Imaging Challenges in the Diagnosis of Anatomical Variations of the Supra-Aortic Vessels: A Case Report and Review of Literature
Abstract
:1. Introduction
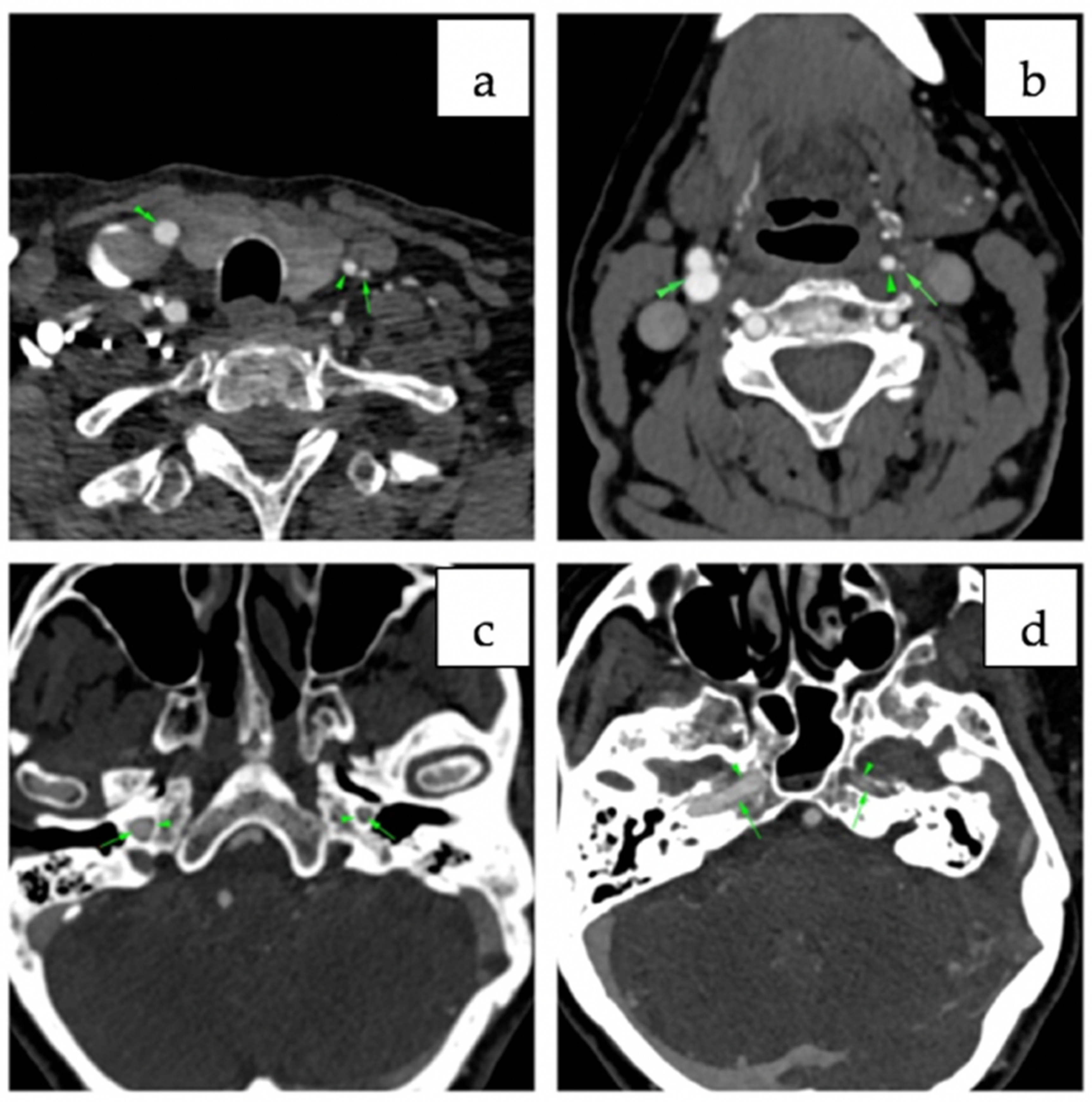
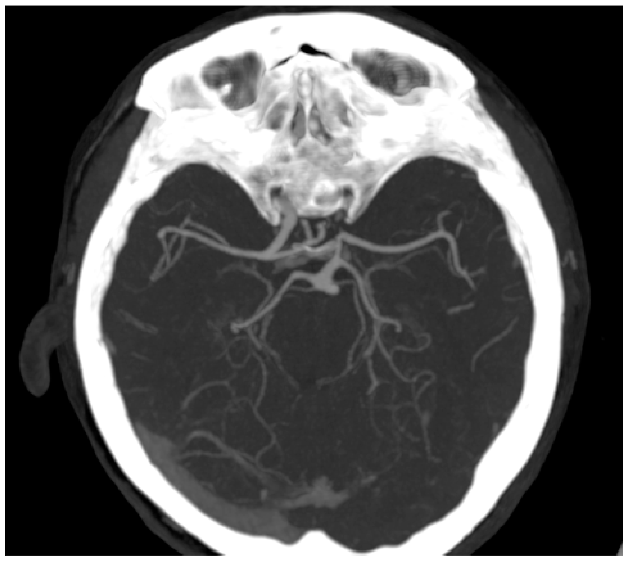
2. Case Report
3. Discussion
4. Conclusions
Author Contributions
Funding
Institutional Review Board Statement
Informed Consent Statement
Conflicts of Interest
References
- Kaya, O.; Yilmaz, C.; Gulek, B.; Soker, G.; Cikman, G.; Inan, I.; Demirduzen, S. An important clue in the sonographic diagnosis of internal carotid artery agenesis: Ipsilateral common carotid artery hypoplasia. Case Rep. Radiol. 2014, 2014, 516456. [Google Scholar] [CrossRef] [PubMed]
- Busch, K.; Chandra, R.; Buckenham, T.; Kiat, H. Detection of Anomalous Cervical Internal Carotid Artery Branches by Colour Duplex Ultrasound. Eur. J. Vasc. Endovasc. Surg. 2017, 53, 776–782. [Google Scholar] [CrossRef] [PubMed] [Green Version]
- Hou, D.; Mei, Y.; Ji, Y.; Wu, H.; Zhang, H.; Sun, Z.; Li, W.; Li, B.; Ren, C.; Guan, L.; et al. Congenital internal carotid artery hypoplasia: Case report. Medicine 2019, 98, e13986. [Google Scholar] [CrossRef] [PubMed]
- Miłoński, J.; Kuśmierczyk, K.; Mielczarek, M.; Niewiadomski, P.; Olszewski, J. Anatomical anomalies of the vertebral and carotid arteries in patients with vertigo and hearing disorders. Otolaryngol. Pol. 2013, 67, 77–81. (In Polish) [Google Scholar] [CrossRef] [PubMed]
- Endean, E.D. Embryology and developmental anatomy. Rutherford’s Vasc. Surg. EndoTher. 2019, 2, 13–29.e1. [Google Scholar]
- Paşaoğlu, L.; Toprak, U.; Akdal, B.; Yagiz, G.; Acar, D.; Gurel, F. Unilateral hypoplasia of the internal carotid artery. Int. J. Med. Pharm. Case Rep. 2015, 3, 132–137. [Google Scholar] [CrossRef]
- Siddiqui, A.A.; Sobani, Z.A. Bilateral hypoplasia of the internal carotid artery, presenting as a subarachnoid hemorrhage secondary to intracranial aneurysmal formation: A case report. J. Med. Case Rep. 2012, 6, 45. [Google Scholar] [CrossRef] [PubMed] [Green Version]
- Nicoletti, G.; Sanguigni, S.; Bruno, F.; Tardi, S.; Malferrari, G. Hypoplasia of the internal carotid artery: Collateral circulation and ultrasonographic findings. A case report. J. Ultrasound. 2009, 12, 41–44. [Google Scholar] [CrossRef] [PubMed] [Green Version]
- Ide, C.; De Coene, B.; Mailleux, P.; Baudrez, V.; Ossemann, M.; Trigaux, J.P. Hypoplasia of the internal carotid artery: A noninvasive diagnosis. Eur. Radiol. 2000, 10, 1865–1870. [Google Scholar] [CrossRef] [PubMed]
- Abtahi, A.M.; Brodke, D.S.; Lawrence, B.D. Vertebral artery anomalies at the craniovertebral junction: A case report and review of the literature. Evid. Based Spine Care J. 2014, 5, 121–125. [Google Scholar] [CrossRef] [PubMed] [Green Version]
- Kim, C.; Sohn, J.H.; Choi, H.C. Are the anomalous vertebral arteries more hypoplastic: Retrospective linear mixed model approach. BMC Neurol. 2017, 17, 168. [Google Scholar] [CrossRef] [PubMed] [Green Version]
- Einstein, E.H.; Song, L.H.; Villela, N.L.; Fasani-Feldberg, G.B.; Jacobs, J.L.; Kim, D.O.; Nathawat, A.; Patel, D.; Bender, R.B.; Peters, D.F. Anomalous Origin of the Left Vertebral Artery from the Aortic Arch. Aorta 2016, 4, 64–67. [Google Scholar] [CrossRef] [PubMed] [Green Version]
- Beyaz, P.; Khan, N.; Baltsavias, G. Republished: Multiple anomalies in the origin and course of vertebral arteries and aberrant right subclavian artery in a child with moyamoya syndrome. J. NeuroInterv. Surg. 2018, 10, e14. [Google Scholar] [CrossRef] [PubMed]
- Kansal, R.; Mahore, A.; Dange, N.; Kukreja, S. Dolichoectasia of vertebrobasilar arteries as a cause of hydrocephalus. J. Neurosci. Rural Pract. 2011, 2, 62–64. [Google Scholar] [CrossRef] [PubMed]
- Mahmodlou, R.; Sepehrvand, N.; Hatami, S. Aberrant Right Subclavian Artery: A Life-threatening Anomaly that should be considered during Esophagectomy. J. Surg. Tech. Case Rep. 2014, 6, 61–63. [Google Scholar] [CrossRef] [PubMed] [Green Version]



Publisher’s Note: MDPI stays neutral with regard to jurisdictional claims in published maps and institutional affiliations. |
© 2022 by the authors. Licensee MDPI, Basel, Switzerland. This article is an open access article distributed under the terms and conditions of the Creative Commons Attribution (CC BY) license (https://creativecommons.org/licenses/by/4.0/).
Share and Cite
Dădârlat-Pop, A.; Molnar, A.; Oprea, A.; Tomoaia, R.; Boros, B.; Literat, S.; Serban, A.; Manole, S. Imaging Challenges in the Diagnosis of Anatomical Variations of the Supra-Aortic Vessels: A Case Report and Review of Literature. Diagnostics 2022, 12, 169. https://doi.org/10.3390/diagnostics12010169
Dădârlat-Pop A, Molnar A, Oprea A, Tomoaia R, Boros B, Literat S, Serban A, Manole S. Imaging Challenges in the Diagnosis of Anatomical Variations of the Supra-Aortic Vessels: A Case Report and Review of Literature. Diagnostics. 2022; 12(1):169. https://doi.org/10.3390/diagnostics12010169
Chicago/Turabian StyleDădârlat-Pop, Alexandra, Adrian Molnar, Alexandru Oprea, Raluca Tomoaia, Bianca Boros, Sorin Literat, Adela Serban, and Simona Manole. 2022. "Imaging Challenges in the Diagnosis of Anatomical Variations of the Supra-Aortic Vessels: A Case Report and Review of Literature" Diagnostics 12, no. 1: 169. https://doi.org/10.3390/diagnostics12010169
APA StyleDădârlat-Pop, A., Molnar, A., Oprea, A., Tomoaia, R., Boros, B., Literat, S., Serban, A., & Manole, S. (2022). Imaging Challenges in the Diagnosis of Anatomical Variations of the Supra-Aortic Vessels: A Case Report and Review of Literature. Diagnostics, 12(1), 169. https://doi.org/10.3390/diagnostics12010169

