Synchronous Colorectal Cancer: Improving Accuracy of Detection and Analyzing Molecular Heterogeneity—The Main Keys for Optimal Approach
Abstract
1. Introduction
2. Materials and Methods
2.1. Pre- and Intraoperative Assessments
2.2. Histopathological Assessment
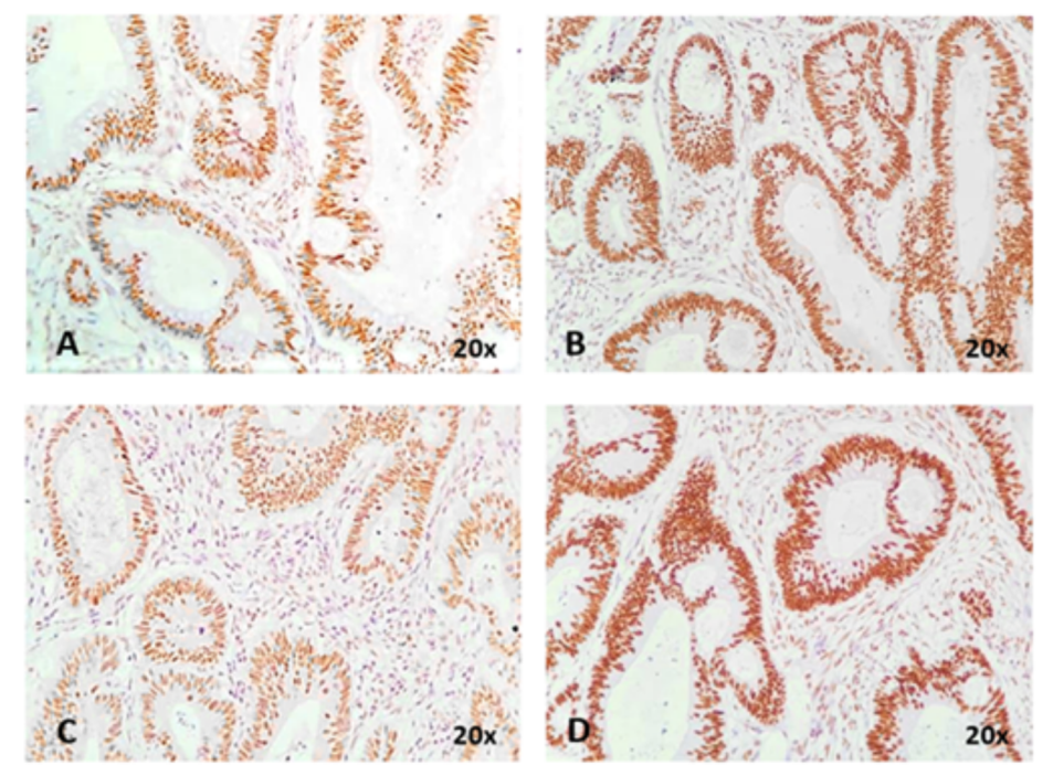
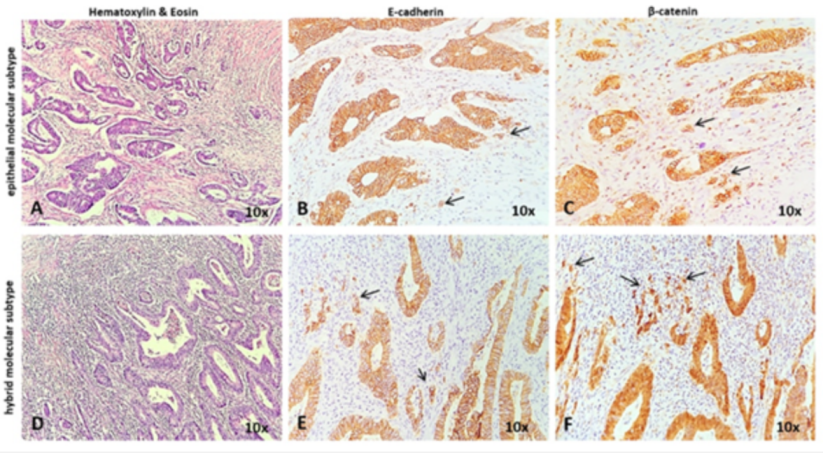
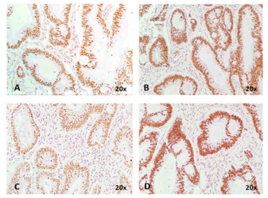
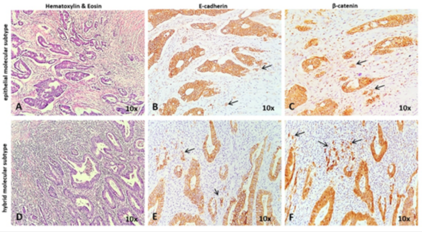
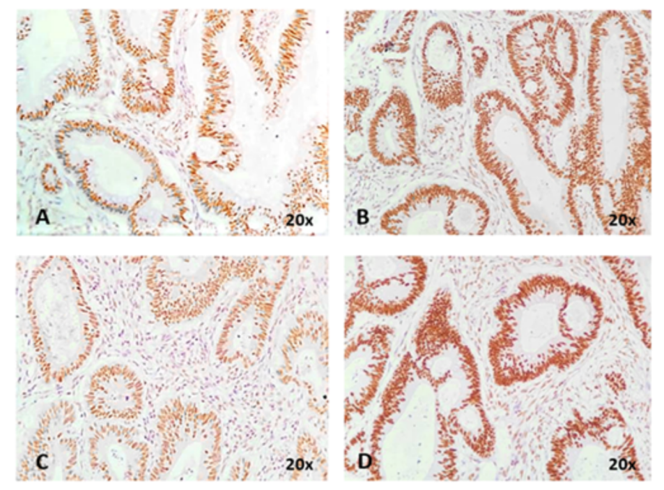
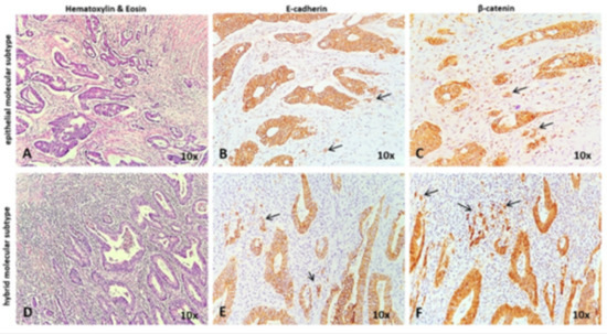
2.3. Immunohistochemical and Molecular Examination
2.4. Follow-Up
3. Results
3.1. Clinicopathological, Imaging and Histological Aspects
3.2. KRAS and BRAF Gene Profiles
3.3. Postoperative Treatment and Follow-Up of the Patients
4. Discussion
5. Conclusions
Author Contributions
Funding
Institutional Review Board Statement
Informed Consent Statement
Data Availability Statement
Acknowledgments
Conflicts of Interest
References
- Nojadeh, J.N.; Behrouz Sharif, S.; Sakhinia, E. Microsatellite instability in colorectal cancer. EXCLI J. 2018, 17, 159–168. [Google Scholar] [PubMed]
- Fitzmaurice, C.; Dicker, D.; Pain, A.; Hamavid, H.; Moradi-Lakeh, M.; Macintyre, M.F.; Allen, C.; Hansen, G.; Woodbrook, R.; Wolfe, C.; et al. The Global Burden of Cancer 2013. JAMA Oncol. 2015, 1, 505–527. [Google Scholar] [CrossRef] [PubMed]
- García-Figueiras, R.; Baleato-González Sandra Padhani, A.R.; Luna-Alcalá, A.; Marhuenda, A.; Vilanova, J.C.; Osorio-Vázquez, I.; Martínez-de-Alegría, A.; Gómez-Caamaño, A. Advanced Imaging Techniques in Evaluation of Colorectal Cancer. RadioGraphics 2018, 38, 740–765. [Google Scholar] [CrossRef] [PubMed]
- Kato, T.; Alonso, S.; Muto, Y.; Noda, H.; Miyakura, Y.; Suzuki, K.; Tsujinaka, S.; Saito, M.; Perucho, M.; Rikiyama, T. Clinical characteristics of synchronous colorectal cancers in Japan. World J. Surg. Oncol. 2016, 14, 272. [Google Scholar] [CrossRef]
- Agnew, J.L.; Abbadessa, B.; Leitman, I.M. Strategies to Evaluate Synchronous Carcinomas of the Colon and Rectum in Patients That Present for Emergent Surgery. Int. J. Surg. Oncol. 2013, 2013, 309439. [Google Scholar] [CrossRef]
- Yang, J.; Peng, J.Y.; Chen, W. Synchronous Colorectal Cancers: A Review of Clinical Features, Diagnosis, Treatment, and Prognosis. Dig. Surg. 2011, 28, 379–385. [Google Scholar] [CrossRef]
- Warren, S.; Gates, O. Multiple primary malignant tumors, a survey of the literature and statistical study. Am. J. Cancer 1932, 16, 1358–1414. [Google Scholar]
- Lee, B.C.; Yu, C.S.; Kim, J.; Lee, J.L.; Kim, C.W.; Yoon, Y.S.; Park, I.J.; Lim, S.-B.; Kim, J.C. Clinicopathological features and surgical options for synchronous colorectal cancer. Medicine 2017, 96, e6224. [Google Scholar] [CrossRef]
- Nosho, K.; Kure, S.; Irahara, N.; Shima, K.; Baba, Y.; Spiegelman, D.; Meyerhardt, J.A.; Giovannucci, E.L.; Fuchs, C.S.; Ogino, S. A prospective cohort study shows unique epigenetic, genetic, and prognostic features of synchronous colorectal cancers. Gastroenterology 2009, 137, 1609–1620.e203. [Google Scholar] [CrossRef]
- Molinari, C.; Marisi, G.; Passardi, A.; Matteucci, L.; De Maio, G.; Ulivi, P. Heterogeneity in Colorectal Cancer: A Challenge for Personalized Medicine? Int. J. Mol. Sci. 2018, 19, 3733. [Google Scholar] [CrossRef]
- Passman, M.A.; Pommier, R.F.; Vetto, J.T. Synchronous colon primaries have the same prognosis as solitary colon cancers. Dis. Colon. Rectum. 1996, 39, 329–334. [Google Scholar] [CrossRef]
- Chan, G.H.J.; Chee, C.E. Making sense of adjuvant chemotherapy in colorectal cancer. World J. Gastroenterol. Oncol. 2019, 10, 1183–1192. [Google Scholar] [CrossRef]
- Arakawa, K.; Hata, K.; Nozawa, H.; Kawai, K.; Tanaka, T.; Nishikawa, T.; Sasaki, K.; Shuno, Y.; Kaneko, M.; Hiyoshi, M.; et al. Molecular Subtypes Are Frequently Discordant Between Lesions in Patients with Synchronous Colorectal Cancer: Molecular Analysis of 59 Patients. Anticancer Res. 2019, 39, 1425–1432. [Google Scholar] [CrossRef]
- Japanese Society for Cancer of the Colon and Rectum. Japanese Classification of Colorectal, Appendiceal, and Anal Carcinoma: The 3d English Edition [Secondary Publication]. J. Anus Rectum Colon 2019, 3, 175–195. [Google Scholar] [CrossRef]
- Banias, L.; Jung, I.; Bara, T.; Fulop, Z.; Simu, P.; Simu, I.; Satala, C.; Gurzu, S. Immunohistochemical-based molecular subtyping of colorectal carcinoma using maspin and markers of epithelial-mesenchymal transition. Oncol. Lett. 2020, 19, 1487–1495. [Google Scholar] [CrossRef] [PubMed]
- Sargent, D.J.; Marsoni, S.; Monges, G.; Thibodeau, S.N.; Labianca, R.; Hamilton, S.R.; French, A.J.; Kabat, B.; Foster, N.; Torri, V.; et al. Defective Mismatch Repair as a Predictive Marker for Lack of Efficacy of Fluorouracil-Based Adjuvant Therapy in Colon Cancer. J. Clin. Oncol. 2010, 28, 3219–3226. [Google Scholar] [CrossRef]
- Kimura, T.; Iwagaki, H.; Fuchimoto, S.; Hizuta, A.; Orita, K. Synchronous colorectal carcinomas. Hepatogastroenterology 1994, 41, 409–412. [Google Scholar] [PubMed]
- Strashilov, S.; Yordanov, A. A rare clinical case of synchronous colorectal cancer, affecting the transverse colon. AMJ 2019, 12, 34–37. [Google Scholar] [CrossRef]
- Kaibara, N.; Koga, S.; Jinnai, D. Synchronous and metachronous malignancies of the colon and rectum in Japan with special reference to a coexisting early cancer. Cancer 1984, 54, 1870–1874. [Google Scholar] [CrossRef]
- Lam, A.K.; Chan, S.S.; Leung, M. Synchronous colorectal cancer: Clinical, pathological and molecular implications. World J. Gastroenterol. 2014, 20, 6815–6820. [Google Scholar] [CrossRef]
- Giannini, R.; Lupi, C.; Loupakis, F.; Servadio, A.; Cremolini, C.; Sensi, E.; Chiarugi, M.; Antoniotti, C.; Basolo, F.; Falcone, A.; et al. KRAS and BRAF genotyping of synchronous colorectal carcinomas. Oncol. Lett. 2014, 7, 1532–1536. [Google Scholar] [CrossRef]
- Takeuchi, H.; Toda, T.; Nagasaki, S.; Kawano, T.; Minamisono, Y.; Maehara, Y.; Sugimachi, K. Synchronous multiple colorectal adenocarcinomas. J. Surg. Oncol. 1997, 64, 304–307. [Google Scholar] [CrossRef]
- Morrin, M.M.; Farrell, F.J.; Raptopoulos, V.; McGee, J.B.; Bleday, R.; Kruskal, J.B. Role of virtual computed tomographic colonography in patients with colorectal cancer and obstructing colorectal lesions. Dis. Colon. Rectum. 2000, 43, 303–311. [Google Scholar] [CrossRef] [PubMed]
- Bauer, F. The importance of preoperative staging of rectal cancer usic multiparametric MRI. A systematic Review—Part 1. Chirurgia 2016, 111, 379–392. [Google Scholar] [CrossRef] [PubMed]
- Märkl, B.; Schaller, T.; Kokot, Y.; Endhardt, K.; Kretsinger, H.; Hirschbühl, K.; Aumann, G.; Schenkirsch, G. Lymph nod size as a simple prognostic factor in node negative colon cancer and an alternative thesis to stage migration. Am. J. Surg. 2016, 212, 775–780. [Google Scholar] [CrossRef] [PubMed]
- Brown, G.; Richards, C.J.; Bourne, M.W.; Newcombe, R.G.; Radcliffe, A.G.; Dallimore, N.S.; Williams, J.T. Morphologic predictors of lymph node status in rectal cancer with use of high-spatial-resolutionMR imaging with histopathologic comparison. Radiology 2003, 227, 371–377. [Google Scholar] [CrossRef]
- Lord, A.G.; D’Souza, N.; Shaw, A.; Day, N.; Brown, G. The Current Status of Nodal Staging in Rectal Cancer. Curr. Colorectal Cancer Rep. 2019, 15, 143–148. [Google Scholar] [CrossRef]
- Moertel, C.G.; Fleming, T.R.; Macdonald, J.S.; Haller, D.G.; Laurie, J.A.; Goodman, P.J.; Ungerleider, J.S.; Emerson, W.A.; Tormey, D.C.; Glick, J.H.; et al. Levamisole and Fluorouracil for Adjuvant Therapy of Resected Colon Carcinoma. N. Engl. J. Med. 1990, 322, 352–358. [Google Scholar] [CrossRef]
- Haller, D.G.; Tabernero, J.; Maroun, J.; de Braud, F.; Price, T.; Van Cutsem, E.; Hill, M.; Gilberg, F.; Rittweger, K.; Schmoll, H.-J. Capecitabine Plus Oxaliplatin Compared with Fluorouracil and Folinic Acid As Adjuvant Therapy for Stage III Colon Cancer. J. Clin. Oncol. 2011, 29, 1465–1471. [Google Scholar] [CrossRef]
- ElGendy, K.; AlSuwailem, M.; Salem, A. Synchronous anal squamous carcinoma and sigmoid adenocarcinoma. BMJ Case Rep. 2014, 2014, bcr2014206364. [Google Scholar] [CrossRef]
- Weston, S.A.; Wheeler, W.E. Synchronous squamous carcinoma of the anus and adenocarcinoma of the rectum. West Va. Med. J. 1992, 88, 9–10. [Google Scholar]
- Buechter, K.J.; Boustany, C.; Caillouette, R.; Cohn, I., Jr. Surgical management of the acutely obstructed colon. A review of 127 cases. Am. J. Surg. 1988, 156, 163–168. [Google Scholar] [CrossRef]







| Malignant Characteristics of LN | Roundness | Heterogeneity | Irregular Contour |
|---|---|---|---|
| <5 mm | All three characteristics | ||
| 5–10 mm | Association of any two characteristics | ||
| >10 mm | Always suspicious | ||
| Case No. 1 | Case No. 2 | Case No. 3 | Case No. 4 | Case No. 5 | Case No. 6 | |||||||
|---|---|---|---|---|---|---|---|---|---|---|---|---|
| Sex | Male | Female | Female | Male | Male | Female | ||||||
| Age (years) | 63 | 60 | 73 | 79 | 78 | 68 | ||||||
| I | C | I | C | I | C | I | C | I | C | I | C | |
| Localization | Cecal | Inferior rectum | Cecal | Superior rectum | Ascending colon | Ascending colon | Sigma | Anal canal | Sigma | Sigma | Cecal | Descending colon |
| Method of detection | CT | E | CT | E | E | E | E | E | E | E | CT | CT |
| Histological type and grade | G2-ADK | G2-ADK with mucinous component | G2-ADK with mucinous component | G2-ADK | G2-ADK with mucinous component | G2-ADK with mucinous component | G2-ADK | NK SCC | G2-ADK with mucinous component | Sigilocelular carcinoma | ADK, micropapillary variant | ADK, micropapillary variant |
| Grade of tumor budding | Low | Low | Low | Low | High | Moderate | Low | Low | High | Low | High | High |
| No. Of positive LN/total LN resected | 0/16 and one perirectal tumor deposit | 0/15 | 1/17 = 0.05 | 1/27 = 0.03 | 2/14 = 0.14 | 12/46 = 0.26 | ||||||
| Distant metastasis | Peritoneal metastasis | None | None | None | None | Right ovary and fallopian tubes bilateral | ||||||
| TNM staging | pT3N1cM1a; pT3N1cM1a | pT2N0N0M0; pT1N0M0 | pT4aN1M0; pT3N0M0 | pT4N1M0; pT3N0M0 | pT3N1bM0; pT4aN0M0 | pT4bN2bM1; pT4bN0M1 | ||||||
| AJCC Stage | IVA | I | IIIB | IIIB | IIIB | IVB | ||||||
| Other colorectal lesions | - | Colic polyposis | - | rectal polyp | sigmoidian polyps | - | ||||||
| Surgical procedure | For index tumor—right hemicolectomy with ileotransverse anastomosis and ileal resection For companion tumor-rectal amputation | For both tumors- total colectomy with ileorectal anastomosis | For both tumors—right hemicolectomy | For sigmoid tumor -rectosigmoid ectomy (Hartmann I) For anorectal junction tumor—excision | For both tumors- left hemicolectomy | For both tumors—subtotal colectomy with segmentary ileal resection Histerectomy with bilateral anexectomy | ||||||
| Early postoperative complications | Metabolical imbalance—death at three days after surgery | None | None | None | None | None | ||||||
| Chemotherapy/Radiotherapy | - | Not indicated | Oxaliplatin perfusion + oral capecitabine | Oxaliplatin perfusion + oral capecitabine Delayed due to hip surgery and COVID period, initiated at 9 months after surgery | Preoperative radiotherapy (50 Gy/25fr/42 days/pelvis + oral capecitabine | Oxaliplatin perfusion + oral capecitabine | ||||||
| Follow-up | - | No recurrence (18 months follow-up) | No recurrence (12 months follow-up) | No recurrence (at 12 months follow-up) | No recurrence (at 12 months follow-up) | Under chemotherapy | ||||||
| Case 1 | Case 2 | Case 3 | Case 4 | Case 5 | Case 6 | |||||||
|---|---|---|---|---|---|---|---|---|---|---|---|---|
| Synchronous tumors | I | C | I | C | I | C | I | C | I | C | I | C |
| Molecular subtype | E | E | E | E | E | E | H | E | H | E | E | E |
| Grade of tumor budding | G1 | G1 | G1 | G1 | G3 | G2 | G1 | G1 | G1 | G3 | G1 | G1 |
| Microsatellitar status | MSS | MSS | MSS | MSS | MSS | MSS | MSS | MSS | MSS | MSS | MSS | MSS |
| KRAS gene (codon 12 and 13) | Mutated 12Val | Wild-type | Mutated 12Cys | Wild-type | Wild-type | Wild-type | Wild-type | Wild-type | Mutated 12Ala | Mutated 12Val | Wild-type | Wild-type |
| BRAF gene (V600E) | Wild-type | Wild-type | Wild-type | Wild-type | Wild-type | Wild-type | Wild-type | Wild-type | Wild-type | Wild-type | Wild-type | Wild-type |
Publisher’s Note: MDPI stays neutral with regard to jurisdictional claims in published maps and institutional affiliations. |
© 2021 by the authors. Licensee MDPI, Basel, Switzerland. This article is an open access article distributed under the terms and conditions of the Creative Commons Attribution (CC BY) license (http://creativecommons.org/licenses/by/4.0/).
Share and Cite
Simu, P.; Jung, I.; Banias, L.; Kovacs, Z.; Fulop, Z.Z.; Bara, T.; Simu, I.; Gurzu, S. Synchronous Colorectal Cancer: Improving Accuracy of Detection and Analyzing Molecular Heterogeneity—The Main Keys for Optimal Approach. Diagnostics 2021, 11, 314. https://doi.org/10.3390/diagnostics11020314
Simu P, Jung I, Banias L, Kovacs Z, Fulop ZZ, Bara T, Simu I, Gurzu S. Synchronous Colorectal Cancer: Improving Accuracy of Detection and Analyzing Molecular Heterogeneity—The Main Keys for Optimal Approach. Diagnostics. 2021; 11(2):314. https://doi.org/10.3390/diagnostics11020314
Chicago/Turabian StyleSimu, Patricia, Ioan Jung, Laura Banias, Zsolt Kovacs, Zsolt Zoltan Fulop, Tivadar Bara, Iunius Simu, and Simona Gurzu. 2021. "Synchronous Colorectal Cancer: Improving Accuracy of Detection and Analyzing Molecular Heterogeneity—The Main Keys for Optimal Approach" Diagnostics 11, no. 2: 314. https://doi.org/10.3390/diagnostics11020314
APA StyleSimu, P., Jung, I., Banias, L., Kovacs, Z., Fulop, Z. Z., Bara, T., Simu, I., & Gurzu, S. (2021). Synchronous Colorectal Cancer: Improving Accuracy of Detection and Analyzing Molecular Heterogeneity—The Main Keys for Optimal Approach. Diagnostics, 11(2), 314. https://doi.org/10.3390/diagnostics11020314

