Clinical and Image Characteristics of IgG4-Related Sclerosing Cholecystitis
Abstract
1. Introduction
2. Diagnosis and Pathological Features of IgG4-Related Sclerosing Cholecystitis
3. Clinical Features of IgG4-Related Sclerosing Cholecystitis
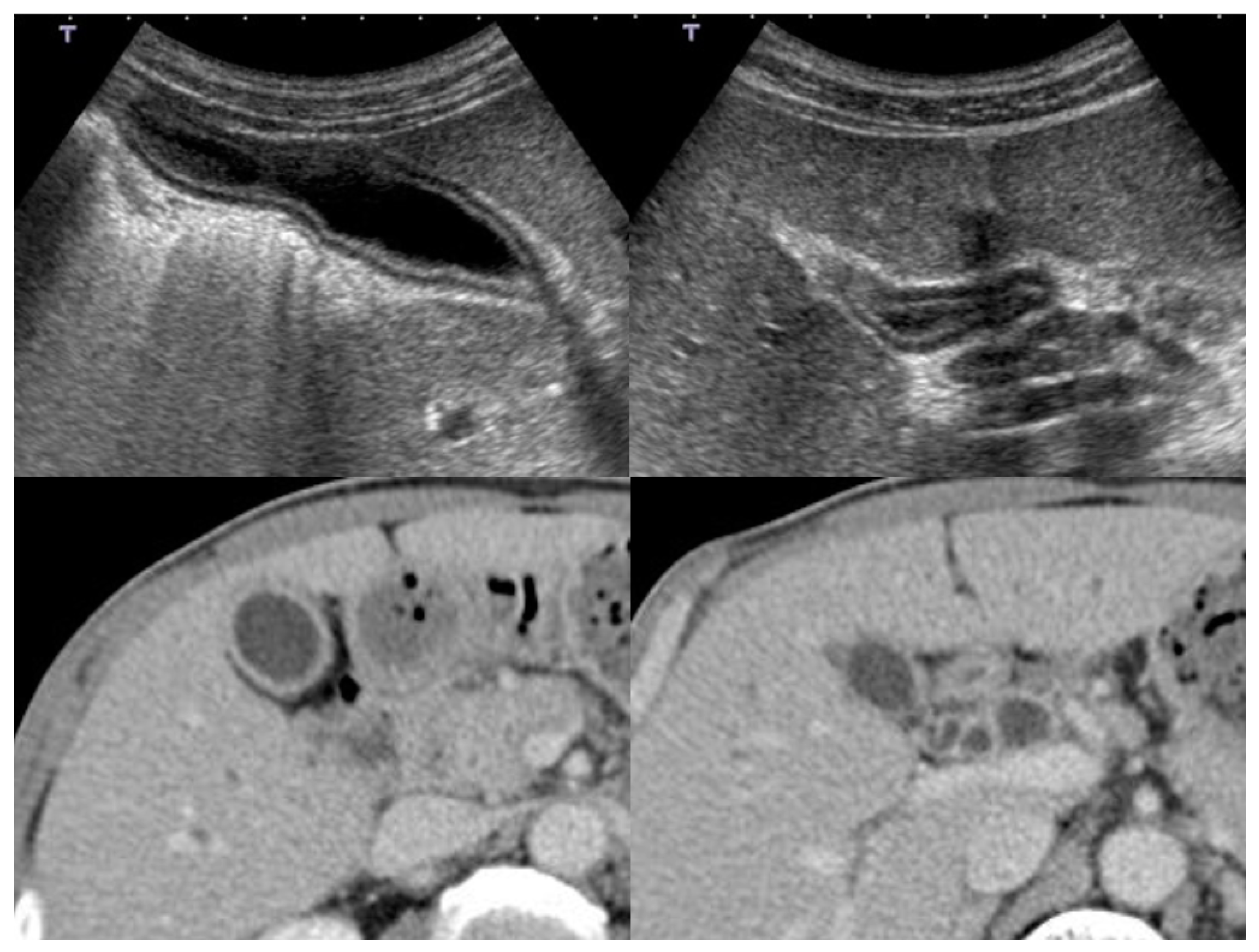
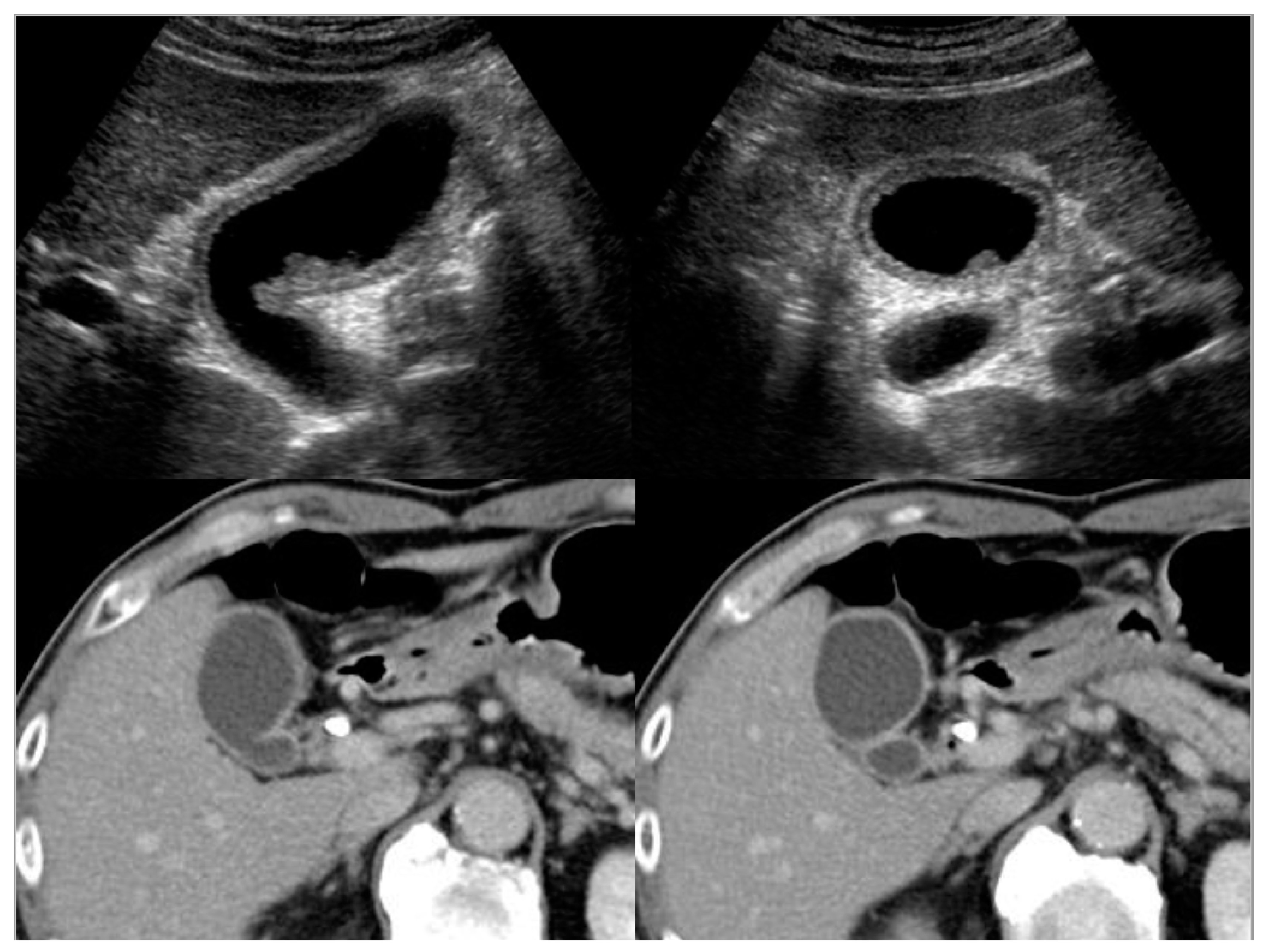
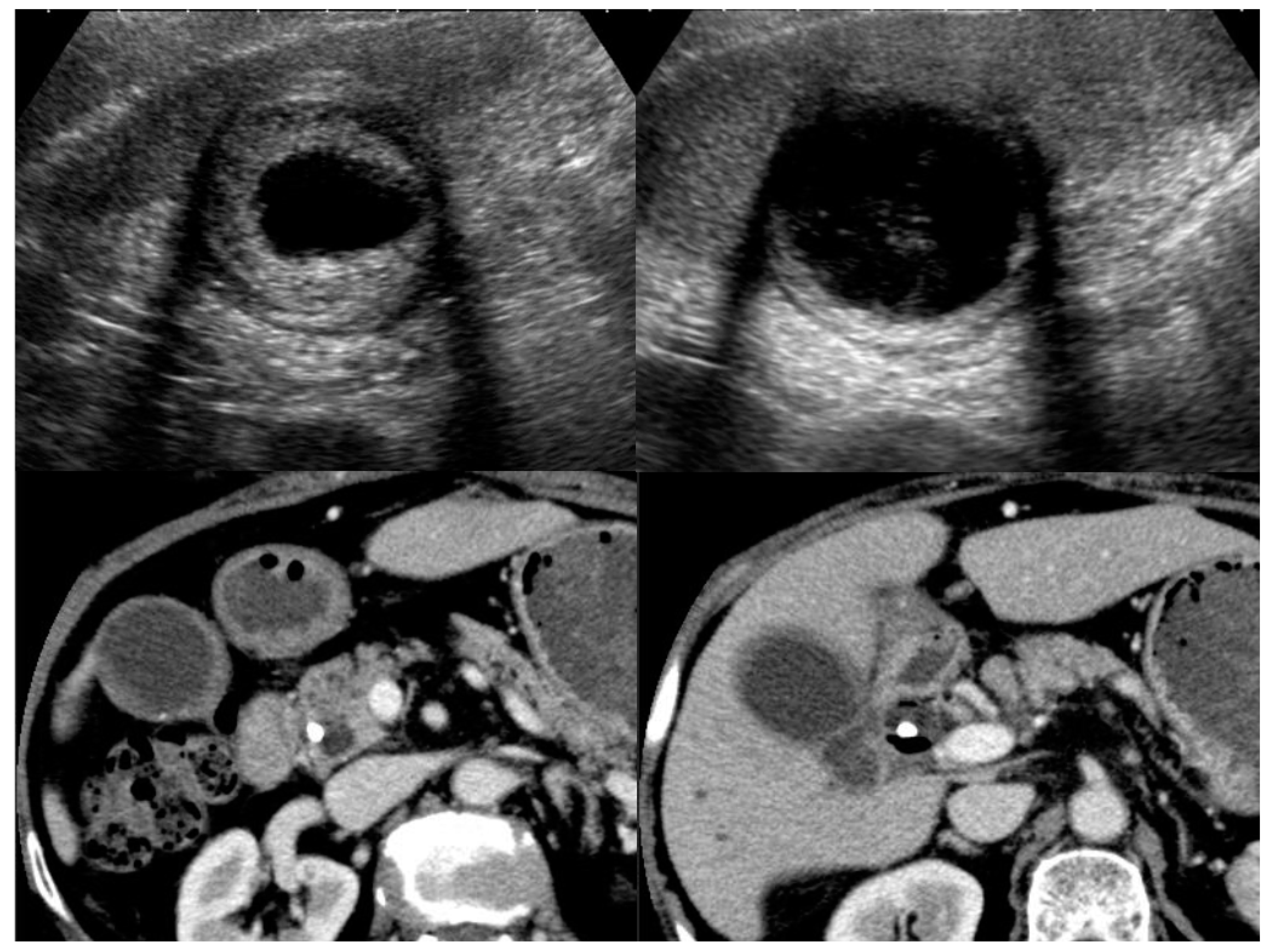
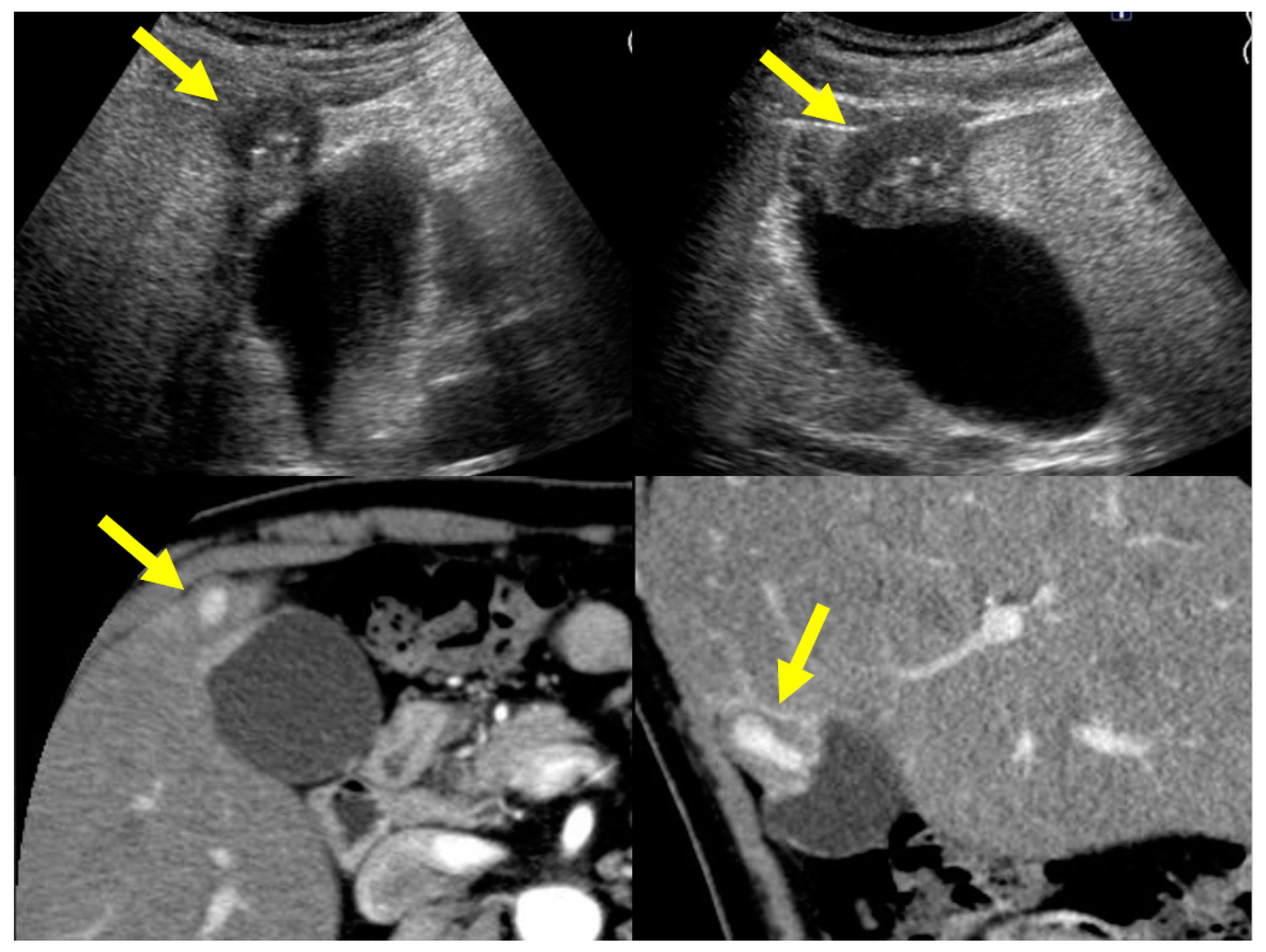
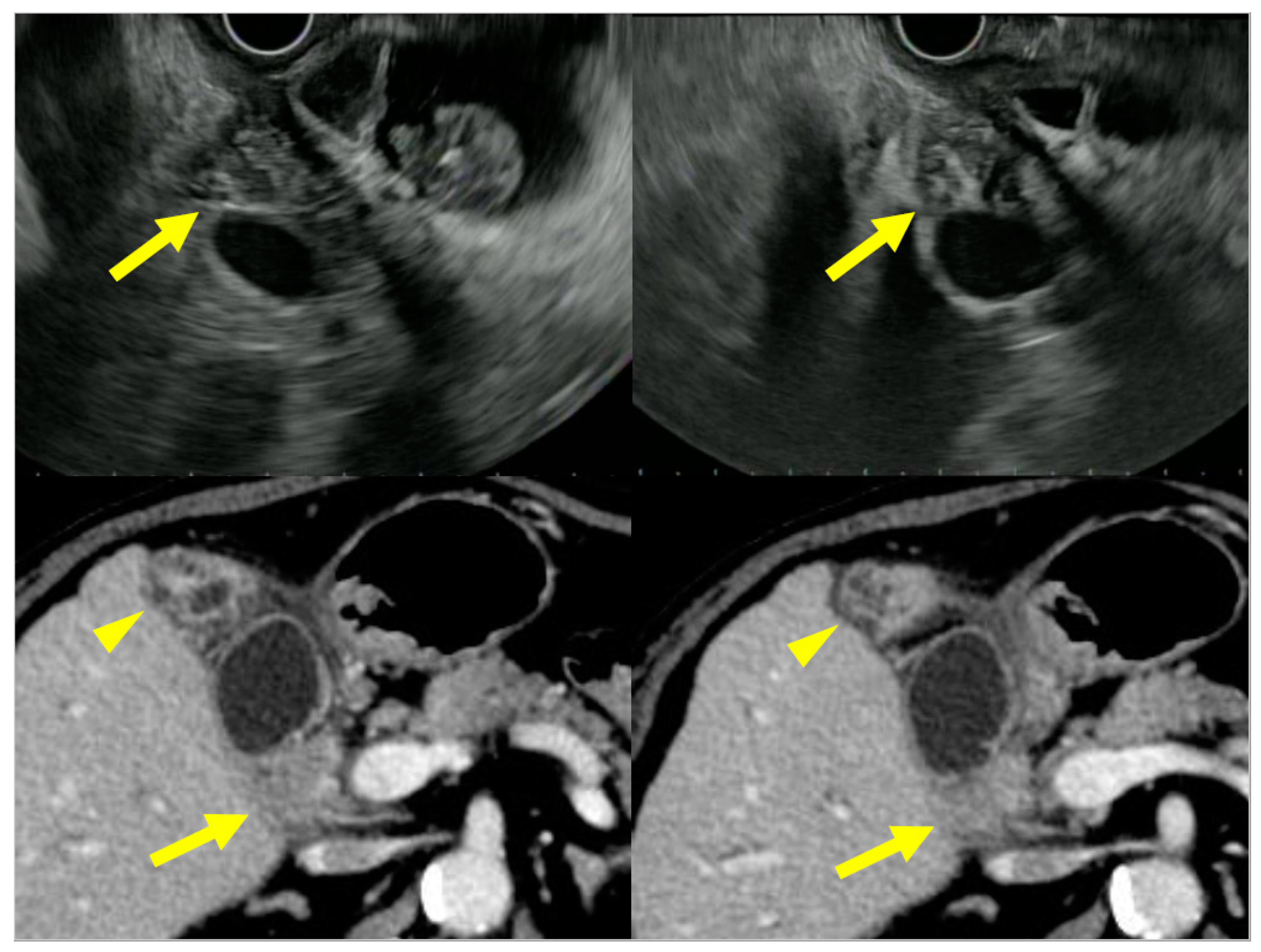
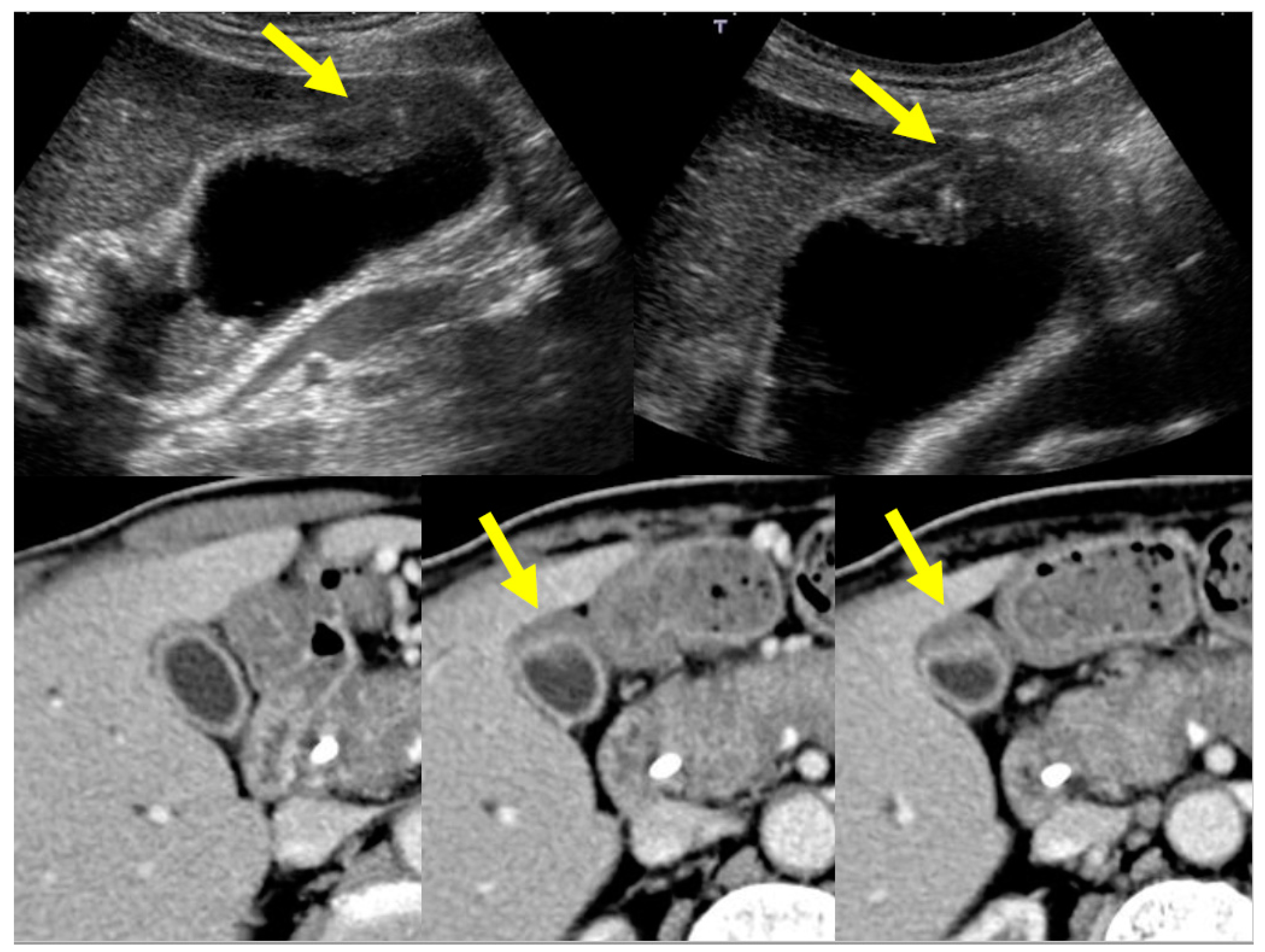
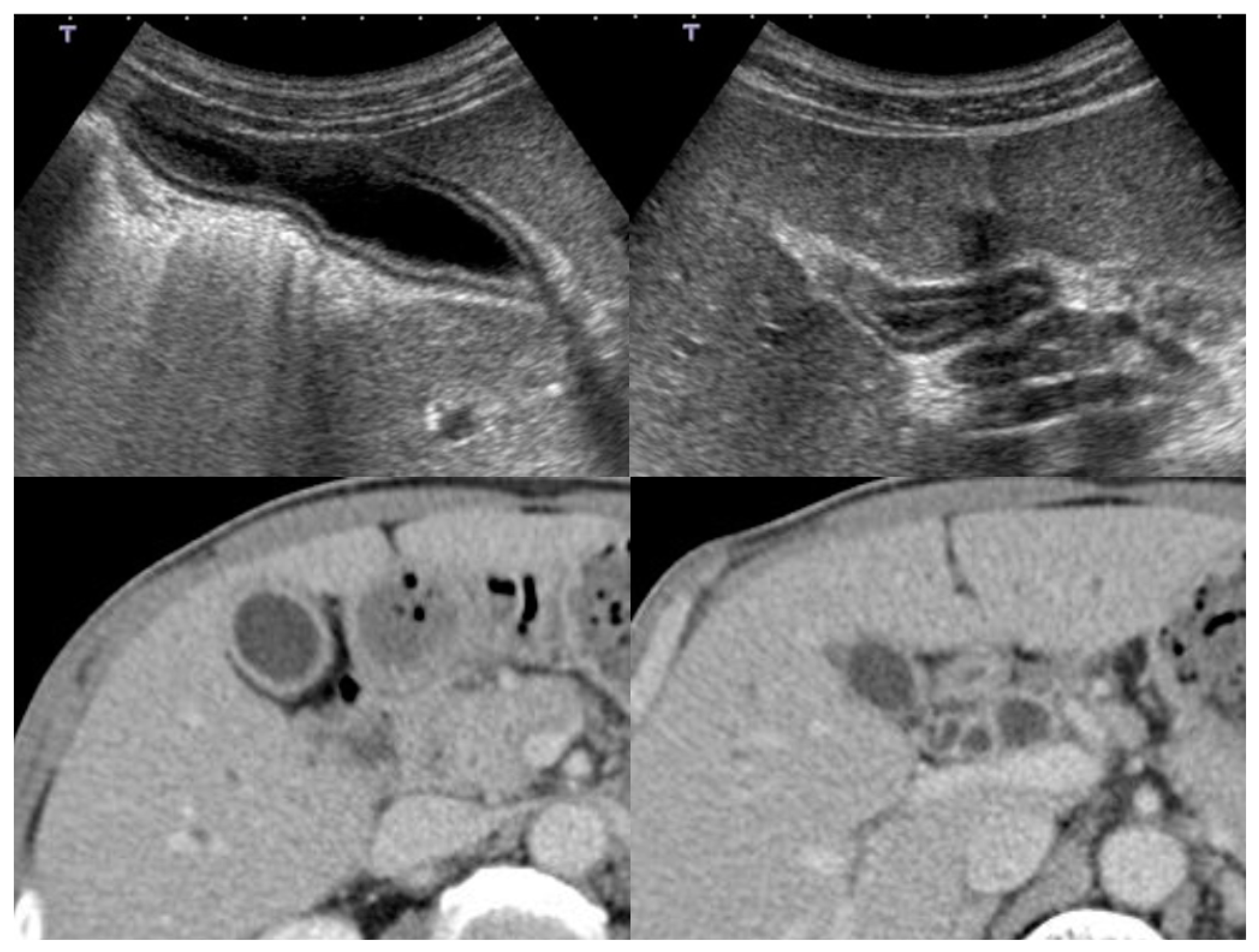
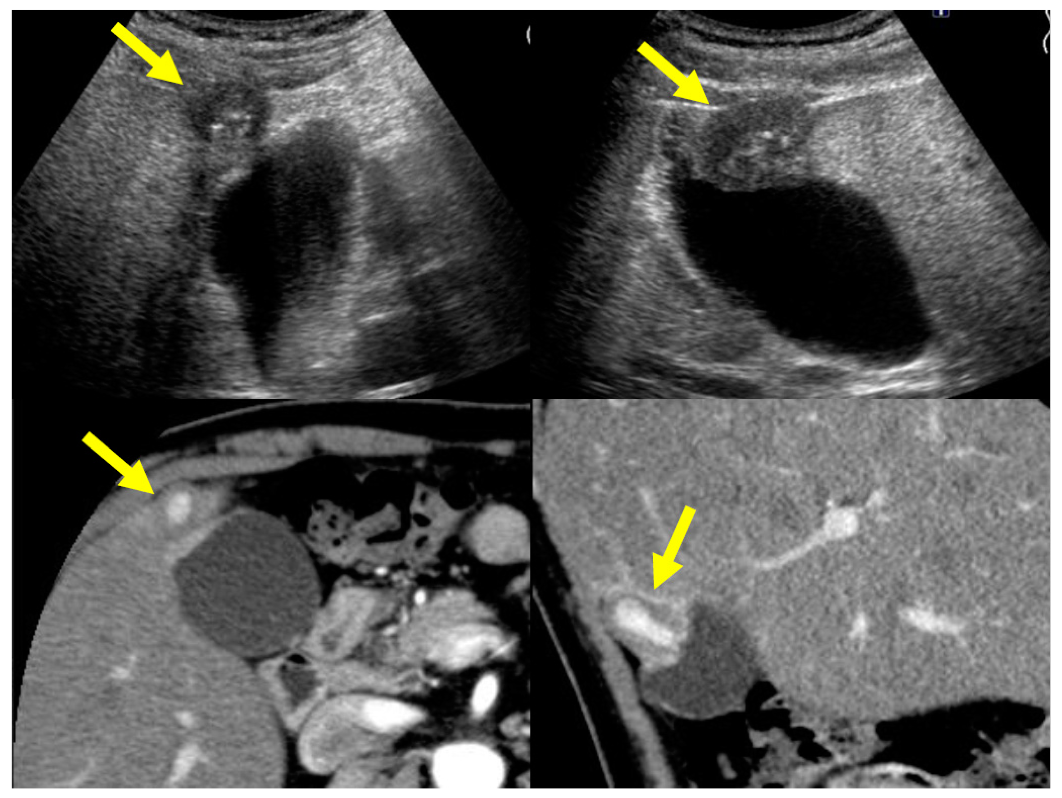
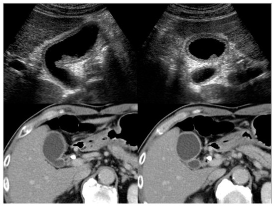
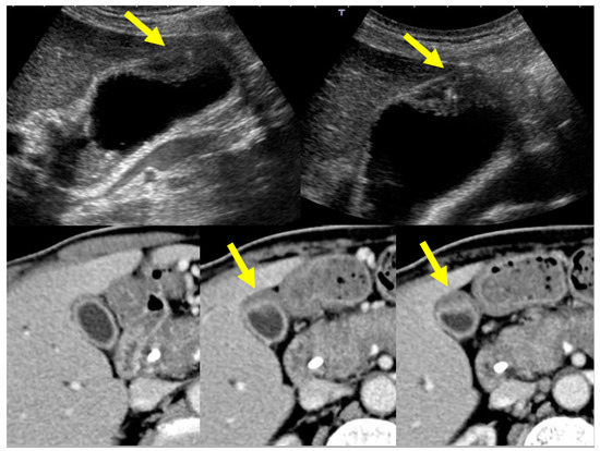
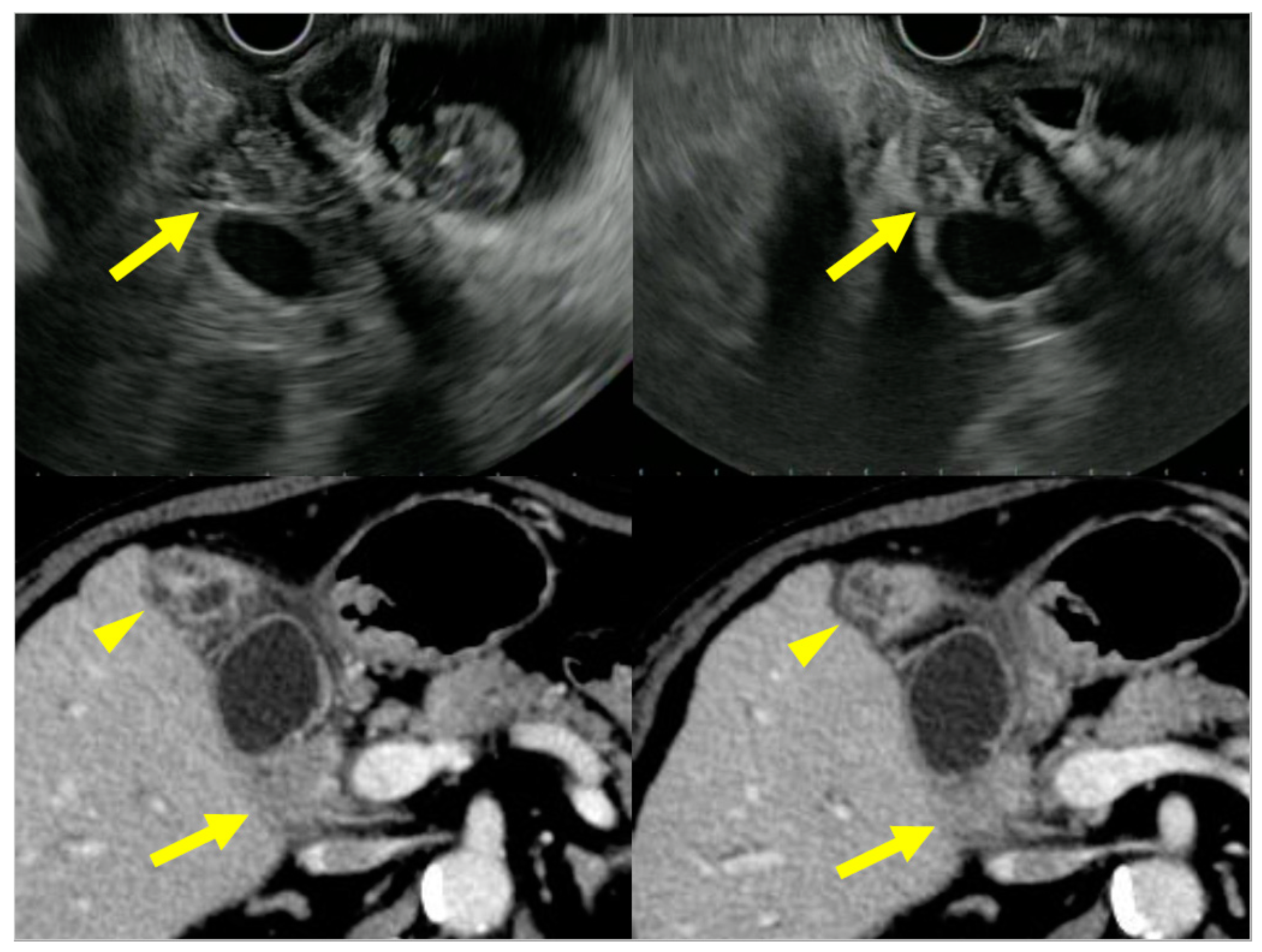
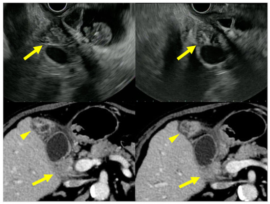
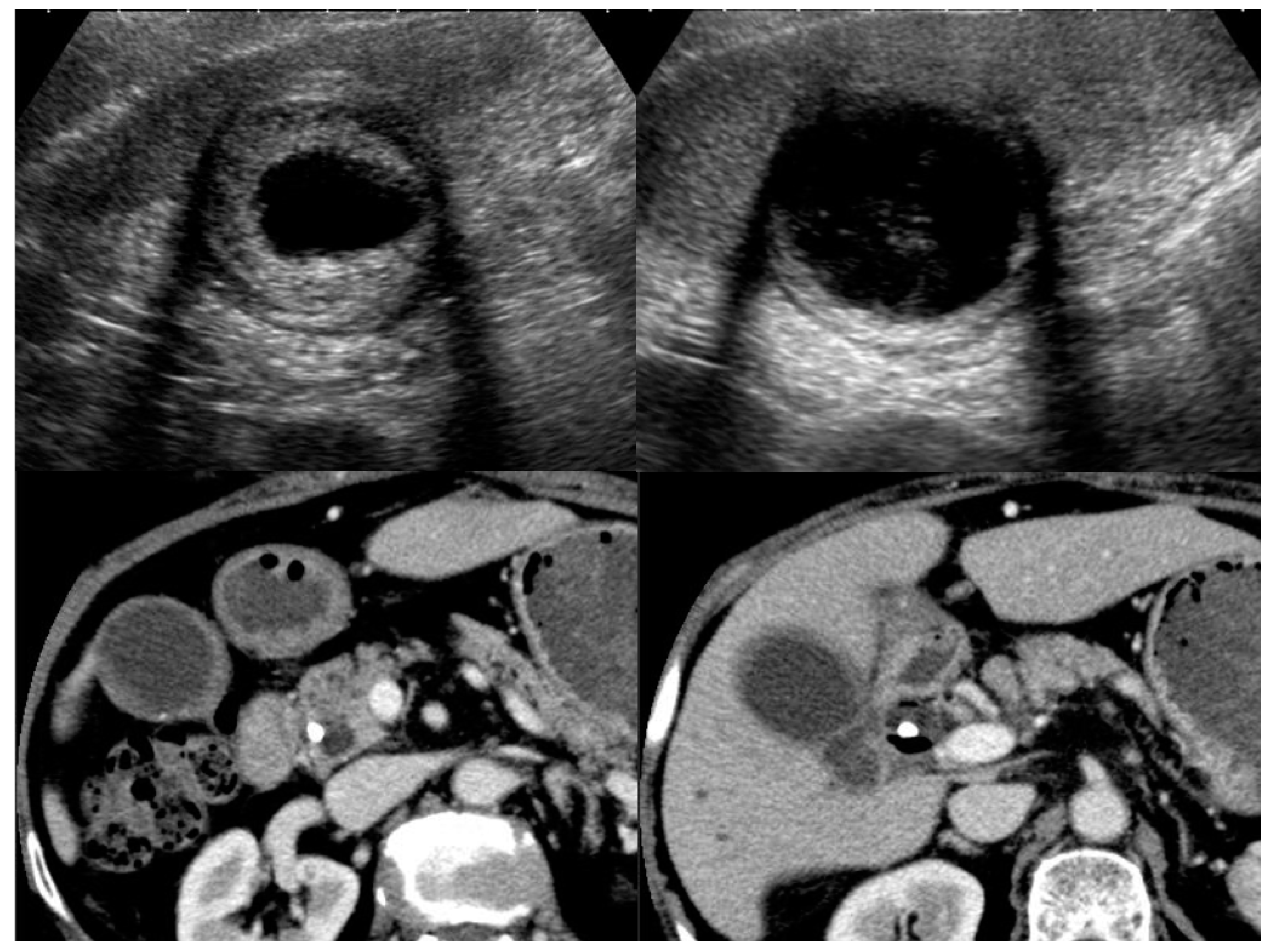
4. Image Features of IgG4-Related Sclerosing Cholecystitis
4.1. Diffuse Type of IgG4-CC
4.2. Localized Type of IgG4-CC
5. Differential Diagnosis
5.1. Gallbladder Cancer
5.2. Adenomyomatosis
5.3. Xanthogranulomatous Cholecystitis (Chronic Cholecystitis)
5.4. Malignant Lymphoma
5.5. Metastatic Neoplasm
6. Conclusions and Future Perspectives
Author Contributions
Funding
Institutional Review Board Statement
Informed Consent Statement
Data Availability Statement
Conflicts of Interest
References
- Shiokawa, M.; Kodama, Y.; Sekiguchi, K.; Kuwada, T.; Tomono, T.; Kuriyama, K.; Yamazaki, H.; Morita, T.; Marui, S.; Sogabe, Y.; et al. Laminin 511 is a target antigen in autoimmune pancreatitis. Sci. Transl. Med. 2018, 10, eaaq0997. [Google Scholar] [CrossRef] [PubMed]
- Aoki, S.; Nakazawa, T.; Ohara, H.; Sano, H.; Nakao, H.; Joh, T.; Murase, T.; Eimoto, T.; Itoh, M. Immunohistochemical study of autoimmune pancreatitis using anti-IgG4 antibody and patients’ sera. Histopathology 2005, 47, 147–158. [Google Scholar] [CrossRef]
- Khosroshahi, A.; Bloch, D.; Deshpande, V.; Stone, J.H. Rituximab therapy leads to rapid decline of serum IgG4 levels and prompt clinical improvement in IgG4-related systemic disease. Arthritis Rheum. 2010, 62, 1755–1762. [Google Scholar] [CrossRef] [PubMed]
- Khosroshahi, A.; Carruthers, M.N.; Deshpande, V.; Unizony, S.; Bloch, D.B.; Stone, J.H. Rituximab for the treatment of IgG4-related disease: Lessons from 10 consecutive patients. Medicine 2012, 91, 57–66. [Google Scholar] [CrossRef] [PubMed]
- Shimosegawa, T.; Chari, S.T.; Frulloni, L.; Kamisawa, T.; Kawa, S.; Mino-Kenudson, M.; Kim, M.-H.; Klöppel, G.; Lerch, M.M.; Löhr, M.; et al. International consensus diagnostic criteria for autoimmune pancreatitis: Guide-lines of the International Association of Pancreatology. Pancreas 2011, 40, 352–358. [Google Scholar] [CrossRef]
- Wallace, Z.S.; Naden, F.R.P.; Chari, S.; Choi, H.; Della-Torre, E.; Dicaire, J.; Hart, P.A.; Inoue, M.D.; Khosroshahi, A.; Kubota, K.; et al. The 2019 American College of Rheumatology/European League Against Rheumatism Classification Criteria for IgG4-Related Disease. Arthritis Rheumatol. 2020, 72, 7–19. [Google Scholar] [CrossRef]
- Nakazawa, T.; Kamisawa, T.; Okazaki, K.; Kawa, S.; Tazuma, S.; Nishino, T.; Inoue, D.; Naitoh, I.; Watanabe, T.; Notohara, K.; et al. Clinical diagnostic criteria for IgG4-related sclerosing cholangitis 2020: (Revision of the clinical diagnostic criteria for IgG4-related sclerosing cholangitis 2012). J. Hepato-Biliary-Pancreat. Sci. 2021, 28, 235–242. [Google Scholar] [CrossRef]
- Kamisawa, T.; Zen, Y.; Pillai, S.; Stone, J.H. IgG4-related disease. Lancet 2015, 385, 1460–1471. [Google Scholar] [CrossRef]
- Abraham, S.C.; Cruz-Correa, M.; Argani, P.; Furth, E.E.; Hruban, R.H.; Boitnott, J.K. Lymphoplasmacytic Chronic Cholecystitis and Biliary Tract Disease in Patients with Lymphoplasmacytic Sclerosing Pancreatitis. Am. J. Surg. Pathol. 2003, 27, 441–451. [Google Scholar] [CrossRef]
- Umehara, H.; Okazaki, K.; Kawa, S.; Takahashi, H.; Goto, H.; Matsui, S.; Ishizaka, N.; Akamizu, T.; Sato, Y.; Kawano, M. The 2020 revised comprehensive diagnostic (RCD) criteria for IgG4-RD. Mod. Rheumatol. 2021, 31, 529–533. [Google Scholar] [CrossRef]
- Kamisawa, T.; Tu, Y.; Nakajima, H.; Egawa, N.; Tsuruta, K.; Okamoto, A.; Horiguchi, S. Sclerosing cholecystitis associated with autoimmune pancreatitis. World J. Gastroenterol. 2006, 12, 3736–3739. [Google Scholar] [CrossRef]
- Wang, W.-L.; Farris, A.B.; Lauwers, G.Y.; Deshpande, V. Autoimmune pancreatitis-related cholecystitis: A morphologically and immunologically distinctive form of lymphoplasmacytic sclerosing cholecystitis. Histopathology 2009, 54, 829–836. [Google Scholar] [CrossRef]
- Gumbs, A.A.; Kim, J.; Kiehna, E.; Brink, J.A.; Salem, R.R. Autoimmune pancreatitis presenting as simultaneous masses in the pan-creatic head and gallbladder. JOP 2005, 10, 455–459. [Google Scholar]
- Matsubayashi, H.; Furukawa, H.; Uesaka, K.; Sasaki, K.; Ono, H.; Hruban, R.H. Autoimmune pancreatitis accompanied by chole-cystitis, periaortitis and pseudotumors of the liver. Case Rep. Gastroenterol. 2008, 2, 155–161. [Google Scholar] [CrossRef] [PubMed]
- Kawakami, H.; Eto, K.; Kuwatani, M.; Asaka, M. Localized lymphoplasmacytic sclerosing cholecystitis in a patient with autoim-mune pancreatitis. Inter. Med. 2010, 49, 2359–2360. [Google Scholar] [CrossRef] [PubMed][Green Version]
- Ishida, M.; Hodohara, K.; Yoshida, K.; Kagotani, A.; Iwai, M.; Yoshii, M.; Okuno, H.; Horinouchi, A.; Nakanishi, R.; Harada, A.; et al. Occurrence of anaplastic large cell lymphoma following IgG4-related autoimmune pancreatitis and cholecystitis and diffuse large B-cell lymphoma. Int. J. Clin. Exp. Pathol. 2013, 6, 2560–2568. [Google Scholar] [PubMed]
- Li, M.; Zhou, Q.; Yang, K.; Brigstock, D.R.; Zhang, L.; Xiu, M.; Sun, L.; Gao, R.-P. Rare case of Helicobacter pylori-positive multiorgan IgG4-related disease and gastric cancer. World J. Gastroenterol. 2015, 21, 3429–3434. [Google Scholar] [CrossRef]
- Inoue, T.; Okumura, F.; Mizushima, T.; Nishie, H.; Iwasaki, H.; Anbe, K.; Ozeki, T.; Kachi, K.; Fukusada, S.; Suzuki, Y.; et al. Localized IgG4-related Cholecystitis Mimicking Gallbladder Cancer. Intern. Med. 2015, 54, 1869–1874. [Google Scholar] [CrossRef]
- Yadav, D.; Liu, X.; Chahal, P. IgG4 disease: The great masquerader. Clin. Res. Hepatol. Gastroenterol. 2016, 40, e26–e28. [Google Scholar] [CrossRef]
- Ishigami, K.; Shitani, M.; Kimura, Y.; Hasegawa, T.; Masaki, Y.; Ito, A.; Akutsu, N.; Yamamoto, M.; Motoya, M.; Sasaki, S.; et al. Ectopic relapse of IgG4-related disease presenting as IgG4-related sclerosing cholecys-titis: A case report and review of literature. Medicine 2018, 97, e13868. [Google Scholar] [CrossRef]
- Ichinokawa, M.; Matsumoto, J.; Kuraya, T.; Kuwabara, S.; Wada, H.; Kato, K.; Ikeda, A.; Murakawa, K.; Ono, K. A rare case of localized IgG4-related sclerosing cholecystitis mimicking gallbladder cancer. J. Rural Med. 2019, 14, 138–142. [Google Scholar] [CrossRef]
- Leise, M.D.; Smyrk, T.C.; Takahashi, N.; Sweetser, S.R.; Vege, S.S.; Chari, S.T. IgG4-associated cholecystitis: Another clue in the diagno-sis of autoimmune pancreatitis. Dig. Dis. Sci. 2011, 56, 1290–1294. [Google Scholar] [CrossRef]
- Shin, S.-W.; Kim, Y.; Jeong, W.K.; Kim, J.; Kim, M.Y.; Oh, Y.H.; Pyo, J.Y. Isolated IgG4-related cholecystitis mimicking gallbladder cancer: A case report. Clin. Imaging 2013, 37, 969–971. [Google Scholar] [CrossRef]
- Lee, Y.S.; Lee, S.H.; Lee, M.G.; Lee, S.-J.; Hwang, J.-H.; Shin, E. Immunoglobulin G4-Related Disease Mimicking Unresectable Gallbladder Cancer. Gut Liver 2013, 7, 616–620. [Google Scholar] [CrossRef]
- Feely, M.M.; Gonzalo, D.H.; Corbera, M.; Hughes, S.J.; Trevino, J.G. IgG4-related cholecystitis presenting as biliary malignancy: Re-port of three cases. J. Gastrointest. Surg. 2014, 18, 1710–1715. [Google Scholar] [CrossRef] [PubMed]
- Gupta, R.K.; Patton, K.T. Hyalinizing cholecystitis with features of immunoglobulin G4-related disease-coincidence or an un-recognized association? A case report. Hum. Pathol. 2015, 46, 625–628. [Google Scholar] [CrossRef] [PubMed]
- Takahashi, K.; Ito, H.; Katsube, T.; Tsuboi, A.; Hashimoto, M.; Ota, E.; Mita, K.; Asakawa, H.; Hayashi, T.; Fujino, K.; et al. Immunoglobulin G4-related sclerosing cholecystitis presenting as gallbladder cancer: A case report. Surg. Case Rep. 2015, 1, 1–6. [Google Scholar] [CrossRef]
- Kulkarni, A.A.; Soni, P.; Sharma, V.K.; Bal, A.; Rana, S.S.; Gupta, R. Immunoglobulin G4-related disease mimicking gallbladder can-cer with associated choledochal cyst: A case report of a malignant masquerade. JGH Open 2019, 3, 536–539. [Google Scholar] [CrossRef] [PubMed]
- Jearth, V.; Patil, P.; Patkar, S.; Goel, M.; Mehta, S.; Deodhar, K.; Rao, V. Immunoglobulin G4-related cholecystitis mimicking a locally advanced gallbladder cancer—A case report and review of literature. Clin. J. Gastroenterol. 2020, 13, 806–811. [Google Scholar] [CrossRef] [PubMed]
- Nagai, K.; Kuwatani, M.; Takishin, Y.; Furukawa, R.; Hirata, H.; Kawakubo, K.; Mitsuhashi, T.; Sakamoto, N. Immunoglobulin G4-related cholecystitis mimicking gallbladder cancer diagnosed by endoscopic ultrasound-guided biopsy. Endosc Ultrasound, 2021; in press. [Google Scholar]
- Kanno, A.; Nishimori, I.; Masamune, A.; Kikuta, K.; Hirota, M.; Kuriyama, S.; Tsuji, I.; Shimosegawa, T. Nationwide Epidemiological Survey of Autoimmune Pancreatitis in Japan. Pancreas 2012, 41, 835–839. [Google Scholar] [CrossRef]
- Stone, J.H.; Zen, Y.; Deshpande, V. IgG4-related disease. N. Engl. J. Med. 2012, 366, 539–551. [Google Scholar] [CrossRef]
- Culver, E.; Sadler, R.; Simpson, D.; Cargill, T.; Makuch, M.; Bateman, A.C.; Ellis, A.J.; Collier, J.; Chapman, R.W.; Klenerman, P.; et al. Elevated Serum IgG4 Levels in Diagnosis, Treatment Response, Organ Involvement, and Relapse in a Prospective IgG4-Related Disease UK Cohort. Am. J. Gastroenterol. 2016, 111, 733–743. [Google Scholar] [CrossRef]
- Okaniwa, S. Role of conventional ultrasonography in the diagnosis of gallbladder polypoid lesions. J. Med. Ultrason. 2021, 48, 149–157. [Google Scholar] [CrossRef] [PubMed]
- Fujita, N.; Noda, Y.; Kobayashi, G.; Kimura, K.; Yago, A.; Mochizuki, F. Analysis of the layer structure of the gallbladder by endo-scopic ultrasound using the pinning method. Dig. Endosc. 1995, 7, 353–356. [Google Scholar] [CrossRef]
- Yamaguchi, T.; Kayahara, M.; Furukawa, H.; Sato, N.; Onishi, I.; Ohyama, S.; Kasashima, S.; Kawashima, A. A Case of Isolated IgG4-related Cholecystitis Mimicking Gallbladder Cancer. J. Jpn. Surg. Assoc. 2015, 76, 3042–3046. [Google Scholar] [CrossRef]
- Hong, S.A.; Sung, Y.-N.; Kim, H.J.; Lee, S.S.; Lee, J.H.; Ahn, C.-S.; Hwang, S.; Yu, E.; Zen, Y.; Kim, M.-H.; et al. Xanthogranulomatous cholecystitis shows overlapping histological features with IgG4-related cholecystitis. Histopathology 2017, 72, 569–579. [Google Scholar] [CrossRef]
- Ramachandran, A.; Srivastava, D.N.; Madhusudhan, K.S. Gallbladder cancer revisited: The evolving role of a radiologist. Br. J. Radiol. 2021, 94, 20200726. [Google Scholar] [CrossRef] [PubMed]
- Kai, K.; Hamada, T.; Hiyoshi, M.; Imamura, N.; Yano, K.; Nagano, M.; Kai, M.; Hidaka, T.; Shimoda, K.; Haruyama, Y.; et al. Diffuse large B-cell lymphoma of the gallbladder arised 8 years aftermalignant lymphoma of the right testis: A case report and literaturereview. Int. J. Surg. Case Rep. 2020, 76, 19–24. [Google Scholar] [CrossRef]
- Johnson, S.A.; Kumar, A.; Matasar, M.; Schöder, H.; Rademaker, J. Imaging for Staging and Response Assessment in Lymphoma. Radiology 2015, 276, 323–338. [Google Scholar] [CrossRef] [PubMed]
- Chatterjee, A.; Vendrami, C.L.; Nikolaidis, P.; Mittal, P.K.; Bandy, A.J.; Menias, C.O.; Hammond, N.A.; Yaghmai, V.; Yang, G.; Miller, F.H. Uncommon Intraluminal Tumors of the Gallbladder and Biliary Tract: Spec-trum of Imaging Appearances. Radiographics 2019, 39, 388–412. [Google Scholar] [CrossRef] [PubMed]
- Zouari, S.; Ben Othmen, M.; Abdessayed, N.; Mama, N.L.; Jarrar, M.S.; Sriha, B.; Mokni, M.; Jaidane, M.; Hmida, W. Metastatic renal clear cell carcinoma mimicking a gallbladder polyp: Case report and literature review. Int. J. Surg. Case Rep. 2019, 64, 133–138. [Google Scholar] [CrossRef] [PubMed]












| Year | Author | M/F | Age | Symptom | Location | Serum IgG4 (mg/dl) | Infiltration to the Liver | Adjacent CBD Wall Thickening | GB Stone | US/EUS Type | CT Type |
|---|---|---|---|---|---|---|---|---|---|---|---|
| 2005 | Gumbs | F | 68 | Epigastralgia, fever, jaundice *, low appetite | Gf | NA | (-) | (-) | (-) | NA | Protruding A with 3-layer feature |
| 2008 | Matsubayashi | M | 62 | Jaundice * | Diffuse | 764 | (-) | (-) | (-) | 3-layer | 1-layer |
| 2010 | Kawakami § | M | 55 | None | Gf | 455 | (-) | (-) | (-) | Protruding A | Protruding A † |
| 2013 | Ishida | M | 61 | None | Diffuse | NA | (-) | (-) | (-) | NA | NA |
| 2015 | Li | M | 61 | Abdominal distension, pruritus *, jaundice * | Diffuse | 1750 | (-) | (+) | (-) | NA | 1-layer |
| 2015 | Inoue § | F | 60 | None | Gf | 813 | (-) | (-) | (-) | Protruding A’ | Protruding A’ |
| 2016 | Yadav | M | 68 | Jaundice *, right-sided abdominal pain, weight loss | Diffuse | 164 | (-) | (-) | (-) | NA | NA |
| 2018 | Ishigami | M | 82 | None | Diffuse | 943 | (-) | (-) | (-) | 2-layer A | NA |
| 2019 | Ichinokawa § | M | 56 | None | Gf | 721 | (-) | (-) | (-) | Raised-floor’ | Raised-floor |
| Year | Author | M/F | Age | Symptom | Location | Serum IgG4 (mg/dl) | Infiltration to the Liver | Adjacent CBD Wall Thickening | GB Stone | US/EUS Type | CT Type |
|---|---|---|---|---|---|---|---|---|---|---|---|
| 2011 | Leise | M | 76 | Right upper quadrant discomfort | Diffuse | 134 | (-) | (+) | (-) | NA | 2-layer |
| 2013 | Shin | M | 58 | Right upper quadrant pain | Diffuse | NA | (+) | (-) | (+) | NA | Protruding B’ |
| 2013 | Lee | M | 59 | Jaundice, right upper abdominal discomfort | Gn | 75 | (+) | (+) | (+) | NA | Protruding A † |
| 2014 | Feely || | F | 61 | Jaundice, indigestion, acholic stools | Gn | 17 | (+) | (+) | (-) | NA | Others |
| 2014 | Feely || | F | 71 | Right upper quadrant pain | Gf | (45) | (+) | (-) | (+) | NA | Protruding A ‡ |
| 2014 | Feely | M | 53 | right upper quadrant and mid-epigastric pain | Gf | NA | (+) | (-) | (-) | NA | Protruding A ‡ |
| 2015 | Gupta | M | 76 | None | Gf-Gb | 436 | (-) | (-) | (-) (debris) | Raised-floor’ | NA |
| 2015 | Takahashi || | M | 18 | jaundice, nausea, fatigue, loss of appetite | Gn | 40 | (-) | (-) | (-) | NA | Protruding A † |
| 2019 | Kulkarni | M | 48 | Upper abdominal pain | Gfb | After Sx: 63 | (+) | (+) | (+) | NA | Protruding A |
| 2020 | Jearth | M | 57 | Intermittent right upper quadrant pain | Diffuse | 261 | (+) | (-) | (+) | NA | 2-layer |
| 2021 | Nagai | M | 70 | None | Gn | 282 | (-) | (+) | (-) (debris) | Protruding B’ | Protruding B |
Publisher’s Note: MDPI stays neutral with regard to jurisdictional claims in published maps and institutional affiliations. |
© 2021 by the authors. Licensee MDPI, Basel, Switzerland. This article is an open access article distributed under the terms and conditions of the Creative Commons Attribution (CC BY) license (https://creativecommons.org/licenses/by/4.0/).
Share and Cite
Kuwatani, M.; Sakamoto, N. Clinical and Image Characteristics of IgG4-Related Sclerosing Cholecystitis. Diagnostics 2021, 11, 1358. https://doi.org/10.3390/diagnostics11081358
Kuwatani M, Sakamoto N. Clinical and Image Characteristics of IgG4-Related Sclerosing Cholecystitis. Diagnostics. 2021; 11(8):1358. https://doi.org/10.3390/diagnostics11081358
Chicago/Turabian StyleKuwatani, Masaki, and Naoya Sakamoto. 2021. "Clinical and Image Characteristics of IgG4-Related Sclerosing Cholecystitis" Diagnostics 11, no. 8: 1358. https://doi.org/10.3390/diagnostics11081358
APA StyleKuwatani, M., & Sakamoto, N. (2021). Clinical and Image Characteristics of IgG4-Related Sclerosing Cholecystitis. Diagnostics, 11(8), 1358. https://doi.org/10.3390/diagnostics11081358

