Unraveling an Unusual Phenocopy of Hypertrophic Cardiomyopathy: MELAS Syndrome
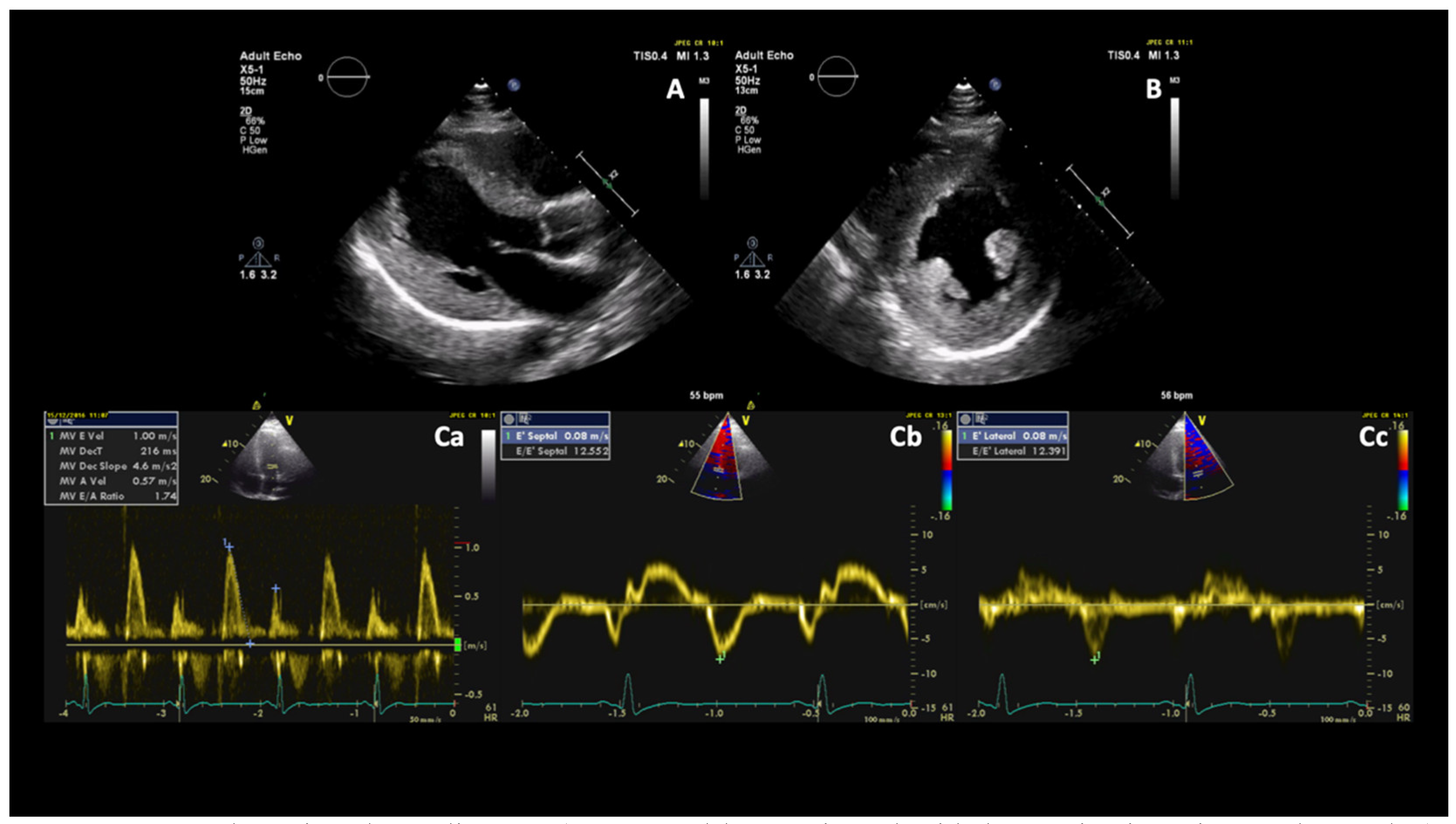
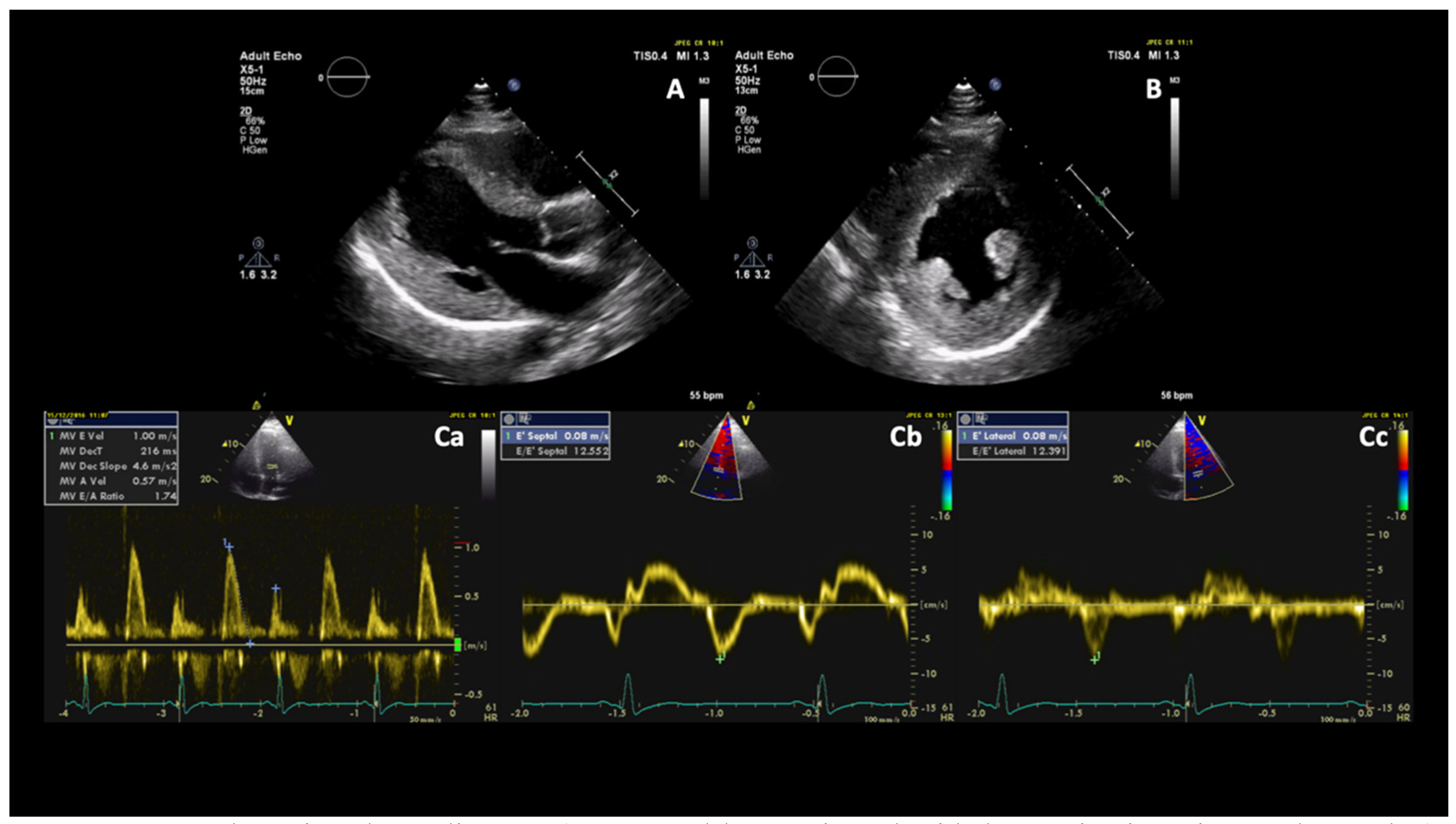
Abstract




Supplementary Materials
Author Contributions
Funding
Institutional Review Board Statement
Informed Consent Statement
Data Availability Statement
Consent for Publication
Conflicts of Interest
References
- Chinnery, P.F.; Elliott, H.R.; Hudson, G.; Samuels, D.C.; Relton, C.L. Epigenetics, epidemiology and mitochondrial DNA diseases. Int. J. Epidemiol. 2012, 41, 177–187. [Google Scholar] [CrossRef] [PubMed]
- Hsu, Y.H.R.; Yogasundaram, H.; Parajuli, N.; Valtuille, L.; Sergi, C.; Oudit, G.Y. MELAS syndrome and cardiomyopathy: Linking mitochondrial function to heart failure pathogenesis. Heart Fail. Rev. 2016, 21, 103–116. [Google Scholar] [CrossRef] [PubMed]
- Brambilla, A.; Favilli, S.; Olivotto, I.; Calabri, G.B.; Porcedda, G.; De Simone, L.; Procopio, E.; Pasquini, E.; Donati, M.A. linical profile and outcome of cardiac involvement in MELAS syndrome. Int. J. Cardiol. 2019, 276, 14–19. [Google Scholar] [CrossRef] [PubMed]
- Florian, A.; Ludwig, A.; Stubbe-Dräger, B.; Boentert, M.; Young, P.; Waltenberger, J.; Rösch, S.; Sechtem, U.; Yilmaz, A. Characteristic cardiac phenotypes are detected by cardiovascular magnetic resonance in patients with different clinical phenotypes and genotypes of mitochondrial myopathy. J. Cardiovasc. Magn. Reson. 2015, 17, 40. [Google Scholar] [CrossRef] [PubMed]
- Nucifora, G.; Muser, D.; Morocutti, G.; Piccoli, G.; Zanuttini, D.; Gianfagna, P.; Proclemer, A. Disease-specific differences of left ventricular rotational mechanics between cardiac amyloidosis and hypertrophic cardiomyopathy. Am J. Physiol. Heart Circ. Physiol. 2014, 307, H680–H688. [Google Scholar] [CrossRef] [PubMed]
- Nucifora, G.; Muser, D.; Gianfagna, P.; Morocutti, G.; Proclemer, A. Systolic and diastolic myocardial mechanics in hypertrophic cardiomyopathy and their link to the extent of hypertrophy, replacement fibrosis and interstitial fibrosis. Int. J. Cardiovasc Imaging 2015, 31, 1603–1610. [Google Scholar] [CrossRef] [PubMed]
- Aquaro, G.D.; Guidi, B.; Biondi, F.; Chiti, E.; Santurro, A.; Scopetti, M.; Turillazzi, E.; Di Paolo, M. Post-Mortem Cardiac Magnetic Resonance for the Diagnosis of Hypertrophic Cardiomyopathy. Diagnostics 2020, 10, 981. [Google Scholar] [CrossRef] [PubMed]
- Sascău, R.; Anghel, L.; Clement, A.; Bostan, M.; Radu, R.; Stătescu, C. The Importance of Multimodality Imaging in the Diagnosis and Management of Patients with Infiltrative Cardiomyopathies: An Update. Diagnostics 2021, 11, 256. [Google Scholar] [CrossRef] [PubMed]
Publisher’s Note: MDPI stays neutral with regard to jurisdictional claims in published maps and institutional affiliations. |
© 2021 by the authors. Licensee MDPI, Basel, Switzerland. This article is an open access article distributed under the terms and conditions of the Creative Commons Attribution (CC BY) license (http://creativecommons.org/licenses/by/4.0/).
Share and Cite
Reid, A.B.; Venetucci, L.; Schmitt, M.; Nucifora, G. Unraveling an Unusual Phenocopy of Hypertrophic Cardiomyopathy: MELAS Syndrome. Diagnostics 2021, 11, 295. https://doi.org/10.3390/diagnostics11020295
Reid AB, Venetucci L, Schmitt M, Nucifora G. Unraveling an Unusual Phenocopy of Hypertrophic Cardiomyopathy: MELAS Syndrome. Diagnostics. 2021; 11(2):295. https://doi.org/10.3390/diagnostics11020295
Chicago/Turabian StyleReid, Anna B., Luigi Venetucci, Matthias Schmitt, and Gaetano Nucifora. 2021. "Unraveling an Unusual Phenocopy of Hypertrophic Cardiomyopathy: MELAS Syndrome" Diagnostics 11, no. 2: 295. https://doi.org/10.3390/diagnostics11020295
APA StyleReid, A. B., Venetucci, L., Schmitt, M., & Nucifora, G. (2021). Unraveling an Unusual Phenocopy of Hypertrophic Cardiomyopathy: MELAS Syndrome. Diagnostics, 11(2), 295. https://doi.org/10.3390/diagnostics11020295
