Ultrasound Features of a Uterine Perivascular Epithelioid Cell Tumor (PEComa): Case Report and Literature Review
Abstract
1. Background
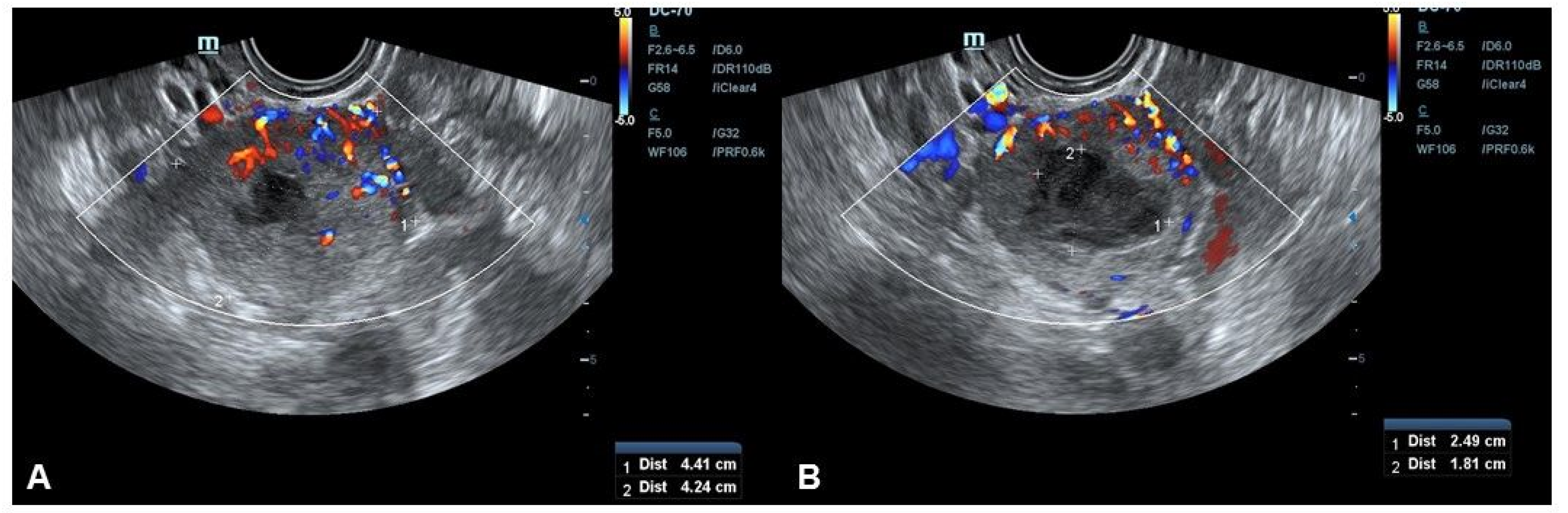
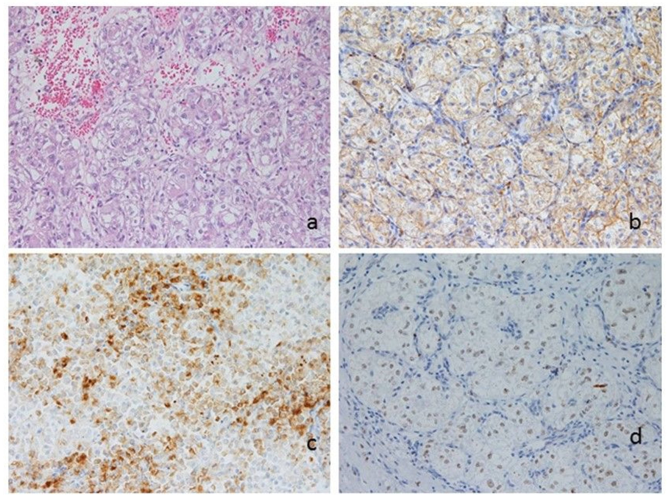
2. Case Presentation
3. Discussion
4. Conclusions
Author Contributions
Funding
Conflicts of Interest
Ethical Statement
References
- Folpe, A.L. Neoplasms with perivascular epithelioid cell differentiation (PEComas). In World Health Organization Classification of Tumours. Pathology and Genetics of Tumours of Soft Tissue and Bone; Fletcher, C.D.M., Unni, K.K., Mertens, F., Eds.; IARC Press: Lyon, France, 2002; pp. 221–222. [Google Scholar]
- Rubisz, P.; Ciebieram, M.; Hirnle, L.; Zgliczyńska, M.; Łoziński, T.; Dzięgiel, P.; Kobierzycki, C. The Usefulness of Immunohistochemistry in the Differential Diagnosis of Lesions Originating from the Myometrium. Int. J. Mol. Sci. 2019, 20, 1136. [Google Scholar] [CrossRef] [PubMed]
- Schoolmeester, J.K.; Howitt, B.E.; Hirsch, M.S.; Dal Cin, P.; Quade, B.J.; Nucci, M.R. Perivascular epithelioid cell neoplasm (PEComa) of the gynecologic tract: Clinicopathologic and immunohistochemical characterization of 16 cases. Am. J. Surg. Pathol. 2014, 38, 176–188. [Google Scholar] [CrossRef] [PubMed]
- Gentile, M.; Zinna, M.; Zanella, C.; Costanza, A.; Dalfior, D.; Sina, S.; Greco, F.; Fiorica, F.; Colombari, R.; Catapano, P.; et al. Uterine PEComa with aggressive behavior: A review with an additional case of spontaneous vaginal expulsion. Pathol. Res. Pract. 2020, 216, 152991. [Google Scholar] [CrossRef]
- Pineda, L.; Salcedo, E.; Vilhena, C.; Juez, L.; Alcázar, J.L. Interobserver agreement in assigning IOTA color score to adnexal masses using three-dimensional volumes or digital videoclips: Potential implications for training. Ultrasound Obstet. Gynecol. 2014, 44, 361–364. [Google Scholar] [CrossRef] [PubMed][Green Version]
- Bennett, J.A.; Braga, A.C.; Pinto, A.; Van de Vijver, K.; Cornejo, K.; Pesci, A.; Zhang, L.; Morales-Oyarvide, V.; Kiyokawa, T.; Zannoni, G.F.; et al. Uterine PEComas: A Morphologic, Immunohistochemical, and Molecular Analysis of 32 Tumors. Am. J. Surg. Pathol. 2018, 42, 1370–1383. [Google Scholar] [CrossRef]
- Timmerman, D.; Ameye, L.; Fischerova, D.; Epstein, E.; Melis, G.B.; Guerriero, S.; Van Holsbeke, C.; Savelli, L.; Fruscio, R.; Lissoni, A.A.; et al. Simple ultrasound rules to distinguish between benign and malignant adnexal masses before surgery: Prospective validation by IOTA group. BMJ 2010, 341, c6839. [Google Scholar] [CrossRef]
- Epstein, E.; Fischerova, D.; Valentin, L.; Testa, A.C.; Franchi, D.; Sladkevicius, P.; Frühauf, F.; Lindqvist, P.G.; Mascilini, F.; Fruscio, R.; et al. Ultrasound characteristics of endometrial cancer as defined by International Endometrial Tumor Analysis (IETA) consensus nomenclature: Prospective multicenter study. Ultrasound Obstet. Gynecol. 2018, 51, 818–828. [Google Scholar] [CrossRef]
- Gadducci, A.; Zannoni, G.F. Perivascular epithelioid cell tumors (PEComa) of the female genital tract: A challenging question for gynaecologic oncologist and pathologist. Gynecol. Oncol. Rep. 2020, 33, 100603. [Google Scholar] [CrossRef]
- Babayev, E.; Fay, K.E.; Horowitz, J.M.; Goldstein, J.A.; Alexander, A.L.; Strohl, A.E.; Miller, E.S. Perivascular epithelioid cell tumors (PEComa) in pregnancy with uterine rupture and ongoing abdominal gestation: A case report. Case Rep. Women’s Health 2020, 25, e00172. [Google Scholar] [CrossRef]
- Sizzi, O.; Manganaro, L.; Rossetti, A.; Saldari, M.; Florio, G.; Loddo, A.; Zurawin, R.; van Herendael, B.; Djokovic, D. Assessing the risk of laparoscopic morcellation of occult uterine sarcomas during hysterectomy and myomectomy: Literature review and the ISGE recommendations. Eur. J. Obstet. Gynecol. Reprod. Biol. 2018, 220, 30–38. [Google Scholar] [CrossRef]
- Barron, K.I.; Richard, T.; Robinson, P.S.; Lamvu, G. Association of the U.S. Food and Drug Administration Morcellation Warning With Rates of Minimally Invasive Hysterectomy and Myomectomy. Obstet. Gynecol. 2015, 126, 1174–1180. [Google Scholar] [CrossRef] [PubMed]
- Parker, W.H.; Fu, Y.S.; Berek, J.S. Uterine sarcoma in patients operated on for presumed leiomyoma and rapidly growing leiomyoma. Obstet. Gynecol. 1994, 83, 414. [Google Scholar] [PubMed]
- Stewart, E.A.; Barbieri, R.L.; Goff, B.; Falcone, T.; Falk, S.J. Differentiating Uterine Leiomyomas (Fibroids) from Uterine Sarcomas; UpToDate: Waltham, MA, USA, 2015. [Google Scholar]
- Liu, C.H.; Chao, W.T.; Lin, S.C.; Lau, H.Y.; Wu, H.H.; Wang, P.H. Malignant perivascular epithelioid cell tumor in the female genital tract: Preferred reporting items for systematic reviews and meta-analyses. Medicine (Baltimore) 2019, 98, e14072. [Google Scholar] [CrossRef] [PubMed]
- Shan, W.; Shi, Y.; Zhu, Q.; Yang, B.; Xie, L.; Li, B.; Ning, C.; Lv, Q.; Cheng, Y.; Xie, B.; et al. Five cases of uterine perivascular epithelioid cell tumors (PEComas) and review of literature. Arch. Gynecol. Obstet. 2019, 299, 185–190. [Google Scholar] [CrossRef] [PubMed]
- Kwon, B.S.; Suh, D.S.; Lee, N.K.; Song, Y.J.; Choi, K.U.; Kim, K.H. Two cases of perivascular epithelioid cell tumor of the uterus: Clinical, radiological and pathological diagnostic challenge. Eur. J. Med. Res. 2017, 22, 7. [Google Scholar] [CrossRef] [PubMed]
- Socolov, D.; Scripcaru, D.; Ferariu, D.; Socolov, R.; Carauleanu, A.; Ilea, C.; Danciu, M. An unusual enhanced Doppler vascular profile of a rare uterine tumor: PEComa. Eur. J. Gynaecol. Oncol. 2016, 37, 741–743. [Google Scholar]
- Verbeeck, N.; Toukouki, A.; Weis, R.; Van Wymersch, D. PEComa of the Uterus: A Rare Mesenchymal Tumor Displaying a « Snowstorm » Pattern at Magnetic Resonance Imaging. J. Belg. Soc. Radiol. 2016, 100, 5. [Google Scholar]
- Fitzpatrick, M.; Pulver, T.; Klein, M.; Murugan, P.; Khalifa, M.; Amin, K. Perivascular Epithelioid Cell Tumor of the Uterus with Ovarian Involvement: A Case Report and Review of the Literature. Am. J. Case Rep. 2016, 17, 309–314. [Google Scholar] [CrossRef]
- Tirumani, S.H.; Shinagare, A.B.; Hargreaves, J.; Jagannathan, J.P.; Hornick, J.L.; Wagner, A.J.; Ramaiya, N.H. Imaging features of primary and metastatic malignant perivascular epithelioid cell tumors. AJR Am. J. Roentgenol. 2014, 202, 252–258. [Google Scholar] [CrossRef]
- Yu, Y.; Shi, H.Y.; Huang, H.F. Uterine perivascular epithelioid cell tumour. J. Obstet. Gynaecol. 2014, 34, 519–522. [Google Scholar] [CrossRef]
- Issat, T.; Maciejewski, T.; Beta, J.; Jakimiuk, A.J. Rare case of uterine PEC-oma (perivascular epithelioid cell tumor) recurrence. Case report and literature review. Ginekol. Pol. 2012, 83, 552–554. [Google Scholar] [PubMed]
- Liu, J.L.; Lin, Y.M.; Lin, M.C.; Yeh, K.T.; Hsu, J.C.; Chin, C.J. Perivascular epithelioid cell tumor (PEComa) of the uterus with aggressive behavior at presentation. Hematol. Oncol. Stem. Cell. Ther. 2009, 2, 426–430. [Google Scholar] [CrossRef]
- Gan, M.F.; Yu, C.K.; Jin, M.; Lu, H.S.; Li, H.M. Perivascular epithelioid cell tumor of the uterus: Report of three cases. Chin. Med. J. (Engl.) 2007, 120, 526–528. [Google Scholar] [CrossRef] [PubMed]
- Exacoustos, C.; Romanini, M.E.; Amadio, A. Can gray-scale and color Doppler sonography differentiate between uterine leiomyosarcoma and leiomyoma? J. Clin. Ultrasound 2007, 35, 449–457. [Google Scholar] [CrossRef]




| Heading | No. | Dimensions (cm) | Echogenicity | Position | Vascularization | Cystic Areas | Margins | Suspected Diagnosis |
|---|---|---|---|---|---|---|---|---|
| Giannella, (the present report) | n = 1 | 4.7 × 3.3 × 4.5 | Heterogeneous | SS | Central rich vascularization | Intense central anechoic portion | Well-delimited borders | Smooth muscle tumors of uncertain malignant potential |
| Liu CH [15] 2019 | n = 1 | 10 | - | - | Rich flow | - | - | Uterine sarcoma |
| Shan [16] 2018 | n = 4 | 10.8 × 10.1 × 9.5 | Heterogeneous | - | Rich blood supply | Cystic area with mixed echo | - | Left ovarian cyst torsion |
| 3.5 × 2.9 × 1.5 | - | - | Cord-like blood flow | Hypoechoic area | - | Uterine leiomyoma | ||
| 5.3 × 4.4 × 3.8 | - | - | Abundant dotted blood supply | Multiple areas with no echo | - | Degenerate uterine leiomyoma | ||
| 5.8 × 6.2 × 3.8 | Hypoechoic | - | Abundant blood supply | - | - | Degenerate uterine leiomyoma | ||
| Su Kwon [17] 2017 | n = 1 | 4.6 | Heterogeneous | - | - | - | - | - |
| Socolov [18] 2016 | n = 1 | 5.2 × 5.7 | Hyperechogenic Heterogeneous | - | Central vascular network with low impedance | No cystic areas | Imprecise borders | Uterine sarcoma |
| Verbeeck [19] 2016 | n = 1 | 10 | Granulomatous ovoid uterine tumor | - | Rich vascular network with low impedance | - | - | Uterine sarcoma |
| Fitzpatrick [20] 2016 | n = 1 | 10.5 × 9.0 × 12.0 | - | - | - | - | - | - |
| Tirumani [21] 2014 | n = 2 | - | Heterogeneous | - | No significant vascularity in Doppler profile | No cystic area | Well-defined margins | Uterine leiomyoma |
| Tirumani [21] 2014 | n = 1 | 14 | Heterogeneous | - | - | - | Poor delimitation of margins | Uterine sarcoma |
| Yu [22] 2014 | n = 1 | 4.5 × 4.5 × 3.5 | - | SS | - | - | - | - |
| Issat [23] 2012 | n = 1 | 9.2 × 7.6 | Hyperechogenic Partially solid mass | - | - | Partially cystic | - | - |
| Liu JL [24] 2009 | n = 1 | 8.1 × 7.2 × 6.4 | - | - | - | - | - | Uterine leiomyoma |
| Gan [25] 2007 | n = 3 | 3.5 × 2.5 × 2.0 | - | SS SS | - | - | - | Uterine leiomyoma |
| 8.5 × 4.3 × 6.4 | ||||||||
| 5.5 × 5.0 × 4.5 |
© 2020 by the authors. Licensee MDPI, Basel, Switzerland. This article is an open access article distributed under the terms and conditions of the Creative Commons Attribution (CC BY) license (http://creativecommons.org/licenses/by/4.0/).
Share and Cite
Giannella, L.; Delli Carpini, G.; Montik, N.; Verdecchia, V.; Puccio, F.; Di Giuseppe, J.; Tsiroglou, D.; Goteri, G.; Ciavattini, A. Ultrasound Features of a Uterine Perivascular Epithelioid Cell Tumor (PEComa): Case Report and Literature Review. Diagnostics 2020, 10, 553. https://doi.org/10.3390/diagnostics10080553
Giannella L, Delli Carpini G, Montik N, Verdecchia V, Puccio F, Di Giuseppe J, Tsiroglou D, Goteri G, Ciavattini A. Ultrasound Features of a Uterine Perivascular Epithelioid Cell Tumor (PEComa): Case Report and Literature Review. Diagnostics. 2020; 10(8):553. https://doi.org/10.3390/diagnostics10080553
Chicago/Turabian StyleGiannella, Luca, Giovanni Delli Carpini, Nina Montik, Valeria Verdecchia, Francesca Puccio, Jacopo Di Giuseppe, Dimitrios Tsiroglou, Gaia Goteri, and Andrea Ciavattini. 2020. "Ultrasound Features of a Uterine Perivascular Epithelioid Cell Tumor (PEComa): Case Report and Literature Review" Diagnostics 10, no. 8: 553. https://doi.org/10.3390/diagnostics10080553
APA StyleGiannella, L., Delli Carpini, G., Montik, N., Verdecchia, V., Puccio, F., Di Giuseppe, J., Tsiroglou, D., Goteri, G., & Ciavattini, A. (2020). Ultrasound Features of a Uterine Perivascular Epithelioid Cell Tumor (PEComa): Case Report and Literature Review. Diagnostics, 10(8), 553. https://doi.org/10.3390/diagnostics10080553

