The RING-Type E3 Ligase BOI Interacts with EXO70E2 and Mediates Its Ubiquitination in Arabidopsis
Abstract
1. Introduction
2. Results
2.1. EXO70E2 Interacts with BOI In Vivo and In Vitro
2.2. The Protein Level of EXO70E2 Is Negatively Regulated by BOI
2.3. The C-Terminal of BOI Is Crucial for the Degradation of EXO70E
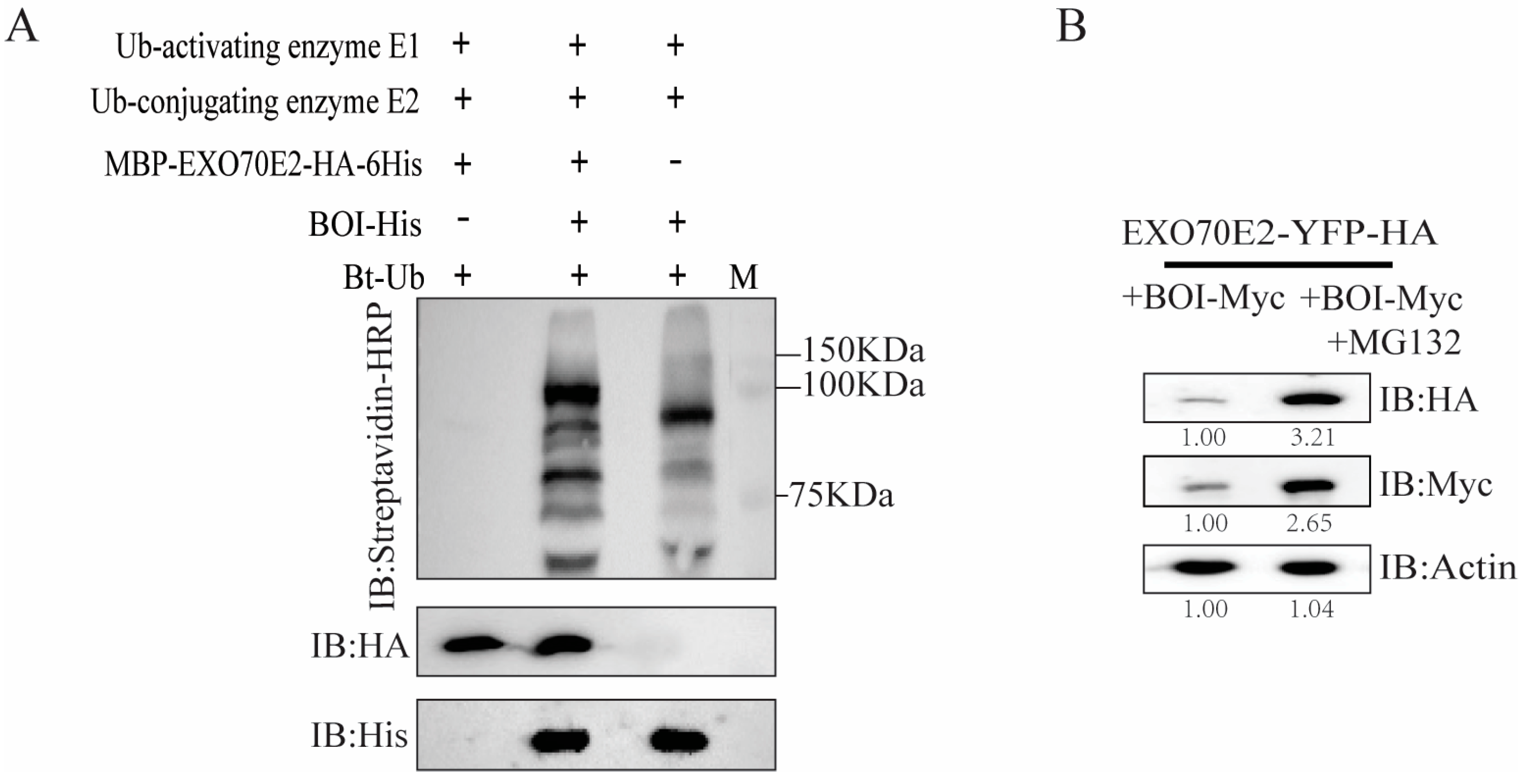
2.4. EXO70E2 Is Ubiquitinated by BOI In Vitro
3. Discussion
4. Materials and Methods
4.1. Plant Materials and Growth Conditions
4.2. Transient Expression Analysis in N. benthamiana
4.3. Vector Construction
4.4. Immunoblotting Assay
4.5. Nuclear–Cytoplasmic Protein Fractionation Assay
4.6. Yeast Two-Hybrid Assay
4.7. Pull-Down Assay
4.8. Bimolecular Fluorescence Complementation (BIFC) Assay
4.9. Ubiquitination Assay
5. Conclusions
Supplementary Materials
Author Contributions
Funding
Data Availability Statement
Conflicts of Interest
References
- Guan, W.; Feng, J.; Wang, R.; Ma, Z.; Wang, W.; Wang, K.; Zhu, T. Functional analysis of the exocyst subunit BcExo70 in Botrytis cinerea. Curr. Genet. 2020, 66, 85–95. [Google Scholar] [CrossRef] [PubMed]
- Markovic, V.; Kulich, I.; Zarsky, V. Functional Specialization within the EXO70 Gene Family in Arabidopsis. Int. J. Mol. Sci. 2021, 22, 7595. [Google Scholar] [CrossRef] [PubMed]
- Chong, Y.T.; Gidda, S.K.; Sanford, C.; Parkinson, J.; Mullen, R.T.; Goring, D.R. Characterization of the Arabidopsis thaliana exocyst complex gene families by phylogenetic, expression profiling, and subcellular localization studies. New Phytol. 2010, 185, 401–419. [Google Scholar] [CrossRef] [PubMed]
- Zhao, J.; Zhang, X.; Wan, W.; Zhang, H.; Liu, J.; Li, M.; Wang, H.; Xiao, J.; Wang, X. Identification and Characterization of the EXO70 Gene Family in Polyploid Wheat and Related Species. Int. J. Mol. Sci. 2018, 20, 60. [Google Scholar] [CrossRef]
- Hong, D.; Jeon, B.W.; Kim, S.Y.; Hwang, J.U.; Lee, Y. The ROP2-RIC7 pathway negatively regulates light-induced stomatal opening by inhibiting exocyst subunit Exo70B1 in Arabidopsis. New Phytol. 2016, 209, 624–635. [Google Scholar] [CrossRef]
- Drdová, E.J.; Synek, L.; Pečenková, T.; Hála, M.; Kulich, I.; Fowler, J.E.; Murphy, A.S.; Žárský, V. The exocyst complex contributes to PIN auxin efflux carrier recycling and polar auxin transport in Arabidopsis. Plant J. 2013, 73, 709–719. [Google Scholar] [CrossRef]
- Beuder, S.; Dorchak, A.; Bhide, A.; Moeller, S.R.; Petersen, B.L.; MacAlister, C.A. Exocyst mutants suppress pollen tube growth and cell wall structural defects of hydroxyproline O-arabinosyltransferase mutants. Plant J. 2020, 103, 1399–1419. [Google Scholar] [CrossRef] [PubMed]
- Lombardi, M.; Bellucci, M.; Cimini, S.; Locato, V.; Loreto, F.; De Gara, L. Exploring Natural Variations in Arabidopsis thaliana: Plant Adaptability to Salt Stress. Plants 2024, 13, 1069. [Google Scholar] [CrossRef]
- Zarsky, V.; Sekeres, J.; Kubatova, Z.; Pecenkova, T.; Cvrckova, F. Three subfamilies of exocyst EXO70 family subunits in land plants: Early divergence and ongoing functional specialization. J. Exp. Bot. 2020, 71, 49–62. [Google Scholar]
- Kulich, I.; Pečenková, T.; Sekereš, J.; Smetana, O.; Fendrych, M.; Foissner, I.; Höftberger, M.; Žárský, V. Arabidopsis Exocyst Subcomplex Containing Subunit EXO70B1 Is Involved in Autophagy-Related Transport to the Vacuole. Traffic 2013, 14, 1155–1165. [Google Scholar] [CrossRef]
- Pečenková, T.; Hála, M.; Kulich, I.; Kocourková, D.; Drdová, E.; Fendrych, M.; Toupalová, H.; Žárský, V. The role for the exocyst complex subunits Exo70B2 and Exo70H1 in the plant–pathogen interaction. J. Exp. Bot. 2011, 62, 2107–2116. [Google Scholar] [CrossRef] [PubMed]
- Stegmann, M.; Anderson, R.G.; Ichimura, K.; Pecenkova, T.; Reuter, P.; Žárský, V.; McDowell, J.M.; Shirasu, K.; Trujillo, M. The Ubiquitin Ligase PUB22 Targets a Subunit of the Exocyst Complex Required for PAMP-Triggered Responses in Arabidopsis. Plant Cell 2012, 24, 4703–4716. [Google Scholar] [CrossRef] [PubMed]
- Robinson, D.G.; Ding, Y.; Jiang, L. Unconventional protein secretion in plants: A critical assessment. Protoplasma 2016, 253, 31–43. [Google Scholar] [CrossRef] [PubMed]
- Wu, X.; Huang, J.; Cao, Y.; Gao, Z. The resistance associated protein RIN4 promotes the extracellular transport of AtEXO70E2. Biochem. Biophys. Res. Commun. 2021, 555, 40–45. [Google Scholar] [CrossRef]
- Li, S.; van Os, G.M.A.; Ren, S.; Yu, D.; Ketelaar, T.; Emons, A.M.C.; Liu, C.-M. Expression and Functional Analyses of EXO70 Genes in Arabidopsis Implicate Their Roles in Regulating Cell Type-Specific Exocytosis. Plant Physiol. 2010, 154, 1819–1830. [Google Scholar] [CrossRef]
- Nguyen, K.T.; Park, J.; Park, E.; Lee, I.; Choi, G. The Arabidopsis RING Domain Protein BOI Inhibits Flowering via CO-dependent and CO-independent Mechanisms. Mol. Plant 2015, 8, 1725–1736. [Google Scholar] [CrossRef]
- Park, J.; Nguyen, K.T.; Park, E.; Jeon, J.-S.; Choi, G. DELLA Proteins and Their Interacting RING Finger Proteins Repress Gibberellin Responses by Binding to the Promoters of a Subset of Gibberellin-Responsive Genes in Arabidopsis. Plant Cell 2013, 25, 927–943. [Google Scholar] [CrossRef]
- Luo, H.; Laluk, K.; Lai, Z.; Veronese, P.; Song, F.; Mengiste, T. The Arabidopsis Botrytis Susceptible1 Interactor Defines a Subclass of RING E3 Ligases That Regulate Pathogen and Stress Responses. Plant Physiol. 2010, 154, 1766–1782. [Google Scholar] [CrossRef] [PubMed]
- Huang, J.; Wu, X.; Gao, Z. The RING-type protein BOI negatively regulates the protein level of a CC-NBS-LRR in Arabidopsis. Biochem. Biophys. Res. Commun. 2021, 578, 104–109. [Google Scholar] [CrossRef]
- Huang, J.; Wu, X.; Gao, Z. A nucleocytoplasmic-localized E3 ligase affects the NLR receptor stability. Biochem. Biophys. Res. Commun. 2021, 583, 1–6. [Google Scholar] [CrossRef]
- Rawat, A.; Brejšková, L.; Hála, M.; Cvrčková, F.; Žárský, V. The Physcomitrella patens exocyst subunit EXO70.3d has distinct roles in growth and development, and is essential for completion of the moss life cycle. New Phytol. 2017, 216, 438–454. [Google Scholar] [CrossRef] [PubMed]
- Elias, M.; Drdova, E.; Ziak, D.; Bavlnka, B.; Hala, M.; Cvrckova, F.; Soukupova, H.; Zarsky, V. The exocyst complex in plants. Cell Biol. Int. 2003, 27, 199–201. [Google Scholar] [CrossRef] [PubMed]
- Liu, D.; Li, X.; Shen, D.; Novick, P. Two subunits of the exocyst, Sec3p and Exo70p, can function exclusively on the plasma membrane. Mol. Biol. Cell 2018, 29, 736–750. [Google Scholar] [CrossRef] [PubMed]
- Bratzel, F.; López-Torrejón, G.; Koch, M.; Del Pozo, J.C.; Calonje, M. Keeping Cell Identity in Arabidopsis Requires PRC1 RING-Finger Homologs that Catalyze H2A Monoubiquitination. Curr. Biol. 2010, 20, 1853–1859. [Google Scholar] [CrossRef] [PubMed]
- Seo, D.H.; Ahn, M.Y.; Park, K.Y.; Kim, E.Y.; Kim, W.T. The N-Terminal UND Motif of the Arabidopsis U-Box E3 Ligase PUB18 Is Critical for the Negative Regulation of ABA-Mediated Stomatal Movement and Determines Its Ubiquitination Specificity for Exocyst Subunit Exo70B1. Plant Cell 2016, 28, 2952–2973. [Google Scholar] [CrossRef]
- Wang, W.; Liu, N.; Gao, C.; Rui, L.; Tang, D. The Pseudomonas Syringae Effector AvrPtoB Associates With and Ubiquitinates Arabidopsis Exocyst Subunit EXO70B1. Front. Plant Sci. 2019, 10, 1027. [Google Scholar] [CrossRef]
- Liu, X.; Liu, H.; Liu, W.C.; Gao, Z. The nuclear localized RIN13 induces cell death through interacting with ARF1. Biochem. Biophys. Res. Commun. 2020, 527, 124–130. [Google Scholar] [CrossRef]




Disclaimer/Publisher’s Note: The statements, opinions and data contained in all publications are solely those of the individual author(s) and contributor(s) and not of MDPI and/or the editor(s). MDPI and/or the editor(s) disclaim responsibility for any injury to people or property resulting from any ideas, methods, instructions or products referred to in the content. |
© 2024 by the authors. Licensee MDPI, Basel, Switzerland. This article is an open access article distributed under the terms and conditions of the Creative Commons Attribution (CC BY) license (https://creativecommons.org/licenses/by/4.0/).
Share and Cite
Li, Z.; Huang, J.; Hu, Y.; Zhou, X.; Tan, X.; Wang, Z.; Gao, Z.; Wu, X. The RING-Type E3 Ligase BOI Interacts with EXO70E2 and Mediates Its Ubiquitination in Arabidopsis. Life 2024, 14, 1169. https://doi.org/10.3390/life14091169
Li Z, Huang J, Hu Y, Zhou X, Tan X, Wang Z, Gao Z, Wu X. The RING-Type E3 Ligase BOI Interacts with EXO70E2 and Mediates Its Ubiquitination in Arabidopsis. Life. 2024; 14(9):1169. https://doi.org/10.3390/life14091169
Chicago/Turabian StyleLi, Zhaowu, Jianzhong Huang, Yue Hu, Xiaojie Zhou, Xiao Tan, Zhangying Wang, Zhiyong Gao, and Xiaoqiu Wu. 2024. "The RING-Type E3 Ligase BOI Interacts with EXO70E2 and Mediates Its Ubiquitination in Arabidopsis" Life 14, no. 9: 1169. https://doi.org/10.3390/life14091169
APA StyleLi, Z., Huang, J., Hu, Y., Zhou, X., Tan, X., Wang, Z., Gao, Z., & Wu, X. (2024). The RING-Type E3 Ligase BOI Interacts with EXO70E2 and Mediates Its Ubiquitination in Arabidopsis. Life, 14(9), 1169. https://doi.org/10.3390/life14091169

