Focal Uptake in the Sternum on 18F-FDG-PET/CT Caused by G-CSF Therapy after Chemotherapy Mimicking Bone Metastasis of Breast Cancer
Abstract
1. Introduction
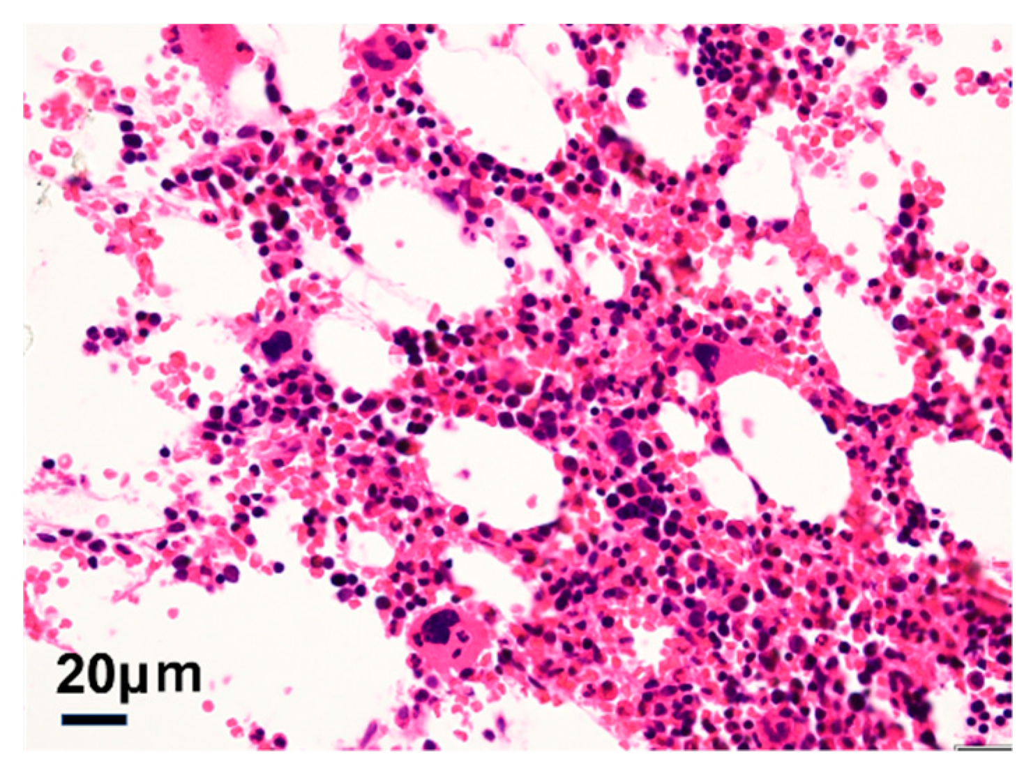
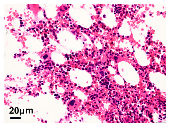
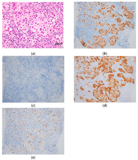
2. Case Presentation
3. Discussion
4. Conclusions
Author Contributions
Funding
Institutional Review Board Statement
Informed Consent Statement
Conflicts of Interest
References
- Mori, M.; Fujioka, T.; Katsuta, L.; Tsuchiya, J.; Kubota, K.; Kasahara, M.; Oda, G.; Nakagawa, T.; Onishi, I.; Tateishi, U. Diagnostic performance of time-of-flight PET/CT for evaluating nodal metastasis of the axilla in breast cancer. Nucl. Med. Commun. 2019, 40, 958–964. [Google Scholar] [CrossRef] [PubMed]
 - Ishiba, T.; Nakagawa, T.; Sato, T.; Nagahara, M.; Oda, G.; Sugimoto, H.; Kasahara, M.; Hosoya, T.; Kubota, K.; Fujioka, T.; et al. Efficiency of fluorodeoxyglucose positron emission tomography/computed tomography to predict prognosis in breast cancer patients received neoadjuvant chemotherapy. SpringerPlus 2015, 4, 817. [Google Scholar] [CrossRef] [PubMed]
 - Abouzied, M.M.; Crawford, E.S.; Nabi, H.A. 18F-FDG imaging: Pitfalls and artifacts. J. Nucl. Med. Technol. 2005, 33, 145–155. [Google Scholar] [PubMed]
 - Kazama, T.; Swanston, N.; Podoloff, D.A.; Macapinlac, H.A. Effect of colony-stimulating factor and conventional- or high-dose chemotherapy on FDG uptake in bone marrow. Eur. J. Nucl. Med. Mol. Imaging 2005, 32, 1406–1411. [Google Scholar] [CrossRef] [PubMed]
 - Mabuchi, S.; Morimoto, A.; Fujita, M.; Isohashi, K.; Kimura, T. G-CSF induces focal intense bone marrow FDG uptake mimicking multiple bone metastases from uterine cervical cancer: A case report and review of the literature. Eur. J. Gynaecol. Oncol. 2012, 33, 316–317. [Google Scholar] [PubMed]
 - Nakamoto, Y.; Suga, T.; Hara, T.; Ishizu, K.; Togashi, K. Inhomogeneous Bone Marrow Uptake Caused by G-CSF Mimics Multiple Bone Metastases on FDG-PET. Clin. Nucl. Med. 2010, 35, 74–76. [Google Scholar] [CrossRef] [PubMed]
 - Ruiz-Hernández, G.; Scaglione, C.; Delgado-Bolton, R.; Gutiérrez-García, A.; Madero, L.; Jiménez-Vicioso, A.; Carreras-Delgado, J. Hipercaptación esplénica secundaria a factor estimulador de colonias granulocitarias (G-CSF) en el estudio PET-FDG; Splenic and bone marrow increased 18F-FDG uptake in a PET scan performed following treatment with G-CSF. Rev. Esp. Med. Nucl. 2004, 23, 124–126. (In Spanish) [Google Scholar] [CrossRef]
 - Boellaard, R.; O’Doherty, M.J.; Weber, W.A.; Mottaghy, F.M.; Lonsdale, M.N.; Stroobants, S.G.; Oyen, W.J.G.; Kotzerke, J.; Hoekstra, O.S.; Pruim, J.; et al. FDG PET and PET/CT: EANM procedure guidelines for tumour PET imaging: Version 1.0. Eur. J. Nucl. Med. Mol. Imaging 2010, 37, 181–200. [Google Scholar] [CrossRef] [PubMed]
 




Publisher’s Note: MDPI stays neutral with regard to jurisdictional claims in published maps and institutional affiliations.  | 
© 2022 by the authors. Licensee MDPI, Basel, Switzerland. This article is an open access article distributed under the terms and conditions of the Creative Commons Attribution (CC BY) license (https://creativecommons.org/licenses/by/4.0/).
Share and Cite
Hayashi, K.; Fujioka, T.; Hara, M.; Kumaki, Y.; Oda, G.; Yamaga, E.; Mori, M.; Ohnishi, I.; Kubota, K.; Nakagawa, T. Focal Uptake in the Sternum on 18F-FDG-PET/CT Caused by G-CSF Therapy after Chemotherapy Mimicking Bone Metastasis of Breast Cancer. Diagnostics 2022, 12, 2308. https://doi.org/10.3390/diagnostics12102308
Hayashi K, Fujioka T, Hara M, Kumaki Y, Oda G, Yamaga E, Mori M, Ohnishi I, Kubota K, Nakagawa T. Focal Uptake in the Sternum on 18F-FDG-PET/CT Caused by G-CSF Therapy after Chemotherapy Mimicking Bone Metastasis of Breast Cancer. Diagnostics. 2022; 12(10):2308. https://doi.org/10.3390/diagnostics12102308
Chicago/Turabian StyleHayashi, Kumiko, Tomoyuki Fujioka, Masatake Hara, Yuichi Kumaki, Goshi Oda, Emi Yamaga, Mio Mori, Iichiroh Ohnishi, Kazunori Kubota, and Tsuyoshi Nakagawa. 2022. "Focal Uptake in the Sternum on 18F-FDG-PET/CT Caused by G-CSF Therapy after Chemotherapy Mimicking Bone Metastasis of Breast Cancer" Diagnostics 12, no. 10: 2308. https://doi.org/10.3390/diagnostics12102308
APA StyleHayashi, K., Fujioka, T., Hara, M., Kumaki, Y., Oda, G., Yamaga, E., Mori, M., Ohnishi, I., Kubota, K., & Nakagawa, T. (2022). Focal Uptake in the Sternum on 18F-FDG-PET/CT Caused by G-CSF Therapy after Chemotherapy Mimicking Bone Metastasis of Breast Cancer. Diagnostics, 12(10), 2308. https://doi.org/10.3390/diagnostics12102308
        
