bruno, R.; Lum, B.L. Clinical pharmacokinetics of erlotinib in patients with solid tumors and exposure-safety relationship in patients with non-small cell lung cancer. Clin. Pharmacol. Ther. 2006, 80, 136–145. [Google Scholar] [CrossRef]
- Katsuya, Y.; Fujiwara, Y.; Sunami, K.; Utsumi, H.; Goto, Y.; Kanda, S.; Horinouchi, H.; Nokihara, H.; Yamamoto, N.; Takashima, Y.; et al. Comparison of the pharmacokinetics of erlotinib administered in complete fasting and 2 h after a meal in patients with lung cancer. Cancer Chemother. Pharmacol. 2015, 76, 125–132. [Google Scholar] [CrossRef]
- Medicines CfMPfHUCE. Giotrif (INN-Afatinib) European Public Assessment Report 2013. Available online: https://www.ema.europa.eu/en/documents/assessment-report/giotrif-epar-public-assessment-report_en.pdf (accessed on 10 January 2022).
- Medicines CfMPfHUCE. Tagrisso (INN-Osimertinib) European Public Assessment Report 2015. Available online: http://www.ema.europa.eu/en/documents/assessment-report/tagrisso-epar-public-assessment-report_en.pdf (accessed on 10 January 2022).
- Nakao, K.; Kobuchi, S.; Marutani, S.; Iwazaki, A.; Tamiya, A.; Isa, S.; Okishio, K.; Kanazu, M.; Tamiya, M.; Hirashima, T.; et al. Population pharmacokinetics of afatinib and exposure-safety relationships in Japanese patients with EGFR mutation-positive non-small cell lung cancer. Sci. Rep. 2019, 9, 18202. [Google Scholar] [CrossRef] [PubMed]
- Yu, H.; Steeghs, N.; Nijenhuis, C.M.; Schellens, J.H.; Beijnen, J.H.; Huitema, A.D. Practical guidelines for therapeutic drug monitoring of anticancer tyrosine kinase inhibitors: Focus on the pharmacokinetic targets. Clin. Pharmacokinet. 2014, 53, 305–325. [Google Scholar] [CrossRef] [PubMed]
- Research FaDACfDEa. Osimertinib Clinical Pharmacology and Biopharmaceutics Review 2015. Available online: https://www.accessdata.fda.gov/drugsatfda_docs/nda/2015/208065orig1s000clinpharmr.pdf (accessed on 10 January 2022).
- Ling, J.; Johnson, K.A.; Miao, Z.; Rakhit, A.; Pantze, M.P.; Hamilton, M.; Lum, B.L.; Prakash, C. Metabolism and excretion of erlotinib, a small molecule inhibitor of epidermal growth factor receptor tyrosine kinase, in healthy male volunteers. Drug Metab. Dispos. 2006, 34, 420–426. [Google Scholar] [CrossRef]
- Dickinson, P.A.; Cantarini, M.V.; Collier, J.; Frewer, P.; Martin, S.; Pickup, K.; Ballard, P. Metabolic Disposition of Osimertinib in Rats, Dogs, and Humans: Insights into a Drug Designed to Bind Covalently to a Cysteine Residue of Epidermal Growth Factor Receptor. Drug Metab. Dispos. 2016, 44, 1201–1212. [Google Scholar] [CrossRef]



| Study * | EGFR TKI Tracer | Patient Nr | Age | Gender @ | EGFR Mutation & | Prior TKI | Dynamic Scan | Static Scan | 
|---|---|---|---|---|---|---|---|---|
| 1 | 11C-erlotinib | 1 | 80 | M | Yes | No | Yes | -- | 
| 2 | 73 | M | Yes | No | Yes | -- | ||
| 3 | 55 | F | Yes | No | Yes | -- | ||
| 4 | 80 | F | Yes | No | Yes | -- | ||
| 5 | 82 | F | Yes | No | Yes | -- | ||
| 2 | 11C-erlotinib | 1 | 69 | M | Yes | No | -- | Yes | 
| 2 | 59 | M | Yes | No | -- | Yes | ||
| 3 | 52 | F | Yes | No | -- | Yes | ||
| 4 | 67 | F | Yes | No | -- | Yes | ||
| 5 | 70 | F | Yes | No | -- | Yes | ||
| 6 | 83 | M | Yes | No | -- | Yes | ||
| 7 | 83 | M | Yes | No | -- | Yes | ||
| 8 | 54 | M | Yes | No | -- | Yes | ||
| 3 | 18F-afatinib | 1 | 53 | F | Yes | No | Yes | Yes | 
| 2 | 69 | M | No | No | Yes | Yes | ||
| 3 | 71 | M | No | No | Yes | Yes | ||
| 4 | 47 | F | Yes | No | Yes | Yes | ||
| 5 | 71 | F | Yes | No | Yes | Yes | ||
| 6 | 78 | M | No | No | Yes | Yes | ||
| 7 | 54 | M | No | No | Yes | Yes | ||
| 4 | 11C-osimertinib | 1 | 58 | F | Yes | Yes # | Yes | Yes | 
| 2 | 81 | M | Yes | Yes # | Yes | No | ||
| 3 | 77 | F | Yes | Yes # | No | Yes | ||
| 4 | 43 | M | Yes | Yes # | Yes | Yes | 
| 11C-Erlotinib | 18F-Afatinib | 11C-Osimertinib | |||
|---|---|---|---|---|---|
| SUV-AUC | Spleen | 110.1 (25.0) | 560.3 (76.7) | 757.1 (340.8) | |
| Liver | 518.3 (228.6) | 731.5 (87.4) | 679.1 (256.0) | ||
| Vertebra | 119.8 (20.4) | 154.3 (54.5) | 171.6 (67.4) | ||
| Tumor | 85.6 (28.3) | EGFR +: Wild type: | 244.8 (65.1) 105.4 (25.9) | 192.9 (116.9) | |
| Lung | 24.7 (8.2) | 98.5 (16.5) | 243.1 (112.5) | ||
| Aorta | 95.4 (21.9) | 80.6 (25.9) | 50.5 (18.7) | ||
| TBR-AUC | Spleen | 62.9 (4.5) | 531.4 (281.7) | 982.7 (55.4) | |
| Liver | 460.1 (305.1) | 747.7 (426.3) | 1252.0 (109.3) | ||
| Vertebra | 85.3 (11.2) | 143.4 (57.6) | 268.0 (58.0) | ||
| Tumor | 61.6 (23.5) | EGFR +: Wild type: | 150.7 (9.1) 113.0 (44.8) | 279.9 (109.3) | |
| Lung | 16.0 (5.8) | 90.9 (37.9) | 361.0 (137.2) | ||
| 11C-Erlotinib | 18F-Afatinib | 11C-Osimertinib | |||
|---|---|---|---|---|---|
| SUV | Spleen | 1.0 (0.4) | 6.8 (1.0) | 6.8 (1.5) | |
| Liver | 7.6 (4.0) | 11.8 (2.2) | 13.5 (3.6) | ||
| Vertebra | 0.8 (0.3) | 2.4 (0.8) | 1.6 (0.4) | ||
| Tumor | 0.9 (0.3) | EGFR +: Wild type: | 1.8 (1.3) 1.6 (0.1) | 2.1 (0.9) | |
| Lung | 0.3 (0.1) | 1.3 (0.5) | 2.6 (0.8) | ||
| Kidney | 1.1 (0.4) | 3.5 (0.7) | 2.0 (0.3) | ||
| Brain | N/A | 0.04 (0.01) | 0.3 (0.1) | ||
| Aorta | 0.7 (0.3) | 0.5 (0.1) | 0.4 (0.1) | ||
| TBR | Spleen | 1.5 (0.4) | 13.2 (2.3) | 12.8 (7.7) | |
| Liver | 12.3 (6.9) | 23.3 (6.2) | 36.0 (6.7) | ||
| Vertebra | 1.2 (0.2) | 4.8 (2.0) | 4.2 (0.7) | ||
| Tumor | 1.4 (0.5) | EGFR +: Wild type: | 3.6 (2.4) 3.3 (1.0) | 5.6 (2.0) | |
| Lung | 0.5 (0.2) | 2.5 (1.2) | 7.0 (1.6) | ||
| Kidney | 1.7 (0.6) | 6.9 (1.8) | 5.6 (1.2) | ||
| Brain | N/A | 0.08 (0.03) | 0.8 (0.5) | ||
| Contrast SUV (%) | Contrast TBR (%) | Noise SUV (%) | Noise TBR (%) | |
|---|---|---|---|---|
| 11C-erlotinib | 167.0 | 178 | 42.5 | 29.5 | 
| 18F-afatinibwild type | 15.5 | 20.5 | 44.3 | 50.8 | 
| 18F-afatinibEGFR mutated | 96 | 95.9 | 33.6 | 11.4 | 
| 11C-osimertinib | −19.8 | −20.5 | 30.4 | 22.9 | 
| Erlotinib | Afatinib | Osimertinib | References | ||
|---|---|---|---|---|---|
| Level | |||||
| 1 | Volume of distribution (L) | 232 | 2370 | 918 | [29,30,31] | 
| Fraction unbound (%) | 8.77 | 9.48 | 1.66 | [28] | |
| 2 | Drug transport (efflux ratio MDR1 (P-gp)/BRCP) | 6.9 | 53.1 | 3.2 | [28] | 
| Strength of basicity (pKa) | Weak–5.5 | Strong–8.2 | Strong–9.0 | [28] | |
| 3 | Kd EGFR (nM) | 2164 | 2 | 155 | [32] | 
| Lysosomal sequestration (%) | <1 | 53.15 | 54.32 | [25] | |
| 4 | IC50 exon19del (nM) | 7 | 0.8 | 17 | [33] | 
| AUC/IC50 (nM * h/L) | 11260 | 2336 | 702 | -- | |
| Publisher’s Note: MDPI stays neutral with regard to jurisdictional claims in published maps and institutional affiliations. | 
© 2022 by the authors. Licensee MDPI, Basel, Switzerland. This article is an open access article distributed under the terms and conditions of the Creative Commons Attribution (CC BY) license (https://creativecommons.org/licenses/by/4.0/).
Share and Cite
van de Stadt, E.A.; Yaqub, M.; Schuit, R.C.; Bartelink, I.H.; Leeuwerik, A.F.; Schwarte, L.A.; de Langen, A.J.; Hendrikse, H.; Bahce, I. Relationship between Biodistribution and Tracer Kinetics of 11C-Erlotinib, 18F-Afatinib and 11C-Osimertinib and Image Quality Evaluation Using Pharmacokinetic/Pharmacodynamic Analysis in Advanced Stage Non-Small Cell Lung Cancer Patients. Diagnostics 2022, 12, 883. https://doi.org/10.3390/diagnostics12040883
van de Stadt EA, Yaqub M, Schuit RC, Bartelink IH, Leeuwerik AF, Schwarte LA, de Langen AJ, Hendrikse H, Bahce I. Relationship between Biodistribution and Tracer Kinetics of 11C-Erlotinib, 18F-Afatinib and 11C-Osimertinib and Image Quality Evaluation Using Pharmacokinetic/Pharmacodynamic Analysis in Advanced Stage Non-Small Cell Lung Cancer Patients. Diagnostics. 2022; 12(4):883. https://doi.org/10.3390/diagnostics12040883
Chicago/Turabian Stylevan de Stadt, Eveline Annette, Maqsood Yaqub, Robert C. Schuit, Imke H. Bartelink, Anke F. Leeuwerik, Lothar A. Schwarte, Adrianus J. de Langen, Harry Hendrikse, and Idris Bahce. 2022. "Relationship between Biodistribution and Tracer Kinetics of 11C-Erlotinib, 18F-Afatinib and 11C-Osimertinib and Image Quality Evaluation Using Pharmacokinetic/Pharmacodynamic Analysis in Advanced Stage Non-Small Cell Lung Cancer Patients" Diagnostics 12, no. 4: 883. https://doi.org/10.3390/diagnostics12040883
APA Stylevan de Stadt, E. A., Yaqub, M., Schuit, R. C., Bartelink, I. H., Leeuwerik, A. F., Schwarte, L. A., de Langen, A. J., Hendrikse, H., & Bahce, I. (2022). Relationship between Biodistribution and Tracer Kinetics of 11C-Erlotinib, 18F-Afatinib and 11C-Osimertinib and Image Quality Evaluation Using Pharmacokinetic/Pharmacodynamic Analysis in Advanced Stage Non-Small Cell Lung Cancer Patients. Diagnostics, 12(4), 883. https://doi.org/10.3390/diagnostics12040883
 
         
                                                

 
       