Small Biopsy Samples: Are They Representative for Biphenotypic Sinonasal Sarcoma?
Abstract
1. Introduction
2. Materials and Methods
2.1. Case Selection
2.2. Immunohistochemistry
2.3. FISH
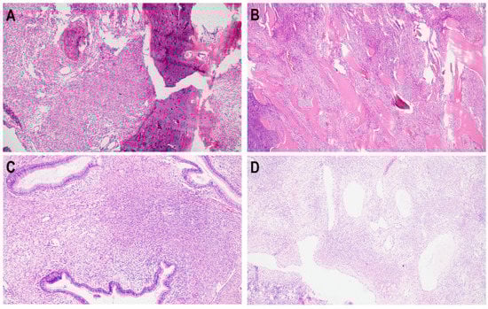
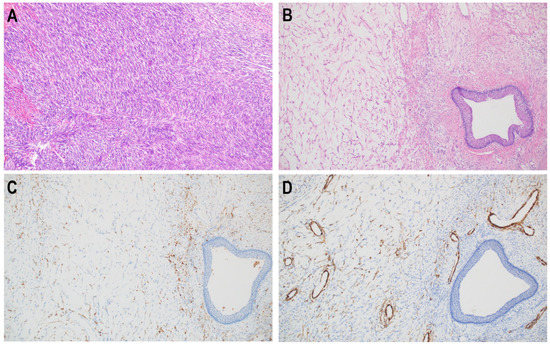
3. Results
3.1. Clinicopathological Characteristics
3.2. Immunohistochemistry and FISH
4. Discussion
5. Conclusions
Author Contributions
Funding
Institutional Review Board Statement
Informed Consent Statement
Data Availability Statement
Conflicts of Interest
References
- Gross, J.; Fritchie, K. Soft Tissue Special Issue: Biphenotypic Sinonasal Sarcoma: A Review with Emphasis on Differential Diagnosis. Head Neck Pathol. 2020, 14, 33–42. [Google Scholar] [CrossRef] [PubMed]
- Lewis, J.T.; Oliveira, A.M.; Nascimento, A.G.; Schembri-Wismayer, D.; Moore, E.A.; Olsen, K.D.; Garcia, J.G.; Lonzo, M.L.; Lewis, J.E. Low-grade Sinonasal Sarcoma With Neural and Myogenic Features. Am. J. Surg. Pathol. 2012, 36, 517–525. [Google Scholar] [CrossRef]
- Wang, X.; Bledsoe, K.L.; Graham, R.; Asmann, Y.W.; Viswanatha, D.S.; Lewis, J.E.; Lewis, J.T.; Chou, M.M.; Yaszemski, M.J.; Jen, J.; et al. Recurrent PAX3-MAML3 fusion in biphenotypic sinonasal sarcoma. Nat. Genet. 2014, 46, 666–668. [Google Scholar] [CrossRef] [PubMed]
- Bishop, J. Newly Described Tumor Entities in Sinonasal Tract Pathology. Head Neck Pathol. 2016, 10, 23–31. [Google Scholar] [CrossRef] [PubMed]
- Powers, K.A.; Han, L.M.; Chiu, A.G.; Aly, F.Z. Low-grade sinonasal sarcoma with neural and myogenic features—Diagnostic challenge and pathogenic insight. Oral Surg. Oral Med. Oral Pathol. Oral Radiol. 2015, 119, e265–e269. [Google Scholar] [CrossRef]
- Carter, C.; East, E.; McHugh, J. Biphenotypic Sinonasal Sarcoma: A Review and Update. Arch. Pathol. Lab. Med. 2018, 142, 1196–1201. [Google Scholar] [CrossRef]
- Llorente, J.L.; López, F.; Suárez, C.; Hermsen, M.A. Sinonasal carcinoma: Clinical, pathological, genetic and therapeutic advances. Nat. Rev. Clin. Oncol. 2014, 11, 460–472. [Google Scholar] [CrossRef]
- Martin, E.; Radomski, S.; Harley, E. Sarcomas of the paranasal sinuses: An analysis of the SEER database. Laryngoscope Investig. Otolaryngol. 2019, 4, 70–75. [Google Scholar] [CrossRef]
- El-Naggar, A.K.; Chan, J.K.C.; Grandis, J.R.; Takata, T.; Slootweg, P.J. WHO Classification of Head and Neck Tumours; IARC: Lyon, France, 2017.
- Thompson, L.; Franchi, A. New tumor entities in the 4th edition of the World Health Organization classification of head and neck tumors: Nasal cavity, paranasal sinuses and skull base. Virchows Arch. 2017, 472, 315–330. [Google Scholar] [CrossRef]
- Kak, I.; Perez-Ordoñez, B. Sinonasal tract pathology: An updated review of select entities. Diagn. Histopathol. 2019, 25, 265–273. [Google Scholar] [CrossRef]
- Andreasen, S.; Bishop, J.A.; Hellquist, H.; Hunt, J.; Kiss, K.; Rinaldo, A.; Skálová, A.; Willems, S.M.; Williams, M.; Ferlito, A. Biphenotypic sinonasal sarcoma: Demographics, clinicopathological characteristics, molecular features, and prognosis of a recently described entity. Virchows Arch. 2018, 473, 615–626. [Google Scholar] [CrossRef] [PubMed]
- Szablewski, V.; Neuville, A.; Terrier, P.; Laé, M.; Schaub, R.; Garrel, R.; Coindre, J.-M.; Costes, V. Adult sinonasal soft tissue sarcoma: Analysis of 48 cases from the French Sarcoma Group database. Laryngoscope 2014, 125, 615–623. [Google Scholar] [CrossRef] [PubMed]
- Jo, V.; Fletcher, C. WHO classification of soft tissue tumours: An update based on the 2013 (4th) edition. Pathology 2014, 46, 95–104. [Google Scholar] [CrossRef] [PubMed]
- Wong, W.J.; Lauria, A.; Hornick, J.L.; Xiao, S.; Fletcher, J.A.; Marino-Enriquez, A. Alternate PAX3-FOXO1 oncogenic fusion in biphenotypic sinonasal sarcoma. Genes Chromosomes Cancer 2015, 55, 25–29. [Google Scholar] [CrossRef] [PubMed]
- Huang, S.C.; Ghossein, R.A.; Bishop, J.A.; Zhang, L.; Chen, T.C.; Huang, H.Y.; Antonescu, C.R. Novel PAX3-NCOA1 Fusions in Biphenotypic Sinonasal Sarcoma With Focal Rhabdomyoblastic Differentiation. Am. J. Surg. Pathol. 2016, 40, 51–59. [Google Scholar] [CrossRef]
- Le Loarer, F.; Laffont, S.; Lesluyes, T.; Tirode, F.; Antonescu, C.; Baglin, A.C.; Delespaul, L.; Soubeyran, I.; Hostein, I.; Pérot, G.; et al. Clinicopathologic and Molecular Features of a Series of 41 Biphenotypic Sinonasal Sarcomas Expanding Their Molecular Spectrum. Am. J. Surg. Pathol. 2019, 43, 747–754. [Google Scholar] [CrossRef]
- Jo, V.Y.; Mariño-Enríquez, A.; Fletcher, C.D.; Hornick, J.L. Expression of PAX3 Distinguishes Biphenotypic Sinonasal Sarcoma From Histologic Mimics. Am. J. Surg. Pathol. 2018, 42, 1275–1285. [Google Scholar] [CrossRef]
- Rooper, L.M.; Huang, S.-C.; Antonescu, C.R.; Westra, W.H.; Bishop, J.A. Biphenotypic sinonasal sarcoma: An expanded immunoprofile including consistent nuclear β-catenin positivity and absence of SOX10 expression. Hum. Pathol. 2016, 55, 44–50. [Google Scholar] [CrossRef]
- Kakkar, A.; Rajeshwari, M.; Sakthivel, P.; Sharma, M.C.; Sharma, S.C. Biphenotypic sinonasal sarcoma: A series of six cases with evaluation of role of β-catenin immunohistochemistry in differential diagnosis. Ann. Diagn. Pathol. 2018, 33, 6–10. [Google Scholar] [CrossRef]
- Fritchie, K.J.; Jin, L.; Wang, X.; Graham, R.; Torbenson, M.S.; E Lewis, J.; Rivera, M.; Garcia, J.J.; Schembri-Wismayer, D.J.; Westendorf, J.J.; et al. Fusion gene profile of biphenotypic sinonasal sarcoma: An analysis of 44 cases. Histopathology 2016, 69, 930–936. [Google Scholar] [CrossRef]
- Miglani, A.; Lal, D.; Weindling, S.M.; Wood, C.P.; Hoxworth, J.M. Imaging Characteristics and Clinical Outcomes of Biphenotypic Sinonasal Sarcoma. Laryngoscope Investig. Otolaryngol. 2019, 4, 484–488. [Google Scholar] [CrossRef] [PubMed]
- Lin, Y.; Liao, B.; Han, A. Biphenotypic sinonasal sarcoma with diffuse infiltration and intracranial extension: A case report. Int. J. Clin. Exp. Pathol. 2017, 10, 11743–11746. [Google Scholar] [PubMed]
- White, W.; Shiu, M.H.; Rosenblum, M.K.; Erlandson, R.A.; Woodruff, J.M. Cellular schwannoma. A clinicopathologic study of 57 patients and 58 tumors. Cancer 1990, 66, 1266–1275. [Google Scholar] [CrossRef]
- Choi, J.H.; Shin, D.S.; Bae, Y.K.; Kim, M.J.; Shim, Y.R.; Jung, J.Y. Synovial Sarcoma with Massive Myxoid Feature: A Case Report. J. Pathol. Transl. Med. 2005, 39, 273–277. [Google Scholar]
- Karamchandani, J.R.; Nielsen, T.O.; van de Rijn, M.; West, R.B. Sox10 and S100 in the Diagnosis of Soft-tissue Neoplasms. Appl. Immunohistochem. Mol. Morphol. 2012, 20, 445–450. [Google Scholar] [CrossRef]
- Thompson, L.; Fanburg-Smith, J. Update on Select Benign Mesenchymal and Meningothelial Sinonasal Tract Lesions. Head Neck Pathol. 2016, 10, 95–108. [Google Scholar] [CrossRef]
- Jo, V.; Fletcher, C. Nuclear β-Catenin Expression is Frequent in Sinonasal Hemangiopericytoma and Its Mimics. Head Neck Pathol. 2016, 11, 119–123. [Google Scholar] [CrossRef]
- Hoda, S. Enzinger and Weiss’s Soft Tissue Tumors, 6th Edition. Adv. Anat. Pathol. 2014, 21, 216. [Google Scholar] [CrossRef]
- Foo, W.C.; Cruise, M.; Wick, M.; Hornick, J. Immunohistochemical Staining for TLE1 Distinguishes Synovial Sarcoma From Histologic Mimics. Am. J. Clin. Pathol. 2011, 135, 839–844. [Google Scholar] [CrossRef]
- Wang, Q.; Fang, W.H.; Krupinski, J.; Kumar, S.; Slevin, M.; Kumar, P. Pax genes in embryogenesis and oncogenesis. J. Cell. Mol. Med. 2008, 12, 2281–2294. [Google Scholar] [CrossRef]



| Stain | Clone | Dilution | Company | Platform | Address |
|---|---|---|---|---|---|
| S100 | Poly | ready to use | Dako | Dako O/AS | Carpinteria, CA, USA |
| SMA | 1A4 clone | ready to use | Dako | Dako AS | Carpinteria, CA, USA |
| SOX10 | EP267 clone | ready to use | Roche | Roche | Branchburg, NJ, USA |
| desmin | D33 clone | ready to use | Dako | Dako O/AS | Carpinteria, CA, USA |
| h-caldesmon | h-CD colne | ready to use | Dako | Dako O/AS | Carpinteria, CA, USA |
| MyoD1 | 5.8A | 1:100 | Dako | Dako AS | Carpinteria, CA, USA |
| myogenin | F5D | ready to use | Dako | Dako O/AS | Carpinteria, CA, USA |
| b-catenin | B-Catenin-1 clone | ready to use | Dako | Dako AS | Carpinteria, CA, USA |
| STAT6 | EP325 clone | 1:50 | Cell Marque | manual | Rocklin, CA, USA |
| CD34 | QBEnd10 | ready to use | Dako | Dako O/AS | Carpinteria, CA, USA |
| CKAE1/AE3 | AE1/AE3 colne | ready to use | Dako | Dako O/AS | Carpinteria, CA, USA |
| EMA | E29 clone | ready to use | Dako | Dako AS | Carpinteria, CA, USA |
| TLE1 | 1F5 clone | 1:100 | Cell Marque | manual | Rocklin, CA, USA |
| PAX3 | Polyclonal | 1:400 | Thermo Fisher Scientific | manual | Waltham, MA USA |
| H3K27me3 | Monoclonal | 1:2000 | Cell Signaling Technology | manual | Danvers, MA, USA |
| No. | Age [Years] | Sex | Tumor Location | Orbital Destruction | Bone Infiltration | Respiratory Epithelium Invagination | Histological Pattern | pTNM | Treatment | Recurrence | Follow-Up [Months] |
|---|---|---|---|---|---|---|---|---|---|---|---|
| 1 | 68 | F | Nasal cavity, right maxillary sinus, bilateral sphenoid sinuses, bilateral ethmoid sinuses, nasopharynx | + | Bone not present in the specimen | + | Fascicular + myxoid | pT4N0M0 | Surgery + adjuvant RTH | - | 41 |
| 2 | 62 | F | Nasal cavity, right ethmoid sinuses, skull base | + | + | - | Fascicular | pT4N0M0 | Surgery + adjuvant RTH | - | 40 |
| 3 | 62 | F | Right ethmoid sinuses, right sphenoid sinus, right maxillary sinus | + | Bone not present in the specimen | Epithelium not present in the specimen | Fascicular | pT4N0M0 | Surgery + adjuvant RTH | - | 76 |
| 4 | 65 | F | Right ethmoid sinuses, right sphenoid sinus, right maxillary sinus | - | + | + | Fascicular | pT4N0M0 | Surgery | NA | NA |
| 5 | 66 | M | Nasal cavity, left ethmoid sinuses, left maxillary sinus | + | Bone not present in the specimen | + | Fascicular | pT4N0M0 | Surgery + adjuvant RTH | + | 21 |
| 6 | 53 | M | Nasal cavity, right maxillary sinus, right and left ethmoid sinuses | + | + | + | Fascicular | pT4N0M0 | Surgery + adjuvant RTH | + | 153 |
| No. | 1 BS/RS | 2 BS/RS | 3 BS/RS | 4 BS/RS | 5 BS/RS | 6 BS/RS | |
|---|---|---|---|---|---|---|---|
| IHC | S100 | (+) focal/(+) focal | (+) focal/(+) focal | (+) diffuse/(+) diffuse | (+) focal/(+) | (+) focal/NA | (+) focal/(+) focal |
| SOX10 | (-)/(-) | (-)/(-) | (-)/(-) | NA | (-)/NA | (-)/(-) | |
| SMA | (+) focal/(+) focal | (+) focal/(+) focal | (+) focal/(+) focal | (-)/(+) patchy | (+) diffuse/NA | (+) focal/(+) focal | |
| desmin | (-)/(-) | (-)/(-) | (-)/(-) | (-)/(-) | (-)/NA | (-)/(+) focal | |
| h-caldesmon | (-)/(-) | (-)/(-) | (-)/(-) | (-)/(-) | (-)/NA | (-)/(-) | |
| MyoD1 | (-)/(-) | (-)/(-) | (-)/(-) | NA | (-)/NA | (-)/NA | |
| myogenin | NA | NA | NA | NA | NA | NA/(+) focal | |
| STAT6 | (-)/(-) | (-)/(-) | NA | NA | (-)/NA | (-)/NA | |
| b-catenin | (-)/(-) | (-)/(-) | NA | NA | (-)/NA | (-)/NA | |
| CD34 | (-)/(-) | (-)/(-) | (-)/(-) | (-)/(-) | (-)/NA | (-)/(-) | |
| CKAE1/3 | (-)/(-) | (-)/(-) | (-)/(-) | (-)/(-) | (-)/NA | (-)/(-) | |
| EMA | (-)/(-) | (-)/(-) | (-)/(-) | (-)/(-) | (-)/NA | NA | |
| TLE-1 | NA | NA | (+)/(+) | NA | NA | (-)/(-) | |
| H3K27m3 | (+)/(+) | (+)/(+) | (+)/(+) | (+)/(+) | (+)/NA | NA/(+) | |
| PAX3 | (+)/(+) | (+)/(+) | (+)/(+) | (+)/(+) | (+)/NA | NA/(+) | |
| FISH | PAX3 | (+) | (+) | (+) | ND | (+) | (+) |
| SS18 | (-) | (-) | (-) | NA | (-) | NA | |
| Diagnosis | BSNS | BSNS | BSNS | BSNS | BSNS | BSNS | |
Publisher’s Note: MDPI stays neutral with regard to jurisdictional claims in published maps and institutional affiliations. |
© 2022 by the authors. Licensee MDPI, Basel, Switzerland. This article is an open access article distributed under the terms and conditions of the Creative Commons Attribution (CC BY) license (https://creativecommons.org/licenses/by/4.0/).
Share and Cite
Kuczkiewicz-Siemion, O.; Prochorec-Sobieszek, M.; Rysz, M.; Wojnowska, A.; Durzyńska, M. Small Biopsy Samples: Are They Representative for Biphenotypic Sinonasal Sarcoma? Diagnostics 2022, 12, 2528. https://doi.org/10.3390/diagnostics12102528
Kuczkiewicz-Siemion O, Prochorec-Sobieszek M, Rysz M, Wojnowska A, Durzyńska M. Small Biopsy Samples: Are They Representative for Biphenotypic Sinonasal Sarcoma? Diagnostics. 2022; 12(10):2528. https://doi.org/10.3390/diagnostics12102528
Chicago/Turabian StyleKuczkiewicz-Siemion, Olga, Monika Prochorec-Sobieszek, Maciej Rysz, Aneta Wojnowska, and Monika Durzyńska. 2022. "Small Biopsy Samples: Are They Representative for Biphenotypic Sinonasal Sarcoma?" Diagnostics 12, no. 10: 2528. https://doi.org/10.3390/diagnostics12102528
APA StyleKuczkiewicz-Siemion, O., Prochorec-Sobieszek, M., Rysz, M., Wojnowska, A., & Durzyńska, M. (2022). Small Biopsy Samples: Are They Representative for Biphenotypic Sinonasal Sarcoma? Diagnostics, 12(10), 2528. https://doi.org/10.3390/diagnostics12102528
