A Rare Case of Neonatal Desmoid Tumor Leading to Severe Aortic Coarctation: Review of Literature and Case Report
Abstract
1. Introduction
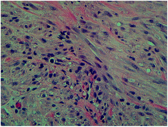
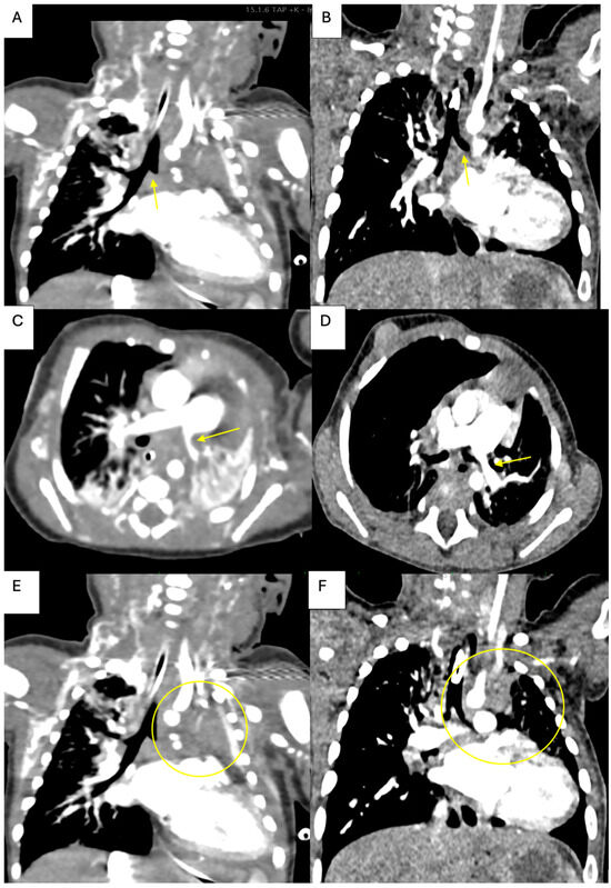
2. Case Presentation
2.1. Surgical Technique
2.2. Postoperative Management
3. Review
3.1. Surgery Compared to Observation
3.2. Nonsurgical Strategies
3.3. Particularities of Treatment of Aortic Coarctations in Newborn
4. Conclusions
Author Contributions
Funding
Informed Consent Statement
Data Availability Statement
Conflicts of Interest
References
- Reitamo, J.J.; Scheinin, T.M.; Häyry, P. The desmoid syndrome. New aspects in the cause, pathogenesis and treatment of the desmoid tumor. Am. J. Surg. 1986, 151, 230–237. [Google Scholar] [CrossRef]
- Honeyman, J.N.; Quaglia, M.P. Desmoid tumors in the pediatric population. Cancers 2012, 4, 295–306. [Google Scholar] [CrossRef] [PubMed] [PubMed Central]
- Endara, S.A.; Dávalos, G.A.; Molina, G.A.; Armijos, C.A.; Narvaez, D.S.; Montalvo, N. Case Report: Desmoid fibromatosis in the mediastinum of a 6-month-old toddler, what to do? Front. Surg. 2023, 9, 1007760. [Google Scholar] [CrossRef] [PubMed] [PubMed Central]
- Nadbrzeżna, D.; Raźnikiewicz, A.; Grabowski, A.; Korlacki, W.; Szczepański, T.; Bulsa, J.; Walaszczyk, M. A rare case of mediastinal fibromatosis in a child—Case report. Pediatr. Pol.—Pol. J. Paediatr. 2019, 94, 328–331. [Google Scholar] [CrossRef]
- Meyerson, S.L.; D’Amico, T.A. Intrathoracic desmoid tumor: Brief report and review of literature. J. Thorac. Oncol. 2008, 3, 656–659. [Google Scholar] [CrossRef] [PubMed]
- Penel, N.; Le Cesne, A.; Bonvalot, S.; Giraud, A.; Bompas, E.; Rios, M.; Salas, S.; Isambert, N.; Boudou-Rouquette, P.; Honore, C.; et al. Surgical versus non-surgical approach in primary desmoid-type fibromatosis patients: A nationwide prospective cohort from the French Sarcoma Group. Eur. J. Cancer 2017, 83, 125–131. [Google Scholar] [CrossRef]
- Penel, N.; Coindre, J.M.; Bonvalot, S.; Italiano, A.; Neuville, A.; Le Cesne, A.; Terrier, P.; Ray-Coquard, I.; Ranchere-Vince, D.; Robin, Y.M.; et al. Management of desmoid tumours: A nationwide survey of labelled reference centre networks in France. Eur. J. Cancer 2016, 58, 90–96. [Google Scholar] [CrossRef] [PubMed]
- Kasper, B.; Ströbel, P.; Hohenberger, P. Desmoid tumors: Clinical features and treatment options for advanced disease. Oncologist 2011, 16, 682–693. [Google Scholar] [CrossRef] [PubMed]
- Kasper, B.; Raut, C.P.; Gronchi, A. Desmoid tumors: To treat or not to treat, That is the question. Cancer 2020, 126, 5213–5221. [Google Scholar] [CrossRef] [PubMed]
- Dorobantu, L.F.; Stiru, O.; Prodea, A.; Cioranu, R.; Georgescu, A.; Filipescu, D.; Iliescu, V.A. Unique case of primary malignant fibrous histiocytoma of the right ventricle with moderator band involvement. Heart Surg. Forum 2011, 14, E245–E248. [Google Scholar] [CrossRef]
- Gupta, S.; Ray, U.; Chatterjee, S.; Kumar, S.; Satapathy, A.; Chatterjee, S.; Choudhury, T.K. Sporadic intra-abdominal desmoid: A rare presentation as a hepatic mass. Case Rep. Pathol. 2012, 2012, 245671. [Google Scholar] [CrossRef] [PubMed] [PubMed Central][Green Version]
- Kocak, Z.; Adli, M.; Erdir, O.; Erekul, S.; Cakmak, A. Intrathoracic desmoid tumor of the posterior mediastinum with transdiaphragmatic extension. Report of a case. Tumori 2000, 86, 489–491. [Google Scholar] [CrossRef] [PubMed]
- Takeshima, Y.; Nakayori, F.; Nakano, T.; Shimizu, K.; Yamashita, Y.; Toge, T.; Inai, K. Extra-abdominal desmoid tumor presenting as an intrathoracic tumor: Case report and literature review. Pathol. Int. 2001, 51, 824–828. [Google Scholar] [CrossRef] [PubMed]
- Murakawa, T.; Fukami, T.; Nakajima, J.; Takamoto, S. Chest wall desmoid tumor with life-threatening intrathoracic extension. Eur. J. Cardiothorac. Surg. 2009, 35, 538. [Google Scholar] [CrossRef] [PubMed]
- Hashizume, T.; Ishimoto, Y.; Yamamoto, J.; Shimanouchi, M.; Tamura, M.; Nishimura, Y.; Fukai, S.; Morishita, Y. Extraabdominal desmoid tumor of the chest wall. Kyobu Geka. Jpn. J. Thorac. Surg. 2007, 60, 198–201. [Google Scholar]
- Sakamoto, K.; Okita, M.; Takeuchi, K.; Nishida, S.; Mikami, Y.; Hayashi, Y. Desmoid tumor of the chest wall infiltrating into the brachial plexus: Report of a resected case. Kyobu Geka. Jpn. J. Thorac. Surg. 2001, 54, 160–163. [Google Scholar]
- Kaplan, J.; Davidson, T. Intrathoracic desmoids: Report of two cases. Thorax 1986, 41, 894–895. [Google Scholar] [CrossRef] [PubMed] [PubMed Central][Green Version]
- Brown, M.L.; Burkhart, H.M.; Connolly, H.M.; Dearani, J.A.; Cetta, F.; Li, Z.; Schaff, H.V. Late outcomes of resection versus patch aortoplasty for coarctation of the aorta in infants and children. Ann. Thorac. Surg. 2009, 88, 1927–1933. [Google Scholar] [CrossRef]
- Tulin, R.; Geana, R.C.; Robu, M.; Iliescu, V.A.; Stiru, O.; Nayyerani, R.; Chibulcutean, A.S.; Bacalbasa, N.; Balescu, I.; Tulin, A.; et al. Predictors of Late Mortality in Patients With Surgically Resected Cardiac Myxomas: A Single-Center Experience. Cureus 2022, 14, e20866. [Google Scholar] [CrossRef] [PubMed] [PubMed Central]
- Robu, M.; Marian, D.R.; Lazăr, E.; Radu, R.; Boroș, C.; Sibișan, A.; Voica, C.; Broască, M.; Gheorghiță, D.; Moldovan, H.; et al. Open Coronary Endarterectomy of Left Anterior Descending Artery-Case Report and Review of Literature. J. Cardiovasc. Dev. Dis. 2022, 9, 83. [Google Scholar] [CrossRef] [PubMed] [PubMed Central]
- Savu, C.; Melinte, A.; Diaconu, C.; Stiru, O.; Gherghiceanu, F.; Tudorica, Ș.D.O.; Dumitrașcu, O.C.; Bratu, A.; Balescu, I.; Bacalbasa, N. Lung neuroendocrine tumors: A systematic literature review (Review). Exp. Ther. Med. 2022, 23, 176. [Google Scholar] [CrossRef] [PubMed] [PubMed Central]
- Salas, S.; Dufresne, A.; Bui, B.; Blay, J.Y.; Terrier, P.; Ranchere-Vince, D.; Bonvalot, S.; Stoeckle, E.; Guillou, L.; Le Cesne, A.; et al. Prognostic factors influencing progression-free survival determined from a series of sporadic desmoid tumors: A wait-and-see policy according to tumor presentation. J. Clin. Oncol. 2011, 29, 3553–3558. [Google Scholar] [CrossRef]
- Bonvalot, S.; Ternès, N.; Fiore, M.; Bitsakou, G.; Colombo, C.; Honoré, C.; Marrari, A.; Le Cesne, A.; Perrone, F.; Dunant, A.; et al. Spontaneous regression of primary abdominal wall desmoid tumors: More common than previously thought. Ann. Surg. Oncol. 2013, 20, 4096–4102. [Google Scholar] [CrossRef] [PubMed]
- Colombo, C.; Miceli, R.; Le Péchoux, C.; Palassini, E.; Honoré, C.; Stacchiotti, S.; Mir, O.; Casali, P.G.; Dômont, J.; Fiore, M.; et al. Sporadic extra abdominal wall desmoid-type fibromatosis: Surgical resection can be safely limited to a minority of patients. Eur. J. Cancer 2015, 51, 186–192. [Google Scholar] [CrossRef] [PubMed]
- Park, J.S.; Nakache, Y.P.; Katz, J.; Boutin, R.D.; Steffner, R.J.; Monjazeb, A.M.; Canter, R.J. Conservative management of desmoid tumors is safe and effective. J. Surg. Res. 2016, 205, 115–120. [Google Scholar] [CrossRef]
- Nieuwenhuis, M.H.; Mathus-Vliegen, E.M.; Baeten, C.G.; Nagengast, F.M.; Van Der Bijl, J.; Van Dalsen, A.D.; Kleibeuker, J.H.; Dekker, E.D.; Langers, A.M.; Vecht, J.; et al. Evaluation of management of desmoid tumours associated with familial adenomatous polyposis in Dutch patients. Br. J. Cancer 2011, 104, 37–42. [Google Scholar] [CrossRef] [PubMed]
- Desmoid Tumor Working Group. The management of desmoid tumours: A joint global consensus-based guideline approach for adult and paediatric patients. Eur. J. Cancer 2020, 127, 96–107. [Google Scholar] [CrossRef]
- Soto-Miranda, M.A.; Sandoval, J.A.; Rao, B.; Neel, M.; Krasin, M.; Spunt, S.; Jenkins, J.J.; Davidoff, A.M.; Ver Halen, J.P. Surgical treatment of pediatric desmoid tumors. A 12-year, single-center experience. Ann. Surg. Oncol. 2013, 20, 3384–3390. [Google Scholar] [CrossRef]
- Mullen, J.T.; DeLaney, T.F.; Kobayashi, W.K.; Szymonifka, J.; Yeap, B.Y.; Chen, Y.L.; Rosenberg, A.E.; Harmon, D.C.; Choy, E.; Yoon, S.S.; et al. Desmoid tumor: Analysis of prognostic factors and outcomes in a surgical series. Ann. Surg. Oncol. 2012, 19, 4028–4035. [Google Scholar] [CrossRef] [PubMed]
- Huang, K.; Fu, H.; Shi, Y.Q.; Zhou, Y.; Du, C.Y. Prognostic factors for extra-abdominal and abdominal wall desmoids: A 20-year experience at a single institution. J. Surg. Oncol. 2009, 100, 563–569. [Google Scholar] [CrossRef]
- Faulkner, L.B.; Hajdu, S.I.; Kher, U.; La Quaglia, M.; Exelby, P.R.; Heller, G.; Wollner, N. Pediatric desmoid tumor: Retrospective analysis of 63 cases. J. Clin. Oncol. 1995, 13, 2813–2818. [Google Scholar] [CrossRef] [PubMed]
- Baumert, B.G.; Spahr, M.O.; Hochstetter, A.V.; Beauvois, S.; Landmann, C.; Fridrich, K.; Villà, S.; Kirschner, M.J.; Storme, G.; Thum, P.; et al. The impact of radiotherapy in the treatment of desmoid tumours. An international survey of 110 patients. A study of the Rare Cancer Network. Radiat. Oncol. 2007, 2, 12. [Google Scholar] [CrossRef]
- Gluck, I.; Griffith, K.A.; Biermann, J.S.; Feng, F.Y.; Lucas, D.R.; Ben-Josef, E. Role of radiotherapy in the management of desmoid tumors. Int. J. Radiat. Oncol. Biol. Phys. 2011, 80, 787–792. [Google Scholar] [CrossRef]
- Pignatti, G.; Barbanti-Brodano, G.; Ferrari, D.; Gherlinzoni, F.; Bertoni, F.; Bacchini, P.; Barbieri, E.; Giunti, A.; Campanacci, M. Extraabdominal desmoid tumor. A study of 83 cases. Clin. Orthop. Relat. Res. 2000, 375, 207–213. [Google Scholar] [CrossRef]
- Robu, M.; Marian, D.R.; Vasile, R.; Radulescu, B.; Stegaru, A.; Voica, C.; Nica, C.; Gheorghita, D.; Zaharia, O.; Iulian, A.; et al. Delayed Surgical Management of Acute Type A Aortic Dissection in a Patient with Recent COVID-19 Infection and Post-COVID-19 Bronchopneumonia-Case Report and Review of Literature. Medicina 2022, 58, 1357. [Google Scholar] [CrossRef] [PubMed]
- Guadagnolo, B.A.; Zagars, G.K.; Ballo, M.T. Long-term outcomes for desmoid tumors treated with radiation therapy. Int. J. Radiat. Oncol. Biol. Phys. 2008, 71, 441–447. [Google Scholar] [CrossRef] [PubMed]
- Spear, M.A.; Jennings, L.C.; Mankin, H.J.; Spiro, I.J.; Springfield, D.S.; Gebhardt, M.C.; Rosenberg, A.E.; Efird, J.T.; Suit, H.D. Individualizing management of aggressive fibromatoses. Int. J. Radiat. Oncol. Biol. Phys. 1998, 40, 637–645. [Google Scholar] [CrossRef]
- Acker, J.C.; Bossen, E.H.; Halperin, E.C. The management of desmoid tumors. Int. J. Radiat. Oncol. Biol. Phys. 1993, 26, 851–858. [Google Scholar] [CrossRef]
- Fiore, M.; Colombo, C.; Radaelli, S.; Callegaro, D.; Palassini, E.; Barisella, M.; Morosi, C.; Baldi, G.G.; Stacchiotti, S.; Casali, P.G.; et al. Hormonal manipulation with toremifene in sporadic desmoid-type fibromatosis. Eur. J. Cancer 2015, 51, 2800–2807. [Google Scholar] [CrossRef]
- Hansmann, A.; Adolph, C.; Vogel, T.; Unger, A.; Moeslein, G. High-dose tamoxifen and sulindac as first-line treatment for desmoid tumors. Cancer 2004, 100, 612–620. [Google Scholar] [CrossRef]
- Filip, C.; Cirstoveanu, C.; Bizubac, M.; Berghea, E.C.; Căpitănescu, A.; Bălgrădean, M.; Pavelescu, C.; Nicolescu, A.; Ionescu, M.D. Pulse Wave Velocity as a Marker of Vascular Dysfunction and Its Correlation with Cardiac Disease in Children with End-Stage Renal Disease (ESRD). Diagnostics 2021, 12, 71. [Google Scholar] [CrossRef]
- Skapek, S.X.; Anderson, J.R.; Hill, D.A.; Henry, D.; Spunt, S.L.; Meyer, W.; Kao, S.; Hoffer, F.A.; Grier, H.E.; Hawkins, D.S.; et al. Safety and efficacy of high-dose tamoxifen and sulindac for desmoid tumor in children: Results of a Children’s Oncology Group (COG) phase II study. Pediatr. Blood Cancer 2013, 60, 1108–1112. [Google Scholar] [CrossRef]
- Chugh, R.; Wathen, J.K.; Patel, S.R.; Maki, R.G.; Meyers, P.A.; Schuetze, S.M.; Priebat, D.A.; Thomas, D.G.; Jacobson, J.A.; Samuels, B.L.; et al. Efficacy of imatinib in aggressive fibromatosis: Results of a phase II multicenter Sarcoma Alliance for Research through Collaboration (SARC) trial. Clin. Cancer Res. 2010, 16, 4884–4891. [Google Scholar] [CrossRef] [PubMed]
- Penel, N.; Le Cesne, A.; Bui, B.N.; Perol, D.; Brain, E.G.; Ray-Coquard, I.; Guillemet, C.; Chevreau, C.; Cupissol, D.; Chabaud, S.; et al. Imatinib for progressive and recurrent aggressive fibromatosis (desmoid tumors): An FNCLCC/French Sarcoma Group phase II trial with a long-term follow-up. Ann. Oncol. 2011, 22, 452–457. [Google Scholar] [CrossRef] [PubMed]
- Kasper, B.; Gruenwald, V.; Reichardt, P.; Bauer, S.; Rauch, G.; Limprecht, R.; Sommer, M.; Dimitrakopoulou-Strauss, A.; Pilz, L.; Haller, F.; et al. Imatinib induces sustained progression arrest in RECIST progressive desmoid tumours: Final results of a phase II study of the German Interdisciplinary Sarcoma Group (GISG). Eur. J. Cancer 2017, 76, 60–67. [Google Scholar] [CrossRef]
- Gounder, M.M.; Lefkowitz, R.A.; Keohan, M.L.; D’Adamo, D.R.; Hameed, M.; Antonescu, C.R.; Singer, S.; Stout, K.; Ahn, L.; Maki, R.G. Activity of Sorafenib against desmoid tumor/deep fibromatosis. Clin. Cancer Res. 2011, 17, 4082–4090. [Google Scholar] [CrossRef] [PubMed]
- Toulmonde, M.; Pulido, M.; Ray-Coquard, I.; André, T.; Isambert, N.; Chevreau, C.; Penel, N.; Bompas, E.; Saâda, E.; Bertucci, F.; et al. Pazopanib or methotrexate-vinblastine combination chemotherapy in adult patients with progressive desmoid tumours (DESMOPAZ): A non-comparative, randomised, open-label, multicentre, phase 2 study. Lancet Oncol. 2019, 20, 1263–1272. [Google Scholar] [CrossRef] [PubMed]
- Azzarelli, A.; Gronchi, A.; Bertulli, R.; Tesoro Tess, J.D.; Baratti, D.; Pennacchioli, E.; Dileo, P.; Rasponi, A.; Ferrari, A.; Pilotti, S.; et al. Low-dose chemotherapy with methotrexate and vinblastine for patients with advanced aggressive fibromatosis. Cancer 2001, 92, 1259–1264. [Google Scholar] [CrossRef]
- Skapek, S.X.; Ferguson, W.S.; Granowetter, L.; Devidas, M.; Perez-Atayde, A.R.; Dehner, L.P.; Hoffer, F.A.; Speights, R.; Gebhardt, M.C.; Dahl, G.V.; et al. Vinblastine and methotrexate for desmoid fibromatosis in children: Results of a Pediatric Oncology Group Phase II Trial. J. Clin. Oncol. 2007, 25, 501–506. [Google Scholar] [CrossRef] [PubMed]
- De Camargo, V.P.; Keohan, M.L.; D’Adamo, D.R.; Antonescu, C.R.; Brennan, M.F.; Singer, S.; Ahn, L.S.; Maki, R.G. Clinical outcomes of systemic therapy for patients with deep fibromatosis (desmoid tumor). Cancer 2010, 116, 2258–2265. [Google Scholar] [CrossRef]
- Garbay, D.; Le Cesne, A.; Penel, N.; Chevreau, C.; Marec-Berard, P.; Blay, J.Y.; Debled, M.; Isambert, N.; Thyss, A.; Bompas, E.; et al. Chemotherapy in patients with desmoid tumors: A study from the French Sarcoma Group (FSG). Ann. Oncol. 2012, 23, 182–186. [Google Scholar] [CrossRef] [PubMed]
- Jo, V.Y.; Fletcher, C.D. WHO classification of soft tissue tumours: An update based on the 2013 (4th) edition. Pathology 2014, 46, 95–104. [Google Scholar] [CrossRef] [PubMed]
- Spătaru, R.I.; Cîrstoveanu, C.; Iozsa, D.A.; Enculescu, A.; Tomescu, L.F.; Șerban, D. Lipoblastoma: Diagnosis and surgical considerations. Exp. Ther. Med. 2021, 22, 903. [Google Scholar] [CrossRef] [PubMed] [PubMed Central]
- McElhinney, D.B.; Yang, S.G.; Hogarty, A.N.; Reddy, V.M.; Moore, P. Reintervention for coarctation of the aorta in infants: Balloon angioplasty versus surgery. J. Am. Coll. Cardiol. 2005, 45, 1040–1046. [Google Scholar] [CrossRef]
- Turner, D.R.; Berman, D.P.; Keller, M.S.; Vincent, J.A. Contemporary outcomes of balloon angioplasty and stenting for native coarctation of the aorta in neonates and infants. Catheter. Cardiovasc. Interv. 2016, 87, 1101–1111. [Google Scholar] [CrossRef]
- Stiru, O.; Gorduza, E.V.; Dorobantu, F.L.; Parasca, C.A.; Chioncel, O.; Turconi, S.B.; Filipescu, D.C.; Iliescu, V.A. Surgical Management of Type A Acute Aortic Dissection in Patients With Marfan Syndrome: A Single Center Experience. Rev. Med. Chir. Soc. Med. Nat. Iasi 2016, 120, 611–618. [Google Scholar]






| Age/Sex | Year | Primary Location | Extension | Management | |
|---|---|---|---|---|---|
| Gupta et al. [11] | 36 years/female | 2005 | Posterior mediastinum | Left lower pulmonary lobe | Resection |
| Meyerson et al. [12] | 5–66 years | 2008 | 12 cases Intrapleural and 10 cases in the medisatinum | NS | Resection |
| Kocak et al. [13] | 40 years/male | 2000 | Posterior mediastinum | Transdiaphragmatic extension | Inoperable |
| Takeshima et al. [14] | 46 years/female | 2001 | Left chest wall | Pleural cavity | Resection |
| Murakava et al. [15] | 39years/women | 2008 | Chest wall | NS | Resection |
| Hashizume et al. [16] | 75 years/women | 2007 | Chest wall | NS | Resection |
| Sakamoto et al. [17] | 18 years/female | 2001 | Apex of the chest wall | Brachial plexus | Resection |
| Kaplan et al. [18] | 18 years/male | 1986 | Right lung | Esophagus and diaphragm | Resection |
Disclaimer/Publisher’s Note: The statements, opinions and data contained in all publications are solely those of the individual author(s) and contributor(s) and not of MDPI and/or the editor(s). MDPI and/or the editor(s) disclaim responsibility for any injury to people or property resulting from any ideas, methods, instructions or products referred to in the content. |
© 2025 by the authors. Licensee MDPI, Basel, Switzerland. This article is an open access article distributed under the terms and conditions of the Creative Commons Attribution (CC BY) license (https://creativecommons.org/licenses/by/4.0/).
Share and Cite
Margarint, I.M.; Youssef, T.; Filip, C.; Bizubac, A.-M.; Popescu, A.; Rotaru, I.; Untaru, O.; Manolache, S.; Iliescu, V.A.; Vladareanu, R. A Rare Case of Neonatal Desmoid Tumor Leading to Severe Aortic Coarctation: Review of Literature and Case Report. Life 2025, 15, 123. https://doi.org/10.3390/life15010123
Margarint IM, Youssef T, Filip C, Bizubac A-M, Popescu A, Rotaru I, Untaru O, Manolache S, Iliescu VA, Vladareanu R. A Rare Case of Neonatal Desmoid Tumor Leading to Severe Aortic Coarctation: Review of Literature and Case Report. Life. 2025; 15(1):123. https://doi.org/10.3390/life15010123
Chicago/Turabian StyleMargarint, Irina Maria, Tammam Youssef, Cristina Filip, Ana-Mihaela Bizubac, Alexandru Popescu, Iulian Rotaru, Olguta Untaru, Stefan Manolache, Vlad Anton Iliescu, and Radu Vladareanu. 2025. "A Rare Case of Neonatal Desmoid Tumor Leading to Severe Aortic Coarctation: Review of Literature and Case Report" Life 15, no. 1: 123. https://doi.org/10.3390/life15010123
APA StyleMargarint, I. M., Youssef, T., Filip, C., Bizubac, A.-M., Popescu, A., Rotaru, I., Untaru, O., Manolache, S., Iliescu, V. A., & Vladareanu, R. (2025). A Rare Case of Neonatal Desmoid Tumor Leading to Severe Aortic Coarctation: Review of Literature and Case Report. Life, 15(1), 123. https://doi.org/10.3390/life15010123

