Improvement of the Diagnosis of Isoattenuating Pancreatic Carcinomas by Defining Their Characteristics on Contrast Enhanced Computed Tomography and Endosonography with Fine-Needle Aspiration (EUS-FNA)
Abstract
1. Introduction
2. Materials and Methods
2.1. Study Design
2.2. Gold Standard
2.3. EUS-FNA Examination Technique
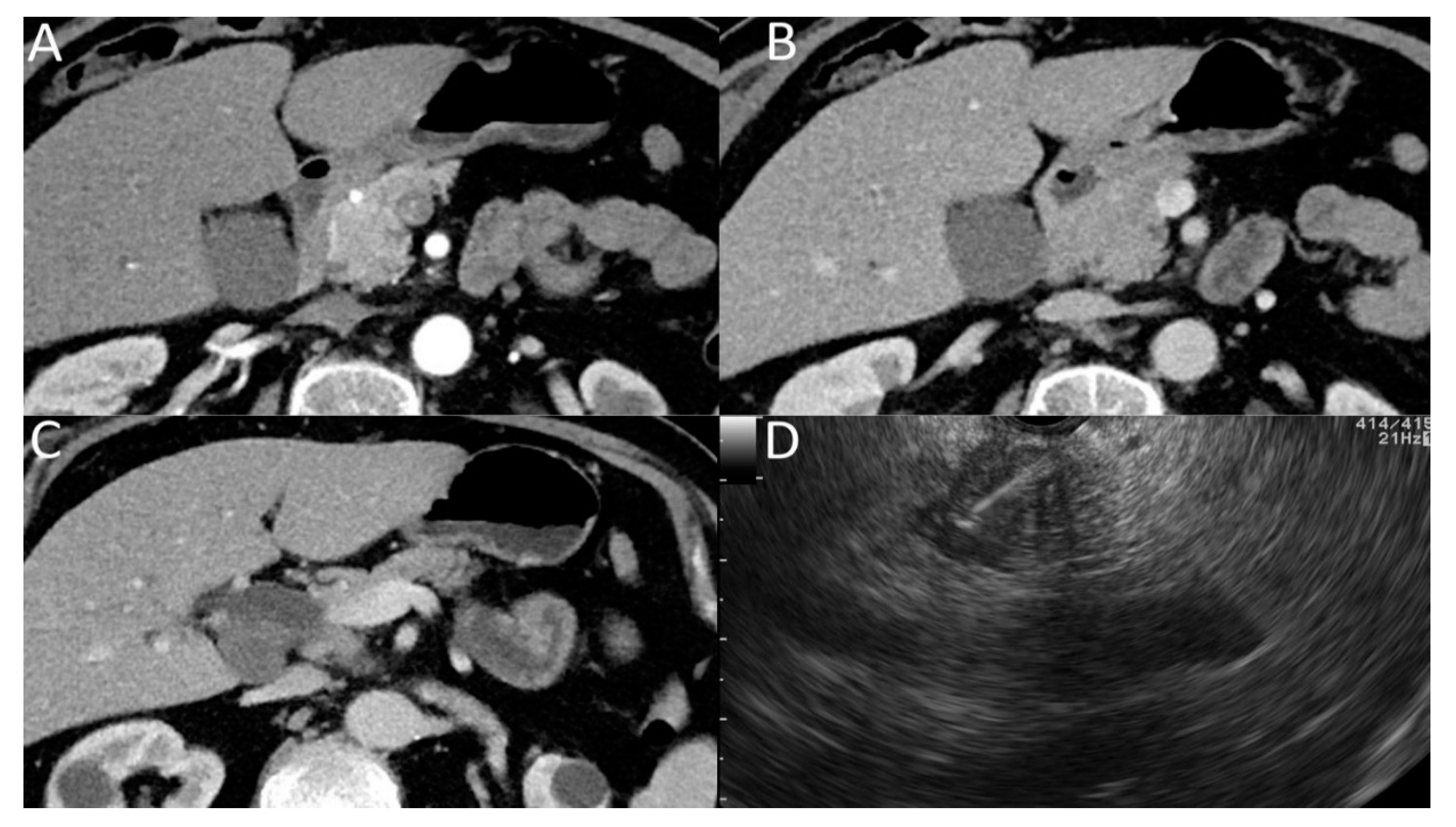
2.4. CT Examination Technique
2.5. Evaluation of CT Examination and Definitions of Secondary Signs of Pancreatic Carcinomas
2.6. Study Endpoints and Monitored Characteristics
2.7. Statistical Analysis
3. Results
3.1. General Characteristics
3.2. Secondary Signs of Isoattenuating Pancreatic Carcinomas on CT
3.3. EUS Findings and the Role of EUS-FNA in the Confirmation of Pancreatic Cancer
4. Discussion
Author Contributions
Funding
Institutional Review Board Statement
Informed Consent Statement
Data Availability Statement
Acknowledgments
Conflicts of Interest
Appendix A. Detailed Description of EUS-FNA Technique
Appendix B. Description of CT Scanner Parameters
References
- Bray, F.; Ferlay, J.; Soerjomataram, I.; Siegel, R.L.; Torre, L.A.; Jemal, A. Global Cancer Statistics 2018: GLOBOCAN Estimates of Incidence and Mortality Worldwide for 36 Cancers in 185 Countries. CA Cancer J. Clin. 2018, 68, 394–424. [Google Scholar] [CrossRef]
- Lovecek, M.; Janatova, M.; Skalicky, P.; Zemanek, T.; Havlik, R.; Ehrmann, J.; Strouhal, O.; Zemankova, P.; Lhotova, K.; Borecka, M.; et al. Genetic Analysis of Subsequent Second Primary Malignant Neoplasms in Long-Term Pancreatic Cancer Survivors Suggests New Potential Hereditary Genetic Alterations. Cancer Manag. Res. 2019, 11, 599–609. [Google Scholar] [CrossRef]
- Toft, J.; Hadden, W.J.; Laurence, J.M.; Lam, V.; Yuen, L.; Janssen, A.; Pleass, H. Imaging Modalities in the Diagnosis of Pancreatic Adenocarcinoma: A Systematic Review and Meta-Analysis of Sensitivity, Specificity and Diagnostic Accuracy. Eur. J. Radiol. 2017, 92, 17–23. [Google Scholar] [CrossRef]
- Yamao, K.; Takenaka, M.; Ishikawa, R.; Okamoto, A.; Yamazaki, T.; Nakai, A.; Omoto, S.; Kamata, K.; Minaga, K.; Matsumoto, I.; et al. Partial Pancreatic Parenchymal Atrophy Is a New Specific Finding to Diagnose Small Pancreatic Cancer (≤10 Mm) Including Carcinoma in Situ: Comparison with Localized Benign Main Pancreatic Duct Stenosis Patients. Diagnostics 2020, 10, 445. [Google Scholar] [CrossRef]
- Zhang, L.; Sanagapalli, S.; Stoita, A. Challenges in Diagnosis of Pancreatic Cancer. World J. Gastroenterol. 2018, 24, 2047–2060. [Google Scholar] [CrossRef] [PubMed]
- Haeno, H.; Gonen, M.; Davis, M.B.; Herman, J.M.; Iacobuzio-Donahue, C.A.; Michor, F. Computational Modeling of Pancreatic Cancer Reveals Kinetics of Metastasis Suggesting Optimum Treatment Strategies. Cell 2012, 148, 362–375. [Google Scholar] [CrossRef] [PubMed]
- Blouhos, K.; Boulas, K.A.; Tsalis, K.; Hatzigeorgiadis, A. The Isoattenuating Pancreatic Adenocarcinoma: Review of the Literature and Critical Analysis. Surg. Oncol. 2015, 24, 322–328. [Google Scholar] [CrossRef] [PubMed]
- Kim, J.H.; Park, S.H.; Yu, E.S.; Kim, M.-H.; Kim, J.; Byun, J.H.; Lee, S.S.; Hwang, H.J.; Hwang, J.-Y.; Lee, S.S.; et al. Visually Isoattenuating Pancreatic Adenocarcinoma at Dynamic-Enhanced CT: Frequency, Clinical and Pathologic Characteristics, and Diagnosis at Imaging Examinations. Radiology 2010, 257, 87–96. [Google Scholar] [CrossRef]
- Ishigami, K.; Yoshimitsu, K.; Irie, H.; Tajima, T.; Asayama, Y.; Nishie, A.; Hirakawa, M.; Ushijima, Y.; Okamoto, D.; Nagata, S.; et al. Diagnostic Value of the Delayed Phase Image for Iso-Attenuating Pancreatic Carcinomas in the Pancreatic Parenchymal Phase on Multidetector Computed Tomography. Eur. J. Radiol. 2009, 69, 139–146. [Google Scholar] [CrossRef]
- Yoon, S.H.; Lee, J.M.; Cho, J.Y.; Lee, K.B.; Kim, J.E.; Moon, S.K.; Kim, S.J.; Baek, J.H.; Kim, S.H.; Kim, S.H.; et al. Small (≤20 Mm) Pancreatic Adenocarcinomas: Analysis of Enhancement Patterns and Secondary Signs with Multiphasic Multidetector CT. Radiology 2011, 259, 442–452. [Google Scholar] [CrossRef] [PubMed]
- Puli, S.R.; Bechtold, M.L.; Buxbaum, J.L.; Eloubeidi, M.A. How Good Is Endoscopic Ultrasound–Guided Fine-Needle Aspiration in Diagnosing the Correct Etiology for a Solid Pancreatic Mass?: A Meta-Analysis and Systematic Review. Pancreas 2013, 42, 20–26. [Google Scholar] [CrossRef] [PubMed]
- Dumonceau, J.-M.; Polkowski, M.; Larghi, A.; Vilmann, P.; Giovannini, M.; Frossard, J.-L.; Heresbach, D.; Pujol, B.; Fernández-Esparrach, G.; Vazquez-Sequeiros, E.; et al. Indications, Results, and Clinical Impact of Endoscopic Ultrasound (EUS)-Guided Sampling in Gastroenterology: European Society of Gastrointestinal Endoscopy (ESGE) Clinical Guideline. Endoscopy 2011, 43, 897–912. [Google Scholar] [CrossRef] [PubMed]
- Hartwig, W.; Werner, J.; Jäger, D.; Debus, J.; Büchler, M.W. Improvement of Surgical Results for Pancreatic Cancer. Lancet Oncol. 2013, 14, e476–e485. [Google Scholar] [CrossRef]
- Kliment, M.; Urban, O.; Cegan, M.; Fojtik, P.; Falt, P.; Dvorackova, J.; Lovecek, M.; Straka, M.; Jaluvka, F. Endoscopic Ultrasound-Guided Fine Needle Aspiration of Pancreatic Masses: The Utility and Impact on Management of Patients. Scand. J. Gastroenterol. 2010, 45, 1372–1379. [Google Scholar] [CrossRef] [PubMed]
- Tamada, T.; Ito, K.; Kanomata, N.; Sone, T.; Kanki, A.; Higaki, A.; Hayashida, M.; Yamamoto, A. Pancreatic Adenocarcinomas without Secondary Signs on Multiphasic Multidetector CT: Association with Clinical and Histopathologic Features. Eur. Radiol. 2016, 26, 646–655. [Google Scholar] [CrossRef]
- Aslan, S.; Nural, M.S.; Camlidag, I.; Danaci, M. Efficacy of Perfusion CT in Differentiating of Pancreatic Ductal Adenocarcinoma from Mass-Forming Chronic Pancreatitis and Characterization of Isoattenuating Pancreatic Lesions. Abdom. Radiol. 2019, 44, 593–603. [Google Scholar] [CrossRef] [PubMed]
- Prokesch, R.W.; Chow, L.C.; Beaulieu, C.F.; Bammer, R.; Jeffrey, R.B. Isoattenuating Pancreatic Adenocarcinoma at Multi–Detector Row CT: Secondary Signs. Radiology 2002, 224, 764–768. [Google Scholar] [CrossRef]
- Illés, D.; Terzin, V.; Holzinger, G.; Kosár, K.; Róka, R.; Zsóri, G.; Ábrahám, G.; Czakó, L. New-Onset Type 2 Diabetes Mellitus—A High-Risk Group Suitable for the Screening of Pancreatic Cancer? Pancreatology 2016, 16, 266–271. [Google Scholar] [CrossRef] [PubMed]
- Kanno, A.; Masamune, A.; Hanada, K.; Kikuyama, M.; Kitano, M. Advances in Early Detection of Pancreatic Cancer. Diagnostics 2019, 9, 18. [Google Scholar] [CrossRef]
- Wang, W.; Shpaner, A.; Krishna, S.G.; Ross, W.A.; Bhutani, M.S.; Tamm, E.P.; Raju, G.S.; Xiao, L.; Wolff, R.A.; Fleming, J.B.; et al. Use of EUS-FNA in Diagnosing Pancreatic Neoplasm without a Definitive Mass on CT. Gastrointest. Endosc. 2013, 78, 73–80. [Google Scholar] [CrossRef]
- Kohoutová, D.; Bureš, J.; Zar, S.; Urban, O. Carcinoma of Pancreatobiliary Origin. Gastroenterol. Res. Pract. 2020, 2020, 1–2. [Google Scholar] [CrossRef] [PubMed]



| Inclusion criteria | 
| Definite diagnosis of pancreatic carcinoma | 
| Contrast enhanced CT followed by EUS-FNA at the time of the diagnosis | 
| Pancreatic cancer visualized on EUS | 
| Age over 18 | 
| Exclusion criteria | 
| Incomplete contrast enhanced CT (lack of pancreatic or portal venous phase) | 
| False positive EUS-FNA | 
| Evidence of chronic pancreatitis on CT | 
| Variables | Isoattenuating Pancreatic Carcinomas (n = 21) | Hypoattenuating Pancreatic Carcinomas (n = 152) | p Value | 
|---|---|---|---|
| Median age (quartiles) | 70 (66, 72) years | 68 (63.5, 74) years | 0.993 | 
| Sex (male) | 13 (61.9%) | 79 (52.0%) | 0.534 | 
| Surgical resection | 18 (85.7%) | 68 (44.7%) | 0.001 | 
| Secondary Signs on CT | Isoattenuating Pancreatic Carcinomas (n = 21) | Hypoattenuating Pancreatic Carcinomas (n = 152) | p Value | 
|---|---|---|---|
| Abnormal pancreatic contour (n) | 7 (33.3%) | 99 (65.1%) | 0.01 | 
| Dilatation of pancreatic duct or CBD (n) | 18 (85.7%) | 100 (65.8%) | 0.11 | 
| Atrophy of distal pancreatic parenchyma (n) | 2 (9.5%) | 77 (50.7%) | ˂0.001 | 
| Interruption of pancreatic duct (n) | 16 (76.2%) | 93 (61.2%) | 0.27 | 
| Variables | Isoattenuating Pancreatic Carcinomas (n = 21) | Hypoattenuating Pancreatic Carcinomas (n = 152) | p Value | 
|---|---|---|---|
| Size on EUS | |||
| Median (quartiles) | 20 (17,23) mm | 31 (26,43) mm | ˂0.001 | 
| Range | 10–27 mm | 11–94 mm | |
| Distribution | |||
| ≤20 mm | 11 (52.4%) | 12 (7.9%) | |
| 21–30 mm | 10 (47.6%) | 61 (40.1%) | <0.001 | 
| >30 mm | 0 (0%) | 79 (52.0%) | |
| Location on EUS | |||
| Head | 21 (100%) | 90 (59.2%) | <0.001 | 
| Body | 0 (0%) | 46 (30.3%) | 0.007 | 
| Tail | 0 (0%) | 16 (10.5%) | 0.247 | 
| FNA Sensitivity | 19 (90.5%) | 141 (92.8%) | 0.886 | 
| Publisher’s Note: MDPI stays neutral with regard to jurisdictional claims in published maps and institutional affiliations. | 
© 2021 by the authors. Licensee MDPI, Basel, Switzerland. This article is an open access article distributed under the terms and conditions of the Creative Commons Attribution (CC BY) license (https://creativecommons.org/licenses/by/4.0/).
Share and Cite
Psar, R.; Urban, O.; Cerna, M.; Rohan, T.; Hill, M. Improvement of the Diagnosis of Isoattenuating Pancreatic Carcinomas by Defining Their Characteristics on Contrast Enhanced Computed Tomography and Endosonography with Fine-Needle Aspiration (EUS-FNA). Diagnostics 2021, 11, 776. https://doi.org/10.3390/diagnostics11050776
Psar R, Urban O, Cerna M, Rohan T, Hill M. Improvement of the Diagnosis of Isoattenuating Pancreatic Carcinomas by Defining Their Characteristics on Contrast Enhanced Computed Tomography and Endosonography with Fine-Needle Aspiration (EUS-FNA). Diagnostics. 2021; 11(5):776. https://doi.org/10.3390/diagnostics11050776
Chicago/Turabian StylePsar, Robert, Ondrej Urban, Marie Cerna, Tomas Rohan, and Martin Hill. 2021. "Improvement of the Diagnosis of Isoattenuating Pancreatic Carcinomas by Defining Their Characteristics on Contrast Enhanced Computed Tomography and Endosonography with Fine-Needle Aspiration (EUS-FNA)" Diagnostics 11, no. 5: 776. https://doi.org/10.3390/diagnostics11050776
APA StylePsar, R., Urban, O., Cerna, M., Rohan, T., & Hill, M. (2021). Improvement of the Diagnosis of Isoattenuating Pancreatic Carcinomas by Defining Their Characteristics on Contrast Enhanced Computed Tomography and Endosonography with Fine-Needle Aspiration (EUS-FNA). Diagnostics, 11(5), 776. https://doi.org/10.3390/diagnostics11050776
 
         
                                                


 
       