Native Aortic Valve Endocarditis Complicated by Splenic Infarction and Giant Mitral-Aortic Intervalvular Fibrosa Pseudoaneurysm—A Case Report and Brief Review of the Literature
Abstract
1. Introduction
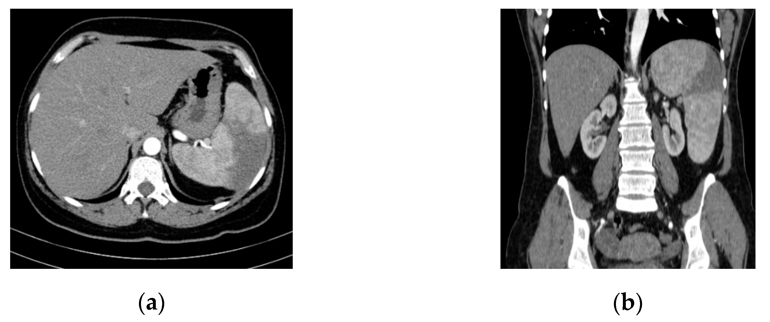
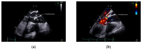
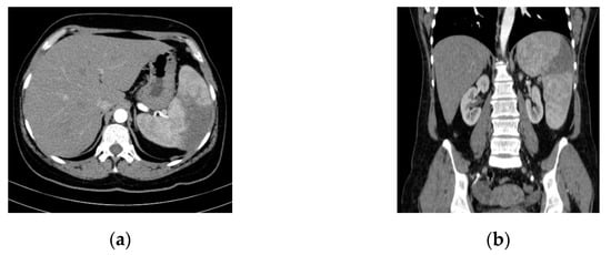
2. Case Presentation
3. Discussion
4. Conclusions
Supplementary Materials
Author Contributions
Funding
Institutional Review Board Statement
Informed Consent Statement
Data Availability Statement
Acknowledgments
Conflicts of Interest
References
- Cresti, A.; Baratta, P.; De Sensi, F.; Solari, M.; Sposato, B.; Minelli, S.; Cioffi, N.; Franci, L.; Scalese, M.; Limbruno, U. Normal values of the mitral-aortic intervalvular fibrosa thickness: A multimodality study. J. Cardiovasc. Echogr. 2019, 29, 95–102. [Google Scholar] [CrossRef]
- Cavalcanti, J.S.; de Melo, N.C.; de Vasconcelos, R.S. Morphological study of the human mitral-aortic intervalvular fibrosa. J. Morphol. Sci. 2005, 22, 37–40. Available online: http://www.jms.periodikos.com.br/article/587cb4577f8c9d0d058b4604/pdf/jms-22-1-587cb4577f8c9d0d058b4604.pdf (accessed on 11 November 2020).
- Waldhausen, J.A.; Petry, E.L.; Kurlander, G.J. Successful repair of subvalvular annular aneurysm of the left ventricle. N. Engl. J. Med. 1966, 275, 984–987. [Google Scholar] [CrossRef]
- Koch, R.; Kapoor, A.; Spencer, K.T. Stroke in patient with an intervalvular fibrosa pseudoaneurysm and aortic pseudoaneurysm. J. Am. Soc. Echocardiogr. 2003, 16, 894–896. [Google Scholar] [CrossRef]
- Bonou, M.; Papadimitraki, E.D.; Vaina, S.; Kelepeshis, G.; Tsakalis, K.; Alexopoulos, N.; Barbetseas, J. Mitral-aortic intervalvular fibrosa pseudoaneurysm. J. Cardiovasc. Ultrasound 2015, 23, 257–261. [Google Scholar] [CrossRef] [PubMed]
- Abdallah, H.; Michetti, J.; Demers, P. Fistula formation following repair of a pseudoaneurysm of the mitral-aortic intervalvular fibrosa—A rare complication. J. Cardiol. Cases 2017, 15, 170–172. [Google Scholar] [CrossRef]
- Qizilbash, A.H.; Schwartz, C.J. False aneurysm of left ventricle due to perforation of mitral-aortic intervalvular fibrosa with rupture and cardiac tamponade. Rare complication of infective endocarditis. Am. J. Cardiol. 1973, 32, 110–113. [Google Scholar] [CrossRef]
- Kassim, T.A.; Lowery, R.C.; Nasur, A.; Corrielus, S.; Weissman, G.; Sears-Rogan, P.; Greenberg, M.; Singh, S. Pseudoaneurysm of mitral-aortic intervalvular fibrosa: Two case reports and review of literature. Eur. J. Echocardiogr. 2010, 11, E7. [Google Scholar] [CrossRef] [PubMed]
- Parashara, D.K.; Jacobs, L.E.; Kotler, M.N.; Yazdanfar, S.; Spielman, S.R.; Janzer, S.F.; Bemis, C.E. Angina caused by systolic compression of the left coronary artery as a result of pseudoaneurysm of the mitral-aortic intervalvular fibrosa. Am. Heart J. 1995, 129, 417–421. [Google Scholar] [CrossRef]
- Şahan, E.; Gül, M.; Şahan, S.; Sokmen, E.; Guray, Y.A.; Tufekçioglu, O. Pseudoaneurysm of the mitral-aortic intervalvular fibrosa. A new comprehensive review. Herz 2015, 40 (Suppl. 2), 182–189. [Google Scholar] [CrossRef]
- Gelehrter, S.; Wright, G.; Gless, T.; Ludomirsky, A.; Ohye, R.; Bove, E.; Ensing, G. Left ventricular outflow tract pseudoaneurysms in congenital heart disease. Am. J. Cardiol. 2002, 90, 806–809. [Google Scholar] [CrossRef]
- Sá, F.M.; Fernandes, S.I.L.; Carvalho, R.J.R.; Santos, L.M.G.; Antunes, J.A.S.; Guardado, J.M.; Morais, J.C.A. A cardiac pseudoaneurysm as a thromboembolic source: Acute visual loss due to cardiac emboli. Case Rep. Cardiol. 2020, 2020, 3192957. [Google Scholar] [CrossRef]
- Xie, M.; Li, Y.; Cheng, T.O.; Wang, X.; Lu, Q.; He, L.; Fu, M. Pseudoaneurysm of the mitral-aortic intervalvular fibrosa. Int. J. Cardiol. 2013, 166, 2–7. [Google Scholar] [CrossRef] [PubMed]
- Sudhakar, S.; Sewani, A.; Agrawal, M.; Uretsky, B.F. Pseudoaneurysm of the mitral-aortic intervalvular fibrosa (MAIVF): A comprehensive review. J. Am. Soc. Echocardiogr. 2010, 23, 1009–1018. [Google Scholar] [CrossRef]
- Han, J.; He, Y.; Gu, X.; Sun, L.; Zhao, Y.; Liu, W.; Zhang, Y.; Yang, X.; Li, Y. Echocardiographic diagnosis and outcome of pseudoaneurysm of the mitral-aortic intervalvular fibrosa: Results of a single-center experience in Beijing. Medicine (Baltimore) 2016, 95, e3116. [Google Scholar] [CrossRef] [PubMed]
- Joshi, S.S.; Jagadeesh, A.M.; Furtado, A.; Bhat, S. Transesophageal echocardiography in surgical management of pseudoaneurysm of mitral-aortic intervalvular fibrosa with aneurysms of right sinus of Valsalva and left main coronary artery. Ann. Card Anaesth. 2013, 16, 40–43. [Google Scholar] [CrossRef]
- Cuervo, G.; Rombauts, A.; Caballero, Q.; Grau, I.; Pujol, M.; Ardanuy, C.; Berbel, D.; Gudiol, C.; Sánchez-Salado, J.C.; Ruiz-Majoral, A.; et al. Twenty-year secular trends in infective endocarditis in a teaching hospital. Open Forum Infect. Dis 2018, 5, ofy183. [Google Scholar] [CrossRef]
- Habib, G.; Lancellotti, P.; Antunes, M.J.; Bongiorni, M.G.; Casalta, J.P.; Del Zotti, F.; Dulgheru, R.; El Khoury, G.; Erba, P.A.; Iung, B.; et al. 2015 ESC Guidelines for the management of infective endocarditis: The Task Force for the Management of Infective Endocarditis of the European Society of Cardiology (ESC). Endorsed by: European Association for Cardio-Thoracic Surgery (EACTS), the European Association of Nuclear Medicine (EANM). Eur. Heart J. 2015, 36, 3075–3128. [Google Scholar] [CrossRef]
- Hasan, L.Z.; Shrestha, N.K.; Dang, V.; Unai, S.; Pettersson, G.; El-Hayek, K.; Coppa, C.; Gordon, S.M. Surgical infective endocarditis and concurrent splenic abscess requiring splenectomy: A case series and review of the literature. Diagn. Microbiol. Infect. Dis. 2020, 97, 115082. [Google Scholar] [CrossRef]
- Tak, T. Pseudoaneurysm of mitral-aortic intervalvular fibrosa. Clin. Med. Res. 2003, 1, 49–52. [Google Scholar] [CrossRef]
- Wang, C.W.; Yu, C.L.; Pan, H.C.; Chan, S.W.; Wang, K.Y.; Lin, W.W. A rare and life-threatening complication of infective endocarditis: Pseudoaneurysm of the mitral—aortic intervalvular fibrosa. Acta Cardiol. Sin. 2015, 31, 358–360. [Google Scholar] [CrossRef]
- Takamiya, Y.; Miura, S.; Sako, H.; Shirai, K.; Morishige, N.; Tashiro, T.; Saku, K. Pseudoaneurysm of the mitral-aortic intervalvular fibrosa following infective endocarditis in a patient with acute heart failure: A case report. J. Cardiol. 2007, 49, 353–356. Available online: http://www.jcc.gr.jp/journal/backnumber/bk_jcold/pdf/496-8(H).pdf (accessed on 16 November 2020).
- Entrikin, D.W.; Shroff, G.S.; Kon, N.D.; Carr, J.J. Pseudoaneurysm of the mitral-aortic intervalvular fibrosa: A delayed complication of aortic root replacement. J. Cardiovasc. Comput. Tomogr. 2011, 5, 333–335. [Google Scholar] [CrossRef] [PubMed]
- Wang, C.C.; Lee, C.H.; Chan, C.Y.; Chen, H.W. Splenic infarction and abscess complicating infective endocarditis. Am. J. Emerg. Med. 2009, 27, 1021.e3-5. [Google Scholar] [CrossRef]
- Shively, B.K.; Gurule, F.T.; Roldan, C.A.; Leggett, J.H.; Schiller, N.B. Diagnostic value of transesophageal compared with transthoracic echocardiography in infective endocarditis. J. Am. Coll. Cardiol. 1991, 18, 391–397. [Google Scholar] [CrossRef]
- Agrawal, A.; Amor, M.M.; Iyer, D.; Parikh, M.; Cohen, M. Aortico-Left Atrial Fistula: A rare complication of bioprosthetic aortic valve endocarditis secondary to Enterococcus faecalis. Case Rep. Cardiol. 2015, 2015, 473246. [Google Scholar] [CrossRef] [PubMed]
- Mohananey, D.; Mohadjer, A.; Pettersson, G.; Navia, J.; Gordon, S.; Shrestha, N.; Grimm, R.A.; Rodriguez, L.L.; Griffin, B.P.; Desai, M.Y. Association of Vegetation Size With Embolic Risk in Patients With Infective Endocarditis: A Systematic Review and Meta-analysis. JAMA Intern. Med. 2018, 178, 502–510. [Google Scholar] [CrossRef] [PubMed]
- Jasarevic, M.; Laird, C.; Widlus, D.M. Splenic infarction associated with bacterial endocarditis and aortic valve vegetations. J. Community Hosp. Intern. Med. Perspect. 2012, 2, 2. [Google Scholar] [CrossRef]
- Doğan, M.; Vural, M.G.; Türkvatan, A.; Yeter, E. Incidentally diagnosed pseudoaneurysm of mitral-aortic intervalvular fibrosa. Anadolu Kardiyol. Derg. 2012, 12, E41–E42. [Google Scholar] [CrossRef][Green Version]
- Gin, A.; Hong, H.; Rosenblatt, A.; Black, M.; Ristow, B.; Popper, R. Pseudoaneurysms of the mitral-aortic intervalvular fibrosa: Survival without reoperation. Am. Heart J. 2011, 161, 130.e1-5. [Google Scholar] [CrossRef]
- Rosario Chieppa, D.R.; Scardigno, A.D.; Deluca, G.; Capodivento, S.; Quinto, N.; Cicala, M. Trattamento conservativo di pseudoaneurisma della fibrosa mitro-aortica: 9 anni di follow-up [Conservative treatment of a pseudoaneurysm of the mitral-aortic intervalvular fibrosa: 9 years of follow-up]. G Ital. Cardiol. (Rome) 2017, 18, 525–528. [Google Scholar] [CrossRef]
- Romaguera, R.; Slack, M.C.; Waksman, R.; Ben-Dor, I.; Satler, L.F.; Kent, K.M.; Goldstein, S.; Wang, Z.; Corso, P.; Bernardo, N.; et al. IMAGE CARDIO MED: Percutaneous closure of a left ventricular outflow tract pseudoaneurysm causing extrinsic left coronary artery compression by transseptal approach. Circulation 2010, 121, e20–e22. [Google Scholar] [CrossRef]
- Kumar, P.V.; Alli, O.; Bjarnason, H.; Hagler, D.J.; Sundt, T.M.; Rihal, C.S. Percutaneous therapeutic approaches to closure of cardiac pseudoaneurysms. Catheter. Cardiovasc. Interv. 2012, 80, 687–699. [Google Scholar] [CrossRef]
- Peñalver, J.; Shatila, W.; Macedo, F.Y.; Silva, G.V. Transapical implantation of Edwards Sapien XT valve to close a left ventricular outflow tract pseudoaneurysm. Tex. Heart Inst. J. 2019, 46, 157–159. [Google Scholar] [CrossRef]
- Boi, A.; Garau, G.; Rossi, A.; Lixi, G.; Armandi, L.; Fele, G.S.; Cossa, S.; Matta, G.; Manconi, M.; Sanna, F.; et al. Mitro-aortic fibrosa pseudoaneurysm and concomitant aortic stenosis: How to kill two birds with a stone. J. Card. Surg. 2020, 35, 2414–2417. [Google Scholar] [CrossRef]
- Ghersin, E.; Litmanovich, D.; Agmon, Y.; Milo, S. Pseudoaneurysm of the mitral-aortic intervalvular fibrosa following aortic valve replacement—diagnosis and dynamic evaluation with multidetector CT and transesophageal echocardiography. Interact. Cardiovasc. Thorac. Surg. 2005, 4, 502–504. [Google Scholar] [CrossRef] [PubMed][Green Version]
- Tilinca, M.C.; Barabas-Hajdu, E.C.; Ferencz, G.T.; Nemes-Nagy, E. Involvement of inflammatory cytokines in obesity and its complications. Rev. Romana Med. Lab. 2018, 26, 359–371. [Google Scholar] [CrossRef]
- Lurins, J.; Lurina, D.; Svirskis, S.; Nora-Krukle, Z.; Tretjakovs, P.; Mackevics, V.; Lejnieks, A.; Rapisarda, V.; Baylon, V. Impact of several proinflammatory and cell degradation factors in patients with aortic valve stenosis. Exp. Ther. Med. 2019, 17, 2433–2442. [Google Scholar] [CrossRef] [PubMed]





Publisher’s Note: MDPI stays neutral with regard to jurisdictional claims in published maps and institutional affiliations. |
© 2021 by the authors. Licensee MDPI, Basel, Switzerland. This article is an open access article distributed under the terms and conditions of the Creative Commons Attribution (CC BY) license (http://creativecommons.org/licenses/by/4.0/).
Share and Cite
Varga, A.; Tilea, I.; Tatar, C.M.; Iancu, D.G.; Jiga, M.A.; Dumbrava, R.A.; Pop, M.; Suciu, H. Native Aortic Valve Endocarditis Complicated by Splenic Infarction and Giant Mitral-Aortic Intervalvular Fibrosa Pseudoaneurysm—A Case Report and Brief Review of the Literature. Diagnostics 2021, 11, 251. https://doi.org/10.3390/diagnostics11020251
Varga A, Tilea I, Tatar CM, Iancu DG, Jiga MA, Dumbrava RA, Pop M, Suciu H. Native Aortic Valve Endocarditis Complicated by Splenic Infarction and Giant Mitral-Aortic Intervalvular Fibrosa Pseudoaneurysm—A Case Report and Brief Review of the Literature. Diagnostics. 2021; 11(2):251. https://doi.org/10.3390/diagnostics11020251
Chicago/Turabian StyleVarga, Andreea, Ioan Tilea, Cristina Maria Tatar, Dragos Gabriel Iancu, Maria Andrada Jiga, Robert Adrian Dumbrava, Marian Pop, and Horatiu Suciu. 2021. "Native Aortic Valve Endocarditis Complicated by Splenic Infarction and Giant Mitral-Aortic Intervalvular Fibrosa Pseudoaneurysm—A Case Report and Brief Review of the Literature" Diagnostics 11, no. 2: 251. https://doi.org/10.3390/diagnostics11020251
APA StyleVarga, A., Tilea, I., Tatar, C. M., Iancu, D. G., Jiga, M. A., Dumbrava, R. A., Pop, M., & Suciu, H. (2021). Native Aortic Valve Endocarditis Complicated by Splenic Infarction and Giant Mitral-Aortic Intervalvular Fibrosa Pseudoaneurysm—A Case Report and Brief Review of the Literature. Diagnostics, 11(2), 251. https://doi.org/10.3390/diagnostics11020251

