Sign in to use this feature.

Years

Between: -

Subjects

remove_circle_outline
remove_circle_outline
remove_circle_outline

Journals

Article Types

Countries / Regions

Search Results (4)

Search Parameters:
Keywords = biphenotypic sinonasal sarcoma

Order results
Result details
Results per page
Select all
Export citation of selected articles as:
6 pages, 6005 KB  
Interesting Images
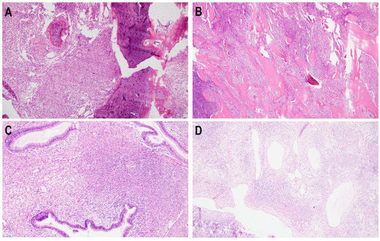
A Long-Term Disease-Free Case of Biphenotypic Sinonasal Sarcoma with Intracranial and Intraorbital Extension Initially Misdiagnosed as Synovial Sarcoma
by Hiroyuki Morishita, Masayoshi Kobayashi, Masako Kitano, Kazuki Kanayama and Hiroshi Imai
Diagnostics 2026, 16(2), 266; https://doi.org/10.3390/diagnostics16020266 - 14 Jan 2026
Viewed by 224
Abstract
Biphenotypic sinonasal sarcoma (BSNS) is a very rare, locally aggressive sarcoma arising in the sinonasal region, initially recognized as low-grade sinonasal sarcoma with neural and myogenic differentiation. Here, we report a case of BSNS extending into the intracranial and intraorbital regions, finally diagnosed [...] Read more.
Biphenotypic sinonasal sarcoma (BSNS) is a very rare, locally aggressive sarcoma arising in the sinonasal region, initially recognized as low-grade sinonasal sarcoma with neural and myogenic differentiation. Here, we report a case of BSNS extending into the intracranial and intraorbital regions, finally diagnosed by a break-apart fluorescence in situ hybridization (FISH) assay for rearrangements of PAX3. A 50-year-old woman presented with left diplopia and exophthalmos. CT and MRI revealed a large ethmoidal mass with intracranial and intraorbital extension. Since preoperative biopsy suggested a benign tumor, endoscopic endonasal resection was performed while preserving the anterior skull base and intraorbital structures. Postoperative histopathological diagnosis indicated synovial sarcoma, and proton beam therapy with adjuvant chemotherapy was subsequently administered. After treatment, FISH demonstrated rearrangements of PAX3 and MAML3 genes, leading to a revised diagnosis of BSNS, which typically does not require chemotherapy due to its non-metastatic behavior. Eleven years after treatment, the patient remains free of recurrence. Understanding BSNS is essential to avoid excessive intervention, and confirmation of PAX3 rearrangement by FISH or equivalent molecular testing is crucial for accurate diagnosis. Full article
(This article belongs to the Section Clinical Diagnosis and Prognosis)
Show Figures

Figure 1

16 pages, 850 KB  
Systematic Review
Biphenotypic Sinonasal Sarcoma: Literature Review of a Peculiar Pathological Entity—The Neurosurgical Point of View
by Sergio Corvino, Giuseppe Corazzelli, Giuseppe Mariniello, Adriana Iuliano, Roberto Altieri, Giuseppe Pontillo, Diego Strianese, Manlio Barbarisi, Andrea Elefante and Oreste de Divitiis
Cancers 2024, 16(22), 3747; https://doi.org/10.3390/cancers16223747 - 6 Nov 2024
Cited by 6 | Viewed by 1818
Abstract
Background: Biphenotypic sinonasal sarcoma (BSNS) is a low-grade tumor of the sinonasal tract with frequent extension to the orbit and skull base. Due to its rare incidence and recent histopathological and molecular characterization, little data are available in regard to its natural history, [...] Read more.
Background: Biphenotypic sinonasal sarcoma (BSNS) is a low-grade tumor of the sinonasal tract with frequent extension to the orbit and skull base. Due to its rare incidence and recent histopathological and molecular characterization, little data are available in regard to its natural history, treatment and surveillance protocol. Methods: A comprehensive literature review in Embase online electronic databases on BSNS was made. The analyzed factors included the patients’ sex and age, presenting symptoms and signs, anatomical origin and pattern of growth of the tumor, immunohistochemical and molecular features, time to treatment, type of treatment, surgical approach, extent of resection, peri- and post-operative complications, adjuvant therapies, clinical outcome, recurrence and overall survival rates. Results: This literature review involved 34 studies for an overall series of 149 cases of BSNS. The female (66.9%) and middle-aged populations (median 54.88 years old) were mainly affected. The most frequent clinical onset was nasal obstruction (81%), followed by facial discomfort (44%), epistaxis (15.5%) and ocular impairment (14.3%). Ethmoid sinus (67.8%) and nasal cavity (45.4%) were the most common anatomical site of tumor origin, while an extension to the orbit and skull base was registered in 28.7% and 24.5% of cases. Surgery was the main treatment, especially in the form of endoscopic endonasal approach (56.9%), and allowed for gross total resection in 79% of cases. The recurrence rate was 26.2%; three cases of tumor-related death were reported. Median follow-up was 4.6 years. Conclusions: Biphenotypic sinonasal sarcoma is a rare and unique tumoral entity in terms of biological and clinical behavior. Based on the current knowledge, surgery plays the leading role in treatment, accounting for gross total tumor resection in most cases, allowing for clinical symptom and sign resolution and presenting a low rate of perioperative complications. The type of approach and the aim of surgery should be assessed case by case according to patient and pathology features and the surgeon’s experience, as well as the aim of the treatment. Further studies including large surgical series and with long follow-up are required to define prognostic factors and guidelines of treatment for this peculiar pathological entity. Full article
(This article belongs to the Section Cancer Pathophysiology)
Show Figures

Figure 1

18 pages, 5753 KB  
Review
Biphenotypic Sinonasal Sarcoma with Orbital Invasion: A Literature Review and Modular System of Surgical Approaches
by Sergio Corvino, Oreste de Divitiis, Adriana Iuliano, Federico Russo, Giuseppe Corazzelli, Dana Cohen, Rosa Maria Di Crescenzo, Carmela Palmiero, Giuseppe Pontillo, Stefania Staibano, Diego Strianese, Andrea Elefante and Giuseppe Mariniello
Cancers 2024, 16(19), 3316; https://doi.org/10.3390/cancers16193316 - 27 Sep 2024
Cited by 4 | Viewed by 2535
Abstract
Background: Biphenotypic sinonasal sarcoma is a rare low-grade tumor arising from the sinonasal tract, featuring locally aggressive biological behavior, with a tendency to invade the orbit and skull base. There are no defined guidelines of treatment; thus, the management varies among different institutions. [...] Read more.
Background: Biphenotypic sinonasal sarcoma is a rare low-grade tumor arising from the sinonasal tract, featuring locally aggressive biological behavior, with a tendency to invade the orbit and skull base. There are no defined guidelines of treatment; thus, the management varies among different institutions. The aim of the present study is to provide a modular system of surgical approaches according to the lesion pattern of growth from a literature review. Materials and Methods: A comprehensive and detailed literature review on the PubMed and Embase online electronic databases on biphenotypic sinonasal sarcoma with orbital invasion was conducted. A personal case exhibiting peculiar features was also added. Demographic (patient’s sex and age), clinical (presenting symptoms and time to treatment), neuroradiological (anatomical origin and pattern of growth), and treatment (type of treatment, surgical approach, extent of resection, peri- and postoperative complications, and adjuvant therapies) data, as well as clinical outcome, recurrence rates, and overall survival, were analyzed. Results: Thirty-one patients harboring biphenotypic sinonasal sarcoma with orbital invasion were identified. Tumors mainly affected female patients (66.7%) and a middle-aged population (median 55.2 years old). Simultaneous skull base involvement occurred in most cases (80.6%). Surgery was performed in all but one case (97%), as unique treatment (59%) or in association with radio—(23.5%) and/or chemotherapy (5.9%/2.9%), allowing for gross total tumor resection in most cases (66.7%). The endoscopic endonasal approach was the most adopted surgical corridor (51.7%). The local recurrence rate was 19.3%, and only two cases of tumor-related mortality occurred. Conclusions: Surgery is the only curative treatment, with the main goal to restore/improve/arrest progression of clinical manifestations. The endoscopic endonasal route represents the master approach for lesions confined to the midline. Microsurgical transcranial and endoscopic transorbital approaches have a complementary role for addressing the lesion’s component with large intracranial extension or affecting the paramedian aspect of the anterior cranial fossa and superior–lateral orbital compartment, respectively. The approach selection should be made case by case according to the tumor pattern of growth. Full article
(This article belongs to the Section Systematic Review or Meta-Analysis in Cancer Research)
Show Figures

Figure 1

11 pages, 2532 KB  
Article
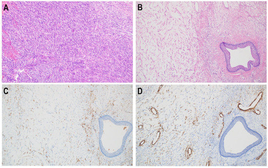
Small Biopsy Samples: Are They Representative for Biphenotypic Sinonasal Sarcoma?
by Olga Kuczkiewicz-Siemion, Monika Prochorec-Sobieszek, Maciej Rysz, Aneta Wojnowska and Monika Durzyńska
Diagnostics 2022, 12(10), 2528; https://doi.org/10.3390/diagnostics12102528 - 18 Oct 2022
Cited by 3 | Viewed by 2199
Abstract
(1) Background: Biphenotypic sinonasal sarcoma (BSNS) is a rare low-grade neoplasm of the sinonasal tract. It is characterized by specific PAX3 gene rearrangements and both myogenic and neural differentiation. The purpose of the study was to describe the histologic, immunohistochemical and molecular features [...] Read more.
(1) Background: Biphenotypic sinonasal sarcoma (BSNS) is a rare low-grade neoplasm of the sinonasal tract. It is characterized by specific PAX3 gene rearrangements and both myogenic and neural differentiation. The purpose of the study was to describe the histologic, immunohistochemical and molecular features of BSNS and indicate important clues for small incisional biopsy diagnostics. (2) Methods: Archival samples from patients with nasal cavities or ethmoid sinuses tumors were searched for BSNS cases. Inclusion criteria were the presence of spindle cell morphology and low-grade appearance. Both biopsy and resection specimens were stained for identical IHC panels including, i.a., S100, SMA, SOX10 and PAX3. FISH for PAX3 and SS18 was performed on biopsy specimens. (3) Results: BSNS diagnosis was made in 6 cases included in the study and confirmed by PAX3 rearrangement by FISH in 5 specimens. The pattern of IHC expression was identical for paired biopsy and resection samples apart from one BSNS case. (4) Conclusions: Incisional biopsy seems to be a sufficient method to establish BSNS diagnosis in most cases. Characteristic morphological features together with S100, SOX10 and SMA as the screening markers are useful for confirming the diagnosis. In cases of divergent morphology and immunoprofile evaluation of PAX3 rearrangement is vital. Full article
(This article belongs to the Section Pathology and Molecular Diagnostics)
Show Figures

Figure 1

Back to TopTop