Non-Simultaneous Bilateral Ischemic Optic Neuropathy Related to High Altitude and Airplane Flight in a Patient with Cerebral Small Vessel Disease
Abstract
:1. Introduction
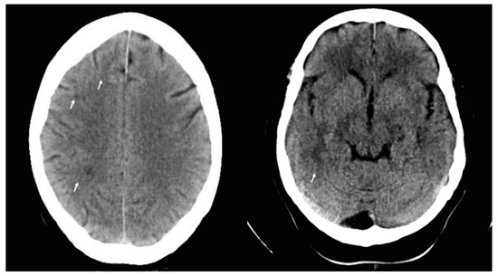
2. Case Report
3. Discussion
Author Contributions
Funding
Institutional Review Board Statement
Informed Consent Statement
Data Availability Statement
Acknowledgments
Conflicts of Interest
References
- Cullen, J.F.; Chung, S.H.R. Non-arteritic anterior ischaemic optic neuropathy (NA-AION): Outcome for visual acuity and visual field defects, the Singapore scene 2. Singap. Med J. 2012, 53, 88–90. [Google Scholar]
- Hayreh, S.S. Ischemic optic neuropathy. Prog. Retin. Eye Res. 2009, 28, 34–62. [Google Scholar] [CrossRef] [PubMed]
- Braun, U.; Braun, M.; Jonas, J.B. Höhenretinopathie nach Himalaja-Aufenthalt High altitude retinopathy after Himalayan ascent. Klin. Monbl. Augenheilkd. 1997, 211, 213–214. [Google Scholar] [CrossRef]
- Müllner-Eidenböck, A.; Rainer, G.; Strenn, K.; Zidek, T.; M, A. High-altitude retinopathy and retinal vascular dysregulation. Eye 2000, 14, 724–729. [Google Scholar] [CrossRef]
- Kaiserman, I.; Frucht-Pery, J. Anterior ischemic optic neuropathy after a trans-Atlantic airplane journey. Am. J. Ophthalmol. 2002, 133, 581–583. [Google Scholar] [CrossRef]
- De Bats, F.; Gambrelle, J.; Feldman, A.; Mauget-Faysse, M.; Germain-Pastene, M.; Denis, P. Survenue d’une neuropathie optique ischémique antérieure aiguë bilatérale en haute altitude: Rôle de l’intolérance à l’hypoxie Role of intolerance to hypoxia in the occurrence of anterior bilateral ischaemic optic neuropathy at high altitude. J. Fr. Ophtalmol. 2010, 33, 724–727. [Google Scholar] [CrossRef] [PubMed]
- Bosch, M.M.; Barthelmes, D.; Merz, T.M.; Bloch, K.E.; Turk, A.J.; Hefti, U.; Sutter, F.K.P.; Maggiorini, M.; Wirth, M.G.; Schoch, O.D.; et al. High Incidence of Optic Disc Swelling at Very High Altitudes. Arch. Ophthalmol. 2008, 126, 644–650. [Google Scholar] [CrossRef] [PubMed] [Green Version]
- Ascaso, F.J.; Nerín, M.A.; Villén, L.; Morandeira, J.R.; Cristóbal, J.A. Acute mountain sickness and retinal evaluation by optical co-herence tomography. Eur J Ophthalmol. 2012, 22, 580–589. [Google Scholar] [CrossRef]
- Bandyopadhyay, S.; Singh, R.; Gupta, V.; Gupta, A. Anterior ischaemic optic neuropathy at high altitude. Indian J. Ophthalmol. 2002, 50, 324–325. [Google Scholar] [PubMed]
- Scimone, C.; Alibrandi, S.; Scalinci, S.Z.; Battagliola, E.T.; D’Angelo, R.; Sidoti, A.; Donato, L. Expression of Pro-Angiogenic Markers Is Enhanced by Blue Light in Human RPE Cells. Antioxidants 2020, 9, 1154. [Google Scholar] [CrossRef]
- Rinaldi, C.; Donato, L.; Alibrandi, S.; Scimone, C.; D’Angelo, R.; Sidoti, A. Oxidative Stress and the Neurovascular Unit. Life 2021, 11, 767. [Google Scholar] [CrossRef] [PubMed]
- Moran, C.; Phan, T.G.; Srikanth, V.K. Cerebral Small Vessel Disease: A Review of Clinical, Radiological, and Histopathological Phenotypes. Int. J. Stroke 2012, 7, 36–46. [Google Scholar] [CrossRef] [PubMed]
- Doubal, F.N.; MacGillivray, T.J.; Hokke, P.E.; Dhillon, B.; Dennis, M.S.; Wardlaw, J.M. Differences in retinal vessels support a distinct vasculopathy causing lacunar stroke. Neurology 2009, 72, 1773–1778. [Google Scholar] [CrossRef] [PubMed] [Green Version]
- Kim, M.S.; Jeong, H.Y.; Cho, K.H.; Oh, S.W.; Byun, S.J.; Woo, S.J.; Yang, H.K.; Hwang, J.M.; Park, K.H.; Kim, C.K.; et al. Nonarteritic anterior ischemic optic neuropathy is associated with cerebral small vessel disease. PLoS ONE 2019, 14, e0225322. [Google Scholar] [CrossRef] [PubMed]




| Publisher’s Note: MDPI stays neutral with regard to jurisdictional claims in published maps and institutional affiliations. | 
© 2021 by the authors. Licensee MDPI, Basel, Switzerland. This article is an open access article distributed under the terms and conditions of the Creative Commons Attribution (CC BY) license (https://creativecommons.org/licenses/by/4.0/).
Share and Cite
Boned-Murillo, A.; Esteban-Floria, O.; Martinez-Velez, M.; Mateo Gabas, J.; Ascaso Puyuelo, F.J. Non-Simultaneous Bilateral Ischemic Optic Neuropathy Related to High Altitude and Airplane Flight in a Patient with Cerebral Small Vessel Disease. Diagnostics 2021, 11, 2325. https://doi.org/10.3390/diagnostics11122325
Boned-Murillo A, Esteban-Floria O, Martinez-Velez M, Mateo Gabas J, Ascaso Puyuelo FJ. Non-Simultaneous Bilateral Ischemic Optic Neuropathy Related to High Altitude and Airplane Flight in a Patient with Cerebral Small Vessel Disease. Diagnostics. 2021; 11(12):2325. https://doi.org/10.3390/diagnostics11122325
Chicago/Turabian StyleBoned-Murillo, Ana, Olivia Esteban-Floria, Mireya Martinez-Velez, Javier Mateo Gabas, and Francisco Javier Ascaso Puyuelo. 2021. "Non-Simultaneous Bilateral Ischemic Optic Neuropathy Related to High Altitude and Airplane Flight in a Patient with Cerebral Small Vessel Disease" Diagnostics 11, no. 12: 2325. https://doi.org/10.3390/diagnostics11122325
APA StyleBoned-Murillo, A., Esteban-Floria, O., Martinez-Velez, M., Mateo Gabas, J., & Ascaso Puyuelo, F. J. (2021). Non-Simultaneous Bilateral Ischemic Optic Neuropathy Related to High Altitude and Airplane Flight in a Patient with Cerebral Small Vessel Disease. Diagnostics, 11(12), 2325. https://doi.org/10.3390/diagnostics11122325
 
         
                                                

