Whole-Body Magnetic Resonance Imaging: Current Role in Patients with Lymphoma
Abstract
1. Introduction
2. Current Recommendations for Imaging of Lymphoma
3. Whole-Body MRI: General and Technical Aspects
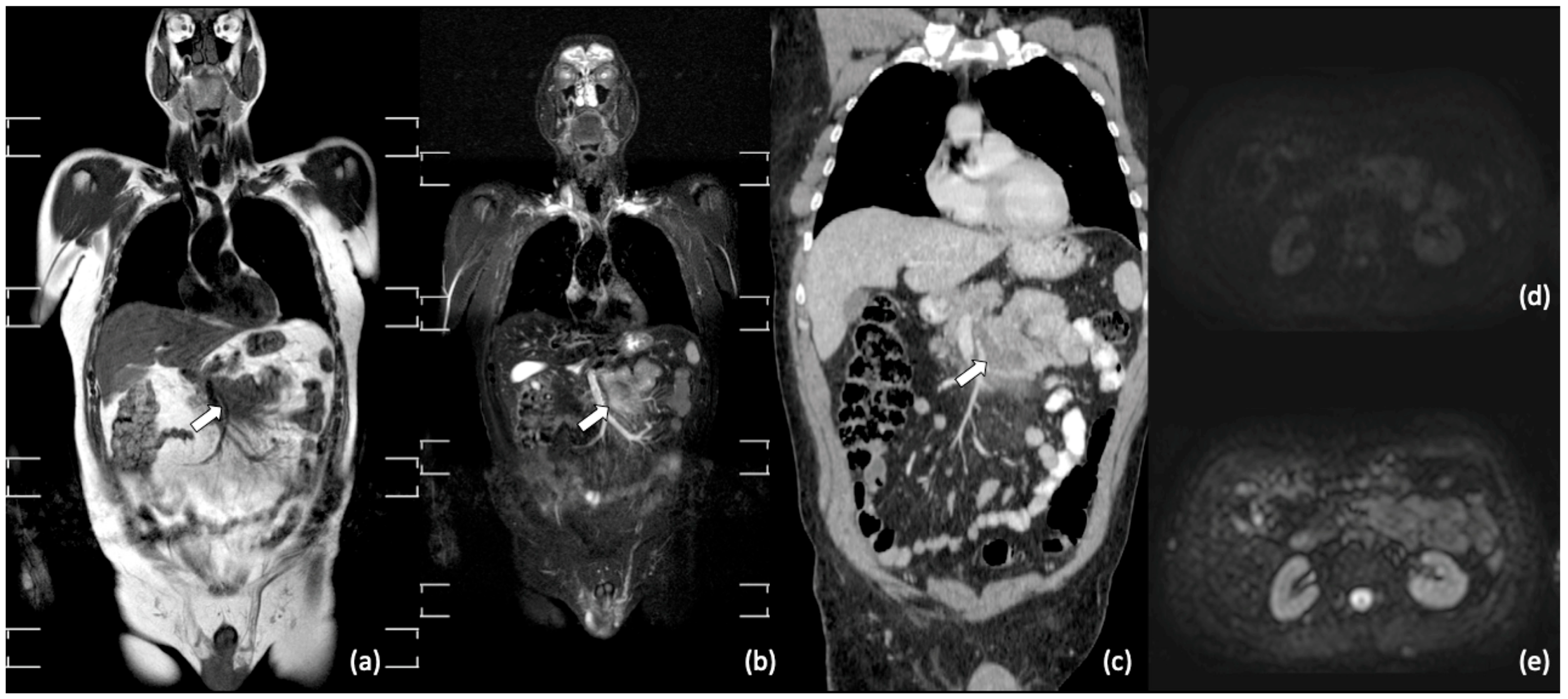
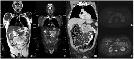
4. Staging of Lymphoma
5. Response to Therapy, Surveillance and Follow-Up
6. Future Perspectives
7. Conclusions
Author Contributions
Funding
Institutional Review Board Statement
Informed Consent Statement
Data Availability Statement
Conflicts of Interest
References
- Siegel, R.; Naishadham, D.; Jemal, A. Cancer statistics, 2012. CA Cancer J. Clin. 2012, 62, 10–29. [Google Scholar] [CrossRef]
- Siegel, D.A.; King, J.; Tai, E.; Buchanan, N.; Ajani, U.A.; Li, J. Cancer Incidence Rates and Trends Among Children and Adolescents in the United States, 2001–2009. Pediatrics 2014, 134, e945–e955. [Google Scholar] [CrossRef]
- Jaffe, E.S. Diagnosis and classification of lymphoma: Impact of technical advances. Semin. Hematol. 2019, 56, 30–36. [Google Scholar] [CrossRef]
- Shanbhag, S.; Ambinder, R.F. Hodgkin lymphoma: A review and update on recent progress. CA Cancer J. Clin. 2018, 68, 116–132. [Google Scholar] [CrossRef] [PubMed]
- Shah, H.J.; Keraliya, A.R.; Jagannathan, J.P.; Tirumani, S.H.; Lele, V.R.; DiPiro, P.J. Diffuse Large B-Cell Lymphoma in the Era of Precision Oncology: How Imaging Is Helpful. Korean J. Radiol. 2017, 18, 54–70. [Google Scholar] [CrossRef]
- Ceriani, L.; Martelli, M.; Conconi, A.; Zinzani, P.L.; Ferreri, A.J.M.; Botto, B.; Stelitano, C.; Gotti, M.; Cabras, M.G.; Rigacci, L.; et al. Prognostic models for primary mediastinal (thymic) B-cell lymphoma derived from 18-FDG PET/CT quantitative parameters in the International Extranodal Lymphoma Study Group (IELSG) 26 study. Br. J. Haematol. 2017, 178, 588–591. [Google Scholar] [CrossRef]
- Lunning, M.A.; Vose, J.M. Management of indolent lymphoma: Where are we now and where are we going. Blood Rev. 2012, 26, 279–288. [Google Scholar] [CrossRef]
- Armitage, J.O.; Longo, D.L. Is watch and wait still acceptable for patients with low-grade follicular lymphoma? Blood 2016, 127, 2804–2808. [Google Scholar] [CrossRef] [PubMed]
- Cheson, B.D.; Fisher, R.I.; Barrington, S.F.; Cavalli, F.; Schwartz, L.H.; Zucca, E.; Lister, T.A. Recommendations for Initial Evaluation, Staging, and Response Assessment of Hodgkin and Non-Hodgkin Lymphoma: The Lugano Classification. J. Clin. Oncol. 2014, 32, 3059–3067. [Google Scholar] [CrossRef]
- Gallamini, A.; Borra, A. Fdg-Pet scan: A new paradigm for follicular lymphoma management. Mediterr. J. Hematol. Infect. Dis. 2016, 9, e2017029. [Google Scholar] [CrossRef] [PubMed]
- Chien, S.-H.; Liu, C.-J.; Hu, Y.-W.; Hong, Y.-C.; Teng, C.-J.; Yeh, C.-M.; Chiou, T.-J.; Gau, J.-P.; Tzeng, C.-H. Frequency of surveillance computed tomography in non-Hodgkin lymphoma and the risk of secondary primary malignancies: A nationwide population-based study. Int. J. Cancer 2015, 137, 658–665. [Google Scholar] [CrossRef]
- Huang, B.; Law, M.W.-M.; Khong, P.-L. Whole-Body PET/CT Scanning: Estimation of Radiation Dose and Cancer Risk. Radiology 2009, 251, 166–174. [Google Scholar] [CrossRef] [PubMed]
- Albano, D.; Stecco, A.; Micci, G.; Sconfienza, L.M.; Colagrande, S.; Reginelli, A.; Grassi, R.; Carriero, A.; Midiri, M.; Lagalla, R.; et al. Whole-body magnetic resonance imaging (WB-MRI) in oncology: An Italian survey. La Radiol. Med. 2021, 126, 299–305. [Google Scholar] [CrossRef]
- Stecco, A.; Buemi, F.; Iannessi, A.; Carriero, A.; Gallamini, A. Current concepts in tumor imaging with whole-body MRI with diffusion imaging (WB-MRI-DWI) in multiple myeloma and lymphoma. Leuk. Lymphoma 2018, 59, 2546–2556. [Google Scholar] [CrossRef] [PubMed]
- Lister, T.A.; Crowther, D.; Sutcliffe, S.B.; Glatstein, E.; Canellos, G.P.; Young, R.C.; Rosenberg, S.A.; Coltman, C.A.; Tubiana, M. Report of a committee convened to discuss the evaluation and staging of patients with Hodgkin’s disease: Cotswolds meeting. J. Clin. Oncol. 1989, 7, 1630–1636. [Google Scholar] [CrossRef] [PubMed]
- El-Galaly, T.C.; D’Amore, F.; Mylam, K.J.; Brown, P.D.N.; Bøgsted, M.; Bukh, A.; Specht, L.; Loft, A.; Iyer, V.; Hjorthaug, K.; et al. Routine Bone Marrow Biopsy Has Little or No Therapeutic Consequence for Positron Emission Tomography/Computed Tomography–Staged Treatment-Naive Patients with Hodgkin Lymphoma. J. Clin. Oncol. 2012, 30, 4508–4514. [Google Scholar] [CrossRef]
- Zinzani, P.L.; Stefoni, V.; Tani, M.; Fanti, S.; Musuraca, G.; Castellucci, P.; Marchi, E.; Fina, M.; Ambrosini, V.; Pellegrini, C.; et al. Role of [18F]Fluorodeoxyglucose Positron Emission Tomography Scan in the Follow-Up of Lymphoma. J. Clin. Oncol. 2009, 27, 1781–1787. [Google Scholar] [CrossRef] [PubMed]
- Galia, M.; Albano, D.; Narese, D.; Patti, C.; Chianca, V.; Di Pietto, F.; Mulè, A.; Grassedonio, E.; La Grutta, L.; Lagalla, R.; et al. Whole-body MRI in patients with lymphoma: Collateral findings. La Radiol. Med. 2016, 121, 793–800. [Google Scholar] [CrossRef]
- Padhani, A.R.; Liu, G.; Mu-Koh, D.; Chenevert, T.L.; Thoeny, H.C.; Takahara, T.; Dzik-Jurasz, A.; Ross, B.D.; Van Cauteren, M.; Collins, D.; et al. Diffusion-Weighted Magnetic Resonance Imaging as a Cancer Biomarker: Consensus and Recommendations. Neoplasia 2009, 11, 102–125. [Google Scholar] [CrossRef]
- Kwee, T.C.; Kwee, R.M.; Nievelstein, R.A.J. Imaging in staging of malignant lymphoma: A systematic review. Blood 2008, 111, 504–516. [Google Scholar] [CrossRef]
- Morone, M.; Bali, M.A.; Tunariu, N.; Messiou, C.; Blackledge, M.; Grazioli, L.; Koh, D.-M. Whole-Body MRI: Current Applications in Oncology. Am. J. Roentgenol. 2017, 209. [Google Scholar] [CrossRef] [PubMed]
- Pozzi, G.; Albano, D.; Messina, C.; Angileri, S.A.; Al-Mnayyis, A.; Galbusera, F.; Luzzati, A.; Perrucchini, G.; Scotto, G.; Parafioriti, A.; et al. Solid bone tumors of the spine: Diagnostic performance of apparent diffusion coefficient measured using diffusion-weighted MRI using histology as a reference standard. J. Magn. Reson. Imaging 2017, 47, 1034–1042. [Google Scholar] [CrossRef]
- Albano, D.; La Grutta, L.; Grassedonio, E.; Patti, C.; Lagalla, R.; Midiri, M.; Galia, M. Pitfalls in whole body MRI with diffusion weighted imaging performed on patients with lymphoma: What radiologists should know. Magn. Reson. Imaging 2016, 34, 922–931. [Google Scholar] [CrossRef]
- Mayerhoefer, M.E.; Karanikas, G.; Kletter, K.; Prosch, H.; Kiesewetter, B.; Skrabs, C.; Porpaczy, E.; Weber, M.; Pinker-Domenig, K.; Berzaczy, D.; et al. Evaluation of Diffusion-Weighted MRI for Pretherapeutic Assessment and Staging of Lymphoma: Results of a Prospective Study in 140 Patients. Clin. Cancer Res. 2014, 20, 2984–2993. [Google Scholar] [CrossRef]
- Punwani, S.; Cheung, K.K.; Skipper, N.; Bell, N.; Bainbridge, A.; Taylor, S.A.; Groves, A.M.; Hain, S.F.; Ben-Haim, S.; Shankar, A.; et al. Dynamic contrast-enhanced MRI improves accuracy for detecting focal splenic involvement in children and adolescents with Hodgkin disease. Pediatr. Radiol. 2013, 43, 941–949. [Google Scholar] [CrossRef]
- Littooij, A.S.; Kwee, T.C.; Barber, I.; Granata, C.; De Keizer, B.; Beek, F.J.; Hobbelink, M.G.; Fijnheer, R.; Stoker, J.; Nievelstein, R.A. Accuracy of whole-body MRI in the assessment of splenic involvement in lymphoma. Acta Radiol. 2015, 57, 142–151. [Google Scholar] [CrossRef] [PubMed]
- Doniselli, F.M.; Albano, D.; Chianca, V.; Cimmino, M.A.; Sconfienza, L.M. Gadolinium accumulation after contrast-enhanced magnetic resonance imaging: What rheumatologists should know. Clin. Rheumatol. 2017, 36, 977–980. [Google Scholar] [CrossRef] [PubMed]
- Savarino, E.; Chianca, V.; Bodini, G.; Albano, D.; Messina, C.; Tontini, G.E.; Sconfienza, L.M. Gadolinium accumulation after contrast-enhanced magnetic resonance imaging: Which implications in patients with Crohn’s disease? Dig. Liver Dis. 2017, 49, 728–730. [Google Scholar] [CrossRef]
- Azzedine, B.; Kahina, M.-B.; Dimitri, P.; Christophe, P.; Alain, D.; Claude, M. Whole-body diffusion-weighted MRI for staging lymphoma at 3.0T: Comparative study with MR imaging at 1.5T. Clin. Imaging 2015, 39, 104–109. [Google Scholar] [CrossRef]
- Wang, D.; Huo, Y.; Chen, S.; Wang, H.; Ding, Y.; Zhu, X.; Ma, C. Whole-body MRI versus 18F-FDG PET/CT for pretherapeutic assessment and staging of lymphoma: A meta-analysis. OncoTargets Ther. 2018, 11, 3597–3608. [Google Scholar] [CrossRef]
- Moskowitz, C.H. Interim PET-CT in the management of diffuse large B-cell lymphoma. Hematology 2012, 2012, 397–401. [Google Scholar] [CrossRef]
- Albano, D.; Patti, C.; Lagalla, R.; Midiri, M.; Galia, M. Whole-body MRI, FDG-PET/CT, and bone marrow biopsy, for the assessment of bone marrow involvement in patients with newly diagnosed lymphoma. J. Magn. Reson. Imaging 2017, 45, 1082–1089. [Google Scholar] [CrossRef]
- Albano, D.; Patti, C.; La Grutta, L.; Agnello, F.; Grassedonio, E.; Mulè, A.; Cannizzaro, G.; Ficola, U.; Lagalla, R.; Midiri, M.; et al. Comparison between whole-body MRI with diffusion-weighted imaging and PET/CT in staging newly diagnosed FDG-avid lymphomas. Eur. J. Radiol. 2016, 85, 313–318. [Google Scholar] [CrossRef] [PubMed]
- Lin, C.; Luciani, A.; Itti, E.; El-Gnaoui, T.; Vignaud, A.; Beaussart, P.; Lin, S.-J.; Belhadj, K.; Brugières, P.; Evangelista, E.; et al. Whole-body diffusion-weighted magnetic resonance imaging with apparent diffusion coefficient mapping for staging patients with diffuse large B-cell lymphoma. Eur. Radiol. 2010, 20, 2027–2038. [Google Scholar] [CrossRef]
- Abdulqadhr, G.; Molin, D.; Astrom, G.; Suurkula, M.; Johansson, L.; Hagberg, H.; Ahlström, H. Whole-body diffusion-weighted imaging compared with FDG-PET/CT in staging of lymphoma patients. Acta Radiol. 2011, 52, 173–180. [Google Scholar] [CrossRef]
- Kwee, T.C.; Vermoolen, M.A.; Akkerman, E.A.; Kersten, M.J.; Fijnheer, R.; Ludwig, I.; Beek, F.J.; van Leeuwen, M.S.; Bierings, M.B.; Bruin, M.C.; et al. Whole-body MRI, including diffusion-weighted imaging, for staging lymphoma: Comparison with CT in a prospective multicenter study. J. Magn. Reson. Imaging 2014, 40, 26–36. [Google Scholar] [CrossRef]
- Balbo-Mussetto, A.; Cirillo, S.; Bruna, R.; Gueli, A.; Saviolo, C.; Petracchini, M.; Fornari, A.; Lario, C.; Gottardi, D.; De Crescenzo, A.; et al. Whole-body MRI with diffusion-weighted imaging: A valuable alternative to contrast-enhanced CT for initial staging of aggressive lymphoma. Clin. Radiol. 2016, 71, 271–279. [Google Scholar] [CrossRef] [PubMed]
- Stecco, A.; Buemi, F.; Quagliozzi, M.; Lombardi, M.; Santagostino, A.; Sacchetti, G.M.; Carriero, A. Staging of Primary Abdominal Lymphomas: Comparison of Whole-Body MRI with Diffusion-Weighted Imaging and18F-FDG-PET/CT. Gastroenterol. Res. Pr. 2015, 2015, 1–8. [Google Scholar] [CrossRef] [PubMed]
- Stecco, A.; Trisoglio, A.; Soligo, E.; Berardo, S.; Sukhovei, L.; Carriero, A. Whole-Body MRI with Diffusion-Weighted Imaging in Bone Metastases: A Narrative Review. Diagnostics 2018, 8, 45. [Google Scholar] [CrossRef] [PubMed]
- Adams, H.J.A.; Kwee, T.C.; Vermoolen, M.A.; De Keizer, B.; De Klerk, J.M.H.; Adam, J.A.; Fijnheer, R.; Kersten, M.J.; Stoker, J.; Nievelstein, R.A.J. Whole-body MRI for the detection of bone marrow involvement in lymphoma: Prospective study in 116 patients and comparison with FDG-PET. Eur. Radiol. 2013, 23, 2271–2278. [Google Scholar] [CrossRef] [PubMed]
- Haddy, T.B.; Parker, R.I.; Magrath, I.T. Bone marrow involvement in young patients with non-Hodgkin’s lymphoma: The importance of multiple bone marrow samples for accurate staging. Med. Pediatr. Oncol. 2006, 17, 418–423. [Google Scholar] [CrossRef]
- Gallamini, A.; Hutchings, M.; Rigacci, L.; Specht, L.; Merli, F.; Hansen, M.; Patti, C.; Loft, A.; Di Raimondo, F.; D’Amore, F.; et al. Early Interim 2-[18F]Fluoro-2-Deoxy-D-Glucose Positron Emission Tomography Is Prognostically Superior to International Prognostic Score in Advanced-Stage Hodgkin’s Lymphoma: A Report From a Joint Italian-Danish Study. J. Clin. Oncol. 2007, 25, 3746–3752. [Google Scholar] [CrossRef]
- Gallamini, A.; Tarella, C.; Viviani, S.; Rossi, A.; Patti, C.; Mulé, A.; Picardi, M.; Romano, A.; Cantonetti, M.; La Nasa, G.; et al. Early Chemotherapy Intensification With Escalated BEACOPP in Patients With Advanced-Stage Hodgkin Lymphoma With a Positive Interim Positron Emission Tomography/Computed Tomography Scan After Two ABVD Cycles: Long-Term Results of the GITIL/FIL HD 0607 Trial. J. Clin. Oncol. 2018, 36, 454–462. [Google Scholar] [CrossRef] [PubMed]
- Albano, D.; Patti, C.; Matranga, D.; Lagalla, R.; Midiri, M.; Galia, M. Whole-body diffusion-weighted MR and FDG-PET/CT in Hodgkin Lymphoma: Predictive role before treatment and early assessment after two courses of ABVD. Eur. J. Radiol. 2018, 103, 90–98. [Google Scholar] [CrossRef]
- Horger, M.; Claussen, C.; Kramer, U.; Fenchel, M.; Lichy, M.; Kaufmann, S. Very early indicators of response to systemic therapy in lymphoma patients based on alterations in water diffusivity—A preliminary experience in 20 patients undergoing whole-body diffusion-weighted imaging. Eur. J. Radiol. 2014, 83, 1655–1664. [Google Scholar] [CrossRef] [PubMed]
- Latifoltojar, A.; Punwani, S.; Lopes, A.; Humphries, P.D.; Klusmann, M.; Menezes, L.J.; Daw, S.; Shankar, A.; Neriman, D.; Fitzke, H.; et al. Whole-body MRI for staging and interim response monitoring in paediatric and adolescent Hodgkin’s lymphoma: A comparison with multi-modality reference standard including 18F-FDG-PET-CT. Eur. Radiol. 2018, 29, 202–212. [Google Scholar] [CrossRef] [PubMed]
- Lin, C.; Itti, E.; Luciani, A.; Zegai, B.; Lin, S.-J.; Kuhnowski, F.; Pigneur, F.; Gaillard, I.; Paone, G.; Meignan, M.; et al. Whole-Body Diffusion-Weighted Imaging With Apparent Diffusion Coefficient Mapping for Treatment Response Assessment in Patients With Diffuse Large B-Cell Lymphoma. Investig. Radiol. 2011, 46, 341–349. [Google Scholar] [CrossRef] [PubMed]
- De Paepe, K.; Bevernage, C.; De Keyzer, F.; Wolter, P.; Gheysens, O.; Janssens, A.; Oyen, R.; Verhoef, G.; Vandecaveye, V. Whole-body diffusion-weighted magnetic resonance imaging at 3 Tesla for early assessment of treatment response in non-Hodgkin lymphoma: A pilot study. Cancer Imaging 2013, 13, 53–62. [Google Scholar] [CrossRef] [PubMed][Green Version]
- Mayerhoefer, M.E.; Karanikas, G.; Kletter, K.; Prosch, H.; Kiesewetter, B.; Skrabs, C.; Porpaczy, E.; Weber, M.; Knogler, T.; Sillaber, C.; et al. Evaluation of Diffusion-Weighted Magnetic Resonance Imaging for Follow-up and Treatment Response Assessment of Lymphoma: Results of an 18F-FDG-PET/CT–Controlled Prospective Study in 64 Patients. Clin. Cancer Res. 2015, 21, 2506–2513. [Google Scholar] [CrossRef] [PubMed]
- Brenner, H.; Gondos, A.; Pulte, D. Survival Expectations of Patients Diagnosed with Hodgkin’s Lymphoma in 2006–2010. Oncologist 2009, 14, 806–813. [Google Scholar] [CrossRef]
- National Comprehesive Cancer Network. NCCN Clinical Practice Guidelines in Oncology (NCCN Guidelines®) Hodg-Kin Lymphoma Ver. 3. 2018. Available online: https://www.nccn.org/professionals/physician_gls/default.aspx#hodgkin (accessed on 7 July 2018).
- Rademaker, J.; Ryan, D.; Matasar, M.; Portlock, C. Whole-body diffusion-weighted MR imaging in lymphoma surveillance. Hematol. Oncol. 2017, 35, 304–305. [Google Scholar] [CrossRef]
- Galia, M.; Albano, D.; Tarella, C.; Patti, C.; Sconfienza, L.M.; Mulè, A.; Alongi, P.; Midiri, M.; Lagalla, R. Whole body magnetic resonance in indolent lymphomas under watchful waiting: The time is now. Eur. Radiol. 2017, 28, 1187–1193. [Google Scholar] [CrossRef] [PubMed]
- Albano, D.; Patti, C.; La Grutta, L.; Grassedonio, E.; Mulè, A.; Brancatelli, G.; Lagalla, R.; Midiri, M.; Galia, M. Osteonecrosis detected by whole body magnetic resonance in patients with Hodgkin Lymphoma treated by BEACOPP. Eur. Radiol. 2017, 27, 2129–2136. [Google Scholar] [CrossRef] [PubMed]
- Colombo, A.; Saia, G.; Azzena, A.; Rossi, A.; Zugni, F.; Pricolo, P.; Summers, P.; Marvaso, G.; Grimm, R.; Bellomi, M.; et al. Semi-Automated Segmentation of Bone Metastases from Whole-Body MRI: Reproducibility of Apparent Diffusion Coefficient Measurements. Diagnostics 2021, 11, 499. [Google Scholar] [CrossRef] [PubMed]
- Brancato, V.; Aiello, M.; Della Pepa, R.; Basso, L.; Garbino, N.; Nicolai, E.; Picardi, M.; Salvatore, M.; Cavaliere, C. Automatic Prediction and Assessment of Treatment Response in Patients with Hodgkin’s Lymphoma Using a Whole-Body DW-MRI Based Approach. Diagnostics 2020, 10, 702. [Google Scholar] [CrossRef]
- Spijkers, S.; Nievelstein, R.A.; De Keizer, B.; Bruin, M.C.; Littooij, A.S. Fused high b-value diffusion weighted and T2-weighted MR images in staging of pediatric Hodgkin’s lymphoma: A pilot study. Eur. J. Radiol. 2019, 121, 108737. [Google Scholar] [CrossRef]
- De Paepe, K.N.; De Keyzer, F.; Wolter, P.; Bechter, O.; Dierickx, D.; Janssens, A.; Verhoef, G.; Oyen, R.; Vandecaveye, V. Improving lymph node characterization in staging malignant lymphoma using first-order ADC texture analysis from whole-body diffusion-weighted MRI. J. Magn. Reson. Imaging 2018, 48, 897–906. [Google Scholar] [CrossRef]
- Wu, X.; Sikiö, M.; Pertovaara, H.; Järvenpää, R.; Eskola, H.; Dastidar, P.; Kellokumpu-Lehtinen, P.-L. Differentiation of Diffuse Large B-cell Lymphoma from Follicular Lymphoma Using Texture Analysis on Conventional MR Images at 3.0 Tesla. Acad. Radiol. 2016, 23, 696–703. [Google Scholar] [CrossRef]





| Imaging Modality | Strengths | Weak Points |
|---|---|---|
| Whole-body MRI | High contrast resolution in soft tissues and bone marrow | MRI contraindications (i.e., pace-maker, claustrophobia) |
| Cellularity assessment through diffusion- weighted imaging | Limited availability and less performed by general radiologists | |
| Neither contrast injection nor radiation exposure | Lower diagnostic performance in lung locations of disease | |
| It can be performed in pregnant patients | Long acquisition and reporting time | |
| Contrast enhanced CT | Widely available and standard acquisition protocol | No functional or metabolic information |
| High spatial resolution | Contrast media administration | |
| Short acquisition time | Radiation exposure | |
| 18F-FDG-PET/CT | Metabolic evaluation with recognized SUVmax cutoff | Histology dependent, some subtypes do not work for FDG uptake |
| Standardized acquisition and reporting (Deauville Score) | High burden of ionizing radiations | |
| Wide availability | Long acquisition time |
Publisher’s Note: MDPI stays neutral with regard to jurisdictional claims in published maps and institutional affiliations. |
© 2021 by the authors. Licensee MDPI, Basel, Switzerland. This article is an open access article distributed under the terms and conditions of the Creative Commons Attribution (CC BY) license (https://creativecommons.org/licenses/by/4.0/).
Share and Cite
Albano, D.; Micci, G.; Patti, C.; Midiri, F.; Albano, S.; Lo Re, G.; Grassedonio, E.; La Grutta, L.; Lagalla, R.; Galia, M. Whole-Body Magnetic Resonance Imaging: Current Role in Patients with Lymphoma. Diagnostics 2021, 11, 1007. https://doi.org/10.3390/diagnostics11061007
Albano D, Micci G, Patti C, Midiri F, Albano S, Lo Re G, Grassedonio E, La Grutta L, Lagalla R, Galia M. Whole-Body Magnetic Resonance Imaging: Current Role in Patients with Lymphoma. Diagnostics. 2021; 11(6):1007. https://doi.org/10.3390/diagnostics11061007
Chicago/Turabian StyleAlbano, Domenico, Giuseppe Micci, Caterina Patti, Federico Midiri, Silvia Albano, Giuseppe Lo Re, Emanuele Grassedonio, Ludovico La Grutta, Roberto Lagalla, and Massimo Galia. 2021. "Whole-Body Magnetic Resonance Imaging: Current Role in Patients with Lymphoma" Diagnostics 11, no. 6: 1007. https://doi.org/10.3390/diagnostics11061007
APA StyleAlbano, D., Micci, G., Patti, C., Midiri, F., Albano, S., Lo Re, G., Grassedonio, E., La Grutta, L., Lagalla, R., & Galia, M. (2021). Whole-Body Magnetic Resonance Imaging: Current Role in Patients with Lymphoma. Diagnostics, 11(6), 1007. https://doi.org/10.3390/diagnostics11061007

