Small Bowel Imaging from Stepchild of Roentgenology to MR Enterography: Part I: Guidance in Performing and Observing Normal and Abnormal Imaging Findings
Abstract
1. History Overview of Small Bowel Imaging
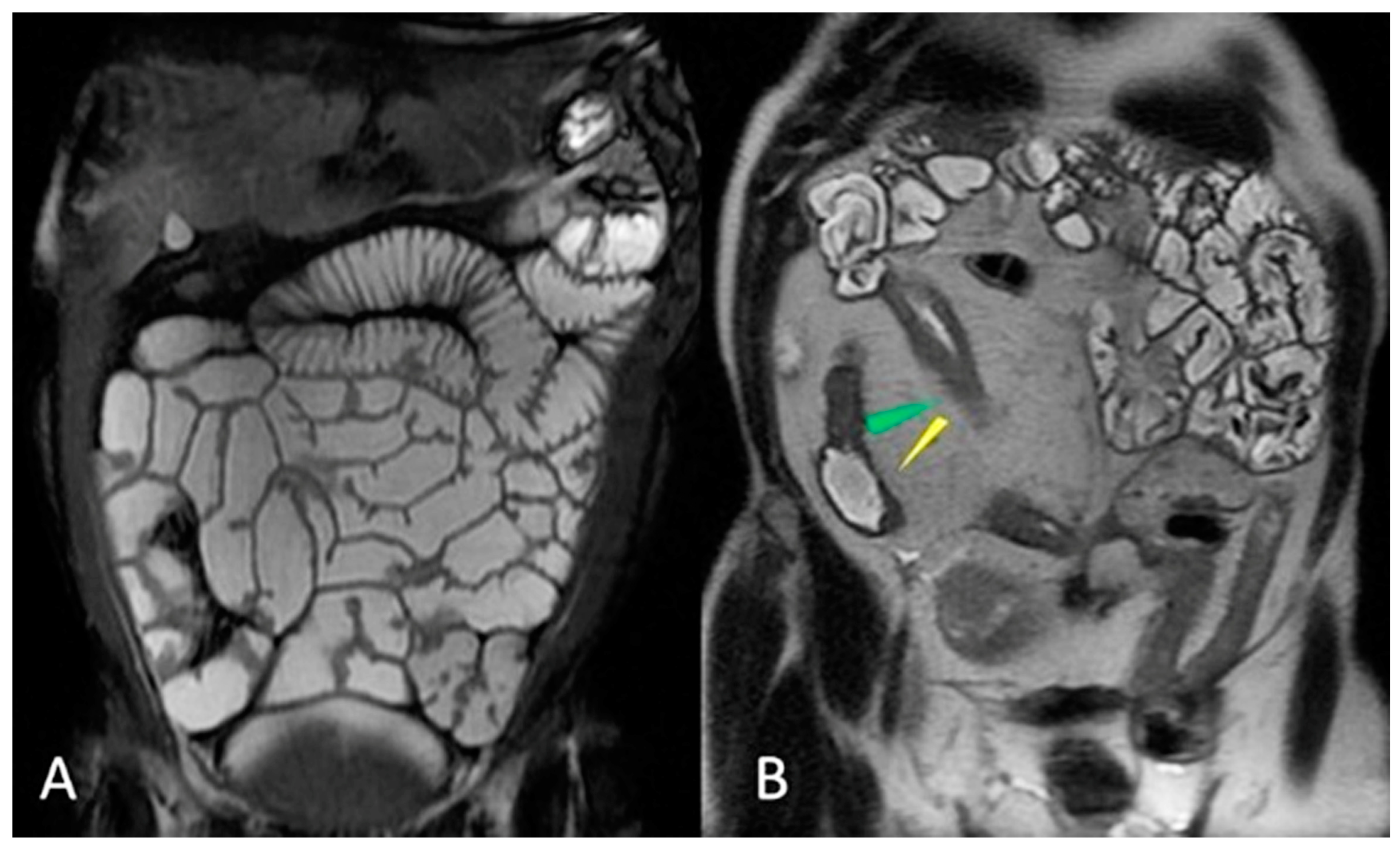
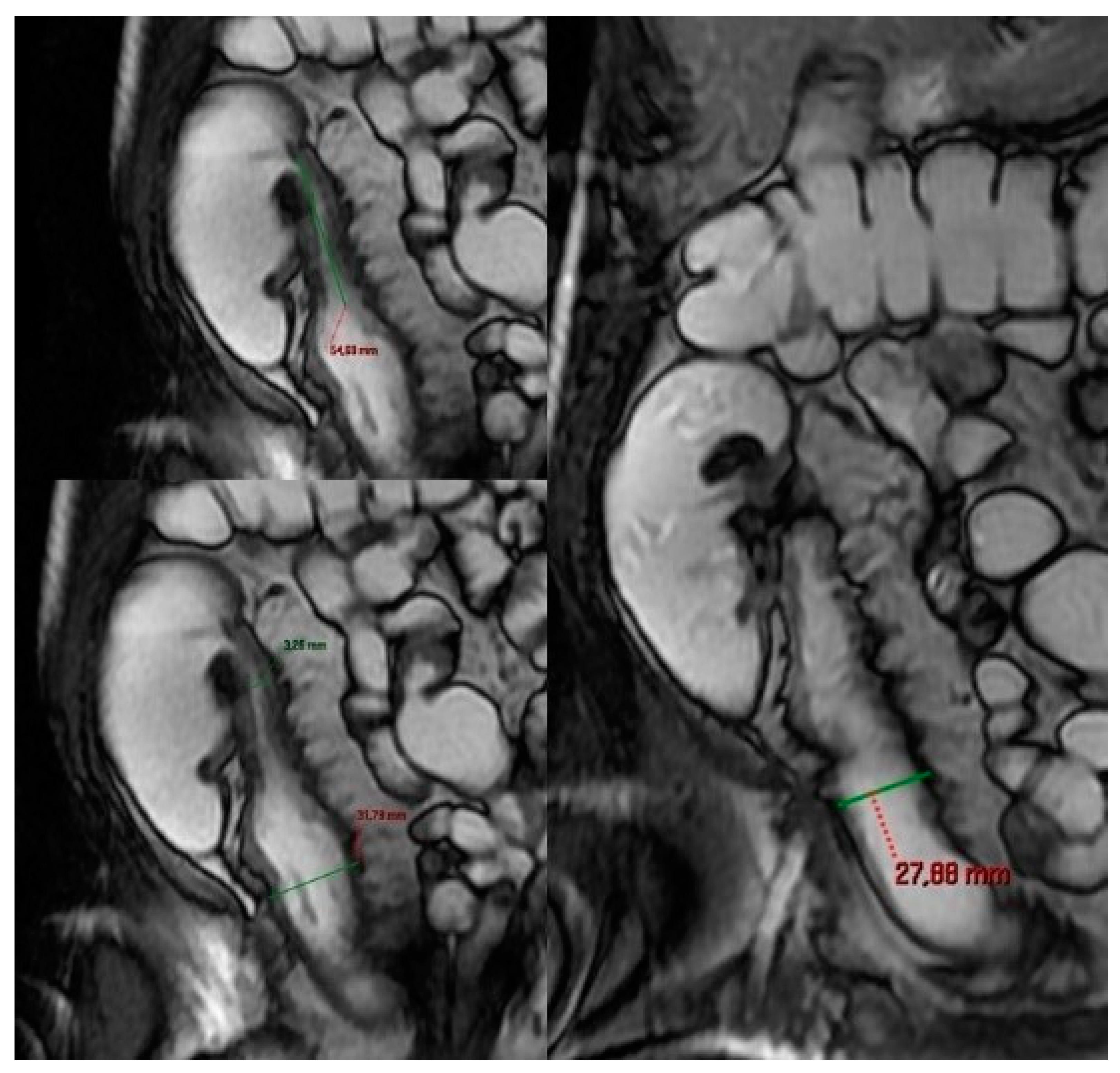
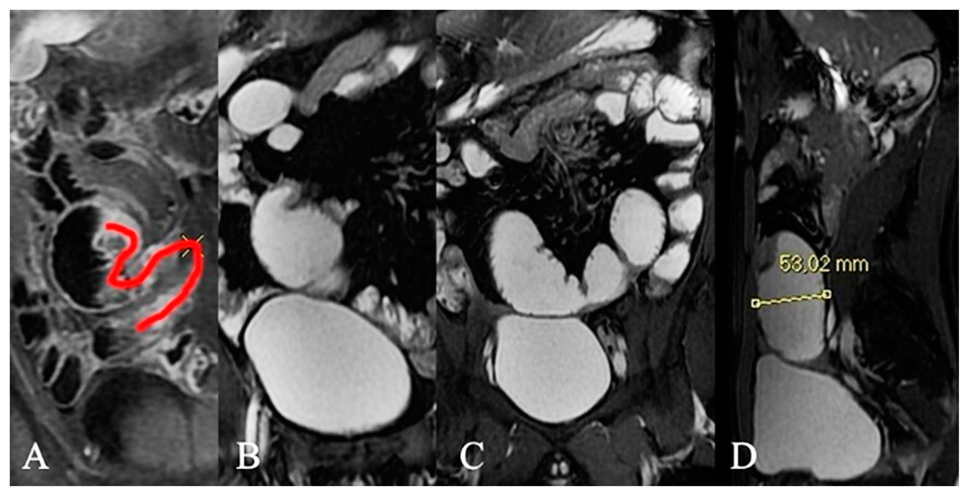
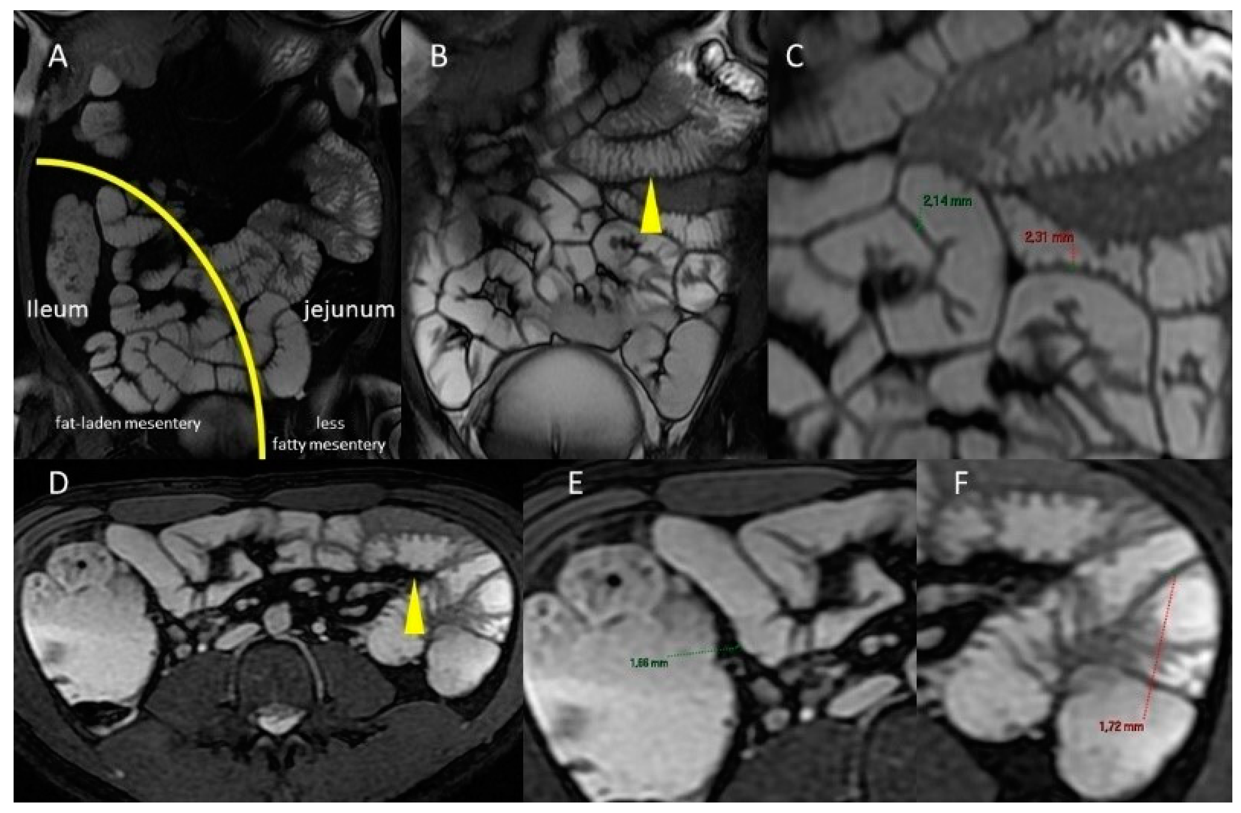
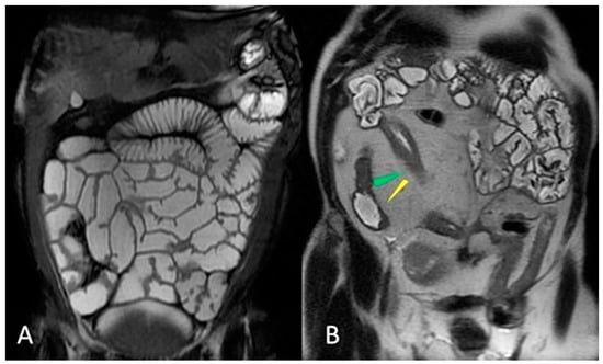
2. Macroscopic Anatomy Features of Small Bowel
3. Guidance in Performing MRE
4. MRE Clinical Indications
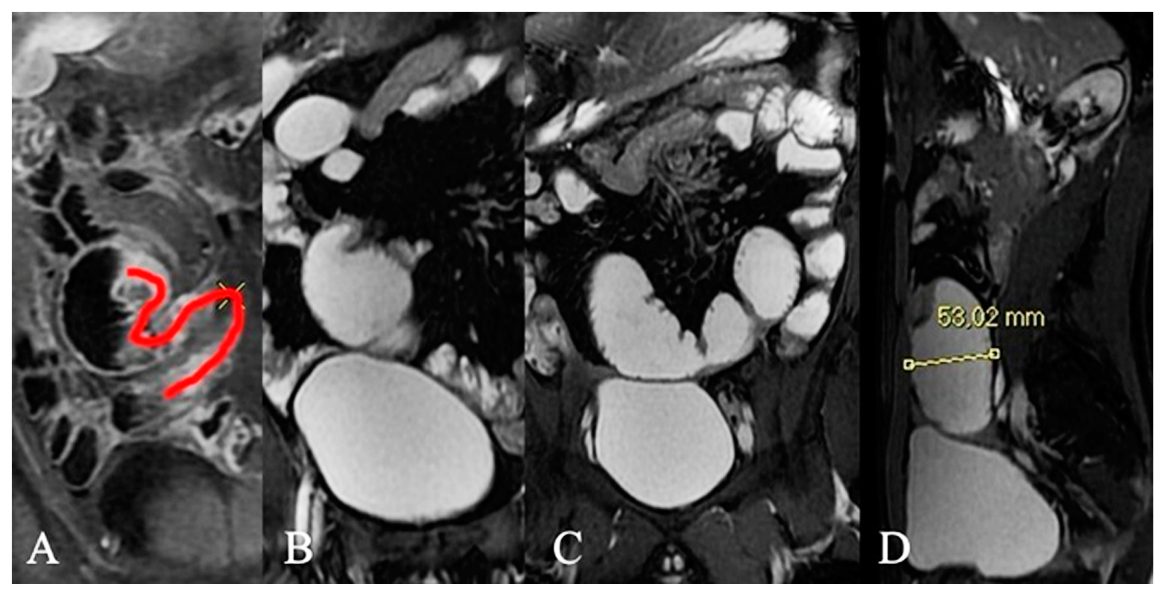
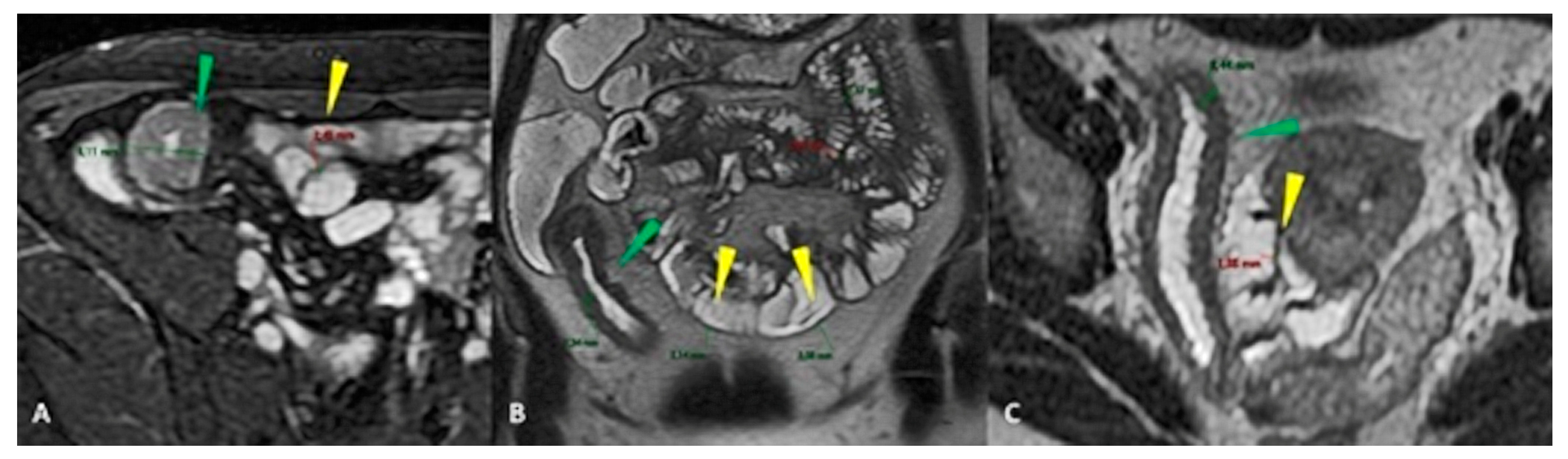
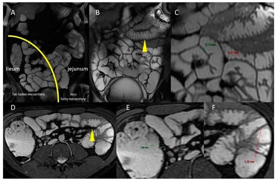
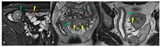
5. Small Bowel Loop Pathology on MRE
5.1. How to Properly Compose the Diagnostic Puzzle
5.2. Stepwise Methodology
6. Conclusions
Author Contributions
Funding
Institutional Review Board Statement
Informed Consent Statement
Data Availability Statement
Conflicts of Interest
References
- Maataoui, A.; Vogl, T.J.; Jacobi, V.; Khan, M.F. Enteroclysis: Current clinical value. World J. Radiol. 2013, 5, 253–258. [Google Scholar] [CrossRef]
- Maglinte, D.D.; Kohli, M.D.; Romano, S.; Lappas, J.C. Air (CO2) double-contrast barium enteroclysis. Radiology 2009, 252, 633–641. [Google Scholar] [CrossRef]
- Lang, G.; Schmiegel, W.; Nicolas, V.; Brechmann, T. Impact of Small Bowel MRI in Routine Clinical Practice on Staging of Crohn’s Disease. J. Crohn’s Colitis 2015, 9, 784–794. [Google Scholar] [CrossRef]
- Chu, K.F.; Moran, C.J.; Wu, K.; Kaplan, J.L.; Savarino, J.R.; Board, T.; Israel, E.J.; Winter, H.S.; Gee, M.S. Performance of Surveillance MR Enterography (MRE) in Asymptomatic Children and Adolescents with Crohn’s Disease. J. Magn. Reson. Imaging 2019, 50, 1955–1963. [Google Scholar] [CrossRef]
- Eisenberg, R.L.; Margulis, A.R. Brief history of gastrointestinal radiology. Radiographics 1991, 11, 121–132. [Google Scholar] [CrossRef] [PubMed]
- Peiris, D.; Wills, M. Imaging of the small bowel: A review of current practice. Br. J. Hosp. Med. 2020, 81, 1–10. [Google Scholar] [CrossRef] [PubMed]
- Campbell, J.; Berry, J.; Liang, Y. Anatomy and Physiology of the Small Intestine. In Shackelford’s Surgery of the Alimentary Tract, 2 Volume Set, 8th ed.; Yeo, C.J., Ed.; Elsevier: Amsterdam, The Netherlands, 2019; pp. 817–841. ISBN 9780323402323. [Google Scholar] [CrossRef]
- Prichard, D.O.; Hamilton, Z.; Savage, T.; Smyth, M.; Penner, C.; Lakhani, A.; Carroll, M.W.; Al Sarkhy, A.; Lemberg, D.A.; Enns, R.; et al. Capsule Endoscopy Complements Magnetic Resonance Enterography and Endoscopy in Evaluating Small Bowel Crohn’s Disease. J. Can. Assoc. Gastroenterol. 2019, 3, 279–287. [Google Scholar] [CrossRef]
- González-Suárez, B.; Rodriguez, S.; Ricart, E.; Ordás, I.; Rimola, J.; Díaz-González, Á.; Romero, C.; de Miguel, C.R.; Jáuregui, A.; Araujo, I.K.; et al. Comparison of Capsule Endoscopy and Magnetic Resonance Enterography for the Assessment of Small Bowel Lesions in Crohn’s Disease. Inflamm. Bowel Dis. 2018, 24, 775–780. [Google Scholar] [CrossRef]
- Volk, N.; Lacy, B. Anatomy and Physiology of the Small Bowel. Gastrointest. Endosc. Clin. N. Am. 2017, 27, 1–13. [Google Scholar] [CrossRef] [PubMed]
- Mahadevan, V. Anatomy of the small intestine. Surgery (Oxford) 2014, 32, 391–395. [Google Scholar] [CrossRef]
- Okino, Y.; Kiyosue, H.; Mori, H.; Komatsu, E.; Matsumoto, S.; Yamada, Y.; Suzuki, K.; Tomonari, K. Root of the small-bowel mesentery: Correlative anatomy and CT features of pathologic conditions. Radiographics 2001, 21, 1475–1490. [Google Scholar] [CrossRef] [PubMed]
- Jarman, B.T. Small bowel imaging. Surg. Clin. N. Am. 2011, 91, 109–125. [Google Scholar] [CrossRef]
- Torkzad, M.R.; Masselli, G.; Halligan, S.; Oto, A.; Neubauer, H.; Taylor, S.; Gupta, A.; Frøkjær, J.B.; Lawrance, I.C.; Welman, C.J.; et al. Indications and selection of MR enterography vs. MR enteroclysis with emphasis on patients who need small bowel MRI and general anaesthesia: Results of a survey. Insights Imaging 2015, 6, 339–346. [Google Scholar] [CrossRef] [PubMed]
- Hidalgo, L.H.; Moreno, E.A.; Arranz, J.C.; Alonso, R.C.; de Vega Fernández, V.M. Entero-resonancia magnética: Revisión de la técnica para el estudio de la enfermedad de Crohn [Magnetic resonance enterography: Review of the technique for the study of Crohn’s disease]. Radiologia 2011, 53, 421–433. [Google Scholar] [CrossRef] [PubMed]
- Panes, J.; Bouhnik, Y.; Reinisch, W.; Stoker, J.; Taylor, S.A.; Baumgart, D.C.; Danese, S.; Halligan, S.; Marincek, B.; Matos, C.; et al. Imaging techniques for assessment of inflammatory bowel disease: Joint ECCO and ESGAR evidence-based consensus guidelines. J. Crohn’s Colitis 2013, 7, 556–585. [Google Scholar] [CrossRef]
- Chatterji, M.; Fidler, J.; Taylor, S.; Anupindi, S.; Yeh, B.; Guglielmo, F. State of the Art MR Enterography Technique. Top. Magn. Reson. Imaging 2021, 30, 3–11. [Google Scholar] [CrossRef]
- Wnorowski, A.M.; Guglielmo, F.F.; Mitchell, D.G. How to perform and interpret cine MR enterography. J. Magn. Reson. Imaging 2015, 42, 1180–1189. [Google Scholar] [CrossRef]
- Guglielmo, F.F.; Mitchell, D.G.; O’Kane, P.L.; Deshmukh, S.P.; Roth, C.G.; Burach, I.; Burns, A.; Dulka, S.; Parker, L. Erratum to: Identifying decreased peristalsis of abnormal small bowel segments in Crohn’s disease using cine MR enterography: The frozen bowel sign. Abdom. Imaging 2015, 40, 1138–1149. [Google Scholar] [CrossRef]
- Ram, R.; Sarver, D.; Pandey, T.; Guidry, C.L.; Jambhekar, K.R. Magnetic resonance enterography: A stepwise interpretation approach and role of imaging in management of adult Crohn’s disease. Indian J. Radiol. Imaging 2016, 26, 173–184. [Google Scholar] [CrossRef]
- Bohra, A.; Vasudevan, A.; Kutaiba, N.; Van Langenberg, D.R. Challenges and Strategies to Optimising the Quality of Small Bowel Magnetic Resonance Imaging in Crohn’s Disease. Diagnostics 2022, 12, 2533. [Google Scholar] [CrossRef] [PubMed]
- Sinha, R.; Verma, R.; Verma, S.; Rajesh, A. MR enterography of Crohn disease: Part 1, rationale, technique, and pitfalls. AJR Am. J. Roentgenol. 2011, 197, 76–79. [Google Scholar] [CrossRef]
- Gandhi, N.S.; Dillman, J.R.; Grand, D.J.; Huang, C.; Fletcher, J.G.; Al-Hawary, M.M.; Anupindi, S.A.; Baker, M.E.; Bruining, D.H.; Chatterji, M.; et al. Computed tomography and magnetic resonance enterography protocols and techniques: Survey of the Society of Abdominal Radiology Crohn’s Disease Disease-Focused Panel. Abdom. Radiol. 2020, 45, 1011–1017. [Google Scholar] [CrossRef]
- Taylor, S.A.; Avni, F.; Cronin, C.G.; Hoeffel, C.; Kim, S.H.; Laghi, A.; Napolitano, M.; Petit, P.; Rimola, J.; Tolan, D.J.; et al. The first joint ESGAR/ ESPR consensus statement on the technical performance of cross-sectional small bowel and colonic imaging. Eur. Radiol. 2017, 27, 2570–2582. [Google Scholar] [CrossRef]
- Minordi, L.M.; Larosa, L.; Belmonte, G.; Scaldaferri, F.; Poscia, A.; Gasbarrini, A.; Manfredi, R. Crohn’s disease activity before and after medical therapy evaluated by MaRIA score and others parameters in MR Enterography. Clin. Imaging 2020, 62, 1–9. [Google Scholar] [CrossRef] [PubMed]
- Biondi, M.; Bicci, E.; Danti, G.; Flammia, F.; Chiti, G.; Palumbo, P.; Bruno, F.; Borgheresi, A.; Grassi, R.; Grassi, F.; et al. The Role of Magnetic Resonance Enterography in Crohn’s Disease: A Review of Recent Literature. Diagnostics 2022, 12, 1236. [Google Scholar] [CrossRef] [PubMed]
- Dohan, A.; Taylor, S.; Hoeffel, C.; Barret, M.; Allez, M.; Dautry, R.; Zappa, M.; Savoye-Collet, C.; Dray, X.; Boudiaf, M.; et al. Diffusion-weighted MRI in Crohn’s disease: Current status and recommendations. J. Magn. Reson. Imaging 2016, 44, 1381–1396. [Google Scholar] [CrossRef] [PubMed]
- Ninivaggi, V.; Missere, M.; Restaino, G.; Gangemi, E.; Di Matteo, M.; Pierro, A.; Sallustio, G.; Bonomo, L. MR-enterography with diffusion weighted imaging: ADC values in normal and pathological bowel loops, a possible threshold ADC value to differentiate active from inactive Crohn’s disease. Eur. Rev. Med. Pharmacol. Sci. 2016, 20, 4540–4546. [Google Scholar]
- Jakob, M.; Backes, M.; Schaefer, C.; Albert, J.; Geissler, A. MR Enterography in Crohn’s Disease: Comparison of Contrast Imaging with Diffusion-weighted Imaging and a special Form of Color Coding. RoFo 2022, 194, 1119–1131. [Google Scholar] [CrossRef]
- Qi, F.; Jun, S.; Qi, Q.Y.; Chen, P.J.; Chuan, G.X.; Jiong, Z.; Rong, X.J. Utility of the diffusion-weighted imaging for activity evaluation in Crohn’s disease patients underwent magnetic resonance enterography. BMC Gastroenterol. 2015, 15, 12. [Google Scholar] [CrossRef]
- Cronin, C.G.; Lohan, D.G.; Mhuircheartaigh, J.N.; McKenna, D.; Alhajeri, N.; Roche, C.; Murphy, J.M. MRI small-bowel follow-through: Prone versus supine patient positioning for best small-bowel distention and lesion detection. AJR Am. J. Roentgenol. 2008, 191, 502–506. [Google Scholar] [CrossRef]
- Hu, J.; Yin, C.G.; Hu, K.F.; Li, G.W. The magnetic resonance enterography imaging features of symptomatic Meckel’s diverticulum in pediatric patients: A retrospective observational study of 31 cases. Transl. Pediatr. 2021, 10, 1974–1988. [Google Scholar] [CrossRef] [PubMed]
- Maaser, C.; Sturm, A.; Vavricka, S.R.; Kucharzik, T.; Fiorino, G.; Annese, V.; Calabrese, E.; Baumgart, D.C.; Bettenworth, D.; Borralho Nunes, P.; et al. European Crohn’s and Colitis Organisation [ECCO] and the European Society of Gastrointestinal and Abdominal Radiology [ESGAR]. ECCO-ESGAR Guideline for Diagnostic Assessment in IBD Part 1: Initial diagnosis, monitoring of known IBD, detection of complications. J. Crohn’s Colitis 2019, 13, 144–164. [Google Scholar] [CrossRef]
- Kavaliauskiene, G.; Ziech, M.L.; Nio, C.Y.; Stoker, J. Small bowel MRI in adult patients: Not just Crohn’s disease-a tutorial. Insights Imaging 2011, 2, 501–513. [Google Scholar] [CrossRef][Green Version]
- Sharma, D.; Nair, R.P.; Dani, T.; Shetty, P. Abdominal cocoon-A rare cause of intestinal obstruction. Int. J. Surg. Case Rep. 2013, 4, 955–957. [Google Scholar] [CrossRef]
- Cicero, G.; Blandino, A.; D’Angelo, T.; Booz, C.; Vogl, T.J.; Ascenti, G.; Mazziotti, S. Mimicking conditions of intestinal Crohn’s disease: Magnetic resonance enterography findings. Jpn. J. Radiol. 2022, 40, 19–28. [Google Scholar] [CrossRef] [PubMed]
- McLaughlin, P.D.; Maher, M.M. Nonneoplastic diseases of the small intestine: Differential diagnosis and Crohn disease. AJR Am. J. Roentgenol. 2013, 201, W174–W182. [Google Scholar] [CrossRef]
- Cronin, C.G.; Delappe, E.; Lohan, D.G.; Roche, C.; Murphy, J.M. Normal small bowel wall characteristics on MR enterography. Eur. J. Radiol. 2010, 75, 207–211. [Google Scholar] [CrossRef]
- Macari, M.; Megibow, A.J.; Balthazar, E.J. A pattern approach to the abnormal small bowel: Observations at MDCT and CT enterography. AJR Am. J. Roentgenol. 2007, 188, 1344–1355. [Google Scholar] [CrossRef]
- Guglielmo, F.F.; Anupindi, S.A.; Fletcher, J.G.; Al-Hawary, M.M.; Dillman, J.R.; Grand, D.J.; Bruining, D.H.; Chatterji, M.; Darge, K.; Fidler, J.L.; et al. Small Bowel Crohn Disease at CT and MR Enterography: Imaging Atlas and Glossary of Terms. Radiographics 2020, 40, 354–375. [Google Scholar] [CrossRef]
- Marín-Díez, E.; Crespo Del Pozo, J. Diagnostic approach to small-bowel wall thickening: Beyond Crohn’s disease and cancer. Radiologia 2021, 63, 519–530. [Google Scholar] [CrossRef]
- Ahualli, J. The target sign: Bowel wall. Radiology 2005, 234, 549–550. [Google Scholar] [CrossRef] [PubMed]
- Walter, J.; Ayoob, A.; DiSantis, D. The bowel wall target sign. Abdom. Imaging 2015, 40, 457–458. [Google Scholar] [CrossRef] [PubMed]
- Griffin, N.; Grant, L.A.; Anderson, S.; Irving, P.; Sanderson, J. Small bowel MR enterography: Problem solving in Crohn’s disease. Insights Imaging 2012, 3, 251–263. [Google Scholar] [CrossRef] [PubMed]
- Pierro, A.; Rotondi, F.; De Ninno, M.; Sallustio, G. Pseudodiverticular exophytic growth of a GIST of the jejunum with focus on imaging. Dig. Liver Dis. 2018, 50, 722. [Google Scholar] [CrossRef]
- Chang, C.W.; Wong, J.M.; Tung, C.C.; Shih, I.L.; Wang, H.Y.; Wei, S.C. Intestinal stricture in Crohn’s disease. Intest. Res. 2015, 13, 19–26. [Google Scholar] [CrossRef] [PubMed]










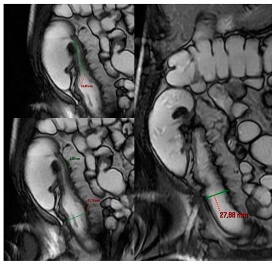
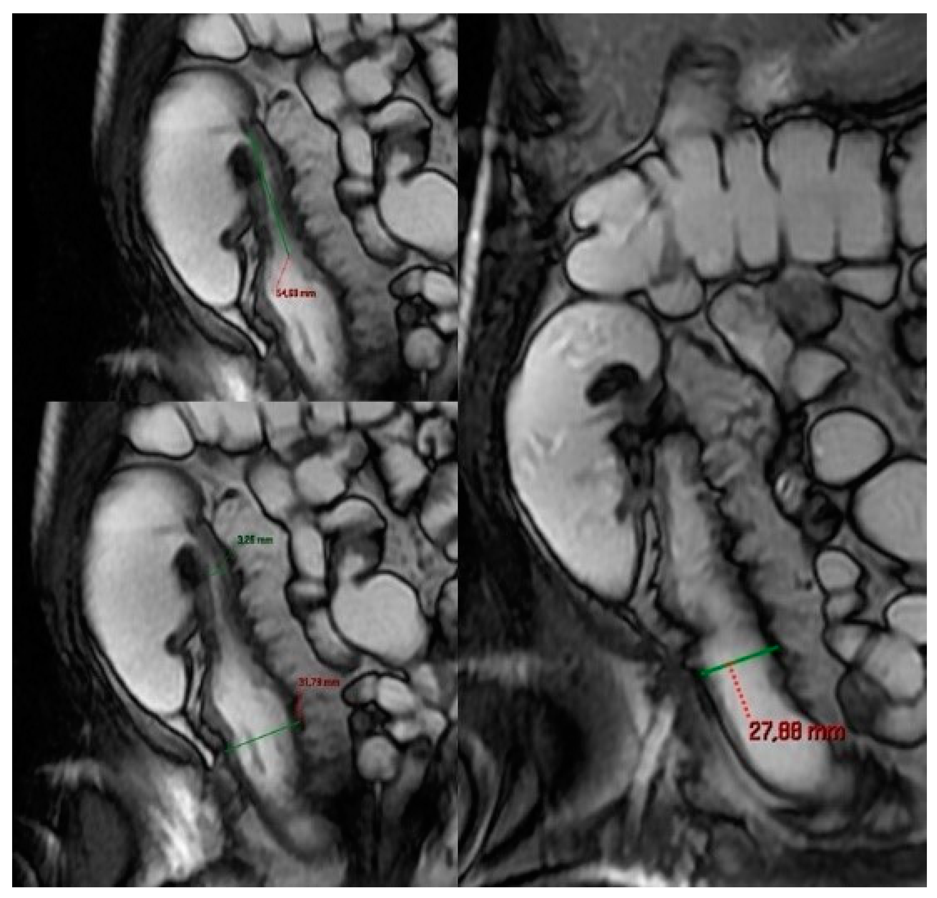
| Jejunum | Proximal Ileum | Distal Ileum | Terminal Ileum |
|---|---|---|---|
| 24.5 mm (S.D. = 4.2 mm) | 19.5 mm (S.D. = 3.6 mm) | 18.9 mm (S.D. = 4.2 mm) | 18.7 mm (S.D. = 3.6 mm) |
| Mild | Moderate | Marked |
|---|---|---|
| 3–4 mm | 5–9 mm | ≥10 mm |
| Normal Enhancement | Normal Bowel Wall |
|---|---|
| Layered or stratification | two (double halo sign) or three (the target appearance); subtends a benign condition |
| homogeneous or hyperenhancement | global transmural high enhancement that uniformly compromises the entire bowel wall: present in active Crohn’s disease or in fibrosis, infiltration, ischemia, collagen deposition, or shock bowel |
| lower enhancement | Less avid mural enhancement is more typical of fibro-stenotic disease |
Disclaimer/Publisher’s Note: The statements, opinions and data contained in all publications are solely those of the individual author(s) and contributor(s) and not of MDPI and/or the editor(s). MDPI and/or the editor(s) disclaim responsibility for any injury to people or property resulting from any ideas, methods, instructions or products referred to in the content. |
© 2023 by the authors. Licensee MDPI, Basel, Switzerland. This article is an open access article distributed under the terms and conditions of the Creative Commons Attribution (CC BY) license (https://creativecommons.org/licenses/by/4.0/).
Share and Cite
Pierro, A.; Minordi, L.M.; Larosa, L.; Guerri, G.; Grimaldi, A.; Quinto, F.; Rotondi, F.; Marcellino, A.; Bevere, T.; Basilico, R.; et al. Small Bowel Imaging from Stepchild of Roentgenology to MR Enterography: Part I: Guidance in Performing and Observing Normal and Abnormal Imaging Findings. Life 2023, 13, 1691. https://doi.org/10.3390/life13081691
Pierro A, Minordi LM, Larosa L, Guerri G, Grimaldi A, Quinto F, Rotondi F, Marcellino A, Bevere T, Basilico R, et al. Small Bowel Imaging from Stepchild of Roentgenology to MR Enterography: Part I: Guidance in Performing and Observing Normal and Abnormal Imaging Findings. Life. 2023; 13(8):1691. https://doi.org/10.3390/life13081691
Chicago/Turabian StylePierro, Antonio, Laura Maria Minordi, Luigi Larosa, Giulia Guerri, Alessandro Grimaldi, Fabio Quinto, Fabio Rotondi, Annalisa Marcellino, Teresa Bevere, Raffaella Basilico, and et al. 2023. "Small Bowel Imaging from Stepchild of Roentgenology to MR Enterography: Part I: Guidance in Performing and Observing Normal and Abnormal Imaging Findings" Life 13, no. 8: 1691. https://doi.org/10.3390/life13081691
APA StylePierro, A., Minordi, L. M., Larosa, L., Guerri, G., Grimaldi, A., Quinto, F., Rotondi, F., Marcellino, A., Bevere, T., Basilico, R., Iezzi, R., & Cilla, S. (2023). Small Bowel Imaging from Stepchild of Roentgenology to MR Enterography: Part I: Guidance in Performing and Observing Normal and Abnormal Imaging Findings. Life, 13(8), 1691. https://doi.org/10.3390/life13081691

