Using Super-Resolution for Enhancing Visual Perception and Segmentation Performance in Veterinary Cytology
Abstract
1. Introduction, Motivation
2. State-of-the-Art, Reason for Conducting the Research
2.1. Advancements in Super-Resolution and Semantic Segmentation
2.2. Dual Super-Resolution Learning for Semantic Segmentation
2.3. Effectiveness of Super-Resolution in Medical Imaging
2.4. Super-Resolution for Enhanced Diagnostic Accuracy
2.5. Recent Progress and Integrative Approaches in Super-Resolution
3. Contribution, New Algorithm, Constructed System
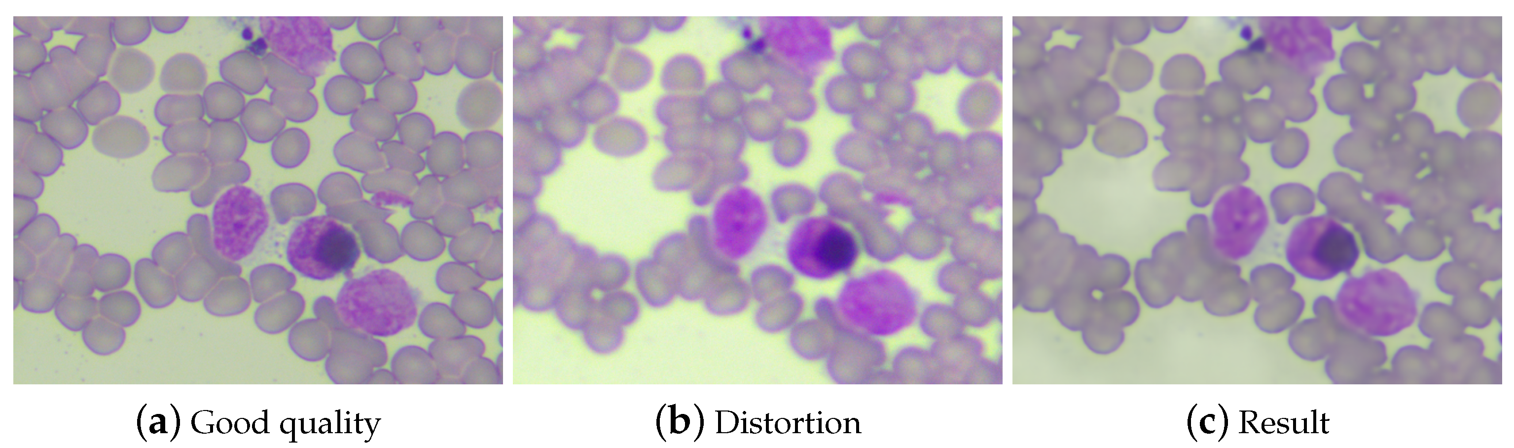
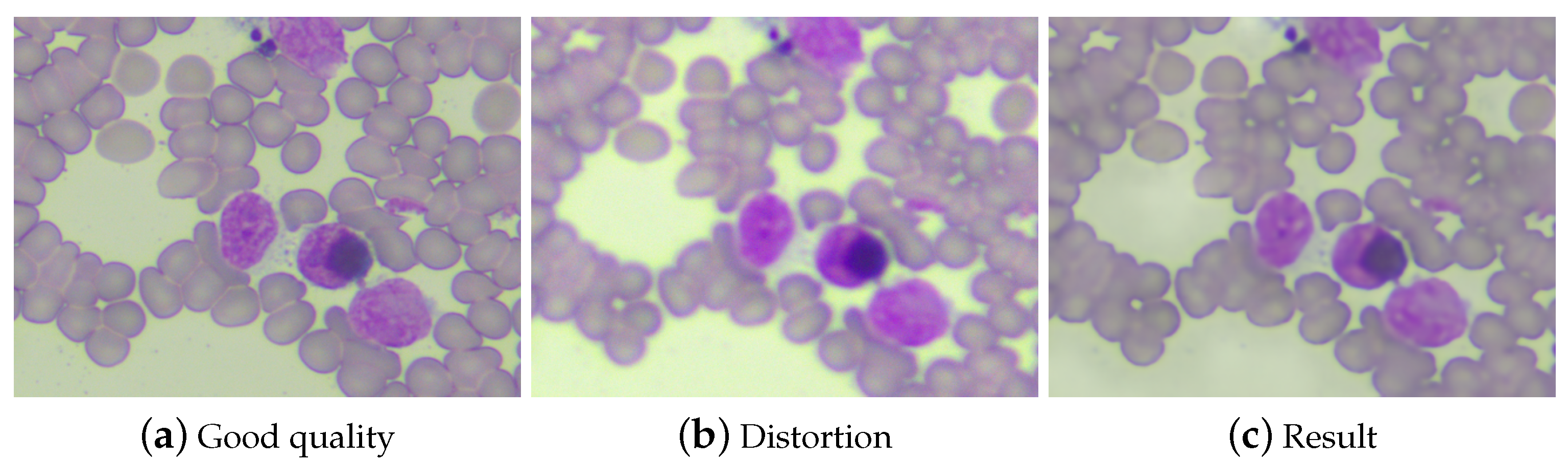
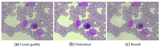
3.1. Novel Dataset
- 1.
- Identify the diagnostic region within the cytological preparation.
- 2.
- Adjust the microscope lens focus to obtain a high-quality image.
- 3.
- Intentionally alter the microscope’s adjustment knob to degrade the image quality and sharpness, thereby simulating the real-world distortion.
3.2. Proposed New Super-Resolution Metric
- 1.
- Open an image in YCbCr mode and use only the luminance channel.
- 2.
- Compute the two-dimensional discrete Fourier Transform and shift the zero-frequency component to the center of the spectrum.
- 3.
- Calculate the absolute sum of all magnitudes for a chosen set of ring-shaped masks and display the results in a bar plot.
3.3. Research Formula for Specific Medical Use Case with Unknown Degradation
- 1.
- Use pre-trained models on various datasets;
- 2.
- Investigate known degradations, such as bicubic interpolation on our medical dataset;
- 3.
- Develop a dedicated super-resolution dataset exhibiting the same degradation intended to be mitigated.
4. Experiments and Results
4.1. Comparison of Possible Distortions in Cytology Imaging
4.2. Comparison of Different Image Upsampling Methods Using Scale Factor 2
4.3. Pretrained Segmentation Model Approach
4.3.1. Impact of Bicubic Interpolation on Segmentation Inference
4.3.2. Impact of the Pre-Trained Super-Resolution Models on Segmentation Inference
4.3.3. Training Semantic Segmentation Model on Super-Resolution Medical Data
4.3.4. Dedicated Dataset Experiments for Super-Resolution
4.3.5. Improving Segmentation Metrics Results with Super-Resolution
5. Conclusions
Author Contributions
Funding
Institutional Review Board Statement
Informed Consent Statement
Data Availability Statement
Conflicts of Interest
Correction Statement
Appendix A






| Data Set Bicubic2 | Segm_mAP | Avg_Precision | Avg Recall | PSNR | SSIM | LPIPS |
|---|---|---|---|---|---|---|
| original | 0.426 | 0.566 | 0.633 | 34.69 | 0.92 | 0.0084 |
| realSRGAN | 0.379 | 0.559 | 0.624 | 34.49 | 0.92 | 0.073 |
| BSRGAN | 0.360 | 0.536 | 0.607 | 33.77 | 0.90 | 0.090 |
| SwinIR | 0.345 | 0.534 | 0.606 | 33.54 | 0.91 | 0.087 |
| SwinIR_large | 0.339 | 0.541 | 0.613 | 33.70 | 0.91 | 0.091 |

| Data Set Bicubic5 | Segm_mAP | Avg_Precision | Avg Recall | PSNR | SSIM | LPIPS |
|---|---|---|---|---|---|---|
| original | 0.116 | 0.311 | 0.419 | 31.58 | 0.72 | 0.377 |
| realSRGAN | 0.092 | 0.300 | 0.397 | 31.38 | 0.69 | 0.252 |
| BSRGAN | 0.093 | 0.276 | 0.381 | 31.46 | 0.70 | 0.282 |
| SwinIR | 0.071 | 0.250 | 0.374 | 31.29 | 0.69 | 0.301 |
| SwinIR_large | 0.055 | 0.227 | 0.357 | 31.17 | 0.67 | 0.348 |
| Train Data Set | Test Data Set | PSNR |
|---|---|---|
| bicubic | dedicated | 25.84 |
| dedicated | dedicated | 29.99 |
| Trained | ||||
|---|---|---|---|---|
| Validated | Spectrum | Narrow | Middle | Wide |
| Narrow | 30.41 | 30.14 | 29.73 | |
| Middle | 30.64 | 30.06 | 29.69 | |
| Wide | 30.76 | 29.40 | 29.90 | |

References
- Mazurek, S.; Wielgosz, M.; Caputa, J.; Frączek, R.; Karwatowski, M.; Grzeszczyk, J.; Łukasik, D.; Śmiech, A.; Russek, P.; Jamro, E.; et al. Canine age classification using Deep Learning as a step toward preventive medicine in animals. In Proceedings of the 17th Conference on Computer Science and Intelligence Systems (FedCSIS), Sofia, Bulgaria, 4–7 September 2022; pp. 169–172. [Google Scholar] [CrossRef]
- Grzeszczyk, J.; Karwatowski, M.; Łukasik, D.; Wielgosz, M.; Russek, P.; Mazurek, S.; Caputa, J.; Frączek, R.; Śmiech, A.; Jamro, E.; et al. Segmentation of the Veterinary Cytological Images for Fast Neoplastic Tumors Diagnosis. arXiv 2023, arXiv:2305.04332. [Google Scholar]
- Caputa, J.; Łukasik, D.; Wielgosz, M.; Karwatowski, M.; Frączek, R.; Russek, P.; Wiatr, K. Fast Pre-Diagnosis of Neoplastic Changes in Cytology Images Using Machine Learning. Appl. Sci. 2021, 11, 7181. [Google Scholar] [CrossRef]
- He, K.; Zhang, X.; Ren, S.; Sun, J. Deep Residual Learning for Image Recognition. In Proceedings of the IEEE Conference on Computer Vision and Pattern Recognition (CVPR), Las Vegas, NV, USA, 29 June–1 July 2016; pp. 770–778. [Google Scholar]
- Ronneberger, O.; Fischer, P.; Brox, T. U-Net: Convolutional Networks for Biomedical Image Segmentation. In Medical Image Computing and Computer-Assisted Intervention–MICCAI 2015, Proceedings of the 18th International Conference, Munich, Germany, 5–9 October 2015; Proceedings, Part III. Springer: Berlin/Heidelberg, Germany, 2015; pp. 234–241. [Google Scholar]
- Wang, L.; Li, D.; Zhu, Y.; Tian, L.; Shan, Y. Dual Super-Resolution Learning for Semantic Segmentation. In Proceedings of the 2020 IEEE/CVF Conference on Computer Vision and Pattern Recognition (CVPR), Seattle, WA, USA, 13–19 June 2020; pp. 3773–3782. [Google Scholar]
- Ledig, C.; Theis, L.; Huszár, F.; Caballero, J.; Cunningham, A.; Acosta, A.; Aitken, A.; Tejani, A.; Totz, J.; Wang, Z.; et al. Photo-Realistic Single Image Super-Resolution Using a Generative Adversarial Network. In Proceedings of the IEEE Conference on Computer Vision and Pattern Recognition (CVPR), Honolulu, HI, USA, 21–26 July 2017; pp. 4681–4690. [Google Scholar]
- Dong, C.; Loy, C.C.; He, K.; Tang, X. Learning a Deep Convolutional Network for Image Super-Resolution. In Proceedings of the Computer Vision–ECCV 2014: 13th European Conference, Zurich, Switzerland, 6–12 September 2014; Proceedings, Part IV. Springer: Berlin/Heidelberg, Germany, 2014; pp. 184–199. [Google Scholar]
- Zhang, Y.; Li, K.; Li, K.; Wang, L.; Zhong, B.; Fu, Y. Image Super-Resolution Using Very Deep Residual Channel Attention Networks. In Proceedings of the European Conference on Computer Vision (ECCV), Munich, Germany, 8–14 September 2018; pp. 286–301. [Google Scholar]
- Pereira, M.; dos Santos, J. How Effective Is Super-Resolution to Improve Dense Labelling of Coarse Resolution Imagery? In Proceedings of the 32nd SIBGRAPI Conference on Graphics, Patterns and Images (SIBGRAPI), Rio de Janeiro, Brazil, 28–30 October 2019; pp. 202–209. [Google Scholar]
- Pham, C.H.; Tor-Díez, C.; Meunier, H.; Bednarek, N.; Fablet, R.; Passat, N.; Rousseau, F. Simultaneous Super-Resolution and Segmentation Using a Generative Adversarial Network: Application to Neonatal Brain MRI. In Proceedings of the 2019 IEEE 16th International Symposium on Biomedical Imaging (ISBI 2019), Venice, Italy, 8–11 April 2019; pp. 991–994. [Google Scholar]
- Goodfellow, I.; Pouget-Abadie, J.; Mirza, M.; Xu, B.; Warde-Farley, D.; Ozair, S.; Courville, A.; Bengio, Y. Generative Adversarial Nets. Adv. Neural Inf. Process. Syst. 2014, 27, 139–144. [Google Scholar] [CrossRef]
- Wang, X.; Yu, K.; Wu, S.; Gu, J.; Liu, Y.; Dong, C.; Qiao, Y.; Loy, C.C. ESRGAN: Enhanced Super-Resolution Generative Adversarial Networks. In Proceedings of the European Conference on Computer Vision (ECCV) Workshops, Munich, Germany, 8–14 September 2018. [Google Scholar]
- Chen, L.C.; Papandreou, G.; Kokkinos, I.; Murphy, K.; Yuille, A.L. DeepLab: Semantic Image Segmentation with Deep Convolutional Nets, Atrous Convolution, and Fully Connected CRFs. IEEE Trans. Pattern Anal. Mach. Intell. 2017, 40, 834–848. [Google Scholar] [CrossRef] [PubMed]
- Zhou, Z.; Siddiquee, M.M.R.; Tajbakhsh, N.; Liang, J. UNet++: A Nested U-Net Architecture for Medical Image Segmentation. In Proceedings of the Deep Learning in Medical Image Analysis and Multimodal Learning for Clinical Decision Support: 4th International Workshop, DLMIA 2018, and 8th International Workshop, ML-CDS 2018, Held in Conjunction with MICCAI 2018, Granada, Spain, 20 September 2018; Springer: Berlin/Heidelberg, Germany, 2018; pp. 3–11. [Google Scholar]
- Isola, P.; Zhu, J.Y.; Zhou, T.; Efros, A.A. Image-to-Image Translation with Conditional Adversarial Networks. In Proceedings of the IEEE Conference on Computer Vision and Pattern Recognition (CVPR), Honolulu, HI, USA, 21–26 July 2017; pp. 1125–1134. [Google Scholar]
- Wang, W.; Yang, L.; Sun, H.; Peng, X.; Yuan, J.; Zhong, W.; Chen, J.; He, X.; Ye, L.; Zeng, Y.; et al. Cellular Nucleus Image-based Smarter Microscope System for Single Cell Analysis. Biosens. Bioelectron. 2024, 250, 116052. [Google Scholar] [CrossRef] [PubMed]
- Zhang, W.; Chai, N.; Wu, Q.; Linghu, E. The New Criteria for Differential Diagnosis of Indeterminate Biliary Stricture under Super Minimally Invasive Peroral Cholangioscopy. Chin. Med. J. 2024, 137, 255–256. [Google Scholar] [CrossRef] [PubMed]
- Caputa, J.; Wielgosz, M.; Łukasik, D.; Russek, P.; Grzeszczyk, J.; Karwatowski, M.; Mazurek, S.; Frączek, R.; Śmiech, A.; Wiatr, K.; et al. Using Super-Resolution for Enhancing Visual Perception and Segmentation Performance in Veterinary Cytology. arXiv 2023, arXiv:2306.11848. [Google Scholar]
- Li, H.; Jia, Y.; Zhu, H.; Han, B.; Du, J.; Liu, Y. Multi-level Feature Extraction and Reconstruction for 3D MRI Image Super-Resolution. Comput. Biol. Med. 2024, 108151. [Google Scholar] [CrossRef] [PubMed]
- Ma, Y.; Zhou, W.; Ma, R.; Wang, E.; Yang, S.; Tang, Y.; Zhang, X.-P.; Guan, X. DOVE: Doodled Vessel Enhancement for Photoacoustic Angiography Super-Resolution. Med. Image Anal. 2024, 103106. [Google Scholar] [CrossRef] [PubMed]
- Yuqian, W.; Aksenov, S.V. Convolutional Neural Networks for Brain Lesion Segmentation in MRI Images. In Proceedings of the Modern Problems in Mechanical Engineering: Collection of Articles from the XVI International Scientific and Technical Conference, Tomsk, Russia, 27 November–1 December 2023; Tomsk Polytechnic University: Tomsk, Russia, 2023; pp. 385–386. [Google Scholar]
- Super-Resolution Data Set. Available online: https://github.com/jakubcaputa/super-resolution-dataset (accessed on 22 February 2024).
- Wang, Z.; Bovik, A.C.; Sheikh, H.R.; Simoncelli, E.P. Image quality assessment: From error visibility to structural similarity. IEEE Trans. Image Process. 2004, 13, 600–612. [Google Scholar] [CrossRef] [PubMed]
- Zhang, R.; Isola, P.; Efros, A.A.; Shechtman, E.; Wang, O. The Unreasonable Effectiveness of Deep Features as a Perceptual Metric. In Proceedings of the Conference on Computer Vision and Pattern Recognition (CVPR), Salt Lake City, UT, USA, 18–23 June 2018. [Google Scholar]
- Cai, Z.; Vasconcelos, N. Cascade R-CNN: High Quality Object Detection and Instance Segmentation. IEEE Trans. Pattern Anal. Mach. Intell. 2019, 43, 1483–1498. [Google Scholar] [CrossRef] [PubMed]
- Zhang, H.; Wu, C.; Zhang, Z.; Zhu, Y.; Lin, H.; Zhang, Z.; Sun, Y.; He, T.; Mueller, J.; Manmatha, R.; et al. ResNeSt: Split-Attention Networks. In Proceedings of the 2022 IEEE/CVF Conference on Computer Vision and Pattern Recognition Workshops (CVPRW), New Orleans, LA, USA, 19–20 June 2020. [Google Scholar]
- Lin, T.Y.; Maire, M.; Belongie, S.; Bourdev, L.; Girshick, R.; Hays, J.; Perona, P.; Ramanan, D.; Zitnick, C.L.; Dollár, P. Microsoft COCO: Common Objects in Context. In Computer Vision—ECCV 2014, Proceedings of the 13th European Conference, Zurich, Switzerland, 6–12 September 2014; Springer International Publishing: Berlin/Heidelberg, Germany, 2014. [Google Scholar]
- Liu, Z.; Lin, Y.; Cao, Y.; Hu, H.; Wei, Y.; Zhang, Z.; Lin, S.; Guo, B. Swin Transformer: Hierarchical Vision Transformer using Shifted Windows. In Proceedings of the 2021 IEEE/CVF International Conference on Computer Vision (ICCV), Montreal, QC, Canada, 10–17 October 2021. [Google Scholar]
- Prometheus Supercomputer. Available online: https://kdm.cyfronet.pl/portal/Prometheus:Podstawy (accessed on 22 February 2024).



| Distortion Type | Image | Description |
|---|---|---|
| correct image | ![]() | Image properly created |
| dark lighting | ![]() | microscope bulb is not turned on or the room where the image is created is dark, the resulting image may suffer from low contrast and poor illumination. |
| closed aperture | ![]() | Responsible for the amount of the light that comes to a focus in the image plane |
| closed condensor | ![]() | An improperly adjusted condenser, which is responsible for providing evenly distributed illumination |
| dark outside | ![]() | The image was not directly at the lens leading to dark edges |
| bad sharpness | ![]() | The microscope screw set inaccurately or the focus is set for the background of the image |
| Factor | Segm_mAP | Avg_Precision | Avg Recall | PSNR | SSIM | LPIPS |
|---|---|---|---|---|---|---|
| Original | 0.439 | 0.623 | 0.679 | - | 1 | 0 |
| 2 | 0.392 | 0.598 | 0.663 | 34.98 | 0.93 | 0.07 |
| 3 | 0.276 | 0.492 | 0.573 | 32.62 | 0.82 | 0.17 |
| 4 | 0.195 | 0.444 | 0.540 | 32.19 | 0.79 | 0.26 |
| 5 | 0.113 | 0.348 | 0.456 | 31.68 | 0.74 | 0.35 |
| Data Set Original | Segm_mAP | Avg_Precision | Avg_Recall | PSNR | SSIM | LPIPS |
|---|---|---|---|---|---|---|
| Original | 0.457 | 0.596 | 0.654 | - | - | - |
| RealSRGAN | 0.446 | 0.587 | 0.540 | 36.16 | 0.96 | 0.050 |
| BSRGAN | 0.430 | 0.572 | 0.636 | 33.54 | 0.93 | 0.092 |
| SwinIR | 0.421 | 0.567 | 0.630 | 35.10 | 0.96 | 0.057 |
| SwinIR_large | 0.457 | 0.584 | 0.643 | 37.18 | 0.977 | 0.041 |
| Data Set | Data Set Explanation | Segm_mAP | Avg_Precision | Avg_Recall |
|---|---|---|---|---|
| original | Original cancer inflammation dataset | 0.494 | 0.494 | 0.584 |
| bicubic2 | Original dataset decimated and interpolated using scaling factor two (half of the pixels left after decimation) | 0.465 | 0.465 | 0.567 |
| bicubic4 | Original dataset decimated and interpolated using scaling factor four (quarter of the pixels left after decimation) | 0.423 | 0.423 | 0.527 |
| realSRGAN ×4 | Original dataset upscaled using realSRGAN and resized to original size | 0.487 | 0.487 | 0.587 |
| BSRGAN ×4 | Original dataset upscaled using BSRGAM and resized to original size | 0.478 | 0.478 | 0.587 |
| SwinIR ×4 | Original dataset upscaled using SwinIR and resized to original size | 0.482 | 0.482 | 0.579 |
| Experiment Summary | Segm_ mAP_50 | Segm_ mAP_75 | Segm_mAP_50 Percent_Change | Segm_mAP_75 Percent_Change |
|---|---|---|---|---|
| high quality dataset | 0.314 | 0.255 | 38.94% | 63.46% |
| low quality dataset | 0.226 | 0.156 | 0.00% | 0.00% |
| subsampling ×2, SR ×2 | 0.198 | 0.120 | −12.39% | −23.08% |
| SR ×2, subsampling ×2 | 0.233 | 0.110 | 3.10% | −29.49% |
| subsampling ×4, SR ×4 | 0.227 | 0.155 | 0.44% | −0.64% |
| SR ×4, subsampling ×4 | 0.279 | 0.195 | 23.45% | 25.00% |
Disclaimer/Publisher’s Note: The statements, opinions and data contained in all publications are solely those of the individual author(s) and contributor(s) and not of MDPI and/or the editor(s). MDPI and/or the editor(s) disclaim responsibility for any injury to people or property resulting from any ideas, methods, instructions or products referred to in the content. |
© 2024 by the authors. Licensee MDPI, Basel, Switzerland. This article is an open access article distributed under the terms and conditions of the Creative Commons Attribution (CC BY) license (https://creativecommons.org/licenses/by/4.0/).
Share and Cite
Caputa, J.; Wielgosz, M.; Łukasik, D.; Russek, P.; Grzeszczyk, J.; Karwatowski, M.; Mazurek, S.; Frączek, R.; Śmiech, A.; Jamro, E.; et al. Using Super-Resolution for Enhancing Visual Perception and Segmentation Performance in Veterinary Cytology. Life 2024, 14, 321. https://doi.org/10.3390/life14030321
Caputa J, Wielgosz M, Łukasik D, Russek P, Grzeszczyk J, Karwatowski M, Mazurek S, Frączek R, Śmiech A, Jamro E, et al. Using Super-Resolution for Enhancing Visual Perception and Segmentation Performance in Veterinary Cytology. Life. 2024; 14(3):321. https://doi.org/10.3390/life14030321
Chicago/Turabian StyleCaputa, Jakub, Maciej Wielgosz, Daria Łukasik, Paweł Russek, Jakub Grzeszczyk, Michał Karwatowski, Szymon Mazurek, Rafał Frączek, Anna Śmiech, Ernest Jamro, and et al. 2024. "Using Super-Resolution for Enhancing Visual Perception and Segmentation Performance in Veterinary Cytology" Life 14, no. 3: 321. https://doi.org/10.3390/life14030321
APA StyleCaputa, J., Wielgosz, M., Łukasik, D., Russek, P., Grzeszczyk, J., Karwatowski, M., Mazurek, S., Frączek, R., Śmiech, A., Jamro, E., Koryciak, S., Dąbrowska-Boruch, A., Pietroń, M., & Wiatr, K. (2024). Using Super-Resolution for Enhancing Visual Perception and Segmentation Performance in Veterinary Cytology. Life, 14(3), 321. https://doi.org/10.3390/life14030321







