Ectopic Mediastinal Thyroid: A Crossroad Between a Multi-Layered Endocrine Perspective and a Contemporary Approach in Thoracic Surgery
Abstract
1. Introduction
- The identification of a specific functional pattern in the ectopic thyroid, using, for example, I131 radioiodine or technetium (99m-Tc) scintigraphy;
- The surgical team strategy is to remove the ectopic tissue. A surgical (rather than conservative) approach is currently considered the best option in most mediastinal cases, and minimally invasive access is generally regarded as safe in the modern era of thoracic surgery, but it requires an individualised decision and an experienced team [24,25,26,27,28,29,30,31,32].
2. Objective
3. Methods
3.1. Case Presentation
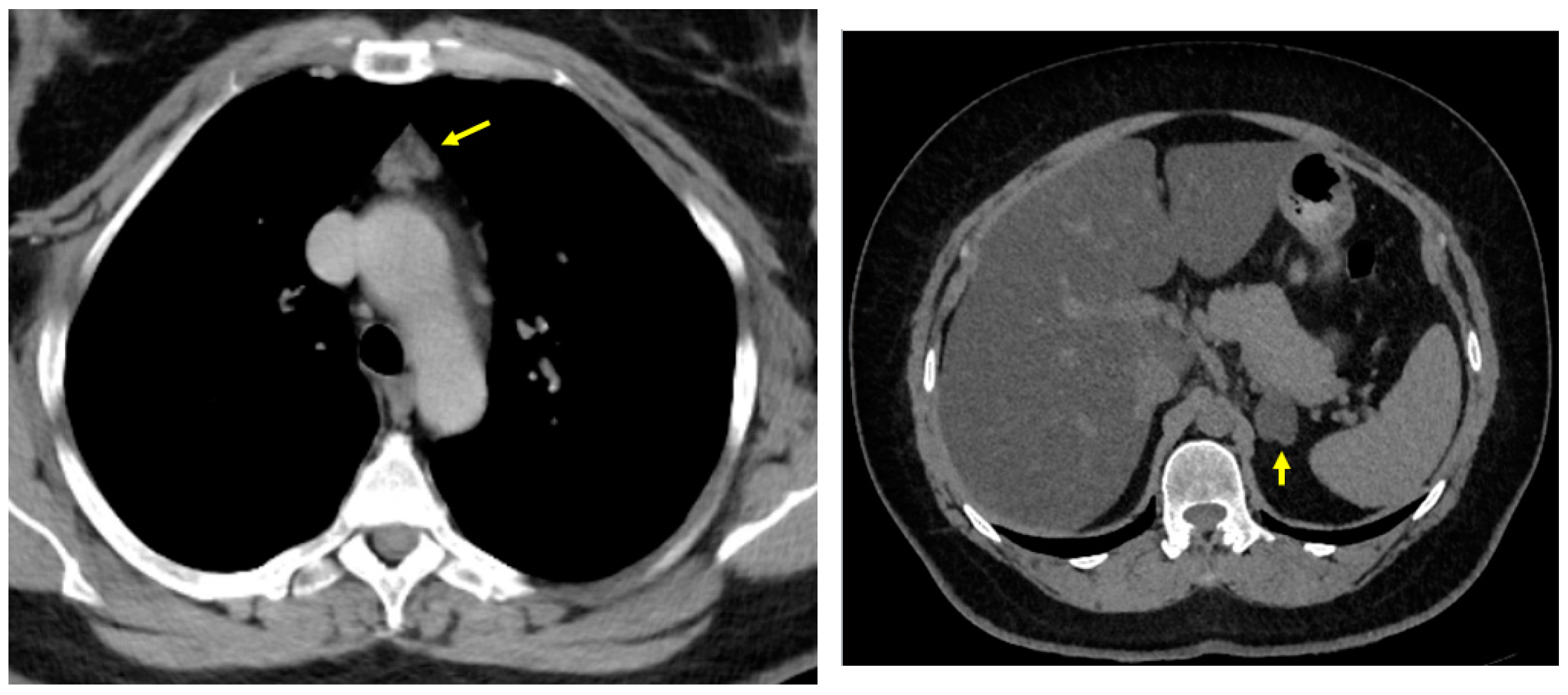
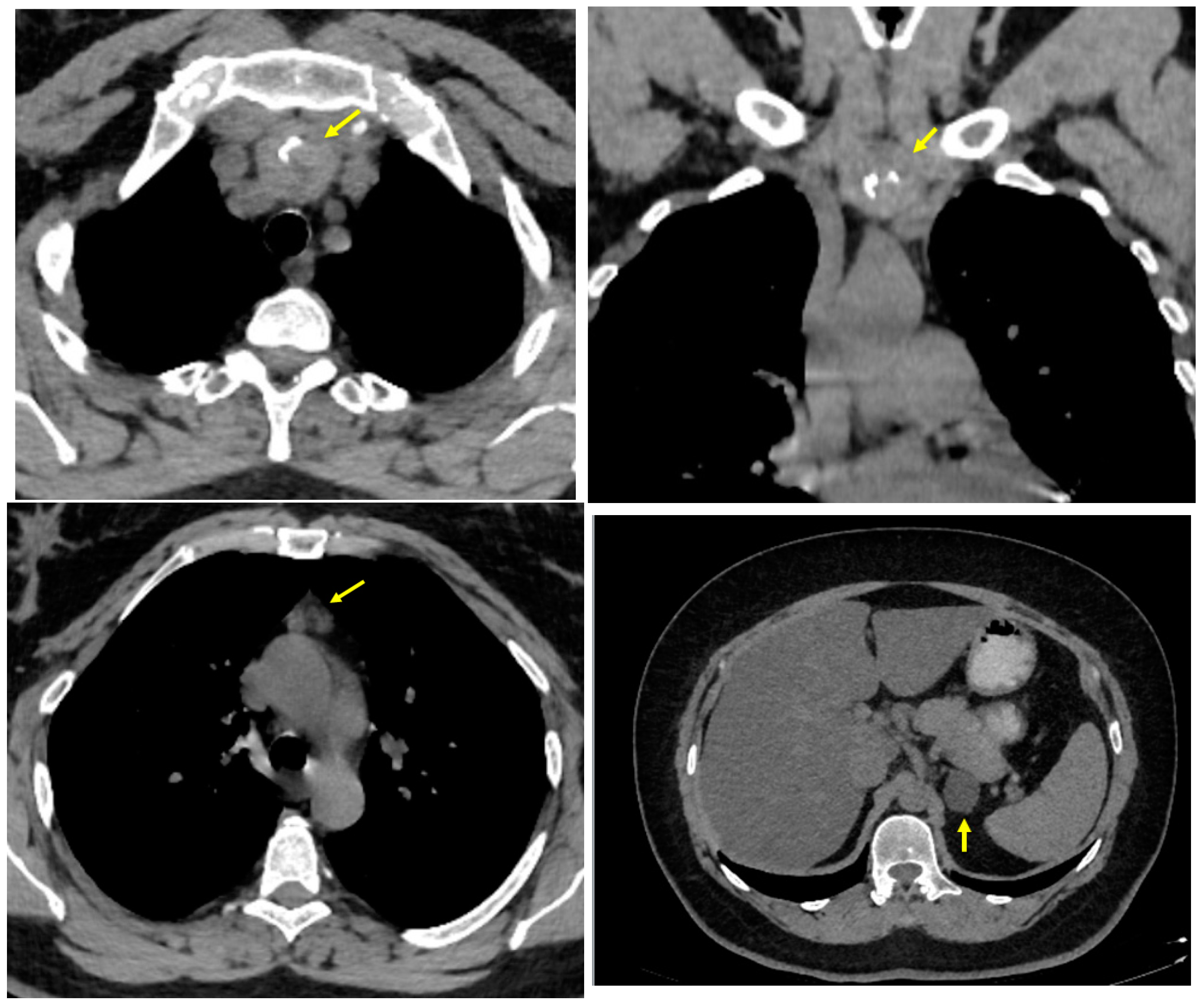
3.1.1. Baseline Admission: Identification of a Mediastinal Mass and an Adrenal Tumour Following Prior COVID-19 Infection
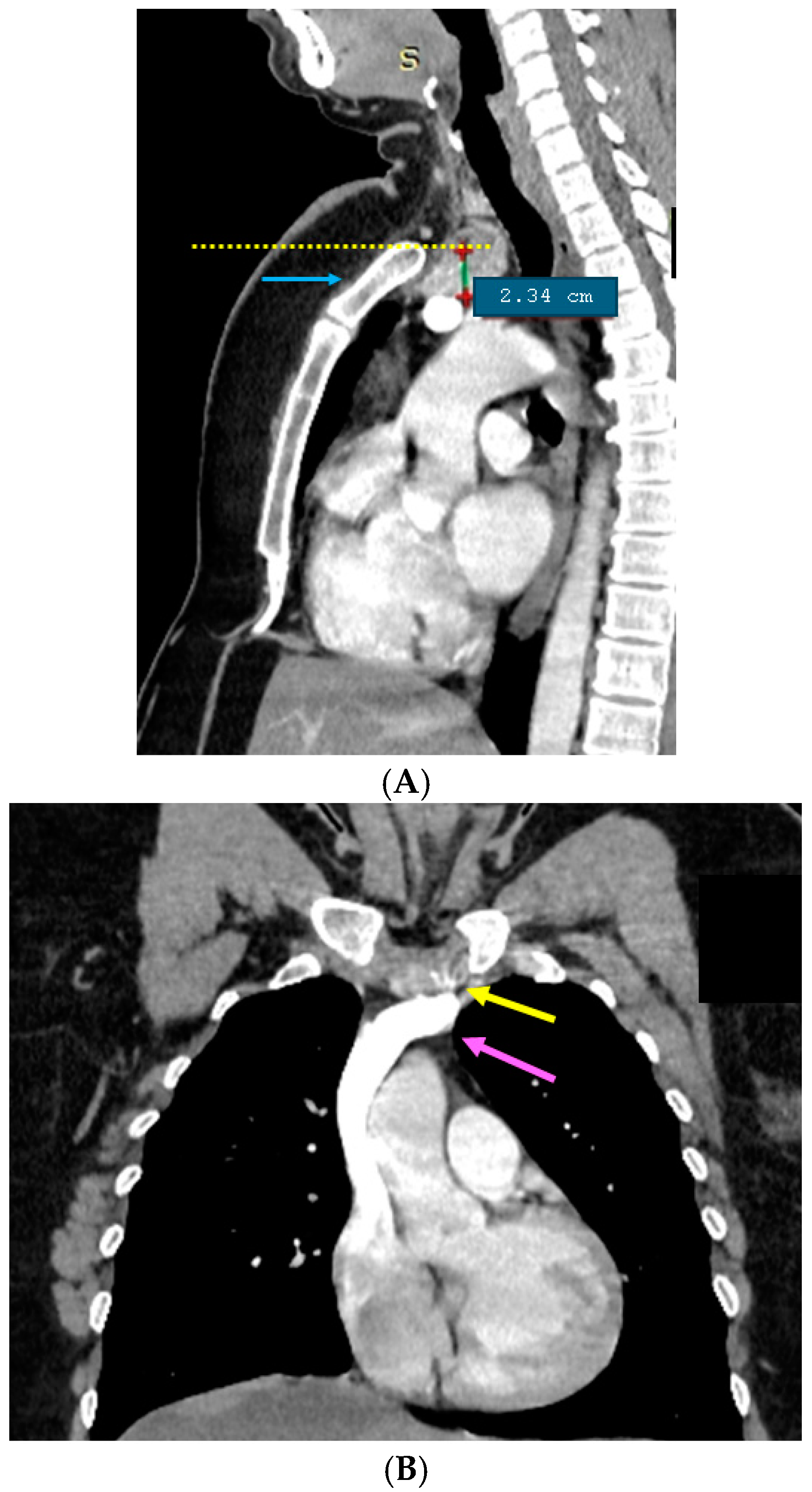
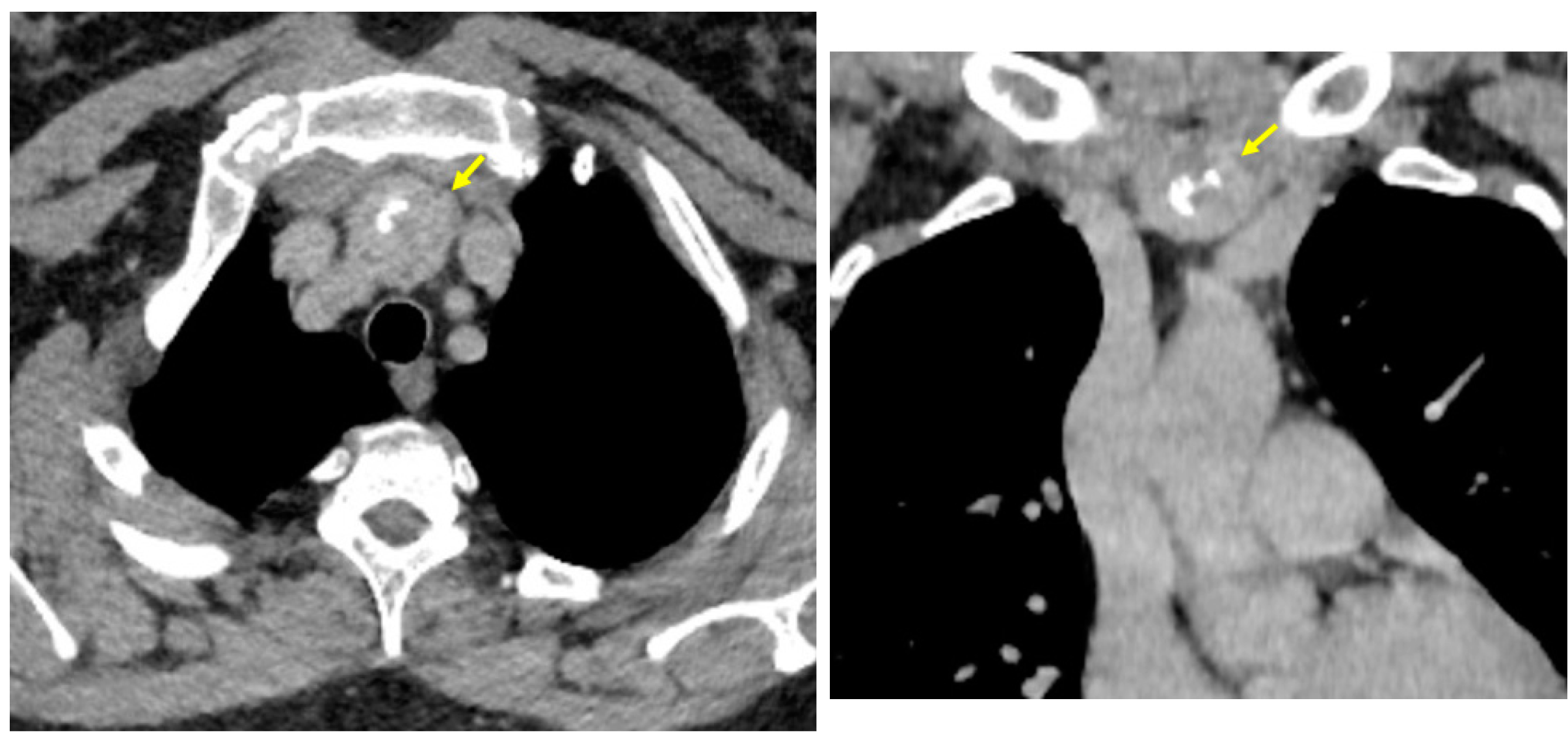
3.1.2. Endocrine and Imaging Investigations After One Year of Surveillance
3.1.3. Ectopic Mediastinal Thyroid Tissue: 99m-Tc Scintigraphy Exploration
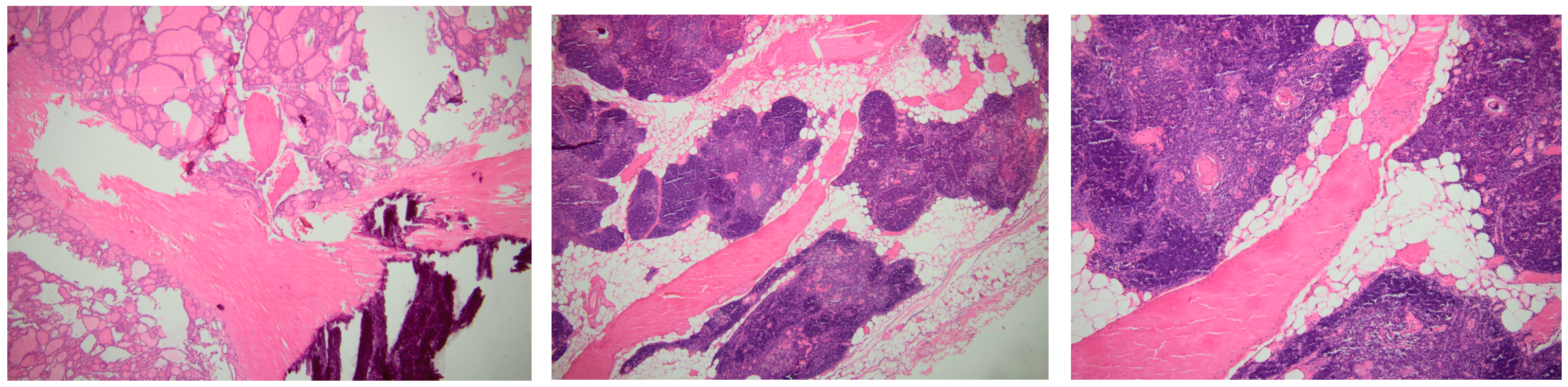
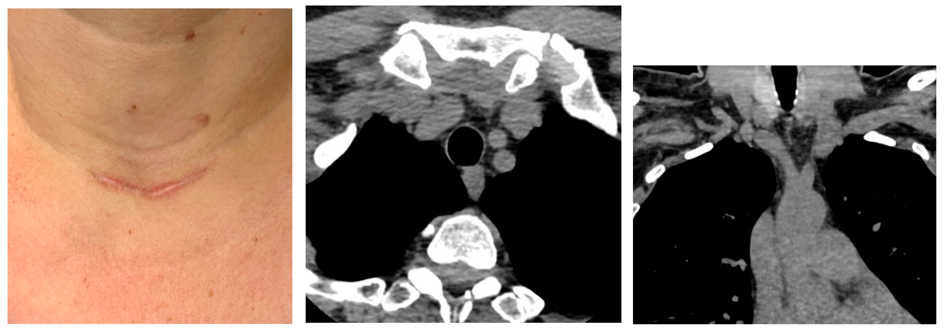
3.2. Ectopic Mediastinal Thyroid Removal via Cervicotomy
3.3. Post-Operatory Check-Up
4. Discussion
- At the initial computed tomography, a small line of tissue was suspected to be the connective tissue between the orthotopic and ectopic thyroid, but it was not intra-operatory confirmed or after the post-surgery histological exam. This connective tissue facilitates the distinction between ectopic mediastinal tissue and a retrosternal extension of a cervical goitre [79];
- The eutopic thyroid presented with a micro-nodular pattern, which was not considered a malignancy; that is why a fine needle aspiration was not performed before surgery, and an indication of a concurrent thyroidectomy was not established [80];
- While serum thyroglobulin remains a valuable tumour marker upon the resection of thyroid malignancy originating from follicular cells [83], in cases with benign conditions, as seen here, its role is minor.
5. Conclusions
Author Contributions
Funding
Institutional Review Board Statement
Informed Consent Statement
Data Availability Statement
Acknowledgments
Conflicts of Interest
Abbreviations
| ACTH | adrenocorticotropic hormone |
| FT4 | free levothyroxine |
| FSH | follicle-stimulating hormone |
| HU | Hounsfield units |
| I131 | iodine |
| IGF1 | insulin-like growth factor 1 |
| LH | Luteinizing hormone |
| NA | not available |
| PTH | parathormone |
| TSH | thyroid stimulating hormone |
| TRAb | anti-TSH receptor antibodies |
| TPOAb | anti-thyroperoxidase antibodies |
| TgAb | anti-thyroglobulin antibodies |
| Tc | Technetium |
Appendix A


| Parameter (Unit) | Baseline Admission | After 1 Year of (Conservative) Surveillance | After 3 Months Since Thoracic Surgery | Normal Range |
|---|---|---|---|---|
| Biochemistry panel | ||||
| Aspartate aminotransferase (U/L) | 34.7 | 17 | 16.7 | 0–32 |
| Alanine aminotransferase (U/L) | 41.1 | 25 | 13.5 | 0–31 |
| Serum creatinine (mg/dL) | 0.6 | 0.7 | 0.73 | 0.5–1 |
| Serum urea (mg/dL) | 16.6 | 20.7 | 28 | 15–50 |
| Uric acid (mg/dL) | 5.6 | 6.5 | 5.76 | 2.5–5.7 |
| Total cholesterol (mg/dL) | 186.4 | 195 | 196 | 0–200 |
| Triglycerides (mg/dL) | 178 | 174 | 124 | 50–200 |
| Fasting glycaemia (mg/dL) | 95.4 | 88 | 97.9 | 70–100 |
| Glycated hemoglobin A1c (%) | 5.7 | 5.7 | 5.4 | 4.8–5.9 |
| Thyroid profile | ||||
| TSH (μIU/mL) | 1.4 | 1.1 | 1.4 | 0.35–4.94 |
| FT4 (pmol/L) | 11.3 | 12.2 | 13.5 | 9–19 |
| TPOAb (IU/mL) | 0.6 | 0.3 | 0.3 | 0–5.61 |
| TgAb (IU/mL) | 14.7 | 12.4 | 13.4 | 0–115 |
| TRAb (IU/L) | 1.1 | 1.2 | 1.1 | 0–1.75 |
| Calcitonin (pg/mL) | 1 | 1 | 1 | 1–4.8 |
| Thyroglobulin (ng/mL) | NA | 31. | 6.4 | 3.5–77 |
| Carcinoembryonic antigen (ng/mL) | NA | 1.6 | 1.2 | 0–3 |
| Pituitary-adrenal axes and neuroendocrine markers | ||||
| ACTH (pg/mL) | 8.5 | 4.2 | NA | 3–66 |
| Serum morning cortisol (μg/dL) | 5.2 | 8.37 | NA | 4.82–19.5 |
| Serum morning cortisol – DXM ((μg/dL) | 1.16 | 1.01 | NA | <1.8 |
| Plasma metanephrines (pg/mL) | 9.5 | 18.4 | NA | 0–100 |
| Plasma normetanephrines (pg/mL) | 67.1 | 68.6 | NA | 0–216 |
| 24-h urinary metanephrines (μg/24h) | 52 | 57.3 | NA | 50–350 |
| 24-h urinary normetanephrines (μg/24h) | 436.1 | 293.1 | NA | 100–600 |
| Chromogranin A (ng/mL) | NA | 34 | NA | 20–100 |
| Serum serotonin (ng/mL) | NA | 100 | NA | |
| Neuron specific enolase (µg/L) | NA | 7.8 | NA | 0–18.3 |
| Mineral metabolism assays and calciotropic hormones | ||||
| Serum total calcium (mg/dL) | 8.7 | 8.6 | 9.1 | 8.4–10.3 |
| Serum ionized calcium (mg/dL) | 3.9 | 3.9 | 4 | 3.9–4.9 |
| Total proteins (g/dL) | 7 | 6.5 | 7 | 6.4–8.3 |
| Serum phosphorus (mg/dL) | 2.85 | 3 | 3.1 | 2.3–4.7 |
| PTH (pg/mL) | 65 | 50.2 | 51.2 | 15–65 |
| 25-hydroxyvitamin D (ng/mL) | 43.3 | 35.2 | 37.8 | 20–100 |





References
- Zeineddine, F.; El-Hajj, G.; Hajj, M.-A.; Chahinian, R. Incidental Finding of Triple Ectopic Thyroid: Case Report and Review of the Literature. Asia Ocean. J. Nucl. Med. Biol. 2024, 12, 179–184. [Google Scholar] [PubMed]
- Motlaghzadeh, Y.; Nesbit, S.; Guo, H.H.; Yang, E.; Desai, K.; Lui, N.S. Surgical resection of mediastinal ectopic thyroid tissue: A case series. J. Thorac. Dis. 2023, 15, 1473–1481. [Google Scholar] [CrossRef] [PubMed]
- Carsote, M.; Valea, A.; Dumitru, N.; Terzea, D.; Petrova, E.; Albu, S.; Buruiana, A.; Ghemigian, A. Metastases in daily endocrine practice. Arch. Balk Med. Union. 2016, 51, 476–480. [Google Scholar]
- Alebie, H.K.; Tasew, Y.Z.; Seyoum, F.A.; Negash, L.G. Case report:—A case report on the management of symptomatic Lingual throid. Int. J. Surg. Case Rep. 2024, 121, 110005. [Google Scholar] [CrossRef]
- Anemoulis, M.; Kachtsidis, V.; Geropoulos, G.; Panagiotopoulos, N. Robot-Assisted Thoracoscopic Resection of Ectopic Parathyroid Tissue in Mediastinum: A Scoping Review. Innovations 2024, 19, 17–22. [Google Scholar] [CrossRef]
- Gerber, T.S.; Porubsky, S. Benign lesions of the mediastinum. Histopathology 2024, 84, 183–195. [Google Scholar] [CrossRef]
- Schulte, K.-M.; Galatá, G.; Talat, N. Mediastinal Parathyroid Cancer. Cancers 2022, 14, 5852. [Google Scholar] [CrossRef]
- Jurczak, P.; Romaszko-Wojtowicz, A.; Doboszyńska, A. Lung Lesions: Differential Diagnoses Beyond Cancer. Am. J. Case Rep. 2024, 25, e943798. [Google Scholar] [CrossRef]
- Al Suqri, B.; Al Busaidi, A.; Al Dhuhli, A. Coexistence of Eutopic Thyroid Gland and Ectopic Thyroid Tissue: Rare but Not Uncommon. Cureus 2024, 16, e59834. [Google Scholar] [CrossRef]
- Jakowczuk, T.E.; Ren, S. Ectopic mediastinal thyroid tissue: An indelible imitator. J. Thorac. Dis. 2024, 16, 1745–1749. [Google Scholar] [CrossRef]
- Regal, M.; Kamel, M.M.; Alyami, H.; Al-Osail, E.M. Mediastinal ectopic thyroid mass with normal thyroid function and location: Case report. Int. J. Surg. Case Rep. 2018, 52, 5–7. [Google Scholar] [CrossRef] [PubMed]
- Peștean, C.; Pavel, A.; Piciu, D. The Role of SPECT/CT and PET/CT Hybrid Imaging in the Management of Ectopic Thyroid Carcinoma—A Systematic Review. Diagnostics 2024, 14, 1369. [Google Scholar] [CrossRef] [PubMed]
- Anghel, A.; Stanciu, S.; Ciobica, M.L.; Stoicescu, D.; Muresan, M.M. Contrast-enhanced ultrasound-clinical applications. Rom. J. Mil. Med. 2011, 114, 25–30. [Google Scholar]
- Ionescu, O.P.; Stanciu, S.M.; Ciobica, M.L. Atherosclerosis in rheumatoid arthritis—The importance of imaging tests. Rom. J. Mil. Med. 2020, 123, 26–31. [Google Scholar] [CrossRef]
- Kolwalkar, J.; Samant, D.; Borkar, S.; Vidyasagar, M.S.C.; Vaggar, J.N. Ectopic colloid goiter in mediastinum with normal thyroid gland. J. Cardiothorac. Surg. 2024, 19, 103. [Google Scholar] [CrossRef]
- Caroço, T.V.; Saraiva, R.P.; Baião, J.M.; Nogueira, T.; Garcia, A.L.; Almeida, C.E.C. Mediastinal papillary thyroid carcinoma treated by video-assisted thoracic surgery—Case report. Int. J. Surg. Case Rep. 2023, 106, 108140. [Google Scholar] [CrossRef]
- Heineman, T.E.; Kadkade, P.; Kutler, D.I.; Cohen, M.A.; Kuhel, W.I. Parathyroid Localization and Preservation during Transcervical Resection of Substernal Thyroid Glands. Otolaryngol. Head Neck Surg. 2015, 152, 1024–1028. [Google Scholar] [CrossRef]
- Bodner, J.; Fish, J.; Lottersberger, A.C.; Wetscher, G.; Schmid, T. Robotic Resection of an Ectopic Goiter in the Mediastinum. Surg. Laparosc. Endosc. Percutaneous Tech. 2005, 15, 249–251. [Google Scholar] [CrossRef]
- Nagireddy, T.V.; Vaidya, A.; Gupta, S.; Kshirsagar, P.; Kamble, T. A rare case of double ectopic thyroid in the superior mediastinum: A case report. J. Surg. Case Rep. 2023, 2023, rjad058. [Google Scholar] [CrossRef]
- Sadidi, H.; Mehri, A.; Rezaei, R. An accessory mediastinal thyroid: A case report. Clin. Case Rep. 2023, 11, e7232. [Google Scholar] [CrossRef]
- Jo, N.; Shroff, G.S.; Wu, C.C.; Ahuja, J.; Strange, C.D.; Marom, E.M.; Truong, M.T. Imaging of the mediastinum: Mimics of malignancy. Semin. Diagn. Pathol. 2022, 39, 92–98. [Google Scholar] [CrossRef] [PubMed]
- Stewart, B.D.; VandenBussche, C.J.; Leon, M.E. Benign lesions of the mediastinum: A review with emphasis on cytology and small biopsy specimens. Semin. Diagn. Pathol. 2020, 37, 199–210. [Google Scholar] [CrossRef] [PubMed]
- Alizzi, A.M.; Hemli, J.M.; Diqer, A.-M.; Bidstrup, B. Primary Solitary Mediastinal Mass Lesions: A Review of 37 Cases. Heart Lung Circ. 2006, 15, 310–313. [Google Scholar] [CrossRef]
- Thalasta, P.; Dhar, A.; Parshad, R.; Agarwal, S. Modified surgical fusion: VATS and BABA approach for ectopic intrathoracic and cervical thyroidectomy. BMJ Case Rep. 2024, 17, e259047. [Google Scholar] [CrossRef] [PubMed]
- Khthir, R.; Binegar, N.B. Primary Intrathoracic Ectopic Papillary Thyroid Carcinoma, Presenting With Thoracic Spine Metastasis: A Case Presentation and Literature Review. Cureus 2024, 16, e55329. [Google Scholar] [CrossRef] [PubMed]
- Lévay, B.; Péter, I.; Fröhlich, G.; Koltai, P.; Ivády, G.; Járay, B.; Pogány, P.; Szőke, J.; Tóth, E.; Udvarhelyi, N.; et al. Incidentally discovered ectopic tissue in the central neck region (level VI) of the neck—A case series, retrospective analysis and literature review. Magy Onkol. 2024, 68, 177–190. [Google Scholar]
- Khan, S.; Waleed, M.S.; Verma, D.; Rahman, M. Ectopic Mediastinal and Lumbar Thyroid Tissue. Cureus 2021, 13, e18598. [Google Scholar] [CrossRef]
- Nistor, C. Emergency Surgical Tracheal Decompression in a Huge Retrosternal Goiter. Acta Endocrinol. 2017, 13, 370–374. [Google Scholar] [CrossRef]
- Alshehri, S.; Alsarrani, F.; Almanea, L.; Alharbi, A. High survival simultaneous occurrence of papillary thyroid carcinoma and ectopic thyroid with medullary thyroid carcinoma; case report and literature review. J. Surg. Case Rep. 2023, 2023, rjad625. [Google Scholar] [CrossRef]
- Song, G.; Zhang, H.; Li, Y.; Zhang, F. Postoperative recurrence of an occult thyroid carcinoma with metastatic carcinoma from the ectopic thyroid gland: A rare case report. Asian J. Surg. 2023, 47, 642–643. [Google Scholar] [CrossRef]
- Nguyen, D.; Htun, N.N.; Wang, B.; Lee, B.; Johnson, C. An Anaplastic Thyroid Carcinoma of the Giant-Cell Type from a Mediastinal Ectopic Thyroid Gland. Diagnostics 2023, 13, 2941. [Google Scholar] [CrossRef] [PubMed]
- Vaillant, P.-F.; Devalckeneer, A.; Csanyi-Bastien, M.; Ares, G.S.; Marks, C.; Mallea, M.; Cortet-Rudelli, C.; Maurage, C.-A.; Aboukaïs, R. An unusual ectopic thyroid tissue location & review of literature. Neurochirurgie 2023, 69, 101497. [Google Scholar] [CrossRef] [PubMed]
- Koc, A.M.; Adıbelli, Z.H.; Erkul, Z.; Sahin, Y.; Dilek, I. Comparison of diagnostic accuracy of ACR-TIRADS, American Thyroid Association (ATA), and EU-TIRADS guidelines in detecting thyroid malignancy. Eur. J. Radiol. 2020, 133, 109390. [Google Scholar] [CrossRef] [PubMed]
- Tsai, A.; Rafferty, W.; Ren, S. Mediastinal ectopic thyroid tissue, an imitator of an enlarged lymph node with metastatic pulmonary neoplasia. Diagn. Cytopathol. 2021, 49, E471–E474. [Google Scholar] [CrossRef]
- Yankov, G.; Alexieva, M.; Yamakova, Y.; Kyuchukov, D.; Mekov, E. Surgical management of anterior mediastinal tumors of thyroid origin: A comprehensive analysis of approaches, techniques, and outcomes. J. Cardiothorac. Surg. 2024, 19, 350. [Google Scholar] [CrossRef]
- Kebebew, E. Adrenal Incidentaloma. N. Engl. J. Med. 2021, 384, 1542–1551. [Google Scholar] [CrossRef]
- Sivakumar, W.; Chamoun, R.; Nguyen, V.; Couldwell, W.T. Incidental pituitary adenomas. Neurosurg. Focus 2011, 31, E18. [Google Scholar] [CrossRef]
- Costanzo, R.; Scalia, G.; Strigari, L.; Ippolito, M.; Paolini, F.; Brunasso, L.; Sciortino, A.; Iacopino, D.G.; Maugeri, R.; Ferini, G.; et al. Nuclear medicine imaging modalities to detect incidentalomas and their impact on patient management: A systematic review. J. Cancer Res. Clin. Oncol. 2024, 150, 368. [Google Scholar] [CrossRef]
- Aziz, J.; Murthy, R. Mediastinal ectopic thyroid tissue: A rare but important diagnosis. J. Thorac. Dis. 2023, 15, 6388–6389. [Google Scholar] [CrossRef]
- Melinte, A.; Saftoiu, A.; Vlaicu-Melinte, A.; Dobritoiu, F.; Copaescu, C. Robotic Resection of Ectopic Thyroid Tissue of the Mediastinum—Case Report and Literature Review. Chirurgia 2023, 118, 96–102. [Google Scholar] [CrossRef]
- Rove, J.Y.; Cain, M.T.; Hoffman, J.R.; Reece, T.B. Noteworthy in Cardiothoracic Surgery 2023. Semin. Cardiothorac. Vasc. Anesthesia 2024, 28, 100–105. [Google Scholar] [CrossRef] [PubMed]
- Goncalves, S.; Fong, P.-C.; Blokhina, M. Artificial intelligence for early diagnosis of lung cancer through incidental nodule detection in low- and middle-income countries-acceleration during the COVID-19 pandemic but here to stay. Am. J. Cancer Res. 2022, 12, 1–16. [Google Scholar] [PubMed]
- Coleman, J.R.; Hanson, N.A. How, when and why to establish preoperative surgical risk in thoracic surgery. Curr. Opin. Anaesthesiol. 2023, 36, 68–73. [Google Scholar] [CrossRef] [PubMed]
- Schmid-Bindert, G.; Vogel-Claussen, J.; Gütz, S.; Fink, J.; Hoffmann, H.; Eichhorn, M.E.; Herth, F.J. Incidental Pulmonary Nodules—What Do We Know in 2022. Respiration 2022, 101, 1024–1034. [Google Scholar] [CrossRef]
- Stoleriu, M.G.; Gerckens, M.; Ströh, K.; Kovács, J.; Samm, N.; Obereisenbuchner, F.; Hetrodt, J.; Schmidt, F.M.; Reinmuth, N.; Heiß-Neumann, M.; et al. Prevention of COVID-19 in Thoracic Surgery Patients: Lessons Learned during the First Pandemic Wave. Pneumologie 2021, 75, 960–970. [Google Scholar] [CrossRef]
- Ozturk, A.; Cicek, T.; Aktas, Z.; Demirag, F.; Yilmaz, A. Mediastinal ectopic thyroid diagnosed by endobronchial ultrasound-guided transbronchial needle aspiration: Report of three cases. J. Clin. Ultrasound 2018, 46, 299–301. [Google Scholar] [CrossRef]
- Santangelo, G.; Pellino, G.; De Falco, N.; Colella, G.; D’Amato, S.; Maglione, M.G.; De Luca, R.; Canonico, S.; De Falco, M. Prevalence, diagnosis and management of ectopic thyroid glands. Int. J. Surg. 2016, 28 (Suppl. S1), S1–S6. [Google Scholar] [CrossRef]
- Wu, F.; Qu, L.; Li, D.Q.; Hu, C.H. Primary mediastinal large B-cell lymphoma arising from thyroid in a renal recipient with Hashimoto’s thyroiditis. Int. J. Clin. Exp. Pathol. 2015, 8, 5944–5946. [Google Scholar]
- Guimarães, M.J.A.d.C.; Valente, C.M.S.; Santos, L.; Baganha, M.F. Ectopic thyroid in the anterior mediastinum. J. Bras. de Pneumol. 2009, 35, 383–387. [Google Scholar] [CrossRef]
- Barker, T.A.; Daultrey, C.R.; Trotter, S.E.; Kalkat, M. Intrathymic Primary Intrathoracic Goiter in a Patient With Breast Malignancy. Ann. Thorac. Surg. 2012, 93, e35–e36. [Google Scholar] [CrossRef]
- Kim, H.-J.; Leem, K.-H.; Kim, M.-H. Correlation between Subjective and Objective Measurement of Climacteric Women’s Hot Flashes. J. Korean Acad. Nurs. 2010, 40, 765–774. [Google Scholar] [CrossRef] [PubMed]
- Lui, K.; Wilson, M.P.; Low, G. Abdominal imaging findings in patients with SARS-CoV-2 infection: A scoping review. Abdom. Radiol. 2020, 46, 1249–1255. [Google Scholar] [CrossRef] [PubMed]
- Agarwal, L.; Agarwal, A.; Advani, S.; Katiyar, V.; Chaturvedi, A.; Madhusudhan, K.S. The eyes see what the mind seeks: A systematic review of abdominal imaging findings in patients with COVID-19. Br. J. Radiol. 2021, 94, 20201220. [Google Scholar] [CrossRef] [PubMed]
- Bhayana, R.; Som, A.; Li, M.D.; Carey, D.E.; Anderson, M.A.; Blake, M.A.; Catalano, O.; Gee, M.S.; Hahn, P.F.; Harisinghani, M.; et al. Abdominal Imaging Findings in COVID-19: Preliminary Observations. Radiology 2020, 297, E207–E215. [Google Scholar] [CrossRef]
- Park, S.S.; Kim, J.H. Recent Updates on the Management of Adrenal Incidentalomas. Endocrinol. Metab. 2023, 38, 373–380. [Google Scholar] [CrossRef]
- Fassnacht, M.; Tsagarakis, S.; Terzolo, M.; Tabarin, A.; Sahdev, A.; Newell-Price, J.; Pelsma, I.; Marina, L.; Lorenz, K.; Bancos, I.; et al. European Society of Endocrinology clinical practice guidelines on the management of adrenal incidentalomas, in collaboration with the European Network for the Study of Adrenal Tumors. Eur. J. Endocrinol. 2023, 189, G1–G42. [Google Scholar] [CrossRef]
- Glazer, D.I.; Mayo-Smith, W.W. Management of incidental adrenal masses: An update. Abdom. Imaging 2019, 45, 892–900. [Google Scholar] [CrossRef]
- Kola, E.; Gjata, A.; Kola, I.; Guy, A.; Musa, J.; Biba, V.; Filaj, V.; Horjeti, E.; Nakuci, D.; Cobo, A.; et al. Ectopic thyroid tissue in the anterior mediastinum along with a normally located gland. Radiol. Case Rep. 2021, 16, 3191–3195. [Google Scholar] [CrossRef]
- Hummel, J.; Wachsmann, J.; Carrick, K.; Oz, O.K.; Mathews, D.; Peng, F. Ectopic Thyroid Tissue in the Mediastinum Characterized by Histology and Functional Imaging with I-123 SPECT/CT. Case Rep. Radiol. 2017, 2017, 9084207. [Google Scholar] [CrossRef]
- Agrawal, K.; Patro, P.S.S.; Behera, K.K. Graves’ disease in eutopic thyroid with ectopic mediastinal thyroid tissue: Role of single photon emission computed tomography-computed tomography. Indian J. Nucl. Med. 2019, 34, 230–232. [Google Scholar] [CrossRef]
- Imai, T.; Morishita, Y.; Ito, S.; Saijo, S.; Asada, Y. A Case of Ectopic Thyroid Presenting as a Superior Mediastinal Mass. Cureus 2020, 12, e9541. [Google Scholar] [CrossRef] [PubMed]
- Metere, A.; De Giacomo, T.; Vergine, M.; Biffoni, M.; Giacomelli, L. Diagnosis and management of a mediastinal ectopic thyroid laying on the right bronchus: Case report and review of literature. BMC Surg. 2018, 18, 19. [Google Scholar] [CrossRef] [PubMed]
- Scognamillo, F.; Attene, F.; Paliogiannis, P.; Ruggiu, M.W.; Cossu, A.; Trignano, M. Is sternotomy always necessary for the treatment of mediastinal ectopic thyroid goiter? Ann. Ital. Chir. 2014, 85, 304–307. [Google Scholar]
- Walz, P.C.; Iwenofu, O.H.; Essig, G.F. Ectopic mediastinal goiter successfully managed via cervical approach: Case report and review of the literature. Head Neck 2013, 35, E94–E97. [Google Scholar] [CrossRef] [PubMed]
- Mace, A.D.; Taghi, A.; Khalil, S.; Sandison, A. Ectopic Sequestered Thyroid Tissue: An Unusual Cause of a Mediastinal Mass. ISRN Surg. 2011, 2011, 313626. [Google Scholar] [CrossRef] [PubMed]
- Uchida, N.; Yoshida, M. Mucosa-associated lymphoid tissue (MALT) lymphoma developing in ectopic mediastinal thyroid tissue: A case report. Surg. Case Rep. 2020, 6, 97. [Google Scholar] [CrossRef]
- Di Crescenzo, V.; Vitale, M.; Valvano, L.; Napolitano, F.; Vatrella, A.; Zeppa, P.; De Rosa, G.; Amato, B.; Laperuta, P. Surgical management of cervico-mediastinal goiters: Our experience and review of the literature. Int. J. Surg. 2016, 28 (Suppl. S1), S47–S53. [Google Scholar] [CrossRef]
- Ahuja, K.; Bhandari, T.; Banait-Deshmane, S.; Crowe, D.R.; Sonavane, S.K. Incidentally detected ectopic thyroid in juxta cardiac location—Imaging and pathology. Radiol. Case Rep. 2018, 13, 909–913. [Google Scholar] [CrossRef]
- Gao, M.; He, Q.; Li, L.; Ji, F.; Ding, Y.; Sun, Q.; Qiu, X. The clinicopathological features, treatment outcomes and follow-up results of 47 ectopic thyroid gland cases: A single-center retrospective study. Front. Endocrinol. 2023, 14, 1278734. [Google Scholar] [CrossRef]
- Muzurović, E.; Smolović, B.; Miladinović, M.; Muhović, D.; Čampar, B. Diagnosis and treatment of mediastinal ectopic thyroid tissue with normally located thyroid gland and primary hyperparathyroidism: A case report. Gland. Surg. 2021, 10, 1532–1541. [Google Scholar] [CrossRef]
- Kamaleshwaran, K.; Rajan, F.; Asokumar, P.; Mohanan, V.; Shinto, A. Mediastinal ectopic benign colloid goitre detected using iodine-131 whole body scintigraphy and single-photon emission computed tomography-computed tomography. Indian J. Nucl. Med. 2015, 30, 180–182. [Google Scholar] [CrossRef] [PubMed]
- Calhoun, R.F.; Ritter, J.H.; Guthrie, T.J.; Pestronk, A.; Meyers, B.F.; Patterson, G.A.; Pohl, M.S.; Cooper, J.D. Results of Transcervical Thymectomy for Myasthenia Gravis in 100 Consecutive Patients. Ann. Surg. 1999, 230, 555–559, discussion 559–561. [Google Scholar] [CrossRef] [PubMed]
- Temeck, B.K.; Pass, H.I. A method to facilitate subxiphoid pericardiotomy. Ann. Thorac. Surg. 1994, 57, 1015–1017. [Google Scholar] [CrossRef] [PubMed]
- Shrager, J.B.; Deeb, M.E.; Mick, R.; Brinster, C.J.; Childers, H.E.; Marshall, M.; Kucharczuk, J.C.; Galetta, S.L.; Bird, S.J.; Kaiser, L.R. Transcervical thymectomy for myasthenia gravis achieves results comparable to thymectomy by sternotomy. Ann. Thorac. Surg. 2002, 74, 320–327. [Google Scholar] [CrossRef]
- Agrafiotis, A.C.; Berzenji, L.; Koyen, S.; Vermeulen, D.; Winthagen, R.; Hendriks, J.M.H.; Van Schil, P.E. Surgical treatment of thymic epithelial tumors: A narrative review. Mediastinum 2024, 8, 32. [Google Scholar] [CrossRef]
- Takenaka, M.; Kuroda, K.; Tanaka, F. Perioperative management and postoperative outcomes of locally advanced thymic epithelial tumors: A narrative review. Mediastinum 2023, 8, 7. [Google Scholar] [CrossRef]
- Wagner, C.; Wakeam, E.; Keshavjee, S. The role of surgery in the management of locally advanced and metastatic thymoma: A narrative review. Mediastinum 2021, 5, 14. [Google Scholar] [CrossRef]
- Nistor, C.-E.; Găvan, C.S.; Ciritel, A.-A.; Nemes, A.F.; Ciuche, A. The Association of Minimally Invasive Surgical Approaches and Mortality in Patients with Malignant Pleuropericarditis—A 10 Year Retrospective Observational Study. Medicina 2022, 58, 718. [Google Scholar] [CrossRef]
- Alqahtani, S.M.; Alwohaibi, R.N.; Alahmari, M.S.; Almuhaimid, T.M. Multinodular goiter with a retropharyngeal extension: A report of two cases and literature review. J. Fam. Community Med. 2024, 31, 176–179. [Google Scholar] [CrossRef]
- Lee, S.E.; Kim, E.-K.; Moon, H.J.; Yoon, J.H.; Park, V.Y.; Han, K.; Kwak, J.Y. Guideline Implementation on Fine-Needle Aspiration for Thyroid Nodules: Focusing on Micronodules. Endocr. Pract. 2020, 26, 1017–1025. [Google Scholar] [CrossRef]
- An, Q.; Zhang, Q.-H.; Wang, Y.; Zhang, H.-Y.; Liu, Y.-H.; Zhang, Z.-T.; Zhang, M.-L.; Lin, L.-J.; He, H.; Yang, Y.-F.; et al. Association between type 2 diabetes mellitus and body composition based on MRI fat fraction mapping. Front. Public Health 2024, 12, 1332346. [Google Scholar] [CrossRef] [PubMed]
- Zenoaga-Barbăroșie, C.; Berca, L.; Vassu-Dimov, T.; Toma, M.; Nica, M.; Alexiu-Toma, O.; Ciornei, C.; Albu, A.; Nica, S.; Nistor, C.; et al. The Predisposition for Type 2 Diabetes Mellitus and Metabolic Syndrome. Balk. J. Med. Genet. 2023, 26, 21–26. [Google Scholar] [CrossRef] [PubMed]
- Berlińska, A.; Świątkowska-Stodulska, R. Clinical use of thyroglobulin: Not only thyroid cancer. Endocrine 2024, 84, 786–799. [Google Scholar] [CrossRef] [PubMed]





| Unusual Findings in this Case | Similar Reports—First Author | Reference |
|---|---|---|
| Detection upon prior COVID-19 infection | Melinte A. | [40] |
| Pre-surgery presentation with intermittent night sweats (and remission following ectopic thyroid removal) | Motlaghzadeh Y. | [2] |
| Guimarães MJ. | [49] | |
| Barker TA. | [50] | |
| Co-presence of a unilateral adrenal incidentaloma | Kola E. | [58] |
| Conservative management | Motlaghzadeh Y. | [2] |
| Hummel J. | [59] | |
| Agrawal K. | [60] | |
| Trans-cervical incision for removal of the mediastinal thyroid | Aziz J. | [39] |
| Imai T. | [61] | |
| Metere A. | [62] | |
| Scognamillo F. | [63] | |
| Walz PC. | [64] | |
| Mace AD. | [65] | |
| Uchida N. | [66] | |
| Synchronous thymus mass removal | Gao M. | [69] |
| Muzurović E. | [71] | |
| Kamaleshwaran KK. | [78] |
Disclaimer/Publisher’s Note: The statements, opinions and data contained in all publications are solely those of the individual author(s) and contributor(s) and not of MDPI and/or the editor(s). MDPI and/or the editor(s) disclaim responsibility for any injury to people or property resulting from any ideas, methods, instructions or products referred to in the content. |
© 2024 by the authors. Licensee MDPI, Basel, Switzerland. This article is an open access article distributed under the terms and conditions of the Creative Commons Attribution (CC BY) license (https://creativecommons.org/licenses/by/4.0/).
Share and Cite
Nistor, C.; Ciobica, M.-L.; Sima, O.-C.; Cucu, A.-P.; Vasilescu, F.; Eftimie, L.-G.; Terzea, D.; Costachescu, M.; Ciuche, A.; Carsote, M. Ectopic Mediastinal Thyroid: A Crossroad Between a Multi-Layered Endocrine Perspective and a Contemporary Approach in Thoracic Surgery. Life 2024, 14, 1374. https://doi.org/10.3390/life14111374
Nistor C, Ciobica M-L, Sima O-C, Cucu A-P, Vasilescu F, Eftimie L-G, Terzea D, Costachescu M, Ciuche A, Carsote M. Ectopic Mediastinal Thyroid: A Crossroad Between a Multi-Layered Endocrine Perspective and a Contemporary Approach in Thoracic Surgery. Life. 2024; 14(11):1374. https://doi.org/10.3390/life14111374
Chicago/Turabian StyleNistor, Claudiu, Mihai-Lucian Ciobica, Oana-Claudia Sima, Anca-Pati Cucu, Florina Vasilescu, Lucian-George Eftimie, Dana Terzea, Mihai Costachescu, Adrian Ciuche, and Mara Carsote. 2024. "Ectopic Mediastinal Thyroid: A Crossroad Between a Multi-Layered Endocrine Perspective and a Contemporary Approach in Thoracic Surgery" Life 14, no. 11: 1374. https://doi.org/10.3390/life14111374
APA StyleNistor, C., Ciobica, M.-L., Sima, O.-C., Cucu, A.-P., Vasilescu, F., Eftimie, L.-G., Terzea, D., Costachescu, M., Ciuche, A., & Carsote, M. (2024). Ectopic Mediastinal Thyroid: A Crossroad Between a Multi-Layered Endocrine Perspective and a Contemporary Approach in Thoracic Surgery. Life, 14(11), 1374. https://doi.org/10.3390/life14111374

