Major Aortic Reconstruction with the Replacement of Supra-Aortic Branches: Successful Surgical Treatment of Takayasu Arteritis Initially Presented as Congestive Heart Failure
Abstract


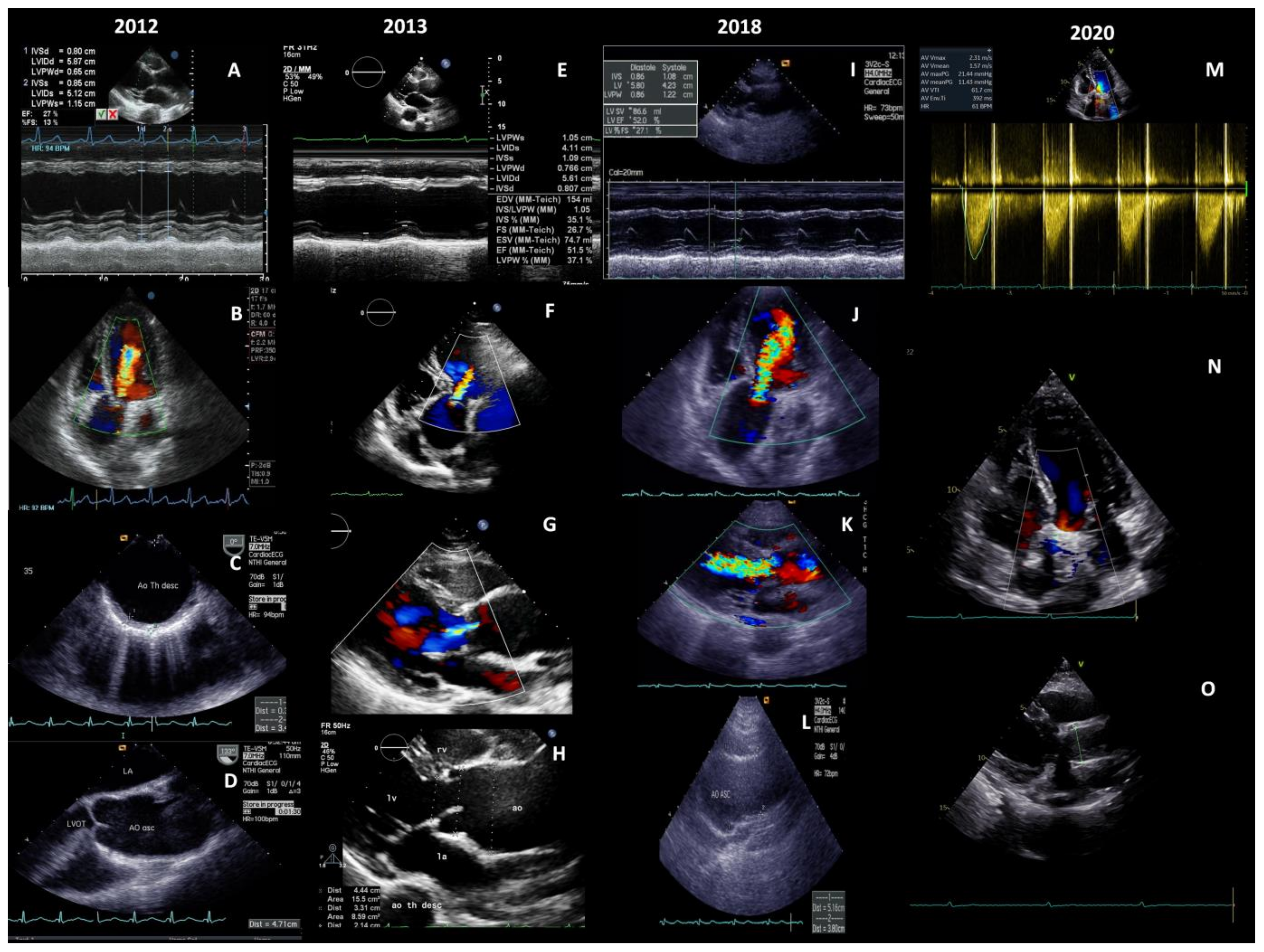
Supplementary Materials
Author Contributions
Funding
Institutional Review Board Statement
Informed Consent Statement
Data Availability Statement
Conflicts of Interest
References
- Numano, F.; Okawara, M.; Inomata, H.; Kobayashi, Y. Takayasu’s arteritis. Lancet 2000, 356, 1023–1025. [Google Scholar] [CrossRef]
- Vanoli, M.; Daina, E.; Salvarani, C.; Sabbadini, M.G.; Rossi, C.; Bacchiani, G.; Schieppati, A.; Baldissera, E.; Bertolini, G.; ITAKA STUDY Group. Takayasu’s arteritis: A study of 104 Italian patients. Arthritis Rheum. 2005, 53, 100–107. [Google Scholar] [CrossRef] [PubMed]
- Arend, W.P.; Michel, B.A.; Block, D.A.; Hunder, G.G.; Calabrese, L.H.; Edworthy, S.M.; Fauci, A.S.; Leavitt, R.Y.; Lie, J.T.; Lightfoot, R.W., Jr.; et al. The American College of Rheumatology 1990 criteria for the classification of Takayasu arteritis. Arthritis Rheum. 1990, 33, 1129–1134. [Google Scholar] [CrossRef] [PubMed]
- Hellmich, B.; Agueda, S.; Monti, S.; Buttgereit, F.; de Boysson, H.; Brouwer, E.; Cassie, R.; Cid, M.C.; Dasgupta, B.; Dejaco, C.; et al. 2018 Update of the EULAR recommendations for the management of large vessel vasculitis. Ann. Rheum. Dis. 2020, 79, 19–30. [Google Scholar] [CrossRef] [PubMed]
- Cheng, X.; Li, Z.; Dang, A.; Lv, N.; Chang, Q.; Song, Y.; Liu, G. Different treatment options for Takayasu arteritis patients with moderate-to-severe aortic regurgitation: Long-term outcomes. Rheumatology 2020. [Google Scholar] [CrossRef] [PubMed]
- Miller, D.V.; Maleszewski, J.J. The pathology of large-vessel vasculitides. Clin. Exp. Rheumatol. 2011, 29 (Suppl. 64), S92–S98. [Google Scholar] [PubMed]
- Mason, J.C. Surgical intervention and its role in Takayasu arteritis. Best Pract. Res. Clin. Rheumatol. 2018, 32, 112–124. [Google Scholar] [CrossRef] [PubMed]
| Publisher’s Note: MDPI stays neutral with regard to jurisdictional claims in published maps and institutional affiliations. | 
© 2021 by the authors. Licensee MDPI, Basel, Switzerland. This article is an open access article distributed under the terms and conditions of the Creative Commons Attribution (CC BY) license (http://creativecommons.org/licenses/by/4.0/).
Share and Cite
Stojanovic, M.; Raskovic, S.; Boricic-Kostic, M.; Bozic, V.; Vuckovic, M.; Peric-Popadic, A.; Bilbija, I. Major Aortic Reconstruction with the Replacement of Supra-Aortic Branches: Successful Surgical Treatment of Takayasu Arteritis Initially Presented as Congestive Heart Failure. Diagnostics 2021, 11, 216. https://doi.org/10.3390/diagnostics11020216
Stojanovic M, Raskovic S, Boricic-Kostic M, Bozic V, Vuckovic M, Peric-Popadic A, Bilbija I. Major Aortic Reconstruction with the Replacement of Supra-Aortic Branches: Successful Surgical Treatment of Takayasu Arteritis Initially Presented as Congestive Heart Failure. Diagnostics. 2021; 11(2):216. https://doi.org/10.3390/diagnostics11020216
Chicago/Turabian StyleStojanovic, Maja, Sanvila Raskovic, Marija Boricic-Kostic, Vesna Bozic, Maja Vuckovic, Aleksandra Peric-Popadic, and Ilija Bilbija. 2021. "Major Aortic Reconstruction with the Replacement of Supra-Aortic Branches: Successful Surgical Treatment of Takayasu Arteritis Initially Presented as Congestive Heart Failure" Diagnostics 11, no. 2: 216. https://doi.org/10.3390/diagnostics11020216
APA StyleStojanovic, M., Raskovic, S., Boricic-Kostic, M., Bozic, V., Vuckovic, M., Peric-Popadic, A., & Bilbija, I. (2021). Major Aortic Reconstruction with the Replacement of Supra-Aortic Branches: Successful Surgical Treatment of Takayasu Arteritis Initially Presented as Congestive Heart Failure. Diagnostics, 11(2), 216. https://doi.org/10.3390/diagnostics11020216
 
         
                                                



