Comparison of Qualitative and Quantitative Analyses of MR-Arterial Spin Labeling Perfusion Data for the Assessment of Pediatric Patients with Focal Epilepsies
Abstract
1. Introduction
2. Methods
2.1. Patients
2.2. MR Imaging
2.3. ASL Analysis
2.3.1. Patients with Focal Epilepsy
2.3.2. Healthy Controls
2.3.3. Definition of the Presumed Seizure Onset Zone
2.3.4. Concordance of ASL with SOZ
- a.
- Frontal lobe: orbitofrontal (inferior surface), mesial frontal (medial to the interhemispheric fissure), anterior lateral frontal (anterior to the precentral sulcus), posterior lateral frontal (anterior to the central sulcus, and posterior to the precentral sulcus) segments.
- b.
- Temporal lobe: lateral anterior and posterior segments and temporal-mesial segment.
- c.
- Parietal lobe: post-central, superior (superior to intraparietal sulcus), and inferior parietal (inferior to intraparietal sulcus) segments.
- d.
- Occipital lobe (without subdivisions).
- a.
- Concordant: If the SOZ defined by anatomo-electro-clinical data overlapped entirely with the one identified by the ASL.
- b.
- Partially concordant: If the SOZ defined by anatomo-electro-clinically partially overlapped with the one identified by the ASL.
- c.
- Discordant-ipsilateral: If the anatomo-electro-clinical SOZ and the one identified by the ASL were different regions of the same hemisphere.
- d.
- Discordant-contralateral: If the anatomo-electro-clinical SOZ and the one identified by the ASL were in opposite hemispheres.
- e.
- Uninformative: If no localization can be inferred.
2.4. Statistical Analysis
3. Results
3.1. Patients
3.2. ASL Analyses
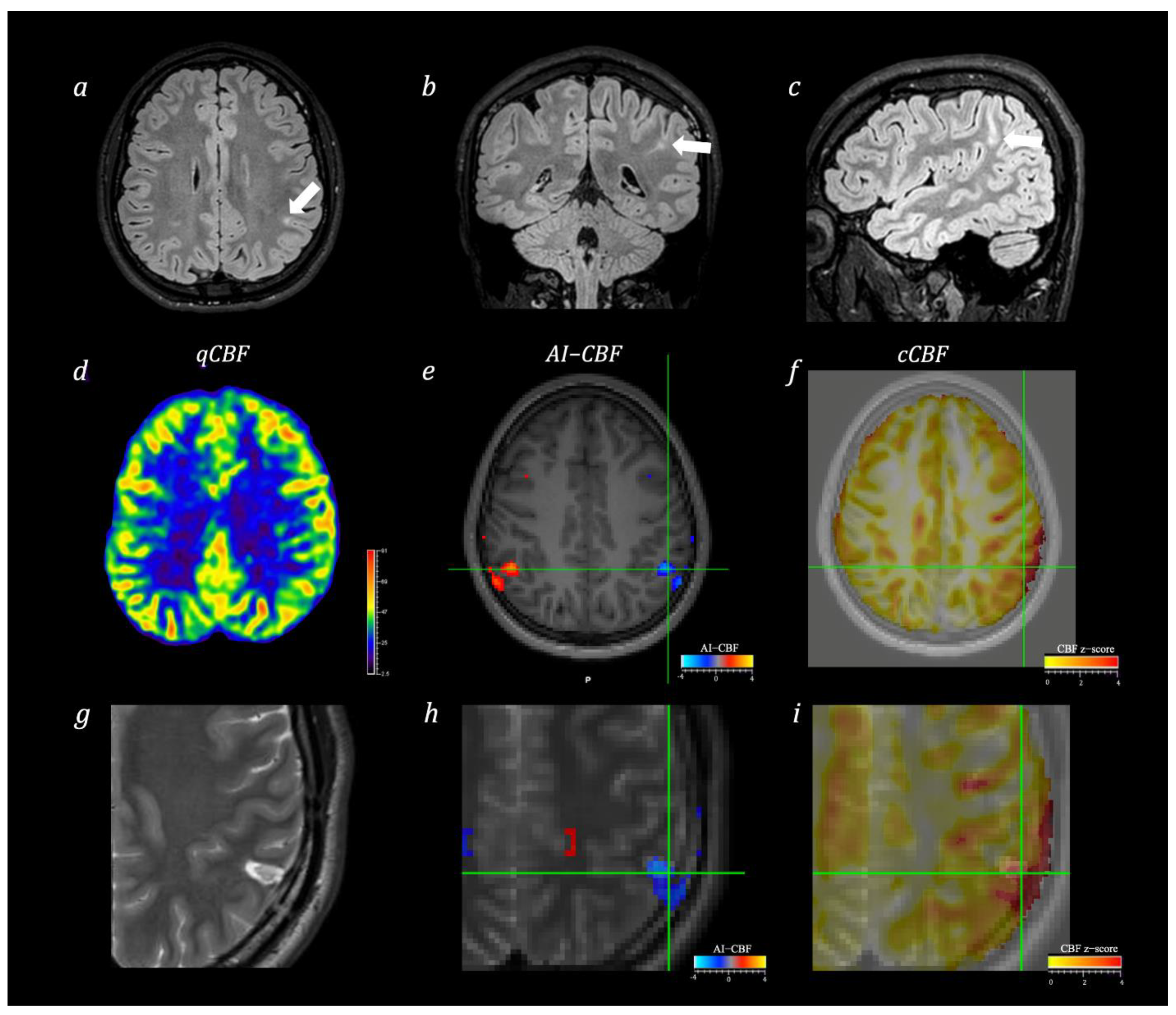
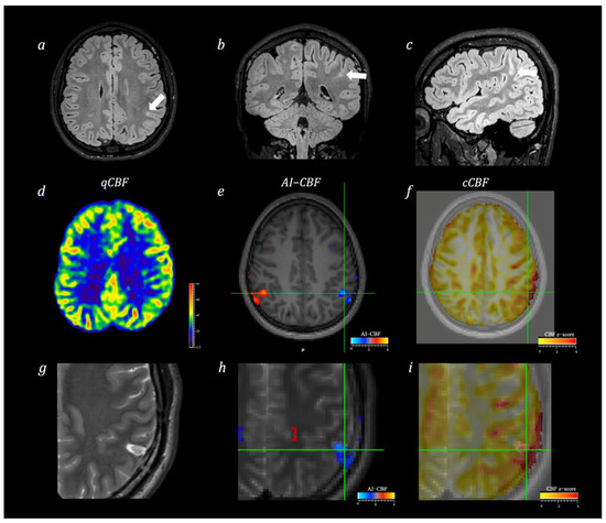
3.3. Qualitative Analysis
3.4. Asymmetry Index
3.5. ASL cCBF Analysis
3.6. Agreement among ASL Analyses
4. Discussion
Author Contributions
Funding
Institutional Review Board Statement
Informed Consent Statement
Data Availability Statement
Conflicts of Interest
References
- Camfield, P.; Camfield, C. Incidence, prevalence and aetiology of seizures and epilepsy in children. Epileptic Disord. 2015, 17, 117–123. [Google Scholar] [CrossRef] [PubMed]
- Jayalakshmi, S.; Vooturi, S.; Gupta, S.; Panigrahi, M. Epilepsy surgery in children. Neurol. India 2017, 65, 485–492. [Google Scholar] [CrossRef] [PubMed]
- Lüders, H.O.; Najm, I.; Nair, D.; Widdess-Walsh, P.; Bingman, W. Definition and localization of the epileptogenic zone The epileptogenic zone: General principles. Epileptic Disord 2006, 8 (Suppl. 2), S1–S9. [Google Scholar] [PubMed]
- Ryvlin, P.; Cross, J.H.; Rheims, S. Epilepsy surgery in children and adults. Lancet Neurol. 2014, 13, 1114–1126. [Google Scholar] [CrossRef]
- Téllez-Zenteno, J.F.; Ronquillo, L.H.; Moien-Afshari, F.; Wiebe, S. Surgical outcomes in lesional and non-lesional epilepsy: A systematic review and meta-analysis. Epilepsy Res. 2010, 89, 310–318. [Google Scholar] [CrossRef] [PubMed]
- Sebastiano, D.R.; Tassi, L.; Duran, D.; Visani, E.; Gozzo, F.; Cardinale, F.; Nobili, L.; Del Sole, A.; Rubino, A.; Dotta, S.; et al. Identifying the epileptogenic zone by four non-invasive imaging techniques versus stereo-EEG in MRI-negative pre-surgery epilepsy patients. Clin. Neurophysiol. 2020, 131, 1815–1823. [Google Scholar] [CrossRef]
- Foged, M.T.; Martens, T.; Pinborg, L.H.; Hamrouni, N.; Litman, M.; Rubboli, G.; Leffers, A.-M.; Ryvlin, P.; Jespersen, B.; Paulson, O.B.; et al. Diagnostic added value of electrical source imaging in presurgical evaluation of patients with epilepsy: A prospective study. Clin. Neurophysiol. 2020, 131, 324–329. [Google Scholar] [CrossRef]
- Mayoral, M.; Niñerola-Baizán, A.; Marti-Fuster, B.; Donaire, A.; Perissinotti, A.; Rumià, J.; Bargalló, N.; Sala-Llonch, R.; Pavia, J.; Ros, D.; et al. Epileptogenic Zone Localization With 18FDG PET Using a New Dynamic Parametric Analysis. Front. Neurol. 2019, 10, 380. [Google Scholar] [CrossRef]
- Kim, S.; Mountz, J.M. SPECT Imaging of Epilepsy: An Overview and Comparison with F-18 FDG PET. Int. J. Mol. Imaging 2011, 2011, 813028. [Google Scholar] [CrossRef]
- Alsop, D.C.; Detre, J.A.; Golay, X.; Günther, M.; Hendrikse, J.; Hernandez-Garcia, L.; Lu, H.; MacIntosh, B.J.; Parkes, L.M.; Smits, M.; et al. Recommended implementation of arterial spin-labeled perfusion MRI for clinical applications: A consensus of the ISMRM perfusion study group and the European consortium for ASL in dementia. Magn. Reson. Med. 2015, 73, 102–116. [Google Scholar] [CrossRef]
- Nagesh, C.; Kumar, S.; Menon, R.; Thomas, B.; Radhakrishnan, A.; Kesavadas, C. The Imaging of Localization Related Symptomatic Epilepsies: The Value of Arterial Spin Labelling Based Magnetic Resonance Perfusion. Korean J. Radiol. 2018, 19, 965–977. [Google Scholar] [CrossRef] [PubMed]
- Wolf, R.L.; Alsop, D.C.; Levy-Reis, I.; Meyer, P.T.; Maldjian, J.A.; Gonzalez-Atavales, J.; French, J.A.; Alavi, A.; Detre, J.A. Detection of mesial temporal lobe hypoperfusion in patients with temporal lobe epilepsy by use of arterial spin labeled perfusion MR imaging. Am. J. Neuroradiol. 2001, 22, 1334–1341. [Google Scholar] [PubMed]
- Zhang, J.; Zhang, H.; Li, Y.; Yuan, M.; Zhang, J.; Luo, H.; Yao, Z.; Gan, J. Arterial spin labeling for presurgical localization of refractory frontal lobe epilepsy in children. Eur. J. Med. Res. 2021, 26, 88. [Google Scholar] [CrossRef] [PubMed]
- Galazzo, I.B.; Mattoli, M.V.; Pizzini, F.B.; De Vita, E.; Barnes, A.; Duncan, J.S.; Jäger, H.R.; Golay, X.; Bomanji, J.B.; Koepp, M.; et al. Cerebral metabolism and perfusion in MR-negative individuals with refractory focal epilepsy assessed by simultaneous acquisition of 18 F-FDG PET and arterial spin labeling. YNICL 2016, 11, 648–657. [Google Scholar] [CrossRef]
- Perera, T.; Gaxiola-Valdez, I.; Singh, S.; Peedicail, J.; Sandy, S.; Lebel, R.M.; Li, E.; Milne-Ives, M.; Szostakiwskyj, J.; Federico, P. Localizing the seizure onset zone by comparing patient postictal hypoperfusion to healthy controls. J. Neurosci. Res. 2020, 98, 1517–1531. [Google Scholar] [CrossRef]
- Engel, J., Jr. Outcome with Respect to Epileptic Seizures. In Surgical Treatment of the Epilepsies; Raven PRess: New York, NY, USA, 1987; pp. 553–571. [Google Scholar]
- Paniukov, D.; Lebel, R.M.; Giesbrecht, G.; Lebel, C. Cerebral blood flow increases across early childhood. Neuroimage 2020, 204, 116224. [Google Scholar] [CrossRef]
- Jehi, L. The Epileptogenic Zone: Concept and Definition. Epilepsy Curr. 2018, 18, 12–16. [Google Scholar] [CrossRef]
- Shan, G.; Gerstenberger, S. Fisher’s exact approach for post hoc analysis of a chi-squared test. PLoS ONE 2017, 12, e0188709. [Google Scholar] [CrossRef]
- Landis, J.R.; Koch, G.G. The Measurement of Observer Agreement for Categorical Data. Biometrics 1977, 33, 159–174. [Google Scholar] [CrossRef]
- Scheffer, I.E.; Berkovic, S.; Capovilla, G.; Connolly, M.B.; French, J.; Guilhoto, L.; Hirsch, E.; Jain, S.; Mathern, G.W.; Moshé, S.L.; et al. ILAE classification of the epilepsies: Position paper of the ILAE Commission for Classification and Terminology. Epilepsia 2017, 58, 512–521. [Google Scholar] [CrossRef]
- Mohamed, R.E.; Aboelsafa, A.A.; Dawoud, R.M. Arterial spin-labelling and magnetic resonance spectroscopy as imaging biomarkers for detection of epileptogenic zone in non-lesional focal impaired awareness epilepsy. Egypt. J. Radiol. Nucl. Med. 2020, 51, 200. [Google Scholar] [CrossRef]
- Pendse, N.; Wissmeyer, M.; Altrichter, S.; Vargas, M.; Delavelle, J.; Viallon, M.; Federspiel, A.; Seeck, M.; Schaller, K.; Lövblad, K.O. Interictal arterial spin-labeling MRI perfusion in intractable epilepsy. J. Neuroradiol. 2010, 37, 60–63. [Google Scholar] [CrossRef] [PubMed]
- Oishi, M.; Ishida, G.; Morii, K.; Hasegawa, K.; Sato, M.; Fujii, Y. Ictal focal hyperperfusion demonstrated by arterial spin-labeling perfusion MRI in partial epilepsy status. Neuroradiology 2012, 54, 653–656. [Google Scholar] [CrossRef] [PubMed]
- Lee, S.M.; Kwon, S.; Lee, Y.J. Diagnostic usefulness of arterial spin labeling in MR negative children with new onset seizures. Seizure 2019, 65, 151–158. [Google Scholar] [CrossRef]
- Pollock, J.M.; Whitlow, C.T.; Tan, H.; Kraft, R.A.; Burdette, J.H.; Maldjian, J.A. Pulsed arterial spin-labeled MR imaging evaluation of tuberous sclerosis. Am. J. Neuroradiol. 2009, 30, 815–820. [Google Scholar] [CrossRef]
- Takahara, K.; Morioka, T.; Shimogawa, T.; Haga, S.; Kameda, K.; Arihiro, S.; Sakata, A.; Mukae, N.; Iihara, K. Hemodynamic state of periictal hyperperfusion revealed by arterial spin-labeling perfusion MR images with dual postlabeling delay. eNeurologicalSci 2018, 12, 5–18. [Google Scholar] [CrossRef]
- Yoo, R.-E.; Yun, T.J.; Yoon, B.-W.; Lee, S.K.; Lee, S.-T.; Kang, K.M.; Choi, S.H.; Kim, J.; Sohn, C.-H.; Park, S.-W.; et al. Identification of cerebral perfusion using arterial spin labeling in patients with seizures in acute settings. PLoS ONE 2017, 12, e0173538. [Google Scholar] [CrossRef]
- Warren, C.P.; Hu, S.; Stead, M.; Brinkmann, B.H.; Bower, M.R.; Worrell, G.A. Synchrony in normal and focal epileptic brain: The seizure onset zone is functionally disconnected. J. Neurophysiol. 2010, 104, 3530–3539. [Google Scholar] [CrossRef]
- Tenney, J.R.; Rozhkov, L.; Horn, P.; Miles, L.; Miles, M.V. Cerebral glucose hypometabolism is associated with mitochondrial dysfunction in patients with intractable epilepsy and cortical dysplasia. Epilepsia 2014, 55, 1415–1422. [Google Scholar] [CrossRef]
- Fallatah, S.M.; Pizzini, F.B.; Gomez-Anson, B.; Magerkurth, J.; De Vita, E.; Bisdas, S.; Jäger, H.R.; Mutsaerts, H.J.M.M.; Golay, X. A visual quality control scale for clinical arterial spin labeling images. Eur. Radiol. Exp. 2018, 2, 45. [Google Scholar] [CrossRef]
- Blauwblomme, T.; Boddaert, N.; Chémaly, N.; Chiron, C.; Pages, M.; Varlet, P.; Bourgeois, M.; Bahi-Buisson, N.; Kaminska, A.; Grevent, D.; et al. Arterial Spin Labeling MRI: A step forward in non-invasive delineation of focal cortical dysplasia in children. Epilepsy Res. 2014, 108, 1932–1939. [Google Scholar] [CrossRef] [PubMed]
- Mabray, P.; Thewamit, R.; Whitehead, M.T.; Kao, A.; Scafidi, J.; Gaillard, W.D.; Chang, T.; Tsuchida, T.N. Increased cerebral blood flow on arterial spin labeling magnetic resonance imaging can localize to seizure focus in newborns: A report of 3 cases. Epilepsia 2018, 59, e63–e67. [Google Scholar] [CrossRef] [PubMed]
- Zijlmans, M.; Zweiphenning, W.; van Klink, N. Changing concepts in presurgical assessment for epilepsy surgery. Nat. Rev. Neurol. 2019, 15, 594–606. [Google Scholar] [CrossRef] [PubMed]
- Pittau, F.; Megevand, P.; Sheybani, L.; Abela, E.; Grouiller, F.; Spinelli, L.; Michel, C.M.; Seeck, M.; Vulliemoz, S. Mapping Epileptic Activity: Sources or Networks for the Clinicians? Front. Neurol. 2014, 5, 218. [Google Scholar] [CrossRef]
- Theodore, W.H.; Sato, S.; Kufta, C.V.; Gaillard, W.D.; Kelley, K. FDG-positron emission tomography and invasive EEG: Seizure focus detection and surgical outcome. Epilepsia 1997, 38, 81–86. [Google Scholar] [CrossRef]
- Duncan, R.; Patterson, J.; Roberts, R.; Hadley, D.M.; Bone, I. Ictal/postictal SPECT in the pre-surgical localisation of complex partial seizures. J. Neurol. Neurosurg. Psychiatry 1993, 56, 141–148. [Google Scholar] [CrossRef][Green Version]
- Leiderman, D.B.; Balish, M.; Sato, S.; Kufta, C.; Reeves, P.; Gaillard, W.D.; Theodore, W.H. Comparison of PET measurements of cerebral blood flow and glucose metabolism for the localization of human epileptic foci. Epilepsy Res. 1992, 13, 153–157. [Google Scholar] [CrossRef]
- Ding, Y.-S.; Chen, B.-B.; Glielmi, C.; Friedman, K.; Devinsky, O. A pilot study in epilepsy patients using simultaneous PET/MR. Am. J. Nucl. Med. Mol. Imaging 2014, 4, 459–470. [Google Scholar]
- Gajdoš, M.; Říha, P.; Kojan, M.; Doležalová, I.; Mutsaerts, H.J.M.M.; Petr, J.; Rektor, I. Epileptogenic zone detection in MRI negative epilepsy using adaptive thresholding of arterial spin labeling data. Sci. Rep. 2021, 11, 10904. [Google Scholar] [CrossRef]
- Lam, J.; Tomaszewski, P.; Gilbert, G.; Moreau, J.T.; Guiot, M.-C.; Albrecht, S.; Farmer, J.-P.; Atkinson, J.; Saint-Martin, C.; Wintermark, P.; et al. The utility of arterial spin labeling in the presurgical evaluation of poorly defined focal epilepsy in children. J. Neurosurg. Pediatr. 2020, 27, 243–252. [Google Scholar] [CrossRef]
- Sierra-Marcos, A.; Carreño, M.; Setoain, X.; López-Rueda, A.; Aparicio, J.; Donaire, A.; Bargalló, N. Accuracy of arterial spin labeling magnetic resonance imaging (MRI) perfusion in detecting the epileptogenic zone in patients with drug-resistant neocortical epilepsy: Comparison with electrophysiological data, structural MRI, SISCOM and FDG-PET. Eur. J. Neurol. 2016, 23, 160–167. [Google Scholar] [CrossRef] [PubMed]
- Theodore, W.H.; Bromfield, E.; Onorati, L. The effect of carbamazepine on cerebral glucose metabolism. Ann. Neurol. 1989, 25, 516–520. [Google Scholar] [CrossRef] [PubMed]
- Mareček, R.; Říha, P.; Bartoňová, M.; Kojan, M.; Lamoš, M.; Gajdoš, M.; Vojtíšek, L.; Mikl, M.; Bartoň, M.; Doležalová, I.; et al. Automated fusion of multimodal imaging data for identifying epileptogenic lesions in patients with inconclusive magnetic resonance imaging. Hum. Brain Mapp. 2021, 42, 2921–2930. [Google Scholar] [CrossRef] [PubMed]


| qASL | AI-CBF | cCBF | |||||||
|---|---|---|---|---|---|---|---|---|---|
| SOZ (%) | SOZ Lateralization Agreement Cohen’s Kappa (95% CI) | Brain Lobe Agreement | SOZ (%) | SOZ Lateralization Agreement Cohen’s Kappa (95% CI) | Brain Lobe Agreement | SOZ (%) | SOZ Lateralization Agreement Cohen’s Kappa (95% CI) | Brain Lobe Agreement | |
| MRI positive 26 patients | 7/26 (27%) | 0.392 (0.211–0.398) |
| 19/26 (73%) | 0.909 (0.891–0.927) |
| 20/26 (77%) | 0.943 (0.885–0.968) |
|
| MRI negative 39 patients | 7/39 (18%) | 0.385 (0.160–0.336) |
| 18/39 (46%) | 0.819 (0.796–0.842) |
| 25/39 (64%) | 0.932 (0.896–0.941) |
|
| ASL Analyses | MRI-Positive 29 Patients | MRI-Negative 36 Patients | |
|---|---|---|---|
| Method 1 | Method 2 | p-Value * | p-Value * |
| qCBF | AI-CBF | 0.001 | 0.007 |
| qCBF | cCBF | <0.001 | <0.001 |
| AI-CBF | cCBF | 0.500 | 0.086 |
| ASL Analyses | Concordance between Site of Lesion and ASL Results | p-Values |
|---|---|---|
| qASL |
| qASL vs AI-CBF: 0.02 qASL vs cCBF: 0.01 |
| AI-CBF |
| AI-CBF vs qASL: 0.02 AI-CBF vs cCBF: 0.511 |
| cCBF |
| cCBF vs qASL: 0.01 cCBF vs AI-CBF: 0.511 |
Publisher’s Note: MDPI stays neutral with regard to jurisdictional claims in published maps and institutional affiliations. |
© 2022 by the authors. Licensee MDPI, Basel, Switzerland. This article is an open access article distributed under the terms and conditions of the Creative Commons Attribution (CC BY) license (https://creativecommons.org/licenses/by/4.0/).
Share and Cite
Tortora, D.; Cataldi, M.; Severino, M.; Consales, A.; Pacetti, M.; Parodi, C.; Sertorio, F.; Ramaglia, A.; Cognolato, E.; Nobile, G.; et al. Comparison of Qualitative and Quantitative Analyses of MR-Arterial Spin Labeling Perfusion Data for the Assessment of Pediatric Patients with Focal Epilepsies. Diagnostics 2022, 12, 811. https://doi.org/10.3390/diagnostics12040811
Tortora D, Cataldi M, Severino M, Consales A, Pacetti M, Parodi C, Sertorio F, Ramaglia A, Cognolato E, Nobile G, et al. Comparison of Qualitative and Quantitative Analyses of MR-Arterial Spin Labeling Perfusion Data for the Assessment of Pediatric Patients with Focal Epilepsies. Diagnostics. 2022; 12(4):811. https://doi.org/10.3390/diagnostics12040811
Chicago/Turabian StyleTortora, Domenico, Matteo Cataldi, Mariasavina Severino, Alessandro Consales, Mattia Pacetti, Costanza Parodi, Fiammetta Sertorio, Antonia Ramaglia, Erica Cognolato, Giulia Nobile, and et al. 2022. "Comparison of Qualitative and Quantitative Analyses of MR-Arterial Spin Labeling Perfusion Data for the Assessment of Pediatric Patients with Focal Epilepsies" Diagnostics 12, no. 4: 811. https://doi.org/10.3390/diagnostics12040811
APA StyleTortora, D., Cataldi, M., Severino, M., Consales, A., Pacetti, M., Parodi, C., Sertorio, F., Ramaglia, A., Cognolato, E., Nobile, G., Mancardi, M., Prato, G., Siri, L., Giacomini, T., Striano, P., Arnaldi, D., Piatelli, G., Rossi, A., & Nobili, L. (2022). Comparison of Qualitative and Quantitative Analyses of MR-Arterial Spin Labeling Perfusion Data for the Assessment of Pediatric Patients with Focal Epilepsies. Diagnostics, 12(4), 811. https://doi.org/10.3390/diagnostics12040811

