Recognition of Connective Tissue Disease-Related Interstitial Pneumonia Based on Histological Score—A Validation Study of an Online Diagnostic Decision Support Tool
Abstract
:1. Introduction
2. Materials and Methods
2.1. Case Selection
2.2. Statistical Analysis
3. Results
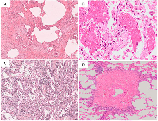
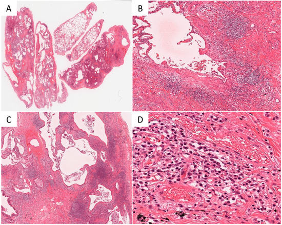
3.1. Histological Detection of CTD Group by the CTD-IP Index
3.2. Correlation with Clinical Autoimmune Features
4. Discussion
5. Conclusions
Supplementary Materials
Author Contributions
Funding
Institutional Review Board Statement
Informed Consent Statement
Data Availability Statement
Conflicts of Interest
References
- Travis, W.D.; Costabel, U.; Hansell, D.M.; King, T.E., Jr.; Lynch, D.A.; Nicholson, A.G.; Ryerson, C.J.; Ryu, J.H.; Selman, M.; Wells, A.U.; et al. An Official American Thoracic Society/European Respiratory Society Statement: Update of the International Multidisciplinary Classification of the Idiopathic Interstitial Pneumonias. Am. J. Respir. Crit. Care Med. 2013, 188, 733–748. [Google Scholar] [CrossRef]
- Baratella, E.; Ruaro, B.; Giudici, F.; Wade, B.; Santagiuliana, M.; Salton, F.; Confalonieri, P.; Simbolo, M.; Scarpa, A.; Tollot, S.; et al. Evaluation of Correlations between Genetic Variants and High-Resolution Computed Tomography Patterns in Idiopathic Pulmonary Fibrosis. Diagnostics 2021, 11, 762. [Google Scholar] [CrossRef]
- Salton, F.; Ruaro, B.; Confalonieri, P.; Confalonieri, M. Epithelial-Mesenchymal Transition: A Major Pathogenic Driver in Idiopathic Pulmonary Fibrosis? Medicina 2020, 56, 608. [Google Scholar] [CrossRef] [PubMed]
- Richeldi, L.; du Bois, R.M.; Raghu, G.; Azuma, A.; Brown, K.K.; Costabel, U.; Cottin, V.; Flaherty, K.R.; Hansell, D.M.; Inoue, Y.; et al. Efficacy and safety of nintedanib in idiopathic pulmonary fibrosis. N. Engl. J. Med. 2014, 370, 2071–2082. [Google Scholar] [CrossRef] [Green Version]
- Idiopathic Pulmonary Fibrosis Clinical Research Network; Raghu, G.; Anstrom, K.J.; King, T.E., Jr.; Lasky, J.A.; Martinez, F.J. Prednisone, azathioprine, and N-acetylcysteine for pulmonary fibrosis. N. Engl. J. Med. 2012, 366, 1968–1977. [Google Scholar] [CrossRef]
- Raghu, G.; Rochwerg, B.; Zhang, Y.; Garcia, C.A.; Azuma, A.; Behr, J.; Brozek, J.L.; Collard, H.R.; Cunningham, W.; Homma, S.; et al. An Official ATS/ERS/JRS/ALAT Clinical Practice Guideline: Treatment of Idiopathic Pulmonary Fibrosis. An Update of the 2011 Clinical Practice Guideline. Am. J. Respir. Crit. Care Med. 2015, 192, e3–e19. [Google Scholar] [CrossRef] [PubMed]
- Lee, J.S.; Kim, E.J.; Lynch, K.L.; Elicker, B.; Ryerson, C.J.; Katsumoto, T.R.; Wolters, P.J.; Cerri, S.; Richeldi, L.; Jones, K.D.; et al. Prevalence and clinical significance of circulating autoantibodies in idiopathic pulmonary fibrosis. Respir. Med. 2013, 107, 249–255. [Google Scholar] [CrossRef] [Green Version]
- Song, J.W.; Do, K.H.; Kim, M.Y.; Jang, S.J.; Colby, T.V.; Kim, D.S. Pathologic and radiologic differences between idiopathic and collagen vascular disease-related usual interstitial pneumonia. Chest 2009, 136, 23–30. [Google Scholar] [CrossRef]
- Ghang, B.; Lee, J.; Chan Kwon, O.; Ahn, S.M.; Oh, J.S.; Hong, S.; Kim, Y.-G.; Yoo, B.; Jeong, W.S.; Kim, J.; et al. Clinical significance of autoantibody positivity in idiopathic pulmonary fibrosis. Respir. Med. 2019, 155, 43–48. [Google Scholar] [CrossRef] [PubMed]
- Skolnik, K.; Ryerson, C.J. Unclassifiable interstitial lung disease: A review. Respirology 2016, 21, 51–56. [Google Scholar] [CrossRef] [Green Version]
- Omote, N.; Taniguchi, H.; Kondoh, Y.; Watanabe, N.; Sakamoto, K.; Kimura, T.; Kataoka, K.; Johkoh, T.; Fujimoto, K.; Fukuoka, J.; et al. Lung-Dominant Connective Tissue Disease: Clinical, Radiologic, and Histologic Features. Chest 2015, 148, 1438–1446. [Google Scholar] [CrossRef]
- Fischer, A.; West, S.G.; Swigris, J.J.; Brown, K.K.; du Bois, R.M. Connective tissue disease-associated interstitial lung disease: A call for clarification. Chest 2010, 138, 251–256. [Google Scholar] [CrossRef] [Green Version]
- Kinder, B.W.; Collard, H.R.; Koth, L.; Daikh, D.I.; Wolters, P.J.; Elicker, B.; Jones, K.D.; King, T.E., Jr. Idiopathic nonspecific interstitial pneumonia: Lung manifestation of undifferentiated connective tissue disease? Am. J. Respir. Crit. Care Med. 2007, 176, 691–697. [Google Scholar] [CrossRef] [PubMed] [Green Version]
- Fischer, A.; Antoniou, K.M.; Brown, K.K.; Cadranel, J.; Corte, T.J.; du Bois, R.M.; Lee, J.S.; Leslie, K.O.; Lynch, D.A.; Matteson, E.L.; et al. An official European Respiratory Society/American Thoracic Society research statement: Interstitial pneumonia with autoimmune features. Eur. Respir. J. 2015, 46, 976–987. [Google Scholar] [CrossRef] [PubMed] [Green Version]
- Cipriani, N.A.; Strek, M.; Noth, I.; Gordon, I.O.; Charbeneau, J.; Krishnan, J.A.; Krausz, T.; Husain, A.N. Pathologic quantification of connective tissue disease-associated versus idiopathic usual interstitial pneumonia. Arch. Pathol. Lab. Med. 2012, 136, 1253–1258. [Google Scholar] [CrossRef] [PubMed] [Green Version]
- Ozasa, M.; Ichikawa, H.; Sato, S.; Tanaka, T.; Johkoh, T.; Kataoka, K.; Yamano, Y.; Kondoh, Y.; Nakamura, H.; Kawakami, A.; et al. Proposed method of histological separation between connective tissue disease-associated interstitial pneumonia and idiopathic interstitial pneumonias. PLoS ONE 2018, 13, e0206186. [Google Scholar] [CrossRef] [PubMed]
- Kanda, Y. Investigation of the freely available easy-to-use software ’EZR’ for medical statistics. Bone Marrow Transpl. 2013, 48, 452–458. [Google Scholar] [CrossRef] [PubMed] [Green Version]
- Vij, R.; Noth, I.; Strek, M.E. Autoimmune-featured interstitial lung disease: A distinct entity. Chest 2011, 140, 1292–1299. [Google Scholar] [CrossRef] [PubMed] [Green Version]
- Oldham, J.M.; Adegunsoye, A.; Valenzi, E.; Lee, C.; Witt, L.; Chen, L.; Husain, A.N.; Montner, S.; Chung, J.H.; Cottin, V.; et al. Characterisation of patients with interstitial pneumonia with autoimmune features. Eur. Respir. J. 2016, 47, 1767–1775. [Google Scholar] [CrossRef] [Green Version]
- Collins, B.; Raghu, G. Interstitial pneumonia with autoimmune features: The new consensus-based definition for this cohort of patients should be broadened. Eur. Respir. J. 2016, 47, 1293–1295. [Google Scholar] [CrossRef]
- Moua, T.; Maldonado, F.; Decker, P.A.; Daniels, C.E.; Ryu, J.H. Frequency and implication of autoimmune serologies in idiopathic pulmonary fibrosis. Mayo Clin. Proc. 2014, 89, 319–326. [Google Scholar] [CrossRef]
- Sebastiani, M.; Cassone, G.; De Pasquale, L.; Cerri, S.; Della Casa, G.; Vacchi, C.; Luppi, F.; Salvarani, C.; Manfredi, A. Interstitial pneumonia with autoimmune features: A single center prospective follow-up study. Autoimmun. Rev. 2020, 19, 102451. [Google Scholar] [CrossRef] [PubMed]
- Walsh, S.L.F.; Maher, T.M.; Kolb, M.; Poletti, V.; Nusser, R.; Richeldi, L.; Vancheri, C.; Wilsher, M.L.; Antoniou, K.M.; Behr, J.; et al. Diagnostic accuracy of a clinical diagnosis of idiopathic pulmonary fibrosis: An international case-cohort study. Eur. Respir. J. 2017, 50, 1700936. [Google Scholar] [CrossRef] [PubMed] [Green Version]
- Walsh, S.L.F.; Wells, A.U.; Desai, S.R.; Poletti, V.; Piciucchi, S.; Dubini, A.; Nunes, H.; Valeyre, D.; Brillet, P.Y.; Kambouchner, M.; et al. Multicentre evaluation of multidisciplinary team meeting agreement on diagnosis in diffuse parenchymal lung disease: A case-cohort study. Lancet Respir. Med. 2016, 4, 557–565. [Google Scholar] [CrossRef] [Green Version]


| High Agreement | Low Agreement |
|---|---|
| Airspace fibrin (κ = 0.602) | Dense perivascular collagen (κ = 0.184) |
| Fibroblastic focus (κ = 0.532) | Cellular IP (κ = 0.327) |
| Smooth muscle hyperplasia (κ = 0.512) | Plasmacytic infiltration (κ= 0.392) |
| Lymphoid follicle with germinal center (κ = 0.49) | Fat metaplasia (κ = 0.413) |
| Variable | CTD Group (n = 20) | Group IPF (n = 74) | p-Value |
| Age | 60.9 ± 11 | 62.8 ± 7.08 | 0.37 |
| Sex | 0.01 | ||
| Female | 15 | 16 | |
| Male | 5 | 58 | |
| Smoking history | 0.03 | ||
| Ex | 4 | 53 | |
| Never | 16 | 21 | |
| CTD symptom | 0.04 | ||
| positive | 12 | 25 | |
| negative | 8 | 49 | |
| IPAF symptom | 0.35 | ||
| positive | 5 | 12 | |
| negative | 15 | 62 | |
| Autoantibody | 0.01 | ||
| positive | 16 | 34 | |
| negative | 4 | 40 | |
| IPAF serological domain | <0.01 | ||
| positive | 13 | 14 | |
| negative | 7 | 60 | |
| Blood parameters | |||
| KL-6 | 1438 ± 1019 | 1830 ± 2433 | 0.48 |
| SP-D | 321.6 ± 235.9 | 297.6 ± 199.3 | 0.65 |
| PaO2 | 83.4 ± 14.8 | 81 ± 14.6 | |
| PaCO2 | 43.5 ± 10.5 | 41.7 ± 8.91 | 0.46 |
| Respiratory function | |||
| Low SPO2 | 88 ± 5.14 | 84.8 ± 8.81 | 0.14 |
| %FVC | 82.1 ± 19 | 86.5 ± 16.7 | 0.31 |
| %Dlco | 69.4 ± 13.9 | 73.2 ± 45.2 | 0.72 |
| BAL cells | 2.71 ± 3.4 | 2.02 ± 1.3 | 0.12 |
| MΦ | 74.2 ± 22.6 | 75.1 ± 24.7 | 0.88 |
| Ly | 15.13 ± 18.1 | 11.3 ± 15.3 | 0.35 |
| Neut | 5.74 ± 12.8 | 8.09 ± 13.1 | 0.48 |
| Eo | 3.66 ± 3.8 | 3.32 ± 6.99 | 0.84 |
| CD4/8 | 1.49 ± 1.33 | 2.89 ± 2.36 | 0.01 |
| Score | A | B | C | D |
|---|---|---|---|---|
| FF | 0 | 1 | 1 | 1 |
| SMH | 0 | 1 | 1 | 2 |
| CIP | 2 | 1 | 1 | 2 |
| DPVC | 0 | 0 | 1 | 0 |
| Fat | 0 | 0 | 1 | 0 |
| Plasm | 3 | 2 | 2 | 3 |
| LyGC | 1 | 2 | 1 | 3 |
| AF | 0 | 0 | 1 | 0 |
Publisher’s Note: MDPI stays neutral with regard to jurisdictional claims in published maps and institutional affiliations. |
© 2021 by the authors. Licensee MDPI, Basel, Switzerland. This article is an open access article distributed under the terms and conditions of the Creative Commons Attribution (CC BY) license (https://creativecommons.org/licenses/by/4.0/).
Share and Cite
Ozasa, M.; Zaizen, Y.; Tabata, K.; Kataoka, K.; Sato, S.; Bychkov, A.; Sakamoto, N.; Mukae, H.; Kondoh, Y.; Fukuoka, J. Recognition of Connective Tissue Disease-Related Interstitial Pneumonia Based on Histological Score—A Validation Study of an Online Diagnostic Decision Support Tool. Diagnostics 2021, 11, 1359. https://doi.org/10.3390/diagnostics11081359
Ozasa M, Zaizen Y, Tabata K, Kataoka K, Sato S, Bychkov A, Sakamoto N, Mukae H, Kondoh Y, Fukuoka J. Recognition of Connective Tissue Disease-Related Interstitial Pneumonia Based on Histological Score—A Validation Study of an Online Diagnostic Decision Support Tool. Diagnostics. 2021; 11(8):1359. https://doi.org/10.3390/diagnostics11081359
Chicago/Turabian StyleOzasa, Mutsumi, Yoshiaki Zaizen, Kazuhiro Tabata, Kensuke Kataoka, Shuntaro Sato, Andrey Bychkov, Noriho Sakamoto, Hiroshi Mukae, Yasuhiro Kondoh, and Junya Fukuoka. 2021. "Recognition of Connective Tissue Disease-Related Interstitial Pneumonia Based on Histological Score—A Validation Study of an Online Diagnostic Decision Support Tool" Diagnostics 11, no. 8: 1359. https://doi.org/10.3390/diagnostics11081359
APA StyleOzasa, M., Zaizen, Y., Tabata, K., Kataoka, K., Sato, S., Bychkov, A., Sakamoto, N., Mukae, H., Kondoh, Y., & Fukuoka, J. (2021). Recognition of Connective Tissue Disease-Related Interstitial Pneumonia Based on Histological Score—A Validation Study of an Online Diagnostic Decision Support Tool. Diagnostics, 11(8), 1359. https://doi.org/10.3390/diagnostics11081359

