Sympathetic Nervous Influences Are Negative Prognostic Factors in Stomach Cancer
Abstract
1. Introduction
2. Materials and Methods
2.1. Patients
2.2. Histology
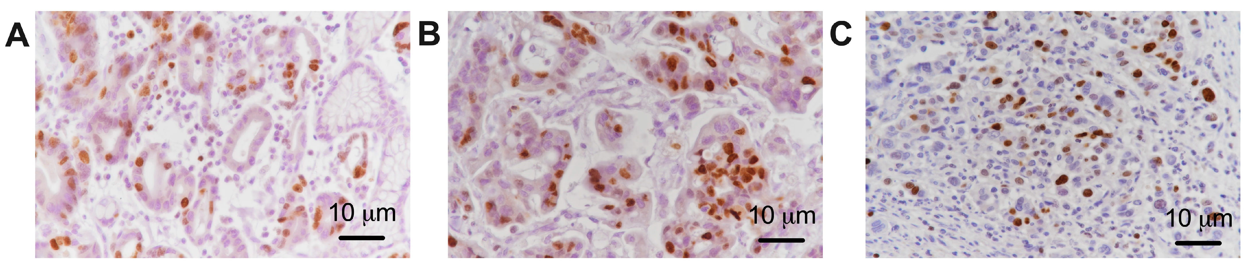
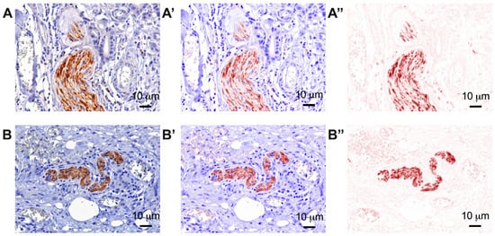
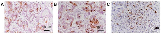
2.3. Immunohistochemistry
2.4. Image Acquisition and Processing
2.5. Clinicopathological Features
2.6. Statistical Analysis
3. Results
Clinicopathological Features
4. Discussion
Limitations of This Study
5. Conclusions
Author Contributions
Funding
Institutional Review Board Statement
Informed Consent Statement
Data Availability Statement
Conflicts of Interest
References
- Global Cancer Observatory. Available online: https://gco.iarc.fr/ (accessed on 31 August 2023).
- National Cancer Institute. Available online: https://seer.cancer.gov/statfacts/html/stomach.html (accessed on 31 August 2023).
- Morgan, E.; Arnold, M.; Camargo, M.C.; Gini, A.; Kunzmann, A.T.; Matsuda, T.; Meheus, F.; Verhoeven, R.H.A.; Vignat, J.; Laversanne, M.; et al. The current and future incidence and mortality of gastric cancer in 185 countries, 2020–40, A population-based modelling study. EclinicalMedicine 2022, 47, 101404. [Google Scholar] [CrossRef]
- World Cancer Research Fund International. Available online: https://www.wcrf.org/ (accessed on 31 August 2023).
- Yusefi, A.R.; Bagheri Lankarani, K.; Bastani, P.; Radinmanesh, M.; Kavosi, Z. Risk Factors for Gastric Cancer: A Systematic Review. Asian Pac. J. Cancer Prev. 2018, 19, 591–603. [Google Scholar] [CrossRef] [PubMed]
- Sayegh, A.I.; Washington, M.C. Back to Basics: Regulation of the Gastrointestinal Functions. J. Gastroint Dig. Syst. 2012, 2, 118. [Google Scholar] [CrossRef]
- Mayer, E.A.; Tillisch, K. The brain-gut axis in abdominal pain syndromes. Annu. Rev. Med. 2011, 62, 381–396. [Google Scholar] [CrossRef] [PubMed]
- Wang, K.; Zhao, X.H.; Liu, J.; Zhang, R.; Li, J.P. Nervous system and gastric cancer. Biochim. Biophys. Acta Rev. Cancer 2020, 1873, 188313. [Google Scholar] [CrossRef]
- Batsakis, J.G. Nerves and neurotropic carcinomas. Ann. Otol. Rhinol. Laryngol. 1985, 94, 426–427. [Google Scholar] [CrossRef] [PubMed]
- Rodin, A.E.; Larson, D.L.; Roberts, D.K. Nature of the perineural space invaded by prostatic carcinoma. Cancer 1967, 20, 1772–1779. [Google Scholar] [CrossRef]
- Anderson, P.R.; Hanlon, A.L.; Patchefsky, A.; Al-Saleem, T.; Hanks, G.E. Perineural invasion and Gleason 7-10 tumors predict increased failure in prostate cancer patients with pretreatment PSA <10 ng/mL treated with conformal external beam radiation therapy. Int. J. Radiat. Oncol. Biol. Phys. 1998, 41, 1087–1092. [Google Scholar] [CrossRef]
- Bilici, A.; Seker, M.; Ustaalioglu, B.B.; Kefeli, U.; Yildirim, E.; Yavuzer, D.; Aydin, F.M.; Salepci, T.; Oncel, M.; Gumus, M. Prognostic significance of perineural invasion in patients with gastric cancer who underwent curative resection. Ann. Surg. Oncol. 2010, 17, 2037–2044. [Google Scholar] [CrossRef]
- Duraker, N.; Sişman, S.; Can, G. The significance of perineural invasion as a prognostic factor in patients with gastric carcinoma. Surg. Today 2003, 33, 95–100. [Google Scholar] [CrossRef] [PubMed]
- Gao, J.P.; Xu, W.; Liu, W.T.; Yan, M.; Zhu, Z.G. Tumor heterogeneity of gastric cancer: From the perspective of tumor-initiating cell. World J. Gastroenterol. 2018, 24, 2567–2581. [Google Scholar] [CrossRef]
- Entschladen, F.; Palm, D.; Niggemann, B.; Zaenker, K.S. The cancer’s nervous tooth: Considering the neuronal crosstalk within tumors. Semin. Cancer Biol. 2008, 18, 171–175. [Google Scholar] [CrossRef]
- Schuller, H.M.; Al-Wadei, H.A.; Majidi, M. GABA B receptor is a novel drug target for pancreatic cancer. Cancer 2008, 112, 767–778. [Google Scholar] [CrossRef]
- Cole, S.W.; Nagaraja, A.S.; Lutgendorf, S.K.; Green, P.A.; Sood, A.K. Sympathetic nervous system regulation of the tumour microenvironment. Nat. Rev. Cancer 2015, 15, 563–572. [Google Scholar] [CrossRef]
- Taylor, C.B.; Conrad, A.; Wilhelm, F.H.; Neri, E.; DeLorenzo, A.; Kramer, M.A.; Giese-Davis, J.; Roth, W.T.; Oka, R.; Cooke, J.P.; et al. Psychophysiological and cortisol responses to psychological stress in depressed and nondepressed older men and women with elevated cardiovascular disease risk. Psychosom. Med. 2006, 68, 538–546. [Google Scholar] [CrossRef] [PubMed]
- Spiegel, D.; Giese-Davis, J. Depression and cancer: Mechanisms and disease progression. Biol. Psychiatry 2003, 54, 269–282. [Google Scholar] [CrossRef] [PubMed]
- Spiegel, D.; Sephton, S.E. Psychoneuroimmune and endocrine pathways in cancer: Effects of stress and support. Semin. Clin. Neuropsychiatry 2001, 6, 252–265. [Google Scholar] [CrossRef] [PubMed]
- Mehedințeanu, A.M.; Sfredel, V.; Stovicek, P.O.; Schenker, M.; Târtea, G.C.; Istrătoaie, O.; Ciurea, A.M.; Vere, C.C. Assessment of Epinephrine and Norepinephrine in Gastric Carcinoma. Int. J. Mol. Sci. 2021, 22, 2042. [Google Scholar] [CrossRef] [PubMed]
- Shan, T.; Cui, X.; Li, W.; Lin, W.; Li, Y.; Chen, X.; Wu, T. Novel regulatory program for norepinephrine-induced epithelial-mesenchymal transition in gastric adenocarcinoma cell lines. Cancer Sci. 2014, 105, 847–856. [Google Scholar] [CrossRef]
- Lu, Y.J.; Geng, Z.J.; Sun, X.Y.; Li, Y.H.; Fu, X.B.; Zhao, X.Y.; Wei, B. Isoprenaline induces epithelial-mesenchymal transition in gastric cancer cells. Mol. Cell Biochem. 2015, 408, 1–13. [Google Scholar] [CrossRef] [PubMed]
- Shi, M.; Liu, D.; Duan, H.; Han, C.; Wei, B.; Qian, L.; Chen, C.; Guo, L.; Hu, M.; Yu, M.; et al. Catecholamine up-regulates MMP-7 expression by activating AP-1 and STAT3 in gastric cancer. Mol. Cancer 2010, 9, 269. [Google Scholar] [CrossRef] [PubMed]
- Magnon, C. Role of the autonomic nervous system in tumorigenesis and metastasis. Mol. Cell Oncol. 2015, 2, e975643. [Google Scholar] [CrossRef]
- Tang, J.; Li, Z.; Lu, L.; Cho, C.H. β-Adrenergic system, a backstage manipulator regulating tumour progression and drug target in cancer therapy. Semin. Cancer Biol. 2013, 23, 533–542. [Google Scholar] [CrossRef] [PubMed]
- Moretti, S.; Massi, D.; Farini, V.; Baroni, G.; Parri, M.; Innocenti, S.; Cecchi, R.; Chiarugi, P. β-adrenoceptors are upregulated in human melanoma and their activation releases pro-tumorigenic cytokines and metalloproteases in melanoma cell lines. Lab. Invest. 2013, 93, 279–290. [Google Scholar] [CrossRef]
- Palm, D.; Lang, K.; Niggemann, B.; Drell, T.L., 4th; Masur, K.; Zaenker, K.S.; Entschladen, F. The norepinephrine-driven metastasis development of PC-3 human prostate cancer cells in BALB/c nude mice is inhibited by beta-blockers. Int. J. Cancer 2006, 118, 2744–2749. [Google Scholar] [CrossRef]
- Sloan, E.K.; Priceman, S.J.; Cox, B.F.; Yu, S.; Pimentel, M.A.; Tangkanangnukul, V.; Arevalo, J.M.; Morizono, K.; Karanikolas, B.D.; Wu, L.; et al. The sympathetic nervous system induces a metastatic switch in primary breast cancer. Cancer Res. 2010, 70, 7042–7052. [Google Scholar] [CrossRef]
- Hasegawa, H.; Saiki, I. Psychosocial stress augments tumor development through beta-adrenergic activation in mice. Jpn. J. Cancer Res. 2002, 93, 729–735. [Google Scholar] [CrossRef] [PubMed]
- Inbar, S.; Neeman, E.; Avraham, R.; Benish, M.; Rosenne, E.; Ben-Eliyahu, S. Do stress responses promote leukemia progression? An animal study suggesting a role for epinephrine and prostaglandin-E2 through reduced NK activity. PLoS ONE 2011, 6, e19246. [Google Scholar] [CrossRef]
- Mattingly, R.R.; Sorisky, A.; Brann, M.R.; Macara, I.G. Muscarinic receptors transform NIH 3T3 cells through a Ras-dependent signalling pathway inhibited by the Ras-GTPase-activating protein SH3 domain. Mol. Cell Biol. 1994, 14, 7943–7952. [Google Scholar] [CrossRef]
- Ayala, G.E.; Dai, H.; Powell, M.; Li, R.; Ding, Y.; Wheeler, T.M.; Shine, D.; Kadmon, D.; Thompson, T.; Miles, B.J.; et al. Cancer-related axonogenesis and neurogenesis in prostate cancer. Clin. Cancer Res. 2008, 14, 7593–7603. [Google Scholar] [CrossRef]
- Shah, N.; Khurana, S.; Cheng, K.; Raufman, J.P. Muscarinic receptors and ligands in cancer. Am. J. Physiol. Cell Physiol. 2009, 296, C221–C232. [Google Scholar] [CrossRef]
- Raufman, J.P.; Shant, J.; Xie, G.; Cheng, K.; Gao, X.M.; Shiu, B.; Shah, N.; Drachenberg, C.B.; Heath, J.; Wess, J.; et al. Muscarinic receptor subtype-3 gene ablation and scopolamine butylbromide treatment attenuate small intestinal neoplasia in Apcmin/+ mice. Carcinogenesis 2011, 32, 1396–1402. [Google Scholar] [CrossRef]
- Tartea, G.C.; Florescu, C.; Pirici, D.; Caragea, D.; Tartea, E.A.; Vere, C.C. The substrate of the biopsychosocial influences in the carcinogenesis of the digestive tract. J. Mind Med. Sci. 2016, 3, 108–117. [Google Scholar]
- Ciurea, A.M.; Gheonea, D.I.; Schenker, M.; Mehedințeanu, A.M.; Târtea, G.C.; Vere, C.C. The Prognostic Correlation of Heart Rate Variability at Diagnosis with Survival of Patients with Hepatocellular Carcinoma. Diagnostics 2021, 11, 890. [Google Scholar] [CrossRef] [PubMed]
- Qi, Y.H.; Yang, L.Z.; Zhou, L.; Gao, L.J.; Hou, J.Y.; Yan, Z.; Bi, X.G.; Yan, C.P.; Wang, D.P.; Cao, J.M. Sympathetic nerve infiltration promotes stomach adenocarcinoma progression via norepinephrine/β2-adrenoceptor/YKL-40 signaling pathway. Heliyon 2022, 8, e12468. [Google Scholar] [CrossRef] [PubMed]
- Lyu, Y.; Xie, F.; Chen, B.; Shin, W.S.; Chen, W.; He, Y.; Leung, K.T.; Tse, G.M.K.; Yu, J.; To, K.F.; et al. The nerve cells in gastrointestinal cancers: From molecular mechanisms to clinical intervention. Oncogene 2024, 43, 77–91. [Google Scholar] [CrossRef]
- Zhang, D.; Ma, Q.Y.; Hu, H.T.; Zhang, M. β2-adrenergic antagonists suppress pancreatic cancer cell invasion by inhibiting CREB, NFκB and AP-1. Cancer Biol. Ther. 2010, 10, 19–29. [Google Scholar] [CrossRef] [PubMed]
- Gambardella, V.; Castillo, J.; Tarazona, N.; Gimeno-Valiente, F.; Martínez-Ciarpaglini, C.; Cabeza-Segura, M.; Roselló, S.; Roda, D.; Huerta, M.; Cervantes, A.; et al. The role of tumor-associated macrophages in gastric cancer development and their potential as a therapeutic target. Cancer Treat. Rev. 2020, 86, 102015. [Google Scholar] [CrossRef] [PubMed]
- El-Arabey, A.A.; Denizli, M.; Kanlikilicer, P.; Bayraktar, R.; Ivan, C.; Rashed, M.; Kabil, N.; Ozpolat, B.; Calin, G.A.; Salama, S.A.; et al. GATA3 as a master regulator for interactions of tumor-associated macrophages with high-grade serous ovarian carcinoma. Cell Signal 2020, 68, 109539. [Google Scholar] [CrossRef]
- Kawada, M.; Seno, H.; Kanda, K.; Nakanishi, Y.; Akitake, R.; Komekado, H.; Kawada, K.; Sakai, Y.; Mizoguchi, E.; Chiba, T. Chitinase 3-like 1 promotes macrophage recruitment and angiogenesis in colorectal cancer. Oncogene 2012, 31, 3111–3123. [Google Scholar] [CrossRef]
- Liu, H.; Li, X.; Xu, Q.; Lv, S.; Li, J.; Ma, Q. Role of glial cell line-derived neurotrophic factor in perineural invasion of pancreatic cancer. Biochim. Biophys. Acta 2012, 1826, 112–120. [Google Scholar] [CrossRef]
- Shi, M.; Liu, D.; Duan, H.; Qian, L.; Wang, L.; Niu, L.; Zhang, H.; Yong, Z.; Gong, Z.; Song, L.; et al. The β2-adrenergic receptor and Her2 comprise a positive feedback loop in human breast cancer cells. Breast Cancer Res. Treat. 2011, 125, 351–362. [Google Scholar] [CrossRef]
- Liu, D.; Yang, Z.; Wang, T.; Yang, Z.; Chen, H.; Hu, Y.; Hu, C.; Guo, L.; Deng, Q.; Liu, Y.; et al. β2-AR signaling controls trastuzumab resistance-dependent pathway. Oncogene 2016, 35, 47–58. [Google Scholar] [CrossRef]
- Marano, L.; Verre, L.; Carbone, L.; Poto, G.E.; Fusario, D.; Venezia, D.F.; Calomino, N.; Kaźmierczak-Siedlecka, K.; Polom, K.; Marrelli, D.; et al. Current Trends in Volume and Surgical Outcomes in Gastric Cancer. J. Clin. Med. 2023, 12, 2708. [Google Scholar] [CrossRef]







| Clinicopathological Features | n | Beta 2 Adrenoreceptors IOD Mean ± St.dev. | p-Value * | |
|---|---|---|---|---|
| Age group | <60 | 51 | 395,922 ± 148,315 | 0.2147 |
| ≥60 | 53 | 362,902 ± 121,092 | ||
| Gender | Female | 41 | 411,724 ± 136,031 | 0.1183 |
| Male | 63 | 368,106 ± 139,271 | ||
| Location | Cardia | 21 | 361,584 ± 154,098 | 0.3909 |
| Gastric body or pyloric area | 83 | 337,106 ± 105,039 | ||
| Histology | Adenocarcinoma | 82 | 368,927 ± 143,073 | 0.7107 |
| Mixed carcinoma/signet ring cell carcinoma | 22 | 356,653 ± 113,033 | ||
| Tumor size | <5 cm | 60 | 410,932 ± 160,351 | 0.0371 |
| ≥5 cm | 44 | 481,605 ± 179,328 | ||
| Tumor invasion | T1–2 | 39 | 367,060 ± 156,373 | 0.0159 |
| T3–4 | 65 | 453,943 ± 185,764 | ||
| Lymph node metastasis | N0–1 | 43 | 399,547 ± 140,174 | 0.0462 |
| N≥2 | 61 | 459,933 ± 156,909 | ||
| TNM stage | TI–II | 42 | 357,243 ± 117,430 | 0.0119 |
| TIII–IV | 62 | 437,908 ± 179,690 | ||
Disclaimer/Publisher’s Note: The statements, opinions and data contained in all publications are solely those of the individual author(s) and contributor(s) and not of MDPI and/or the editor(s). MDPI and/or the editor(s) disclaim responsibility for any injury to people or property resulting from any ideas, methods, instructions or products referred to in the content. |
© 2024 by the authors. Licensee MDPI, Basel, Switzerland. This article is an open access article distributed under the terms and conditions of the Creative Commons Attribution (CC BY) license (https://creativecommons.org/licenses/by/4.0/).
Share and Cite
Petrescu, M.; Târtea, G.; Udriștoiu, I.; Militaru, F.; Petrescu, A.-R.; Ciurea, A.-M.; Petrescu, A.-M.; Obleagă, C.; Vere, C.C. Sympathetic Nervous Influences Are Negative Prognostic Factors in Stomach Cancer. Life 2024, 14, 368. https://doi.org/10.3390/life14030368
Petrescu M, Târtea G, Udriștoiu I, Militaru F, Petrescu A-R, Ciurea A-M, Petrescu A-M, Obleagă C, Vere CC. Sympathetic Nervous Influences Are Negative Prognostic Factors in Stomach Cancer. Life. 2024; 14(3):368. https://doi.org/10.3390/life14030368
Chicago/Turabian StylePetrescu, Mihai, Georgică Târtea, Ion Udriștoiu, Felicia Militaru, Alexandra-Roxana Petrescu, Ana-Maria Ciurea, Ana-Maria Petrescu, Cosmin Obleagă, and Cristin Constantin Vere. 2024. "Sympathetic Nervous Influences Are Negative Prognostic Factors in Stomach Cancer" Life 14, no. 3: 368. https://doi.org/10.3390/life14030368
APA StylePetrescu, M., Târtea, G., Udriștoiu, I., Militaru, F., Petrescu, A.-R., Ciurea, A.-M., Petrescu, A.-M., Obleagă, C., & Vere, C. C. (2024). Sympathetic Nervous Influences Are Negative Prognostic Factors in Stomach Cancer. Life, 14(3), 368. https://doi.org/10.3390/life14030368

