Coronary Flow and Reserve by Enhanced Transthoracic Doppler Trumps Coronary Anatomy by Computed Tomography in Assessing Coronary Artery Stenosis
Abstract
1. Introduction
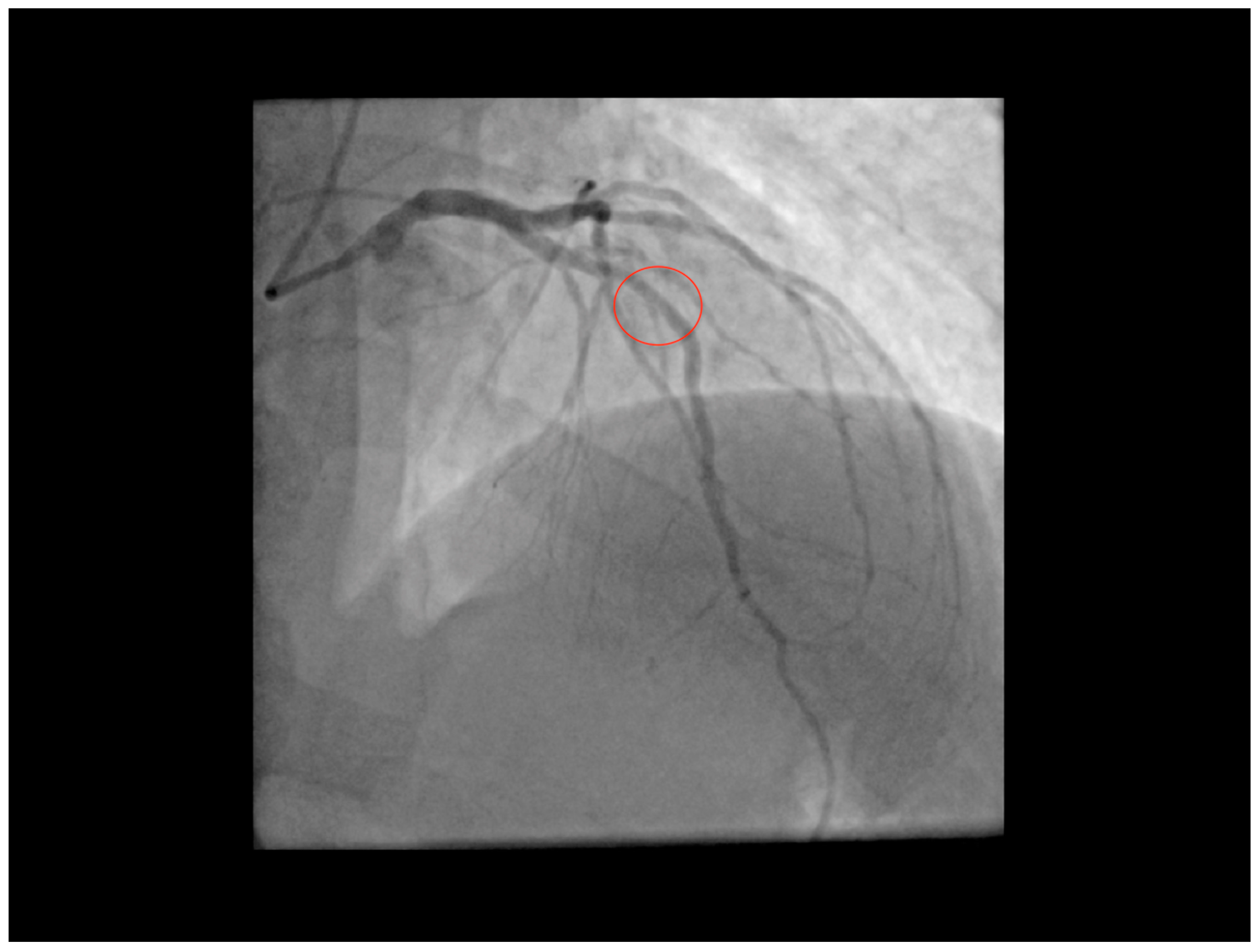
2. The Case
Hospital Admission
3. Discussion
3.1. Coronary E-Doppler TTE
3.1.1. Coronary Flow Mechanics
3.1.2. Coronary Flow Reserve
3.1.3. LAD Stenosis Clinical Impact
3.1.4. E-Doppler TTE Limitations
3.2. Computed Tomography Angiography
CTA Risk
4. Conclusions
Author Contributions
Funding
Institutional Review Board Statement
Informed Consent Statement
Data Availability Statement
Conflicts of Interest
References
- Nowbar, A.N.; Gitto, M.; Howard, J.P.; Francis, D.P.; Al-Lamee, R. Mortality From Ischemic Heart Disease. Circ. Cardiovasc. Qual. Outcomes 2019, 12, e005375. [Google Scholar] [CrossRef]
- Brenner, D.J.; Hall, E.J. Computed Tomography—An Increasing Source of Radiation Exposure. N. Engl. J. Med. 2007, 357, 2277–2284. [Google Scholar] [CrossRef] [PubMed]
- Faucon, A.L.; Bobrie, G.; Clement, O. Nephrotoxicity of iodinated contrast media: From pathophysiology to prevention strat-egies. Eur. J. Radiol. 2019, 116, 231–241. [Google Scholar] [CrossRef]
- Nissen, S.E. Limitations of Computed Tomography Coronary Angiography *. J. Am. Coll. Cardiol. 2008, 52, 2145–2147. [Google Scholar] [CrossRef]
- Caiati, C.; Lepera, M.E.; Pollice, P.; Iacovelli, F.; Favale, S. A new noninvasive method for assessing mild coronary atherosclerosis: Transthoracic convergent color Doppler after heart rate reduction. Validation vs. intracoronary ultrasound. Coron. Artery Dis. 2020, 31, 500–511. [Google Scholar] [CrossRef] [PubMed]
- Yoganathan, A.P.; Cape, E.G.; Sung, H.W.; Williams, F.P.; Jimoh, A. Review of hydrodynamic principles for the cardiologist: Applications to the study of blood flow and jets by imaging techniques. J. Am. Coll. Cardiol. 1988, 12, 1344–1353. [Google Scholar] [CrossRef]
- Caiati, C.; Montaldo, C.; Zedda, N.; Bina, A.; Iliceto, S. New noninvasive method for coronary flow reserve assessment—Con-trast-enhanced transthoracic second harmonic echo Doppler. Circulation 1999, 99, 771–778. [Google Scholar] [CrossRef]
- Caiati, C.; Zedda, N.; Montaldo, C.; Montisci, R.; Iliceto, S. Contrast-enhanced transthoracic second harmonic echo Doppler with adenosine: A noninvasive, rapid and effective method for coronary flow reserve assessment. J. Am. Coll. Cardiol. 1999, 34, 122–130. [Google Scholar] [CrossRef]
- Caiati, C.; Zedda, N.; Montaldo, C.; Montisci, R.; Ruscazio, V.; Lai, G.; Cadeddu, M.; Meloni, L.; Iliceto, S. Validation of a new noninvasive, method (contrast-enhanced transthoracic second harmonic echo Doppler) for the evaluation of coronary flow reserve—Comparison with intracoronary Doppler flow wire. J. Am. Coll. Cardiol. 1999, 34, 1193–1200. [Google Scholar] [CrossRef]
- Caiati, C. Coronary flow reserve. In Handbook of Contrast Echocardiography; Becher, H., Burns, P.N., Eds.; Springer: Berlin, Germany, 2000; pp. 133–347. [Google Scholar]
- Caiati, C.; Lepera, M.; Pollice, P.; Favale, S. Non invasive detection of accelerated stenotic flow in the entire left anterior descending coronary artery provides insight into the causes of impaired coronary flow reserve: A study conducted with enhanced transthoracic convergent color doppler echocardiography. J. Am. Coll. Cardiol. 2020, 75, 1784. [Google Scholar]
- Knuuti, J.; Wijns, W.; Saraste, A.; Capodanno, D.; Barbato, E.; Funck-Brentano, C.; Prescott, E.; Storey, R.F.; Deaton, C.; Cuisset, T.; et al. 2019 ESC Guidelines for the diagnosis and management of chronic coronary syndromes. Eur. Heart J. 2019, 41, 407–477. [Google Scholar] [CrossRef] [PubMed]
- McAlpine, W.A. Heart and Coronary Arteries; Springer: Berlin, Germany, 1975. [Google Scholar]
- Caiati, C.; Zedda, N.; Cadeddu, M.; Chen, L.; Montaldo, C.; Iliceto, S.; Lepera, M.E.; Favalo, S. Detection, location, and severity assessment of left anterior descending coronary artery stenoses by means of contrast-enhanced transthoracic harmonic echo Doppler. Eur. Heart J. 2009, 30, 1797–1806. [Google Scholar] [CrossRef] [PubMed]
- Caiati, C.; Lepera, M.E.; Santoro, D.; Grande, D.; Iacovelli, F.; Tarantino, N.; Tito, A.; Basile, M.; Masi, F.; Favale, S.; et al. Assessment of the Severity of Left Anterior Descending Coronary Artery Stenoses Using Transthoracic Enhanced Doppler Echocardiography in Convergent Color Doppler Mode. Validation of a Method Based on the Continuity Equation. J. Am. Coll. Cardiol. 2013, 61, A1027. [Google Scholar] [CrossRef]
- Donohue, T.J.; Kern, M.J.; Aguirre, F.V.; Bach, R.G.; Wolford, T.; Bell, C.A.; Segal, J. Assessing the hemodynamic significance of coronary artery stenoses: Analysis of translesional pressure-flow velocity relations in patients. J. Am. Coll. Cardiol 1993, 22, 449–458. [Google Scholar] [CrossRef][Green Version]
- Piscopo, A.; Santoro, D.; Marzullo, M.; Primitivo, S.; Pollice, P.; Rizzo, C.; De Santis, D.; Graziano, G.; Quagliara, D.; Massi, F.; et al. Optimal duration of adenosine infusion for the assessment of coronary flow reserve. G. Ital. Cardiol. 2011, 12, e157. [Google Scholar]
- Kern, M.J.; Lerman, A.; Bech, J.W.; De Bruyne, B.; Eeckhout, E.; Fearon, W.F.; Higano, S.T.; Lim, M.J.; Piek, J.J.; Pijls, N.H.S.; et al. Physiological assessment of coronary artery disease in the cardiac catheterization laboratory: A scientific statement from the American Heart Association Committee on Diagnostic and Interventional Cardiac Catheterization, Council on Clinical Cardiology. Circulation 2006, 114, 1321–1341. [Google Scholar] [CrossRef]
- Aragam, J.R.; Main, J.; Guerrero, J.L.; Vlahakes, G.J.; Southern, J.F.; Adams, M.S.; Weyma, A.E.; Levine, R.A. Doppler color flow mapping of epicardial coronary arteries: Initial observations. J. Am. Coll. Cardiol. 1993, 21, 478–487. [Google Scholar] [CrossRef]
- Isaaz, K.; Bruntz, J.F.; Ethevenot, G.; Courtalon, T.; Aliot, E. Noninvasive assessment of coronary flow dynamics before and after coronary angioplasty using transesophageal Doppler. Am. J. Cardiol. 1993, 72, 1238–1242. [Google Scholar] [CrossRef]
- Caiati, C.; Aragona, P.; Iliceto, S.; Rizzon, P. Improved doppler detection of proximal left anterior descending coronary artery stenosis after intravenous injection of a lung-crossing contrast agent: A transesophageal doppler echocardiographic study. J. Am. Coll. Cardiol. 1996, 27, 1413–1421. [Google Scholar] [CrossRef]
- Hozumi, T.; Yoshida, K.; Hozumi, T.; Asami, Y.; Kanzaki, Y.; Ueda, Y.; Yamamuro, A.; Takagi, T.; Yoshikawa, J. Value of acceleration flow and the prestenotic to stenotic coronary flow velocity ratio by transthoracic color Doppler echocardiography in noninvasive diagnosis of restenosis after percutaneous transluminal coronary angioplasty. J. Am. Coll. Cardiol. 2000, 35, 164–168. [Google Scholar] [CrossRef]
- Saraste, M.; Vesalainen, R.K.; Ylitalo, A.; Saraste, A.; Koskenvuo, J.W.; Toikka, J.O.; Vaittinen, M.-A.; Hartiala, J.J.; Airaksinen, K.E.J. Transthoracic Doppler echocardiography as a noninvasive tool to assess coronary artery stenoses—A comparison with quantitative coronary angiography. J. Am. Soc. Echocardiogr. Off. Publ. Am. Soc. Echocardiogr. 2005, 18, 679–685. [Google Scholar] [CrossRef]
- Holte, E.; Vegsundvåg, J.; Hegbom, K.; Hole, T.; Wiseth, R. Transthoracic Doppler for detection of stenoses in the three main coronary arteries by use of stenotic to prestenotic velocity ratio and aliased coronary flow. Eur. Heart J. Cardiovasc. Imaging 2015, 16, 1323–1330. [Google Scholar] [CrossRef][Green Version]
- Johnson, E.L.; Yock, P.G.; Hargrave, V.K.; Srebro, J.P.; Manubens, S.M.; Seitz, W.; Ports, T.A. Assessment of severity of coronary stenoses using a Doppler catheter. Validation of a method based on the continuity equation. Circulation 1989, 80, 625–635. [Google Scholar] [CrossRef]
- Klocke, F.J. Measurements of coronary blood flow and degree of stenosis: Current clinical implications and continuing un-certainties. J. Am. Coll. Cardiol. 1983, 1, 31–41. [Google Scholar] [CrossRef]
- Caiati, C.; Lepera, M.E.; Santoro, D.; Grande, D.; Tito, A.; Marolla, P.; Stufano, M.; Meliota, G.; Iacovelli, F.; Masi, F.; et al. Physiologic significance assessment of intermediate severity coronary lesions by transthoracic enhanced doppler echocardiography in convergent color doppler mode: Validation versus fractional flow reserve. J. Am. Coll. Cardiol. 2014, 63, A1623. [Google Scholar] [CrossRef]
- Johnson, N.P.; Kirkeeide, R.L.; Gould, K.L. Coronary anatomy to predict physiology: Fundamental limits. Circ. Cardiovasc. Imaging 2013, 6, 817–832. [Google Scholar] [CrossRef]
- Gould, K.L. Coronary Artery Disease and Reversing Atherosclerosis; Oxford University Press: New York, NY, USA, 1999; p. 359. [Google Scholar]
- Pepine, C.J.; Anderson, R.D.; Sharaf, B.L.; Reis, S.E.; Smith, K.M.; Handberg, E.M.; Johnson, D.; Sopko, G.; Merz, N.B. Coronary microvascular reactivity to adenosine predicts adverse outcome in women evaluated for suspected ischemia results from the National Heart, Lung and Blood Institute WISE (Women’s Ischemia Syndrome Evaluation) study. J. Am. Coll. Cardiol. 2010, 55, 2825–2832. [Google Scholar] [CrossRef] [PubMed]
- Severino, P.; D’Amato, A.; Pucci, M.; Infusino, F.; Birtolo, L.I.; Mariani, M.V.; LaValle, C.; Maestrini, V.; Mancone, M.; Fedele, F. Ischemic Heart Disease and Heart Failure: Role of Coronary Ion Channels. Int. J. Mol. Sci. 2020, 21, 3167. [Google Scholar] [CrossRef] [PubMed]
- Severino, P.; D’Amato, A.; Pucci, M.; Infusino, F.; Adamo, F.; Birtolo, L.I.; Netti, L.; Montefusco, G.; Chimenti, C.; LaValle, C.; et al. Ischemic Heart Disease Pathophysiology Paradigms Overview: From Plaque Activation to Microvascular Dysfunction. Int. J. Mol. Sci. 2020, 21, 8118. [Google Scholar] [CrossRef] [PubMed]
- Caiati, C.; Pollice, P.; Favale, S.; Lepera, M.E. The Herbicide Glyphosate and Its Apparently Controversial Effect on Human Health: An Updated Clinical Perspective. Endocr. Metab. Immune Disord. Drug Targets 2020, 20, 489–505. [Google Scholar] [CrossRef] [PubMed]
- Caiati, C. Contrast-Enhanced Ultrasound Reveals That Lipoprotein Apheresis Improves Myocardial But Not Skeletal Muscle Perfusion. JACC Cardiovasc. Imaging 2019, 12, 1441–1443. [Google Scholar] [CrossRef]
- Tsagalou, E.P.; Anastasiou-Nana, M.; Agapitos, E.; Gika, A.; Drakos, S.G.; Terrovitis, J.V.; Ntalianis, A.; Nanas, J.N. Depressed coronary flow reserve is associated with decreased myocardial capillary density in patients with heart failure due to idiopathic dilated cardiomyopathy. J. Am. Coll. Cardiol. 2008, 52, 1391–1398. [Google Scholar] [CrossRef]
- Hausmann, D.; Johnson, J.A.; Sudhir, K.; Mullen, W.L.; Friedrich, G.; Fitzgerald, P.J.; Chou, T.M.; Ports, T.A.; Kane, J.P.; Malloy, M.J.; et al. Angiographically silent atherosclerosis detected by intravascular ultrasound in patients with familial hypercholesterolemia and familial combined hyperlipidemia: Correlation with high density lipoproteins. J. Am. Coll. Cardiol. 1996, 27, 1562–1570. [Google Scholar] [CrossRef]
- Asakura, T.; Karino, T. Flow patterns and spatial distribution of atherosclerotic lesions in human coronary arteries. Circ. Res. 1990, 66, 1045–1066. [Google Scholar] [CrossRef]
- Varnauskas, E.; The European Coronary Surgery Study Group. Twelve-Year Follow-up of Survival in the Randomized European Coronary Surgery Study. N. Engl. J. Med. 1988, 319, 332–337. [Google Scholar] [CrossRef] [PubMed]
- Caiati, C.; Lepera, M.E.; Santoro, D.; Grande, D.; Tito, A.; Tarantino, N.; Favale, S. Transthoracic Enhanced Doppler Echocardiography-Assessed Absence of Atherosclerosis in the Left anterior Descending Coronary Artery Rules out Critical Right and/or Circumflex Coronary Artery Disease. J. Am. Coll. Cardiol. 2013, 61, A1025. [Google Scholar] [CrossRef]
- Caiati, C.; Lepera, M.E.; Carretta, D.; Santoro, D.; Favale, S. Head-to-Head Comparison of Peak Upright Bicycle and Post-Treadmill Echocardiography in Detecting Coronary Artery Disease: A Randomized, Single-Blind Crossover Study. J. Am. Soc. Echocardiogr. 2013, 26, 1434–1443. [Google Scholar] [CrossRef] [PubMed]
- Albadri, A.; Merz, C.N.B.; Johnson, B.D.; Wei, J.; Mehta, P.K.; Cook-Wiens, G.; Reis, S.E.; Kelsey, S.F.; Bittner, V.; Sopko, G.; et al. Impact of Abnormal Coronary Reactivity on Long-Term Clinical Outcomes in Women. J. Am. Coll. Cardiol. 2019, 73, 684–693. [Google Scholar] [CrossRef] [PubMed]
- Schächinger, V.; Britten, M.B.; Zeiher, A.M. Prognostic Impact of Coronary Vasodilator Dysfunction on Adverse Long-Term Outcome of Coronary Heart Disease. Circulation 2000, 101, 1899–1906. [Google Scholar] [CrossRef] [PubMed]
- Gradus-Pizlo, I.; Sawada, S.G.; Wright, D.; Segar, D.S.; Feigenbaum, H. Detection of subclinical coronary atherosclerosis using two-dimensional, high-resolution transthoracic echocardiography. J. Am. Coll. Cardiol. 2001, 37, 1422–1429. [Google Scholar] [CrossRef]
- Caiati, C.; Lepera, M.; Pollice, P.; Favale, S. Feasibility of a new non invasive method for the evaluation of coronary blood flow in coronaries: Transthoracic convergent color doppler mode along with pharmacologically induced heart rate lowering. J. Am. Coll. Cardiol. 2020, 75, 1786. [Google Scholar] [CrossRef]
- Caiati, C.; Montaldo, C.; Zedda, N.; Bina, A.; Iliceto, S. Assessment of coronary flow reserve by contrast-enhanced second harmonic echo Doppler—Response. Circulation 2000, 101, E100. [Google Scholar]
- Kim, J.; Kwag, H.J.; Yoo, S.M.; Yoo, J.Y.; Chae, I.; Choi, D.-J.; Park, M.-J.; Vembar, M.; Chun, E.J. Discrepancies between coronary CT angiography and invasive coronary angiography with focus on culprit lesions which cause future cardiac events. Eur. Radiol. 2017, 28, 1356–1364. [Google Scholar] [CrossRef] [PubMed]
- Carpeggiani, C.; Picano, E.; Brambilla, M.; Michelassi, C.; Knuuti, J.; Kauffman, P.; Underwood, S.R.; Neglia, D.; EVINCI Study Investigators. Variability of radiation doses of cardiac diagnostic imaging tests: The RADIO-EVINCI study (RADIationdOse subproject of the EVINCI study). BMC Cardiovasc. Disord. 2017, 17, 63. [Google Scholar] [CrossRef]
- Nguyen, P.K.; Lee, W.H.; Li, Y.F.; Hong, W.X.; Hu, S.; Chan, C.; Liang, G.; Nguyen, I.; Ong, S.-G.; Churko, J.M.; et al. Assessment of the Radiation Effects of Cardiac CT Angiography Using Protein and Genetic Biomarkers. JACC Cardiovasc. Imaging 2015, 8, 873–884. [Google Scholar] [CrossRef] [PubMed]
- Carpeggiani, C.; Landi, P.; Michelassi, C.; Andreassi, M.G.; Sicari, R.; Picano, E. Stress Echocardiography Positivity Predicts Cancer Death. J. Am. Heart Assoc. 2017, 6, e007104. [Google Scholar] [CrossRef]
- Fagnoni, F.F.; Vescovini, R.; Passeri, G.; Bologna, G.; Pedrazzoni, M.; Lavagetto, G.; Casti, A.; Franceschi, C.; Passeri, M.; Sansoni, P. Shortage of circulating naive CD8+ T cells provides new insights on immunodeficiency in aging. Blood 2000, 95, 2860–2868. [Google Scholar] [CrossRef] [PubMed]
- Gofman, J.W. Radiation from Medical Procedure in the Pathogenesis of Cancer and Ischemic Heart Disease: Dose-Response Studies with Physicians per 100,000 Population; C.N.R. Book Division: San Francisco, CA, USA, 1999. [Google Scholar]
- Nguyen, P.K.; Wu, J.C. Radiation exposure from imaging tests: Is there an increased cancer risk? Expert Rev. Cardiovasc. Ther. 2011, 9, 177–183. [Google Scholar] [CrossRef] [PubMed]
- Maron, D.J.; Hochman, J.S.; Reynolds, H.R.; Bangalore, S.; O’Brien, S.M.; Boden, W.E.; Chaitman, B.R.; Senior, R.; López-Sendón, J.; Alexander, K.P.; et al. Initial Invasive or Conservative Strategy for Stable Coronary Disease. N. Engl. J. Med. 2020, 382, 1395–1407. [Google Scholar] [CrossRef]




Publisher’s Note: MDPI stays neutral with regard to jurisdictional claims in published maps and institutional affiliations. |
© 2021 by the authors. Licensee MDPI, Basel, Switzerland. This article is an open access article distributed under the terms and conditions of the Creative Commons Attribution (CC BY) license (http://creativecommons.org/licenses/by/4.0/).
Share and Cite
Caiati, C.; Scardapane, A.; Iacovelli, F.; Pollice, P.; Achille, T.I.; Favale, S.; Lepera, M.E. Coronary Flow and Reserve by Enhanced Transthoracic Doppler Trumps Coronary Anatomy by Computed Tomography in Assessing Coronary Artery Stenosis. Diagnostics 2021, 11, 245. https://doi.org/10.3390/diagnostics11020245
Caiati C, Scardapane A, Iacovelli F, Pollice P, Achille TI, Favale S, Lepera ME. Coronary Flow and Reserve by Enhanced Transthoracic Doppler Trumps Coronary Anatomy by Computed Tomography in Assessing Coronary Artery Stenosis. Diagnostics. 2021; 11(2):245. https://doi.org/10.3390/diagnostics11020245
Chicago/Turabian StyleCaiati, Carlo, Arnaldo Scardapane, Fortunato Iacovelli, Paolo Pollice, Teresa Immacolata Achille, Stefano Favale, and Mario Erminio Lepera. 2021. "Coronary Flow and Reserve by Enhanced Transthoracic Doppler Trumps Coronary Anatomy by Computed Tomography in Assessing Coronary Artery Stenosis" Diagnostics 11, no. 2: 245. https://doi.org/10.3390/diagnostics11020245
APA StyleCaiati, C., Scardapane, A., Iacovelli, F., Pollice, P., Achille, T. I., Favale, S., & Lepera, M. E. (2021). Coronary Flow and Reserve by Enhanced Transthoracic Doppler Trumps Coronary Anatomy by Computed Tomography in Assessing Coronary Artery Stenosis. Diagnostics, 11(2), 245. https://doi.org/10.3390/diagnostics11020245

