MALT Lymphoma of the Tongue in a Patient with Sjögren’s Syndrome: A Case Report and Literature Review
Abstract
:1. Introduction
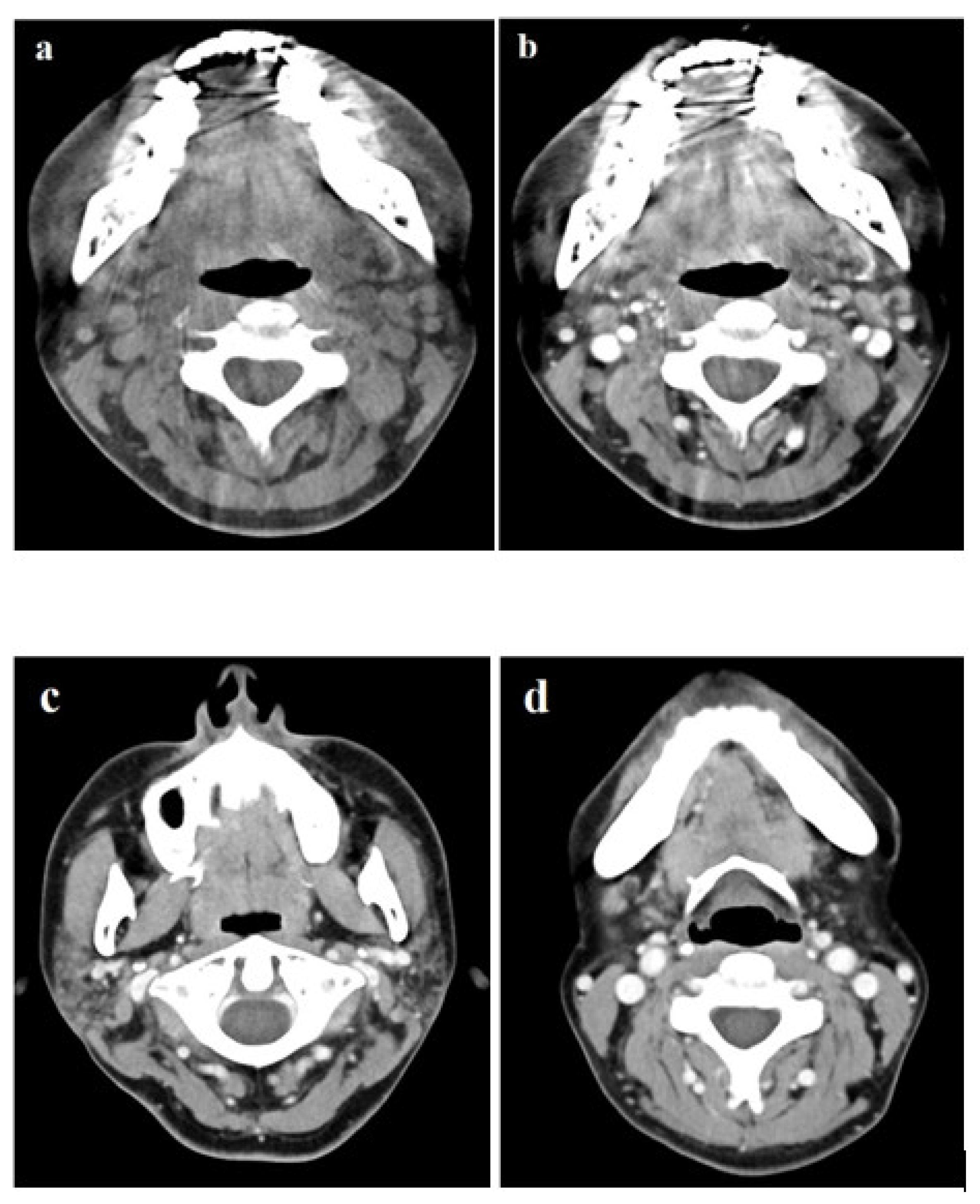
2. Case Report
3. Discussion
Author Contributions
Funding
Institutional Review Board Statement
Informed Consent Statement
Data Availability Statement
Acknowledgments
Conflicts of Interest
References
- Lichtenfeld, J.L.; Kirschner, R.H.; Wiernik, P.H. Familial Sjögren’s syndrome with associated primary salivary gland lymphoma. Am. J. Med. 1976, 60, 286–292. [Google Scholar] [CrossRef]
- Fragkioudaki, S.; Mavragani, C.P.; Moutsopoulos, H.M. Predicting the risk for lymphoma development in Sjogren syndrome: An easy tool for clinical use. Medicine 2016, 95, e3766. [Google Scholar] [CrossRef] [PubMed]
- Voulgarelis, M.; Dafni, U.G.; Isenberg, D.A.; Moutsopoulos, H.M. Malignant lymphoma in primary Sjögren’s syndrome: A multicenter, retrospective, clinical study by the European Concerted Action on Sjögren’s syndrome. Arthritis Rheum. 1999, 42, 1765–1772. [Google Scholar] [CrossRef]
- Voulgarelis, M.; Ziakas, P.D.; Papageorgiou, A.; Baimpa, E.; Tzioufas, A.G.; Moutsopoulos, H.M. Prognosis and outcome of non-Hodgkin lymphoma in primary Sjögren syndrome. Medicine 2012, 91, 1–9. [Google Scholar] [CrossRef] [PubMed]
- Isaacson, P.G.; Wright, D.H. Malignant lymphoma of mucosa-associated lymphoid tissue.A distinctive type of B-cell lymphoma. Cancer 1983, 52, 1410–1416. [Google Scholar] [CrossRef]
- Goteri, G.; Ascani, G.; Filosa, A.; Rubini, C.; Olay, S.; Balercia, P. Primary malt lymphoma of the tongue. Med. Oral Patol. Oral Cir. Bucal. 2004, 9, 459–463. [Google Scholar]
- Economopoulos, T.; Fountzilas, G.; Kostourou, A.; Daniilidis, J.; Pavlidis, N.; Andreopoulou, H.; Nicolaou, A.; Papageorgiou, E.; Mellou, S.; Dervenoulas, J.; et al. Primary extranodal non Hodgkin’s lymphoma of the head and neck in adults: A clinicopathological comparison between tonsillar and non tonsillar lymphomas. (Hellenic co-Operative Oncology Group). Anticancer Res. 1998, 18, 4655–4660. [Google Scholar] [PubMed]
- Moutsopoulos, H.M. Harrison’s Principles of Internal Medicine [Online]; McGraw-Hill: New York, NY, USA, 2018; Available online: https://accessmedicine.mhmedical.com/content.aspx?bookid=2129§ionid=192285278 (accessed on 8 August 2021).
- Song, J.H.; Sun, D.I.; Hong, Y.S.; Park, G.S.; Kim, Y.S. MALT lymphoma at the base of tongue of a29-year-old woman treated with radiation therapy alone. J. Cancer Res. Ther. 2014, 10, 407–409. [Google Scholar]
- Ferry, J.A.; Yang, W.I.; Zukerberg, L.R.; Wotherspoon, A.C.; Arnold, A.; Harris, N.L. CD5+extranodal marginal zone B-cell(MALT) lymphoma. A low grade neoplasm with a propensity for bone marrow involvement and relapse. Am. J. Clin. Pathol. 1996, 105, 31–37. [Google Scholar] [CrossRef] [PubMed]
- Sakabe, H.; Bamba, M.; Nomura, K.; Kitamura, S.; Segawa, H.; Yasui, H.; Inoue, T.; Taniwaki, M.; Fujiyama, Y.; Bamba, T. MALT lymphoma at the base of the tongue developing without any background of immunodeficiency or autoimmune disease. Leuk. Lymphoma 2003, 44, 875–878. [Google Scholar] [CrossRef]
- Iftikhar, H.; Siddiqui, M.I.; Minhas, K. MALT lymphoma of the base of the tongue: A rare case entity. BMJ Case Rep. 2016. [Google Scholar] [CrossRef] [Green Version]
- Hamlin, P.A.; Owens, C. Hazzard’s Geriatric Medicine and Gerontology [Online]; McGraw-Hill: New York, NY, USA, 2017; Available online: https://accessmedicine.mhmedical.com/content.aspx?bookid=1923§ionid=144560362 (accessed on 8 August 2021).
- Shiboski, C.H.; Shiboski, S.C.; Seror, R.; Criswell, L.A.; Labetoulle, M.; Lietman, T.M.; Rasmussen, A.; Scofield, H.; Vitali, C.; Bowman, S.J.; et al. 2016 American College of Rheumatology/European League Against Rheumatism classification criteria for primary Sjögren’s syndrome: A consensus and data-driven methodology involving three international patient cohorts. Ann. Rheum. Dis. 2017, 76, 9–16. [Google Scholar] [CrossRef]
- Zhu, L.; Wang, P.; Yang, J. Non-Hodgkin lymphoma involving the parotid gland: CT and MR imaging findings. Dentomaxillofacial Radiol. 2013, 42, 20130046. [Google Scholar] [CrossRef] [PubMed] [Green Version]
- Mori, N.; Yatabs, Y.; Asai, J. Mucosa associated lymphoid tissue (MALT) Iymphoma. Pathol. Int. 1995, 45, 544–551. [Google Scholar] [CrossRef] [PubMed]
- Bacon, C.M.; Du, M.Q.; Dogan, A. Mucosa-associated lymphoid tissue (MALT) lymphoma: A practical guide for pathologists. J. Clin. Pathol. 2007, 60, 361–372. [Google Scholar] [CrossRef] [PubMed] [Green Version]
- Skinnider, B.F. Lymphoproliferative disorders of the gastrointestinal tract. Arch. Pathol. Lab. Med. 2018, 142, 44–52. [Google Scholar] [CrossRef] [PubMed]




| No. | Reference | Age/Sex | Clinical Symptoms | Site Involved at Presentation | Size (cm) | IMMUNOHISTOCHEMISTRY | Sjögren’s Syndrome | Treatment | Imaging Modality | |
|---|---|---|---|---|---|---|---|---|---|---|
| + | − | |||||||||
| 1 | Ferry JA et al. (1996) [10] | 62/F | NA | Tongue base, right false vocal cord and vallecula | NA | CD20+, CD5+, CD43+, CD23+ | sIg− Cyclin-D1− | No | Conservative treatment | NA |
| 2 | Sakabe H et al. (2003) [11] | 61/F | Oral discomfort, excessive thirst | Tongue base | 1.2 × 1.5 × 0.5 | CD20+, CD19+, HLA-DR+ | CD5−, CD10−, | No | Surgical resection | NA |
| 3 | Goteri G et al. (2004) [6] | 80/F | Dysphagia | Dorsum of tongue | NA | CD20+, CD5+, CD43+, CD3+ | CD10−, CD23− DBA44− | No | Surgical resection | NA |
| 4 | Song JH et al. (2014) [9] | 29/F | Odynophagia, underlying peripheral T cell lymphoma | Tongue base, right oropharyngeal wall | NA | CD20+ CD79a+ Bcl-2+ | CD45RO− CD3− | No | Radiotherapy | Computed tomography: lobulated hypodense mass |
| 5 | Iftikhar H et al. (2016) [12] | 61/M | Difficulty in swallowing, feeling of a lump in throat | Tongue base | 3.2 × 2.3 | CD20+, CD3+, CD5+ | CD10−, CD23−, Cyclin-D1 | No | Surgical excision & chemotherapy | NA |
Publisher’s Note: MDPI stays neutral with regard to jurisdictional claims in published maps and institutional affiliations. |
© 2021 by the authors. Licensee MDPI, Basel, Switzerland. This article is an open access article distributed under the terms and conditions of the Creative Commons Attribution (CC BY) license (https://creativecommons.org/licenses/by/4.0/).
Share and Cite
Baik, J.; Baek, H.-J.; Ryu, K.-H.; An, H.-J.; Song, S.; Lee, H.-J.; Kang, Y. MALT Lymphoma of the Tongue in a Patient with Sjögren’s Syndrome: A Case Report and Literature Review. Diagnostics 2021, 11, 1715. https://doi.org/10.3390/diagnostics11091715
Baik J, Baek H-J, Ryu K-H, An H-J, Song S, Lee H-J, Kang Y. MALT Lymphoma of the Tongue in a Patient with Sjögren’s Syndrome: A Case Report and Literature Review. Diagnostics. 2021; 11(9):1715. https://doi.org/10.3390/diagnostics11091715
Chicago/Turabian StyleBaik, Jiyeon, Hye-Jin Baek, Kyeong-Hwa Ryu, Hyo-Jung An, Seulki Song, Ho-Joon Lee, and Yeonah Kang. 2021. "MALT Lymphoma of the Tongue in a Patient with Sjögren’s Syndrome: A Case Report and Literature Review" Diagnostics 11, no. 9: 1715. https://doi.org/10.3390/diagnostics11091715
APA StyleBaik, J., Baek, H.-J., Ryu, K.-H., An, H.-J., Song, S., Lee, H.-J., & Kang, Y. (2021). MALT Lymphoma of the Tongue in a Patient with Sjögren’s Syndrome: A Case Report and Literature Review. Diagnostics, 11(9), 1715. https://doi.org/10.3390/diagnostics11091715

