Immunohistochemical Features of Indoleamine 2,3-Dioxygenase (IDO) in Various Types of Lymphoma: A Single Center Experience
Abstract
1. Introduction
2. Materials and Methods
2.1. Study Population
2.2. Immunohistochemistry for Indoleamine 2, 3-Dioxygenase
3. Results
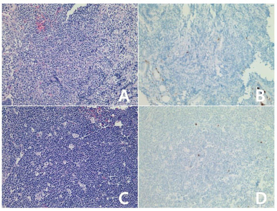
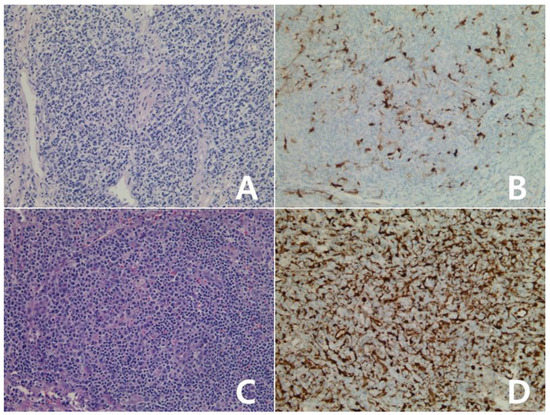
3.1. Hodgkin Lymphoma
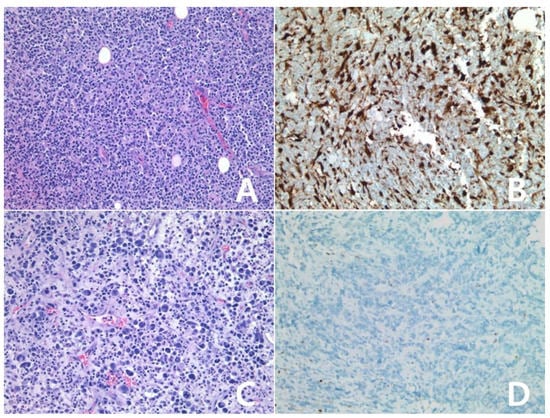
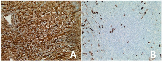
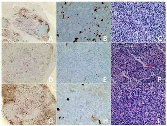
3.2. Diffuse Large B-Cell Lymphoma (DLBCL)
3.2.1. Diffuse Large B-Cell Lymphoma (DLBCL), NOS
3.2.2. Diffuse Large B-Cell Lymphoma (DLBCL), Subtypes
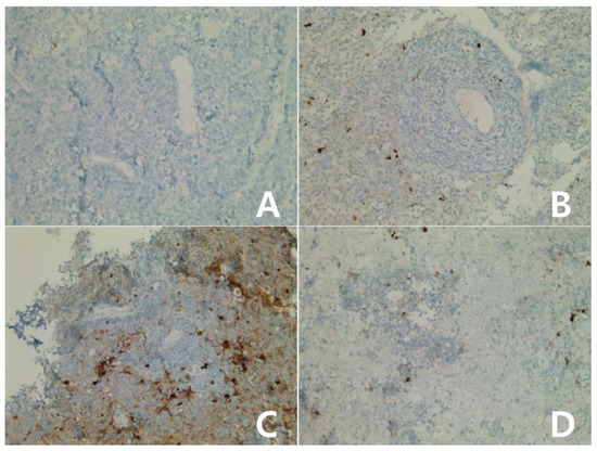
3.3. B-Cell Lymphomas with Low IDO Expression
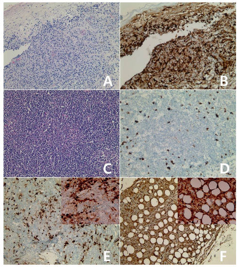
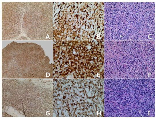
3.4. Mature T-and NK-Cell Neoplasms
4. Discussion
Author Contributions
Funding
Conflicts of Interest
References
- Gajewski, T.F. Identifying and Overcoming Immune Resistance Mechanisms in the Melanoma Tumor Microenvironment. Clin. Cancer Res. 2006, 12, 2326s–2330s. [Google Scholar] [CrossRef] [PubMed]
- Whiteside, T.L. Immune Suppression in Cancer: Effects on Immune Cells, Mechanisms and Future Therapeutic Intervention. Semin. Cancer Biol. 2006, 16, 3–15. [Google Scholar] [CrossRef] [PubMed]
- Munn, D.H.; Mellor, A.L. Indoleamine 2,3-Dioxygenase and Tumor-Induced Tolerance. J. Clin. Investig. 2007, 117, 1147–1154. [Google Scholar] [CrossRef] [PubMed]
- Mellor, A.L.; Munn, D.H. Tryptophan Catabolism and T-Cell Tolerance: Immunosuppression by Starvation? Immunol. Today 1999, 20, 469–473. [Google Scholar] [CrossRef]
- Zhai, L.; Spranger, S.; Binder, D.C.; Gritsina, G.; Lauing, K.L.; Giles, F.J.; Wainwright, D.A. Molecular Pathways: Targeting IDO1 and Other Tryptophan Dioxygenases for Cancer Immunotherapy. Clin. Cancer Res. 2015, 21, 5427–5433. [Google Scholar] [CrossRef]
- Nakamura, N.; Hara, T.; Shimizu, M.; Mabuchi, R.; Nagano, J.; Ohno, T.; Kochi, T.; Kubota, M.; Shirakami, Y.; Goto, N.; et al. Effects of Indoleamine 2,3-Dioxygenase Inhibitor in Non-Hodgkin Lymphoma Model Mice. Int. J. Hematol. 2015, 102, 327–334. [Google Scholar] [CrossRef]
- Frumento, G.; Rotondo, R.; Tonetti, M.; Damonte, G.; Benatti, U.; Ferrara, G.B. Tryptophan-Derived Catabolites are Responsible for Inhibition of T and Natural Killer Cell Proliferation Induced by Indoleamine 2,3-Dioxygenase. J. Exp. Med. 2002, 196, 459–468. [Google Scholar] [CrossRef]
- Munn, D.H.; Shafizadeh, E.; Attwood, J.T.; Bondarev, I.; Pashine, A.; Mellor, A.L. Inhibition of T Cell Proliferation by Macrophage Tryptophan Catabolism. J. Exp. Med. 1999, 189, 1363–1372. [Google Scholar] [CrossRef]
- Hwu, P.; Du, M.X.; Lapointe, R.; Do, M.; Taylor, M.W.; Young, H.A. Indoleamine 2,3-Dioxygenase Production by Human Dendritic Cells Results in the Inhibition of T Cell Proliferation. J. Immunol. 2000, 164, 3596–3599. [Google Scholar] [CrossRef]
- Munn, D.H.; Sharma, M.D.; Lee, J.R.; Jhaver, K.G.; Johnson, T.S.; Keskin, D.B.; Marshall, B.; Chandler, P.; Antonia, S.J.; Burgess, R.; et al. Potential Regulatory Function of Human Dendritic Cells Expressing Indoleamine 2,3-Dioxygenase. Science 2002, 297, 1867–1870. [Google Scholar] [CrossRef]
- Yoshikawa, T.; Hara, T.; Tsurumi, H.; Goto, N.; Hoshi, M.; Kitagawa, J.; Kanemura, N.; Kasahara, S.; Ito, H.; Takemura, M.; et al. Serum Concentration of L-Kynurenine Predicts the Clinical Outcome of Patients with Diffuse Large B-Cell Lymphoma Treated with R-CHOP. Eur. J. Haematol. 2010, 84, 304–309. [Google Scholar] [CrossRef] [PubMed]
- Ninomiya, S.; Hara, T.; Tsurumi, H.; Goto, N.; Saito, K.; Seishima, M.; Takami, T.; Moriwaki, H. Indoleamine 2,3-Dioxygenase Expression and Serum Kynurenine Concentrations in Patients with Diffuse Large B-Cell Lymphoma. Leuk. Lymphoma 2012, 53, 1143–1145. [Google Scholar] [CrossRef] [PubMed]
- Hoshi, M.; Ito, H.; Fujigaki, H.; Takemura, M.; Takahashi, T.; Tomita, E.; Ohyama, M.; Tanaka, R.; Saito, K.; Seishima, M. Indoleamine 2,3-Dioxygenase is Highly Expressed in Human Adult T-Cell Leukemia/Lymphoma and Chemotherapy Changes Tryptophan Catabolism in Serum and Reduced Activity. Leuk. Res. 2009, 33, 39–45. [Google Scholar] [CrossRef] [PubMed]
- Ninomiya, S.; Hara, T.; Tsurumi, H.; Hoshi, M.; Kanemura, N.; Goto, N.; Kasahara, S.; Shimizu, M.; Ito, H.; Saito, K.; et al. Indoleamine 2,3-Dioxygenase in Tumor Tissue Indicates Prognosis in Patients with Diffuse Large B-Cell Lymphoma Treated with R-CHOP. Ann. Hematol. 2011, 90, 409–416. [Google Scholar] [CrossRef]
- Choe, J.Y.; Yun, J.Y.; Jeon, Y.K.; Kim, S.H.; Park, G.; Huh, J.R.; Oh, S.; Kim, J.E. Indoleamine 2,3-Dioxygenase (IDO) is Frequently Expressed in Stromal Cells of Hodgkin Lymphoma and is Associated with Adverse Clinical Features: A Retrospective Cohort Study. BMC Cancer 2014, 14, 335. [Google Scholar] [CrossRef]
- Masaki, A.; Ishida, T.; Maeda, Y.; Ito, A.; Suzuki, S.; Narita, T.; Kinoshita, S.; Takino, H.; Yoshida, T.; Ri, M.; et al. Clinical Significance of Tryptophan Catabolism in Hodgkin Lymphoma. Cancer. Sci. 2018, 109, 74–83. [Google Scholar] [CrossRef]
- Heeren, A.M.; van Dijk, I.; Berry, D.R.A.I.; Khelil, M.; Ferns, D.; Kole, J.; Musters, R.J.P.; Thijssen, V.L.; Mom, C.H.; Kenter, G.G.; et al. Indoleamine 2,3-Dioxygenase Expression Pattern in the Tumor Microenvironment Predicts Clinical Outcome in Early Stage Cervical Cancer. Front. Immunol. 2018, 9, 1598. [Google Scholar] [CrossRef]
- Li, F.; Zhao, Y.; Wei, L.; Li, S.; Liu, J. Tumor-Infiltrating Treg, MDSC, and IDO Expression Associated with Outcomes of Neoadjuvant Chemotherapy of Breast Cancer. Cancer. Biol. Ther. 2018, 19, 695–705. [Google Scholar] [CrossRef]
- Takikawa, O. Biochemical and Medical Aspects of the Indoleamine 2,3-Dioxygenase-Initiated L-Tryptophan Metabolism. Biochem. Biophys. Res. Commun. 2005, 338, 12–19. [Google Scholar] [CrossRef]
- Brown, Z.J.; Yu, S.J.; Heinrich, B.; Ma, C.; Fu, Q.; Sandhu, M.; Agdashian, D.; Zhang, Q.; Korangy, F.; Greten, T.F. Indoleamine 2,3-Dioxygenase Provides Adaptive Resistance to Immune Checkpoint Inhibitors in Hepatocellular Carcinoma. Cancer Immunol. Immunother. 2018, 67, 1305–1315. [Google Scholar] [CrossRef]
- Gide, T.N.; Allanson, B.M.; Menzies, A.M.; Ferguson, P.M.; Madore, J.; Saw, R.P.M.; Thompson, J.F.; Long, G.V.; Wilmott, J.S.; Scolyer, R.A. Inter- and Intrapatient Heterogeneity of Indoleamine 2,3-Dioxygenase Expression in Primary and Metastatic Melanoma Cells and the Tumour Microenvironment. Histopathology 2019, 74, 817–828. [Google Scholar] [CrossRef] [PubMed]
- Hornyak, L.; Dobos, N.; Koncz, G.; Karanyi, Z.; Pall, D.; Szabo, Z.; Halmos, G.; Szekvolgyi, L. The Role of Indoleamine-2,3-Dioxygenase in Cancer Development, Diagnostics, and Therapy. Front. Immunol. 2018, 9, 151. [Google Scholar] [CrossRef] [PubMed]
- Inaba, T.; Ino, K.; Kajiyama, H.; Yamamoto, E.; Shibata, K.; Nawa, A.; Nagasaka, T.; Akimoto, H.; Takikawa, O.; Kikkawa, F. Role of the Immunosuppressive Enzyme Indoleamine 2,3-Dioxygenase in the Progression of Ovarian Carcinoma. Gynecol. Oncol. 2009, 115, 185–192. [Google Scholar] [CrossRef] [PubMed]











| Histologic Type | Age | Sex | Site of Involvement | IDO | |
|---|---|---|---|---|---|
| Classic Hodgkin Lymphoma | Tumor Cell | Vessel | |||
| Mixed Cellularity | 70 | M | Cervical lymph node | Positive | Positive |
| 35 | F | Cervical lymph node | Negative | Negative | |
| 79 | F | Palatine tonsil | Positive | Positive | |
| Nodular Sclerosis | 72 | M | Axillary lymph node | Negative | Negative |
| Nodular Lymphocyte Predominant | 33 | M | Cervical lymph node | Negative | Negative |
| 77 | M | Cervical lymph node | Positive | Positive | |
| 61 | F | Cervical lymph node | Negative | Negative | |
| Histologic Type | Age | Sex | Site of Involvement | IDO |
|---|---|---|---|---|
| Diffuse Large B-cell Lymphoma, NOS | ||||
| Germinal Center B-cell | 42 | M | Nasal cavity | score 3 |
| 65 | M | Nasal cavity | score 1 | |
| 10 | M | Uvula, palatine tonsil | score 2 | |
| 81 | F | Femur, brain | score 0 | |
| 59 | F | Nasal cavity | score 0 | |
| 80 | M | Testis | score 0 | |
| Activated B-cell | 56 | M | Inguinal lymph node | score 3 |
| 42 | F | Palatine tonsil | score 2 | |
| 66 | M | Testis | score 2 | |
| 47 | M | Palatine tonsil | score 0 | |
| 66 | F | Axillary LN | score 2 | |
| 55 | M | Palatine tonsil | score 2 | |
| 62 | M | Testis | score 2 | |
| 54 | M | Inguinal LN | score 2 | |
| 67 | M | Palatine tonsil | score 4 | |
| 74 | M | Heart | score 0 | |
| 67 | M | Supraclavicular LN | score 0 | |
| 50 | M | Palatine tonsil | score 1 | |
| 70 | M | Nasal cavity | score 2 | |
| 54 | F | Intestine, appendix, omentum, LN | score 0 | |
| 72 | M | Stomach, large intestine, LN | score 2 | |
| 48 | M | Cervical LN | score 0 | |
| 75 | F | Small intestine | score 3 | |
| 70 | M | Small intestine, appendix | score 4 | |
| 84 | F | Nasal cavity | score 1 | |
| 70 | M | Testis | score 2 | |
| T-cell/histiocyte–Rich Large B-cell Lymphoma | 72 | M | Neck, axillary LN | score 2 |
| Primary DLBCL of the CNS | 79 | F | Brain | score 0 |
| 78 | F | Brain | score 0 | |
| 60 | F | Brain | score 0 | |
| 78 | M | Brain | score 0 | |
| Primary Cutaneous DLBCL, Leg type | 77 | F | Skin, upper arm and low leg | score 4 |
| EBV-Positive DLBCL, NOS | 62 | M | Cervical LN | score 4 |
| 86 | F | Axillary LN | score 2 | |
| Histologic Type | Age | Sex | Site of Involvement | IDO |
|---|---|---|---|---|
| Follicular Lymphoma | ||||
| Grade 1–2 | 44 | M | Axillary LN | score 0 |
| 79 | M | Inguinal LN | score 0 | |
| 61 | F | Cervical LN | score 0 | |
| 40 | F | Inguinal LN | score 0 | |
| 51 | F | Inguinal LN | score 0 | |
| 36 | M | Abdominal LN | score 0 | |
| 62 | F | Stomach | score 0 | |
| 50 | M | Thoracic LN | score 0 | |
| 59 | M | Cervical LN | score 0 | |
| 36 | F | Cervical LN | score 0 | |
| 49 | F | Buccal mucosa | score 0 | |
| Grade 3A | 40 | M | Cervical LN | score 0 |
| 49 | F | Epitrochlear LN | score 0 | |
| 77 | M | Inguinal LN | score 0 | |
| Grade 3B | 51 | M | Submandibular LN | Diffuse area: score 3 |
| Pediatric Follicular Lymphoma | 32 | M | Cervical LN | score 0 |
| MALT(mucosa-associated lymphoid tissue)-Lymphoma | 80 | M | Eyelid | score 0 |
| 56 | F | Urinary bladder | score 0 | |
| 66 | F | Stomach | score 0 | |
| 44 | F | Stomach | score 0 | |
| 53 | M | Eyelid | score 0 | |
| 65 | M | Stomach | score 0 | |
| 71 | M | Small intestine, omentum, LN | score 0 | |
| 57 | F | Stomach | score 0 | |
| 81 | M | Stomach | score 0 | |
| 63 | M | Stomach | score 0 | |
| 42 | F | Stomach | score 0 | |
| 66 | M | Eyelid | score 0 | |
| 84 | F | Stomach | score 0 | |
| 82 | M | Stomach | score 0 | |
| 56 | F | Stomach | score 0 | |
| 60 | F | Rectum | score 0 | |
| Nodal Marginal Zone Lymphoma | 66 | F | Axillary LN | score 0 |
| 66 | F | Cervical LN | score 0 | |
| 67 | F | Inguinal LN | score 0 | |
| 17 | F | Palatine tonsil | score 0 | |
| Mantle Cell Lymphoma | 71 | M | Axillary LN | score 0 |
| 53 | M | Palatine tonsil | score 0 | |
| 66 | F | Palatine tonsil | score 0 | |
| Burkitt Lymphoma | 75 | M | Stomach, pancreas | score 0 |
| 47 | M | Small intestine, appendix, omentum | score 0 | |
| Chronic Lymphocytic Leukemia/Small Lymphocytic lymphoma | 62 | M | Cervical LN | score 0 |
| 71 | M | Inguinal LN | score 0 | |
| B-Lymphoblastic Lymphoma/Leukemia, NOS | 45 | M | Soft tissue, paravertebral area | score 0 |
| Histologic Type | Age | Sex | Site of Involvement | IDO |
|---|---|---|---|---|
| Extranodal NK-/T-cell Lymphoma | 65 | F | Nasal cavity | score 4 |
| 44 | M | Nasal cavity | score 4 | |
| 26 | F | Nasal cavity | score 0 | |
| 19 | M | Scrotum | score 0 | |
| 83 | M | Pharynx | score 4 | |
| 63 | F | Nasal cavity | score 4 | |
| 64 | M | Soft tissue, hip | score 4 | |
| 56 | F | Nasal cavity | score 4 | |
| 58 | M | Nasal cavity | score 4 | |
| 76 | F | Nasal cavity | score 4 | |
| 43 | M | Nasal cavity | score 4 | |
| 53 | M | Nasal cavity | score 4 | |
| Primary Cutaneous CD30 positive T-cell Proliferative Disorder | ||||
| Lymphomatoid Papulosis | 42 | M | Skin, forearm and thigh | score 4 |
| 57 | M | Skin, occipital, and abdomen | score 0 | |
| 62 | M | Eyelid | score 4 | |
| 40 | M | Skin, shoulder, and flank | score 1 | |
| 62 | M | Skin, thigh | score 1 | |
| 64 | M | Skin, chest | score 1 | |
| Primary Cutaneous Anaplastic Large Cell Lymphoma | 63 | M | Skin, shoulder | score 3 |
| 53 | F | Skin, lower leg | score 0 | |
| Peripheral T-cell Lymphoma, NOS | 78 | F | Skin, thigh, and inguinal LN | score 3 |
| 72 | M | Axillary LN | score 3 | |
| 61 | M | Skin, nose | score 1 | |
| 74 | M | Axillary LN | score 3 | |
| 70 | F | Cervical LN | score 3 | |
| 58 | M | Cervical LN | score 3 | |
| Anaplastic Large Cell Lymphoma, ALK-positive | 14 | M | Skin and soft tissue, face | score 3 |
| 21 | F | Inguinal LN | score 4 | |
| 36 | M | Soft tissue and bone, sternum | score 2 | |
| Anaplastic Large Cell Lymphoma, ALK-negative | 71 | M | Sphenoid sinus | score 0 |
| 86 | M | Vertebra, lumbar | score 0 | |
| Primary Cutaneous CD8-positive Aggressive | ||||
| Epidermotrophic Cytotoxic T-cell Lymphoma | 82 | M | Skin, abdomen | score 4 |
| Enteropathy-associated T-cell Lymphoma, Type II | 81 | F | Small intestine | score 0 |
| Angioimmunoblastic T-cell Lymphoma | 55 | M | Cervical LN | score 1 |
| Subcutaneous Panniculitis-like T-cell Lymphoma | 21 | M | Skin, flank | score 4 |
© 2020 by the authors. Licensee MDPI, Basel, Switzerland. This article is an open access article distributed under the terms and conditions of the Creative Commons Attribution (CC BY) license (http://creativecommons.org/licenses/by/4.0/).
Share and Cite
Kim, M.-s.; Park, T.I.; Son, S.-A.; Lee, H.W. Immunohistochemical Features of Indoleamine 2,3-Dioxygenase (IDO) in Various Types of Lymphoma: A Single Center Experience. Diagnostics 2020, 10, 275. https://doi.org/10.3390/diagnostics10050275
Kim M-s, Park TI, Son S-A, Lee HW. Immunohistochemical Features of Indoleamine 2,3-Dioxygenase (IDO) in Various Types of Lymphoma: A Single Center Experience. Diagnostics. 2020; 10(5):275. https://doi.org/10.3390/diagnostics10050275
Chicago/Turabian StyleKim, Mee-seon, Tae In Park, Shin-Ah Son, and Hyoun Wook Lee. 2020. "Immunohistochemical Features of Indoleamine 2,3-Dioxygenase (IDO) in Various Types of Lymphoma: A Single Center Experience" Diagnostics 10, no. 5: 275. https://doi.org/10.3390/diagnostics10050275
APA StyleKim, M.-s., Park, T. I., Son, S.-A., & Lee, H. W. (2020). Immunohistochemical Features of Indoleamine 2,3-Dioxygenase (IDO) in Various Types of Lymphoma: A Single Center Experience. Diagnostics, 10(5), 275. https://doi.org/10.3390/diagnostics10050275

