Pulse Wave Velocity as a Marker of Vascular Dysfunction and Its Correlation with Cardiac Disease in Children with End-Stage Renal Disease (ESRD)
Abstract
:1. Introduction
2. Materials and Methods
Data Analysis and Statistics
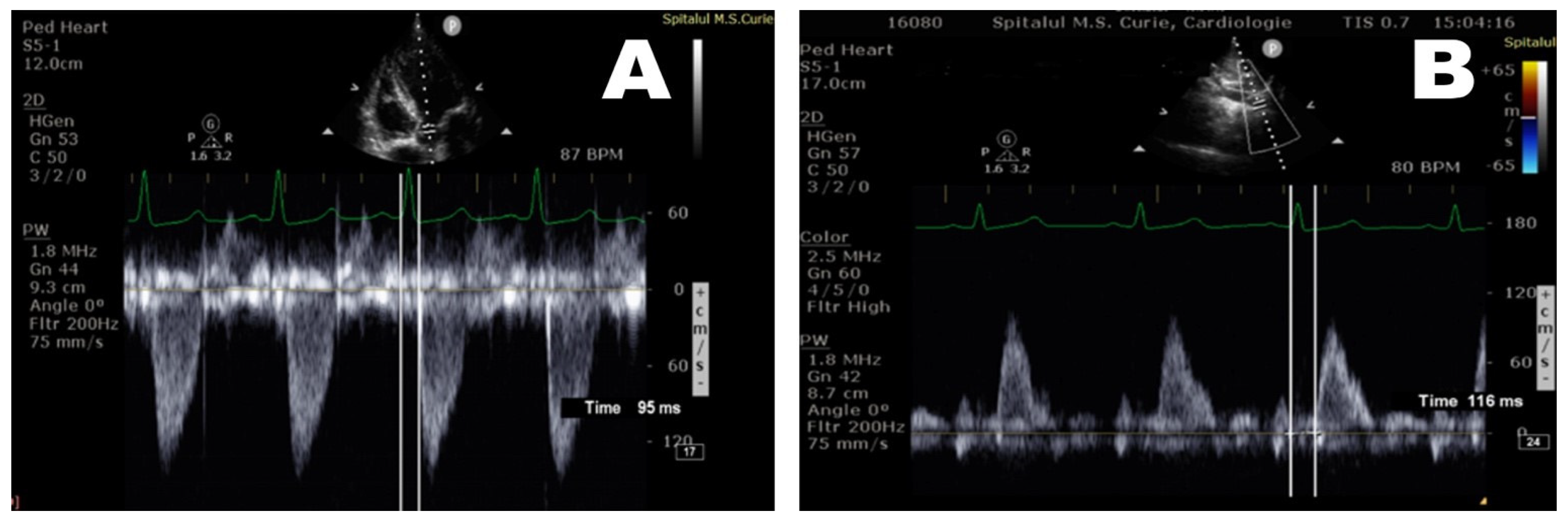
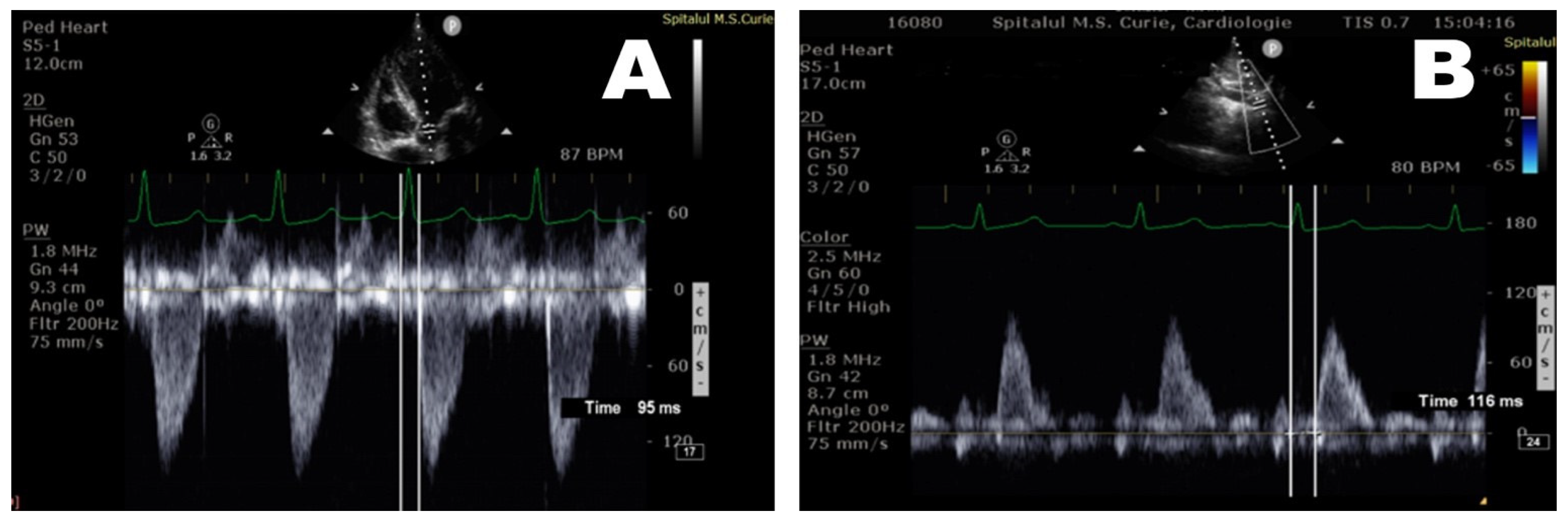
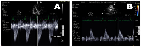
3. Results
Presence of Vascular Stiffness
4. Discussion
- (1)
- Does impairment of large vessels elasticity occur later in the course of CKD than apparition of abnormal myocardial findings?
- (2)
- Is the PWV cut-off value set at the 95th percentile too high and does it require adjustment to a lower threshold to increase the sensitivity of the method for determining vascular stiffness utilizing this noninvasive modality?
5. Conclusions
Author Contributions
Funding
Institutional Review Board Statement
Informed Consent Statement
Data Availability Statement
Conflicts of Interest
References
- Fox, C.S.; Matsushita, K.; Woodward, M.; Bilo, H.J.; Chalmers, J.; Heerspink, H.J.L.; Lee, B.J.; Perkins, R.M.; Rossing, P.; Sairenchi, T.; et al. Associations of kidney disease measures with mortality and end-stage renal disease in individuals with and without diabetes: A meta-analysis. Lancet 2012, 380, 1662–1673. [Google Scholar] [CrossRef] [Green Version]
- Mahmoodi, B.K.; Matsushita, K.; Woodward, M.; Blankestijn, P.J.; Cirillo, M.; Ohkubo, T.; Rossing, P.; Sarnak, M.J.; Stengel, B.; Yamagishi, K.; et al. Associations of kidney disease measures with mortality and end-stage renal disease in individuals with and without hypertension: A meta-analysis. Lancet 2012, 380, 1649–1661. [Google Scholar] [CrossRef] [Green Version]
- Mitsnefes, M.M. Cardiovascular Disease in Children with Chronic Kidney Disease. J. Am. Soc. Nephrol. 2012, 23, 578–585. [Google Scholar] [CrossRef]
- Townsend, R.R.; Anderson, A.H.; Chirinos, J.A.; Feldman, H.I.; Grunwald, J.E.; Nessel, L.; Roy, J.; Weir, M.R.; Wright, J.T., Jr.; Bansal, N.; et al. Association of Pulse Wave Velocity with Chronic Kidney Disease Progression and Mortality: Findings from the CRIC Study (Chronic Renal Insufficiency Cohort). Hypertension 2018, 71, 1101–1107. [Google Scholar] [CrossRef]
- Laurent, S.; Cockcroft, J.; Van Bortel, L.; Boutouyrie, P.; Giannattasio, C.; Hayoz, D.; Pannier, B.; Vlachopoulos, C.; Wilkinson, I.; Struijker-Boudier, H.; et al. Expert consensus document on arterial stiffness: Methodological issues and clinical applications. Eur. Heart J. 2006, 27, 2588–2605. [Google Scholar] [CrossRef] [Green Version]
- Salvi, P.; Scalise, F.; Rovina, M.; Moretti, F.; Salvi, L.; Grillo, A.; Gao, L.; Baldi, C.; Faini, A.; Furlanis, G.; et al. Noninvasive Estimation of Aortic Stiffness Through Different Approaches. Hypertension 2019, 74, 117–129.16. [Google Scholar] [CrossRef] [Green Version]
- Kim, H.-L.; Kim, S.-H. Pulse Wave Velocity in Atherosclerosis. Front. Cardiovasc. Med. 2019, 6, 41. [Google Scholar] [CrossRef] [PubMed]
- Kavey, R.-E.W.; Allada, V.; Daniels, S.R.; Hayman, L.L.; McCrindle, B.W.; Newburger, J.W.; Parekh, R.S.; Steinberger, J.; American Heart Association Expert Panel on Population and Prevention Science; American Heart Association Council on Cardiovascular Disease in the Young; et al. Cardiovascular risk reduction in high-risk pediatric patients: A scientific statement from the American Heart Association Expert Panel on Population and Prevention Science; the Councils on Cardiovascular Disease in the Young, Epidemiology and Prevention, Nutrition, Physical Activity and Metabolism, High Blood Pressure Research, Cardiovascular Nursing, and the Kidney in Heart Disease; and the Interdisciplinary Working Group on Quality of Care and Outcomes Research: Endorsed by the American Academy of Pediatrics. Circulation 2006, 114, 2710–2738. [Google Scholar] [CrossRef] [PubMed] [Green Version]
- Zoungas, S.; Cameron, J.D.; Kerr, P.G.; Wolfe, R.; Muske, C.; McNeil, J.J.; McGrath, B.P. Association of Carotid Intima-Medial Thickness and Indices of Arterial Stiffness with Cardiovascular Disease Outcomes in CKD. Am. J. Kidney Dis. 2007, 50, 622–630. [Google Scholar] [CrossRef] [PubMed]
- Jo, C.O.; Lande, M.B.; Meagher, C.C.; Wang, H.; Vermilion, R.P. A Simple Method of Measuring Thoracic Aortic Pulse Wave Velocity in Children: Methods and Normal Values. J. Am. Soc. Echocardiogr. 2010, 23, 735–740. [Google Scholar] [CrossRef]
- Covic, A.; Mardare, N.; Gusbeth-Tatomir, P.; Brumaru, O.; Gavrilovici, C.; Munteanu, M.; Prisada, O.; Goldsmith, D.J.A. Increased arterial stiffness in children on haemodialysis. Nephrol. Dial. Transplant. 2005, 21, 729–735. [Google Scholar] [CrossRef] [Green Version]
- Shroff, R.C.; McNair, R.; Figg, N.; Skepper, J.N.; Schurgers, L.; Gupta, A.; Hiorns, M.; Donald, A.E.; Deanfield, J.; Rees, L.; et al. Dialysis Accelerates Medial Vascular Calcification in Part by Triggering Smooth Muscle Cell Apoptosis. Circulation 2008, 118, 1748–1757. [Google Scholar] [CrossRef] [PubMed] [Green Version]
- Briese, S.; Claus, M.; Querfeld, U. Arterial stiffness in children after renal transplantation. Pediatr. Nephrol. 2008, 23, 2241–2245. [Google Scholar] [CrossRef]
- Tawadrous, H.; Kamran, H.; Salciccioli, L.; Schoeneman, M.J.; Lazar, J. Evaluation of arterial structure and function in pediatric patients with end-stage renal disease on dialysis and after renal transplantation. Pediatr. Transplant. 2012, 16, 480–485. [Google Scholar] [CrossRef]
- Townsend, R.R.; Wilkinson, I.B.; Schiffrin, E.; Avolio, A.P.; Chirinos, J.A.; Cockcroft, J.R.; Heffernan, K.S.; Lakatta, E.; McEniery, C.M.; Mitchell, G.F.; et al. Recommendations for Improving and Standardizing Vascular Research on Arterial Stiffness. Hypertension 2015, 66, 698–722. [Google Scholar] [CrossRef] [PubMed] [Green Version]
- Dogui, A.; Kachenoura, N.; Frouin, F.; Lefort, M.; De Cesare, A.; Mousseaux, E.; Herment, A. Consistency of aortic distensibility and pulse wave velocity estimates with respect to the Bramwell-Hill theoretical model: A cardiovascular magnetic resonance study. J. Cardiovasc. Magn. Reson. 2011, 13, 11. [Google Scholar] [CrossRef] [PubMed] [Green Version]
- Laffon, E.; Marthan, R.; Montaudon, M.; Ducassou, D. Feasibility of aortic pulse pressure and pressure wave velocity MRI measurement in young adults. J. Magn. Reson. Imaging 2004, 21, 53–58. [Google Scholar] [CrossRef]
- Mohiaddin, R.H.; Firmin, D.; Longmore, D.B. Age-related changes of human aortic flow wave velocity measured noninvasively by magnetic resonance imaging. J. Appl. Physiol. 1993, 74, 492–497. [Google Scholar] [CrossRef]
- Vulliémoz, S.; Stergiopulos, N.; Meuli, R. Estimation of local aortic elastic properties with MRI. Magn. Reson. Med. 2002, 47, 649–654. [Google Scholar] [CrossRef]
- Savant, J.D.; Furth, S.L.; Meyers, K.E. Arterial Stiffness in Children: Pediatric Measurement and Considerations. Pulse 2015, 2, 69–80. [Google Scholar] [CrossRef] [Green Version]
- Reusz, G.S.; Bárczi, A.; Dégi, A.; Cseprekál, O.; Kis, É.; Szabó, Á.; Csóka, M.; Rudas, G.; Végh, A.; Temmar, M.; et al. Distance measurement for pulse wave velocity estimation in pediatric age: Comparison with intra-arterial path length. Atherosclerosis 2020, 303, 15–20. [Google Scholar] [CrossRef]
- Thurn, D.; Doyon, A.; Sözeri, B.; Bayazit, A.K.; Canpolat, N.; Düzova, A.; Querfeld, U.; Schmidt, B.M.; Schaefer, F.; Wühl, E.; et al. Aortic Pulse Wave Velocity in Healthy Children and Adolescents: Reference Values for the Vicorder Device and Modifying Factors. Am. J. Hypertens. 2015, 28, 1480–1488. [Google Scholar] [CrossRef] [Green Version]
- Reusz, G.S.; Cseprekal, O.; Temmar, M.; Kis, E.; Cherif, A.B.; Thaleb, A.; Fekete, A.; Szabó, A.J.; Benetos, A.; Salvi, P. Reference Values of Pulse Wave Velocity in Healthy Children and Teenagers. Hypertension 2010, 56, 217–224. [Google Scholar] [CrossRef] [Green Version]
- Voges, I.; Jerosch-Herold, M.; Hedderich, J.; Pardun, E.; Hart, C.; Gabbert, D.D.; Hansen, J.H.; Petko, C.; Kramer, H.-H.; Rickers, C. Normal values of aortic dimensions, distensibility, and pulse wave velocity in children and young adults: A cross-sectional study. J. Cardiovasc. Magn. Reson. 2012, 14, 77. [Google Scholar] [CrossRef] [Green Version]
- Nitta, K.; Akiba, T.; Uchida, K.; Otsubo, S.; Otsubo, Y.; Takei, T.; Ogawa, T.; Yumura, W.; Kabaya, T.; Nihei, H. Left ventricular hypertrophy is associated with arterial stiffness and vascular calcification in hemodialysis patients. Hypertens. Res. 2004, 27, 47–52. [Google Scholar] [CrossRef] [PubMed] [Green Version]
- Flynn, J.T.; Kaelber, D.C.; Baker-Smith, C.M.; Blowey, D.; Carroll, A.E.; Daniels, S.R.; De Ferranti, S.D.; Dionne, J.M.; Falkner, B.; Flinn, S.K.; et al. Clinical Practice Guideline for Screening and Management of High Blood Pressure in Children and Adolescents. Pediatrics 2017, 140, e20171904. [Google Scholar] [CrossRef] [PubMed] [Green Version]
- Tsamis, A.; Krawiec, J.T.; Vorp, D.A. Elastin and collagen fibre microstructure of the human aorta in ageing and disease: A review. J. R. Soc. Interface 2013, 10, 20121004. [Google Scholar] [CrossRef] [PubMed]
- Sinha, M.D.; Keehn, L.; Milne, L.; Sofocleous, P.; Chowienczyk, P.J. Decreased Arterial Elasticity in Children with Nondialysis Chronic Kidney Disease Is Related to Blood Pressure and Not to Glomerular Filtration Rate. Hypertension 2015, 66, 809–815. [Google Scholar] [CrossRef] [PubMed] [Green Version]
- Guerin, A.P.; Blacher, J.; Pannier, B.; Marchais, S.J.; Safar, M.E.; London, G.M. Impact of Aortic Stiffness Attenuation on Survival of Patients in End-Stage Renal Failure. Circulation 2001, 103, 987–992. [Google Scholar] [CrossRef] [PubMed] [Green Version]
- Mourad, J.J.; Pannier, B.; Blacher, J.; Rudnichi, A.; Benetos, A.; London, G.M.; Safar, M.E. Creatinine clearance, pulse wave velocity, carotid compliance, and essential hypertension. Kidney Int. 2001, 59, 1834–1841. [Google Scholar] [CrossRef] [Green Version]








| Parameter | Total Group (n = 42) | Without LVH | LVH Group | |
|---|---|---|---|---|
| n = 10 | Vascular Stiffness Absent (n = 17) | Vascular Stiffness Present (n = 15) | ||
| Gender: n = female, male (%female) ** | 25,17 (59.5) | 4,6 (40) | 13,14 (48.15) | 12,3 (80) |
| Age (years) | 14 [11.9; 17] | 14.1 [12.75;15.5] | 14.2 [11; 17] | 13.5 [11; 17] |
| Type of renal replacement therapy (RRT) | ||||
| HD -n (%) | 39 (92.9) | 9 (90) | 15 (88.2) | 15 (100) |
| PD -n (%) | 3 (7.1) | 1 (10) | 2 (11.76) | 0 (0) |
| AHT (stage) ** | ||||
| Arterial hypertension stage I-n (%) | 18 (42.9) | 5 (50) | 9 (52.9) | 4(21.7) |
| Arterial hypertension stage II -n (%) | 14 (33.3) | 0 | 3 (17.65) | 11(73.3) |
| Absent (%) | 10 (23.8) | 5 (50) | 5 (29.4) | 0 |
| Controlled BP-n (%) ** | 30 (71.43) | 10 (100) | 14 (82.35) | 6 (40) |
| T0(QRS—AoV) (msec) | 70 [63.9;80.1] | 65.7 [63.75;72] | 74.47 [60;92] | 72 [64;80] |
| T1(QRS—AscAo) (msec) | 75 [67;84] | 70.8 [69.75;75.25] | 80.18 [66;97.5] | 76.6 [67;84] |
| T2(QRS –DescAo) (msec) | 109 [98.9;117.1] | 107.3 [104.3;115] | 118.8 [101;136] | 104 [92;113] |
| PWV—AscAo (m/sec) ** | 4 [3.3;4] | 3.65 [3.3;4] | 3.44 [3.3; 4] | 4.53 [4; 6.92] |
| 95th percentile— PWV Asc Aorta -n (%) | 7 (16.7) | 0 | 0 | 7 (46.67) |
| PWV—DescAo (m/sec) *** | 4.05 [3.61;4.75] | 3.795 [3.58;4.39] | 3.73 [3.46;4.015] | 5.279 [4.64;5.83] |
| 95th percentile—PWV DescAo -n (%) | 13 (31) | 0 | 0 | 13 (86.67) |
| LVH grade | ||||
| normal | 16 (38.1) | 0 | 15(88.24) | 1 (6.67) |
| Mild -n (%) | 13 (31) | 0 | 9 (52.94) | 4 (26.67) |
| Moderate -n (%) | 3 (7.14) | 0 | 1 (5.882) | 2 (13.33) |
| Severe -n (%) | 10 (23.8) | 0 | 2 (11.765) | 8 (53.33) |
| LVH type ** | ||||
| Concentric remodeling-n (%) | 6 (14.29) | 0 | 5 (29.41) | 1 (6.67) |
| Eccentric LVH-n (%) | 9 (21.43) | 0 | 6 (35.29) | 3 (20) |
| Concentric LVH -n (%) | 17 (40.48) | 0 | 6 (35.29) | 11 (73.33) |
| Patient Characteristics | Without LVH | Concentric Remodeling | Concentric LVH | Eccentric LVH |
|---|---|---|---|---|
| N, total = 42 | 10 (23.8%) | 6 (14.29%) | 17 (40.48%) | 9 (21.43%) |
| Gender (N), M/F | 6/4 | 3/3 | 6/11 | 5/4 |
| Age (years) | 14.10 ± 2.025 (12.75–15.50) | 14.17 ± 2.137 (12.75–15.75) | 13.47 ± 3.281 (10.5–17) | 15.25 ± 3.151 (12.25–18) |
| E (cm/s) (Peak velocity of early diastolic transmitral flow) | 104.9 ± 11.11 (95–113.3) | 106.3 ± 12.96 (95–120.5) | 105.8 ± 28.84 (87.5–115.5) | 97.63 ± 10.11 (88.75–104.5) |
| E’ cm/s (Peak velocity of early diastolic mitral annular motion as determined by pulsed wave Doppler) | 16.06 ± 1.757 (15.08–17) | 16.32 ± 1.07 (15.08–17) | 13.68 ± 3.121 (11.3–16.6) | 13.83 ± 3.844 (9.475–17) |
| E/E’ (Ratio of E to E’) | 6.663 ± 1.389 (5.6–7.993) | 6.585 ± 1.23 (5.6–7.993) | 8.098 ± 3.046 (5.75–8.89) | 7.844 ± 2.746 (5.735–11.16) |
| Isovolumic relaxation time (IRVT)msec | 63.6 ± 15.71 (44.5–77) | 64.17 ± 16.5 (44.5–80) | 69.71 ± 15.77 (58.5–76.5) | 67.88 ± 8.408 (60.75–74) |
| IVCT msec Isovolumic (isovolumetric) contraction time | 53.6 ± 10.51 (50–57) | 50.5 ± 9.138 (46.25–57) | 75.12 ± 17.6 (57–88) | 65.25 ± 14.34 (50.5–81.5) |
| LV(lateral)Sm cm/s Sm: systolic myocardial velocity. | 10.17 ± 1.338 (9.150–12) | 10.28 ± 1.372 (9.15–12) | 10.17 ± 3.034 (7.975–11.25) | 10.15 ± 1.425 (9.350–11.38) |
| MAPSE LAT (mm) Mitral annular plane systolic excursion (M-mode) | 13.55 ± 1.165 (13–15) | 13.42 ± 1.357 (12.63–15) | 13.18 ± 2.351 (11–15.50) | 13.16 ± 1.845 (11.78–13.9) |
| IVS (mm) interventricular sept | 8.5 ± 1.202 (7.5–10) | 8.667 ± 1.291 (8–10) | 11.92 ± 1.9 (10.5–13.5) | 10.25 ± 1.75 (9–10.88) |
| PW (mm) Posterior wall | 7.7 ± 0.856 (7.5–8.25) | 7.583 ± 0.97 (7.125–8.250) | 11.39 ± 2.4 (9.85–12.75) | 9.438 ± 1.613 (8.625–9.875) |
| Systolic blood pressure (SBP) | 122 (115–132.5) | 122.5 ± 9.354 (115–128.8) | 137.1 ± 25.31 (117.5–160) | 128.8 ± 22.8 (120–130) |
| Diastolic blood pressure (DBP) | 77.5 (63.75–90) | 75 ± 10.95 (63.75–82.5) | 84.12 ± 20.71 (70–100) | 79.75 ± 9.8 (74.75–80) |
| Left ventricle (LV) g/m2 | 87.6 ± 12.53 (76.75–95.75) | 87.67 ± 14.15 (75.25–99) | 150 ± 56.4 (111.5–166) | 128.1 ± 44.92 (97.25–133.5) |
| LV (Diameter)-(mm) | 42.1 ± 5.131 (41.5–44.5) | 40.5 ± 5.857 (37.25–44) | 42.21 ± 7 (36–48) | 47.63 ± 3.335 (44.5–50.75) |
| LV(D) (mm) Z SCORE | 0.049 ± 0.49 (−0.08–0.38) | -0.10 ± 0.6 (−0.615–0.29) | −0.07 ± 1.334 (−0.915–0.96) | 0.97 ± 0.58 (0.34–1.528) |
| LV mass index g/m2 | 87.6 ± 12.53 (76.75–95.75) | 87.67 ± 14.15 (75.25–99) | 150 ± 56.41 (111.5–166) | 128 ± 44.92 (97.25–133.5) |
| LVEF, % (left ventricular ejection fraction) | 62 ± 4.216 (60–62.5) | 63.33 ± 5.164 (60–70) | 58.82 ± 10.08 (55–65) | 57.88 ± 6.896 (51.25–65) |
| Parameters | Group without LVH | Group with LVH and Vascular Stiffness | Group with LVH without Vascular Stiffness | |||
|---|---|---|---|---|---|---|
| number patients, [%] | 10, [23.8] | 15 [35.71] | 17 [40.48] | |||
| PWV | PWV AscAo (m/s) | PWV DescAo (m/s) | PWV AscAo (m/s) | PWV DescAo (m/s) | PWV AscAo (m/s) | PWV DescAo (m/s) |
| Age | 0.1 | 0.3 | 0.9 | <0.0001 | 0.9619 | 0.5 |
| Height | 0.125 | 0.23 | 0.223 | <0.05 | 0.06 | 0.6245 |
| Weight | 0.2 | 0.06 | 0.456 | 0.5 | 0.65 | 0.876 |
| SBP | 0.3 | 0.45 | 0.5 | 0.05 | 0.5 | 0.9 |
| DBP | 0.9140 | 0.1795 | 0.1 | <0.0001 | 0.17 | 0.22 |
| Type of RRT | 0.45 | 0.125 | p > 0.1 | <0.0001 | 0.07 | 0.17 |
| Period of dialysis | 0.3 | 0.057 | 0.15 | 0.17 | 0.3 | 0.635 |
Publisher’s Note: MDPI stays neutral with regard to jurisdictional claims in published maps and institutional affiliations. |
© 2021 by the authors. Licensee MDPI, Basel, Switzerland. This article is an open access article distributed under the terms and conditions of the Creative Commons Attribution (CC BY) license (https://creativecommons.org/licenses/by/4.0/).
Share and Cite
Filip, C.; Cirstoveanu, C.; Bizubac, M.; Berghea, E.C.; Căpitănescu, A.; Bălgrădean, M.; Pavelescu, C.; Nicolescu, A.; Ionescu, M.D. Pulse Wave Velocity as a Marker of Vascular Dysfunction and Its Correlation with Cardiac Disease in Children with End-Stage Renal Disease (ESRD). Diagnostics 2022, 12, 71. https://doi.org/10.3390/diagnostics12010071
Filip C, Cirstoveanu C, Bizubac M, Berghea EC, Căpitănescu A, Bălgrădean M, Pavelescu C, Nicolescu A, Ionescu MD. Pulse Wave Velocity as a Marker of Vascular Dysfunction and Its Correlation with Cardiac Disease in Children with End-Stage Renal Disease (ESRD). Diagnostics. 2022; 12(1):71. https://doi.org/10.3390/diagnostics12010071
Chicago/Turabian StyleFilip, Cristina, Cătălin Cirstoveanu, Mihaela Bizubac, Elena Camelia Berghea, Andrei Căpitănescu, Mihaela Bălgrădean, Carmen Pavelescu, Alin Nicolescu, and Marcela Daniela Ionescu. 2022. "Pulse Wave Velocity as a Marker of Vascular Dysfunction and Its Correlation with Cardiac Disease in Children with End-Stage Renal Disease (ESRD)" Diagnostics 12, no. 1: 71. https://doi.org/10.3390/diagnostics12010071
APA StyleFilip, C., Cirstoveanu, C., Bizubac, M., Berghea, E. C., Căpitănescu, A., Bălgrădean, M., Pavelescu, C., Nicolescu, A., & Ionescu, M. D. (2022). Pulse Wave Velocity as a Marker of Vascular Dysfunction and Its Correlation with Cardiac Disease in Children with End-Stage Renal Disease (ESRD). Diagnostics, 12(1), 71. https://doi.org/10.3390/diagnostics12010071

