Optimization Workflow of Fumonisin Esterase Production for Biocatalytic Degradation of Fumonisin B1
Abstract
1. Introduction
2. Materials and Methods
2.1. Strains, Vectors, and Media
2.2. Construction of the Production Plasmid
2.3. Preparation of the CFE-producing P. pastoris Strain
2.4. Evaluation of Transgene Copy Number and Integration Site with qPCR
2.5. Rapid Colony qPCR Analysis of the Copy Numbers
2.6. Optimization of a Novel Fermentation Medium
2.7. Test Fermentation in a 5 L Fermenter
2.8. Scaling-Up of the Fermentation to 100 L
2.9. Analysis of the Fermentations
2.9.1. SDS-PAGE
2.9.2. Enzyme Activity Measurement
2.9.3. HPLC-FLD Analysis
2.9.4. Calculation of the Relative Activity %
3. Results and Discussion
3.1. Preparation of a P. pastoris Strain Containing an Integrated Single-Copy of pGAPGUT1-CFE Production Plasmid
3.2. qPCR Analysis of the Transformants
3.2.1. Absolute Quantification
3.2.2. Relative Quantification Using the Pfaffl Method
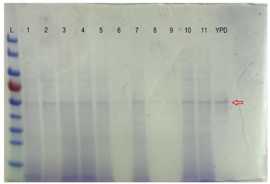
3.3. Optimization of a Novel Fermentation Media for Enzyme Production
3.4. Scale-Up of the CFE Production in IYD Media
3.4.1. Economic Calculation for Fermentation Scale-Up
3.4.2. Scale-Up to Demonstration Scale
4. Conclusions
Author Contributions
Funding
Institutional Review Board Statement
Informed Consent Statement
Data Availability Statement
Conflicts of Interest
Appendix A. Primers and Sequences, and Analyses of CFE Fermentations
| 5′-ATGGCTGGTGCTGCTACTGCTACCGACTTCCCAGTTCGTAGAACCGATTTAGGTCAAGTCCAGGGTCTAGCTGGCGATGTTATG TCTTTCAGAGGAATACCTTATGCCGCCCCACCTGTGGGTGGCTTGAGATGGAAACCACCCCAACACGCAAGACCATGGGCCGGTGTG AGGCCAGCAACACAGTTCGGATCCGACTGTTTTGGAGCCGCATACCTGAGGAAAGGTTCACTGGCTCCTGGTGTGAGTGAAGATTGT TTGTATCTGAACGTTTGGGCTCCATCCGGCGCAAAACCTGGACAATATCCTGTTATGGTGTGGGTATACGGTGGTGGATTCGCTGGC GGTACTGCTGCTATGCCATACTATGATGGTGAAGCATTGGCTCGTCAGGGTGTCGTTGTGGTCACCTTTAACTATAGAACCAATATT CTGGGATTTTTCGCACATCCAGGTTTGTCTAGAGAGTCTCCTACAGGTACTTCAGGTAATTACGGATTGTTGGACATCTTGGCAGCT CTGAGATGGGTTCAATCTAATGCTCGTGCCTTTGGTGGTGACCCTGGAAGAGTAACTGTTTTTGGAGAGAGTGCGGGTGCATCCGCT ATTGGTTTGTTGTTAACATCCCCATTATCAAAGGGACTGTTTCGTGGTGCTATTCTGGAGTCACCGGGTCTAACACGACCATTAGCA ACGCTCGCCGATTCCGCTGCCAGCGGAGAGAGACTTGACGCAGATTTATCGAGACTTAGATCGACTGACCCTGCAACGTTGATGGCT AGGGCTGACGCTGCAAGACCAGCAAGCCGTGATCTTCGTAGACCCCGTCCTACAGGACCAATCGTAGATGGACACGTACTACCACAA ACAGATAGCGCTGCTATTGCCGCTGGACAATTGGCTCCTGTTAGAGTCCTGATCGGAACTAACGCTGACGAGGGTAGAGCTTTTCTT GGTAGGGCACCTATGGAAACACCAGCTGACTATCAGGCCTACTTGGAAGCTCAATTTGGTGACCAAGCTGCCGCCGTTGCAGCTTGT TACCCTTTGGACGGCAGAGCTACACCCAAGGAAATGGTTGCACGTATCTTTGGTGACAATCAATTCAATAGGGGTGTGTCCGCATTT TCTGAAGCTTTAGTGAGACAGGGTGCTCCAGTCTGGCGTTACCAATTCAATGGCAACACTGAGGGTGGCAGAGCCCCGGCAACTCAT GGTGCAGAAATCCCATACGTGTTCGGTGTTTTCAAGCTTGATGAATTGGGTTTGTTCGACTGGCCACCAGAGGGACCGACACCCGCA GATAGGGCACTCGGACAATTGATGTCCAGTGCCTGGGTAAGATTTGCTAAAAACGGTGATCCTGCTGGTGATGCTCTTACGTGGCCT GCATATTCTACTGGTAAATCAACTATGACTTTCGGTCCCGAGGGGAGAGCAGCAGTCGTTTCCCCCGGGCCTAGCATCCCTCCATGC GCTGATGGTGCTAAGGCTGGATAATAG-3′ |
| Target | Primer Name | Sequence 5′-3′ |
|---|---|---|
| 3′ GUT1 | 3′ GUT1_f | CCTTTTGCTGGCCTTTTGCTCACAGCTAGCCAATCTGCCTCTTTGGTTGGACAG |
| 3′ GUT1_r | CTAGTGGTGTATAGTCTTTTCCCATTCGCGATTAAGCAGTGTCCTTAAGCCAGCC | |
| 5′ GUT1 | 5′ GUT1_f | GGCTGGCTTAAGGACACTGCTTAATCGCGAATGGGAAAAGACTATACACCACTAGTTG |
| 5′ GUT1_r | GACACCAAGACATTTCTACAAAAAGTCGACAAGGTAAGACTCAACATATCCAATAGACTC | |
| Production cassette | pc_f | CTATTGGATATGTTGAGTCTTACCTTGTCGACTTTTTGTAGAAATGTCTTGGTGTCCTCG |
| pc_r | ACAAAAGAAACAAGACATTACTGAAGGATCGCACAAACGAAGGTCTCACTTAATCTTCTG | |
| Vector | V_f | AAGATTAAGTGAGACCTTCGTTTGTGCGATCCTTCAGTAATGTCTTGTTTCTTTTGTTGC |
| V_r | CTGTCCAACCAAAGAGGCAGATTGGCTAGCTGTGAGCAAAAGGCCAGCAAAAGG | |
| ZEO, qPCR | Zeo_for_new | AACACTCTGGCATGGGTATG |
| Zeo_rev_new | GCATCACGGAAGTTGGTAGAC | |
| 5′ GUT1, qPCR | Gut 5′ f, qPCR | ACTACCTCCACCAGAGCTATT |
| Gut5 r, qPCR | CATCCTGAGCAGAGGTAGAGTA | |
| ARG4, qPCR | Arg4_f_qPCR | TCCATTGACTCCCGTTTTGAG |
| Arg4_r_qPCR | TCCTCCGGTGGCAGTTCTT |



| Run No. | Dilution (×) |
|---|---|
| YPD | 300 |
| 1 | 300 |
| 2 | 300 |
| 3 | 300 |
| 4 | 300 |
| Centrum (5,7,10) | 300 |
| 6 | 30 |
| 8 | 30 |
| 9 | 30 |
| 11 | 300 |
| Optimal | 500 |
| Optimal, 5-L scale | 500 |
| Batch, 100-L scale | 1000 |
| Fed-batch, 100-L scale | 2000 |
References
- Sarrouh, B. Up-To-Date Insight on Industrial Enzymes Applications and Global Market. J. Bioprocess. Biotech. 2012, s4, 2. [Google Scholar] [CrossRef]
- Juturu, V.; Wu, J.C. Heterologous Protein Expression in Pichia pastoris: Latest Research Progress and Applications. ChemBioChem 2018, 19, 7–21. [Google Scholar] [CrossRef]
- Cregg, J.M.; Vedvick, T.S.; Raschke, W.C. Recent Advances in the Expression of Foreign Genes in Pichia pastoris. Nat. Biotechnol. 1993, 11, 905–910. [Google Scholar] [CrossRef] [PubMed]
- Zhang, A.-L.; Luo, J.-X.; Zhang, T.-Y.; Pan, Y.-W.; Tan, Y.-H.; Fu, C.-Y.; Tu, F. Recent advances on the GAP promoter derived expression system of Pichia pastoris. Mol. Biol. Rep. 2009, 36, 1611–1619. [Google Scholar] [CrossRef] [PubMed]
- Spohner, S.C.; Müller, H.; Quitmann, H.; Czermak, P. Expression of enzymes for the usage in food and feed industry with Pichia pastoris. J. Biotechnol. 2015, 202, 118–134. [Google Scholar] [CrossRef]
- Garrigós-Martínez, J.; Vuoristo, K.; Nieto-Taype, M.A.; Tähtiharju, J.; Uusitalo, J.; Tukiainen, P.; Schmid, C.; Tolstorukov, I.; Madden, K.; Penttilä, M.; et al. Bioprocess performance analysis of novel methanol-independent promoters for recombinant protein production with Pichia pastoris. Microb. Cell Fact. 2021, 20, 74. [Google Scholar] [CrossRef]
- García-Ortega, X.; Cámara, E.; Ferrer, P.; Albiol, J.; Montesinos-Seguí, J.L.; Valero, F. Rational development of bioprocess engineering strategies for recombinant protein production in Pichia pastoris (Komagataella phaffii) using the methanol-free GAP promoter. Where do we stand? New Biotechnol. 2019, 53, 24–34. [Google Scholar] [CrossRef] [PubMed]
- Waterham, H.R.; Digan, M.E.; Koutz, P.J.; Lair, S.V.; Cregg, J.M. Isolation of the Pichia pastoris glyceraldehyde-3-phosphate dehydrogenase gene and regulation and use of its promoter. Gene 1997, 186, 37–44. [Google Scholar] [CrossRef]
- Döring, F.; Klapper, M.; Theis, S.; Daniel, H. Use of the Glyceraldehyde-3-Phosphate Dehydrogenase Promoter for Production of Functional Mammalian Membrane Transport Proteins in the Yeast Pichia pastoris. Biochem. Biophys. Res. Commun. 1998, 250, 531–535. [Google Scholar] [CrossRef]
- Vogl, T.; Gebbie, L.; Palfreyman, R.W.; Speight, R. Effect of Plasmid Design and Type of Integration Event on Recombinant Protein Expression in Pichia pastoris. Appl. Environ. Microbiol. 2018, 84, e02712-17. [Google Scholar] [CrossRef]
- Näätsaari, L.; Mistlberger, B.; Ruth, C.; Hajek, T.; Hartner, F.S.; Glieder, A. Deletion of the Pichia pastoris KU70 Homologue Facilitates Platform Strain Generation for Gene Expression and Synthetic Biology. PLoS ONE 2012, 7, e39720. [Google Scholar] [CrossRef] [PubMed]
- Raschmanová, H.; Weninger, A.; Glieder, A.; Kovar, K.; Vogl, T. Implementing CRISPR-Cas technologies in conventional and non-conventional yeasts: Current state and future prospects. Biotechnol. Adv. 2018, 36, 641–665. [Google Scholar] [CrossRef]
- Liu, Q.; Shi, X.; Song, L.; Liu, H.; Zhou, X.; Wang, Q.; Zhang, Y.; Cai, M. CRISPR–Cas9-mediated genomic multiloci integration in Pichia pastoris. Microb. Cell Fact. 2019, 18, 144. [Google Scholar] [CrossRef] [PubMed]
- Abad, S.; Kitz, K.; Hörmann, A.; Schreiner, U.; Hartner, F.S.; Glieder, A. Real-time PCR-based determination of gene copy numbers in Pichia pastoris. Biotechnol. J. 2010, 5, 413–420. [Google Scholar] [CrossRef]
- Neringa, D.; Navickaite, M.; Ana, D. Direct PCR from Yeast Cells. Available online: https://assets.thermofisher.com/TFS-Assets/LSG/Application-Notes/direct-pcr-yeast-app-note.pdf (accessed on 5 August 2023).
- Kumar, S.; Mannil, A.; Mutturi, S. Modified chemical method for efficient transformation and diagnosis in Pichia pastoris. Protein Expr. Purif. 2020, 174, 105685. [Google Scholar] [CrossRef]
- Matthews, C.B.; Kuo, A.; Love, K.R.; Love, J.C. Development of a general defined medium for Pichia pastoris. Biotechnol. Bioeng. 2018, 115, 103–113. [Google Scholar] [CrossRef] [PubMed]
- ATUM Culture and Induction Protocol to Screen for Protein Expression in Pichia pastoris. Available online: https://www.atum.bio/assets/pdf/Pichia_Culture_and_Induction_Protocol6.pdf (accessed on 5 August 2023).
- Zheng, J.; Zhao, W.; Guo, N.; Lin, F.; Tian, J.; Wu, L.; Zhou, H. Development of an industrial medium and a novel fed-batch strategy for high-level expression of recombinant β-mananase by Pichia pastoris. Bioresour. Technol. 2012, 118, 257–264. [Google Scholar] [CrossRef]
- Batista, K.A.; Bataus, L.A.M.; Campos, I.T.N.; Fernandes, K.F. Development of culture medium using extruded bean as a nitrogen source for yeast growth. J. Microbiol. Methods 2013, 92, 310–315. [Google Scholar] [CrossRef][Green Version]
- Sun, T.; Yan, P.; Zhan, N.; Zhang, L.; Chen, Z.; Zhang, A.; Shan, A. The optimization of fermentation conditions for Pichia pastoris GS115 producing recombinant xylanase. Eng. Life Sci. 2020, 20, 216–228. [Google Scholar] [CrossRef]
- Invitrogen. Pichia Fermentation Process Guidelines. Available online: https://tools.thermofisher.com/content/sfs/manuals/pichiaferm_prot.pdf (accessed on 5 August 2023).
- Stratton, J.; Chiruvolu, V.; Meagher, M. High Cell-Density Fermentation. Methods Mol. Biol. 1998, 103, 107–120. [Google Scholar] [CrossRef]
- D’Anjou, M.C.; Daugulis, A.J. Mixed-feed exponential feeding for fed-batch culture of recombinant methylotrophic yeast. Biotechnol. Lett. 2000, 22, 341–346. [Google Scholar] [CrossRef]
- Streit, E.; Naehrer, K.; Rodrigues, I.; Schatzmayr, G. Mycotoxin occurrence in feed and feed raw materials worldwide: Long-term analysis with special focus on Europe and Asia. J. Sci. Food Agric. 2013, 93, 2892–2899. [Google Scholar] [CrossRef]
- Qu, L.; Wang, L.; Ji, H.; Fang, Y.; Lei, P.; Zhang, X.; Jin, L.; Sun, D.; Dong, H. Toxic Mechanism and Biological Detoxification of Fumonisins. Toxins 2022, 14, 182. [Google Scholar] [CrossRef] [PubMed]
- Chen, J.; Li, Z.; Cheng, Y.; Gao, C.; Guo, L.; Wang, T.; Xu, J. Sphinganine-Analog Mycotoxins (SAMs): Chemical Structures, Bioactivities, and Genetic Controls. J. Fungi 2020, 6, 312. [Google Scholar] [CrossRef] [PubMed]
- Wu, F. Measuring the economic impacts of Fusarium toxins in animal feeds. Anim. Feed Sci. Technol. 2007, 137, 363–374. [Google Scholar] [CrossRef]
- Riley, R.T.; Merrill, A.H. Ceramide synthase inhibition by fumonisins: A perfect storm of perturbed sphingolipid metabolism, signaling, and disease. J. Lipid Res. 2019, 60, 1183–1189. [Google Scholar] [CrossRef]
- Desai, K.; Sullards, M.C.; Allegood, J.; Wang, E.; Schmelz, E.M.; Hartl, M.; Humpf, H.-U.; Liotta, D.; Peng, Q.; Merrill, A.H. Fumonisins and fumonisin analogs as inhibitors of ceramide synthase and inducers of apoptosis. Biochim. Biophys. Acta Mol. Cell Biol. Lipids 2002, 1585, 188–192. [Google Scholar] [CrossRef]
- Voss, K.A.; Smith, G.W.; Haschek, W.M. Fumonisins: Toxicokinetics, mechanism of action and toxicity. Anim. Feed Sci. Technol. 2007, 137, 299–325. [Google Scholar] [CrossRef]
- Ali, O.; Szabó-Fodor, J.; Fébel, H.; Mézes, M.; Balogh, K.; Glávits, R.; Kovács, M.; Zantomasi, A.; Szabó, A. Porcine Hepatic Response to Fumonisin B1 in a Short Exposure Period: Fatty Acid Profile and Clinical Investigations. Toxins 2019, 11, 655. [Google Scholar] [CrossRef] [PubMed]
- Bryden, W.L. Mycotoxin contamination of the feed supply chain: Implications for animal productivity and feed security. Anim. Feed Sci. Technol. 2012, 173, 134–158. [Google Scholar] [CrossRef]
- Kabak, B.; Dobson, A.D.W.; Var, I. Strategies to Prevent Mycotoxin Contamination of Food and Animal Feed: A Review. Crit. Rev. Food Sci. Nutr. 2006, 46, 593–619. [Google Scholar] [CrossRef]
- Shephard, G.S.; Thiel, P.G.; Sydenham, E.W.; Vleggaar, R.; Alberts, J.F. Determination of the mycotoxin fumonisin B1 and identification of its partially hydrolysed metabolites in the faeces of non-human primates. Food Chem. Toxicol. 1994, 32, 23–29. [Google Scholar] [CrossRef]
- Duvick, J.P.; Rood, T.; Maddox, J.; Wang, X. Fumonisin Detoxification Compositions and Methods. U.S. Patent 5,792,931, 11 August 1998. Available online: https://patents.google.com/patent/US5792931A/en (accessed on 5 August 2023).
- Green, M.R.; Sambrook, J. The Hanahan Method for Preparation and Transformation of Competent Escherichia coli: High-Efficiency Transformation. Cold Spring Harb. Protoc. 2018, 2018, pdb-prot101188. [Google Scholar] [CrossRef]
- De Schutter, K.; Lin, Y.-C.; Tiels, P.; Van Hecke, A.; Glinka, S.; Weber-Lehmann, J.; Rouzé, P.; Van de Peer, Y.; Callewaert, N. Genome sequence of the recombinant protein production host Pichia pastoris. Nat. Biotechnol. 2009, 27, 561–566. [Google Scholar] [CrossRef]
- Pfaffl, M. Quantification strategies in real-time PCR. In A–Z of Quantitative PCR; Bustin, S.A., Ed.; International University Line: La Jolla, CA, USA, 2004; pp. 87–112. [Google Scholar]
- Puligundla, P.; Mok, C.; Park, S. Advances in the valorization of spent brewer’s yeast. Innov. Food Sci. Emerg. Technol. 2020, 62, 102350. [Google Scholar] [CrossRef]
- Incze, D.J.; Bata, S.; Poppe, L. Characterization of two fumonisin esterases for efficient fumonisin B1 hydrolysis. Heliyon 2023. submitted. [Google Scholar]




| Replicate | ARG4 CT | GUT1 CT | ARG4 Copy Number | GUT1 Copy Number | GUT1:ARG4 |
|---|---|---|---|---|---|
| 1 | 22.27 | 21.78 | 10.21 × 105 | 12.82 × 105 | 1.25 |
| 2 | 22.24 | 21.79 | 10.45 × 105 | 12.78 × 105 | 1.22 |
| 3 | 22.26 | 21.86 | 10.34 × 105 | 12.20 × 105 | 1.18 |
| Colony Nr. | ZEO CT | GUT1 CT | ARG4 CT | Pfaffl Method | ΔΔCT Method w/o c. | ||
|---|---|---|---|---|---|---|---|
| ZEO:ARG4 | GUT1:ARG4 | ZEO:ARG4 | GUT1:ARG4 | ||||
| 1 | 25.94 ± 0.16 | 26.03 ± 0.02 | 27.11 ± 0.08 | - | - | - | - |
| 2 | 25.31 ± 0.11 | 25.38 ± 0.08 | 26.54 ± 0.12 | 1.1 | 1.1 | 1.0 | 1.1 |
| 3 | 24.06 ± 0.09 | 24.42 ± 0.16 | 25.65 ± 0.49 | 1.4 | 1.3 | 1.3 | 1.1 |
| 4 | 25.21 ± 0.09 | 25.61 ± 0.11 | 26.11 ± 0.30 | 0.8 | 0.7 | 0.8 | 0.7 |
| Run No. | Inactivated Yeast (%) | Dextrose (%) | Relative Activity (%) |
|---|---|---|---|
| 1 | 6 | 6 | 95.3 |
| 2 | 3 | 6 | 101.2 |
| 3 | 6 | 2 | 73.9 |
| 4 | 6 | 4 | 85.0 |
| 5 | 3 | 4 | 93.7 |
| 6 | 0 | 4 | 17.0 |
| 7 | 3 | 4 | 97.2 |
| 8 | 0 | 2 | 17.7 |
| 9 | 0 | 6 | 14.4 |
| 10 | 3 | 4 | 97.7 |
| 11 | 3 | 2 | 81.8 |
| Factor | SS | df | MS | F | p |
|---|---|---|---|---|---|
| IY% (L) | 7011.00 | 1 | 7011.00 | 1384.66 | 0.001 |
| IY% (Q) | 5234.50 | 1 | 5234.50 | 1033.81 | 0.001 |
| S% (L) | 234.38 | 1 | 234.38 | 46.29 | 0.021 |
| 1L by 2L | 152.52 | 1 | 152.52 | 30.123 | 0.032 |
| Lack of Fit | 63.68 | 4 | 15.92 | 3.14 | 0.256 |
| Pure Error | 10.13 | 2 | 5.06 | ||
| Total SS | 12,706.21 | 10 |
| Factor | Regr. Coeff. | Std. Err. | t(2) | p |
|---|---|---|---|---|
| Mean/Intercept | 16.22 | 3.18 | 5.1 | 0.036 |
| IY% (L) | 36.48 | 1.22 | 30.0 | 0.001 |
| IY% (Q) | −4.87 | 0.15 | −32.15 | 0.001 |
| S% (L) | 0.0375 | 0.73 | 0.05 | 0.960 |
| 1L by 2L | 1.03 | 0.19 | 5.49 | 0.032 |
| Run No. | Relative Activity (%) | Price vs. YPD (%) | Price vs. Centrum (%) |
|---|---|---|---|
| YPD | 100.0 | 100 | 1761 |
| 1 | 95.3 | 7 | 139 |
| 2 | 101.2 | 6 | 115 |
| 3 | 73.9 | 6 | 109 |
| 4 | 85.0 | 6 | 124 |
| Centrum (5, 7, 10) | 96.2 | 5 | 100 |
| 6 | 17.0 | 4 | 76 |
| 8 | 17.7 | 3 | 61 |
| 9 | 14.4 | 5 | 91 |
| 11 | 81.8 | 4 | 85 |
| Optimal | 90.5 | 5 | 87 |
Disclaimer/Publisher’s Note: The statements, opinions and data contained in all publications are solely those of the individual author(s) and contributor(s) and not of MDPI and/or the editor(s). MDPI and/or the editor(s) disclaim responsibility for any injury to people or property resulting from any ideas, methods, instructions or products referred to in the content. |
© 2023 by the authors. Licensee MDPI, Basel, Switzerland. This article is an open access article distributed under the terms and conditions of the Creative Commons Attribution (CC BY) license (https://creativecommons.org/licenses/by/4.0/).
Share and Cite
Incze, D.J.; Poppe, L.; Bata, Z. Optimization Workflow of Fumonisin Esterase Production for Biocatalytic Degradation of Fumonisin B1. Life 2023, 13, 1885. https://doi.org/10.3390/life13091885
Incze DJ, Poppe L, Bata Z. Optimization Workflow of Fumonisin Esterase Production for Biocatalytic Degradation of Fumonisin B1. Life. 2023; 13(9):1885. https://doi.org/10.3390/life13091885
Chicago/Turabian StyleIncze, Dániel János, László Poppe, and Zsófia Bata. 2023. "Optimization Workflow of Fumonisin Esterase Production for Biocatalytic Degradation of Fumonisin B1" Life 13, no. 9: 1885. https://doi.org/10.3390/life13091885
APA StyleIncze, D. J., Poppe, L., & Bata, Z. (2023). Optimization Workflow of Fumonisin Esterase Production for Biocatalytic Degradation of Fumonisin B1. Life, 13(9), 1885. https://doi.org/10.3390/life13091885

