You are currently viewing a new version of our website. To view the old version click .
Life
  • Article
  • Open Access

2 May 2025

Immunohistochemical Expression of Haptoglobin in Skin Lesions of Hidradenitis Suppurativa

,
,
,
,
,
,
,
,
and
1
International Centre for Hidradenitis Suppurativa/Acne Inversa (ICH), Department of Dermatology, Venereology and Allergology, Ruhr-University Bochum, 44791 Bochum, Germany
2
Skin Cancer Center, Department of Dermatology, Venereology and Allergology, Ruhr-University Bochum, 44791 Bochum, Germany
*
Author to whom correspondence should be addressed.
This article belongs to the Section Physiology and Pathology

Abstract

Background: Meta-inflammation is a hallmark of hidradenitis suppurativa (HS). Research on meta-inflammation in HS is growing, but there is still no research on haptoglobin as an inflammatory protein in lesional HS skin. This study examines the relationship between haptoglobin expression in HS skin lesions and clinical parameters. Methods: An examination was performed on 44 skin samples from HS patients and 10 healthy skin samples. Clinical parameters were then compared with haptoglobin expression. Results: Median haptoglobin expression was significantly higher in the Hurley stage III lesions compared with milder stages (H-score: 37.6 versus 17.1, p = 0.028). High haptoglobin expression (≥30.8% positive cells) was associated with advanced disease (Hurley stage III: 80% versus 41.7%, p = 0.01), active smoking (80% versus 50%, p = 0.039), increased pain (visual analogue scale: 5 versus 1.5, p = 0.03), and a higher prevalence of diabetes (35% versus 8.3%, p = 0.029) and hypertension (55% versus 25%, p = 0.042). No significant associations were found with the BMI, disease duration, or CRP levels. Conclusions: High haptoglobin expression (positive cells ≥ 30.8%) in a skin lesion is associated with higher HS severity, active smoking, more pain and the comorbidities of diabetes mellitus and arterial hypertension in HS patients.

1. Introduction

Hidradenitis suppurativa (HS) is a chronic inflammatory skin disease characterised by painful, deep-seated nodules, abscesses, fistula tracts, and scarring in the inverse areas of the body [1,2,3]. HS is characterised by chronic meta-inflammation [4]. Meta-inflammation is a type of chronic, low-grade systemic inflammation that is closely associated with metabolic disorders [5]. This inflammation is associated with obesity, type 2 diabetes, and other metabolic diseases [6,7,8,9]. At the cellular level, macrophages, adipocytes, and other immune cells, among others, are involved in the process of meta-inflammation [10,11,12]. Optimal treatment for HS consists of multimodal therapy including surgical resection, antibiotics, psychological support, interdisciplinary management of comorbidities, local therapies, and biologicals [13]. Modification of the inflammatory response and inhibition of signalling pathways is an important therapeutic target in HS patients. Three biologics—adalimumab, secukinumab, and bimekizumab—are currently approved by the EMA for moderate-to-severe HS [14,15,16,17]. Other biologicals, such as JAK1 inhibitors or IL-17AF nanobodies, are expected to play an important role in the treatment of HS in the near future. However, target structures for HS therapies that belong to meta-inflammations are also increasingly being investigated. There is growing awareness that GLP-1 receptor agonists have significant potential as adjunctive treatments for HS, as they address both the metabolic and inflammatory aspects of the disease [18,19].
Similar to rheumatic diseases, several inflammatory markers are known to be associated with the severity of HS. Inflammatory markers that were previously investigated for their role in the severity of HS include C-reactive protein, the erythrocyte sedimentation rate, neutrophil-lymphocyte ratio, pan-immune inflammation score, and IgG [20,21,22,23,24]. In a previous analysis, we showed that circulating haptoglobin is a good marker of disease severity and metabolic risk in HS patients [25]. Haptoglobin is an acute-phase protein that has immunomodulatory properties and can therefore influence inflammatory responses. In addition, it acts as an antioxidant and plays a role in regulating the balance between type 1 and type 2 T-helper cells [26,27,28,29]. Haptoglobin activates the Th1 response [26,27]. HS is a predominantly Th1- and Th17-mediated immune response, and thus haptoglobin may play an important role via Th1 [30,31]. However, it is not known whether the inflammatory marker is also associated with HS severity in lesional skin. Haptoglobin expression in the lesional skin tissue of HS patients was never investigated. Therefore, the aim of this study was to fill this gap and analyse the influence of the inflammatory protein in HS skin.

2. Materials and Methods

2.1. Design, Sample Size, and Setting

Patient recruitment and sample collection took place at the International Centre for Hidradenitis Suppurativa/Acne inversa (ICH) at the University Hospital of the Ruhr University Bochum. Patient data and skin samples were obtained from a prospective study [25,32]. This study was conducted in accordance with the ethical principles of the Declaration of Helsinki. Clinical data and laboratory parameters were collected to document the participants’ demographic and health-related information. This included the age, sex, and body mass index (BMI). In addition, the duration of the disease and the severity of HS were recorded using the Hurley stages. Information on comorbidities such as obesity, diabetes mellitus, or cardiovascular disease was also collected.
Sample size calculation was not possible due to the lack of specific data on haptoglobin expression in HS in the literature. Therefore, an approximation was made based on comparable immunohistochemical studies of haptoglobin expression in psoriasis [33,34,35]. The sample sizes of comparable studies were 20–30 specimens for lesioned skin and 5–10 specimens for normal skin [33,34,35]. Therefore, skin tissue from 44 HS patients and 10 healthy controls was included in this study.
To retrospectively assess statistical significance, a power analysis was performed to compare haptoglobin H scores between Hurley III (n = 26) and Hurley I and II (n = 18). The calculated effect size was Cohen’s d = 1.02, which corresponds to a large effect. At a significance level of 0.05, the power achieved was 90.8%, confirming robust statistical power for this comparison. It can therefore be assumed that the differences observed in haptoglobin expression are methodologically reliable, despite the moderate sample size. The sample size was calculated using the post hoc power calculator available at https://clincalc.com/stats/power.aspx (accessed on 15 April 2025).

2.2. Haptoglobin Immunohistochemical Staining and Evaluation

Skin tissue from surgical excisions was used for this investigation. Formalin-fixed, paraffin-embedded skin tissue was cut into 4-µm-thick sections and transferred to microscope slides. Immunohistological staining of the skin tissue sections was carried out according to the protocol of Tian et al. using a mouse anti-human haptoglobin antibody (1:200 dilution; cat. no. ab13429; Abcam, Cambridge, UK) [36].
The slides were scanned using a Hamamatsu NanoZoomer S60 slide scanner (Hamamatsu City, Shizuoka Prefecture, Japan). The positively stained cells in the five fields of view were counted manually at 400× magnification. The counting was performed by two independent investigators. The two immunohistochemistry evaluators were blinded and had no clinical information. Immunohistochemical evaluation was performed in the inflammatory infiltrate of the dermis. For immunohistochemical analysis of haptoglobin, the H score and the absolute and relative number of positive cells were determined. The investigators categorised the colour intensity of the positive cells as weak, moderate, or strong staining. The H score was calculated using the following formula [37]:
H-score = (1 × percentage of weak staining) + (2 × percentage of moderate staining) + (3 × percentage of strong staining)

2.3. Statistical Analysis

Summary statistics will be generated for all variables collected, including patient demographics (e.g., age, sex, and BMI), disease-specific characteristics (e.g., Hurley stage, modified Hidradenitis Suppurativa Score [mHSS], Severity Assessment of Hidradenitis Suppurativa [SAHS] [38], and Dermatology Life Quality Index [DLQI] [39]) and co-morbidities (e.g., diabetes and hypertension). Continuous variables such as age and BMI are presented as medians with interquartile ranges. Binomial and categorical variables, including Hurley stages, are reported as frequencies and percentages. Comparative analyses were performed to evaluate the relationships between the haptoglobin expression levels and clinical variables. A chi-squared test was used for binary or categorical variables, and the Mann–Whitney U test was used for continuous variables. A p value of less than 0.05 was considered statistically significant for all tests.

3. Results

3.1. Personal and Clinical Characteristics of the HS Cohort

The present investigation comprised 44 patients diagnosed with HS (Table 1). Of these patients, 15 (34.1%) were female, and 29 (65.9%) were male, with a median age of 46.5 years (interquartile range (IQR): 33.8–57). The median age of disease onset was 27.5 years (IQR: 19–37.3). In addition, the median disease duration was recorded to be 11 years (IQR: 7–21.8). Further analysis revealed a median body mass index (BMI) of 32.0 kg/m2 (IQR: 29.3–36.8). A positive family history of HS was reported by 13 patients (29.6%), while 31 patients (70.4%) reported no family history. With respect to smoking habits, 28 patients (63.6%) were current smokers, 5 (11.4%) were ex-smokers, and 11 (25%) were non-smokers. The median modified Hidradenitis Suppurativa Score (mHSS) was 52.5 (IQR: 24.8–89.3). The median Severity Assessment of Hidradenitis Suppurativa (SAHS) score was 8 (IQR: 6–9), and the median Dermatology Life Quality Index (DLQI) score was 14 (IQR: 10–20).
Table 1. Personal and clinical characteristics of 44 HS patients.

3.2. Immunohistochemical Expression of Haptoglobin in Lesional Skin from HS Group and Healthy Skin from Controls

Haptoglobin expression was analysed and compared between skin lesions of patients with hidradenitis suppurativa (HS) and healthy controls, as well as between different anatomical regions affected by HS (Table 2 and Table 3). As expected, no significant differences in age and sex were observed between HS patients (n = 44) and controls (n = 10), since the controls were matched for age and sex (p > 0.05). HS lesions had significantly higher H-scores (median 31.2 versus 0.02; p < 0.001; Figure 1), absolute numbers of haptoglobin-positive cells (median: 245.8 versus 1; p < 0.001), and percentages of positive cells (median: 26.8% versus 0.02%; p < 0.001). Further analysis revealed differences in haptoglobin expression between different regions affected by HS. Axillary involvement showed the highest median H score (35.4), absolute number of positive cells (361.8), and percentage of positive cells (32.0%), followed by perianal involvement with a median H score of 31.7, 288.5 positive cells, and 29.7% positive cells. In contrast, the lowest expression levels were observed in the mons pubis region, where the median H score was 24.8, the absolute number of positive cells was 191.1, and the percentage of positive cells was 18.5%.
Table 2. Comparison of haptoglobin expression in skin between skin lesions from HS patients (n = 44) and healthy skin from controls (n = 10), compared using Mann–Whitney U and chi-squared tests.
Table 3. Haptoglobin expression according to the pattern of involvement in HS.
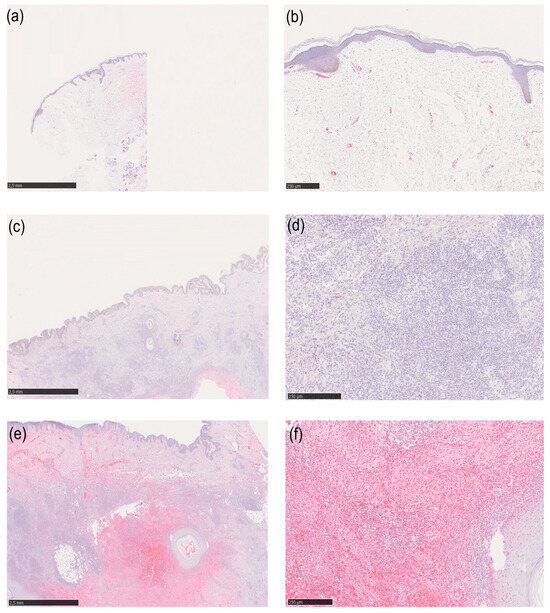
Figure 1. All figures show immunohistochemical staining with haptoglobin. (a) Overview of healthy skin. (b) Healthy skin at 100× magnification. (c) Overview of lesional HS skin with little haptoglobin expression. (d) Lesional HS skin with little haptoglobin expression at 100× magnification. (e) Lesional HS skin with high haptoglobin expression at overview. (f) Lesional HS skin with high haptoglobin expression at 100× magnification.

3.3. Clinical HS Characteristics and Haptoglobin Expression

Patients with Hurley stage III disease had significantly higher H scores (median: 37.6 versus 17.1, p = 0.028; Table 4), a greater absolute number of positive haptoglobin-expressing cells (median: 373.1 versus 187.6, p = 0.048), and a trend towards a higher percentage of positive cells (median: 34.8% versus 18.4%, p = 0.059). Elevated CRP levels were associated with a higher absolute number of positive cells (median: 390.5 versus 174.7, p = 0.04), and there was a borderline significant increase in the H scores (median: 40.5 versus 17.1, p = 0.053). Patients with hypothyroidism had significantly higher H scores (median: 61.5 versus 29.1, p = 0.045), a greater absolute number of positive cells (median: 549.8 versus 234, p = 0.03), and a higher percentage of positive cells (median: 55.4% versus 30.8%, p = 0.045). Other parameters, including sex, family history of HS, diabetes, hypertension, obesity, and CRP levels, did not show significant differences in their H scores, absolute positive cell counts, or percentage of positive cells, except for the trends observed in patients with diabetes (p = 0.078) and hypertension (p = 0.055).
Table 4. Comparison of clinical HS characteristics and haptoglobin expression in lesional HS skin, compared using Mann–Whitney U test.

3.4. Comparison of Clinical Characteristics at Low and High Haptoglobin Expression

To determine the clinical differences between low and high haptoglobin expression, we performed an ROC analysis. Our investigations showed that both serum and skin tissue haptoglobin were related to the severity of HS. In the ROC analysis, the percentage of positive area for haptoglobin was used as the test variable, and Hurley III was used as the state variable. With a Youden index of 0.393, a cut-off value of 30.8 was determined. Table 5 compares the clinical characteristics between the patients with low (<30.8%) and high (≥30.8%) haptoglobin expression in HS. A significantly higher proportion of patients with high haptoglobin expression was active tobacco smokers (80% versus 50%, p = 0.039). SAHS was also significantly higher in this group (median: 8.5 versus 7, p = 0.008). Advanced disease, as indicated by Hurley stage III, was more common in patients with high haptoglobin expression (80% versus 41.7%, p = 0.01). Patients with high haptoglobin expression also reported higher visual analogue scale (VAS) scores for current pain (median: 5 versus 1.5, p = 0.03) and had a higher prevalence of diabetes mellitus (35% versus 8.3%, p = 0.029) and hypertension (55% versus 25%, p = 0.042). Blood haptoglobin levels were significantly elevated in patients with high expression (median: 227.3 versus 188.6, p = 0.016). However, there were no statistically significant differences between the two groups in terms of age, age at disease onset, disease duration, BMI, family history of HS, number of flares in the previous 4 weeks, or CRP levels.
Table 5. Comparison of clinical characteristics at low (positive amount for haptoglobin (%) < 30.8%) and high (positive amount for haptoglobin (%) ≥ 30.8%) haptoglobin expression compared using Mann–Whitney U and chi-squared tests.

4. Discussion

This investigation provides new and important insights into the role of haptoglobin in the inflammatory process of HS. Serum haptoglobin level is an independent marker of HS disease severity and metabolic risk [25,40]. The findings of this study demonstrate that elevated levels of haptoglobin expression in HS skin lesions (defined as ≥30.8% positive cells) are associated with increased disease severity and a greater prevalence of comorbidity. In particular, patients with Hurley stage III disease were found to have significantly higher haptoglobin expression than patients with milder disease. This highlights the potential role of haptoglobin as a marker of disease severity [25]. Activation of the Th1 and Th17 immune response is characteristic of HS. This inflammatory pathway could be enhanced by increased skin tissue haptoglobin, as haptoglobin leads to promotion of the Th1 response and modulation of oxidative stress [41,42,43,44,45]. Haptoglobin functions as a regulatory agent within the Th1/Th2 balance [27]. An association between haptoglobin in skin tissue and disease severity was also found in other chronic diseases. A study by Lee et al. showed similar results for chronic obstructive pulmonary disease (COPD), which is caused by chronic inflammation [46]. Haptoglobin levels influence the severity of COPD [46]. Another study analyzed haptoglobin in urine and found that this biomarker can predict mortality risk in patients with type 2 diabetes independent of traditional risk factors [47].
Furthermore, the analysis shows that high haptoglobin expression is associated with an increased risk of metabolic comorbidities such as diabetes mellitus and arterial hypertension. This association may be explained by the inflammation-modulating properties of haptoglobin, which were identified in previous studies as contributing to systemic inflammation and metabolic dysregulation. Higher haptoglobin concentrations and more meta-inflammation are associated with poorer blood sugar control, showing a significantly increased level of fasting blood sugar [40].
The connection between HS and haptoglobin can also be readily elucidated at the cellular level. Haptoglobin is considered an acute-phase protein and is produced primarily in hepatocytes in the liver. The cytokines IL-6, TNF-α, and IL-1β bind to their respective receptors on the surface of hepatocytes and activate signalling cascades that promote the expression of haptoglobin [48,49,50,51,52,53,54,55]. Haptoglobin is released by a variety of cells, including macrophages, endothelial cells, fibroblasts, and neutrophils [29,56,57,58,59]. T cells also contribute indirectly to the secretion of haptoglobin by promoting the activation of macrophages [60]. All three cytokines—IL-6, TNF-α, and IL-1β—are elevated in HS patients and could explain the increased haptoglobin levels in skin tissue and serum [61,62,63].
Genetic predisposition to haptoglobin genotypes also plays an important role in inflammation. The HP2 allele and HP 2-2 genotype are associated with several immune disorders, such as inflammatory bowel disease and systemic lupus erythematosus [64,65,66]. A similar association was found in HS. Genotype haptoglobin 2-2 is associated with familial hidradenitis suppurativa and confirms that the allele Hp2 is a predisposing factor for autoimmune inflammatory diseases [32].
Our results show that patients with high haptoglobin expression reported significantly greater pain. This could be explained by increased activation of pro-inflammatory pathways that promote both peripheral and central sensitisation [67,68]. In addition, the link between more pain and more local haptoglobin may reflect the greater activity of acute inflammation.
HS patients with high haptoglobin expression also reported higher pain intensities, and a higher proportion were active smokers. Furthermore, the link between high haptoglobin expression and active smoking suggests that exogenous factors may influence inflammation in skin tissue. Smoking is a known trigger of an increased systemic inflammatory response, which may explain why patients with high haptoglobin expression were also more likely to be active smokers [69,70,71].
Consequently, the results of this study could have significant clinical implications. On the one hand, the correlation between elevated levels of haptoglobin expression in lesional skin and more severe HS, higher pain intensities, and a greater prevalence of comorbidities, including diabetes mellitus and arterial hypertension, suggests that skin tissue haptoglobin could serve as a biomarker for patient stratification. This would facilitate the early identification of patients who are at higher risk of severe disease progression or systemic involvement, thereby enabling the adjustment of monitoring and therapeutic measures accordingly. Moreover, the correlation between haptoglobin expression and inflammatory and metabolic parameters suggests that haptoglobin may be a useful indicator in the selection of therapeutic interventions. Patients exhibiting elevated local or systemic haptoglobin expressions may therefore benefit from anti-inflammatory or metabolically effective therapeutic approaches, such as GLP-1 receptor agonists. Finally, longitudinal measurement of skin tissue haptoglobin expression has the potential to facilitate prognosis assessments or evaluate therapy success, thereby contributing to more personalised management of HS. However, it is first necessary to conduct longitudinal studies on haptoglobin in skin tissue.
Nevertheless, the results of this study have to be interpreted with some limitations. The small sample size may limit the generalisability of the results, and the cross-sectional analysis does not allow causal conclusions. Further research with larger cohorts and longitudinal designs is needed to confirm the findings and gain a better understanding of the underlying mechanisms.

5. Conclusions

Haptoglobin in skin tissue is involved in the inflammatory process of HS patients. High haptoglobin expression (positive cells ≥ 30.8%) in skin lesions is associated with higher HS severity, active smoking, more pain, and the comorbidities of diabetes mellitus and arterial hypertension in HS patients.

Author Contributions

Conceptualisation, N.A.R. and Y.H.; methodology, N.A.R., H.T., D.M., M.D., M.S. (Marina Skrygan), Y.H. and M.S. (Markus Stücker); software, N.A.R., Y.H. and D.M.; validation, N.A.R., Y.H., D.M., M.D., M.S. (Markus Stücker) and F.G.B.; formal analysis, N.A.R., Y.H., D.M., M.S. (Marina Skrygan) and F.G.B.; investigation, N.A.R., Y.H., D.M. and F.G.B.; resources, all authors; data curation, N.A.R., Y.H., D.M. and F.G.B.; writing—original draft preparation, all authors; writing—review and editing, all authors; visualisation, N.A.R., F.G.B., H.T. and M.S. (Marina Skrygan); supervision, N.A.R.; project administration, N.A.R.; funding acquisition, N.A.R. All authors have read and agreed to the published version of the manuscript.

Funding

This research received no external funding.

Institutional Review Board Statement

The present study was conducted in accordance with the Declaration of Helsinki and approved by the Ethics Committee of Ruhr-Universität Bochum (protocol code #5076–14; date of approval: 30 June 2014).

Data Availability Statement

Data are contained within the article.

Acknowledgments

We acknowledge support by the Open Access Publication Funds of the Ruhr-Universität Bochum.

Conflicts of Interest

N.A. received funding, travel support, or personal honoraria for lectures from Novartis Pharma, Janssen-Cilag GmbH, Recordati Rare Diseases Germany GmbH, Therakos (UK) Ltd. and Johnson & Johnson that were independent of the work submitted. F.G.B. has received honoraria for participation on advisory boards, in clinical trials, or as a speaker from AbbVie Inc., AbbVie Deutschland GmbH & Co. KG, Acelyrin, Beiersdorf, Boehringer Ingelheim Pharma GmbH & Co. KG, Celltrion, Dr. Wolff, Incyte Corporation, Janssen-Cilag GmbH, Johnson & Johnson, Merck, Mölnlycke, MoonLake, Novartis Pharma GmbH, Sanofi, Sitala and UCB Pharma. E.S. has received lecture fees from Almirall, Leo, Pierre Favre, and Philips. L.O. has received honoraria as a speaker or travel support from Novartis Pharma GmbH, Incyte Biosciences Corporation, and Janssen. T.M. has received honoraria as a speaker from Novartis, Coldplasmatech and Hologic. The other authors (H.T., M.S., D.M., Y.H.) declare no conflicts of interest.

References

  1. Sabat, R.; Alavi, A.; Wolk, K.; Wortsman, X.; McGrath, B.; Garg, A.; Szepietowski, J.C. Hidradenitis suppurativa. Lancet 2025, 405, 420–438. [Google Scholar] [CrossRef] [PubMed]
  2. Sharma, P. Inflammation and the metabolic syndrome. Indian J. Clin. Biochem. 2011, 26, 317–318. [Google Scholar] [CrossRef] [PubMed]
  3. van de Vyver, M. Immunology of chronic low-grade inflammation: Relationship with metabolic function. J. Endocrinol. 2023, 257, e220271. [Google Scholar] [CrossRef]
  4. Mintoff, D.; Agius, R.; Benhadou, F.; Das, A.; Frew, J.W.; Pace, N.P. Obesity and hidradenitis suppurativa: Targeting meta-inflammation for therapeutic gain. Clin. Exp. Dermatol. 2023, 48, 984–990. [Google Scholar] [CrossRef]
  5. Kanbay, M.; Yerlikaya, A.; Sag, A.A.; Ortiz, A.; Kuwabara, M.; Covic, A.; Wiecek, A.; Stenvinkel, P.; Afsar, B. A journey from microenvironment to macroenvironment: The role of metaflammation and epigenetic changes in cardiorenal disease. Clin. Kidney J. 2019, 12, 861–870. [Google Scholar] [CrossRef]
  6. Charles-Messance, H.; Mitchelson, K.A.J.; de Marco Castro, E.; Sheedy, F.J.; Roche, H.M. Regulating metabolic inflammation by nutritional modulation. J. Allergy Clin. Immunol. 2020, 146, 706–720. [Google Scholar] [CrossRef] [PubMed]
  7. Hotamisligil, G.S. Inflammation, metaflammation and immunometabolic disorders. Nature 2017, 542, 177–185. [Google Scholar] [CrossRef]
  8. Russo, S.; Kwiatkowski, M.; Govorukhina, N.; Bischoff, R.; Melgert, B.N. Meta-Inflammation and Metabolic Reprogramming of Macrophages in Diabetes and Obesity: The Importance of Metabolites. Front. Immunol. 2021, 12, 746151. [Google Scholar] [CrossRef]
  9. Wang, A.; Guan, B.; Zhang, H.; Xu, H. Danger-associated metabolites trigger metaflammation: A crowbar in cardiometabolic diseases. Pharmacol. Res. 2023, 198, 106983. [Google Scholar] [CrossRef]
  10. Qu, L.; Matz, A.J.; Karlinsey, K.; Cao, Z.; Vella, A.T.; Zhou, B. Macrophages at the Crossroad of Meta-Inflammation and Inflammaging. Genes 2022, 13, 2074. [Google Scholar] [CrossRef]
  11. Li, C.; Xu, M.M.; Wang, K.; Adler, A.J.; Vella, A.T.; Zhou, B. Macrophage polarization and meta-inflammation. Transl. Res. 2018, 191, 29–44. [Google Scholar] [CrossRef] [PubMed]
  12. Ghosh, A.R.; Bhattacharya, R.; Bhattacharya, S.; Nargis, T.; Rahaman, O.; Duttagupta, P.; Raychaudhuri, D.; Liu, C.S.C.; Roy, S.; Ghosh, P.; et al. Adipose Recruitment and Activation of Plasmacytoid Dendritic Cells Fuel Metaflammation. Diabetes 2016, 65, 3440–3452. [Google Scholar] [CrossRef] [PubMed]
  13. Ocker, L.; Abu Rached, N.; Seifert, C.; Scheel, C.; Bechara, F.G. Current Medical and Surgical Treatment of Hidradenitis Suppurativa-A Comprehensive Review. J. Clin. Med. 2022, 11, 7240. [Google Scholar] [CrossRef]
  14. Glatt, S.; Jemec, G.B.E.; Forman, S.; Sayed, C.; Schmieder, G.; Weisman, J.; Rolleri, R.; Seegobin, S.; Baeten, D.; Ionescu, L.; et al. Efficacy and Safety of Bimekizumab in Moderate to Severe Hidradenitis Suppurativa: A Phase 2, Double-blind, Placebo-Controlled Randomized Clinical Trial. JAMA Dermatol. 2021, 157, 1279–1288. [Google Scholar] [CrossRef]
  15. Kimball, A.B.; Jemec, G.B.E.; Sayed, C.J.; Kirby, J.S.; Prens, E.; Ingram, J.R.; Garg, A.; Gottlieb, A.B.; Szepietowski, J.C.; Bechara, F.G.; et al. Efficacy and safety of bimekizumab in patients with moderate-to-severe hidradenitis suppurativa (BE HEARD I and BE HEARD II): Two 48-week, randomised, double-blind, placebo-controlled, multicentre phase 3 trials. Lancet 2024, 403, 2504–2519. [Google Scholar] [CrossRef]
  16. Kimball, A.B.; Jemec, G.B.E.; Alavi, A.; Reguiai, Z.; Gottlieb, A.B.; Bechara, F.G.; Paul, C.; Giamarellos Bourboulis, E.J.; Villani, A.P.; Schwinn, A.; et al. Secukinumab in moderate-to-severe hidradenitis suppurativa (SUNSHINE and SUNRISE): Week 16 and week 52 results of two identical, multicentre, randomised, placebo-controlled, double-blind phase 3 trials. Lancet 2023, 401, 747–761. [Google Scholar] [CrossRef] [PubMed]
  17. Kimball, A.B.; Okun, M.M.; Williams, D.A.; Gottlieb, A.B.; Papp, K.A.; Zouboulis, C.C.; Armstrong, A.W.; Kerdel, F.; Gold, M.H.; Forman, S.B.; et al. Two Phase 3 Trials of Adalimumab for Hidradenitis Suppurativa. N. Engl. J. Med. 2016, 375, 422–434. [Google Scholar] [CrossRef]
  18. Lyons, D.; Louly Nathan, A.; Pender, E.; Murray, G.; Smith, C.; Kirby, B.; Hughes, R. Semaglutide for weight loss in people with obesity as an adjunctive treatment for hidradenitis suppurativa: Its impact on disease control and quality of life. Br. J. Dermatol. 2024, 191, 631–633. [Google Scholar] [CrossRef]
  19. Krajewski, P.K.; Złotowska, A.; Szepietowski, J.C. The Therapeutic Potential of GLP-1 Receptor Agonists in the Management of Hidradenitis Suppurativa: A Systematic Review of Anti-Inflammatory and Metabolic Effects. J. Clin. Med. 2024, 13, 6292. [Google Scholar] [CrossRef]
  20. Gambichler, T.; Hessam, S.; Cramer, P.; Abu Rached, N.; Bechara, F.G. Complete blood collection-based systemic inflammation biomarkers for patients with hidradenitis suppurativa. J. Eur. Acad. Dermatol. Venereol. 2022, 36, 1593–1596. [Google Scholar] [CrossRef]
  21. Hessam, S.; Sand, M.; Gambichler, T.; Bechara, F.G. Correlation of inflammatory serum markers with disease severity in patients with hidradenitis suppurativa (HS). J. Am. Acad. Dermatol. 2015, 73, 998–1005. [Google Scholar] [CrossRef] [PubMed]
  22. Jiménez-Gallo, D.; de La Varga-Martínez, R.; Ossorio-García, L.; Albarrán-Planelles, C.; Rodríguez, C.; Linares-Barrios, M. The Clinical Significance of Increased Serum Proinflammatory Cytokines, C-Reactive Protein, and Erythrocyte Sedimentation Rate in Patients with Hidradenitis Suppurativa. Mediat. Inflamm. 2017, 2017, 2450401. [Google Scholar] [CrossRef] [PubMed]
  23. Li, Y.-H.; Chuang, S.-H.; Yang, H.-J. Systematic review and meta-analysis of peripheral blood inflammatory markers in hidradenitis Suppurativa. J. Dermatol. 2025, 52, 583–592. [Google Scholar] [CrossRef] [PubMed]
  24. Mintoff, D.; Borg, I.; Pace, N.P. Serum Immunoglobulin G Is a Marker of Hidradenitis Suppurativa Disease Severity. Int. J. Mol. Sci. 2022, 23, 13800. [Google Scholar] [CrossRef]
  25. Abu Rached, N.; Gambichler, T.; Ocker, L.; Skrygan, M.; Seifert, C.; Scheel, C.H.; Stockfleth, E.; Bechara, F.G. Haptoglobin is an independent marker for disease severity and risk for metabolic complications in hidradenitis suppurativa: A prospective study. J. Eur. Acad. Dermatol. Venereol. 2024, 38, 205–213. [Google Scholar] [CrossRef]
  26. Arredouani, M.; Matthijs, P.; van Hoeyveld, E.; Kasran, A.; Baumann, H.; Ceuppens, J.L.; Stevens, E. Haptoglobin directly affects T cells and suppresses T helper cell type 2 cytokine release. Immunology 2003, 108, 144–151. [Google Scholar] [CrossRef] [PubMed]
  27. Arredouani, M.; Matthys, P.; Kasran, A.; Baumann, H.; Ceuppen, J.L. Haptoglobin and the Th1/Th2 balance: Hints from in vitro and in vivo studies. Redox Rep. 2001, 6, 369–371. [Google Scholar] [CrossRef] [PubMed]
  28. Andersen, C.B.F.; Stødkilde, K.; Sæderup, K.L.; Kuhlee, A.; Raunser, S.; Graversen, J.H.; Moestrup, S.K. Haptoglobin. Antioxid. Redox Signal. 2017, 26, 814–831. [Google Scholar] [CrossRef]
  29. Di Masi, A.; de Simone, G.; Ciaccio, C.; D’Orso, S.; Coletta, M.; Ascenzi, P. Haptoglobin: From hemoglobin scavenging to human health. Mol. Aspects Med. 2020, 73, 100851. [Google Scholar] [CrossRef]
  30. Schlapbach, C.; Hänni, T.; Yawalkar, N.; Hunger, R.E. Expression of the IL-23/Th17 pathway in lesions of hidradenitis suppurativa. J. Am. Acad. Dermatol. 2011, 65, 790–798. [Google Scholar] [CrossRef]
  31. Thomi, R.; Schlapbach, C.; Yawalkar, N.; Simon, D.; Yerly, D.; Hunger, R.E. Elevated levels of the antimicrobial peptide LL-37 in hidradenitis suppurativa are associated with a Th1/Th17 immune response. Exp. Dermatol. 2018, 27, 172–177. [Google Scholar] [CrossRef] [PubMed]
  32. Abu Rached, N.; Skrygan, M.; Ocker, L.; Haven, Y.; Myszkowski, D.; Stockfleth, E.; Bechara, F.G. Haptoglobin Genotypes in Hidradenitis Suppurativa: Haptoglobin 2-2 Genotype Is Associated with Familial Hidradenitis Suppurativa and More Flares. Int. J. Dermatol. 2025. [Google Scholar] [CrossRef] [PubMed]
  33. Li, P.; Gao, X.-H.; Chen, H.-D.; Zhang, Y.; Wang, Y.; Wang, H.; Wang, Y.; Xie, Y. Localization of haptoglobin in normal human skin and some skin diseases. Int. J. Dermatol. 2005, 44, 280–284. [Google Scholar] [CrossRef]
  34. Maresca, B.; Lembo, S.; Ayala, F.; Balato, N.; Di Caprio, R.; Mattii, M.; Raimondo, A.; Schiattarella, M.; Abrescia, P.; Spagnuolo, M.S.; et al. Understanding the role of haptoglobin in psoriasis: Effects of ultraviolet B. Clin. Exp. Dermatol. 2016, 41, 74–80. [Google Scholar] [CrossRef] [PubMed]
  35. Wang, H.; Gao, X.-H.; Wang, Y.-K.; Li, P.; He, C.-D.; Xie, Y.; Chen, H.-D. Expression of haptoglobin in human keratinocytes and Langerhans cells. Br. J. Dermatol. 2005, 153, 894–899. [Google Scholar] [CrossRef]
  36. Tian, F.-J.; Zhang, Y.-Y.; Liu, L.-Q.; Xiong, Y.; Wang, Z.-S.; Wang, S.-Z. Haptoglobin protein and mRNA expression in psoriasis and its clinical significance. Mol. Med. Rep. 2016, 14, 3735–3742. [Google Scholar] [CrossRef]
  37. Thike, A.A.; Chng, M.J.; Fook-Chong, S.; Tan, P.H. Immunohistochemical expression of hormone receptors in invasive breast carcinoma: Correlation of results of H-score with pathological parameters. Pathology 2001, 33, 21–25. [Google Scholar] [CrossRef]
  38. Hessam, S.; Scholl, L.; Sand, M.; Schmitz, L.; Reitenbach, S.; Bechara, F.G. A Novel Severity Assessment Scoring System for Hidradenitis Suppurativa. JAMA Dermatol. 2018, 154, 330–335. [Google Scholar] [CrossRef]
  39. Finlay, A.Y.; Khan, G.K. Dermatology Life Quality Index (DLQI)--a simple practical measure for routine clinical use. Clin. Exp. Dermatol. 1994, 19, 210–216. [Google Scholar] [CrossRef]
  40. Abu Rached, N.; Dietrich, J.W.; Ocker, L.; Stockfleth, E.; Haven, Y.; Myszkowski, D.; Bechara, F.G. Endotyping Insulin–Glucose Homeostasis in Hidradenitis Suppurativa: The Impact of Diabetes Mellitus and Inflammation. JCM 2025, 14, 2145. [Google Scholar] [CrossRef]
  41. Moran, B.; Sweeney, C.M.; Hughes, R.; Malara, A.; Kirthi, S.; Tobin, A.-M.; Kirby, B.; Fletcher, J.M. Hidradenitis Suppurativa Is Characterized by Dysregulation of the Th17:Treg Cell Axis, Which Is Corrected by Anti-TNF Therapy. J. Investig. Dermatol. 2017, 137, 2389–2395. [Google Scholar] [CrossRef]
  42. Thomi, R.; Cazzaniga, S.; Seyed Jafari, S.M.; Schlapbach, C.; Hunger, R.E. Association of Hidradenitis Suppurativa with T Helper 1/T Helper 17 Phenotypes: A Semantic Map Analysis. JAMA Dermatol. 2018, 154, 592–595. [Google Scholar] [CrossRef] [PubMed]
  43. Wolk, K.; Join-Lambert, O.; Sabat, R. Aetiology and pathogenesis of hidradenitis suppurativa. Br. J. Dermatol. 2020, 183, 999–1010. [Google Scholar] [CrossRef]
  44. Liu, L.; Hao, S.; Gou, S.; Tang, X.; Zhang, Y.; Cai, D.; Xiao, M.; Zhang, X.; Zhang, D.; Shen, J.; et al. Potential applications of dual haptoglobin expression in the reclassification and treatment of hepatocellular carcinoma. Transl. Res. 2024, 272, 19–40. [Google Scholar] [CrossRef] [PubMed]
  45. Guetta, J.; Strauss, M.; Levy, N.S.; Fahoum, L.; Levy, A.P. Haptoglobin genotype modulates the balance of Th1/Th2 cytokines produced by macrophages exposed to free hemoglobin. Atherosclerosis 2007, 191, 48–53. [Google Scholar] [CrossRef] [PubMed]
  46. Lee, P.-L.; Lee, K.-Y.; Cheng, T.-M.; Chuang, H.-C.; Wu, S.-M.; Feng, P.-H.; Liu, W.-T.; Chen, K.-Y.; Ho, S.-C. Relationships of Haptoglobin Phenotypes with Systemic Inflammation and the Severity of Chronic Obstructive Pulmonary Disease. Sci. Rep. 2019, 9, 189. [Google Scholar] [CrossRef]
  47. Liu, J.-J.; Liu, S.; Saulnier, P.-J.; Gand, E.; Choo, R.W.M.; Gurung, R.L.; Hadjadj, S.; Lim, S.C. Association of Urine Haptoglobin with Risk of All-Cause and Cause-Specific Mortality in Individuals with Type 2 Diabetes: A Transethnic Collaborative Work. Diabetes Care 2020, 43, 625–633. [Google Scholar] [CrossRef]
  48. Baumann, H.; Morella, K.K.; Jahreis, G.P.; Marinković, S. Distinct regulation of the interleukin-1 and interleukin-6 response elements of the rat haptoglobin gene in rat and human hepatoma cells. Mol. Cell. Biol. 1990, 10, 5967–5976. [Google Scholar] [CrossRef]
  49. Baumann, H.; Morella, K.K.; Wong, G.H. TNF-alpha, IL-1 beta, and hepatocyte growth factor cooperate in stimulating specific acute phase plasma protein genes in rat hepatoma cells. J. Immunol. 1993, 151, 4248–4257. [Google Scholar] [CrossRef]
  50. Berkova, N.; Gilbert, C.; Goupil, S.; Yan, J.; Korobko, V.; Naccache, P.H. TNF-induced haptoglobin release from human neutrophils: Pivotal role of the TNF p55 receptor. J. Immunol. 1999, 162, 6226–6232. [Google Scholar] [CrossRef]
  51. Boe, A.; Canosi, U.; Donini, S.; Mastrangeli, R.; Ythier, A.; Crescenzi, O.S. Determination of haptoglobin expression in IL-6 treated HepG2 cells by ELISA and by RNA hybridization—Evaluation of a quantitative method to measure IL-6. J. Immunol. Methods 1994, 171, 157–167. [Google Scholar] [CrossRef] [PubMed]
  52. Kramer, F.; Torzewski, J.; Kamenz, J.; Veit, K.; Hombach, V.; Dedio, J.; Ivashchenko, Y. Interleukin-1beta stimulates acute phase response and C-reactive protein synthesis by inducing an NFkappaB- and C/EBPbeta-dependent autocrine interleukin-6 loop. Mol. Immunol. 2008, 45, 2678–2689. [Google Scholar] [CrossRef] [PubMed]
  53. Li, S.-C.; Lee, C.-C.; Hsu, C.-M.; Huang, H.-B.; Su, Y.-C. IL-6 induces haptoglobin expression through activating STAT3 in human head and neck cancer. J. Oral Pathol. Med. 2020, 49, 49–54. [Google Scholar] [CrossRef]
  54. Oliviero, S.; Cortese, R. The human haptoglobin gene promoter: Interleukin-6-responsive elements interact with a DNA-binding protein induced by interleukin-6. EMBO J. 1989, 8, 1145–1151. [Google Scholar] [CrossRef] [PubMed]
  55. Svotelis, A.; Doyon, G.; Bernatchez, G.; Désilets, A.; Rivard, N.; Asselin, C. IL-1 beta-dependent regulation of C/EBP delta transcriptional activity. Biochem. Biophys. Res. Commun. 2005, 328, 461–470. [Google Scholar] [CrossRef]
  56. Theilgaard-Mönch, K.; Jacobsen, L.C.; Nielsen, M.J.; Rasmussen, T.; Udby, L.; Gharib, M.; Arkwright, P.D.; Gombart, A.F.; Calafat, J.; Moestrup, S.K.; et al. Haptoglobin is synthesized during granulocyte differentiation, stored in specific granules, and released by neutrophils in response to activation. Blood 2006, 108, 353–361. [Google Scholar] [CrossRef]
  57. Schaer, C.A.; Deuel, J.W.; Bittermann, A.G.; Rubio, I.G.; Schoedon, G.; Spahn, D.R.; Wepf, R.A.; Vallelian, F.; Schaer, D.J. Mechanisms of haptoglobin protection against hemoglobin peroxidation triggered endothelial damage. Cell Death Differ. 2013, 20, 1569–1579. [Google Scholar] [CrossRef]
  58. Asleh, R.; Ward, J.; Levy, N.S.; Safuri, S.; Aronson, D.; Levy, A.P. Haptoglobin genotype-dependent differences in macrophage lysosomal oxidative injury. J. Biol. Chem. 2014, 289, 16313–16325. [Google Scholar] [CrossRef]
  59. de Kleijn, D.P.V.; Smeets, M.B.; Kemmeren, P.P.C.W.; Lim, S.K.; van Middelaar, B.J.; Velema, E.; Schoneveld, A.; Pasterkamp, G.; Borst, C. Acute-phase protein haptoglobin is a cell migration factor involved in arterial restructuring. FASEB J. 2002, 16, 1123–1125. [Google Scholar] [CrossRef]
  60. Stout, R.D.; Suttles, J. T cell-macrophage cognate interaction in the activation of macrophage effector function by Th2 cells. J. Immunol. 1993, 150, 5330–5337. [Google Scholar] [CrossRef]
  61. Andriano, T.M.; Benesh, G.; Babbush, K.M.; Hosgood, H.D.; Lin, J.; Cohen, S.R. Serum inflammatory markers and leukocyte profiles accurately describe hidradenitis suppurativa disease severity. Int. J. Dermatol. 2022, 61, 1270–1275. [Google Scholar] [CrossRef]
  62. Carmona-Rivera, C.; O’Neil, L.J.; Patino-Martinez, E.; Shipman, W.D.; Zhu, C.; Li, Q.-Z.; Kerns, M.L.; Barnes, L.A.; Caffrey, J.A.; Kang, S.; et al. Autoantibodies Present in Hidradenitis Suppurativa Correlate with Disease Severity and Promote the Release of Proinflammatory Cytokines in Macrophages. J. Investig. Dermatol. 2022, 142, 924–935. [Google Scholar] [CrossRef]
  63. Schell, S.L.; Cong, Z.; Sennett, M.L.; Gettle, S.L.; Longenecker, A.L.; Goldberg, S.R.; Kirby, J.S.; Helm, M.F.; Nelson, A.M. Keratinocytes and immune cells in the epidermis are key drivers of inflammation in hidradenitis suppurativa providing a rationale for novel topical therapies. Br. J. Dermatol. 2023, 188, 407–419. [Google Scholar] [CrossRef] [PubMed]
  64. Vanuytsel, T.; Vermeire, S.; Cleynen, I. The role of Haptoglobin and its related protein, Zonulin, in inflammatory bowel disease. Tissue Barriers 2013, 1, e27321. [Google Scholar] [CrossRef]
  65. Pavón, E.J.; Muñoz, P.; Lario, A.; Longobardo, V.; Carrascal, M.; Abián, J.; Martin, A.B.; Arias, S.A.; Callejas-Rubio, J.-L.; Sola, R.; et al. Proteomic analysis of plasma from patients with systemic lupus erythematosus: Increased presence of haptoglobin alpha2 polypeptide chains over the alpha1 isoforms. Proteomics 2006, 6 (Suppl. 1), S282–S292. [Google Scholar] [CrossRef] [PubMed]
  66. Langlois, M.R.; Delanghe, J.R. Biological and clinical significance of haptoglobin polymorphism in humans. Clin. Chem. 1996, 42, 1589–1600. [Google Scholar] [CrossRef] [PubMed]
  67. Puja, G.; Sonkodi, B.; Bardoni, R. Mechanisms of Peripheral and Central Pain Sensitization: Focus on Ocular Pain. Front. Pharmacol. 2021, 12, 764396. [Google Scholar] [CrossRef]
  68. Ji, R.-R. Peripheral and central mechanisms of inflammatory pain, with emphasis on MAP kinases. Curr. Drug Targets Inflamm. Allergy 2004, 3, 299–303. [Google Scholar] [CrossRef]
  69. Shiels, M.S.; Katki, H.A.; Freedman, N.D.; Purdue, M.P.; Wentzensen, N.; Trabert, B.; Kitahara, C.M.; Furr, M.; Li, Y.; Kemp, T.J.; et al. Cigarette smoking and variations in systemic immune and inflammation markers. J. Natl. Cancer Inst. 2014, 106, dju294. [Google Scholar] [CrossRef]
  70. Yanbaeva, D.G.; Dentener, M.A.; Creutzberg, E.C.; Wesseling, G.; Wouters, E.F.M. Systemic effects of smoking. Chest 2007, 131, 1557–1566. [Google Scholar] [CrossRef]
  71. Yan, S.; Ma, Z.; Jiao, M.; Wang, Y.; Li, A.; Ding, S. Effects of Smoking on Inflammatory Markers in a Healthy Population as Analyzed via the Gut Microbiota. Front. Cell. Infect. Microbiol. 2021, 11, 633242. [Google Scholar] [CrossRef] [PubMed]
Disclaimer/Publisher’s Note: The statements, opinions and data contained in all publications are solely those of the individual author(s) and contributor(s) and not of MDPI and/or the editor(s). MDPI and/or the editor(s) disclaim responsibility for any injury to people or property resulting from any ideas, methods, instructions or products referred to in the content.

Article Metrics

Citations

Article Access Statistics

Multiple requests from the same IP address are counted as one view.