When the Helmet Is Not Enough: Forensic Multidisciplinary Reconstruction of a Deadly Motorcycle Accident
Abstract
1. Introduction
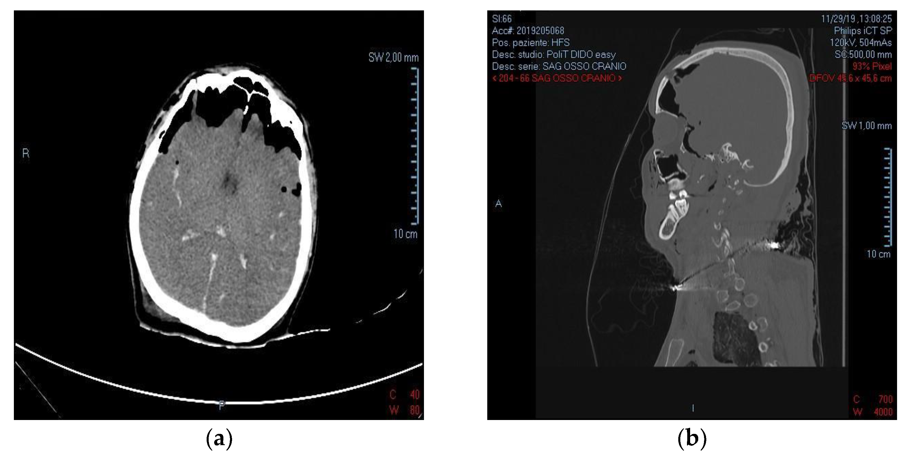
2. Case Presentation
3. Discussion
4. Conclusions
Author Contributions
Funding
Institutional Review Board Statement
Informed Consent Statement
Data Availability Statement
Conflicts of Interest
References
- Brown, L.; Morris, A.; Thomas, P.; Ekambaram, K.; Margaritis, D.; Davidse, R.; Usami, D.S.; Robibaro, M.; Persia, L.; Buttler, I.; et al. Investigation of Accidents Involving Powered Two Wheelers and Bicycles – A European in-Depth Study. J. Saf. Res. 2021, 76, 135–145. [Google Scholar] [CrossRef] [PubMed]
- Granieri, S.S.; Reitano, E.E.; Bindi, F.F.; Renzi, F.F.; Sammartano, F.F.; Cimbanassi, S.S.; Gupta, S.S.; Chiara, O.O. Motorcycle-Related Trauma:Effects of Age and Site of Injuries on Mortality. A Single-Center, Retrospective Study. World J. Emerg. Surg. 2020, 15, 18. [Google Scholar] [CrossRef]
- Airaksinen, N.K.; Handolin, L.E.; Heinänen, M.T. Severe Traffic Injuries in the Helsinki Trauma Registry between 2009–2018. Injury 2020, 51, 2946–2952. [Google Scholar] [CrossRef] [PubMed]
- Mikocka-Walus, A.; Gabbe, B.; Cameron, P. Motorcycle-Related Major Trauma: On-Road versus off-Road Incidence and Profile of Cases. EMA—Emerg. Med. Aust. 2010, 22, 470–476. [Google Scholar] [CrossRef]
- Saunders, R.N.; Dull, M.B.; Witte, A.B.; Regan, J.M.; Davis, A.T.; Koehler, T.J.; Gibson, C.J.; Iskander, G.A.; Rodriguez, C.H.; Cohle, S.D.; et al. The Danger Zone: Injuries and Conditions Associated with Immediately Fatal Motorcycle Crashes in the State of Michigan. Am. J. Surg. 2019, 217, 552–555. [Google Scholar] [CrossRef] [PubMed]
- Notrica, D.M.; Sayrs, L.W.; Krishna, N.; Davenport, K.P.; Jamshidi, R.; McMahon, L. Impact of Helmet Laws on Motorcycle Crash Mortality Rates. J. Trauma Acute Care Surg. 2020, 89, 962–970. [Google Scholar] [CrossRef] [PubMed]
- Busko, A.; Hubbard, Z.; Zakrison, T. Motorcycle-Helmet Laws and Public Health. N. Engl. J. Med. 2017, 376, 1208–1209. [Google Scholar] [CrossRef]
- Peng, Y.; Vaidya, N.; Finnie, R.; Reynolds, J.; Dumitru, C.; Njie, G.; Elder, R.; Ivers, R.; Sakashita, C.; Shults, R.A.; et al. Universal Motorcycle Helmet Laws to Reduce Injuries: A Community Guide Systematic Review. Am. J. Prev. Med. 2017, 52, 820–832. [Google Scholar] [CrossRef]
- Lucci, C.; Piantini, S.; Savino, G.; Pierini, M. Motorcycle Helmet Selection and Usage for Improved Safety: A Systematic Review on the Protective Effects of Helmet Type and Fastening. Traffic Inj. Prev. 2021, 22, 301–306. [Google Scholar] [CrossRef]
- Kuo, S.C.H.; Kuo, P.J.; Rau, C.S.; Chen, Y.C.; Hsieh, H.Y.; Hsieh, C.H. The Protective Effect of Helmet Use in Motorcycle and Bicycle Accidents: A Propensity Score-Matched Study Based on a Trauma Registry System. BMC Public Health 2017, 17, 639. [Google Scholar] [CrossRef]
- MacLeod, J.B.A.; Digiacomo, J.C.; Tinkoff, G. An Evidence-Based Review: Helmet Efficacy to Reduce Head Injury and Mortality in Motorcycle Crashes: EAST Practice Management Guidelines. J. Trauma—Inj. Infect. Crit. Care 2010, 69, 1101–1111. [Google Scholar] [CrossRef] [PubMed]
- Moskal, A.; Martin, J.L.; Laumon, B. Risk Factors for Injury Accidents among Moped and Motorcycle Riders. Accid. Anal. Prev. 2012, 49, 5–11. [Google Scholar] [CrossRef] [PubMed]
- Möller, H.; Senserrick, T.; Rogers, K.; Sakashita, C.; de Rome, L.; Boufous, S.; Davey, C.; Cullen, P.; Ivers, R. Crash Risk Factors for Novice Motorcycle Riders. J. Saf. Res. 2020, 73, 93–101. [Google Scholar] [CrossRef] [PubMed]
- Nunn, S. Death by Motorcycle: Background, Behavioral, and Situational Correlates of Fatal Motorcycle Collisions. J. Forensic Sci. 2011, 56, 429–437. [Google Scholar] [CrossRef] [PubMed]
- Wu, D.; Hours, M.; Martin, J.L. Risk Factors for Motorcycle Loss-of-Control Crashes. Traffic Inj. Prev. 2018, 19, 433–439. [Google Scholar] [CrossRef] [PubMed]
- Liu, B.C.; Ivers, R.; Norton, R.; Boufous, S.; Blows, S.; Lo, S.K. Helmets for Preventing Injury in Motorcycle Riders. Cochrane Database Syst. Rev. 2008, CD004333. [Google Scholar] [CrossRef]
- Choi, W.S.; Cho, J.S.; Jang, Y.S.; Lim, Y.S.; Yang, H.J.; Woo, J.H. Can Helmet Decrease Mortality of Craniocerebral Trauma Patients in a Motorcycle Accident?: A Propensity Score Matching. PLoS ONE 2020, 15, e0227691. [Google Scholar] [CrossRef]
- Singleton, M.D. Differential Protective Effects of Motorcycle Helmets against Head Injury. Traffic Inj. Prev. 2017, 18, 387–392. [Google Scholar] [CrossRef]
- Cini, M.A.; Prado, B.G.; Hinnig, P.D.F.; Fukushima, W.Y.; Adami, F. Influence of Type of Helmet on Facial Trauma in Motorcycle Accidents. Br. J. Oral Maxillofac. Surg. 2014, 52, 789–792. [Google Scholar] [CrossRef]
- Erhardt, T.; Rice, T.; Troszak, L.; Zhu, M. Motorcycle Helmet Type and the Risk of Head Injury and Neck Injury during Motorcycle Collisions in California. Accid. Anal. Prev. 2016, 86, 23–28. [Google Scholar] [CrossRef]
- Lam, C.; Wiratama, B.S.; Chang, W.H.; Chen, P.L.; Chiu, W.T.; Saleh, W.; Pai, C.W. Effect of Motorcycle Helmet Types on Head Injuries: Evidence from Eight Level-I Trauma Centres in Taiwan. BMC Public Health 2020, 20, 78. [Google Scholar] [CrossRef] [PubMed]
- Petit, L.; Zaki, T.; Hsiang, W.; Leslie, M.P.; Wiznia, D.H. A Review of Common Motorcycle Collision Mechanisms of Injury. EFORT Open Rev. 2020, 5, 544–548. [Google Scholar] [CrossRef] [PubMed]
- Capizzi, A.; Woo, J.; Verduzco-Gutierrez, M. Traumatic Brain Injury: An Overview of Epidemiology, Pathophysiology, and Medical Management. Med. Clin. N. Am. 2020, 104, 213–238. [Google Scholar] [CrossRef] [PubMed]






Publisher’s Note: MDPI stays neutral with regard to jurisdictional claims in published maps and institutional affiliations. |
© 2022 by the authors. Licensee MDPI, Basel, Switzerland. This article is an open access article distributed under the terms and conditions of the Creative Commons Attribution (CC BY) license (https://creativecommons.org/licenses/by/4.0/).
Share and Cite
Catena, A.M.; Treglia, M.; Marsella, L.T.; Locatelli, M.; Rosato, E.; Kabir, A.; Bonelli, M.; D’Ovidio, C. When the Helmet Is Not Enough: Forensic Multidisciplinary Reconstruction of a Deadly Motorcycle Accident. Diagnostics 2022, 12, 2465. https://doi.org/10.3390/diagnostics12102465
Catena AM, Treglia M, Marsella LT, Locatelli M, Rosato E, Kabir A, Bonelli M, D’Ovidio C. When the Helmet Is Not Enough: Forensic Multidisciplinary Reconstruction of a Deadly Motorcycle Accident. Diagnostics. 2022; 12(10):2465. https://doi.org/10.3390/diagnostics12102465
Chicago/Turabian StyleCatena, Antonio Maria, Michele Treglia, Luigi Tonino Marsella, Marcello Locatelli, Enrica Rosato, Abuzar Kabir, Martina Bonelli, and Cristian D’Ovidio. 2022. "When the Helmet Is Not Enough: Forensic Multidisciplinary Reconstruction of a Deadly Motorcycle Accident" Diagnostics 12, no. 10: 2465. https://doi.org/10.3390/diagnostics12102465
APA StyleCatena, A. M., Treglia, M., Marsella, L. T., Locatelli, M., Rosato, E., Kabir, A., Bonelli, M., & D’Ovidio, C. (2022). When the Helmet Is Not Enough: Forensic Multidisciplinary Reconstruction of a Deadly Motorcycle Accident. Diagnostics, 12(10), 2465. https://doi.org/10.3390/diagnostics12102465

