Constitutive Cytomorphologic Features of Medullary Thyroid Carcinoma Using Different Staining Methods
Abstract
:1. Introduction
2. Materials and Methods
2.1. Study Design and Sample Population
2.2. Cytopathologic Evaluation
2.3. Comparison of Cytomorphologic Features
2.4. Statistical Analyses
3. Results
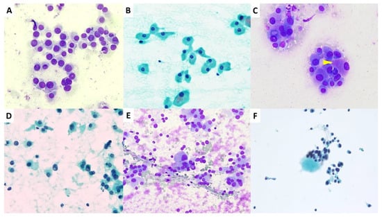
3.1. Overview of Cytodiagnosis and Morphological Features among Three Sample Groups (Papanicolaou Stain, Romanowsky Stain, and H&E Stain on Conventional Smears)
3.2. Cytologic Parameters of Accurately Categorized Groups
3.3. Cytologic Parameters of Discordant Diagnosis Group
3.4. Accurately Categorized Groups versus Discordant Diagnosis Groups
3.5. Minimal Cytologic Criteria for Diagnosing MTC
4. Discussion
4.1. Constitutive Cytomorphologic Features in Different Cytopreparatory Methods
4.2. Cytomorphologic Clues to Diagnose MTC on FNA
5. Conclusions
Supplementary Materials
Author Contributions
Funding
Institutional Review Board Statement
Informed Consent Statement
Data Availability Statement
Acknowledgments
Conflicts of Interest
References
- DeLellis, R.A.; Al Ghuzlan, A.; Albores Saavedra, J.; Baloch, Z.W.; Basolo, F.; Elisei, R.; Kaserer, K.; LiVolsi, V.; Matias-Guiu, X.; Mete, O.; et al. Medullary thyroid carcinoma. In WHO Classification of Tumours of Endocrine Organs; Lloyd, R.V., Osamura, R.Y., Klöpel, G., Rosai, J., Eds.; IARC: Lyon, France, 2017; pp. 108–113. [Google Scholar]
- Bugalho, M.J.; Santos, J.R.; Sobrinho, L. Preoperative diagnosis of medullary thyroid carcinoma: Fine needle aspiration cytology as compared with serum calcitonin measurement. J. Surg. Oncol. 2005, 91, 56–60. [Google Scholar] [CrossRef]
- Simoes-Pereira, J.; Bugalho, M.J.; Limbert, E.; Leite, V. Retrospective analysis of 140 cases of medullary thyroid carcinoma followed-up in a single institution. Oncol. Lett. 2016, 11, 3870–3874. [Google Scholar] [CrossRef] [PubMed] [Green Version]
- Suzuki, A.; Hirokawa, M.; Takada, N.; Higuchi, M.; Ito, A.; Yamao, N.; Hayashi, T.; Kuma, S.; Miyauchi, A. Fine-needle aspiration cytology for medullary thyroid carcinoma: A single institutional experience in Japan. Endocr. J. 2017, 64, 1099–1104. [Google Scholar] [CrossRef] [PubMed] [Green Version]
- Trimboli, P.; Treglia, G.; Guidobaldi, L.; Romanelli, F.; Nigri, G.; Valabrega, S.; Sadeghi, R.; Crescenzi, A.; Faquin, W.C.; Bongiovanni, M.; et al. Detection rate of FNA cytology in medullary thyroid carcinoma: A meta-analysis. Clin. Endocrinol. 2015, 82, 280–285. [Google Scholar] [CrossRef] [PubMed] [Green Version]
- Essig, G.F., Jr.; Porter, K.; Schneider, D.; Debora, A.; Lindsey, S.C.; Busonero, G.; Fineberg, D.; Fruci, B.; Boelaert, K.; Smit, J.W.; et al. Fine needle aspiration and medullary thyroid carcinoma: The risk of inadequate preoperative evaluation and initial surgery when relying upon FNAB cytology alone. Endocr. Pract. 2013, 19, 920–927. [Google Scholar] [CrossRef]
- Forrest, C.H.; Frost, F.A.; de Boer, W.B.; Spagnolo, D.V.; Whitaker, D.; Sterrett, B.F. Medullary carcinoma of the thyroid: Accuracy of diagnosis of fine-needle aspiration cytology. Cancer 1998, 84, 295–302. [Google Scholar] [CrossRef]
- Papaparaskeva, K.; Nagel, H.; Droese, M. Cytologic diagnosis of medullary carcinoma of the thyroid gland. Diagn. Cytopathol. 2000, 22, 351–358. [Google Scholar] [CrossRef]
- Ali, S.Z.; Cibas, E.S. The 2017 Bethesda System for Reporting Thyroid Cytopathology. J. Am. Soc. Cytopathol. 2017, 6, 217–222. [Google Scholar] [CrossRef]
- Thomas, C.M.; Asa, S.L.; Ezzat, S.; Sawka, A.M.; Goldstein, D. Diagnosis and pathologic characteristics of medullary thyroid carcinoma-review of current guidelines. Curr. Oncol. 2019, 26, 338–344. [Google Scholar] [CrossRef] [Green Version]
- Kihara, M.; Hirokawa, M.; Kudo, T.; Hayashi, T.; Yamamoto, M.; Masuoka, H.; Higashiyama, T.; Fukushima, M.; Ito, Y.; Miya, A.; et al. Calcitonin measurement in fine-needle aspirate washout fluid by electrochemiluminescence immunoassay for thyroid tumors. Thyroid Res. 2018, 11, 15. [Google Scholar] [CrossRef]
- Trimboli, P.; Guidobaldi, L.; Bongiovanni, M.; Crescenzi, A.; Alevizaki, M.; Giovanella, L. Use of fine-needle aspirate calcitonin to detect medullary thyroid carcinoma: A systematic review. Diagn. Cytopathol. 2016, 44, 45–51. [Google Scholar] [CrossRef] [PubMed]
- Trimboli, P.; Giovanella, L.; Crescenzi, A.; Romanelli, F.; Valabrega, S.; Spriano, G.; Cremonini, N.; Guglielmi, R.; Papini, E. Medullary thyroid cancer diagnosis: An appraisal. Head Neck 2014, 36, 1216–1223. [Google Scholar] [CrossRef]
- Liu, C.Y.; Bychkov, A.; Agarwal, S.; Zhu, Y.; Hang, J.F.; Lai, C.R.; Na, H.Y.; Li, W.; Liu, Z.; Jain, D.; et al. Cytologic diagnosis of medullary thyroid carcinoma in the Asia-Pacific region. Diagn. Cytopathol. 2021, 49, 60–69. [Google Scholar] [CrossRef]
- Bychkov, A.; Kakudo, K.; Hong, S. Current Practices of Thyroid Fine-Needle Aspiration in Asia: A Missing Voice. J. Pathol. Transl. Med. 2017, 51, 517–520. [Google Scholar] [CrossRef] [PubMed] [Green Version]
- Kakudo, K.; Higuchi, M.; Hirokawa, M.; Satoh, S.; Jung, C.K.; Bychkov, A. Thyroid FNA cytology in Asian practice-Active surveillance for indeterminate thyroid nodules reduces overtreatment of thyroid carcinomas. Cytopathology 2017, 28, 455–466. [Google Scholar] [CrossRef]
- Agarwal, S.; Bychkov, A.; Jung, C.K.; Hirokawa, M.; Lai, C.R.; Hong, S.; Kwon, H.J.; Rangdaeng, S.; Liu, Z.; Su, P.; et al. The prevalence and surgical outcomes of Hürthle cell lesions in FNAs of the thyroid: A multi-institutional study in 6 Asian countries. Cancer Cytopathol. 2019, 127, 181–191. [Google Scholar] [CrossRef]
- Kakudo, K.; Bychkov, A.; Abelardo, A.; Keelawat, S.; Kumarasinghe, P. Malpractice Climate Is a Key Difference in Thyroid Pathology Practice Between North America and the Rest of the World. Arch. Pathol. Lab. Med. 2019, 143, 1171. [Google Scholar] [CrossRef]
- Vuong, H.G.; Ngo, H.; Bychkov, A.; Jung, C.K.; Vu, T.H.; Lu, K.B.; Kakudo, K.; Kondo, T. Differences in surgical resection rate and risk of malignancy in thyroid cytopathology practice between Western and Asian countries: A systematic review and meta-analysis. Cancer Cytopathol. 2020, 128, 238–249. [Google Scholar] [CrossRef]
- Rashid, F.A.; Munkhdelger, J.; Fukuoka, J.; Bychkov, A. Prevalence of BRAFV600E mutation in Asian series of papillary thyroid carcinoma-a contemporary systematic review. Gland Surg. 2020, 9, 1878–1900. [Google Scholar] [CrossRef] [PubMed]
- Vuong, H.G.; Suzuki, A.; Na, H.Y.; Tuyen, P.V.; Khuy, D.M.; Nguyen, H.C.; Jitpasutham, T.; Abelardo, A.; Amano, T.; Park, S.Y.; et al. Application of the Bethesda System for Reporting Thyroid Cytopathology in the Pediatric Population. Am. J. Clin. Pathol. 2021, 155, 680–689. [Google Scholar] [CrossRef] [PubMed]
- Jung, C.K.; Hong, S.; Bychkov, A.; Kakudo, K. The Use of Fine-Needle Aspiration (FNA) Cytology in Patients with Thyroid Nodules in Asia: A Brief Overview of Studies from the Working Group of Asian Thyroid FNA Cytology. J. Pathol. Transl. Med. 2017, 51, 571–578. [Google Scholar] [CrossRef] [Green Version]
- Miranda-Filho, A.; Lortet-Tieulent, J.; Bray, F.; Cao, B.; Franceschi, S.; Vaccarella, S.; Dal Maso, L. Thyroid cancer incidence trends by histology in 25 countries: A population-based study. Lancet Diabetes Endocrinol. 2021, 9, 225–234. [Google Scholar] [CrossRef]
- Ahn, H.Y.; Chae, J.E.; Moon, H.; Noh, J.; Park, Y.J.; Kim, S.G. Trends in the Diagnosis and Treatment of Patients with Medullary Thyroid Carcinoma in Korea. Endocrinol. Metab. 2020, 35, 811–819. [Google Scholar] [CrossRef]
- Du, L.; Wang, Y.; Sun, X.; Li, H.; Geng, X.; Ge, M.; Zhu, Y. Thyroid cancer: Trends in incidence, mortality and clinical-pathological patterns in Zhejiang Province, Southeast China. BMC Cancer 2018, 18, 291. [Google Scholar] [CrossRef] [PubMed] [Green Version]
- Lin, J.D.; Weng, H.F.; Huang, M.J.; Huang, B.Y.; Huang, H.S.; Jeng, L.B. Thyroid cancer treated in Chang Gung Memorial Hospital (northern Taiwan) during the period 1979–1992: Clinical presentation, pathological finding, analysis of prognostic variables, and results of treatment. J. Surg. Oncol. 1994, 57, 252–260. [Google Scholar] [CrossRef] [PubMed]
- Lertprasertsuke, N.; Kakudo, K.; Nakamura, A.; Tada, N.; Osamura, Y.; Watanabe, K.; Kubota, M. C cell carcinoma of the thyroid. Follicular variant. Acta Pathol. Jpn. 1989, 39, 393–399. [Google Scholar] [CrossRef] [PubMed]
- Harach, H.R.; Bergholm, U. Medullary (C cell) carcinoma of the thyroid with features of follicular oxyphilic cell tumours. Histopathology 1988, 13, 645–656. [Google Scholar] [CrossRef]
- Schaffer, R.; Muller, H.A.; Pfeifer, U.; Ormanns, W. Cytological findings in medullary carcinoma of the thyroid. Pathol. Res. Pract. 1984, 178, 461–466. [Google Scholar] [CrossRef]
- Kakudo, K.; Miyauchi, A.; Takai, S.; Katayama, S.; Kuma, K.; Kitamura, H. C cell carcinoma of the thyroid—Papillary type. Acta Pathol. Jpn. 1979, 29, 653–659. [Google Scholar] [CrossRef]
- Kakudo, K.; Miyauchi, A.; Ogihara, T.; Takai, S.I.; Kitamura, H.; Kosaki, G.; Kumahara, Y. Medullary carcinoma of the thyroid. Giant cell type. Arch. Pathol. Lab. Med. 1978, 102, 445–447. [Google Scholar]
- Agarwal, C.; Raychaudhuri, S.; Batra, A.; Pujani, M.; Dhingra, S. Medullary carcinoma of thyroid mimicking Hurthle cell neoplasm on cytology: A diagnostic dilemma. Diagn. Cytopathol. 2019, 47, 943–947. [Google Scholar] [CrossRef]
- Sams, S.B.; Tompkins, K.D.; Mayson, S.; Raeburn, C.D.; Mehrotra, S. Oncocytic variant of medullary thyroid carcinoma; a rare tumor with numerous diagnostic mimics by fine needle aspiration. Diagn. Cytopathol. 2017, 45, 1148–1152. [Google Scholar] [CrossRef]
- Buzdugă, C.M.; Costea, C.F.; Cărăuleanu, A.; Lozneanu, L.; Turliuc, M.D.; Cucu, A.I.; Ciocoiu, M.; Floria, M.; Tănase, D.M.; Dragomir, R.A.; et al. Protean cytological, histological and immunohistochemical appearances of medullary thyroid carcinoma: Current updates. Rom. J. Morphol. Embryol. 2019, 60, 369–381. [Google Scholar]
- Zhu, Y.; Wang, T. Medullary (C Cell) Thyroid Carcinoma or Oxyphilic Follicular Neoplasms. In Thyroid FNA Cytology, 2nd ed.; Kakudo, K., Ed.; Springer: Berlin/Heidelberg, Germany, 2019; pp. 303–309. [Google Scholar]
- Montone, K.T.; Baloch, Z.W.; LiVolsi, V.A. The thyroid Hurthle (oncocytic) cell and its associated pathologic conditions: A surgical pathology and cytopathology review. Arch. Pathol. Lab. Med. 2008, 132, 1241–1250. [Google Scholar] [CrossRef] [PubMed]
- Dyhdalo, K.S.; Chute, D.J. Barriers to the recognition of medullary thyroid carcinoma on FNA: Implications relevant to the new American Thyroid Association guidelines. Cancer Cytopathol. 2018, 126, 397–405. [Google Scholar] [CrossRef]
- Cibas, E.S.; Baloch, Z.W.; Fellegara, G.; LiVolsi, V.A.; Raab, S.S.; Rosai, J.; Diggans, J.; Friedman, L.; Kennedy, G.C.; Kloos, R.T.; et al. A prospective assessment defining the limitations of thyroid nodule pathologic evaluation. Ann. Intern. Med. 2013, 159, 325–332. [Google Scholar] [CrossRef]
- Thodou, E.; Canberk, S.; Schmitt, F. Challenges in Cytology Specimens with Hürthle Cells. Front. Endocrinol. 2021, 12, 701877. [Google Scholar] [CrossRef]


| No. | Staining Method | Cytologic Diagnosis | High Cellularity | Cellular Pleomorphism | Plasmacytoid Cells | Round Cells | Polygonal Cells | Spindled Cells | Dyshesive Cells | Salt-and-Pepper Chromatin | Pseudoinclusion | Visible Nucleoli | Nuclear Molding | Granular Cytoplasm | Binucleation or Multinucleation |
|---|---|---|---|---|---|---|---|---|---|---|---|---|---|---|---|
| 1 | Pap | Malignancy, NOS | Yes | Yes | Yes | Yes | Yes | No | Yes | No | Yes | No | No | Yes | Yes |
| 2 | Pap | Malignancy, NOS | Yes | Yes | No | Yes | Yes | No | Yes | Yes | Yes | No | Yes | Yes | Yes |
| 3 | Pap | AUS/FLUS | No | Yes | Yes | Yes | No | No | No | Yes | No | No | No | Yes | Yes |
| 4 | H&E | FN/SFN | Yes | No | Yes | Yes | No | No | No | No | No | No | No | No | No |
| 5 | Pap | FN/SFN | Yes | No | No | Yes | Yes | No | No | Yes | No | No | No | No | No |
| 6 | Rom | FN/SFN | Yes | No | Yes | Yes | Yes | No | No | No | No | No | No | Yes | Yes |
| 7 | Pap | FN/SFN | Yes | Yes | No | Yes | No | No | No | No | No | Yes | No | Yes | No |
| 8 | Rom | FN/SFN | Yes | Yes | No | Yes | Yes | No | No | No | No | No | No | Yes | Yes |
| 9 | Pap | FN/SFN | Yes | Yes | Yes | Yes | Yes | No | No | No | No | Yes | No | Yes | Yes |
| 10 | Rom | FN/SFN | Yes | Yes | Yes | Yes | Yes | No | Yes | No | No | No | No | No | Yes |
| 11 | Pap | FN/SFN | Yes | Yes | No | Yes | Yes | No | Yes | Yes | No | No | No | No | Yes |
| 12 | Rom | FN/SFN | Yes | Yes | Yes | Yes | Yes | No | Yes | No | No | No | No | No | Yes |
| 13 | Pap | FN/SFN | Yes | Yes | No | Yes | No | Yes | Yes | Yes | No | No | No | No | Yes |
| 14 | Rom | FN/SFN | Yes | Yes | Yes | Yes | Yes | Yes | No | No | No | No | No | No | Yes |
| 15 | Pap | FN/SFN | Yes | Yes | Yes | Yes | Yes | Yes | No | No | No | No | No | No | Yes |
| 16 | Rom | FN/SFN | Yes | Yes | No | Yes | Yes | Yes | No | No | No | No | No | Yes | Yes |
| 17 | Pap | AUS/FLUS | No | Yes | No | Yes | No | No | No | Yes | No | No | Yes | No | No |
| 18 | Rom | AUS/FLUS | No | Yes | No | Yes | No | No | No | Yes | No | No | Yes | No | No |
| 19 | Pap | AUS/FLUS | No | Yes | Yes | Yes | No | No | No | No | No | No | No | Yes | No |
| Parameter | Papanicolaou Stain (n = 72) | Romanowsky Stain (n = 39) | H&E Stain (n = 37) | p-Value # |
|---|---|---|---|---|
| High cellularity | 62 (86%) | 35 (90%) | 31 (84%) | 0.740 |
| Cellular pleomorphism | 64 (89%) | 33 (85%) | 32 (86%) | 0.812 |
| Plasmacytoid cells | 53 (74%) | 28 (72%) | 25 (68%) | 0.770 |
| Round cells | 58 (81%) | 24 (62%) | 25 (68%) | 0.074 |
| Polygonal cells | 43 (60%) | 21 (54%) | 18 (49%) | 0.522 |
| Spindled cells | 33 (46%) | 17 (44%) | 20 (54%) | 0.624 |
| Dyshesive cells | 70 (97%) | 39 (100%) | 31 (84%) a,b | 0.006 |
| Salt-and-pepper chromatin | 67 (93%) | 38 (97%) | 36 (97%) | 0.684 |
| Pseudoinclusion | 18 (25%) | 11 (28%) | 17 (46%) | 0.085 |
| Visible nucleoli | 6 (8%) | 3 (8%) | 0 (0%) | 0.210 |
| Nuclear molding | 32 (44%) | 27 (69%) a | 22 (59%) | 0.036 |
| Granular cytoplasm | 20 (28%) | 12 (31%) | 13 (35%) | 0.736 |
| Binucleation/multinucleation | 50 (69%) | 30 (77%) | 20 (54%) | 0.098 |
| Parameter | Papanicolaou Stain (n = 72) | Romanowsky Stain (n = 39) | H&E Stain (n = 37) | p-Value # |
|---|---|---|---|---|
| Clean | 51 (71%) | 23 (59%) | 29 (78%) | 0.185 |
| Bloody | 22 (31%) | 27 (69%) a | 9 (24%) b | <0.001 |
| Low cellularity | 10 (14%) | 4 (10%) | 6 (16%) | 0.740 |
| Air drying | 27 (38%) | 11 (28%) | 1 (3%) a,b | <0.001 |
| Amyloid | 33 (46%) | 22 (56%) | 16 (43%) | 0.446 |
| Colloid | 12 (17%) | 5 (13%) | 17 (46%) a,b | 0.001 |
| Calcification | 3 (4%) | 2 (5%) | 2 (5%) | 1.000 |
| Cytological Features Seen in Smears | Accurately Categorized (n = 148) | Incorrectly Categorized (n = 19) | p-Value # |
|---|---|---|---|
| All 7 features present | 50 (34%) | 0 (0%) | <0.001 |
| Any 6 of the 7 features present | 48 (32%) | 6 (32%) | |
| Any 5 of the 7 features present | 27 (18%) | 4 (21%) | |
| Any 4 of the 7 features present | 8 (5%) | 3 (16%) | |
| Any 3 of the 7 features present | 15 (10%) | 6 (32%) | |
| Any 2 of the 7 features present | 0 (0%) | 0 (0%) | |
| Any 1 of the 7 features present | 0 (0%) | 0 (0%) | |
| None of the 7 features present | 0 (0%) | 0 (0%) |
| Cytologic Features in FNA | Sensitivity, % (95% CI) | Specificity, % (95% CI) |
|---|---|---|
| ≥4 | 89.9 (83.8–94.2) | 31.6 (12.6–56.6) |
| ≥5 | 84.5 (77.6–89.9) | 47.4 (24.4–71.1) |
| ≥6 * | 66.2 (58.0–73.8) | 68.4 (43.4–87.4) |
| ≥7 | 33.8 (26.2–42.0) | 100.0 (82.4–100.0) |
Publisher’s Note: MDPI stays neutral with regard to jurisdictional claims in published maps and institutional affiliations. |
© 2021 by the authors. Licensee MDPI, Basel, Switzerland. This article is an open access article distributed under the terms and conditions of the Creative Commons Attribution (CC BY) license (https://creativecommons.org/licenses/by/4.0/).
Share and Cite
Liu, C.-Y.; Chen, C.-C.; Bychkov, A.; Agarwal, S.; Zhu, Y.; Hang, J.-F.; Lai, C.-R.; Na, H.Y.; Park, S.Y.; Li, W.; et al. Constitutive Cytomorphologic Features of Medullary Thyroid Carcinoma Using Different Staining Methods. Diagnostics 2021, 11, 1396. https://doi.org/10.3390/diagnostics11081396
Liu C-Y, Chen C-C, Bychkov A, Agarwal S, Zhu Y, Hang J-F, Lai C-R, Na HY, Park SY, Li W, et al. Constitutive Cytomorphologic Features of Medullary Thyroid Carcinoma Using Different Staining Methods. Diagnostics. 2021; 11(8):1396. https://doi.org/10.3390/diagnostics11081396
Chicago/Turabian StyleLiu, Chih-Yi, Chien-Chin Chen, Andrey Bychkov, Shipra Agarwal, Yun Zhu, Jen-Fan Hang, Chiung-Ru Lai, Hee Young Na, So Yeon Park, Weiwei Li, and et al. 2021. "Constitutive Cytomorphologic Features of Medullary Thyroid Carcinoma Using Different Staining Methods" Diagnostics 11, no. 8: 1396. https://doi.org/10.3390/diagnostics11081396
APA StyleLiu, C.-Y., Chen, C.-C., Bychkov, A., Agarwal, S., Zhu, Y., Hang, J.-F., Lai, C.-R., Na, H. Y., Park, S. Y., Li, W., Liu, Z., Jain, D., Suzuki, A., Hirokawa, M., Chia, N., Nga, M. E., Jitpasutham, T., Keelawat, S., Satoh, S., ... Kakudo, K. (2021). Constitutive Cytomorphologic Features of Medullary Thyroid Carcinoma Using Different Staining Methods. Diagnostics, 11(8), 1396. https://doi.org/10.3390/diagnostics11081396

