EPHA2, EPHA4, and EPHA7 Expression in Triple-Negative Breast Cancer
Abstract
:1. Introduction
2. Materials and Methods
2.1. Patient Selection
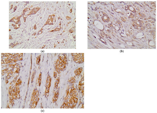
2.2. Immunohistochemistry
2.3. Cell Culture
2.4. Western Blot Analysis
3. Statistical Analysis
4. Results
5. Discussion
Author Contributions
Funding
Institutional Review Board Statement
Informed Consent Statement
Data Availability Statement
Conflicts of Interest
References
- Torre, L.A.; Bray, F.; Siegel, R.L.; Ferlay, J.; Lortet-Tieulent, J.; Jemal, A. Global cancer statistics, 2012. CA Cancer J. Clin. 2015, 65, 87–108. [Google Scholar] [CrossRef] [PubMed] [Green Version]
- Skibinski, A.; Kuperwasser, C. The origin of breast tumor heterogeneity. Oncogene 2015, 34, 5309–5316. [Google Scholar] [CrossRef] [PubMed] [Green Version]
- Sotiriou, C.; Pusztai, L. Gene-Expression Signatures in Breast Cancer. N. Engl. J. Med. 2009, 360, 790–800. [Google Scholar] [CrossRef] [PubMed] [Green Version]
- Schnitt, S.J. Classification and prognosis of invasive breast cancer: From morphology to molecular taxonomy. Mod. Pathol. 2010, 23, S60–S64. [Google Scholar] [CrossRef] [Green Version]
- Lips, E.H.; Mulder, L.; De Ronde, J.J.; Mandjes, I.A.M.; Koolen, B.B.; Wessels, L.F.A.; Rodenhuis, S.; Wesseling, J. Breast cancer subtyping by immunohistochemistry and histological grade outperforms breast cancer intrinsic subtypes in predicting neoadjuvant chemotherapy response. Breast Cancer Res. Treat. 2013, 140, 63–71. [Google Scholar] [CrossRef] [PubMed] [Green Version]
- Allison, K.H. Molecular Pathology of Breast Cancer: What a pathologist needs to know. Am. J. Clin. Pathol. 2012, 138, 770–780. [Google Scholar] [CrossRef]
- Kos, Z.; Dabbs, D.J. Biomarker assessment and molecular testing for prognostication in breast cancer. Histopathology 2015, 68, 70–85. [Google Scholar] [CrossRef]
- Coates, A.S.; Winer, E.P.; Goldhirsch, A.; Gelber, R.D.; Gnant, M.; Piccart-Gebhart, M.; Thürlimann, B.; Senn, H.-J. Panel Members. Tailoring therapies—Improving the management of early breast cancer: St Gallen International Expert Consensus on the Primary Therapy of Early Breast Cancer 2015. Ann. Oncol. 2015, 26, 1533–1546. [Google Scholar] [CrossRef]
- Curigliano, G.; Burstein, H.J.; Winer, E.P.; Gnant, M.; Dubsky, P.; Loibl, S.; Colleoni, M.; Regan, M.M.; Piccart-Gebhart, M.; Senn, H.-J.; et al. De-escalating and escalating treatments for early-stage breast cancer: The St. Gallen International Expert Consensus Conference on the Primary Therapy of Early Breast Cancer 2017. Ann. Oncol. 2017, 28, 1700–1712. [Google Scholar] [CrossRef]
- Griffiths, C.L.; Olin, J.L. Triple Negative Breast Cancer: A Brief Review of its Characteristics and Treatment Options. J. Pharm. Pract. 2012, 25, 319–323. [Google Scholar] [CrossRef]
- Newman, L.A.; Reis-Filho, J.S.; Morrow, M.; Carey, L.A.; King, T.A. The 2014 Society of Surgical Oncology Susan G. Komen for the Cure Symposium: Triple-Negative Breast Cancer. Ann. Surg. Oncol. 2014, 22, 874–882. [Google Scholar] [CrossRef] [PubMed]
- Bose, S. Triple-negative Breast Carcinoma: Morphologic and molecular subtypes. Adv. Anat. Pathol. 2015, 22, 306–313. [Google Scholar] [CrossRef] [PubMed]
- Bianchini, G.; Balko, J.M.; Mayer, I.A.; Sanders, M.E.; Gianni, L. Triple-negative breast cancer: Challenges and opportunities of a heterogeneous disease. Nat. Rev. Clin. Oncol. 2016, 13, 674–690. [Google Scholar] [CrossRef] [PubMed]
- Lehmann, B.D.; Bauer, J.A.; Chen, X.; Sanders, M.E.; Chakravarthy, A.B.; Shyr, Y.; Pietenpol, J.A. Identification of human triple-negative breast cancer subtypes and preclinical models for selection of targeted therapies. J. Clin. Investig. 2011, 121, 2750–2767. [Google Scholar] [CrossRef] [PubMed] [Green Version]
- Pasquale, E.B. Eph receptors and ephrins in cancer: Bidirectional signalling and beyond. Nat. Rev. Cancer 2010, 10, 165–180. [Google Scholar] [CrossRef] [Green Version]
- Barquilla, A.; Pasquale, E.B. Eph Receptors and Ephrins: Therapeutic Opportunities. Annu. Rev. Pharmacol. Toxicol. 2015, 55, 465–487. [Google Scholar] [CrossRef] [Green Version]
- Vaught, D.; Brantley-Sieders, D.M.; Chen, J. Eph receptors in breast cancer: Roles in tumor promotion and tumor suppression. Breast Cancer Res. 2008, 10, 217. [Google Scholar] [CrossRef] [Green Version]
- Boyd, A.W.; Bartlett, P.F.; Lackmann, M. Therapeutic targeting of EPH receptors and their ligands. Nat. Rev. Drug Discov. 2014, 13, 39–62. [Google Scholar] [CrossRef]
- Brantley-Sieders, D.M. Clinical relevance of Ephs and ephrins in cancer: Lessons from breast, colorectal, and lung cancer profiling. Semin. Cell Dev. Biol. 2012, 23, 102–108. [Google Scholar] [CrossRef] [Green Version]
- Chen, J. Regulation of Tumor Initiation and Metastatic Progression by Eph Receptor Tyrosine Kinases. In Advances in Cancer Research; Academic Press Inc.: Cambridge, MA, USA, 2012; Volume 114, pp. 1–20. [Google Scholar] [CrossRef] [Green Version]
- Surawska, H.; Ma, P.C.; Salgia, R. The role of ephrins and Eph receptors in cancer. Cytokine Growth Factor Rev. 2004, 15, 419–433. [Google Scholar] [CrossRef]
- Xi, H.-Q.; Wu, X.-S.; Wei, B.; Chen, L. Eph receptors and ephrins as targets for cancer therapy. J. Cell. Mol. Med. 2012, 16, 2894–2909. [Google Scholar] [CrossRef] [PubMed]
- Zelinski, D.P.; Zantek, N.; Stewart, J.C.; Irizarry, A.R.; Kinch, M. EphA2 overexpression causes tumorigenesis of mammary epithelial cells. Cancer Res. 2001, 61, 2301–2306. [Google Scholar] [PubMed]
- Ogawa, K.; Pasqualini, R.; A Lindberg, R.; Kain, R.; Freeman, A.L.; Pasquale, E.B. The ephrin-A1 ligand and its receptor, EphA2, are expressed during tumor neovascularization. Oncogene 2000, 19, 6043–6052. [Google Scholar] [CrossRef] [PubMed] [Green Version]
- Fang, W.B.; Brantley-Sieders, D.M.; Parker, M.A.; Reith, A.D.; Chen, J. A kinase-dependent role for EphA2 receptor in promoting tumor growth and metastasis. Oncogene 2005, 24, 7859–7868. [Google Scholar] [CrossRef] [Green Version]
- Brantley-Sieders, D.M.; Jiang, A.; Sarma, K.; Badu-Nkansah, A.; Walter, D.L.; Shyr, Y.; Chen, J. Eph/Ephrin Profiling in Human Breast Cancer Reveals Significant Associations between Expression Level and Clinical Outcome. PLoS ONE 2011, 6, e24426. [Google Scholar] [CrossRef] [Green Version]
- Brantley-Sieders, D.M.; Zhuang, G.; Hicks, D.; Bin Fang, W.; Hwang, Y.; Cates, J.M.; Coffman, K.; Jackson, D.; Bruckheimer, E.; Muraoka-Cook, R.S.; et al. The receptor tyrosine kinase EphA2 promotes mammary adenocarcinoma tumorigenesis and metastatic progression in mice by amplifying ErbB2 signaling. J. Clin. Investig. 2008, 118, 64–78. [Google Scholar] [CrossRef]
- Kaenel, P.; Mosimann, M.; Andres, A.-C. The multifaceted roles of Eph/ephrin signaling in breast cancer. Cell Adhes. Migr. 2012, 6, 138–147. [Google Scholar] [CrossRef] [Green Version]
- Husa, A.-M.; Magić, Ž.; Larsson, M.; Fornander, T.; Pérez-Tenorio, G. EPH/ephrin profile and EPHB2 expression predicts patient survival in breast cancer. Oncotarget 2016, 7, 21362–21380. [Google Scholar] [CrossRef] [Green Version]
- Nikas, I.; Ryu, H.S.; Theocharis, S. Viewing the Eph receptors with a focus on breast cancer heterogeneity. Cancer Lett. 2018, 434, 160–171. [Google Scholar] [CrossRef]
- Toosi, B.M.; El Zawily, A.; Truitt, L.; Shannon, M.; Allonby, O.; Babu, M.; DeCoteau, J.; Mousseau, D.; Ali, M.; Freywald, T.; et al. EPHB6 augments both development and drug sensitivity of triple-negative breast cancer tumours. Oncogene 2018, 37, 4073–4093. [Google Scholar] [CrossRef]
- Song, W.; Hwang, Y.; Youngblood, V.M.; Cook, R.S.; Balko, J.M.; Chen, J.; Brantley-Sieders, D.M. Targeting EphA2 impairs cell cycle progression and growth of basal-like/triple-negative breast cancers. Oncogene 2017, 36, 5620–5630. [Google Scholar] [CrossRef] [PubMed] [Green Version]
- Hachim, I.Y.; Villatoro, M.; Canaff, L.; Hachim, M.Y.; Boudreault, J.; Haiub, H.; Ali, S.; Lebrun, J.-J. Transforming Growth Factor-beta Regulation of Ephrin Type-A Receptor 4 Signaling in Breast Cancer Cellular Migration. Sci. Rep. 2017, 7, 14976. [Google Scholar] [CrossRef] [PubMed] [Green Version]
- Mylona, E.; Vamvakaris, I.; Giannopoulou, I.; Theohari, I.; Papadimitriou, C.; Keramopoulos, A.; Nakopoulou, L. An immunohistochemical evaluation of the proteins Wnt1 and glycogen synthase kinase (GSK)-3β in invasive breast carcinomas. Histopathology 2013, 62, 899–907. [Google Scholar] [CrossRef] [PubMed]
- Elston, C.; Ellis, I. pathological prognostic factors in breast cancer. I. The value of histological grade in breast cancer: Experience from a large study with long-term follow-up. Histopathology 1991, 19, 403–410. [Google Scholar] [CrossRef] [PubMed]
- Rakha, E.A.; El-Sayed, M.E.; Lee, A.H.S.; Elston, C.W.; Grainge, M.J.; Hodi, Z.; Blamey, R.W.; Ellis, I.O. Prognostic Significance of Nottingham Histologic Grade in Invasive Breast Carcinoma. J. Clin. Oncol. 2008, 26, 3153–3158. [Google Scholar] [CrossRef]
- Giuliano, A.E.; Connolly, J.L.; Edge, S.B.; Mittendorf, E.A.; Rugo, H.S.; Solin, L.J.; Weaver, D.L.; Winchester, D.J.; Hortobagyi, G.N. Breast Cancer-Major changes in the American Joint Committee on Cancer eighth edition cancer staging manual. CA Cancer J. Clin. 2017, 67, 290–303. [Google Scholar] [CrossRef] [PubMed] [Green Version]
- Giaginis, C.; Tsoukalas, N.; Bournakis, E.; Alexandrou, P.; Kavantzas, N.; Patsouris, E.; Theocharis, S. Ephrin (Eph) receptor A1, A4, A5 and A7 expression in human non-small cell lung carcinoma: Associations with clinicopathological parameters, tumor proliferative capacity and patients’ survival. BMC Clin. Pathol. 2014, 14, 8. [Google Scholar] [CrossRef] [Green Version]
- Giaginis, C.; Tsourouflis, G.; Zizi-Serbetzoglou, A.; Kouraklis, G.; Chatzopoulou, E.; Dimakopoulou, K.; Theocharis, S.E. Clinical Significance of Ephrin (Eph)-A1, -A2, -A4, -A5 and -A7 Receptors in Pancreatic Ductal Adenocarcinoma. Pathol. Oncol. Res. 2009, 16, 267–276. [Google Scholar] [CrossRef]
- Karidis, N.P.; Giaginis, C.; Tsourouflis, G.; Alexandrou, P.; Delladetsima, I.; Theocharis, S. Eph-A2 and Eph-A4 expression in human benign and malignant thyroid lesions: An immunohistochemical study. Med Sci. Monit. 2011, 17, BR257–BR265. [Google Scholar] [CrossRef]
- Theocharis, S.; Klijanienko, J.; Giaginis, C.; Alexandrou, P.; Patsouris, E.; Sastre-Garau, X. Ephrin Receptor (Eph)-A1, -A2, -A4 and -A7 Expression in Mobile Tongue Squamous Cell Carcinoma: Associations with Clinicopathological Parameters and Patients Survival. Pathol. Oncol. Res. 2013, 20, 277–284. [Google Scholar] [CrossRef]
- Fox, B.P.; Kandpal, R.P. EphB6 receptor significantly alters invasiveness and other phenotypic characteristics of human breast carcinoma cells. Oncogene 2009, 28, 1706–1713. [Google Scholar] [CrossRef] [PubMed] [Green Version]
- Truitt, L.; Freywald, T.; DeCoteau, J.; Sharfe, N.; Freywald, A. The EphB6 Receptor Cooperates with c-Cbl to Regulate the Behavior of Breast Cancer Cells. Cancer Res. 2010, 70, 1141–1153. [Google Scholar] [CrossRef] [PubMed] [Green Version]
- Zhuang, G.; Brantley-Sieders, D.M.; Vaught, D.; Yu, J.; Xie, L.; Wells, S.; Jackson, D.; Muraoka-Cook, R.; Arteaga, C.; Chen, J. Elevation of Receptor Tyrosine Kinase EphA2 Mediates Resistance to Trastuzumab Therapy. Cancer Res. 2010, 70, 299–308. [Google Scholar] [CrossRef] [PubMed] [Green Version]
- Edwards, D.N.; Ngwa, V.M.; Wang, S.; Shiuan, E.; Brantley-Sieders, D.M.; Kim, L.C.; Reynolds, A.B.; Chen, J. The receptor tyrosine kinase EphA2 promotes glutamine metabolism in tumors by activating the transcriptional coactivators YAP and TAZ. Sci. Signal. 2017, 10. [Google Scholar] [CrossRef] [PubMed] [Green Version]
- Youngblood, V.M.; Kim, L.C.; Edwards, D.; Hwang, Y.; Santapuram, P.R.; Stirdivant, S.M.; Lu, P.; Ye, F.; Brantley-Sieders, D.M.; Chen, J. The Ephrin-A1/EPHA2 Signaling Axis Regulates Glutamine Metabolism in HER2-Positive Breast Cancer. Cancer Res. 2016, 76, 1825–1836. [Google Scholar] [CrossRef] [PubMed] [Green Version]
- Fox, B.P.; Kandpal, R.P. Invasiveness of breast carcinoma cells and transcript profile: Eph receptors and ephrin ligands as molecular markers of potential diagnostic and prognostic application. Biochem. Biophys. Res. Commun. 2004, 318, 882–892. [Google Scholar] [CrossRef]
- Wu, D.; Suo, Z.; Kristensen, G.B.; Li, S.; Troen, G.; Holm, R.; Nesland, J.M. Prognostic value of EphA2 and EphrinA-1 in squamous cell cervical carcinoma. Gynecol. Oncol. 2004, 94, 312–319. [Google Scholar] [CrossRef]
- Thaker, P.H.; Deavers, M.; Celestino, J.; Thornton, A.; Fletcher, M.S.; Landen, C.N.; Kinch, M.; Kiener, P.A.; Sood, A.K. EphA2 Expression Is Associated with Aggressive Features in Ovarian Carcinoma. Clin. Cancer Res. 2004, 10, 5145–5150. [Google Scholar] [CrossRef] [Green Version]
- Herrem, C.J.; Tatsumi, T.; Olson, K.S.; Shirai, K.; Finke, J.H.; Bukowski, R.M.; Zhou, M.; Richmond, A.L.; Derweesh, I.; Kinch, M.; et al. Expression of EphA2 is prognostic of disease-free interval and overall survival in surgically treated patients with renal cell carcinoma. Clin. Cancer Res. 2005, 11, 226–231. [Google Scholar]
- Holm, R.; Knopp, S.; Suo, Z.; Trope, C.; Nesland, J.M. Expression of EphA2 and EphrinA-1 in vulvar carcinomas and its relation to prognosis. J. Clin. Pathol. 2007, 60, 1086–1091. [Google Scholar] [CrossRef] [Green Version]
- Wang, L.-F.; Fokas, E.; Bieker, M.; Rose, F.; Rexin, P.; Zhu, Y.; Pagenstecher, A.; Engenhart-Cabillic, R.; An, H.-X. Increased expression of EphA2 correlates with adverse outcome in primary and recurrent glioblastoma multiforme patients. Oncol. Rep. 2008, 19, 151–156. [Google Scholar] [CrossRef] [PubMed] [Green Version]
- Shao, Z.; Zhang, W.-F.; Chen, X.; Shang, Z.-J. Expression of EphA2 and VEGF in squamous cell carcinoma of the tongue: Correlation with the angiogenesis and clinical outcome. Oral Oncol. 2008, 44, 1110–1117. [Google Scholar] [CrossRef] [PubMed]
- Kamat, A.A.; Coffey, D.; Merritt, W.M.; Nugent, E.; Urbauer, D.; Lin, Y.G.; Edwards, C.; Broaddus, R.; Coleman, R.L.; Sood, A.K. EphA2 overexpression is associated with lack of hormone receptor expression and poor outcome in endometrial cancer. Cancer 2009, 115, 2684–2692. [Google Scholar] [CrossRef] [PubMed] [Green Version]
- Yuan, W.; Chen, Z.; Wu, S.; Ge, J.; Chang, S.; Wang, X.; Chen, J.; Chen, Z. Expression of EphA2 and E-cadherin in Gastric Cancer: Correlated with Tumor Progression and Lymphogenous Metastasis. Pathol. Oncol. Res. 2009, 15, 473–478. [Google Scholar] [CrossRef]
- Miyazaki, T.; Kato, H.; Fukuchi, M.; Nakajima, M.; Kuwano, H. EphA2 overexpression correlates with poor prognosis in esophageal squamous cell carcinoma. Int. J. Cancer 2003, 103, 657–663. [Google Scholar] [CrossRef]
- Predictive Value of the EphA2 Receptor Tyrosine Kinase in Lung Cancer Recurrence and Survival|Clinical Cancer Research. Available online: https://clincancerres.aacrjournals.org/content/9/2/613.long (accessed on 7 February 2021).
- Saito, T.; Masuda, N.; Miyazaki, T.; Kanoh, K.; Suzuki, H.; Shimura, T.; Asao, T.; Kuwano, H. Expression of EphA2 and E-cadherin in colorectal cancer: Correlation with cancer metastasis. Oncol. Rep. 2004, 11, 605–611. [Google Scholar] [CrossRef]
- Nakada, M.; Hayashi, Y.; Hamada, J.-I. Role of Eph/ephrin tyrosine kinase in malignant glioma. Neuro-Oncology 2011, 13, 1163–1170. [Google Scholar] [CrossRef] [Green Version]
- Oki, M.; Yamamoto, H.; Taniguchi, H.; Adachi, Y.; Imai, K.; Shinomura, Y. Overexpression of the receptor tyrosine kinase EphA4 in human gastric cancers. World J. Gastroenterol. 2008, 14, 5650–5656. [Google Scholar] [CrossRef]
- Saintigny, P.; Peng, S.; Zhang, L.; Sen, B.; Wistuba, I.I.; Lippman, S.M.; Girard, L.; Minna, J.D.; Heymach, J.V.; Johnson, F.M. Global Evaluation of Eph Receptors and Ephrins in Lung Adenocarcinomas Identifies EphA4 as an Inhibitor of Cell Migration and Invasion. Mol. Cancer Ther. 2012, 11, 2021–2032. [Google Scholar] [CrossRef] [Green Version]
- Lisabeth, E.M.; Falivelli, G.; Pasquale, E.B. Eph Receptor Signaling and Ephrins. Cold Spring Harb. Perspect. Biol. 2013, 5, a009159. [Google Scholar] [CrossRef] [Green Version]
- Noblitt, L.W.; Bangari, D.S.; Shukla, S.; Knapp, D.W.; I Mohammed, S.; Kinch, M.S.; Mittal, S.K. Decreased tumorigenic potential of EphA2-overexpressing breast cancer cells following treatment with adenoviral vectors that express EphrinA1. Cancer Gene Ther. 2004, 11, 757–766. [Google Scholar] [CrossRef] [PubMed] [Green Version]
- Batlle, E.; Bacani, J.; Begthel, H.; Jonkheer, S.; Gregorieff, A.; Van De Born, M.; Malats, N.; Sancho, E.; Boon, E.; Pawson, T.; et al. EphB receptor activity suppresses colorectal cancer progression. Nature 2005, 435, 1126–1130. [Google Scholar] [CrossRef]
- Truitt, L.; Freywald, A. Dancing with the dead: Eph receptors and their kinase-null partnersThis paper is one of a selection of papers published in a Special Issue entitled CSBMCB 53rd Annual Meeting—Membrane Proteins in Health and Disease, and has undergone the Journal’s usual peer review process. Biochem. Cell Biol. 2011, 89, 115–129. [Google Scholar] [CrossRef] [PubMed]
- Pergaris, A.; Danas, E.; Goutas, D.; Sykaras, A.; Soranidis, A.; Theocharis, S. The Clinical Impact of the EPH/Ephrin System in Cancer: Unwinding the Thread. Int. J. Mol. Sci. 2021, 22, 8412. [Google Scholar] [CrossRef] [PubMed]
- Martin, K.J.; Patrick, D.R.; Bissell, M.J.; Fournier, M.V. Prognostic Breast Cancer Signature Identified from 3D Culture Model Accurately Predicts Clinical Outcome across Independent Datasets. PLoS ONE 2008, 3, e2994. [Google Scholar] [CrossRef] [Green Version]
- Pan, M. Overexpression of EphA2 gene in invasive human breast cancer and its association with hormone receptor status. J. Clin. Oncol. 2005, 23, 9583. [Google Scholar] [CrossRef]
- Gokmen-Polar, Y.; Toroni, R.A.; Hocevar, B.A.; Badve, S.; Zhao, Q.; Shen, C.; Bruckheimer, E.M.; Kinch, M.; Miller, K.D. Dual targeting of EphA2 and ER restores tamoxifen sensitivity in ER/EphA2-positive breast cancer. Breast Cancer Res. Treat. 2010, 127, 375–384. [Google Scholar] [CrossRef] [PubMed]



| Clinicopathologic Parameters | EPHA2 Expression | ||
|---|---|---|---|
| Low (%) | High (%) | p-Value | |
| N = 52 | 26 (50.0) | 26 (50.0) | |
| Age (mean ± SD; years) | 0.1637 | ||
| ≤57.0 ± 12.6 years | 9 (17.3) | 15 (28.8) | |
| >57.0 ± 12.6 years | 17 (32.7) | 11 (21.2) | |
| Menopausal status | 0.7645 | ||
| Premenopausal | 7 (13.7) | 8 (15.7) | |
| Postmenopausal | 19 (37.3) | 17 (33.3) | |
| Histologic type | 0.7712 | ||
| Ductal | 18 (34.6) | 16 (30.8) | |
| Lobular | 8 (15.4) | 10 (19.2) | |
| Grade | 0.7813 | ||
| I + II | 15 (28.9) | 13 (25.0) | |
| III | 11 (21.1) | 13 (25.0) | |
| Nuclear grade | 0.7813 | ||
| I | 15 (28.9) | 13 (25.0) | |
| II + III | 11 (21.1) | 13 (25.0) | |
| Tumor size | 1.0000 | ||
| <2 cm | 8 (15.4) | 7 (13.5) | |
| >2 cm | 18 (34.6) | 19 (36.5) | |
| Lymph nodes | 0.7793 | ||
| Non-infiltrated | 12 (23.1) | 10 (19.2) | |
| Infiltrated | 14 (26.9) | 16 (30.8) | |
| Stage | 0.6703 | ||
| I | 6 (11.5) | 4 (7.7) | |
| II | 16 (30.8) | 16 (30.8) | |
| III | 4 (7.7) | 6 (11.5) | |
| Ki-67 protein status | 0.0115 | ||
| Below median value | 17 (32.7) | 7 (13.5) | |
| Over median value | 9 (17.3) | 19 (36.5) | |
| Clinicopathologic Parameters | EPHA4 Expression | ||
|---|---|---|---|
| Low (%) | High (%) | p-Value | |
| N = 52 | 27 (51.9) | 25 (48.1) | |
| Age (mean ± SD; years) | 0.7880 | ||
| ≤57.0 ± 12.6 years | 13 (25.0) | 11 (21.2) | |
| >57.0 ± 12.6 years | 14 (26.9) | 14 (26.9) | |
| Menopausal status | 1.0000 | ||
| Premenopausal | 8 (15.4) | 8 (15.4) | |
| Postmenopausal | 19 (36.5) | 17 (32.7) | |
| Histologic type | 0.3917 | ||
| Ductal | 16 (30.8) | 18 (34.6) | |
| Lobular | 11 (21.2) | 7 (13.5) | |
| Grade | 0.5783 | ||
| I + II | 16 (30.8) | 12 (23.1) | |
| III | 11 (21.1) | 13 (25.0) | |
| Nuclear grade | 1.0000 | ||
| I | 15 (28.9) | 13 (25.0) | |
| II + III | 12 (23.1) | 12 (23.1) | |
| Tumor size | 0.5475 | ||
| <2 cm | 9 (17.3) | 6 (11.5) | |
| >2 cm | 18 (34.6) | 19 (36.5) | |
| Lymph nodes | 0.0546 | ||
| Non-infiltrated | 15 (28.8) | 7 (13.5) | |
| Infiltrated | 12 (23.1) | 18 (34.6) | |
| Stage | 0.8506 | ||
| I | 6 (11.5) | 4 (7.7) | |
| II | 16 (30.8) | 16 (30.8) | |
| III | 5 (9.6) | 5 (9.6) | |
| Ki-67 protein status | 0.7880 | ||
| Below median value | 13 (25.0) | 11 (21.2) | |
| Over median value | 14 (26.9) | 14 (26.9) | |
| Clinicopathologic Parameters | EPHA7 Expression | ||
|---|---|---|---|
| Low (%) | High (%) | p-Value | |
| N = 52 | 20 (38.5) | 32 (61.5) | |
| Age (mean ± SD; years) | 1.0000 | ||
| ≤57.0 ± 12.6 years | 9 (17.3) | 15 (28.8) | |
| >57.0 ± 12.6 years | 11 (21.2) | 17 (32.7) | |
| Menopausal status | 1.0000 | ||
| Premenopausal | 6 (11.5) | 10 (19.2) | |
| Postmenopausal | 14 (26.9) | 22 (42.3) | |
| Histologic type | 0.2439 | ||
| Ductal | 11 (21.2) | 23 (44.2) | |
| Lobular | 9 (17.3) | 9 (17.3) | |
| Grade | 1.0000 | ||
| I + II | 11 (21.2) | 17 (32.7) | |
| III | 9 (17.3) | 15 (28.8) | |
| Nuclear grade | 0.0889 | ||
| I | 14 (26.9) | 14 (26.9) | |
| II + III | 6 (11.5) | 18 (34.6) | |
| Tumor size | 0.3523 | ||
| <2 cm | 4 (7.7) | 11 (21.2) | |
| >2 cm | 16 (30.8) | 21 (40.4) | |
| Lymph nodes | 1.0000 | ||
| Non-infiltrated | 8 (15.4) | 14 (26.9) | |
| Infiltrated | 12 (23.1) | 18 (34.6) | |
| Stage | 0.6448 | ||
| I | 5 (9.6) | 5 (9.6) | |
| II | 12 (23.1) | 20 (38.5) | |
| III | 3 (5.8) | 7 (13.5) | |
| Ki-67 protein status | 0.3953 | ||
| Below median value | 11 (21.2) | 13 (25.0) | |
| Over median value | 9 (17.3) | 19 (36.5) | |
| Clinicopathologic Variables | Overall Survival | |
|---|---|---|
| HR (95% CI) | p-Value | |
| Histologic type (ductal/lobular) | 0.774 (0.182–1.964) | 0.7692 |
| Grade (I + II/III) | 0.576 (0.075–1.874) | 0.4874 |
| Tumor size (<2 cm/>2 cm) | 1.202 (0.156–2.851) | 0.8769 |
| Lymph nodes (non-infiltrated/infiltrated) | 0.557 (0.067–1.936) | 0.4376 |
| Ki-67 status (below/over median value) | 10.921 (6.472–13.449) | 0.0808 |
| EPHA2 expression (low/high) | 13.149 (7.352–18.777) | 0.0041 |
| Clinicopathologic Variables | Disease-Free Survival | |
|---|---|---|
| HR (95% CI) | p-Value | |
| Histologic type (ductal/lobular) | 0.463 (0.127–1.082) | 0.3377 |
| Grade (I + II/III) | 0.413 (0.132–1.076) | 0.2159 |
| Tumor size (<2 cm/>2 cm) | 0.319 (0.094–0.956) | 0.1619 |
| Lymph nodes (non-infiltrated/infiltrated) | 2.614 (1.123–5.995) | 0.1859 |
| Ki-67 status (below/over median value) | 7.572 (4.661–13.559) | 0.0481 |
| EphA2 expression (low/high) | 3.592 (1.767–5.892) | 0.0232 |
Publisher’s Note: MDPI stays neutral with regard to jurisdictional claims in published maps and institutional affiliations. |
© 2022 by the authors. Licensee MDPI, Basel, Switzerland. This article is an open access article distributed under the terms and conditions of the Creative Commons Attribution (CC BY) license (https://creativecommons.org/licenses/by/4.0/).
Share and Cite
Nikas, I.; Giaginis, C.; Petrouska, K.; Alexandrou, P.; Michail, A.; Sarantis, P.; Tsourouflis, G.; Danas, E.; Pergaris, A.; Politis, P.K.; et al. EPHA2, EPHA4, and EPHA7 Expression in Triple-Negative Breast Cancer. Diagnostics 2022, 12, 366. https://doi.org/10.3390/diagnostics12020366
Nikas I, Giaginis C, Petrouska K, Alexandrou P, Michail A, Sarantis P, Tsourouflis G, Danas E, Pergaris A, Politis PK, et al. EPHA2, EPHA4, and EPHA7 Expression in Triple-Negative Breast Cancer. Diagnostics. 2022; 12(2):366. https://doi.org/10.3390/diagnostics12020366
Chicago/Turabian StyleNikas, Ilias, Constantinos Giaginis, Kalliopi Petrouska, Paraskevi Alexandrou, Artemis Michail, Panagiotis Sarantis, Gerasimos Tsourouflis, Eugene Danas, Alexandros Pergaris, Panagiotis K. Politis, and et al. 2022. "EPHA2, EPHA4, and EPHA7 Expression in Triple-Negative Breast Cancer" Diagnostics 12, no. 2: 366. https://doi.org/10.3390/diagnostics12020366
APA StyleNikas, I., Giaginis, C., Petrouska, K., Alexandrou, P., Michail, A., Sarantis, P., Tsourouflis, G., Danas, E., Pergaris, A., Politis, P. K., Nakopoulou, L., & Theocharis, S. (2022). EPHA2, EPHA4, and EPHA7 Expression in Triple-Negative Breast Cancer. Diagnostics, 12(2), 366. https://doi.org/10.3390/diagnostics12020366

