Percutaneous CT-Guided Biopsy of the Craniovertebral Junction: Safety, Diagnostic Yield, and Technical Notes
Abstract
:1. Introduction
2. Materials and Methods
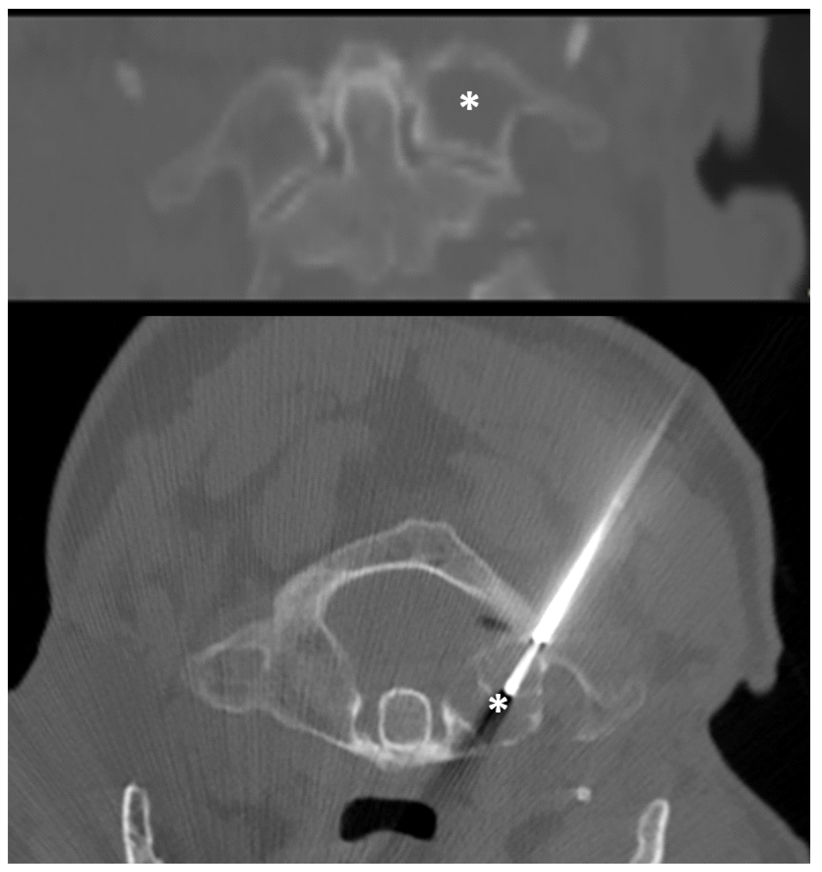
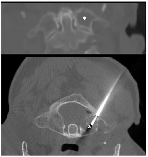
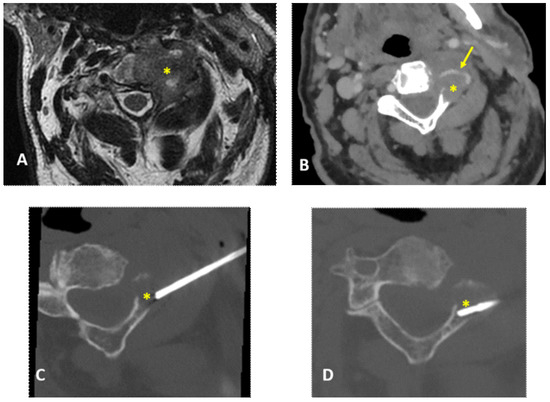
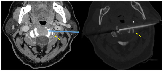
2.1. Procedure Techniques
2.2. Outcome Assessment
3. Results
3.1. CT-Guided Biopsy Outcomes
3.2. CT-Guided Technical Data
4. Discussion
Limitations of the Study
5. Conclusions
Author Contributions
Funding
Institutional Review Board Statement
Informed Consent Statement
Data Availability Statement
Acknowledgments
Conflicts of Interest
References
- Rimondi, E.; Rossi, G.; Bartalena, T.; Ciminari, R.; Alberghini, M.; Ruggieri, P.; Errani, C.; Angelini, A.; Calabrò, T.; Abati, C.N.; et al. Percutaneous CT-guided biopsy of the musculoskeletal system: Results of 2027 cases. Eur. J. Radiol. 2011, 77, 34–42. [Google Scholar] [CrossRef] [PubMed]
- Michalopoulos, G.D.; Yolcu, Y.U.; Ghaith, A.K.; Alvi, M.A.; Carr, C.M.; Bydon, M. Diagnostic yield, accuracy, and complication rate of CT-guided biopsy for spinal lesions: A systematic review and meta-analysis. J. NeuroInterv. Surg. 2021, 13, 841–847. [Google Scholar] [CrossRef] [PubMed]
- Spinnato, P.; Bazzocchi, A.; Facchini, G.; Filonzi, G.; Nanni, C.; Rambaldi, I.; Rimondi, E.; Fanti, S.; Albisinni, U. Vertebral Fractures of Unknown Origin: Role of Computed Tomography-Guided Biopsy. Int. J. Spine Surg. 2018, 12, 673–679. [Google Scholar] [CrossRef] [PubMed]
- Saifuddin, A.; Palloni, V.; du Preez, H.; Junaid, S.E. Review article: The current status of CT-guided needle biopsy of the spine. Skelet. Radiol. 2021, 50, 281–299. [Google Scholar] [CrossRef]
- Liang, Y.; Liu, P.; Jiang, L.-B.; Wang, H.-L.; Hu, A.-N.; Zhou, X.-G.; Li, X.-L.; Lin, H.; Wu, D.; Dong, J. Value of CT-guided Core Needle Biopsy in Diagnosing Spinal Lesions: A Comparison Study. Orthop. Surg. 2019, 11, 60–65. [Google Scholar] [CrossRef]
- Lopez, A.J.; Scheer, J.K.; Leibl, K.E.; Smith, Z.A.; Dlouhy, B.; Dahdaleh, N.S. Anatomy and biomechanics of the craniovertebral junction. Neurosurg. Focus 2015, 38, E2. [Google Scholar] [CrossRef] [Green Version]
- Spinnato, P.; Zarantonello, P.; Guerri, S.; Barakat, M.; Carpenzano, M.; Vara, G.; Bartoloni, A.; Gasbarrini, A.; Molinari, M.; Tedesco, G. Atlantoaxial rotatory subluxation/fixation and Grisel’s syndrome in children: Clinical and radiological prognostic factors. Eur. J. Pediatr. 2021, 180, 441–447. [Google Scholar] [CrossRef]
- Rimondi, E.; Staals, E.L.; Errani, C.; Bianchi, G.; Casadei, R.; Alberghini, M.; Malaguti, M.C.; Rossi, G.; Durante, S.; Mercuri, M. Percutaneous CT-guided biopsy of the spine: Results of 430 biopsies. Eur. Spine J. 2008, 17, 975–981. [Google Scholar] [CrossRef] [Green Version]
- Wiesner, E.; Hillen, T.; Long, J.; Jennings, J. Percutaneous CT-Guided Biopsies of the Cervical Spine: Technique, Histopathologic and Microbiologic Yield, and Safety at a Single Academic Institution. Am. J. Neuroradiol. 2018, 39, 981–985. [Google Scholar] [CrossRef]
- Tomasian, A.; Hillen, T.; Jennings, J. Percutaneous CT-Guided Skull Biopsy: Feasibility, Safety, and Diagnostic Yield. Am. J. Neuroradiol. 2019, 40, 309–312. [Google Scholar] [CrossRef] [Green Version]
- Ahmed, M.; Solbiati, L.; Brace, C.; Breen, D.J.; Callstrom, M.R.; Charboneau, J.W.; Chen, M.-H.; Choi, B.I.; de Baère, T.; Dodd, G.D.; et al. Image-Guided Tumor Ablation: Standardization of Terminology and Reporting Criteria—A 10-Year Update. J. Vasc. Interv. Radiol. 2014, 25, 1691–1705.e4. [Google Scholar] [CrossRef] [PubMed]
- D’Ortenzio, R.M.; Tolhurst, S.; Harvey, M.; Ghag, R.; Heran, M.K. The CT guided transoral approach: A biopsy technique for a poorly differentiated chordoma in a 5 year old. J. Radiol. Case Rep. 2021, 15, 1–8. [Google Scholar] [CrossRef]
- Singh, D.K.; Kumar, N.; Nayak, B.K.; Jaiswal, B.; Tomar, S.; Mittal, M.K.; Bajaj, S.K. Approach-based techniques of CT-guided percutaneous vertebral biopsy. Diagn. Interv. Radiol. 2020, 26, 143–146. [Google Scholar] [CrossRef]
- Reddy, A.S.; Dinobile, D.; Orgeta, E.J.; Peri, N. Transoral approach to CT-guided C2 interventions. Pain Physician 2009, 12, 253–258. [Google Scholar]
- Reddy, A.S.; Hochman, M.; Loh, S.; Rachlin, J.; Li, J.; Hirsch, A.J. CT guided direct transoral approach to C2 for percutaneous vertebroplasty. Pain Physician 2005, 8, 235–238. [Google Scholar]
- Russo, R.; Morana, G.; Mistretta, F.; Gambino, A.; Garbossa, D.; Bergui, M. Trans-oral approach for occipital condyle biopsy: Case report and review of literature. Neuroradiol. J. 2021, 2021, 19714009211044705. [Google Scholar] [CrossRef]
- O’Sullivan, M.D.; Lyons, F.; Morris, S.; Synnott, K.; Munigangaiah, S.; Devitt, A. Metastasis Affecting Craniocervical Junction: Current Concepts and an Update on Surgical Management. Glob. Spine J. 2018, 8, 866–871. [Google Scholar] [CrossRef] [Green Version]
- Moulding, H.D.; Bilsky, M.H. Metastases to the Craniovertebral Junction. Neurosurgery 2010, 66 (Suppl. 3), A113–A118. [Google Scholar] [CrossRef] [PubMed]
- Bilsky, M.H.; Shannon, F.J.; Sheppard, S.; Prabhu, V.; Boland, P.J. Diagnosis and Management of a Metastatic Tumor in the Atlantoaxial Spine. Spine 2002, 27, 1062–1069. [Google Scholar] [CrossRef] [PubMed]
- Spinnato, P.; Filonzi, G.; Conficoni, A.; Facchini, G.; Ponti, F.; Sambri, A.; De Paolis, M.; Cavo, M.; Salizzoni, E.; Nanni, C. Skeletal Survey in Multiple Myeloma: Role of Imaging. Curr. Med. Imaging 2021, 17, 956–965. [Google Scholar] [CrossRef] [PubMed]
- Arunkumar, M.J.; Rajshekhar, V. Outcome in neurologically impaired patients with craniovertebral junction tuberculosis: Results of combined anteroposterior surgery. J. Neurosurg. Spine 2002, 97 (Suppl. 2), 166–171. [Google Scholar] [CrossRef] [Green Version]
- Kotil, K.; Dalbayrak, S.; Alan, S. Craniovertebral junction Pott’s disease. Br. J. Neurosurg. 2004, 18, 49–55. [Google Scholar] [CrossRef]
- Shukla, D.; Mongia, S.; Devi, B.I.; Chandramouli, B.; Das, B.S. Management of craniovertebral junction tuberculosis. Surg. Neurol. 2005, 63, 101–106. [Google Scholar] [CrossRef] [PubMed]
- Visocchi, M.; Signorelli, F.; Parrilla, C.; Paludetti, G.; Rigante, M. Multidisciplinary approach to the craniovertebral junction. Historical insights, current and future perspectives in the neurosurgical and otorhinolaryngological alliance. Acta Otorhinolaryngol. Ital. 2021, 41 (Suppl. 1), S51–S58. [Google Scholar] [CrossRef] [PubMed]
- Gul, S.B.; Polat, A.V.; Bekci, T.; Selcuk, M.B. Accuracy of percutaneous CT-guided spine biopsy and determinants of biopsy success. J. Belg. Soc. Radiol. 2016, 100, 62. [Google Scholar] [CrossRef] [PubMed] [Green Version]




| Patient n° | Age, Sex | Lesion Location | Radiologic Feature | Needle Gauge | Intravenous Contrast Media Injection | Biopsy Approach | Histological Diagnosis on Biopsy Specimen |
|---|---|---|---|---|---|---|---|
| 1 | 18, M | C2 | Osteolytic | 14 | No | Posterior | Aneurismal bone cyst |
| 2 | 71, M | C2 | Osteolytic | 14 | No | Posterior | Multiple myeloma |
| 3 | 49, M | C1 | Osteolytic | 14 | No | Posterior | Aggressive hemangioma |
| 4 | 64, F | C2 | Osteolytic | 14 | Yes | Lateral | Multiple myeloma |
| 5 | 64, F | C1 | Osteolytic | 14 | No | Posterior | Metastasis (breast cancer) |
| 6 | 40, F | C2 | Osteolytic | 14 | No | Posterior | Metastasis (breast cancer) |
| 7 | 39, M | C1 | Osteolytic | 14 | No | Posterior | Multiple myeloma |
| 8 | 16, M | C2 | Osteolytic | 14 | No | Posterior | Aneurismal bone cyst |
| 9 | 79, M | C2 | Osteolytic | 14 | Yes | Lateral | Non-diagnostic |
| 10 | 23, M | C1 | Osteolytic | 14 | No | Posterior | Blood and fibrin (non-diagnostic) |
| 11 | 73, M | C1 | Mixed | 14 | No | Posterior | Metastasis (prostate cancer) |
| 12 | 52, F | C0 and C1 | Osteolytic | 14 | Yes | Posterior | Multiple myeloma |
| 13 | 28, F | C1 | Osteolytic | 14 | No | Posterior | Aneurismal bone cyst |
| 14 | 72, F | C1 and C2 | Sclerotic | 12 | No | Posterior | Pseudogout |
| 15 | 51, F | C1 and C2 | Osteolytic | 14 | Yes | Posterior | Rare giant cells (non-diagnostic) |
| 16 | 86, F | C0 | Osteolytic | 12 | No | Posterior | Metastasis (breast cancer) |
Publisher’s Note: MDPI stays neutral with regard to jurisdictional claims in published maps and institutional affiliations. |
© 2022 by the authors. Licensee MDPI, Basel, Switzerland. This article is an open access article distributed under the terms and conditions of the Creative Commons Attribution (CC BY) license (https://creativecommons.org/licenses/by/4.0/).
Share and Cite
Spinnato, P.; Rimondi, E.; Facchini, G. Percutaneous CT-Guided Biopsy of the Craniovertebral Junction: Safety, Diagnostic Yield, and Technical Notes. Diagnostics 2022, 12, 168. https://doi.org/10.3390/diagnostics12010168
Spinnato P, Rimondi E, Facchini G. Percutaneous CT-Guided Biopsy of the Craniovertebral Junction: Safety, Diagnostic Yield, and Technical Notes. Diagnostics. 2022; 12(1):168. https://doi.org/10.3390/diagnostics12010168
Chicago/Turabian StyleSpinnato, Paolo, Eugenio Rimondi, and Giancarlo Facchini. 2022. "Percutaneous CT-Guided Biopsy of the Craniovertebral Junction: Safety, Diagnostic Yield, and Technical Notes" Diagnostics 12, no. 1: 168. https://doi.org/10.3390/diagnostics12010168
APA StyleSpinnato, P., Rimondi, E., & Facchini, G. (2022). Percutaneous CT-Guided Biopsy of the Craniovertebral Junction: Safety, Diagnostic Yield, and Technical Notes. Diagnostics, 12(1), 168. https://doi.org/10.3390/diagnostics12010168

