An Insight into Testicular Macrocalcification—A Retrospective Study of 42 Cases on a Rare Sonographic Finding
Abstract
1. Introduction
2. Materials and Methods
2.1. Patient Population
2.2. Data Collection
2.3. Scan Procedure
2.4. Ultrasound Technique
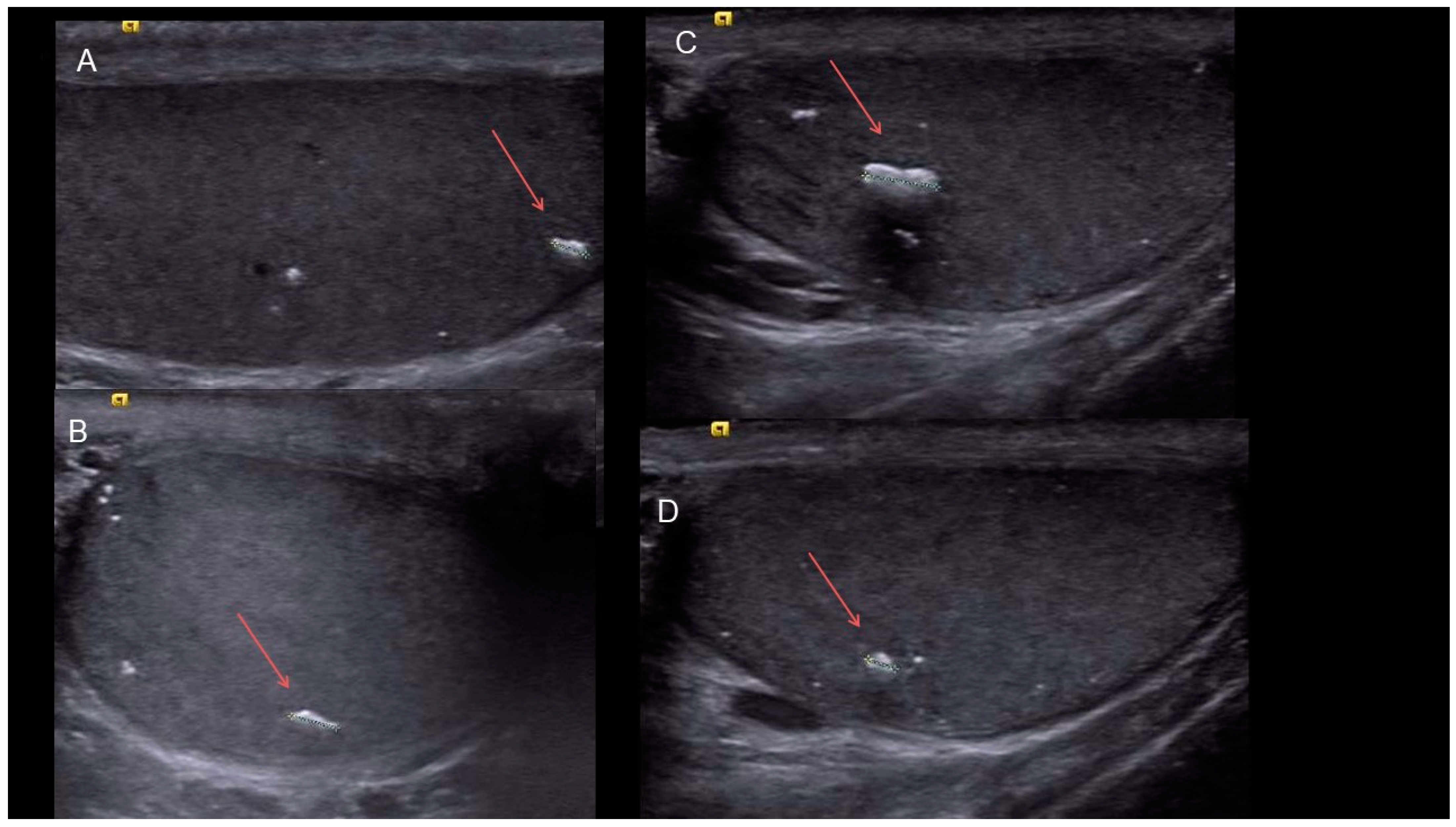
3. Results
4. Discussion
5. Conclusions
Author Contributions
Funding
Institutional Review Board Statement
Informed Consent Statement
Data Availability Statement
Conflicts of Interest
References
- Pedersen, M.R.; Osther, P.J.; Soerensen, F.B.; Rafaelsen, S.R. Testicular Microlithiasis: Patient Compliance in a Two-Year Follow-Up Program. Ultrasound Int. Open 2016, 2, E113–E116. [Google Scholar] [CrossRef] [PubMed][Green Version]
- Pedersen, M.R.; Rafaelsen, S.R.; Møller, H.; Vedsted, P.; Osther, P.J. Testicular microlithiasis and testicular cancer: Review of the literature. Int. Urol. Nephrol. 2016, 48, 1079–1086. [Google Scholar] [CrossRef]
- Richenberg, J.; Belfield, J.; Ramchandani, P.; Rocher, L.; Freeman, S.; Tsili, A.C.; Cuthbert, F.; Studniarek, M.; Bertolotto, M.; Turgut, A.; et al. Testicular microlithiasis imaging and follow-up: Guidelines of the ESUR scrotal imaging subcommittee. Eur. Radiol. 2015, 25, 323–330. [Google Scholar] [CrossRef] [PubMed]
- Pedersen, M.R.; Bartlett, E.; Brown, C.; Rafaelsen, S.R.; Sellars, M.E.; Sidhu, P.S. Is testicular macrocalcification a risk for malignancy? J. Ultrasound Med. 2018, 12, 2949–2953. [Google Scholar] [CrossRef]
- Bushby, L.H.; Miller, F.N.A.C.; Rosairo, S.; Clarke, J.L.; Sidhu, P.S. Scrotal calcification: Ultrasound appearances, distribution and aetiology. Br. J. Radiol. 2002, 75, 283–288. [Google Scholar] [CrossRef] [PubMed]
- Artas, H.; Orhan, I. Scrotal calculi. J. Ultrasound Med. 2007, 26, 1775–1779. [Google Scholar] [CrossRef]
- Feng, L.; Shulin, G.; Jinhia, W.; Zhongxiang, L.; Peiyan, L.; Yanhua, W.; Jiangping, X. Idiopathic calcinosis of scrotum: A case report and review of the literture. Heliyon 2022, 8, e10762. [Google Scholar] [CrossRef]
- Renshaw, A.A. Testicular calcifications: Incidence, histology and proposed pathological criteria for testicular microlithiasis. J. Urol. 1998, 160, 1625–1628. [Google Scholar] [CrossRef]
- Lim, B.; Song, S.H.; Song, G.; Kim, K.S. Changes of calcific density in pediatric patients with testicular microlithiasis. Korean J. Urol. 2015, 56, 318–323. [Google Scholar] [CrossRef] [PubMed]
- Necas, M.; Muthupalaniappaan, M.; Barnard, C. Ultrasound morphological patterns of testicular tumours, correlation with histopathology. J. Med. Radiat. Sci. 2020, 68, 21–27. [Google Scholar] [CrossRef] [PubMed]
- Lotti, F.; Frizza, F.; Balercia, G.; Barbonetti, A.; Behre, H.M.; Calogero, A.E.; Cremers, J.F.; Francavilla, F.; Isidori, A.M.; Kliesch, S.; et al. The European Academy of Andrology (EAA) ultrasound study on healthy, fertile men: An overview on male genital tract ultrasound reference ranges. Andrology 2022, 10 (Suppl. S2), 118–132. [Google Scholar] [CrossRef]
- Frauscher, F.; Klauser, A.; Stenzl, A.; Helweg, G.; Amort, B.; zur Nedden, D. US findings in the scrotum of extreme mountain bikers. Radiology 2001, 219, 427–431. [Google Scholar] [CrossRef]
- Appelbaum, L.; Gaitini, D.; Dogra, V.S. Scrotal Ultrasound in Adults. Semin. Ultrasound CT MRI 2013, 34, 257–273. [Google Scholar] [CrossRef]
- Rocher, L.; Glas, L.; Bellin, M.F.; Ferlicot, S.; Izard, V.; Benoit, G.; Albiges, L.; Fizazi, K.; Correas, J.-M. Burned-Out Testis Tumors in Asymptomatic Infertile Men: Multiparametric Sonography and MRI Findings. J. Ultrasound Med. 2017, 36, 821–831. [Google Scholar] [CrossRef]
- Dogra, V.S.; Gottlieb, R.H.; Oka, M.; Rubens, D.J. Sonography of the scrotum. Radiology 2003, 227, 18–36. [Google Scholar] [CrossRef] [PubMed]
- Pedersen, M.R.; Graumann, O.; Horlyck, A.; Duus, L.A.; Jorgensen, M.M.; Vagn-Hansen, C.; Holst, R.; Rafaelsen, S.R. Inter- and intraobserver agreement in detection of testicular microlithiasis with ultrasonography. Acta Radiol. 2016, 57, 767–772. [Google Scholar] [CrossRef]
- Pedersen, M.R.V.; Otto, P.O.; Fredslund, M.; Smedegaard, C.; Jensen, J.; McEntee, M.F.; Loft, M.K. Ultrasound assessment of testicular volume—An interobserver variability study. J. Med. Imaging Radiat. Sci. 2023, 54, 692–698. [Google Scholar] [CrossRef] [PubMed]
- Kûhn, A.L.; Scortegagna, E.; Nowitzki, K.M.; Kim, Y.H. Ultrasonography of the scrotum in adults. Ultrasonography 2016, 35, 180–197. [Google Scholar] [CrossRef]
- Mirochnik, B.; Bhargave, P.; Dighe, M.K.; Kanth, N. Ultrasound evaluation of scrotal pathology. Radiol. Clin. N. Am. 2012, 50, 317–332. [Google Scholar] [CrossRef]
- Pedersen, M.R.; Møller, H.; Rafaelsen, S.R.; Jørgensen, M.M.B.; Osther, P.J.; Vedsted, P. Characteristics of symptomatic men with testicular microlithiasis—A Danish cross-sectional questionnaire study. Andrology 2017, 5, 556–561. [Google Scholar] [CrossRef]
- Pedersen, M.R.; Bartlett, E.C.; Rafaelsen, S.R.; Osther, P.J.; Vedsted, P.; Sellars, M.E.; Sidhu, P.S.; Møller, H. Testicular microlithiasis is associated with ethnicity and socioeconomic status. Acta Radiol. Open 2017, 6, 2058460117723676. [Google Scholar] [CrossRef] [PubMed]
- De Luis Pastor, E.; Villanueva Marcos, A.; Zudaire Díaz-Tejeiro, B.; Benito Boillos, A.; Bondía Gracia, J.M.; Rincón, A.; Gil Marculeta, R. Scrotal ultrasound: Pearls, patterns and pitfalls. Actas Urol. Esp. 2007, 8, 895–910. [Google Scholar] [CrossRef] [PubMed][Green Version]
- Rocher, L.; Ramchandani, P.; Belfield, J.; Bertolotto, M.; Derchi, L.; Correas, J.M.; Oyen, R.; Tsili, A.; Turgu, A.; Dogra, V.; et al. Incidentially detected non-palpable testicular tumors in adults at scrotal ultrasound: Impact of radioloical findings on management Radiologic review and recommendations of the ESUR scrotal imaging subcom-mittee. Eur. Radiol. 2016, 26, 2268–2278. [Google Scholar] [CrossRef] [PubMed]
- Lotti, F.; Bertolotto, M.; Maggi, M. Historical trends for the standards in scrotal ultrasonography: What was, what is and what will be normal. Andrology 2021, 9, 1331–1355. [Google Scholar] [CrossRef]
- Barbonetti, A.; Martorella, A.; Minaldi, E.; D’Andrea, S.; Bardhi, D.; Castellini, C.; Francavilla, F.; Francavilla, S. Testicular cancer in infertile men with and without testicular microlithiasis: A systematic review and meta-analysis of case-control studies. Front. Endocrinol. 2019, 10, 164. [Google Scholar] [CrossRef] [PubMed]
- Balawender, K.; Orkisz, S.; Wisz, P. Testicular microlithiasis: What urologists should know. A review of the current literature. Cent. Eur. J. Urol. 2018, 71, 310–314. [Google Scholar]
- City Population in Region of Southern Denmark. 2024. Available online: https://regionsyddanmark.dk/en/about-us/facts-about-the-region-of-southern-denmark (accessed on 23 July 2024).
- Mainz, J.; Hess, M.H.; Johnsen, S.P. The Danish unique personal identifier and the Danish civil registration system as a tool for research and quality improvement. Int. J. Qual. Health Care 2019, 31, 717–720. [Google Scholar] [CrossRef]
- Pedersen, C.B. The Danish Civil Registration system. A cohort of eight million people. Dan. Med. Bull. 2006, 53, 441–449. [Google Scholar] [PubMed]
- Aria, S.A.J.U.; Bang, A.K.; Priskorn, L.; Nordkap, L.; Andersson, A.-M.; Jørgensen, N. Testicular microlithiasis on scrotal ultrasound in 4850 young men from the general population: Associations with semen quality. Andrology 2020, 8, 1736–1743. [Google Scholar] [CrossRef] [PubMed]
- Hiramatsu, I.; Tsujimura, A.; Miyoshi, M.; Ogasa, T.; Miyoshi, Y.; Ishikawa, K.; Uesaka, Y.; Nozaki, T.; Shirai, M.; Kobayashi, K.; et al. Prevalence of testicular microlithiasis in healthy newlywed men trying for first-time pregnancy. Int. J. Urol. 2020, 27, 990–995. [Google Scholar] [CrossRef] [PubMed]
- Frandsen, R.H.; Durukan, E.; von Rohden, E.; Jensen, C.F.S.; Thamsborg, A.K.M.; Azawi, N.; Fode, M. Testicular biopsies in men with testicular microlithiasis and additional risk factors for cancer: A case series. Andrology 2024, 12, 1764–1770. [Google Scholar] [CrossRef]
- Wilson, H.G.; Birch, B.R.; Rees, R.W. Is testicular microlithiasis associated with decreased semen parameters? A systematic review. Basic Clin. Androl. 2024, 34, 23. [Google Scholar] [CrossRef] [PubMed]
- Bardisi, M.; Khabaz, M.N.; Al-Maghrabi, J.A. Large Cell Calcifying Sertoli Cell Tumor with Macrocalcification in a Partially Resected Testis. Case Rep. Pathol. 2020, 35, 131–134. [Google Scholar] [CrossRef] [PubMed]
- Floranovic, M.P.; Petrovic, A.R.; Stojnev, S.; Potic, M.; Petrovic, F.; Velickovic, L.J. Large-cell calcifying Sertoli cell tumour with macrocalcification in partially resected testis of young adult patient. Malays. J. Pathol. 2018, 40, 343–348. [Google Scholar]
- Tasu, J.P.; Faye, N.; Eschwege, P.; Rocher, L.; Blery, M. Imaging of burned-out testis tumor: Five new cases and review of the literature. J. Ultrasound Med. 2003, 22, 515–521. [Google Scholar] [CrossRef] [PubMed]
- Gurioli, A.; Oderda, M.; Vigna, D.; Peraldo, F.; Giona, S.; Soria, F.; Cassenti, A.; Pacchioni, D.; Gontero, P. Two cases of retroperitoneal metastasis from a completely regressed burned-out testicular cancer. Urologia 2013, 80, 74–79. [Google Scholar] [CrossRef] [PubMed]
- Peroux, E.; Thome, A.; Geffroy, Y.; Guema, B.N.; Arnaud, F.X.; Teriitehau, C.A.; Baccialone, J.; Potet, J. Burned-out tumour: A case report. Diagn. Interv. Imaging 2012, 93, 796–798. [Google Scholar] [CrossRef][Green Version]
- Deganello, A.; Svasti-Salee, D.; Allen, P.; Clarke, J.L.; Sellars, M.E.K.; Sidhu, P.S. Scrotal calcification in a symptomatic paediatric population: Prevalence, location, and appearance in a cohort of 516 patients. Clin. Radiol. 2012, 67, 862–867. [Google Scholar] [CrossRef]
- Desmousseaux, T.; Arama, E.; Maxwell, F.; Ferlicot, S.; Hani, C.; Fizazi, K.; Lebacle, C.; Loriot, Y.; Boumerzoug, M.; Cohen, J.; et al. Ultrasound and Magnetic Resonance Imaging of Burned-Out Testicular Tumours: The Diagnostic Keys Based on 48 Cases. Cancers 2022, 14, 4013. [Google Scholar] [CrossRef] [PubMed]



| Macrocalcification | N = 42 | (%) |
|---|---|---|
| Left | 20 | (47.6) |
| Right | 16 | (38.1) |
| Bilat | 6 | (14.3) |
| Microlithiasis (n = 22) | ||
| Left | 3 | (13.6%) |
| Right | 8 | (36.4%) |
| Bilat | 11 | (50.0%) |
| Testicular tumors (n = 6) | ||
| Seminoma | 2 | (33.3%) |
| Non-Seminoma | 4 | (66.7%) |
| Id | Patient Age | Macrocalcifications | Side | Microlithiasis | Testicular<Cancer | Other <Findings |
|---|---|---|---|---|---|---|
| 1 | 41 | 1 | Left | Bilat | No | Spermatocele |
| 2 | 47 | 4 | Left | Right | No | Bilat hydrocele |
| 3 | 38 | 10 | Right | Bilat | No | Varicocele (left) |
| 4 | 73 | 1 | Left | Bilat | No | Varicocele (left) |
| 5 | 51 | Numerous | Bilat | Bilat | No | Varicocele (left) |
| 6 | 37 | 1 | Right | - | No | Spermatocele (left) |
| 7 | 57 | 1 | Left | - | No | Bilat varicocele, bilat spermatocele, lesion |
| 8 | 27 | Numerous | Bilat | Bilat | No | Hyperechoic area 5 mm |
| 9 | 36 | 1 | Left | - | Mixed tumor 1 | Bilat hydrocele, tumor |
| 10 | 39 | Numerous | Left | Left | Seminoma | Varicocele (left), tumor (left) |
| 11 | 67 | 1 | Left | Right | No <(biopsy normal) | Tumor (left) |
| 12 | 38 | Few | Left | - | No | Funiculitis/inflammation of spermatic cord |
| 13 | 24 | Few | Bilat | - | No | Spermatocele (right) |
| 14 | 54 | 1 | Left | - | No | Sequelae recent epididymitis |
| 15 | 36 | 1 | Right | Bilat | No | Bilat spermatocele |
| 16 | 65 | Few | Right | Right | No | Bilat spermatocele, varicocele (left) |
| 17 | 89 | 1 | Right | - | No | Bilat spermatocele, bilat varicocele |
| 18 | 68 | 1 | Left | Right | No | Sequalae after testis surgery |
| 19 | 32 | 1 | Left | Bilat | No | Normal appearance |
| 20 | 53 | 1 | Right | - | No | Bilat varicocele |
| 21 | 43 | 2 | Bilat | Right | No | Hydrocele (left) |
| 22 | 29 | 1 | Right | Right | No | Spermatocele (right) |
| 23 | 56 | 1 | Left | - | No | Hydrocele (left) varicocele (left) |
| 24 | 64 | 1 | Right | Bilat | No | Varicocele (right) |
| 25 | 17 | 1 | Left | - | No | Calcification in tunica vaginalis |
| 26 | 48 | 1 | Right | Right | No | Varicocele (right), spermatocele (left) |
| 27 | 28 | 1 | Left | - | No | Spermatocele (left), hydrocele (left) |
| 28 | 50 | 1 | Right | Bilat | No | Kidney lipoma (right) |
| 29 | 70 | 1 | Left | - | No | Spermatocele (right) |
| 30 | 23 | 1 | Right | Left | Mixed tumor 2 | tumor (right) |
| 31 | 51 | Few | Bilat | - | No | Varicocele (right) |
| 32 | 35 | 1 | Right | - | No | Hydrocele (right) |
| 33 | 78 | Few | Left | Left | No | Hydrocele (bilat), spermatocele (left) |
| 34 | 57 | Few | Left | Bilat | No | Bilat varicocele, bilat atrophic testicles |
| 35 | 22 | Few | Bilat | - | No | Hydrocele (left) |
| 36 | 23 | Few | Right | Right | Embryonal carcinoma | Lesion or tumor (right) |
| 37 | 46 | Few | Left | - | Embryonal carcinoma | Lesion or tumor (sin) |
| 38 | 28 | 1 | Right | Bilat | no | Spermatocele (left), cyst (right) |
| 39 | 39 | 1 | Left | - | no | Spermatocele (right) |
| 40 | 61 | 1 | Left | - | No | Sequalae after vasectomy, |
| 41 | 41 | 1 | Right | - | Seminoma | Spermatocele (right), cyst (right) |
| 42 | 36 | 1 | Right | - | No | Lesion (right), varicocele (left) |
Disclaimer/Publisher’s Note: The statements, opinions and data contained in all publications are solely those of the individual author(s) and contributor(s) and not of MDPI and/or the editor(s). MDPI and/or the editor(s) disclaim responsibility for any injury to people or property resulting from any ideas, methods, instructions or products referred to in the content. |
© 2025 by the authors. Licensee MDPI, Basel, Switzerland. This article is an open access article distributed under the terms and conditions of the Creative Commons Attribution (CC BY) license (https://creativecommons.org/licenses/by/4.0/).
Share and Cite
Pedersen, M.R.V.; Toft, D.M.; Lindebjerg, J.; Rafaelsen, S.R.; Lildal, S.K. An Insight into Testicular Macrocalcification—A Retrospective Study of 42 Cases on a Rare Sonographic Finding. Life 2025, 15, 205. https://doi.org/10.3390/life15020205
Pedersen MRV, Toft DM, Lindebjerg J, Rafaelsen SR, Lildal SK. An Insight into Testicular Macrocalcification—A Retrospective Study of 42 Cases on a Rare Sonographic Finding. Life. 2025; 15(2):205. https://doi.org/10.3390/life15020205
Chicago/Turabian StylePedersen, Malene Roland Vils, Ditte Marie Toft, Jan Lindebjerg, Søren Rafael Rafaelsen, and Søren Kissow Lildal. 2025. "An Insight into Testicular Macrocalcification—A Retrospective Study of 42 Cases on a Rare Sonographic Finding" Life 15, no. 2: 205. https://doi.org/10.3390/life15020205
APA StylePedersen, M. R. V., Toft, D. M., Lindebjerg, J., Rafaelsen, S. R., & Lildal, S. K. (2025). An Insight into Testicular Macrocalcification—A Retrospective Study of 42 Cases on a Rare Sonographic Finding. Life, 15(2), 205. https://doi.org/10.3390/life15020205

