Sign in to use this feature.

Years

Between: -

Subjects

remove_circle_outline
remove_circle_outline
remove_circle_outline
remove_circle_outline
remove_circle_outline
remove_circle_outline
remove_circle_outline
remove_circle_outline
remove_circle_outline

Journals

remove_circle_outline
remove_circle_outline
remove_circle_outline
remove_circle_outline
remove_circle_outline
remove_circle_outline
remove_circle_outline
remove_circle_outline
remove_circle_outline
remove_circle_outline
remove_circle_outline
remove_circle_outline
remove_circle_outline
remove_circle_outline
remove_circle_outline
remove_circle_outline
remove_circle_outline
remove_circle_outline

Article Types

Countries / Regions

remove_circle_outline
remove_circle_outline
remove_circle_outline
remove_circle_outline
remove_circle_outline
remove_circle_outline

Search Results (1,661)

Search Parameters:
Keywords = KRAS

Order results
Result details
Results per page
Select all
Export citation of selected articles as:
15 pages, 1206 KB  
Review
Pancreatic Steatosis as a Risk Phenotype for Pancreatic Ductal Adenocarcinoma: A Narrative Review
by Roberto Cammarata, Vincenzo La Vaccara, Lucrezia Bani, Federica Giordano, Pierpaolo Castagliuolo, Maria Vittoria Ristori, Sara Elsa Aita, Silvia Angeletti, Roberto Coppola and Damiano Caputo
Medicina 2026, 62(4), 729; https://doi.org/10.3390/medicina62040729 - 10 Apr 2026
Abstract
Background and Objectives: Pancreatic ductal adenocarcinoma (PDAC) is one of the leading causes of cancer-related mortality, largely due to late-stage diagnosis and the absence of effective population-based screening. Intrapancreatic fat deposition (IPFD) has emerged as a potential risk phenotype. This narrative review [...] Read more.
Background and Objectives: Pancreatic ductal adenocarcinoma (PDAC) is one of the leading causes of cancer-related mortality, largely due to late-stage diagnosis and the absence of effective population-based screening. Intrapancreatic fat deposition (IPFD) has emerged as a potential risk phenotype. This narrative review critically appraises the clinical, metabolic, epidemiologic, and mechanistic evidence linking IPFD to PDAC and discusses its implications for risk stratification and prevention. Materials and Methods: A structured literature search was conducted in PubMed/MEDLINE and Scopus for studies published between 2007 and 2025 using predefined terms related to pancreatic steatosis and pancreatic cancer. After duplicate removal and screening according to predefined inclusion and exclusion criteria, 42 articles were included. Evidence was synthesized focusing on epidemiologic associations, mechanistic pathways, and imaging-based quantification methods. Results: A strong association between IPFD and PDAC was found. Although definitive causality remains unproven, some studies support temporal correlation between IPFD and PDAC, suggesting that IPFD precedes PDAC. A possible pathophysiological explanation to this correlation has been advanced in experimental models indicating IPFD as a pro-inflammatory factor cooperating with oncogenic KRAS to facilitate neoplastic progression. Finally, variability in IPFD definitions and heterogeneity in imaging assessment limit interpretability. Conclusions: Current evidence links IPFD to PDAC risk, suggesting a strong suspicion that pancreatic steatosis may represent an independent risk factor for PDAC. Still robust causal inference remains unproven. Well-designed prospective studies, standardized imaging protocols, and mechanistic investigations are required to clarify causality and determine whether pancreatic steatosis can be incorporated into risk-based screening and preventive strategies. Full article
(This article belongs to the Special Issue Pancreatic Cancer: Advances in Treatment and Future Prospects)
Show Figures

Figure 1

14 pages, 860 KB  
Article
Serum Carcinoembryonic Antigen Levels Across Molecular Subtypes and Their Clinical and Prognostic Implications in Metastatic Non-Small Cell Lung Cancer
by Ali Aytac, Bilgin Demir, Meltem Demirtas Gulmez, Hayati Arvas, Tuba Ugur Tuzcu, Enes Erul, Salih Tunbekici, Tahir Yerlikaya, Sezai Tunc, Halil Ibrahim Ellez, Yasemin Aydinalp Camadan, Kubra Canaslan, Rumeysa Colak, Zuhat Urakci, Elif Berna Koksoy, Ozan Yazici, Ali Alkan, Ozgur Tanriverdi, Erdem Goker and Ahmet Demirkazik
Medicina 2026, 62(4), 718; https://doi.org/10.3390/medicina62040718 - 9 Apr 2026
Abstract
Background and Objectives: Serum carcinoembryonic antigen (CEA) is a widely used biomarker in non-small cell lung cancer (NSCLC). However, its association with oncogenic driver alterations and prognostic significance across molecular subtypes in metastatic disease remains insufficiently defined. Materials and Methods: This [...] Read more.
Background and Objectives: Serum carcinoembryonic antigen (CEA) is a widely used biomarker in non-small cell lung cancer (NSCLC). However, its association with oncogenic driver alterations and prognostic significance across molecular subtypes in metastatic disease remains insufficiently defined. Materials and Methods: This retrospective multicenter study included 332 patients with metastatic NSCLC harboring oncogenic alterations (EGFR, ALK, ROS1, KRAS, and others) from eight oncology centers in Türkiye. Baseline serum CEA levels measured at metastatic diagnosis were analyzed on the natural logarithmic scale. Associations between CEA levels, molecular subtypes, clinical features, and overall survival (OS) were evaluated using generalized linear models and Cox proportional hazards regression. Results: Baseline CEA levels differed significantly across molecular subtypes (p = 0.001), with EGFR-mutant tumors showing the highest median levels. Multivariable analysis identified driver alteration, histology, and metastatic burden as independent determinants of baseline CEA. Higher baseline CEA and metastatic site count were independently associated with increased mortality risk (HR 1.151 and 1.279 per unit increase, respectively; p < 0.001), while female sex was protective (HR 0.626; p = 0.004). KRAS mutations were associated with poorer survival compared with EGFR (HR 2.370; p < 0.001). Kaplan–Meier analyses showed a consistent trend toward longer OS in patients with CEA < 5 ng/mL, with significance only in the rare alteration subgroup. Conclusions: Baseline CEA may reflect underlying tumor biology across molecular subtypes and are associated with survival outcomes in metastatic NSCLC. However, given the variability across subgroups and modest effect sizes, these findings should be interpreted with caution. Prospective studies evaluating longitudinal CEA dynamics are warranted. Full article
Show Figures

Figure 1

17 pages, 1627 KB  
Article
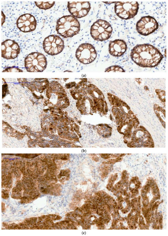
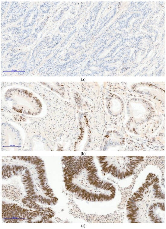
Co-Occurrence of Nuclear-Catenin and H3K27me3 Expression in Advanced Colorectal Cancer: A Retrospective Observational Study
by Ramona Abrudan, Luca Abrudan, Andreea Cămărășan, Ovidiu Camarasan, Corina Florica Ioniță, Luca Vilceanu and Ovidiu Laurean Pop
Curr. Oncol. 2026, 33(4), 210; https://doi.org/10.3390/curroncol33040210 - 8 Apr 2026
Abstract
Colorectal cancer is a heterogeneous malignancy characterized by alterations in oncogenic signaling pathways and epigenetic mechanisms involved in gene regulation. Aberrant activation of the Wnt/β-catenin pathway represents a central molecular event in colorectal tumorigenesis, while histone-associated epigenetic modifications may contribute to tumor progression [...] Read more.
Colorectal cancer is a heterogeneous malignancy characterized by alterations in oncogenic signaling pathways and epigenetic mechanisms involved in gene regulation. Aberrant activation of the Wnt/β-catenin pathway represents a central molecular event in colorectal tumorigenesis, while histone-associated epigenetic modifications may contribute to tumor progression and variability. This study aimed to investigate the relationship between Wnt pathway activation and histone H3 lysine 27 trimethylation in colorectal cancer and to examine their associations with clinicopathological and molecular characteristics. A retrospective observational study was performed on 83 colorectal adenocarcinoma cases using immunohistochemical evaluation of nuclear β-catenin and H3K27me3 expression in formalin-fixed, paraffin-embedded tumor samples, together with molecular analysis of KRAS, NRAS, and BRAF mutations and microsatellite instability status. Nuclear β-catenin expression was observed in 39.8% of cases, while H3K27me3 exhibited negative, mosaic, or diffuse nuclear staining patterns. Nuclear β-catenin expression was significantly associated with patient sex and age, whereas H3K27me3 expression patterns were significantly associated with tumor location, histological grade, disease stage, and metastatic status. These results indicate that Wnt pathway activation and H3K27me3-associated epigenetic alterations frequently coexist in colorectal cancer and support the value of integrated molecular and epigenetic assessment. Full article
Show Figures

Figure 1

15 pages, 1808 KB  
Article
Investigation of the Prevalence of Associated Genetic Mutations (Co-Mutations) in Patients with Actionable Driver Mutations in Lung Cancer: A Retrospective Study
by Abed Agbarya, Walid Shalata, Edmond Sabo, Leonard Saiegh, Yuval Shaham, Haitam Nasrallah, Kamel Mhameed, Salam Mazareb, Mohammad Sheikh-Ahmad and Dan Levy Faber
Diagnostics 2026, 16(7), 1106; https://doi.org/10.3390/diagnostics16071106 - 7 Apr 2026
Viewed by 42
Abstract
Background/Objectives: Lung cancer remains the leading cause of cancer-related mortality globally. Approximately 45% of these tumors harbor oncogenic mutations that drive carcinogenesis and are amenable to targeted therapies. Other predictive biomarkers—e.g., PD-L1, TMB, and MSI—play a crucial role in patients’ management. This [...] Read more.
Background/Objectives: Lung cancer remains the leading cause of cancer-related mortality globally. Approximately 45% of these tumors harbor oncogenic mutations that drive carcinogenesis and are amenable to targeted therapies. Other predictive biomarkers—e.g., PD-L1, TMB, and MSI—play a crucial role in patients’ management. This study aims to investigate the existence of mutation clusters (co-mutations) and evaluate the correlation of these clusters with various clinical and laboratory parameters. Methods: A retrospective study was conducted utilizing pathological samples from lung cancer patients harboring mutations in EGFR, KRAS, ALK, BRAF, MET, HER2, ROS1, NTRK, and NRG1. Data were collected from the Institute of Pathology at Carmel Medical Center between the years 2022 and 2024. Patients were stratified using a Two-Step Cluster Analysis algorithm based on actionable mutations and co-mutations. Heatmaps and dendrograms were generated to assess the correlation between these genomic clusters, clinical metrics, and predictive biomarkers. Results: The study cohort included 129 patients with actionable mutations. Five distinct clusters were identified: Clusters 1, 2, and 3 exhibited a high expression of STK11 and TP53 co-mutations alongside KRAS drivers (n = 38, n = 12, and n = 23, respectively). Clusters 4 and 5 demonstrated high expression of ALK alterations and tumor suppressor gene mutations (n = 31 and n = 25, respectively). Cluster comparisons demonstrated statistically significant differences between clusters regarding age, gender, PD-L1 expression, and tumor mutational burden. No significant associations were found regarding ethnicity or microsatellite instability status. Conclusions: By constructing clusters based on the aggregate of genomic alterations in patients with actionable mutations, it is possible to predict associations with distinct demographic and clinical characteristics. Future research should apply this analytical approach to larger cohorts to further characterize these subgroups and investigate potential correlations with therapeutic efficacy. Full article
(This article belongs to the Special Issue Advancements and Innovations in the Diagnosis of Lung Cancer)
Show Figures

Figure 1

10 pages, 883 KB  
Article
Increased Risk of Central Mesocolic Lymph Node Metastases in BRAF-Mutated Stage I-III Colon Cancer
by Justas Kuliavas, Kristina Marcinkeviciute, Ieva Vaicekauskaite, Rasa Sabaliauskaite, Augustinas Bausys, Audrius Dulskas, Ugnius Mickys, Rokas Stulpinas and Kestutis Strupas
J. Clin. Med. 2026, 15(7), 2766; https://doi.org/10.3390/jcm15072766 - 6 Apr 2026
Viewed by 174
Abstract
Background: The optimal extent of lymphadenectomy in colon cancer (CC) remains controversial. While Complete Mesocolic Excision (CME)/D3 dissection may improve oncological outcomes, the survival benefit appears limited to patients with central lymph node metastases (LNMs). Molecular profiling could help identify patients who [...] Read more.
Background: The optimal extent of lymphadenectomy in colon cancer (CC) remains controversial. While Complete Mesocolic Excision (CME)/D3 dissection may improve oncological outcomes, the survival benefit appears limited to patients with central lymph node metastases (LNMs). Molecular profiling could help identify patients who may benefit from extended lymphadenectomy. Methods: This prospective cohort sub-study of the international T-REX trial included 97 patients with stage I–III CC who underwent curative resection at the National Cancer Centre, Vilnius, Lithuania (2015–2018). Lymph node mapping was performed by anatomical zones, and BRAF and KRAS mutation status in primary tumors was determined by quantitative PCR. Associations between genetic mutations, LNM distribution, and survival outcomes were analyzed. Results: A total of 2710 lymph nodes were retrieved from 97 patients, of which 100 (3.7%) were metastatic, and identified in 33 (34.0%) patients. Central LNMs were observed in 5 (5.2%) patients overall but were significantly more frequent among those with BRAF-mutated tumors (30.8%) compared to KRAS-mutated (2.4%) or wild-type (0%) cases (p < 0.001). BRAF mutations were associated with increased odds of intermediate (OR 8.1, 95% CI 1.4–45.6) and central (OR 36.8, 95% CI 3.7–366.7) LNMs. Mutation status did not impact overall or disease-free survival. Conclusions: BRAF mutations in primary CC are linked to higher rates of intermediate and central LNMs. Patients with BRAF-mutated tumors may benefit from extended lymphadenectomy. Future randomized trials should evaluate biomarker-driven surgical strategies in CC. Full article
Show Figures

Figure 1

22 pages, 3988 KB  
Article
Dissecting Sex Chromosome and Hormonal Contributions to Urethane-Induced Lung Tumorigenesis Using the Four Core Genotypes Mouse Model
by Maksat Babayev, Omar A. Borges-Sosa, Carolyn D. Ekpruke, Erik Parker, Dustin Rousselle, Lyidia Dinwiddie, Rachel Alford, Shikha Sharma, Praveen Chirumamilla, Michelle C. Boulos, Aakash Parekh, Matthew L. Retzner, Catherine R. Sears, James E. Klaunig, Sarah Commodore and Patricia Silveyra
Cancers 2026, 18(7), 1172; https://doi.org/10.3390/cancers18071172 - 5 Apr 2026
Viewed by 256
Abstract
Background/Objectives: Sex differences in lung cancer incidence and outcomes are well recognized, yet the relative contributions of sex chromosomes and gonadal sex remain incompletely defined. We aimed to disentangle chromosomal complement and hormonal sex in urethane-induced lung tumorigenesis using the Four Core Genotypes [...] Read more.
Background/Objectives: Sex differences in lung cancer incidence and outcomes are well recognized, yet the relative contributions of sex chromosomes and gonadal sex remain incompletely defined. We aimed to disentangle chromosomal complement and hormonal sex in urethane-induced lung tumorigenesis using the Four Core Genotypes mouse model. Methods: Mice (6–8 weeks old) with independently varied chromosomal complement (XX vs. XY) and gonadal sex received urethane (1 g/kg body weight) weekly for 10 weeks and were evaluated after a 20-week latency period. Tumor multiplicity, tumor area, normalized tumor burden, and Ki-67 proliferation indices were quantified histologically. Hepatic Cyp2e1 expression was measured to assess carcinogen bioactivation. Tumor mutations were analyzed by Sanger sequencing. RAS Q61R immunoreactivity and ERK phosphorylation were evaluated to assess oncogenic signaling. Bronchoalveolar lavage fluid cellularity was analyzed. Survival was monitored. Statistical analyses tested the main effects of chromosomal complement, gonadal sex, and their interaction. Results: Tumor multiplicity (p = 0.0729), tumor area (p = 0.5302), normalized tumor burden (p = 0.5316), and Ki-67 indices (p = 0.6551) did not differ among genotypes. Hepatic Cyp2e1 expression was comparable across groups (genotype p = 0.076; treatment p = 0.445). Sanger sequencing confirmed canonical Kras Q61R mutations. Anti-RAS (Q61R) immunohistochemistry revealed a significant genotype effect on mutant RAS expression (F(3,23) = 3.48, p = 0.032), with the highest H-scores observed in XYF mice compared with male gonadal genotypes; ERK phosphorylation did not differ. Bronchoalveolar lavage fluid analysis revealed increased lymphocytes after urethane exposure without genotype-dependent effects. Survival differed significantly, with XX females demonstrating prolonged survival relative to XY males. Conclusions: Sex influenced survival independently of tumor burden, indicating that sex-associated differences in lung cancer outcomes are likely driven by systemic or microenvironmental factors rather than tumor-intrinsic growth mechanisms. Full article
(This article belongs to the Section Molecular Cancer Biology)
Show Figures

Graphical abstract

16 pages, 337 KB  
Article
From ‘See’ to ‘If’: The Grammaticalization of Visual Perception Verbs in Hlai
by Hui-chi Lee
Languages 2026, 11(4), 64; https://doi.org/10.3390/languages11040064 - 1 Apr 2026
Viewed by 170
Abstract
This study examines the grammaticalization of visual perception verbs in Hlai, a Kra–Dai language spoken on Hainan Island. Based on original fieldwork data, the paper identifies two core verbs of visual perception, zo33 and laai55, which differ systematically in their [...] Read more.
This study examines the grammaticalization of visual perception verbs in Hlai, a Kra–Dai language spoken on Hainan Island. Based on original fieldwork data, the paper identifies two core verbs of visual perception, zo33 and laai55, which differ systematically in their semantic profiles and diachronic developments. While both verbs encode basic visual perception, zo33 exhibits a broader range of activity-oriented meanings (e.g., ‘watch’, ‘read’, ‘visit’, ‘judge’) and has developed a tentative marker function. In contrast, laai55 patterns as an experience-type perception verb and has undergone a distinct grammaticalization pathway, developing into a conditional conjunction meaning ‘if’ and, in combination with negation, an ‘otherwise’ marker. Adopting a typological framework of perception verbs and a model of semantic extension, this study demonstrates that the two verbs diverge not only in aspectual type (activity vs. experience) but also in their susceptibility to functional reanalysis. A comparative analysis with Mandarin and Hainan Min suggests that the tentative use of zo33 is plausibly contact-induced, whereas the conditional development of laai55 lacks a clear parallel in the contact languages and is more likely to represent a language-internal innovation. The findings contribute to the documentation of Hlai and to cross-linguistic discussions of perception verbs, semantic change, and the typology of conditional marking. Full article
(This article belongs to the Special Issue Recent Developments on the Semantics of Perception Verbs)
28 pages, 1192 KB  
Review
RNA Therapeutics in Viral Infections and Cancer: Mechanisms, Challenges, and Prospects: A Review
by Evgenii Generalov, Alexei Shevelev, Dmitry Romanov, Olga Tarasova and Natalia Pozdniakova
Pharmaceutics 2026, 18(4), 431; https://doi.org/10.3390/pharmaceutics18040431 - 31 Mar 2026
Viewed by 422
Abstract
Background: RNA therapeutics represent a rapidly advancing field with significant potential for treating viral infections and cancer. This review examines the current landscape of RNA-based strategies, including siRNA, miRNA mimics, and antisense oligonucleotides. For viral infections, the focus is on hepatitis B [...] Read more.
Background: RNA therapeutics represent a rapidly advancing field with significant potential for treating viral infections and cancer. This review examines the current landscape of RNA-based strategies, including siRNA, miRNA mimics, and antisense oligonucleotides. For viral infections, the focus is on hepatitis B (HBV) and C (HCV), HIV, and SARS-CoV-2. Approaches include targeting viral transcripts directly (e.g., siRNAs against HBV surface antigen) or host factors critical for viral replication (e.g., anti-miR-122 miravirsen for HCV). The successful development of mRNA vaccines for COVID-19 is highlighted as a major breakthrough, demonstrating the feasibility of rapid RNA vaccine deployment. The manuscript reviews several RNA therapeutics in oncology that have reached clinical trials. These include TargomiR (a miR-16 mimic for mesothelioma), cobomarsen (an anti-miR-155 for lymphomas), and MRX34 (a miR-34a mimic for various solid tumours). The review also covers emerging candidates like an miR-221 inhibitor and various strategies for breast cancer, such as targeting Bcl-2, KRAS, and specific miRNAs. A critical challenge across both fields is developing efficient and safe delivery systems, including lipid nanoparticles, GalNAc conjugates, and bacterial minicells. Despite promising preclinical results, clinical translation has been hampered by issues like insufficient delivery efficiency to human tumours, toxicity, and the complex, interconnected regulatory networks of miRNAs, which can lead to unpredictable off-target effects. Conclusions: While RNA therapeutics hold immense promise, overcoming delivery barriers and enhancing understanding of RNA regulatory networks are essential for future success. Full article
(This article belongs to the Section Gene and Cell Therapy)
Show Figures

Figure 1

15 pages, 1046 KB  
Article
Adenosine Pathway Activation Defines Genetically Linked Immunosuppressive Subtypes in Solid Tumor Brain Metastases
by Arthur Bauer, Annette Arndt, Luisa Reichenbach, Niklas Gebauer, Matthias Müller, Christian Neumann, Chris Schulz, Konrad Steinestel, Raban Heller, Emil Chteinberg, Hauke Busch, Armin Riecke, Axel Künstner and Hanno Witte
Cancers 2026, 18(7), 1087; https://doi.org/10.3390/cancers18071087 - 26 Mar 2026
Viewed by 461
Abstract
Introduction: Brain metastases represent a major clinical challenge due to a distinct immunosuppressive microenvironment and limited, heterogeneous efficacy of PD-1/PD-L1 immune checkpoint inhibition. The adenosine pathway, mediated by the ectonucleotidases CD39 and CD73, has emerged as an alternative immune escape mechanism, yet its [...] Read more.
Introduction: Brain metastases represent a major clinical challenge due to a distinct immunosuppressive microenvironment and limited, heterogeneous efficacy of PD-1/PD-L1 immune checkpoint inhibition. The adenosine pathway, mediated by the ectonucleotidases CD39 and CD73, has emerged as an alternative immune escape mechanism, yet its relevance in brain metastases across tumor entities remains insufficiently characterized. Methods: We conducted targeted panel sequencing of brain metastases from multiple primary tumor entities and evaluated compartment-resolved expression of CD39, CD73, and PD-L1 by immunohistochemistry, distinguishing tumor cell and immune cell expression. Tumor mutational burden (TMB), recurrent gene alterations, and gene fusions were analyzed and integrated with immune marker profiles to define immunogenomic subtypes. Results: Brain metastases displayed a heterogeneous mutational landscape with recurrent alterations including TP53, KRAS, PIK3CA, and APC. CD39 and CD73 expression was frequent and highly variable, occurring on both tumor cells and tumor-infiltrating immune cells, and only partially overlapping with PD-L1 expression. A substantial subset of cases exhibited an adenosine-high phenotype despite low or absent PD-L1. Marker-associated enrichment analyses identified distinct genetic correlates, including enrichment of KRAS alterations in tumors with CD39/CD73 positivity on malignant cells, and APC/PIK3CA-associated patterns linked to immune compartment marker expression. TMB did not significantly differ across major tumor entity groups. Gene fusions were detected in a subset of tumors but were largely independent of immune phenotypes. Conclusions: Adenosine pathway activation is a frequent, genetically associated immune escape feature of brain metastases that complements PD-L1-based stratification. Integrating CD39/CD73 with PD-L1 enables actionable immunogenomic subtyping and supports rational immunotherapy strategies targeting adenosine-mediated immunosuppression. Full article
(This article belongs to the Special Issue Brain Metastases: From Mechanisms to Treatment)
Show Figures

Figure 1

19 pages, 2458 KB  
Article
FcγRIIIA Genotype in Plasma Cell Dyscrasias Is Associated with Clinical Progression, Bone Disease Extension and Immune Dysfunction
by Daniela Cambria, Maria Teresa Cannizzaro, Nunziatina Laura Parrinello, Sara Marino, Ilaria Dulcamare, Noemi Puccio, Federica Torricelli, Marta Lionetti, Deborah Calvo, Mohammadreza Khosropoor, Concetta Conticello, Francesco Di Raimondo, Lavinia Raimondi, Gianluca Giavaresi, Cirino Botta, Antonino Neri and Alessandra Romano
Cancers 2026, 18(7), 1084; https://doi.org/10.3390/cancers18071084 - 26 Mar 2026
Viewed by 351
Abstract
Background/Objectives: FcγRIIIA presents a single nucleotide polymorphism at position 158 (V/F), which affects its binding affinity to the fragment crystallizable (Fc) of antibodies (Abs). In the presence of immune complexes, FcγRIIIA can mediate the inflammatory signaling, severity of bone disease, and osteoclastogenic [...] Read more.
Background/Objectives: FcγRIIIA presents a single nucleotide polymorphism at position 158 (V/F), which affects its binding affinity to the fragment crystallizable (Fc) of antibodies (Abs). In the presence of immune complexes, FcγRIIIA can mediate the inflammatory signaling, severity of bone disease, and osteoclastogenic activity. Based on this functional relevance, we hypothesized that the FcγRIIIA F158V polymorphism may influence the clinical presentation of multiple myeloma (MM). Methods: FcγRIIIA F158V genotyping was performed on genomic DNA extracted from peripheral blood samples of patients affected by MM or asymptomatic conditions named MGUS and SMM. We compared the allele frequency of FcγRIIIA-F158V polymorphism in 72 MM, 42 MGUS and 31 SMM and evaluated the association with clinical features and occurrence of high-risk chromosome abnormalities. Targeted NGS mutation analysis was performed on genomic DNA isolated from purified CD138+ bone marrow plasma cells (BMPCs) of 41 patients, to evaluate the association between somatic mutations and the FcγRIIIA F158V genotype. Results: the FcγRIIIA-158 V/V homozygous genotype was associated with high-risk cytogenetics, anemia, high beta-2 microglobulin levels, and more than 10 osteolytic lesions. V/V homozygous genotype was significantly associated with at least one mutation in RAS pathway genes (N-RAS, K-RAS or B-RAF). In the immune microenvironment, patients carrying the V/V homozygous genotype had a higher percentage of CD14+CD16++ non-conventional inflammatory monocytes than the V/F or FF genotype. Conclusions: Our study contributes to a better understanding of the interactions between genetic variants, tumor microenvironment, and therapeutic response in plasma cell dyscrasias, to identify molecular biomarkers for precision medicine in MM, MGUS and SMM. Full article
(This article belongs to the Section Molecular Cancer Biology)
Show Figures

Figure 1

24 pages, 2077 KB  
Article
Deciphering RTK-RAS and MAPK Pathway Dependencies in Gemcitabine-Treated Pancreatic Ductal Adenocarcinoma Through Conversational Artificial Intelligence
by Fernando C. Diaz, Brigette Waldrup, Francisco G. Carranza, Sophia Manjarrez and Enrique Velazquez-Villarreal
Int. J. Mol. Sci. 2026, 27(7), 3011; https://doi.org/10.3390/ijms27073011 - 26 Mar 2026
Viewed by 248
Abstract
Pancreatic ductal adenocarcinoma (PDAC) is a highly lethal malignancy marked by substantial molecular heterogeneity and variable response to gemcitabine-based therapy. While KRAS mutations are nearly universal, the broader RTK-RAS and MAPK signaling architecture and its relationship to treatment response remain incompletely defined. We [...] Read more.
Pancreatic ductal adenocarcinoma (PDAC) is a highly lethal malignancy marked by substantial molecular heterogeneity and variable response to gemcitabine-based therapy. While KRAS mutations are nearly universal, the broader RTK-RAS and MAPK signaling architecture and its relationship to treatment response remain incompletely defined. We conducted an integrative clinical-genomic analysis of 184 PDAC tumors stratified by age at diagnosis and gemcitabine exposure, interrogating somatic alterations across curated RTK-RAS/MAPK gene sets. Conversational artificial intelligence agents (AI-HOPE-RTK-RAS and AI-HOPE-MAPK) enabled dynamic cohort construction and pathway-level analyses, with findings validated using standard statistical methods. In late-onset PDAC, ERBB2 and RET mutations were significantly enriched in gemcitabine-treated tumors. Early-onset cases demonstrated differential enrichment of CACNA2D family alterations in non-treated tumors and higher frequencies of FLNB and TP53 mutations in treated disease. Importantly, late-onset patients not treated with gemcitabine who lacked RTK-RAS or MAPK alterations exhibited significantly improved overall survival. These findings reveal age- and treatment-dependent pathway dependencies beyond canonical KRAS status and support a precision oncology framework in PDAC. Conversational AI facilitated rapid, multidimensional clinical–genomic integration to uncover clinically relevant signaling substructures. Full article
(This article belongs to the Special Issue Deciphering Molecular Complexity of Pancreatic Cancer)
Show Figures

Figure 1

10 pages, 2178 KB  
Article
Pan-Cancer Prediction of Genomic Alterations from H&E Whole-Slide Images in a Real-World Clinical Cohort
by Dongheng Ma, Hinano Nishikubo, Tomoya Sano and Masakazu Yashiro
Genes 2026, 17(4), 371; https://doi.org/10.3390/genes17040371 - 25 Mar 2026
Viewed by 342
Abstract
Background: Predicting genomic alterations from routine hematoxylin and eosin (H&E) whole-slide images (WSIs) may help triage molecular testing. Methods: We retrospectively enrolled 437 patients at Osaka Metropolitan University Hospital across 26 cancers, matched with clinical gene-panel data. We curated 1023 binary [...] Read more.
Background: Predicting genomic alterations from routine hematoxylin and eosin (H&E) whole-slide images (WSIs) may help triage molecular testing. Methods: We retrospectively enrolled 437 patients at Osaka Metropolitan University Hospital across 26 cancers, matched with clinical gene-panel data. We curated 1023 binary endpoints across SNV, CNV, and SV categories. We extracted slide embeddings from five pathology foundation models (Prism, GigaPath, Feather, Chief, and Titan) using a unified feature extraction pipeline and benchmarked them using a lightweight downstream Multi-Layer Perceptron (MLP) classifier. Using the best-performing patch feature system, we trained a multi-instance learning model to assess incremental benefit. Results: Titan achieved the highest and most stable transfer performance, with a median endpoint-wise Area Under the Receiver Operating Characteristic curve (AUROC) of 0.77 in the slide benchmarking; at the patch-level, prediction of APC_SNV reached an AUROC of 0.916, and prediction of KRAS_SNV reached an AUROC of 0.811 on the held-out test set. Conclusions: In a heterogeneous clinical gene-panel setting, pathology foundation models can provide strong baseline genomic-prediction signals without additional fine-tuning. We propose a practical, deployment-oriented two-stage workflow: rapid slide-embedding screening to prioritize robust representations and candidate endpoints, followed by patch-level training for high-value tasks where additional performance gains and interpretable regions are clinically worthwhile. Full article
(This article belongs to the Special Issue Computational Genomics and Bioinformatics of Cancer)
Show Figures

Figure 1

10 pages, 636 KB  
Article
Saturation Genome Editing Targeting KRAS Mutations in HCT 116 Colon Carcinoma Cells for Pooled SNV Functional Profiling in Diploid Cancer Model
by Taiji Hamada, Seiya Yokoyama, Ryo Nakabayashi, Yoshihiko Suzuki, Shinichi Morishita, Toshiaki Akahane, Kei Matsuo, Ikumi Kitazono, Tatsuhiko Furukawa and Akihide Tanimoto
Curr. Issues Mol. Biol. 2026, 48(4), 341; https://doi.org/10.3390/cimb48040341 - 25 Mar 2026
Viewed by 296
Abstract
Evaluating cancer gene mutations is critical for effective therapeutic selection. Although massive parallel sequencing can efficiently detect gene mutations, most are variants of uncertain significance (VUS). Saturation genome editing (SGE) can facilitate VUS analysis by leveraging CRISPR-Cas9 and homology-directed repair to simultaneously introduce [...] Read more.
Evaluating cancer gene mutations is critical for effective therapeutic selection. Although massive parallel sequencing can efficiently detect gene mutations, most are variants of uncertain significance (VUS). Saturation genome editing (SGE) can facilitate VUS analysis by leveraging CRISPR-Cas9 and homology-directed repair to simultaneously introduce abundant gene mutations. Chronic myelogenous leukemia-derived HAP1 cells are widely used in SGE because of their clear genotype–phenotype relationship; however, the sole use of haploid cells limits SGE applicability in cancer research. Therefore, we developed an SGE-based system for evaluating KRAS mutations in diploid HCT 116 colon carcinoma cells. Single-nucleotide variants (SNVs) in KRAS codons A11–V14 were generated using Cas9-based SGE. Massive parallel sequencing revealed increased abundance of KRAS G12 and KRAS G13 SNVs and decreased abundance of the KRAS G12C SNV after KRAS G12C inhibitor treatment in SGE pooled cells. These results indicate that SGE is applicable to diploid HCT 116 cells and useful for evaluating SNV population changes and drug sensitivity. Thus, although haploid HAP1 cells are the primary models for SGE, the successful application of SGE to diploid HCT 116 colon carcinoma cells provides a practical framework for implementing SGE in KRAS-dependent carcinoma cells. Full article
(This article belongs to the Special Issue Linking Genomic Changes with Cancer in the NGS Era, 3rd Edition)
Show Figures

Figure 1

15 pages, 1285 KB  
Case Report
Longitudinal Whole-Exome Sequencing of Cell-Free DNA Reveals Molecular Evolution and Heterogeneous Clinical Outcomes in PD-L1 Stratified Advanced NSCLC Adenocarcinoma Patients Treated with Atezolizumab
by Viola Bianca Serio, Tommaso Regoli, Debora Maffeo, Ignazio Martellucci, Diletta Rosati, Marco Ghisalberti, Alberto Balistreri, Gianluca Santamaria, Niccolò Vono, Francesca Mari, Francesca Colombo, Elisa Frullanti and Maria Palmieri
Int. J. Mol. Sci. 2026, 27(7), 2947; https://doi.org/10.3390/ijms27072947 - 24 Mar 2026
Viewed by 502
Abstract
Programmed death-ligand 1 (PD-L1) expression is routinely used to guide immune checkpoint inhibitor (ICI) therapy in advanced non-small cell lung cancer (NSCLC), yet clinical benefit remains heterogeneous even among PD-L1–high tumors. Liquid biopsy based on cell-free DNA (cfDNA) enables minimally invasive, real-time monitoring [...] Read more.
Programmed death-ligand 1 (PD-L1) expression is routinely used to guide immune checkpoint inhibitor (ICI) therapy in advanced non-small cell lung cancer (NSCLC), yet clinical benefit remains heterogeneous even among PD-L1–high tumors. Liquid biopsy based on cell-free DNA (cfDNA) enables minimally invasive, real-time monitoring of tumor evolution. We report four cases of metastatic lung adenocarcinoma treated with atezolizumab, integrating longitudinal whole-exome sequencing (WES) of cfDNA with radiological assessment. Four patients with PD-L1–positive (≥60%) metastatic NSCLC received atezolizumab monotherapy. Serial cfDNA samples (1–3 per patient) were analyzed by high-depth WES. Distinct molecular trajectories paralleled divergent clinical outcomes. One patient achieved a complete molecular response, characterized by progressive clearance of KRAS, ATM, and NF1 mutant clones, which was concordant with radiological remission. A second patient showed an initial molecular response, followed by clonal rebound of TP53, NF1, and NOTCH2 mutant populations and the emergence of PTEN and KIF1A variants, suggesting clinical progression. Two patients exhibited primary resistance despite high PD-L1 expression, with persistent or expanding clones and early subclonal diversification; in one case, new EGFR and BRAF alterations emerged under treatment pressure. Notably, switching to platinum-based chemotherapy in a non-responder induced a measurable molecular response, highlighting discordance between PD-L1 status and immunotherapy efficacy. Longitudinal cfDNA WES captured dynamic clonal remodeling under immunotherapy and anticipated radiological outcomes. These findings underscore the clinical necessity of integrating dynamic molecular monitoring by liquid biopsy to overcome the limitations of static PD-L1 assessment, refine therapeutic stratification, and identify early resistance mechanisms in advanced NSCLC. Full article
(This article belongs to the Special Issue New Advances in Cancer Genomics)
Show Figures

Figure 1

19 pages, 1557 KB  
Article
Identification of Actionable Gene Variants in Pulmonary Large-Cell Neuroendocrine Carcinoma: A Real-World Analysis of a Polish Cohort
by Adam Szpechcinski, Magdalena Pelc, Urszula Lechowicz, Malgorzata Szolkowska, Joanna Moes-Sosnowska, Piotr Rudzinski, Emil Wojda, Paulina Skronska, Elzbieta Podgorska, Krystyna Maszkowska-Kopij, Mateusz Polaczek, Tadeusz Orlowski, Renata Langfort and Joanna Chorostowska-Wynimko
Int. J. Mol. Sci. 2026, 27(7), 2939; https://doi.org/10.3390/ijms27072939 - 24 Mar 2026
Viewed by 222
Abstract
Pulmonary large-cell neuroendocrine carcinoma (LCNEC) is a rare lung malignancy characterized by an aggressive clinical course and an unfavorable prognosis. Next-generation sequencing (NGS) has revealed that LCNECs exhibit molecular features resembling either small-cell lung carcinoma (SCLC-like LCNEC) or non-small cell lung carcinoma (NSCLC-like [...] Read more.
Pulmonary large-cell neuroendocrine carcinoma (LCNEC) is a rare lung malignancy characterized by an aggressive clinical course and an unfavorable prognosis. Next-generation sequencing (NGS) has revealed that LCNECs exhibit molecular features resembling either small-cell lung carcinoma (SCLC-like LCNEC) or non-small cell lung carcinoma (NSCLC-like LCNEC). This study aimed to characterize the incidence of actionable gene variants in a retrospective cohort of LCNEC patients using a targeted NGS approach. Microscopic diagnosis was established according to the 2021 World Health Organization (WHO) classification using a standard immunohistochemical (IHC) panel. In total, 216 LCNEC tumor samples were analyzed for molecular variants in 17 genes using the RNA-based Archer FusionPlex Lung NGS assay (Integrated DNA Technologies, USA) and the MiSeq platform (Illumina, USA)—an algorithm utilized for routine NSCLC diagnosis. Overall, 46 variants were identified in 46/216 (21.3%) tumor samples, with 28/216 (13%) LCNECs harboring at least one actionable molecular variant potentially targetable by registered or investigational agents. KRAS variants (5%; including G12C at 2%) and PIK3CA variants (5%) were the most prevalent, followed by RET single-nucleotide variants (3%), uncommon EGFR variants (1%), and BRAF class II and III variants (<1%). Notably, no classical EGFR exon 18–21 mutations nor ALK, FGFR1/2/3, or ROS1 alterations (mutations or fusions) were detected, despite the technical capability of the assay to identify such variants. A novel in-frame gene fusion (TMEM79::NTRK1) was identified in a single tumor sample (0.5%). Our results confirm that LCNECs harbor potentially targetable alterations in KRAS, PIK3CA, RET, BRAF, and NTRK1, albeit at lower frequencies than those typically observed in NSCLC. Full article
(This article belongs to the Special Issue Research on Gene Mutations in Cancer and Chronic Diseases)
Show Figures

Figure 1

Back to TopTop