Extraneural Soft Tissue Perineurioma of the Oral Cavity: A Rare Case with Medico-Legal Implications and Literature Review
Abstract
1. Introduction
| No. | Author (year) | Age/Sex | Location | Size (mm) | Treatment | Follow-up/Outcome | Reference |
|---|---|---|---|---|---|---|---|
| 1 | Schadel et al., 2019 [1] | 20/M | Dorsal Surface of the Tongue | N/R | Surgical Excision | Recurrence and re-excision at 28 months | J Oral Maxillofac Surg. 2019 |
| 2 | Gomes da Silva et al., 2017 [16] | 46/F | Buccal Mucosa | 2.5 cm | Surgical Excision | No recurrence, long follow-up | Oral Surg Oral Med Oral Pathol Oral Radiol. 2017 |
| 3 | Noonan et al., 2010 [17] | 17/M | Buccal Mucosa | 7–8 mm | Surgical Excision | No recurrence (time not specified) | Head Neck Pathol. 2010 |
| 4 | Colizza et al., 2010 [18] | 17/M | Buccal Mucosa | N/R | Surgical Excision | No recurrence at 8–9 months | Ear Nose Throat J. 2010 |
| 5 | Kawakami et al., 2012 [19] | 43/M | Upper Lip | 2.0 × 1.9 cm | Surgical Excision | No recurrence at 16 months | Oral Surg Oral Med Oral Pathol Oral Radiol. 2012 |
| 6 | Kusama et al., 2003 [20] | 31/F | Mandible | N/R | Surgical Excision | N/D | J Nihon Univ Sch Dent. 2003 |
| 7 | Graadt van Roggen et al., 2001 [13] | 42/F | Gingiva | N/R | Surgical Excision | N/D | Am J Surg Pathol. 2001 |
| 8 | Barrett et al., 2002 [21] | 53/M | Mandible | N/R | Surgical Excision | N/D | Oral Oncol. 2002 |
| 9 | Meer et al., 2003 [22] | 46/F | Naso-labial | N/R | Surgical Excision | N/D | Oral Oncol. 2003 |
| 10 | Damm et al., 2004 [23] | 26/F | Tongue | N/R | Surgical Excision | N/D | Oral Surg Oral Med Oral Pathol Oral Radiol Endod. 2004 |
| 11 | Huguet et al., 2004 [24] | 64/M | Mandible | N/R | Surgical Excision | N/D | Oral Oncol Extra. 2004 |
| 12 | Ide et al., 2004 [25] | 59/F | Gingiva | N/R | Surgical Excision | N/D | Oral Oncol. 2004 |
| 13 | Hornick & Fletcher 2005 [15] | 8/F; 44/M | Tongue/Upper lip | N/R | Surgical Excision | N/D | Am J Surg Pathol. 2005 |
| 14 | Da Cruz Perez et al., 2006 [26] | 12/M | Tongue | N/R | Surgical Excision | N/D | Oral Surg Oral Med Oral Pathol Oral Radiol. 2006 |
| 15 | Dundr et al., 2007 [27] | 16/M | Buccal Mucosa | N/R | Surgical Excision | N/D | Pathol Res Pract. 2007 |
| 16 | Boyanton et al., 2007 [28] | 6/F | Tongue | N/R | Surgical Excision | N/D | Arch Pathol Lab Med. 2007 |
| 17 | Siponen et al., 2007 [29] | 19/F | Buccal Mucosa | N/R | Surgical Excision | N/D | Oral Oncol Extra. 2007 |
| 18 | Tanaka et al., 2007 [30] | 34/F | Tongue | N/R | Surgical Excision | N/D | Oral Surg Oral Med Oral Pathol Oral Radiol. 2007 |
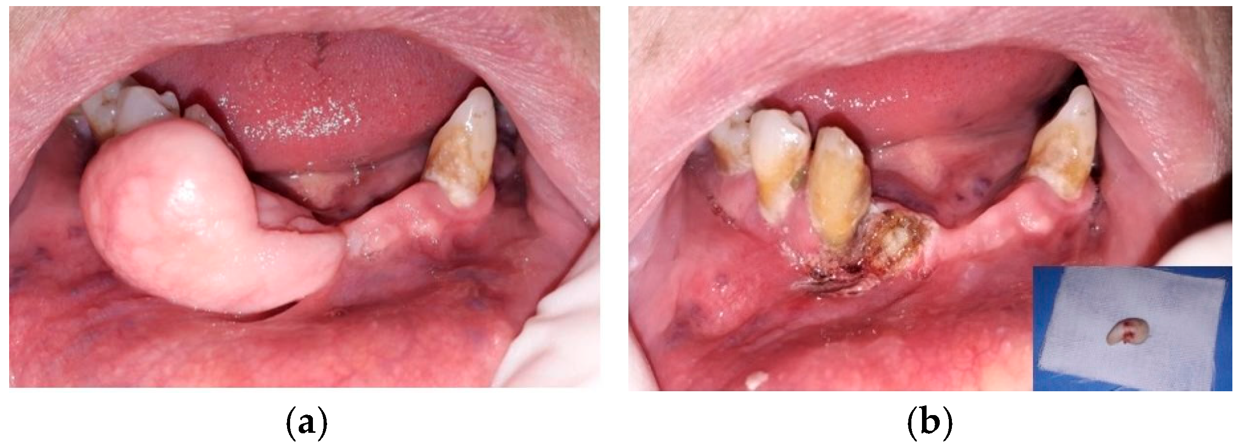
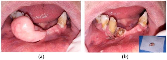
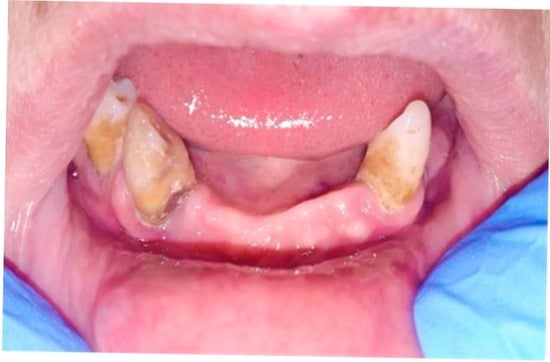
2. Case Report
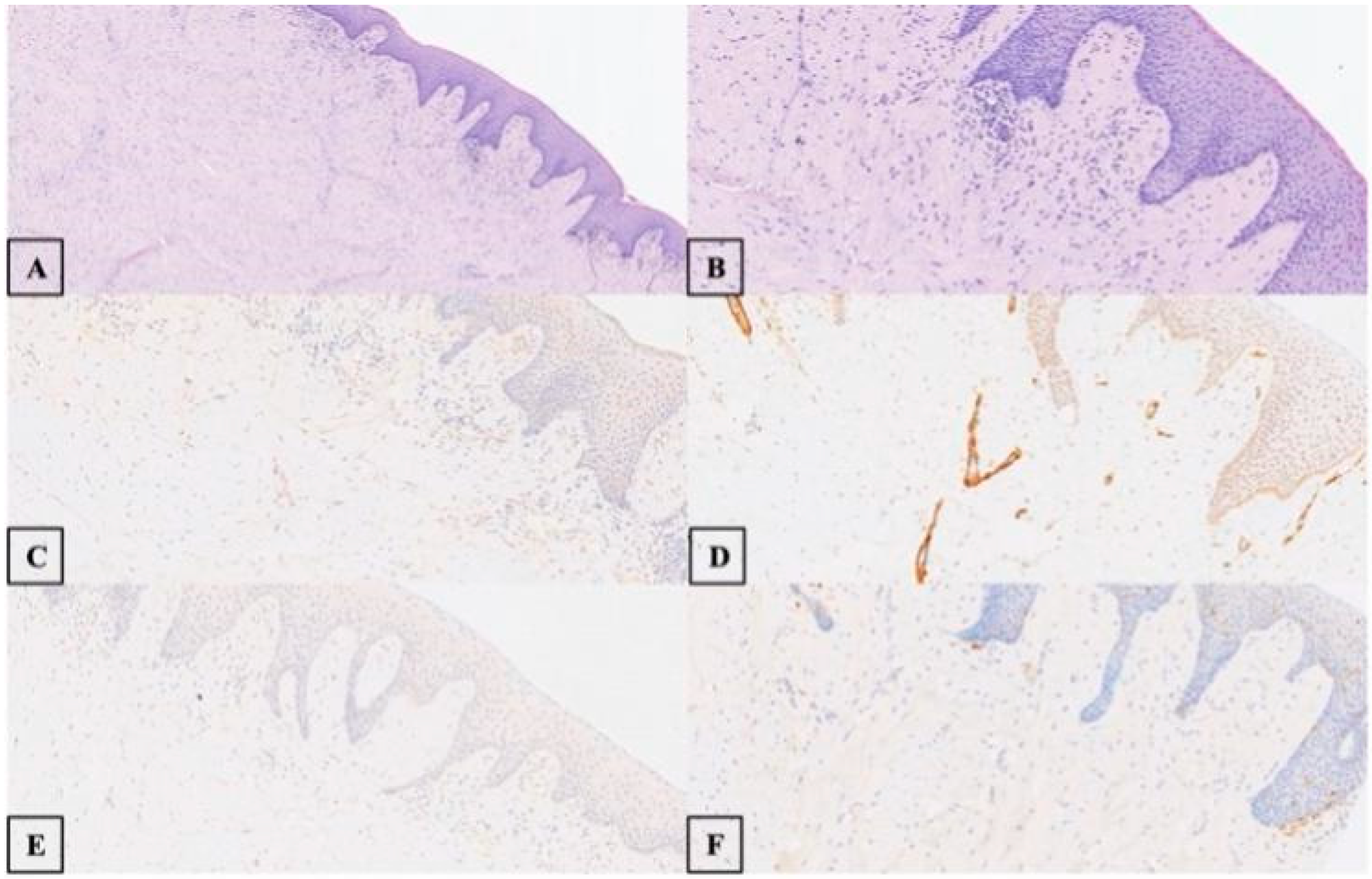
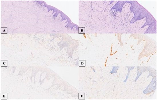
3. Results
4. Discussion
4.1. Differential Diagnosis
4.2. Histology and Immunohistochemistry
4.3. Treatment
4.4. Medico Legal Framework
4.5. Limitations
5. Conclusions
Author Contributions
Funding
Institutional Review Board Statement
Informed Consent Statement
Data Availability Statement
Conflicts of Interest
References
- Schadel, C.M.; Anderson, C.W.; Chi, A.C.; Steed, M.B. Perineurioma of the Tongue: A Case Report and Review of the Literature. J. Oral Maxillofac. Surg. 2019, 77, 329.e1–329.e7. [Google Scholar] [CrossRef]
- Kurihara, J.; Yokoo, S.; Ichikawa, M.; Shimizu, T.; Ogawa, M.; Seki, M. Intraosseous Intraneural Perineurioma Derived from the Inferior Alveolar Nerve with an Abnormality of Chromosome 22 and Expression of the BCR-ABL Fusion Gene: Report of a Case and Review of Recent Literature. World J. Surg. Oncol. 2018, 16, 189. [Google Scholar] [CrossRef]
- Lazarus, S.S.; Trombetta, L.D. Ultrastructural Identification of a Benign Perineurial Cell Tumor. Cancer 1978, 41, 1823–1829. [Google Scholar] [CrossRef] [PubMed]
- Macarenco, R.S.; Ellinger, F.; Oliveira, A.M. Perineurioma: A Distinctive and Underrecognized Peripheral Nerve Sheath Neoplasm. Arch. Pathol. Lab. Med. 2007, 131, 625–636. [Google Scholar] [CrossRef] [PubMed]
- Pergolini, D.; Del Vecchio, A.; Mohsen, M.; Tenore, G. Rimozione di fibroma ossificante interincisivo tramite laser a diodi. Inter-incisor ossifying fibroma removal by diode laser. Dent. Cadmos 2020, 88, 266–268. [Google Scholar] [CrossRef]
- Brock, J.E.; Perez-Atayde, A.R.; Kozakewich, H.P.W.; Richkind, K.E.; Fletcher, J.A.; Vargas, S.O. Cytogenetic Aberrations in Perineurioma: Variation with Subtype. Am. J. Surg. Pathol. 2005, 29, 1164–1169. [Google Scholar] [CrossRef]
- Chávez-Bravo, N.C.; Palmerín-Bucio, M.E. Abdominal wall soft tissue perineurioma. Autopsy findings and review of the literature. Gac. Med. Mex. 2010, 146, 147–149. [Google Scholar] [PubMed]
- Riscanevo, C.; Barbosa, R.; Valbuena, D.; Bravo, L. Resección Transanal de Perineuroma Rectal: Un Tumor Raro En Una Localización Inusual: Perineuroma Rectal: Un Caso Inusual y Su Abordaje Clínico. Rev. Argent. Coloproctol. 2025, 36, 19–22. [Google Scholar] [CrossRef]
- Brand, C.; Pedro, M.T.; Pala, A.; Heinen, C.; Scheuerle, A.; Braun, M.; Antoniadis, G. Perineurioma: A Rare Entity of Peripheral Nerve Sheath Tumors. J. Neurol. Surg. Part A Cent. Eur. Neurosurg. 2021, 83, 001–005. [Google Scholar] [CrossRef]
- Hanisch, M.; Jung, S.; Kleinheinz, J. Rare diseases in dentistry and oral medicine: Report on the 2017 first national congress. Bundesgesundheitsblatt Gesundheitsforschung Gesundheitsschutz 2018, 61, 442–445. [Google Scholar] [CrossRef]
- Agaimy, A.; Wuensch, P.H. Perineurioma of the Stomach. A Rare Spindle Cell Neoplasm That Should Be Distinguished from Gastrointestinal Stromal Tumor. Pathol. Res. Pract. 2005, 201, 463–467. [Google Scholar] [CrossRef]
- Xiao, W.; Xue, L.; Xu, Y. Soft Tissue Perineurioma of the Tongue: Report of a Case and Review of the Literature. World J. Surg. Oncol. 2014, 12, 11. [Google Scholar] [CrossRef]
- Graadt van Roggen, J.F.; McMenamin, M.E.; Belchis, D.A.; Nielsen, G.P.; Rosenberg, A.E.; Fletcher, C.D. Reticular Perineurioma: A Distinctive Variant of Soft Tissue Perineurioma. Am. J. Surg. Pathol. 2001, 25, 485–493. [Google Scholar] [CrossRef]
- Ko, E.; McNamara, K.; Ditty, D.; Alawi, F. Intraneural Perineurioma of the Mandible: Case Series of a Rare Entity. Oral Surg. Oral Med. Oral Pathol. Oral Radiol. 2020, 130, 428–432. [Google Scholar] [CrossRef]
- Hornick, J.L.; Fletcher, C.D.M. Soft Tissue Perineurioma: Clinicopathologic Analysis of 81 Cases Including Those with Atypical Histologic Features. Am. J. Surg. Pathol. 2005, 29, 845–858. [Google Scholar] [CrossRef] [PubMed]
- Gomes da Silva, W.; Martínez, M.M.; Miranda, Á.M.M.A.; Silva, R.B.; da Silveira, H.M.; de Almeida, O.P.; Pires, F.R. Oral Perineurioma: Clinicopathologic Features from Two Cases and Review of Literature. Oral Surg. Oral Med. Oral Pathol. Oral Radiol. 2017, 123, e91–e98. [Google Scholar] [CrossRef] [PubMed]
- Noonan, V.L.; Greene, D.J.; Brodsky, G.; Kabani, S.P. Extraneural Sclerosing Perineurioma of the Buccal Mucosa: A Case Report and Clinicopathologic Review. Head Neck Pathol. 2010, 4, 169–173. [Google Scholar] [CrossRef] [PubMed]
- Colizza, A.; Covello, R.; Greco, A.; Ralli, M.; Coppola, G.; Gilardi, A.; Riminucci, M.; de Vincentiis, M.; Corsi, A. Extraneural Sclerosing Perineurioma of the Tongue. Ear Nose Throat J. 2023, 102, NP436–NP439. [Google Scholar] [CrossRef]
- Kawakami, F.; Hirose, T.; Kimoto, A.; Komori, T.; Itoh, T. Plexiform Perineurioma of the Lip: A Case Report and Review of Literature. Pathol. Int. 2012, 62, 704–708. [Google Scholar] [CrossRef]
- Kusama, K.; Iwamoto, A.; Mikuni, M.; Komagamine, M.; Suzuki, T.; Yamamura, J.; Kimura, T. A Case of Central Perineurioma (Lazarus and Trombetta) of the Mandible. J. Nihon Univ. Sch. Dent. 1981, 23, 10–17. [Google Scholar] [CrossRef][Green Version]
- Barrett, A.W.; Hopper, C.; Landon, G. Intra-Osseous Soft Tissue Perineurioma of the Inferior Alveolar Nerve. Oral Oncol. 2002, 38, 793–796. [Google Scholar] [CrossRef]
- Meer, S.; Coleman, H.; Altini, M. Intraoral Perineurioma: Report of a Case with a Review of the Literature. Oral Dis. 2003, 9, 99–103. [Google Scholar] [CrossRef]
- Damm, D.D.; White, D.K.; Merrell, J.D. Intraneural Perineurioma—Not Restricted to Major Nerves. Oral Surg. Oral Med. Oral Pathol. Oral Radiol. Endod. 2003, 96, 192–196. [Google Scholar] [CrossRef]
- Huguet, P.; de la Torre, J.; Pallarès, J.; Carrera, M.; Soler, F.; Espinet, B.; Malet, D. Intraosseous Intraneural Perineurioma: Report of a Case with Morphological, Immunohistochemical and FISH Study. Med. Oral 2004, 9, 64–68. [Google Scholar]
- Ide, F.; Shimoyama, T.; Horie, N.; Kusama, K. Comparative Ultrastructural and Immunohistochemical Study of Perineurioma and Neurofibroma of the Oral Mucosa. Oral Oncol. 2004, 40, 948–953. [Google Scholar] [CrossRef] [PubMed]
- da Cruz Perez, D.E.; Amanajás de Aguiar, F.C.; Leon, J.E.; Graner, E.; Paes de Almeida, O.; Vargas, P.A. Intraneural Perineurioma of the Tongue: A Case Report. J. Oral Maxillofac. Surg. 2006, 64, 1140–1142. [Google Scholar] [CrossRef] [PubMed]
- Dundr, P.; Povýsil, C.; Tvrdík, D.; Mazánek, J. Intraneural Perineurioma of the Oral Mucosa. Br. J. Oral Maxillofac. Surg. 2007, 45, 503–504. [Google Scholar] [CrossRef] [PubMed]
- Boyanton, B.L.; Jones, J.K.; Shenaq, S.M.; Hicks, M.J.; Bhattacharjee, M.B. Intraneural Perineurioma: A Systematic Review with Illustrative Cases. Arch. Pathol. Lab. Med. 2007, 131, 1382–1392. [Google Scholar] [CrossRef]
- Siponen, M.; Sándor, G.K.B.; Ylikontiola, L.; Salo, T.; Tuominen, H. Multiple Orofacial Intraneural Perineuriomas in a Patient with Hemifacial Hyperplasia. Oral Surg. Oral Med. Oral Pathol. Oral Radiol. Endod. 2007, 104, e38–e44. [Google Scholar] [CrossRef]
- Tanaka, A.; Alva, P.G.; Miyazaki, Y.; Yoshida, N.; Kaneko, T.; Oku, Y.; Okamoto, E.; Sakashita, H.; Kusama, K. Intraneural Perineurioma of the Tongue: Report of a Case and Review of the Literature. Oral Med. Pathol. 2009, 13, 71–74. [Google Scholar] [CrossRef]
- Wippold, F.J.; Lubner, M.; Perrin, R.J.; Lammle, M.; Perry, A. Neuropathology for the Neuroradiologist: Antoni A and Antoni B Tissue Patterns. Am. J. Neuroradiol. 2007, 28, 1633–1638. [Google Scholar] [CrossRef]
- Brewer Eberly, J.; Frush, B.W. First, Do No Harm (to the One You Train). Linacre Q. 2025, 92, 137–149. [Google Scholar] [CrossRef]
- The Lancet Oncology. “Fake” News, and Legal Liability. Lancet Oncol. 2018, 19, 1135. [Google Scholar] [CrossRef]
- McCord, J.F. Risk Management in Clinical Practice. Part 6a. Identifying and Avoiding Medico-Legal Risks in Complete Denture Prosthetics. Br. Dent. J. 2010, 209, 273–276. [Google Scholar] [CrossRef] [PubMed]
- Guerra, F.; Guzzo, A.S.; La Rosa, P.; Miatto, I.; Vergati, D.; Miredi, F.; Gasparrini, N.; Guerra, F.; Raimondi, L.; Corridore, D.; et al. Risk Management and Healthcare Responsibility. How to Guarantee Legal Protection in Medicine. Clin. Ter. 2021, 171, e63–e66. [Google Scholar] [CrossRef]
- Shekar, V.; Singh, M.; Shekar, K.; Brennan, P. Clinical Negligence and Duty of Candour. Br. J. Oral Maxillofac. Surg. 2011, 49, 593–596. [Google Scholar] [CrossRef]
- Caglayan, F.; Bayrakdar, I.S. The Intraoral Ultrasonography in Dentistry. Niger. J. Clin. Pract. 2018, 21, 125–133. [Google Scholar] [CrossRef]
- Nuzzolese, E.; Cirulli, N. Orthodontic Surgery and Professional Liability: The Homozygote Twin Case. J. Forensic Sci. 2012, 57, 1114–1117. [Google Scholar] [CrossRef] [PubMed]
- Scribano, E.; Ascenti, G.; Mazziotti, S.; Blandino, A.; Racchiusa, S.; Gualniera, P. Computed Tomography in Dental Implantology: Medico-Legal Implications. Radiol. Med. 2003, 105, 92–99. [Google Scholar]
- Sodnom-Ish, B.; Seo, M.H.; Yang, H.J.; Kim, S.M. Legal Liability of a Dentist: Inferior Alveolar Nerve Damage After Calcium Hydroxide Extrusion. J. Craniofac. Surg. 2022, 33, e314–e316. [Google Scholar] [CrossRef] [PubMed]
- Javaloyes, N.; Crespo, A.; Redal, M.C.; Brugarolas, A.; Botella, L.; Escudero-Ortiz, V.; Sureda, M. Psycho-Oncological Intervention Through Counseling in Patients With Differentiated Thyroid Cancer in Treatment With Radioiodine (COUNTHY, NCT05054634): A Non-Randomized Controlled Study. Front. Psychol. 2022, 13, 767093. [Google Scholar] [CrossRef] [PubMed]
- Albolino, S.; Bellandi, T.; Cappelletti, S.; Di Paolo, M.; Fineschi, V.; Frati, P.; Offidani, C.; Tanzini, M.; Tartaglia, R.; Turillazzi, E. New Rules on Patient’s Safety and Professional Liability for the Italian Health Service. Curr. Pharm. Biotechnol. 2019, 20, 615–624. [Google Scholar] [CrossRef] [PubMed]
- Manca, R.; Bruti, V.; Napoletano, S.; Marinelli, E. A 15 Years Survey for Dental Malpractice Claims in Rome, Italy. J. Forensic Leg. Med. 2018, 58, 74–77. [Google Scholar] [CrossRef]
- Logan, S.; Anazodo, A. The Psychological Importance of Fertility Preservation Counseling and Support for Cancer Patients. Acta Obstet. Gynecol. Scand. 2019, 98, 583–597. [Google Scholar] [CrossRef]
- Hanisch, M.; Wiemann, S.; Bohner, L.; Kleinheinz, J.; Jung, S. Association between Oral Health-Related Quality of Life in People with Rare Diseases and Their Satisfaction with Dental Care in the Health System of the Federal Republic of Germany. Int. J. Environ. Res. Public Health 2018, 15, 1732. [Google Scholar] [CrossRef]
- Otero, M.; Oishi, N.; Martínez, F.; Ballester, M.-T.; Basterra, J. Informed Consent in Dentistry and Medicine in Spain: Practical Considerations and Legality. Med. Oral Patol. Oral Cir. Bucal 2022, 27, e294–e300. [Google Scholar] [CrossRef]
- Reid, K.I. Informed Consent in Dentistry. J. Law Med. Ethics 2017, 45, 77–94. [Google Scholar] [CrossRef]
- D’Errico, S.; Turillazzi, E.; Zanon, M.; Viola, R.V.; Frati, P.; Fineschi, V. The Model of “Informed Refusal” for Vaccination: How to Fight against Anti-Vaccinationist Misinformation without Disregarding the Principle of Self-Determination. Vaccines 2021, 9, 110. [Google Scholar] [CrossRef]
- Holden, A.; Stewart, C. A Review of the Law of Consent in Dentistry. Aust. Dent. J. 2019, 64, 208–212. [Google Scholar] [CrossRef]
- Mallardi, V. The origin of informed consent. Acta Otorhinolaryngol. Ital. 2005, 25, 312–327. [Google Scholar]
- Martines, V.; Magnaldi, S.; Fazio, N.D.; Volonnino, G.; Marinelli, E.; De Paola, L. Enhancing Patient Safety and Delineate Professional Responsibility in Radiological Procedures Involving Contrast Medium Administration. Clin. Ter. 2025, 176, 42–46. [Google Scholar] [CrossRef]
- Bolcato, M.; Rodriguez, D.; Aprile, A. Guiding Principles for Surgical Pathways: A Tool for Improving Outcomes and Patient Safety. Front. Public Health 2022, 10, 869607. [Google Scholar] [CrossRef]
- Giltay, G.B.; Malvoz, R.E. Responsibility and legal aspects of implantology. Rev. Belg. Med. Dent. 2001, 56, 85–106. [Google Scholar]
- Bohner, L.; Wiemann, S.; Jung, S.; Kleinheinz, J.; Hanisch, M. Oral health-related quality of life in rare diseases associated with oral symptoms, diagnostic delay, and sex. Bundesgesundheitsblatt Gesundheitsforschung Gesundheitsschutz 2019, 62, 1406–1411. [Google Scholar] [CrossRef]
- Le, H.D.; Wolinska, J.M.; Baertschiger, R.M.; Himidan, S.A. Complication Is Inevitable, but Suffering Is Optional-Psychological Aspects of Dealing with Complications in Surgery. Eur. J. Pediatr. Surg. 2023, 33, 181–190. [Google Scholar] [CrossRef] [PubMed]
- Corfmat, M.; Martineau, J.T.; Régis, C. High-Reward, High-Risk Technologies? An Ethical and Legal Account of AI Development in Healthcare. BMC Med. Ethics 2025, 26, 4. [Google Scholar] [CrossRef]
- Azencott, C.-A. Machine Learning and Genomics: Precision Medicine versus Patient Privacy. Philos. Trans. A Math. Phys. Eng. Sci. 2018, 376, 20170350. [Google Scholar] [CrossRef]
- Piersanti, V.; Napoletano, G.; David, M.C.; Umani Ronchi, F.; Marinelli, E.; De Paola, L.; Zaami, S. Sudden Death Due to Butane Abuse—An Overview. J. Forensic Leg. Med. 2024, 103, 102662. [Google Scholar] [CrossRef] [PubMed]
- Di Trana, A.; Brunetti, P.; Giorgetti, R.; Marinelli, E.; Zaami, S.; Busardò, F.P.; Carlier, J. In Silico Prediction, LC-HRMS/MS Analysis, and Targeted/Untargeted Data-Mining Workflow for the Profiling of Phenylfentanyl in Vitro Metabolites. Talanta 2021, 235, 122740. [Google Scholar] [CrossRef]
- Wankhade, T.D.; Ingale, S.W.; Mohite, P.M.; Bankar, N.J. Artificial Intelligence in Forensic Medicine and Toxicology: The Future of Forensic Medicine. Cureus 2022, 14, e28376. [Google Scholar] [CrossRef]
- Busardò, F.P.; Vaiano, F.; Mannocchi, G.; Bertol, E.; Zaami, S.; Marinelli, E. Twelve Months Monitoring of Hair GHB Decay Following a Single Dose Administration in a Case of Facilitated Sexual Assault. Drug Test. Anal. 2017, 9, 953–956. [Google Scholar] [CrossRef]
- Putrino, A.; Bruti, V.; Enrico, M.; Costantino, C.; Ersilia, B.; Gabriella, G. Intraoral Scanners in Personal Identification of Corpses: Usefulness and Reliability of 3D Technologies in Modern Forensic Dentistry. Open Dent. J. 2020, 14, 255–266. [Google Scholar] [CrossRef]
- Chandra Shekar, B.R.; Reddy, C.V.K. Role of Dentist in Person Identification. Indian J. Dent. Res. 2009, 20, 356–360. [Google Scholar] [CrossRef] [PubMed]
- Serinelli, S.; Panebianco, V.; Martino, M.; Battisti, S.; Rodacki, K.; Marinelli, E.; Zaccagna, F.; Semelka, R.C.; Tomei, E. Accuracy of MRI Skeletal Age Estimation for Subjects 12–19. Potential Use for Subjects of Unknown Age. Int. J. Leg. Med. 2015, 129, 609–617. [Google Scholar] [CrossRef] [PubMed]
- Mello, M.M.; Guha, N. Understanding Liability Risk from Using Health Care Artificial Intelligence Tools. N. Engl. J. Med. 2024, 390, 271–278. [Google Scholar] [CrossRef] [PubMed]
- De Paola, L.; Napoletano, G.; Di Fazio, N.; Marinelli, S.; Rinaldi, R. Healthcare Associated Infections: European Comparative Analysis and Forensic Expertise in Compensation Systems. Clin. Ter. 2025, 176, 59–65. [Google Scholar] [CrossRef]



Disclaimer/Publisher’s Note: The statements, opinions and data contained in all publications are solely those of the individual author(s) and contributor(s) and not of MDPI and/or the editor(s). MDPI and/or the editor(s) disclaim responsibility for any injury to people or property resulting from any ideas, methods, instructions or products referred to in the content. |
© 2025 by the authors. Licensee MDPI, Basel, Switzerland. This article is an open access article distributed under the terms and conditions of the Creative Commons Attribution (CC BY) license (https://creativecommons.org/licenses/by/4.0/).
Share and Cite
Pergolini, D.; Mohsen, M.; Zaami, S.; De Paola, L.; Rocchetti, F.; Angileri, C.; Troiani, E.; Di Gioia, C.R.T.; Coppola, G.; Palaia, G. Extraneural Soft Tissue Perineurioma of the Oral Cavity: A Rare Case with Medico-Legal Implications and Literature Review. Life 2025, 15, 1343. https://doi.org/10.3390/life15091343
Pergolini D, Mohsen M, Zaami S, De Paola L, Rocchetti F, Angileri C, Troiani E, Di Gioia CRT, Coppola G, Palaia G. Extraneural Soft Tissue Perineurioma of the Oral Cavity: A Rare Case with Medico-Legal Implications and Literature Review. Life. 2025; 15(9):1343. https://doi.org/10.3390/life15091343
Chicago/Turabian StylePergolini, Daniele, Mohamed Mohsen, Simona Zaami, Lina De Paola, Federica Rocchetti, Cinzia Angileri, Eduardo Troiani, Cira Rosaria Tiziana Di Gioia, Giulia Coppola, and Gaspare Palaia. 2025. "Extraneural Soft Tissue Perineurioma of the Oral Cavity: A Rare Case with Medico-Legal Implications and Literature Review" Life 15, no. 9: 1343. https://doi.org/10.3390/life15091343
APA StylePergolini, D., Mohsen, M., Zaami, S., De Paola, L., Rocchetti, F., Angileri, C., Troiani, E., Di Gioia, C. R. T., Coppola, G., & Palaia, G. (2025). Extraneural Soft Tissue Perineurioma of the Oral Cavity: A Rare Case with Medico-Legal Implications and Literature Review. Life, 15(9), 1343. https://doi.org/10.3390/life15091343

